JavaScript is disabled in your browser. Please enable JavaScript to view this website.
AB249104

Anti-SRP54 antibody [EPR10851(B)] - BSA and Azide free

Be the first to review this product! Submit a review

|

(1 Publication)

Rabbit Recombinant Monoclonal SRP54 antibody. Carrier free. Suitable for IHC-P, WB and reacts with Human samples. Cited in 1 publication.

View Alternative Names

Signal recognition particle subunit SRP54, Signal recognition particle 54 kDa protein, SRP54

6 Images
Immunohistochemistry (Formalin/PFA-fixed paraffin-embedded sections) - Anti-SRP54 antibody [EPR10851(B)] - BSA and Azide free (AB249104)
  • IHC-P

Unknown

Immunohistochemistry (Formalin/PFA-fixed paraffin-embedded sections) - Anti-SRP54 antibody [EPR10851(B)] - BSA and Azide free (AB249104)

This data was developed using ab154796, the same antibody clone in a different buffer formulation.

Immunohistochemical analysis of paraffin embedded Human ovarian carcinoma tissue using ab154796 showing +ve staining.

Perform heat mediated antigen retrieval before commencing with IHC staining protocol.

Immunohistochemistry (Formalin/PFA-fixed paraffin-embedded sections) - Anti-SRP54 antibody [EPR10851(B)] - BSA and Azide free (AB249104)
  • IHC-P

Unknown

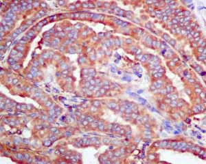
Immunohistochemistry (Formalin/PFA-fixed paraffin-embedded sections) - Anti-SRP54 antibody [EPR10851(B)] - BSA and Azide free (AB249104)

This data was developed using ab154796, the same antibody clone in a different buffer formulation.

Immunohistochemical analysis of paraffin embedded Human thyroid gland carcinoma tissue using ab154796 showing +ve staining.

Perform heat mediated antigen retrieval before commencing with IHC staining protocol.

Immunohistochemistry (Formalin/PFA-fixed paraffin-embedded sections) - Anti-SRP54 antibody [EPR10851(B)] - BSA and Azide free (AB249104)
  • IHC-P

Unknown

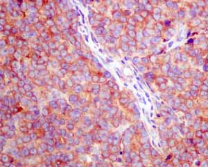
Immunohistochemistry (Formalin/PFA-fixed paraffin-embedded sections) - Anti-SRP54 antibody [EPR10851(B)] - BSA and Azide free (AB249104)

This data was developed using ab154796, the same antibody clone in a different buffer formulation.

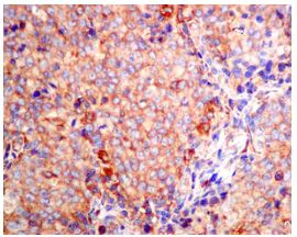
Immunohistochemical analysis of paraffin-embedded Human breast carcinoma tissue labeling SRP54 with ab154796 at 1/100 dilution.

Perform heat mediated antigen retrieval before commencing with IHC staining protocol.

Immunohistochemistry (Formalin/PFA-fixed paraffin-embedded sections) - Anti-SRP54 antibody [EPR10851(B)] - BSA and Azide free (AB249104)
  • IHC-P

Unknown

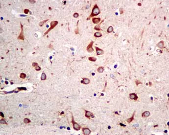
Immunohistochemistry (Formalin/PFA-fixed paraffin-embedded sections) - Anti-SRP54 antibody [EPR10851(B)] - BSA and Azide free (AB249104)

This data was developed using ab154796, the same antibody clone in a different buffer formulation.

Immunohistochemical analysis of paraffin-embedded Human brain tissue labeling SRP54 with ab154796 at 1/100 dilution.

Perform heat mediated antigen retrieval before commencing with IHC staining protocol.

