JavaScript is disabled in your browser. Please enable JavaScript to view this website.
AB254405

Anti-SS18 antibody [EPR23636-98]

Be the first to review this product! Submit a review

|

(0 Publication)

Rabbit Recombinant Monoclonal SS18 antibody. Suitable for IP, WB, IHC-P and reacts with Human, Mouse, Rat samples.

View Alternative Names

SSXT, SYT, SS18, Protein SSXT, Protein SYT, Synovial sarcoma translocated to X chromosome protein

7 Images
Immunohistochemistry (Formalin/PFA-fixed paraffin-embedded sections) - Anti-SS18 antibody [EPR23636-98] (AB254405)
  • IHC-P

Supplier Data

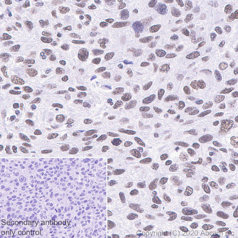
Immunohistochemistry (Formalin/PFA-fixed paraffin-embedded sections) - Anti-SS18 antibody [EPR23636-98] (AB254405)

Immunohistochemical analysis of paraffin-embedded Human cervical carcinoma tissue labeling SS18 with ab254405 at 1/5000 (5.73 ug/ml) dilution followed by a ready to use Goat Anti-Rabbit IgG H&L (HRP). Nuclear staining in human cervical carcinoma. Counterstained with Hematoxylin.

Secondary antibody only control : Secondary antibody is a ready to use Goat Anti-Rabbit IgG H&L (HRP).

Heat mediated antigen retrieval using ab93684 (Tris/EDTA buffer, pH 9.0).

Immunohistochemistry (Formalin/PFA-fixed paraffin-embedded sections) - Anti-SS18 antibody [EPR23636-98] (AB254405)
  • IHC-P

Supplier Data

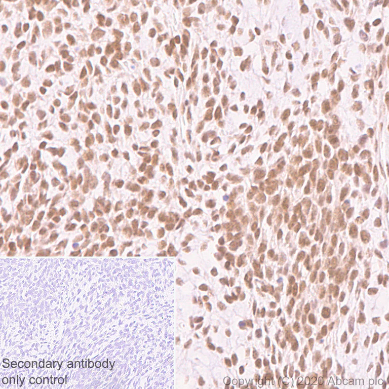
Immunohistochemistry (Formalin/PFA-fixed paraffin-embedded sections) - Anti-SS18 antibody [EPR23636-98] (AB254405)

Immunohistochemical analysis of paraffin-embedded Human synovial sarcoma tissue labeling SS18 with ab254405 at 1/5000 (5.73 ug/ml) dilution followed by a ready to use Goat Anti-Rabbit IgG H&L (HRP). Nuclear staining in Human synovial sarcoma (PMID : 27120803). Counterstained with Hematoxylin.

Secondary antibody only control : Secondary antibody is a ready to use Goat Anti-Rabbit IgG H&L (HRP).

Heat mediated antigen retrieval using ab93684 (Tris/EDTA buffer, pH 9.0).

Immunoprecipitation - Anti-SS18 antibody [EPR23636-98] (AB254405)
  • IP

Supplier Data

Immunoprecipitation - Anti-SS18 antibody [EPR23636-98] (AB254405)

SS18 was immunoprecipitated from 0.35 mg HeLa (human cervix adenocarcinoma epithelial cell) whole cell lysate with ab254405 at 1/30 dilution (2ug in 0.35mg lysates). Western blot was performed on the immunoprecipitate using ab254405 at 1/1000 dilution. VeriBlot for IP Detection Reagent (HRP)(ab131366) was used at 1/5000 dilution.

Lane 1 : HeLa (human cervix adenocarcinoma epithelial cell) whole cell lysate 10 ug

Lane 2 : ab254405 IP in HeLa whole cell lysate

Lane 3 : Rabbit monoclonal IgG (ab172730) instead of ab254405 in HeLa whole cell lysate

Blocking and dilution buffer and concentration : 5% NFDM/TBST.

Exposure time : 6 seconds.

Lysates were made freshly and used in WB test immediately to minimize protein degradation.

