JavaScript is disabled in your browser. Please enable JavaScript to view this website.
AB171938

Anti-SRGAP1 antibody [EPR8760(2)]

Be the first to review this product! Submit a review

|

(1 Publication)

Rabbit Recombinant Monoclonal SRGAP1 antibody. Suitable for IHC-P, WB, ICC/IF, Flow Cyt (Intra) and reacts with Human samples. Cited in 1 publication.

View Alternative Names

ARHGAP13, KIAA1304, SRGAP1, SLIT-ROBO Rho GTPase-activating protein 1, srGAP1, Rho GTPase-activating protein 13

5 Images
Flow Cytometry (Intracellular) - Anti-SRGAP1 antibody [EPR8760(2)] (AB171938)
  • Flow Cyt (Intra)

Supplier Data

Flow Cytometry (Intracellular) - Anti-SRGAP1 antibody [EPR8760(2)] (AB171938)

Intracellular flow cytometric analysis of permeabilized 293T cellslabeling SRGAP1 with ab171938 at 1/100 (red)or a rabbit IgG (negative) (green).

Immunohistochemistry (Formalin/PFA-fixed paraffin-embedded sections) - Anti-SRGAP1 antibody [EPR8760(2)] (AB171938)
  • IHC-P

Supplier Data

Immunohistochemistry (Formalin/PFA-fixed paraffin-embedded sections) - Anti-SRGAP1 antibody [EPR8760(2)] (AB171938)

Immunohistochemical analysis of paraffin embedded Human lung tissue labeling SRGAP1 with ab171938 at 1/100 dilution.

Perform heat mediated antigen retrieval with citrate buffer pH 6 before commencing with IHC staining protocol.

Immunocytochemistry/ Immunofluorescence - Anti-SRGAP1 antibody [EPR8760(2)] (AB171938)
  • ICC/IF

Supplier Data

Immunocytochemistry/ Immunofluorescence - Anti-SRGAP1 antibody [EPR8760(2)] (AB171938)

Immunofluorescent analysis of A549 cells labeling SRGAP1 with ab171938 at 1/100 (green). DAPI nuclear staining (blue).

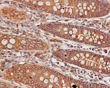
Immunohistochemistry (Formalin/PFA-fixed paraffin-embedded sections) - Anti-SRGAP1 antibody [EPR8760(2)] (AB171938)
  • IHC-P

Supplier Data

Immunohistochemistry (Formalin/PFA-fixed paraffin-embedded sections) - Anti-SRGAP1 antibody [EPR8760(2)] (AB171938)

Immunohistochemical analysis of paraffin embedded Human colon tissue labeling SRGAP1 with ab171938 at 1/100 dilution.

Perform heat mediated antigen retrieval with citrate buffer pH 6 before commencing with IHC staining protocol.

Western blot - Anti-SRGAP1 antibody [EPR8760(2)] (AB171938)
  • WB

Supplier Data

Western blot - Anti-SRGAP1 antibody [EPR8760(2)] (AB171938)

All lanes:

Western blot - Anti-SRGAP1 antibody [EPR8760(2)] (ab171938) at 1/1000 dilution

Lane 1:

Human fetal brain tissue lysate at 10 µg

Lane 2:

293T cell lysate at 10 µg

Lane 3:

A549 cell lysate at 10 µg

Lane 4:

Human fetal lung tissue lysate at 10 µg

Lane 5:

Human fetal kidney tissue lysate at 10 µg

Predicted band size: 124 kDa

true

  • Carrier free

    Anti-SRGAP1 antibody [EPR8760(2)] - BSA and Azide free

Key facts

Host species

Rabbit

Clonality

Monoclonal

Clone number

EPR8760(2)

Isotype

IgG

Carrier free

No

Reacts with

Human

Applications

WB, ICC/IF, Flow Cyt (Intra), IHC-P

applications

Immunogen

The exact immunogen used to generate this antibody is proprietary information.

