JavaScript is disabled in your browser. Please enable JavaScript to view this website.
AB192238

Anti-SRPK2 antibody [EPR16366] - N-terminal

Be the first to review this product! Submit a review

|

(3 Publications)

Rabbit Recombinant Monoclonal SRPK2 antibody. N-terminal. Suitable for WB, ICC/IF, IHC-P and reacts with Human, Mouse samples. Cited in 3 publications.

View Alternative Names

SRSF protein kinase 2, SFRS protein kinase 2, Serine/arginine-rich protein-specific kinase 2, SR-protein-specific kinase 2, SRPK2

6 Images
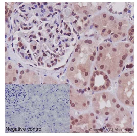
Immunohistochemistry (Formalin/PFA-fixed paraffin-embedded sections) - Anti-SRPK2 antibody [EPR16366] - N-terminal (AB192238)
  • IHC-P

Unknown

Immunohistochemistry (Formalin/PFA-fixed paraffin-embedded sections) - Anti-SRPK2 antibody [EPR16366] - N-terminal (AB192238)

Immunohistochemical analysis of paraffin-embedded Human kidney tissue labeling SRPK2 with ab192238 at 1/100 dilution followed by pre-diluted HRP Polymer for Rabbit/Mouse IgG secondary antibody and counter-stained with Hematoxylin. (inset : negative control).

Perform heat mediated antigen retrieval with Tris/EDTA buffer pH 9.0 before commencing with IHC staining protocol.

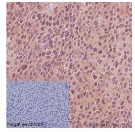
Immunohistochemistry (Formalin/PFA-fixed paraffin-embedded sections) - Anti-SRPK2 antibody [EPR16366] - N-terminal (AB192238)
  • IHC-P

Unknown

Immunohistochemistry (Formalin/PFA-fixed paraffin-embedded sections) - Anti-SRPK2 antibody [EPR16366] - N-terminal (AB192238)

Immunohistochemical analysis of paraffin-embedded Human endometrium adenocarcinoma tissue labeling SRPK2 with ab192238 at 1/100 dilution followed by pre-diluted HRP Polymer for Rabbit/Mouse IgG secondary antibody and counter-stained with Hematoxylin. (inset : negative control).

Perform heat mediated antigen retrieval with Tris/EDTA buffer pH 9.0 before commencing with IHC staining protocol.

Immunocytochemistry/ Immunofluorescence - Anti-SRPK2 antibody [EPR16366] - N-terminal (AB192238)
  • ICC/IF

Lab

Immunocytochemistry/ Immunofluorescence - Anti-SRPK2 antibody [EPR16366] - N-terminal (AB192238)

Immunofluorescent analysis of Neuro-2a cells (4% Paraformaldehyde-fixed 0.1% tritonX-100 permeabilized) labeling SRPK2 with ab192238 at 1/250 dilution (5.4 μg/mL) followed by Goat anti rabbit IgG (AlexaFluor® 488) (ab150077) secondary at 1/200 dilution and counter-stained with DAPI (blue).
Negative controls : anti-SRPK2 at 1/250 dilution Secondary ab (Goat anti mouse IgG (Alexa Fluor®594)) at 1/500 dilution.

Western blot - Anti-SRPK2 antibody [EPR16366] - N-terminal (AB192238)
  • WB

Supplier Data

Western blot - Anti-SRPK2 antibody [EPR16366] - N-terminal (AB192238)

All lanes:

Western blot - Anti-SRPK2 antibody [EPR16366] - N-terminal (ab192238) at 1/1000 dilution

All lanes:

Human fetal kidney tissue lysate at 10 µg

Secondary

All lanes:

Anti-Rabbit IgG (HRP), specific to the non-reduced form of IgG at 1/1000 dilution

Predicted band size: 78 kDa

false

Western blot - Anti-SRPK2 antibody [EPR16366] - N-terminal (AB192238)
  • WB

Supplier Data

Western blot - Anti-SRPK2 antibody [EPR16366] - N-terminal (AB192238)

