JavaScript is disabled in your browser. Please enable JavaScript to view this website.
AB198291

Anti-SRSF3 antibody [EPR16976]

5

(6 Reviews)

|

(26 Publications)

Rabbit Recombinant Monoclonal SRSF3 antibody. Suitable for WB, ICC/IF, Flow Cyt (Intra), IHC-P and reacts with Mouse, Rat, Human samples. Cited in 26 publications.

View Alternative Names

SFRS3, SRP20, SRSF3, Serine/arginine-rich splicing factor 3, Pre-mRNA-splicing factor SRP20

9 Images
Immunohistochemistry (Formalin/PFA-fixed paraffin-embedded sections) - Anti-SRSF3 antibody [EPR16976] (AB198291)
  • IHC-P

Supplier Data

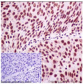
Immunohistochemistry (Formalin/PFA-fixed paraffin-embedded sections) - Anti-SRSF3 antibody [EPR16976] (AB198291)

Immunohistochemical analysis of paraffin-embedded Human cervix carcinoma tissue labeling SRSF3 with ab198291 at 1/500 dilution followed by Goat Anti-Rabbit IgG H&L (HRP) (ab97051) at 1/500 dilution. Nuclear staining on Human cervix carcinoma tissue is observed. Counter stained with Hematoxylin.
Negative control : Used PBS instead of primary ab.

Perform heat mediated antigen retrieval with Tris/EDTA buffer pH 9.0 before commencing with IHC staining protocol.

Immunohistochemistry (Formalin/PFA-fixed paraffin-embedded sections) - Anti-SRSF3 antibody [EPR16976] (AB198291)
  • IHC-P

Supplier Data

Immunohistochemistry (Formalin/PFA-fixed paraffin-embedded sections) - Anti-SRSF3 antibody [EPR16976] (AB198291)

Immunohistochemical analysis of paraffin-embedded Human cerebral cortex tissue labeling SRSF3 with ab198291 at 1/500 dilution followed by Goat Anti-Rabbit IgG H&L (HRP) (ab97051) at 1/500 dilution. Nuclear and weakly cytoplasm staining on Human cerebral cortex tissue is observed. Counter stained with Hematoxylin.
Negative control : Used PBS instead of primary ab.

Perform heat mediated antigen retrieval with Tris/EDTA buffer pH 9.0 before commencing with IHC staining protocol.

Flow Cytometry (Intracellular) - Anti-SRSF3 antibody [EPR16976] (AB198291)
  • Flow Cyt (Intra)

Supplier Data

Flow Cytometry (Intracellular) - Anti-SRSF3 antibody [EPR16976] (AB198291)

Intracellular flow cytometric analysis of 2% paraformaldehyde-fixed Jurkat (Human T Cell Leukemia cells from peripheral blood)labeling SRSF3with ab198291 at 1/440 dilution (red) compared with a Rabbit monoclonal IgG isotype control (black) and an unlabelled control (cells without incubation with primary antibody and secondary antibody; blue). Goat anti rabbit IgG (FITC) at 1/150 dilution was used as the secondary antibody.

Immunohistochemistry (Formalin/PFA-fixed paraffin-embedded sections) - Anti-SRSF3 antibody [EPR16976] (AB198291)
  • IHC-P

Supplier Data

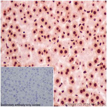
Immunohistochemistry (Formalin/PFA-fixed paraffin-embedded sections) - Anti-SRSF3 antibody [EPR16976] (AB198291)

Immunohistochemical analysis of paraffin-embedded Mouse liver tissue labeling SRSF3 with ab198291 at 1/500 dilution followed by Goat Anti-Rabbit IgG H&L (HRP) (ab97051) at 1/500 dilution. Nuclear and weakly cytoplasm staining on mouse liver tissue is observed. Counter stained with Hematoxylin.
Negative control : Used PBS instead of primary ab.

Perform heat mediated antigen retrieval with Tris/EDTA buffer pH 9.0 before commencing with IHC staining protocol.