All lanes:

Immunoprecipitation - Anti-SS18 antibody [EPR23636-98] (ab254405)

Predicted band size: 46 kDa

Observed band size: 45 kDa,55 kDa

false

Immunohistochemistry (Formalin/PFA-fixed paraffin-embedded sections) - Anti-SS18 antibody [EPR23636-98] (AB254405)
  • IHC-P

Supplier Data

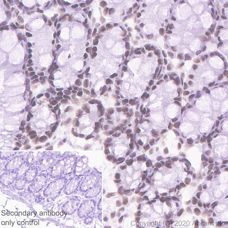
Immunohistochemistry (Formalin/PFA-fixed paraffin-embedded sections) - Anti-SS18 antibody [EPR23636-98] (AB254405)

Immunohistochemical analysis of paraffin-embedded Mouse colon tissue labeling SS18 with ab254405 at 1/5000 (5.73 ug/ml) dilution followed by a ready to use Goat Anti-Rabbit IgG H&L (HRP). Nuclear staining in mouse colon. Counterstained with Hematoxylin.

Secondary antibody only control : Secondary antibody is a ready to use Goat Anti-Rabbit IgG H&L (HRP).

Heat mediated antigen retrieval using ab93684 (Tris/EDTA buffer, pH 9.0).

Immunohistochemistry (Formalin/PFA-fixed paraffin-embedded sections) - Anti-SS18 antibody [EPR23636-98] (AB254405)
  • IHC-P

Supplier Data

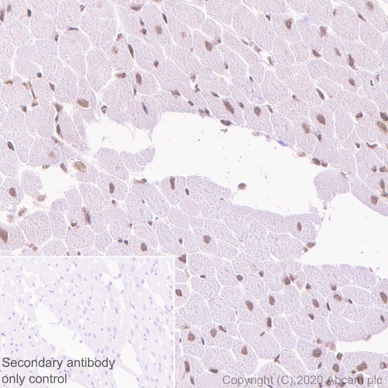
Immunohistochemistry (Formalin/PFA-fixed paraffin-embedded sections) - Anti-SS18 antibody [EPR23636-98] (AB254405)

Immunohistochemical analysis of paraffin-embedded Rat cardiac muscle tissue labeling SS18 with ab254405 at 1/5000 (5.73 ug/ml) dilution followed by a ready to use Goat Anti-Rabbit IgG H&L (HRP). Nuclear staining in rat cardiac muscle. Counterstained with Hematoxylin.

Secondary antibody only control : Secondary antibody is a ready to use Goat Anti-Rabbit IgG H&L (HRP).

Heat mediated antigen retrieval using ab93684 (Tris/EDTA buffer, pH 9.0).

Western blot - Anti-SS18 antibody [EPR23636-98] (AB254405)
  • WB

Lab

Western blot - Anti-SS18 antibody [EPR23636-98] (AB254405)

False colour image of Western blot : Anti-SS18 antibody [EPR23636-98] staining at 1/1000 dilution, shown in green; Mouse anti-GAPDH antibody [6C5] (ab8245) loading control staining at 1/20000 dilution, shown in red. In Western blot, ab254405 was shown to bind specifically to SS18. A band was observed at 51/56 kDa in wild-type HeLa cell lysates with no signal observed at this size in SS18 knockout cell line ab265493 (knockout cell lysate ab259156). To generate this image, wild-type and SS18 knockout HeLa cell lysates were analysed. First, samples were run on an SDS-PAGE gel then transferred onto a nitrocellulose membrane. Membranes were blocked in 3 % milk in TBS-0.1 % Tween® 20 (TBS-T) before incubation with primary antibodies overnight at 4 °C. Blots were washed four times in TBS-T, incubated with secondary antibodies for 1 h at room temperature, washed again four times then imaged. Secondary antibodies used were Goat anti-Rabbit IgG H&L (IRDye® 800CW) preabsorbed (ab216773) and Goat anti-Mouse IgG H&L (IRDye® 680RD) preabsorbed (ab216776) at 1/20000 dilution.

All lanes:

Western blot - Anti-SS18 antibody [EPR23636-98] (ab254405) at 1/1000 dilution

Lane 1:

Wild-type HeLa cell lysate at 20 µg

Lane 2:

SS18 knockout HeLa cell lysate at 20 µg

Lane 2:

Western blot - Human SS18 knockout HeLa cell line (<a href='/en-us/products/cell-lines/human-ss18-knockout-hela-cell-line-ab265493'>ab265493</a>)

Lane 3:

HEK-293 cell lysate at 20 µg

Lane 4:

