JavaScript is disabled in your browser. Please enable JavaScript to view this website.
AB251113

Anti-SRPK2 antibody [EPR16366] - BSA and Azide free

Be the first to review this product! Submit a review

|

(2 Publications)

Rabbit Recombinant Monoclonal SRPK2 antibody. Carrier free. Suitable for WB, ICC/IF, IHC-P and reacts with Human, Mouse samples. Cited in 2 publications.

View Alternative Names

SRSF protein kinase 2, SFRS protein kinase 2, Serine/arginine-rich protein-specific kinase 2, SR-protein-specific kinase 2, SRPK2

6 Images
Immunohistochemistry (Formalin/PFA-fixed paraffin-embedded sections) - Anti-SRPK2 antibody [EPR16366] - BSA and Azide free (AB251113)
  • IHC-P

Unknown

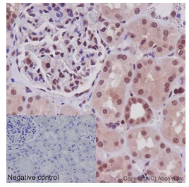
Immunohistochemistry (Formalin/PFA-fixed paraffin-embedded sections) - Anti-SRPK2 antibody [EPR16366] - BSA and Azide free (AB251113)

This data was developed using ab192238, the same antibody clone in a different buffer formulation.

Immunohistochemical analysis of paraffin-embedded Human kidney tissue labeling SRPK2 with ab192238 at 1/100 dilution followed by pre-diluted HRP Polymer for Rabbit/Mouse IgG secondary antibody and counter-stained with Hematoxylin. (inset : negative control).

Perform heat mediated antigen retrieval with Tris/EDTA buffer pH 9.0 before commencing with IHC staining protocol.

Immunohistochemistry (Formalin/PFA-fixed paraffin-embedded sections) - Anti-SRPK2 antibody [EPR16366] - BSA and Azide free (AB251113)
  • IHC-P

Unknown

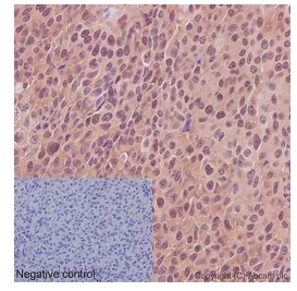
Immunohistochemistry (Formalin/PFA-fixed paraffin-embedded sections) - Anti-SRPK2 antibody [EPR16366] - BSA and Azide free (AB251113)

This data was developed using ab192238, the same antibody clone in a different buffer formulation.

Immunohistochemical analysis of paraffin-embedded Human endometrium adenocarcinoma tissue labeling SRPK2 with ab192238 at 1/100 dilution followed by pre-diluted HRP Polymer for Rabbit/Mouse IgG secondary antibody and counter-stained with Hematoxylin. (inset : negative control).

Perform heat mediated antigen retrieval with Tris/EDTA buffer pH 9.0 before commencing with IHC staining protocol.

Immunocytochemistry/ Immunofluorescence - Anti-SRPK2 antibody [EPR16366] - BSA and Azide free (AB251113)
  • ICC/IF

Lab

Immunocytochemistry/ Immunofluorescence - Anti-SRPK2 antibody [EPR16366] - BSA and Azide free (AB251113)

This data was developed using ab192238, the same antibody clone in a different buffer formulation.

Immunofluorescent analysis of Neuro-2a cells (4% Paraformaldehyde-fixed, 0.1% tritonX-100 permeabilized) labeling SRPK2 with ab192238 at 1/250 dilution (5.4 μg/mL) followed by Goat anti rabbit IgG (AlexaFluor® 488) (ab150077) secondary at 1/200 dilution and counter-stained with DAPI (blue).
Negative controls : anti-SRPK2 at 1/250 dilution, Secondary ab (Goat anti mouse IgG (Alexa Fluor®594)) at 1/500 dilution.

Western blot - Anti-SRPK2 antibody [EPR16366] - BSA and Azide free (AB251113)
  • WB

Supplier Data

Western blot - Anti-SRPK2 antibody [EPR16366] - BSA and Azide free (AB251113)

This data was developed using ab192238, the same antibody clone in a different buffer formulation.