Immunocytochemistry/ Immunofluorescence - Anti-SRSF3 antibody [EPR16976] (AB198291)
  • ICC/IF

Lab

Immunocytochemistry/ Immunofluorescence - Anti-SRSF3 antibody [EPR16976] (AB198291)

Immunocytochemistry/Immunofluorescence analysis of PC-12 (Rat adrenal gland pheochromocytoma cell line) labelling SRSF3 with purified ab198291 at 1/500. Cells were fixed with 4% PFA and permeabilized with 0.1% triton X-100. ab150077 Goat anti rabbit IgG (Alexa Fluor® 488) at 1/1000 was used as the secondary antibody. Nuclei were counterstained with DAPI. PBS was used instead of the primary antibody as the negative control.

Western blot - Anti-SRSF3 antibody [EPR16976] (AB198291)
  • WB

Supplier Data

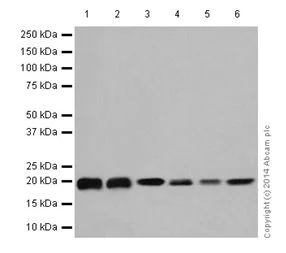
Western blot - Anti-SRSF3 antibody [EPR16976] (AB198291)

Blocking/dilution buffer : 5% NFDM/TBST.

All lanes:

Western blot - Anti-SRSF3 antibody [EPR16976] (ab198291) at 1/5000 dilution

Lane 1:

Jurkat (Human T cell leukemia cells from peripheral blood) whole cell lysate at 20 µg

Lane 2:

HepG2 (Human liver hepatocellular carcinoma) whole cell lysate at 20 µg

Lane 3:

K562 (Human chronic myelogenous leukemia cells from bone marrow) whole cell lysate at 20 µg

Secondary

All lanes:

Goat Anti-Rabbit IgG, (H+L), Peroxidase conjugated at 1/1000 dilution

Predicted band size: 19 kDa

Observed band size: 19 kDa

false

Western blot - Anti-SRSF3 antibody [EPR16976] (AB198291)
  • WB

Lab

Western blot - Anti-SRSF3 antibody [EPR16976] (AB198291)

Blocking and diluting buffer and concentration : 5% NFDM/TBST.

The 20 kDa band size was observed under Tris-Glycine electrophoresis conditions (4–20% Tris-Glycine gradient gel; Tris Glycine running buffer, pH 8.3). Note : Observed molecular weights can vary with electrophoresis systems.

All lanes:

Western blot - Anti-SRSF3 antibody [EPR16976] (ab198291) at 1/5000 dilution

All lanes:

Jurkat (human T cell leukemia T lymphocyte) whole cell lysate at 20 µg

Secondary

All lanes:

Western blot - Goat Anti-Rabbit IgG H&L (HRP) (<a href='/en-us/products/secondary-antibodies/goat-rabbit-igg-h-l-hrp-ab97051'>ab97051</a>) at 1/20000 dilution

Observed band size: 20 kDa

false

Exposure time: 180s

Western blot - Anti-SRSF3 antibody [EPR16976] (AB198291)
  • WB

Lab

Western blot - Anti-SRSF3 antibody [EPR16976] (AB198291)

Blocking and diluting buffer and concentration : 5% NFDM/TBST.

The 25 kDa band size was observed under Bis-Tris electrophoresis conditions (4–12% Bis-Tris gradient gel; MES running buffer, pH 6.5). Note : Observed molecular weights can vary with electrophoresis systems.

All lanes:

Western blot - Anti-SRSF3 antibody [EPR16976] (ab198291) at 1/5000 dilution

All lanes:

Jurkat (human T cell leukemia T lymphocyte) whole cell lysate at 10 µg

Secondary

All lanes:

Goat polyclonal to Rabbit IgG - H&L - Pre-Adsorbed (HRP) at 1/50000 dilution

Observed band size: 25 kDa

false

Exposure time: 30s

Western blot - Anti-SRSF3 antibody [EPR16976] (AB198291)
  • WB

Supplier Data

Western blot - Anti-SRSF3 antibody [EPR16976] (AB198291)

Blocking/dilution buffer : 5% NFDM/TBST.