Reactivity data

{ "title": "Reactivity Data", "filters": { "stats": ["", "Species", "Dilution Info", "Notes"], "tabs": { "all-applications": {"fullname" : "All Applications", "shortname": "All Applications"}, "IHCP" : {"fullname" : "Immunohistochemistry (Formalin/PFA-fixed paraffin-embedded sections)", "shortname":"IHC-P"}, "IP" : {"fullname" : "Immunoprecipitation", "shortname":"IP"}, "WB" : {"fullname" : "Western blot", "shortname":"WB"}, "ICCIF" : {"fullname" : "Immunocytochemistry/ Immunofluorescence", "shortname":"ICC/IF"}, "FlowCytIntra" : {"fullname" : "Flow Cytometry (Intracellular)", "shortname":"Flow Cyt (Intra)"} }, "product-promise": { "all": "all", "testedAndGuaranteed": "tested", "guaranteed": "expected", "predicted": "predicted", "notRecommended": "not-recommended" } }, "values": { "Human": { "IHCP-species-checked": "testedAndGuaranteed", "IHCP-species-dilution-info": "1/100 - 1/250", "IHCP-species-notes": "<p></p>", "IP-species-checked": "notRecommended", "IP-species-dilution-info": "", "IP-species-notes": "<p></p>", "WB-species-checked": "testedAndGuaranteed", "WB-species-dilution-info": "1/1000 - 1/5000", "WB-species-notes": "<p></p>", "ICCIF-species-checked": "testedAndGuaranteed", "ICCIF-species-dilution-info": "1/100 - 1/250", "ICCIF-species-notes": "<p></p>", "FlowCytIntra-species-checked": "testedAndGuaranteed", "FlowCytIntra-species-dilution-info": "1/100 - 1/500", "FlowCytIntra-species-notes": "<p><a href='/en-us/products/primary-antibodies/rabbit-igg-monoclonal-epr25a-isotype-control-ab172730'>ab172730</a> - Rabbit monoclonal IgG, is suitable for use as an isotype control with this antibody.</p>" }, "Mouse": { "IHCP-species-checked": "predicted", "IHCP-species-dilution-info": "", "IHCP-species-notes": "", "IP-species-checked": "notRecommended", "IP-species-dilution-info": "", "IP-species-notes": "", "WB-species-checked": "predicted", "WB-species-dilution-info": "", "WB-species-notes": "", "ICCIF-species-checked": "predicted", "ICCIF-species-dilution-info": "", "ICCIF-species-notes": "", "FlowCytIntra-species-checked": "predicted", "FlowCytIntra-species-dilution-info": "", "FlowCytIntra-species-notes": "" }, "Rat": { "IHCP-species-checked": "predicted", "IHCP-species-dilution-info": "", "IHCP-species-notes": "", "IP-species-checked": "notRecommended", "IP-species-dilution-info": "", "IP-species-notes": "", "WB-species-checked": "predicted", "WB-species-dilution-info": "", "WB-species-notes": "", "ICCIF-species-checked": "predicted", "ICCIF-species-dilution-info": "", "ICCIF-species-notes": "", "FlowCytIntra-species-checked": "predicted", "FlowCytIntra-species-dilution-info": "", "FlowCytIntra-species-notes": "" } } }

Product details

Patented technology
Our RabMAb® technology is a patented hybridoma-based technology for making rabbit monoclonal antibodies. For details on our patents, please refer to RabMAb® patents.

What are the advantages of a recombinant monoclonal antibody?
This product is a recombinant monoclonal antibody, which offers several advantages including:

  • - High batch-to-batch consistency and reproducibility
  • - Improved sensitivity and specificity
  • - Long-term security of supply
  • - Animal-free batch production

For more information, read more on recombinant antibodies.

Properties and storage information

Form
Liquid
Purity
Tissue culture supernatant
Storage buffer
pH: 7.2 - 7.4 Preservative: 0.01% Sodium azide Constituents: PBS, 50% Tissue culture supernatant, 40% Glycerol (glycerin, glycerine), 0.05% BSA
Shipped at conditions
Blue Ice
Appropriate short-term storage duration
1-2 weeks
Appropriate short-term storage conditions
+4°C
Appropriate long-term storage conditions
-20°C
Aliquoting information
Upon delivery aliquot
Storage information
Avoid freeze / thaw cycle

Product protocols

For this product, it's our understanding that no specific protocols are required. You can visit:

Target data

GTPase-activating protein for RhoA and Cdc42 small GTPases. Together with CDC42 seems to be involved in the pathway mediating the repulsive signaling of Robo and Slit proteins in neuronal migration. SLIT2, probably through interaction with ROBO1, increases the interaction of SRGAP1 with ROBO1 and inactivates CDC42.
See full target information SRGAP1

Publications (1)

Recent publications for all applications. Explore the full list and refine your search

Cellular and molecular life sciences : CMLS 80:372 PubMed38001238

2023

Cordycepin delays postovulatory aging of oocytes through inhibition of maternal mRNAs degradation via DCP1A polyadenylation suppression.

Applications

Unspecified application

Species

Unspecified reactive species

Chong Li,Ling Zhu,Jun-Xia Liu,Jing Guo,Juan Xie,Chun-Meng Shi,Qing-Yuan Sun,Guo-Ning Huang,Jing-Yu Li
View all publications

Product promise

We are committed to supporting your work with high-quality reagents, and we're here for you every step of the way. In the unlikely event that one of our products does not perform as expected, you're protected by our Product Promise.
For full details, please see our Terms & Conditions

Please note: All products are 'FOR RESEARCH USE ONLY. NOT FOR USE IN DIAGNOSTIC OR THERAPEUTIC PROCEDURES'.

For licensing inquiries, please contact partnerships@abcam.com