All lanes:

Western blot - Anti-SRPK2 antibody [EPR16366] - N-terminal (<a href='/en-us/products/primary-antibodies/srpk2-antibody-epr16366-n-terminal-ab192238'>ab192238</a>) at 1/1000 dilution

All lanes:

Human fetal kidney tissue lysate at 10 µg

Secondary

All lanes:

Anti-Rabbit IgG (HRP), specific to the non-reduced form of IgG at 1/1000 dilution

Predicted band size: 78 kDa

false

Western blot - Anti-SRPK2 antibody [EPR16366] - BSA and Azide free (AB251113)
  • WB

Supplier Data

Western blot - Anti-SRPK2 antibody [EPR16366] - BSA and Azide free (AB251113)

This data was developed using ab192238, the same antibody clone in a different buffer formulation.

All lanes:

Western blot - Anti-SRPK2 antibody [EPR16366] - N-terminal (<a href='/en-us/products/primary-antibodies/srpk2-antibody-epr16366-n-terminal-ab192238'>ab192238</a>) at 1/1000 dilution

Lane 1:

HepG2 cell lysate at 10 µg

Lane 2:

HeLa cell lysate at 10 µg

Secondary

All lanes:

Goat Anti-Rabbit IgG, (H+L), Peroxidase conjugate at 1/1000 dilution

Predicted band size: 78 kDa

false

Western blot - Anti-SRPK2 antibody [EPR16366] - BSA and Azide free (AB251113)
  • WB

Supplier Data

Western blot - Anti-SRPK2 antibody [EPR16366] - BSA and Azide free (AB251113)

This data was developed using ab192238, the same antibody clone in a different buffer formulation.

All lanes:

Western blot - Anti-SRPK2 antibody [EPR16366] - N-terminal (<a href='/en-us/products/primary-antibodies/srpk2-antibody-epr16366-n-terminal-ab192238'>ab192238</a>) at 1/2000 dilution

All lanes:

Human fetal brain lysate at 20 µg

Secondary

All lanes:

Goat Anti-Rabbit IgG, (H+L), Peroxidase conjugate at 1/1000 dilution

Predicted band size: 78 kDa

false

Key facts

Host species

Rabbit

Clonality

Monoclonal

Clone number

EPR16366

Isotype

IgG

Carrier free

Yes

Reacts with

Mouse, Human

Applications

ICC/IF, IHC-P, WB

applications

Immunogen

The exact immunogen used to generate this antibody is proprietary information.

Reactivity data

{ "title": "Reactivity Data", "filters": { "stats": ["", "Species", "Dilution Info", "Notes"], "tabs": { "all-applications": {"fullname" : "All Applications", "shortname": "All Applications"}, "WB" : {"fullname" : "Western blot", "shortname":"WB"}, "ICCIF" : {"fullname" : "Immunocytochemistry/ Immunofluorescence", "shortname":"ICC/IF"}, "IHCP" : {"fullname" : "Immunohistochemistry (Formalin/PFA-fixed paraffin-embedded sections)", "shortname":"IHC-P"} }, "product-promise": { "all": "all", "testedAndGuaranteed": "tested", "guaranteed": "expected", "predicted": "predicted", "notRecommended": "not-recommended" } }, "values": { "Human": { "WB-species-checked": "testedAndGuaranteed", "WB-species-dilution-info": "", "WB-species-notes": "<p></p>", "ICCIF-species-checked": "guaranteed", "ICCIF-species-dilution-info": "", "ICCIF-species-notes": "", "IHCP-species-checked": "testedAndGuaranteed", "IHCP-species-dilution-info": "", "IHCP-species-notes": "<p></p>" }, "Mouse": { "WB-species-checked": "guaranteed", "WB-species-dilution-info": "", "WB-species-notes": "", "ICCIF-species-checked": "testedAndGuaranteed", "ICCIF-species-dilution-info": "", "ICCIF-species-notes": "<p></p>", "IHCP-species-checked": "guaranteed", "IHCP-species-dilution-info": "", "IHCP-species-notes": "" }, "Rat": { "WB-species-checked": "predicted", "WB-species-dilution-info": "", "WB-species-notes": "", "ICCIF-species-checked": "predicted", "ICCIF-species-dilution-info": "", "ICCIF-species-notes": "", "IHCP-species-checked": "predicted", "IHCP-species-dilution-info": "", "IHCP-species-notes": "" } } }

Product details

ab251113 is the carrier-free version of ab192238.

Patented technology
Our RabMAb® technology is a patented hybridoma-based technology for making rabbit monoclonal antibodies. For details on our patents, please refer to RabMAb® patents.