All lanes:

Western blot - Anti-SRSF3 antibody [EPR16976] (ab198291) at 1/1000 dilution

Lane 1:

Mouse brain lysate at 10 µg

Lane 2:

Rat brain lysate at 10 µg

Lane 3:

C6 (Rat glial tumor) whole cell lysate at 10 µg

Lane 4:

RAW 264.7(Mouse macrophage cells transformed with Abelson murine leukemia virus) whole cell lysate at 10 µg

Lane 5:

PC-12 (Rat adrenal gland pheochromocytoma) whole cell lysate at 10 µg

Lane 6:

NIH/3T3 (Mouse embryo fibroblast cells) whole cell lysate at 10 µg

Secondary

All lanes:

Goat Anti-Rabbit IgG, (H+L), Peroxidase conjugated at 1/1000 dilution

Predicted band size: 19 kDa

Observed band size: 19 kDa

false

  • 519 Alexa Fluor® 488

    Alexa Fluor® 488 Anti-SRSF3 antibody [EPR16976]

  • Carrier free

    Anti-SRSF3 antibody [EPR16976] - BSA and Azide free

  • 578 PE

    PE Anti-SRSF3 antibody [EPR16976]

  • 660 APC

    APC Anti-SRSF3 antibody [EPR16976]

  • 617 Alexa Fluor® 594

    Alexa Fluor® 594 Anti-SFRS3 antibody [EPR16976]

  • 665 Alexa Fluor® 647

    Alexa Fluor® 647 Anti-SFRS3 antibody [EPR16976]

  • 565 Alexa Fluor® 555

    Alexa Fluor® 555 Anti-SFRS3 antibody [EPR16976]

  • 603 Alexa Fluor® 568

    Alexa Fluor® 568 Anti-SFRS3 antibody [EPR16976]

  • HRP

    HRP Anti-SRSF3 antibody [EPR16976]

  • 775 Alexa Fluor® 750

    Alexa Fluor® 750 Anti-SRSF3 antibody [EPR16976]

Key facts

Host species

Rabbit

Clonality

Monoclonal

Clone number

EPR16976

Isotype

IgG

Carrier free

No

Reacts with

Mouse, Rat, Human

Applications

IHC-P, WB, ICC/IF, Flow Cyt (Intra)

applications

Immunogen

The exact immunogen used to generate this antibody is proprietary information.

Reactivity data

{ "title": "Reactivity Data", "filters": { "stats": ["", "Species", "Dilution Info", "Notes"], "tabs": { "all-applications": {"fullname" : "All Applications", "shortname": "All Applications"}, "WB" : {"fullname" : "Western blot", "shortname":"WB"}, "ICCIF" : {"fullname" : "Immunocytochemistry/ Immunofluorescence", "shortname":"ICC/IF"}, "FlowCytIntra" : {"fullname" : "Flow Cytometry (Intracellular)", "shortname":"Flow Cyt (Intra)"}, "IHCP" : {"fullname" : "Immunohistochemistry (Formalin/PFA-fixed paraffin-embedded sections)", "shortname":"IHC-P"} }, "product-promise": { "all": "all", "testedAndGuaranteed": "tested", "guaranteed": "expected", "predicted": "predicted", "notRecommended": "not-recommended" } }, "values": { "Human": { "WB-species-checked": "testedAndGuaranteed", "WB-species-dilution-info": "1/1000", "WB-species-notes": "<p></p>", "ICCIF-species-checked": "guaranteed", "ICCIF-species-dilution-info": "", "ICCIF-species-notes": "", "FlowCytIntra-species-checked": "testedAndGuaranteed", "FlowCytIntra-species-dilution-info": "1/250", "FlowCytIntra-species-notes": "<p><a href='/en-us/products/primary-antibodies/rabbit-igg-monoclonal-epr25a-isotype-control-ab172730'>ab172730</a> - Rabbit monoclonal IgG, is suitable for use as an isotype control with this antibody.</p>", "IHCP-species-checked": "testedAndGuaranteed", "IHCP-species-dilution-info": "1/250", "IHCP-species-notes": "<p></p> Perform heat-mediated antigen retrieval with Tris/EDTA buffer pH 9.0 before commencing with IHC staining protocol." }, "Mouse": { "WB-species-checked": "testedAndGuaranteed", "WB-species-dilution-info": "1/1000", "WB-species-notes": "<p></p>", "ICCIF-species-checked": "guaranteed", "ICCIF-species-dilution-info": "", "ICCIF-species-notes": "", "FlowCytIntra-species-checked": "guaranteed", "FlowCytIntra-species-dilution-info": "", "FlowCytIntra-species-notes": "", "IHCP-species-checked": "testedAndGuaranteed", "IHCP-species-dilution-info": "1/250", "IHCP-species-notes": "<p></p> Perform heat-mediated antigen retrieval with Tris/EDTA buffer pH 9.0 before commencing with IHC staining protocol." }, "Rat": { "WB-species-checked": "testedAndGuaranteed", "WB-species-dilution-info": "1/1000", "WB-species-notes": "<p></p>", "ICCIF-species-checked": "testedAndGuaranteed", "ICCIF-species-dilution-info": "1/500", "ICCIF-species-notes": "<p></p>", "FlowCytIntra-species-checked": "guaranteed", "FlowCytIntra-species-dilution-info": "", "FlowCytIntra-species-notes": "", "IHCP-species-checked": "guaranteed", "IHCP-species-dilution-info": "", "IHCP-species-notes": "" } } }

