JavaScript is disabled in your browser. Please enable JavaScript to view this website.
AB110123

Anti-SRD5A1 antibody

5

(6 Reviews)

|

(9 Publications)

Goat Polyclonal SRD5A1 antibody. Suitable for IHC-P, ICC/IF and reacts with Human, Rat samples. Cited in 9 publications. Immunogen corresponding to Synthetic Peptide within Human SRD5A1 aa 150-200.

View Alternative Names

3-oxo-5-alpha-steroid 4-dehydrogenase 1, SR type 1, Steroid 5-alpha-reductase 1, S5AR 1, SRD5A1

3 Images
Immunohistochemistry (Formalin/PFA-fixed paraffin-embedded sections) - Anti-SRD5A1 antibody (AB110123)
  • IHC-P

Unknown

Immunohistochemistry (Formalin/PFA-fixed paraffin-embedded sections) - Anti-SRD5A1 antibody (AB110123)

Immunohistochemical analyis of SRD5A1 expression in formalin fixed, paraffin embedded Human liver, using ab110123 at 3.75 µg/ml.

Immunohistochemistry (Formalin/PFA-fixed paraffin-embedded sections) - Anti-SRD5A1 antibody (AB110123)
  • IHC-P

Unknown

Immunohistochemistry (Formalin/PFA-fixed paraffin-embedded sections) - Anti-SRD5A1 antibody (AB110123)

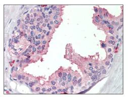
Immunohistochemical analyis of SRD5A1 expression in formalin fixed, paraffin embedded Human prostate, using ab110123 at 3.75 µg/ml.

Immunohistochemistry (Formalin/PFA-fixed paraffin-embedded sections) - Anti-SRD5A1 antibody (AB110123)
  • IHC-P

Unknown

Immunohistochemistry (Formalin/PFA-fixed paraffin-embedded sections) - Anti-SRD5A1 antibody (AB110123)

Immunohistochemical analyis of SRD5A1 expression in formalin fixed, paraffin embedded Human small intestine, using ab110123 at 3.75 µg/ml.

Key facts

Host species

Goat

Clonality

Polyclonal

Isotype

IgG

Carrier free

No

Reacts with

Human, Rat

Applications

IHC-P, ICC/IF

applications

Immunogen

Synthetic Peptide within Human SRD5A1 aa 150-200. The exact immunogen used to generate this antibody is proprietary information.

P18405

Reactivity data

{ "title": "Reactivity Data", "filters": { "stats": ["", "Species", "Dilution Info", "Notes"], "tabs": { "all-applications": {"fullname" : "All Applications", "shortname": "All Applications"}, "IHCP" : {"fullname" : "Immunohistochemistry (Formalin/PFA-fixed paraffin-embedded sections)", "shortname":"IHC-P"}, "ICCIF" : {"fullname" : "Immunocytochemistry/ Immunofluorescence", "shortname":"ICC/IF"}, "WB" : {"fullname" : "Western blot", "shortname":"WB"} }, "product-promise": { "all": "all", "testedAndGuaranteed": "tested", "guaranteed": "expected", "predicted": "predicted", "notRecommended": "not-recommended" } }, "values": { "Human": { "IHCP-species-checked": "testedAndGuaranteed", "IHCP-species-dilution-info": "3.75 µg/mL", "IHCP-species-notes": "<p>ab110123 was validated for use in Immunohistochemistry on a panel of 21 formalin fixed, paraffin embedded Human tissues after heat induced antigen retrieval in pH 6.0 citrate buffer. After incubation with the primary antibody, slides were incubated with a biotinylated Goat IgG secondary antibody, followed by alkaline phosphatase-streptavidin and chromogen. The stained slides were evaluated by a pathologist to confirm staining specificity.</p>", "ICCIF-species-checked": "guaranteed", "ICCIF-species-dilution-info": "", "ICCIF-species-notes": "<p></p>", "WB-species-checked": "notRecommended", "WB-species-dilution-info": "", "WB-species-notes": "<p></p>" }, "Mouse": { "IHCP-species-checked": "predicted", "IHCP-species-dilution-info": "", "IHCP-species-notes": "", "ICCIF-species-checked": "predicted", "ICCIF-species-dilution-info": "", "ICCIF-species-notes": "", "WB-species-checked": "notRecommended", "WB-species-dilution-info": "", "WB-species-notes": "" }, "Rat": { "IHCP-species-checked": "predicted", "IHCP-species-dilution-info": "", "IHCP-species-notes": "", "ICCIF-species-checked": "guaranteed", "ICCIF-species-dilution-info": "", "ICCIF-species-notes": "<p></p>", "WB-species-checked": "notRecommended", "WB-species-dilution-info": "", "WB-species-notes": "<p></p>" }, "Cow": { "IHCP-species-checked": "predicted", "IHCP-species-dilution-info": "", "IHCP-species-notes": "", "ICCIF-species-checked": "predicted", "ICCIF-species-dilution-info": "", "ICCIF-species-notes": "", "WB-species-checked": "notRecommended", "WB-species-dilution-info": "", "WB-species-notes": "" }, "Dog": { "IHCP-species-checked": "predicted", "IHCP-species-dilution-info": "", "IHCP-species-notes": "", "ICCIF-species-checked": "predicted", "ICCIF-species-dilution-info": "", "ICCIF-species-notes": "", "WB-species-checked": "notRecommended", "WB-species-dilution-info": "", "WB-species-notes": "" } } }

