JavaScript is disabled in your browser. Please enable JavaScript to view this website.
AB92308

Anti-SREC-I antibody [EPR3848]

Be the first to review this product! Submit a review

|

(3 Publications)

Rabbit Recombinant Monoclonal SREC-I antibody. Suitable for IHC-P, WB and reacts with Human samples. Cited in 3 publications.

View Alternative Names

KIAA0149, SREC, SCARF1, Scavenger receptor class F member 1, Acetyl LDL receptor, Scavenger receptor expressed by endothelial cells 1, SREC-I

3 Images
Immunohistochemistry (Formalin/PFA-fixed paraffin-embedded sections) - Anti-SREC-I antibody [EPR3848] (AB92308)
  • IHC-P

Unknown

Immunohistochemistry (Formalin/PFA-fixed paraffin-embedded sections) - Anti-SREC-I antibody [EPR3848] (AB92308)

ab92308 at 1/250 dilution staining SREC-I in Human spleen by Immunohistochemistry Paraffin-embedded tissue.

Perform heat mediated antigen retrieval before commencing with IHC staining protocol.

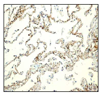
Immunohistochemistry (Formalin/PFA-fixed paraffin-embedded sections) - Anti-SREC-I antibody [EPR3848] (AB92308)
  • IHC-P

Unknown

Immunohistochemistry (Formalin/PFA-fixed paraffin-embedded sections) - Anti-SREC-I antibody [EPR3848] (AB92308)

ab92308 at 1/250 dilution staining SREC-I in Human lung tissue by Immunohistochemistry Paraffin-embedded tissue.

Perform heat mediated antigen retrieval before commencing with IHC staining protocol.

Western blot - Anti-SREC-I antibody [EPR3848] (AB92308)
  • WB

Unknown

Western blot - Anti-SREC-I antibody [EPR3848] (AB92308)

All lanes:

Western blot - Anti-SREC-I antibody [EPR3848] (ab92308) at 1/1000 dilution

Lane 1:

Human placenta tissue lysate at 10 µg

Lane 2:

Human fetal heart tissue lysate at 10 µg

Secondary

All lanes:

goat anti-rabbit HRP at 1/2000 dilution

Predicted band size: 87 kDa

false

  • Carrier free

    Anti-SREC-I antibody [EPR3848] - BSA and Azide free

Key facts

Host species

Rabbit

Clonality

Monoclonal

Clone number

EPR3848

Isotype

IgG

Carrier free

No

Reacts with

Human

Applications

WB, IHC-P

applications

Immunogen

The exact immunogen used to generate this antibody is proprietary information.

Reactivity data

{ "title": "Reactivity Data", "filters": { "stats": ["", "Species", "Dilution Info", "Notes"], "tabs": { "all-applications": {"fullname" : "All Applications", "shortname": "All Applications"}, "IHCP" : {"fullname" : "Immunohistochemistry (Formalin/PFA-fixed paraffin-embedded sections)", "shortname":"IHC-P"}, "WB" : {"fullname" : "Western blot", "shortname":"WB"} }, "product-promise": { "all": "all", "testedAndGuaranteed": "tested", "guaranteed": "expected", "predicted": "predicted", "notRecommended": "not-recommended" } }, "values": { "Human": { "IHCP-species-checked": "testedAndGuaranteed", "IHCP-species-dilution-info": "1/250 - 1/500", "IHCP-species-notes": "<p>The use of an HRP/AP polymerized secondary antibody is recommended. Stronger staining has been observed with polymerised antibodies.</p>", "WB-species-checked": "testedAndGuaranteed", "WB-species-dilution-info": "1/1000 - 1/10000", "WB-species-notes": "<p></p>" } } }

You may be interested in:

AB314353

Human SREC-I ELISA Kit

0

0 Reviews

View product

We recommend this product because it’s often used in the same experiment or related research.

We advise that you always check the datasheet to ensure it fits your experiments, or contact ourtechnical teamfor help.

Product details

Species reactivity
Mouse, Rat: We have preliminary internal testing data to indicate this antibody may not react with these species.
Please contact us for more information.

Patented technology
Our RabMAb® technology is a patented hybridoma-based technology for making rabbit monoclonal antibodies. For details on our patents, please refer to RabMAb® patents.

What are the advantages of a recombinant monoclonal antibody?
This product is a recombinant monoclonal antibody, which offers several advantages including:

  • - High batch-to-batch consistency and reproducibility
  • - Improved sensitivity and specificity
  • - Long-term security of supply
  • - Animal-free batch production

For more information, read more on recombinant antibodies.

Properties and storage information

Form
Liquid
Purification technique
Affinity purification Protein A
Storage buffer
pH: 7.2 - 7.4 Preservative: 0.01% Sodium azide Constituents: 50% Tissue culture supernatant, 40% Glycerol (glycerin, glycerine), 9% PBS, 0.05% BSA
Shipped at conditions
Blue Ice
Appropriate short-term storage conditions
+4°C
Appropriate long-term storage conditions
-20°C
Aliquoting information
Upon delivery aliquot
Storage information
Avoid freeze / thaw cycle

Product protocols

For this product, it's our understanding that no specific protocols are required. You can visit:

Target data

Mediates the binding and degradation of acetylated low density lipoprotein (Ac-LDL). Mediates heterophilic interactions, suggesting a function as adhesion protein. Plays a role in the regulation of neurite-like outgrowth (By similarity).
See full target information SCARF1

Publications (3)

Recent publications for all applications. Explore the full list and refine your search

Frontiers in oncology 10:565950 PubMed34354939

2020

Prognostic Value and Potential Immunoregulatory Role of SCARF1 in Hepatocellular Carcinoma.

Applications

Unspecified application

Species

Unspecified reactive species

Daniel A Patten,Alex L Wilkinson,Joanne M O'Rourke,Shishir Shetty

Frontiers in immunology 11:544 PubMed32296440

2020

Molecular and Cellular Interactions of Scavenger Receptor SR-F1 With Complement C1q Provide Insights Into Its Role in the Clearance of Apoptotic Cells.

Applications

Unspecified application

Species

Unspecified reactive species

Catherine Wicker-Planquart,Samy Dufour,Pascale Tacnet-Delorme,Isabelle Bally,Yves Delneste,Philippe Frachet,Dominique Housset,Nicole M Thielens

Scientific reports 7:17600 PubMed29242513

2017

SCARF-1 promotes adhesion of CD4 T cells to human hepatic sinusoidal endothelium under conditions of shear stress.

Applications

Unspecified application

Species

Unspecified reactive species

Daniel A Patten,Sivesh K Kamarajah,Joanne M Rose,Joseph Tickle,Emma L Shepherd,David H Adams,Chris J Weston,Shishir Shetty
View all publications

Product promise

We are committed to supporting your work with high-quality reagents, and we're here for you every step of the way. In the unlikely event that one of our products does not perform as expected, you're protected by our Product Promise.
For full details, please see our Terms & Conditions

Please note: All products are 'FOR RESEARCH USE ONLY. NOT FOR USE IN DIAGNOSTIC OR THERAPEUTIC PROCEDURES'.

For licensing inquiries, please contact partnerships@abcam.com