MCF7 cell lysate at 20 µg

Predicted band size: 46 kDa

Observed band size: 51 kDa,56 kDa

false

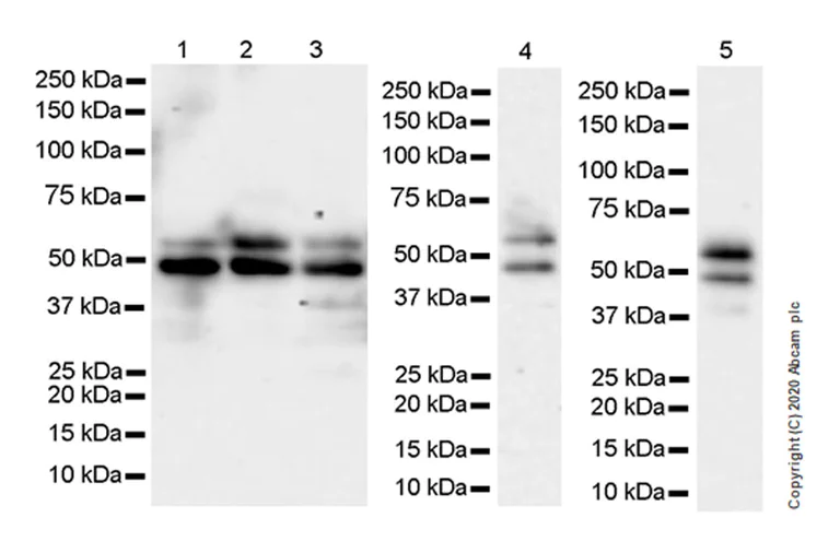
Western blot - Anti-SS18 antibody [EPR23636-98] (AB254405)
  • WB

Lab

Western blot - Anti-SS18 antibody [EPR23636-98] (AB254405)

Blocking and diluting buffer and concentration : 5% NFDM/TBST.

The molecular weight observed is consistent with what has been described in the literature (PMID : 23540691;29374058)

Lysates were made freshly and used in WB test immediately to minimize protein degradation.

Exposure times : Lanes 1-3 : 59 seconds; Lane 4 : 3 minutes; Lane 5 : 59 seconds.

All lanes:

Western blot - Anti-SS18 antibody [EPR23636-98] (ab254405) at 1/1000 dilution

Lane 1:

HeLa (human cervix adenocarcinoma epithelial cell) whole cell lysate at 20 µg

Lane 2:

HEK-293T (human embryonic kidney epithelial cell) whole cell lysate at 20 µg

Lane 3:

NIH/3T3 (mouse embryonic fibroblast) whole cell lysate at 20 µg

Lane 4:

C6 (rat glial tumor glial cell) whole cell lysate at 20 µg

Lane 5:

Neuro-2a (mouse neuroblastoma neuroblast) whole cell lysate at 20 µg

Secondary

All lanes:

Goat Anti-Rabbit IgG, (H+L), Peroxidase conjugated (<a href='/en-us/products/secondary-antibodies/goat-rabbit-igg-h-l-hrp-ab97051'>ab97051</a>) at 1/20000 dilution

Predicted band size: 46 kDa

Observed band size: 45 kDa,55 kDa

false

  • Carrier free

    Anti-SS18 antibody [EPR23636-98] - BSA and Azide free

Key facts

Host species

Rabbit

Clonality

Monoclonal

Clone number

EPR23636-98

Isotype

IgG

Carrier free

No

Reacts with

Mouse, Rat, Human

Applications

IHC-P, IP, WB

applications

Immunogen

The exact immunogen used to generate this antibody is proprietary information.