Immunohistochemistry (Formalin/PFA-fixed paraffin-embedded sections) - Anti-SRP54 antibody [EPR10851(B)] - BSA and Azide free (AB249104)
  • IHC-P

Unknown

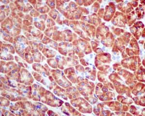
Immunohistochemistry (Formalin/PFA-fixed paraffin-embedded sections) - Anti-SRP54 antibody [EPR10851(B)] - BSA and Azide free (AB249104)

This data was developed using ab154796, the same antibody clone in a different buffer formulation.

Immunohistochemical analysis of paraffin embedded Human normal pancreas tissue using ab154796 showing +ve staining.

Perform heat mediated antigen retrieval before commencing with IHC staining protocol.

Western blot - Anti-SRP54 antibody [EPR10851(B)] - BSA and Azide free (AB249104)
  • WB

Unknown

Western blot - Anti-SRP54 antibody [EPR10851(B)] - BSA and Azide free (AB249104)

This data was developed using ab154796, the same antibody clone in a different buffer formulation.

All lanes:

Western blot - Anti-SRP54 antibody [EPR10851(B)] (<a href='/en-us/products/primary-antibodies/srp54-antibody-epr10851b-ab154796'>ab154796</a>) at 1/1000 dilution

Lane 1:

Human placenta lysate at 10 µg

Lane 2:

fetal brain lysate at 10 µg

Lane 3:

293T lysate at 10 µg

Lane 4:

Jurkat lysate at 10 µg

Lane 5:

HeLa lysate at 10 µg

Predicted band size: 56 kDa

false

Key facts

Host species

Rabbit

Clonality

Monoclonal

Clone number

EPR10851(B)

Isotype

IgG

Carrier free

Yes

Reacts with

Human

Applications

WB, IHC-P

applications

Immunogen

The exact immunogen used to generate this antibody is proprietary information.

Reactivity data

{ "title": "Reactivity Data", "filters": { "stats": ["", "Species", "Dilution Info", "Notes"], "tabs": { "all-applications": {"fullname" : "All Applications", "shortname": "All Applications"}, "IHCP" : {"fullname" : "Immunohistochemistry (Formalin/PFA-fixed paraffin-embedded sections)", "shortname":"IHC-P"}, "WB" : {"fullname" : "Western blot", "shortname":"WB"}, "ICCIF" : {"fullname" : "Immunocytochemistry/ Immunofluorescence", "shortname":"ICC/IF"} }, "product-promise": { "all": "all", "testedAndGuaranteed": "tested", "guaranteed": "expected", "predicted": "predicted", "notRecommended": "not-recommended" } }, "values": { "Human": { "IHCP-species-checked": "testedAndGuaranteed", "IHCP-species-dilution-info": "", "IHCP-species-notes": "<p></p>", "WB-species-checked": "testedAndGuaranteed", "WB-species-dilution-info": "", "WB-species-notes": "<p></p>", "ICCIF-species-checked": "notRecommended", "ICCIF-species-dilution-info": "", "ICCIF-species-notes": "<p></p>" }, "Mouse": { "IHCP-species-checked": "predicted", "IHCP-species-dilution-info": "", "IHCP-species-notes": "", "WB-species-checked": "predicted", "WB-species-dilution-info": "", "WB-species-notes": "", "ICCIF-species-checked": "notRecommended", "ICCIF-species-dilution-info": "", "ICCIF-species-notes": "" }, "Rat": { "IHCP-species-checked": "predicted", "IHCP-species-dilution-info": "", "IHCP-species-notes": "", "WB-species-checked": "predicted", "WB-species-dilution-info": "", "WB-species-notes": "", "ICCIF-species-checked": "notRecommended", "ICCIF-species-dilution-info": "", "ICCIF-species-notes": "" } } }

Product details

ab249104 is the carrier-free version of ab154796.

Patented technology
Our RabMAb® technology is a patented hybridoma-based technology for making rabbit monoclonal antibodies. For details on our patents, please refer to RabMAb® patents.