Product details

Patented technology
Our RabMAb® technology is a patented hybridoma-based technology for making rabbit monoclonal antibodies. For details on our patents, please refer to RabMAb® patents.

What are the advantages of a recombinant monoclonal antibody?
This product is a recombinant monoclonal antibody, which offers several advantages including:

  • - High batch-to-batch consistency and reproducibility
  • - Improved sensitivity and specificity
  • - Long-term security of supply
  • - Animal-free batch production

For more information, read more on recombinant antibodies.

Properties and storage information

Form
Liquid
Purification technique
Affinity purification Protein A
Storage buffer
pH: 7.2 - 7.4 Preservative: 0.01% Sodium azide Constituents: PBS, 40% Glycerol (glycerin, glycerine), 0.05% BSA
Shipped at conditions
Blue Ice
Appropriate short-term storage duration
1-2 weeks
Appropriate short-term storage conditions
+4°C
Appropriate long-term storage conditions
-20°C
Aliquoting information
Upon delivery aliquot
Storage information
Avoid freeze / thaw cycle

Product protocols

For this product, it's our understanding that no specific protocols are required. You can visit:

Target data

Splicing factor, which binds the consensus motif 5'-C[ACU][AU]C[ACU][AC]C-3' within pre-mRNA and promotes specific exons inclusion during alternative splicing (PubMed : 17036044, PubMed : 26876937, PubMed : 32440474). Interaction with YTHDC1, a RNA-binding protein that recognizes and binds N6-methyladenosine (m6A)-containing RNAs, promotes recruitment of SRSF3 to its mRNA-binding elements adjacent to m6A sites within exons (PubMed : 26876937). Also functions as an adapter involved in mRNA nuclear export (PubMed : 11336712, PubMed : 18364396, PubMed : 28984244). Binds mRNA which is thought to be transferred to the NXF1-NXT1 heterodimer for export (TAP/NXF1 pathway); enhances NXF1-NXT1 RNA-binding activity (PubMed : 11336712, PubMed : 18364396). Involved in nuclear export of m6A-containing mRNAs via interaction with YTHDC1 : interaction with YTHDC1 facilitates m6A-containing mRNA-binding to both SRSF3 and NXF1, promoting mRNA nuclear export (PubMed : 28984244).
See full target information SRSF3

Publications (26)

Recent publications for all applications. Explore the full list and refine your search

iScience 28:113113 PubMed40792019

2025

NXF1 suppresses progression of endometrial cancer by interacting with the SRSF3 to regulate SP4 splicing.

Applications

Unspecified application

Species

Unspecified reactive species

Nan Meng,Lingjun Li,Xueqin Yang,Hui Tang,Jizhong Wang,Songbai Zhang,Zongbao Xia,Jia Yao,Qi Zhang,Changrong Hu,Chunjie Su,Rui Duan

Nature communications 15:5237 PubMed38898005

2024

Therapy-induced secretion of spliceosomal components mediates pro-survival crosstalk between ovarian cancer cells.

Applications

Unspecified application

Species

Unspecified reactive species

Victoria O Shender,Ksenia S Anufrieva,Polina V Shnaider,Georgij P Arapidi,Marat S Pavlyukov,Olga M Ivanova,Irina K Malyants,Grigory A Stepanov,Evgenii Zhuravlev,Rustam H Ziganshin,Ivan O Butenko,Olga N Bukato,Ksenia M Klimina,Vladimir A Veselovsky,Tatiana V Grigorieva,Sergey Y Malanin,Olga I Aleshikova,Andrey V Slonov,Nataliya A Babaeva,Lev A Ashrafyan,Elena Khomyakova,Evgeniy G Evtushenko,Maria M Lukina,Zixiang Wang,Artemiy S Silantiev,Anna A Nushtaeva,Daria D Kharlampieva,Vassili N Lazarev,Arseniy I Lashkin,Lorine K Arzumanyan,Irina Yu Petrushanko,Alexander A Makarov,Olga S Lebedeva,Alexandra N Bogomazova,Maria A Lagarkova,Vadim M Govorun

PloS one 19:e0296565 PubMed38781195

2024

Intronic miR-6741-3p targets the oncogene SRSF3: Implications for oral squamous cell carcinoma pathogenesis.