All lanes:

Western blot - Anti-SRPK2 antibody [EPR16366] - N-terminal (ab192238) at 1/1000 dilution

Lane 1:

HepG2 cell lysate at 10 µg

Lane 2:

HeLa cell lysate at 10 µg

Secondary

All lanes:

Goat Anti-Rabbit IgG, (H+L), Peroxidase conjugate at 1/1000 dilution

Predicted band size: 78 kDa

false

Western blot - Anti-SRPK2 antibody [EPR16366] - N-terminal (AB192238)
  • WB

Supplier Data

Western blot - Anti-SRPK2 antibody [EPR16366] - N-terminal (AB192238)

All lanes:

Western blot - Anti-SRPK2 antibody [EPR16366] - N-terminal (ab192238) at 1/2000 dilution

All lanes:

Human fetal brain lysate at 20 µg

Secondary

All lanes:

Goat Anti-Rabbit IgG, (H+L), Peroxidase conjugate at 1/1000 dilution

Predicted band size: 78 kDa

false

  • Carrier free

    Anti-SRPK2 antibody [EPR16366] - BSA and Azide free

Key facts

Host species

Rabbit

Clonality

Monoclonal

Clone number

EPR16366

Isotype

IgG

Carrier free

No

Reacts with

Mouse, Human

Applications

ICC/IF, WB, IHC-P

applications

Immunogen

The exact immunogen used to generate this antibody is proprietary information.

Reactivity data

{ "title": "Reactivity Data", "filters": { "stats": ["", "Species", "Dilution Info", "Notes"], "tabs": { "all-applications": {"fullname" : "All Applications", "shortname": "All Applications"}, "WB" : {"fullname" : "Western blot", "shortname":"WB"}, "ICCIF" : {"fullname" : "Immunocytochemistry/ Immunofluorescence", "shortname":"ICC/IF"}, "IHCP" : {"fullname" : "Immunohistochemistry (Formalin/PFA-fixed paraffin-embedded sections)", "shortname":"IHC-P"} }, "product-promise": { "all": "all", "testedAndGuaranteed": "tested", "guaranteed": "expected", "predicted": "predicted", "notRecommended": "not-recommended" } }, "values": { "Human": { "WB-species-checked": "testedAndGuaranteed", "WB-species-dilution-info": "1/1000 - 1/2000", "WB-species-notes": "<p></p>", "ICCIF-species-checked": "guaranteed", "ICCIF-species-dilution-info": "", "ICCIF-species-notes": "", "IHCP-species-checked": "testedAndGuaranteed", "IHCP-species-dilution-info": "1/50 - 1/100", "IHCP-species-notes": "<p></p>" }, "Mouse": { "WB-species-checked": "guaranteed", "WB-species-dilution-info": "", "WB-species-notes": "", "ICCIF-species-checked": "testedAndGuaranteed", "ICCIF-species-dilution-info": "1/250", "ICCIF-species-notes": "<p></p>", "IHCP-species-checked": "guaranteed", "IHCP-species-dilution-info": "", "IHCP-species-notes": "" }, "Rat": { "WB-species-checked": "predicted", "WB-species-dilution-info": "", "WB-species-notes": "", "ICCIF-species-checked": "predicted", "ICCIF-species-dilution-info": "", "ICCIF-species-notes": "", "IHCP-species-checked": "predicted", "IHCP-species-dilution-info": "", "IHCP-species-notes": "" } } }

Product details

Patented technology
Our RabMAb® technology is a patented hybridoma-based technology for making rabbit monoclonal antibodies. For details on our patents, please refer to RabMAb® patents.

What are the advantages of a recombinant monoclonal antibody?
This product is a recombinant monoclonal antibody, which offers several advantages including:

  • - High batch-to-batch consistency and reproducibility
  • - Improved sensitivity and specificity
  • - Long-term security of supply
  • - Animal-free batch production

For more information, read more on recombinant antibodies.