Reactivity data

{ "title": "Reactivity Data", "filters": { "stats": ["", "Species", "Dilution Info", "Notes"], "tabs": { "all-applications": {"fullname" : "All Applications", "shortname": "All Applications"}, "ICCIF" : {"fullname" : "Immunocytochemistry/ Immunofluorescence", "shortname":"ICC/IF"}, "IP" : {"fullname" : "Immunoprecipitation", "shortname":"IP"}, "FlowCyt" : {"fullname" : "Flow Cytometry", "shortname":"Flow Cyt"}, "WB" : {"fullname" : "Western blot", "shortname":"WB"}, "IHCP" : {"fullname" : "Immunohistochemistry (Formalin/PFA-fixed paraffin-embedded sections)", "shortname":"IHC-P"} }, "product-promise": { "all": "all", "testedAndGuaranteed": "tested", "guaranteed": "expected", "predicted": "predicted", "notRecommended": "not-recommended" } }, "values": { "Human": { "ICCIF-species-checked": "notRecommended", "ICCIF-species-dilution-info": "", "ICCIF-species-notes": "<p></p>", "IP-species-checked": "testedAndGuaranteed", "IP-species-dilution-info": "1/30", "IP-species-notes": "<p></p>", "FlowCyt-species-checked": "notRecommended", "FlowCyt-species-dilution-info": "", "FlowCyt-species-notes": "<p></p>", "WB-species-checked": "testedAndGuaranteed", "WB-species-dilution-info": "1/1000", "WB-species-notes": "<p></p>", "IHCP-species-checked": "testedAndGuaranteed", "IHCP-species-dilution-info": "1/5000", "IHCP-species-notes": "<p></p> Perform heat-mediated antigen retrieval with Tris/EDTA buffer pH 9.0 before commencing with IHC staining protocol." }, "Mouse": { "ICCIF-species-checked": "notRecommended", "ICCIF-species-dilution-info": "", "ICCIF-species-notes": "<p></p>", "IP-species-checked": "guaranteed", "IP-species-dilution-info": "", "IP-species-notes": "", "FlowCyt-species-checked": "notRecommended", "FlowCyt-species-dilution-info": "", "FlowCyt-species-notes": "<p></p>", "WB-species-checked": "testedAndGuaranteed", "WB-species-dilution-info": "1/1000", "WB-species-notes": "<p></p>", "IHCP-species-checked": "testedAndGuaranteed", "IHCP-species-dilution-info": "1/5000", "IHCP-species-notes": "<p></p> Perform heat-mediated antigen retrieval with Tris/EDTA buffer pH 9.0 before commencing with IHC staining protocol." }, "Rat": { "ICCIF-species-checked": "notRecommended", "ICCIF-species-dilution-info": "", "ICCIF-species-notes": "<p></p>", "IP-species-checked": "guaranteed", "IP-species-dilution-info": "", "IP-species-notes": "", "FlowCyt-species-checked": "notRecommended", "FlowCyt-species-dilution-info": "", "FlowCyt-species-notes": "<p></p>", "WB-species-checked": "testedAndGuaranteed", "WB-species-dilution-info": "1/1000", "WB-species-notes": "<p></p>", "IHCP-species-checked": "testedAndGuaranteed", "IHCP-species-dilution-info": "1/5000", "IHCP-species-notes": "<p></p> Perform heat-mediated antigen retrieval with Tris/EDTA buffer pH 9.0 before commencing with IHC staining protocol." } } }

Product details

Patented technology
Our RabMAb® technology is a patented hybridoma-based technology for making rabbit monoclonal antibodies. For details on our patents, please refer to RabMAb® patents.

What are the advantages of a recombinant monoclonal antibody?
This product is a recombinant monoclonal antibody, which offers several advantages including:

  • - High batch-to-batch consistency and reproducibility
  • - Improved sensitivity and specificity
  • - Long-term security of supply
  • - Animal-free batch production

For more information, read more on recombinant antibodies.

Properties and storage information

Form
Liquid
Purification technique
Affinity purification Protein A
Storage buffer
Preservative: 0.01% Sodium azide Constituents: PBS, 40% Glycerol (glycerin, glycerine), 0.05% BSA
Shipped at conditions
Blue Ice
Appropriate short-term storage duration
1-2 weeks
Appropriate short-term storage conditions
+4°C
Appropriate long-term storage conditions
-20°C
Aliquoting information
Upon delivery aliquot
Storage information
Avoid freeze / thaw cycle

Product protocols

For this product, it's our understanding that no specific protocols are required. You can visit:

Target data

Appears to function synergistically with RBM14 as a transcriptional coactivator. Isoform 1 and isoform 2 function in nuclear receptor coactivation. Isoform 1 and isoform 2 function in general transcriptional coactivation. Component of SWI/SNF chromatin remodeling subcomplex GBAF that carries out key enzymatic activities, changing chromatin structure by altering DNA-histone contacts within a nucleosome in an ATP-dependent manner (PubMed : 29374058).
See full target information SS18

Product promise

We are committed to supporting your work with high-quality reagents, and we're here for you every step of the way. In the unlikely event that one of our products does not perform as expected, you're protected by our Product Promise.
For full details, please see our Terms & Conditions

Please note: All products are 'FOR RESEARCH USE ONLY. NOT FOR USE IN DIAGNOSTIC OR THERAPEUTIC PROCEDURES'.

For licensing inquiries, please contact partnerships@abcam.com