Properties and storage information

Form
Liquid
Purification technique
Affinity purification Immunogen
Storage buffer
pH: 7.3 Preservative: 0.02% Sodium azide Constituents: Tris buffered saline, 0.5% BSA
Shipped at conditions
Blue Ice
Appropriate short-term storage duration
1-2 weeks
Appropriate short-term storage conditions
+4°C
Appropriate long-term storage conditions
-20°C
Aliquoting information
Upon delivery aliquot

Product protocols

For this product, it's our understanding that no specific protocols are required. You can visit:

Target data

Converts testosterone into 5-alpha-dihydrotestosterone and progesterone or corticosterone into their corresponding 5-alpha-3-oxosteroids. It plays a central role in sexual differentiation and androgen physiology.
See full target information SRD5A1

Publications (9)

Recent publications for all applications. Explore the full list and refine your search

Science advances 11:eadr0563 PubMed39841836

2025

Prefrontal 5α-reductase 2 mediates male-specific acute stress response.

Applications

Unspecified application

Species

Unspecified reactive species

Roberto Cadeddu,Giulia Braccagni,Gabriele Floris,Caterina Branca,Eleonora Corridori,Sara Salviati,Pilar Sánchez,Luca Spiro Santovito,Jesus M Torres,Esperanza Ortega,Graziano Pinna,Philip J Moos,Simona Scheggi,Marco Bortolato

Nature 602:112-116 PubMed35046577

2022

Androgens increase excitatory neurogenic potential in human brain organoids.

Applications

Unspecified application

Species

Unspecified reactive species

Iva Kelava,Ilaria Chiaradia,Laura Pellegrini,Alex T Kalinka,Madeline A Lancaster

Molecular pain 18:17448069211069255 PubMed35040378

2022

Sigma-1 receptors and progesterone metabolizing enzymes in nociceptive sensory neurons of the female rat trigeminal ganglia: A neural substrate for the antinociceptive actions of progesterone.

Applications

Unspecified application

Species

Unspecified reactive species

Rebecca S Hornung,Namrata Gr Raut,Daisy J Cantu,Lauren M Lockhart,Dayna L Averitt

Oncology reports 41:1275-1283 PubMed30483800

2018

Silencing of the transcriptional factor ZEB1 alters the steroidogenic pathway, and increases the concentration of testosterone and DHT in DU145 cells.

Applications

Unspecified application

Species

Unspecified reactive species

D Herrera,O Orellana-Serradell,P Villar,M J Torres,R Paciucci,E A Castellón,H R Contreras

Environmental toxicology 33:351-360 PubMed29214744

2017

Exposure to cadmium during gestation and lactation affects development and function of Leydig cells in male offspring.

Applications

Unspecified application

Species

Unspecified reactive species

Huajian Tian,Shaomin Chen,Yang Leng,Teng Li,Zengli Li,Hongxia Chen,Qihao Zhang

Molecular and cellular endocrinology 441:116-123 PubMed27471004

2016

Genes and proteins of the alternative steroid backdoor pathway for dihydrotestosterone synthesis are expressed in the human ovary and seem enhanced in the polycystic ovary syndrome.

Applications

Unspecified application

Species

Unspecified reactive species

Nesa Marti,José A Galván,Amit V Pandey,Mafalda Trippel,Coya Tapia,Michel Müller,Aurel Perren,Christa E Flück

Psychopharmacology 231:3273-80 PubMed24714925

2014

Effects of different ethanol-administration regimes on mRNA and protein levels of steroid 5α-reductase isozymes in prefrontal cortex of adolescent male rats.

Applications

Unspecified application

Species

Rat

Pilar Sánchez,Beatriz Castro,Jesús M Torres,Esperanza Ortega

PloS one 8:e73584 PubMed24066056

2013

Effects of adult exposure to bisphenol a on genes involved in the physiopathology of rat prefrontal cortex.

Applications

WB

Species

Unspecified reactive species

Beatriz Castro,Pilar Sánchez,Jesús M Torres,Esperanza Ortega

PloS one 8:e55905 PubMed23405234

2013

Bisphenol A exposure during adulthood alters expression of aromatase and 5α-reductase isozymes in rat prostate.

Applications

WB

Species

Rat

Beatriz Castro,Pilar Sánchez,Jesús M Torres,Ovidiu Preda,Raimundo G del Moral,Esperanza Ortega
View all publications

Product promise

We are committed to supporting your work with high-quality reagents, and we're here for you every step of the way. In the unlikely event that one of our products does not perform as expected, you're protected by our Product Promise.
For full details, please see our Terms & Conditions

Please note: All products are 'FOR RESEARCH USE ONLY. NOT FOR USE IN DIAGNOSTIC OR THERAPEUTIC PROCEDURES'.

For licensing inquiries, please contact partnerships@abcam.com