Properties and storage information

Form
Liquid
Purification technique
Affinity purification Protein A
Storage buffer
pH: 7.2 - 7.4 Preservative: 0.01% Sodium azide Constituents: PBS, 40% Glycerol (glycerin, glycerine), 0.05% BSA
Shipped at conditions
Blue Ice
Appropriate short-term storage duration
1-2 weeks
Appropriate short-term storage conditions
+4°C
Appropriate long-term storage conditions
-20°C
Aliquoting information
Upon delivery aliquot
Storage information
Avoid freeze / thaw cycle

Product protocols

For this product, it's our understanding that no specific protocols are required. You can visit:

Target data

Serine/arginine-rich protein-specific kinase which specifically phosphorylates its substrates at serine residues located in regions rich in arginine/serine dipeptides, known as RS domains and is involved in the phosphorylation of SR splicing factors and the regulation of splicing (PubMed : 18559500, PubMed : 21056976, PubMed : 9472028). Promotes neuronal apoptosis by up-regulating cyclin-D1 (CCND1) expression (PubMed : 19592491). This is done by the phosphorylation of SRSF2, leading to the suppression of p53/TP53 phosphorylation thereby relieving the repressive effect of p53/TP53 on cyclin-D1 (CCND1) expression (PubMed : 21205200). Phosphorylates ACIN1, and redistributes it from the nuclear speckles to the nucleoplasm, resulting in cyclin A1 but not cyclin A2 up-regulation (PubMed : 18559500). Plays an essential role in spliceosomal B complex formation via the phosphorylation of DDX23/PRP28 (PubMed : 18425142). Probably by phosphorylating DDX23, leads to the suppression of incorrect R-loops formed during transcription; R-loops are composed of a DNA : RNA hybrid and the associated non-template single-stranded DNA (PubMed : 28076779). Can mediate hepatitis B virus (HBV) core protein phosphorylation (PubMed : 12134018). Plays a negative role in the regulation of HBV replication through a mechanism not involving the phosphorylation of the core protein but by reducing the packaging efficiency of the pregenomic RNA (pgRNA) without affecting the formation of the viral core particles (PubMed : 16122776).
See full target information SRPK2

Publications (3)

Recent publications for all applications. Explore the full list and refine your search

The EMBO journal 43:2424-2452 PubMed38714893

2024

A non-canonical role of the inner kinetochore in regulating sister-chromatid cohesion at centromeres.

Applications

Unspecified application

Species

Unspecified reactive species

Lu Yan,Xueying Yuan,Mingjie Liu,Qinfu Chen,Miao Zhang,Junfen Xu,Ling-Hui Zeng,Long Zhang,Jun Huang,Weiguo Lu,Xiaojing He,Haiyan Yan,Fangwei Wang

Frontiers in integrative neuroscience 15:742377 PubMed35153686

2022

SRPK2 Expression and Beta-Amyloid Accumulation Are Associated With BV2 Microglia Activation.

Applications

Unspecified application

Species

Unspecified reactive species

Ziqi Tian,Wenfang Zeng,Cuihuan Yan,Qiang Li,Nan Li,Lin Ruan,Jie Li,Xiaoguang Yao,Si Li

Frontiers in aging neuroscience 11:365 PubMed32082134

2020

Loss of miR-369 Promotes Tau Phosphorylation by Targeting the Fyn and Serine/Threonine-Protein Kinase 2 Signaling Pathways in Alzheimer's Disease Mice.

Applications

Unspecified application

Species

Unspecified reactive species

Xiaoguang Yao,Xiaohui Xian,Mingxing Fang,Shujuan Fan,Wenbin Li
View all publications

Product promise

We are committed to supporting your work with high-quality reagents, and we're here for you every step of the way. In the unlikely event that one of our products does not perform as expected, you're protected by our Product Promise.
For full details, please see our Terms & Conditions

Please note: All products are 'FOR RESEARCH USE ONLY. NOT FOR USE IN DIAGNOSTIC OR THERAPEUTIC PROCEDURES'.

For licensing inquiries, please contact partnerships@abcam.com