JavaScript is disabled in your browser. Please enable JavaScript to view this website.
AB228625

Anti-SRPR alpha antibody

Be the first to review this product! Submit a review

|

(1 Publication)

Rabbit Polyclonal SRPR alpha antibody. Suitable for WB, IHC-P and reacts with Mouse, Human samples. Cited in 1 publication. Immunogen corresponding to Recombinant Fragment Protein within Human SRPRA.

View Alternative Names

SRPR, SRPRA, Signal recognition particle receptor subunit alpha, SR-alpha, Docking protein alpha, DP-alpha

3 Images
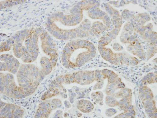
Immunohistochemistry (Formalin/PFA-fixed paraffin-embedded sections) - Anti-SRPR alpha antibody (AB228625)
  • IHC-P

Supplier Data

Immunohistochemistry (Formalin/PFA-fixed paraffin-embedded sections) - Anti-SRPR alpha antibody (AB228625)

Paraffin-embedded human gastric cancer tissue stained for SRPR alpha using ab228625 at 1/100 dilution in immunohistochemical analysis.

Western blot - Anti-SRPR alpha antibody (AB228625)
  • WB

Supplier Data

Western blot - Anti-SRPR alpha antibody (AB228625)

7.5% SDS-PAGE gel.

All lanes:

Western blot - Anti-SRPR alpha antibody (ab228625) at 1/1000 dilution

All lanes:

Mouse liver tissue lysate at 50 µg

Secondary

All lanes:

HRP-conjugated anti-rabbit IgG

Predicted band size: 70 kDa

false

Western blot - Anti-SRPR alpha antibody (AB228625)
  • WB

Supplier Data

Western blot - Anti-SRPR alpha antibody (AB228625)

7.5% SDS-PAGE gel.

All lanes:

Western blot - Anti-SRPR alpha antibody (ab228625) at 1/1000 dilution

Lane 1:

HEK-293T (human epithelial cell line from embryonic kidney transformed with large T antigen) whole cell lysate at 30 µg

Lane 2:

A431 (human epidermoid carcinoma cell line) whole cell lysate at 30 µg

Secondary

All lanes:

HRP-conjugated anti-rabbit IgG

Predicted band size: 70 kDa

false

Key facts

Host species

Rabbit

Clonality

Polyclonal

Isotype

IgG

Carrier free

No

Reacts with

Mouse, Human

Applications

WB, IHC-P

applications

Immunogen

Recombinant Fragment Protein within Human SRPRA. The exact immunogen used to generate this antibody is proprietary information.

P08240

Reactivity data

{ "title": "Reactivity Data", "filters": { "stats": ["", "Species", "Dilution Info", "Notes"], "tabs": { "all-applications": {"fullname" : "All Applications", "shortname": "All Applications"}, "WB" : {"fullname" : "Western blot", "shortname":"WB"}, "IHCP" : {"fullname" : "Immunohistochemistry (Formalin/PFA-fixed paraffin-embedded sections)", "shortname":"IHC-P"} }, "product-promise": { "all": "all", "testedAndGuaranteed": "tested", "guaranteed": "expected", "predicted": "predicted", "notRecommended": "not-recommended" } }, "values": { "Human": { "WB-species-checked": "testedAndGuaranteed", "WB-species-dilution-info": "1/500 - 1/3000", "WB-species-notes": "<p></p>", "IHCP-species-checked": "testedAndGuaranteed", "IHCP-species-dilution-info": "1/100 - 1/1000", "IHCP-species-notes": "<p></p>" }, "Mouse": { "WB-species-checked": "testedAndGuaranteed", "WB-species-dilution-info": "1/500 - 1/3000", "WB-species-notes": "<p></p>", "IHCP-species-checked": "guaranteed", "IHCP-species-dilution-info": "", "IHCP-species-notes": "" }, "Rat": { "WB-species-checked": "predicted", "WB-species-dilution-info": "", "WB-species-notes": "", "IHCP-species-checked": "predicted", "IHCP-species-dilution-info": "", "IHCP-species-notes": "" }, "Chicken": { "WB-species-checked": "predicted", "WB-species-dilution-info": "", "WB-species-notes": "", "IHCP-species-checked": "predicted", "IHCP-species-dilution-info": "", "IHCP-species-notes": "" }, "Cow": { "WB-species-checked": "predicted", "WB-species-dilution-info": "", "WB-species-notes": "", "IHCP-species-checked": "predicted", "IHCP-species-dilution-info": "", "IHCP-species-notes": "" }, "Rhesus monkey": { "WB-species-checked": "predicted", "WB-species-dilution-info": "", "WB-species-notes": "", "IHCP-species-checked": "predicted", "IHCP-species-dilution-info": "", "IHCP-species-notes": "" } } }

Properties and storage information

Form
Liquid
Purification technique
Affinity purification Immunogen
Storage buffer
pH: 7 Preservative: 0.01% Thimerosal (merthiolate) Constituents: 10% Glycerol (glycerin, glycerine), 1.21% Tris, 0.75% Glycine
Shipped at conditions
Blue Ice
Appropriate short-term storage duration
1-2 weeks
Appropriate short-term storage conditions
+4°C
Appropriate long-term storage conditions
-20°C
Aliquoting information
Upon delivery aliquot
Storage information
Avoid freeze / thaw cycle

Product protocols

For this product, it's our understanding that no specific protocols are required. You can visit:

Target data

Component of the signal recognition particle (SRP) complex receptor (SR) (PubMed : 16439358). Ensures, in conjunction with the SRP complex, the correct targeting of the nascent secretory proteins to the endoplasmic reticulum membrane system (PubMed : 16675701, PubMed : 34020957). Forms a guanosine 5'-triphosphate (GTP)-dependent complex with the SRP subunit SRP54 (PubMed : 34020957). SRP receptor compaction and GTPase rearrangement drive SRP-mediated cotranslational protein translocation into the ER (PubMed : 34020957).
See full target information SRPRA

Publications (1)

Recent publications for all applications. Explore the full list and refine your search

Acta pharmaceutica Sinica. B 14:5451-5463 PubMed39807314

2025

Dual alarmin-receptor-specific targeting peptide systems for treatment of sepsis.

Applications

Unspecified application

Species

Unspecified reactive species

Seok-Jun Mun,Euni Cho,Woo Jin Gil,Seong Jae Kim,Hyo Keun Kim,Yu Seong Ham,Chul-Su Yang
View all publications

Product promise

We are committed to supporting your work with high-quality reagents, and we're here for you every step of the way. In the unlikely event that one of our products does not perform as expected, you're protected by our Product Promise.
For full details, please see our Terms & Conditions

Please note: All products are 'FOR RESEARCH USE ONLY. NOT FOR USE IN DIAGNOSTIC OR THERAPEUTIC PROCEDURES'.

For licensing inquiries, please contact partnerships@abcam.com