Applications

Unspecified application

Species

Unspecified reactive species

Dhanashree Anil More,Nivedita Singh,Radha Mishra,Harsha Pulakkat Muralidharan,Kodaganur Srinivas Gopinath,Champaka Gopal,Arun Kumar

Journal of advanced research 68:257-270 PubMed38402949

2024

HnRNPR-mediated UPF3B mRNA splicing drives hepatocellular carcinoma metastasis.

Applications

Unspecified application

Species

Unspecified reactive species

Hong Wang,Dong Qian,Jiabei Wang,Yao Liu,Wenguang Luo,Hongyan Zhang,Jingjing Cheng,Heng Li,Yang Wu,Wuhan Li,Jing Wang,Xia Yang,Tianzhi Zhang,Dong Han,Qinyao Wang,Chris Zhiyi Zhang,Lianxin Liu

Nucleic acids research 52:3547-3571 PubMed38214229

2024

A super minigene with a short promoter and truncated introns recapitulates essential features of transcription and splicing regulation of the SMN1 and SMN2 genes.

Applications

Unspecified application

Species

Unspecified reactive species

Eric W Ottesen,Joonbae Seo,Diou Luo,Natalia N Singh,Ravindra N Singh

Developmental neuroscience 46:308-318 PubMed38056432

2023

SRSF3 Alleviates Ischemic Cerebral Infarction Damage by Activating the PI3K/AKT Pathway.

Applications

Unspecified application

Species

Unspecified reactive species

Liangliang Cui,Shuying Zhao,Hong Liu

International journal of molecular sciences 24: PubMed37240097

2023

miR-486 Responds to Apoptosis and Autophagy by Repressing SRSF3 Expression in Ovarian Granulosa Cells of Dairy Goats.

Applications

Unspecified application

Species

Unspecified reactive species

Shujuan Liu,Qiqi Bu,Jiashun Tong,Zhanhang Wang,Jiuzeng Cui,Heran Cao,Haidong Ma,Binyun Cao,Xiaopeng An,Yuxuan Song

Journal of gastroenterology and hepatology 38:634-647 PubMed36807382

2023

Genetic compensation response could exist in colorectal cancer: UPF3A upregulates the oncogenic homologue gene SRSF3 expression corresponding to SRSF6 to promote colorectal cancer metastasis.

Applications

Unspecified application

Species

Unspecified reactive species

Weimin Xu,Weijun Ou,Yuan Feng,Qingru Xu,Yili Yang,Long Cui,Peng Du

International journal of molecular sciences 23: PubMed36499164

2022

SRSF3 and HNRNPH1 Regulate Radiation-Induced Alternative Splicing of Protein Arginine Methyltransferase 5 in Hepatocellular Carcinoma.

Applications

Unspecified application

Species

Unspecified reactive species

Chaowei Wen,Zhujun Tian,Lan Li,Tongke Chen,Huajian Chen,Jichen Dai,Zhenzhen Liang,Shumei Ma,Xiaodong Liu

Nucleic acids research 50:8834-8851 PubMed35947702

2022

Modeling splicing outcome by combining 5'ss strength and splicing regulatory elements.

Applications

Unspecified application

Species

Unspecified reactive species

Lisa Müller,Johannes Ptok,Azlan Nisar,Jennifer Antemann,Ramona Grothmann,Frank Hillebrand,Anna-Lena Brillen,Anastasia Ritchie,Stephan Theiss,Heiner Schaal
View all publications

Product promise

We are committed to supporting your work with high-quality reagents, and we're here for you every step of the way. In the unlikely event that one of our products does not perform as expected, you're protected by our Product Promise.
For full details, please see our Terms & Conditions

Please note: All products are 'FOR RESEARCH USE ONLY. NOT FOR USE IN DIAGNOSTIC OR THERAPEUTIC PROCEDURES'.

For licensing inquiries, please contact partnerships@abcam.com