What are the advantages of a recombinant monoclonal antibody?
This product is a recombinant monoclonal antibody, which offers several advantages including:

  • - High batch-to-batch consistency and reproducibility
  • - Improved sensitivity and specificity
  • - Long-term security of supply
  • - Animal-free batch production

For more information, read more on recombinant antibodies.

Conjugation ready
Our carrier-free antibodies are typically supplied in a PBS-only formulation, purified and free of BSA, sodium azide and glycerol. This conjugation-ready format is designed for use with fluorochromes, metal isotopes, oligonucleotides, and enzymes, which makes them ideal for antibody labelling, functional and cell-based assays, flow-based assays (e.g. mass cytometry) and Multiplex Imaging applications.

Use our conjugation kits for antibody conjugates that are ready-to-use in as little as 20 minutes with 1 minute hands-on-time and 100% antibody recovery: available for fluorescent dyes, HRP, biotin and gold.

Compatibility
This product is compatible with the Maxpar® Antibody Labeling Kit from Fluidigm, without the need for antibody preparation. Maxpar® is a trademark of Fluidigm Canada Inc.

Properties and storage information

Form
Liquid
Purification technique
Affinity purification
Storage buffer
pH: 7.2 - 7.4 Constituents: PBS
Shipped at conditions
Blue Ice
Appropriate short-term storage conditions
+4°C
Appropriate long-term storage conditions
+4°C
Storage information
Do Not Freeze

Product protocols

For this product, it's our understanding that no specific protocols are required. You can visit:

Target data

Component of the signal recognition particle (SRP) complex, a ribonucleoprotein complex that mediates the cotranslational targeting of secretory and membrane proteins to the endoplasmic reticulum (ER) (PubMed : 34020957). As part of the SRP complex, associates with the SRP receptor (SR) component SRPRA to target secretory proteins to the endoplasmic reticulum membrane (PubMed : 34020957). Binds to the signal sequence of presecretory proteins when they emerge from the ribosomes (PubMed : 34020957). Displays basal GTPase activity, and stimulates reciprocal GTPase activation of the SR subunit SRPRA (PubMed : 28972538, PubMed : 34020957). Forms a guanosine 5'-triphosphate (GTP)-dependent complex with the SR subunit SRPRA (PubMed : 34020957). SR compaction and GTPase mediated rearrangement of SR drive SRP-mediated cotranslational protein translocation into the ER (PubMed : 34020957). Requires the presence of SRP9/SRP14 and/or SRP19 to stably interact with RNA (By similarity). Plays a role in proliferation and differentiation of granulocytic cells, neutrophils migration capacity and exocrine pancreas development (PubMed : 28972538, PubMed : 29914977).
See full target information SRP54

Publications (1)

Recent publications for all applications. Explore the full list and refine your search

Developmental cell 60:2744-2760.e9 PubMed40460835

2025

ATG9A and ARFIP2 cooperate to control PI4P levels for lysosomal repair.

Applications

Unspecified application

Species

Unspecified reactive species

Stefano De Tito,Eugenia Almacellas,Daniel Dai Yu,Emily Millard,Wenxin Zhang,Cecilia de Heus,Christophe Queval,Javier H Hervás,Enrica Pellegrino,Ioanna Panagi,Ditte Fogde,Teresa L M Thurston,Judith Klumperman,Maximiliano Gutierrez,Sharon A Tooze
View all publications

Product promise

We are committed to supporting your work with high-quality reagents, and we're here for you every step of the way. In the unlikely event that one of our products does not perform as expected, you're protected by our Product Promise.
For full details, please see our Terms & Conditions

Please note: All products are 'FOR RESEARCH USE ONLY. NOT FOR USE IN DIAGNOSTIC OR THERAPEUTIC PROCEDURES'.

For licensing inquiries, please contact partnerships@abcam.com