What are the advantages of a recombinant monoclonal antibody?
This product is a recombinant monoclonal antibody, which offers several advantages including:

  • - High batch-to-batch consistency and reproducibility
  • - Improved sensitivity and specificity
  • - Long-term security of supply
  • - Animal-free batch production

For more information, read more on recombinant antibodies.

Conjugation ready
Our carrier-free antibodies are typically supplied in a PBS-only formulation, purified and free of BSA, sodium azide and glycerol. This conjugation-ready format is designed for use with fluorochromes, metal isotopes, oligonucleotides, and enzymes, which makes them ideal for antibody labelling, functional and cell-based assays, flow-based assays (e.g. mass cytometry) and Multiplex Imaging applications.

Use our conjugation kits for antibody conjugates that are ready-to-use in as little as 20 minutes with 1 minute hands-on-time and 100% antibody recovery: available for fluorescent dyes, HRP, biotin and gold.

Compatibility
This product is compatible with the Maxpar® Antibody Labeling Kit from Fluidigm, without the need for antibody preparation. Maxpar® is a trademark of Fluidigm Canada Inc.

Properties and storage information

Form
Liquid
Storage buffer
pH: 7.2 - 7.4 Constituents: PBS
Shipped at conditions
Blue Ice
Appropriate short-term storage conditions
+4°C
Appropriate long-term storage conditions
+4°C
Storage information
Do Not Freeze

Product protocols

For this product, it's our understanding that no specific protocols are required. You can visit:

Target data

Serine/arginine-rich protein-specific kinase which specifically phosphorylates its substrates at serine residues located in regions rich in arginine/serine dipeptides, known as RS domains and is involved in the phosphorylation of SR splicing factors and the regulation of splicing (PubMed : 18559500, PubMed : 21056976, PubMed : 9472028). Promotes neuronal apoptosis by up-regulating cyclin-D1 (CCND1) expression (PubMed : 19592491). This is done by the phosphorylation of SRSF2, leading to the suppression of p53/TP53 phosphorylation thereby relieving the repressive effect of p53/TP53 on cyclin-D1 (CCND1) expression (PubMed : 21205200). Phosphorylates ACIN1, and redistributes it from the nuclear speckles to the nucleoplasm, resulting in cyclin A1 but not cyclin A2 up-regulation (PubMed : 18559500). Plays an essential role in spliceosomal B complex formation via the phosphorylation of DDX23/PRP28 (PubMed : 18425142). Probably by phosphorylating DDX23, leads to the suppression of incorrect R-loops formed during transcription; R-loops are composed of a DNA : RNA hybrid and the associated non-template single-stranded DNA (PubMed : 28076779). Can mediate hepatitis B virus (HBV) core protein phosphorylation (PubMed : 12134018). Plays a negative role in the regulation of HBV replication through a mechanism not involving the phosphorylation of the core protein but by reducing the packaging efficiency of the pregenomic RNA (pgRNA) without affecting the formation of the viral core particles (PubMed : 16122776).
See full target information SRPK2

Publications (2)

Recent publications for all applications. Explore the full list and refine your search

Journal of cellular and molecular medicine 28:e18572 PubMed39072867

2024

Exploring membranous NECTIN-4 expression patterns and enfortumab vedotin response in prostate cancer.

Applications

Unspecified application

Species

Unspecified reactive species

Richard Weiten,Marit Bernhardt,Max Niemann,Glen Kristiansen,Viktor Grünwald,Manuel Ritter,Michael Hölzel,Markus Eckstein,Abdullah Alajati,Niklas Klümper,Philipp Krausewitz

Cell death & disease 14:760 PubMed37993451

2023

The BRD4-SRPK2-SRSF2 signal modulates the splicing efficiency of ACSL3 pre-mRNA and influences erastin-induced ferroptosis in osteosarcoma cells.

Applications

Unspecified application

Species

Unspecified reactive species

Shun-Hong Luo,Jia-Ming Tian,Yi Chu,Hong-Yi Zhu,Jiang-Dong Ni,Jun Huang
View all publications

Product promise

We are committed to supporting your work with high-quality reagents, and we're here for you every step of the way. In the unlikely event that one of our products does not perform as expected, you're protected by our Product Promise.
For full details, please see our Terms & Conditions

Please note: All products are 'FOR RESEARCH USE ONLY. NOT FOR USE IN DIAGNOSTIC OR THERAPEUTIC PROCEDURES'.

For licensing inquiries, please contact partnerships@abcam.com