JavaScript is disabled in your browser. Please enable JavaScript to view this website.
AB254406

Anti-SS18-SSX Fusion Protein antibody [EPR24159-81]

  • BOND RX™ Validated
  • 20ul selling size
  • RabMAb
  • Recombinant
  • What is this?

Be the first to review this product! Submit a review

|

(0 Publication)

Rabbit Recombinant Monoclonal CGB2 antibody. Suitable for IHC-P, Dot, Flow Cyt (Intra) and reacts with Human, Transfected cell line, Synthetic peptide - Human samples.

View Alternative Names

Choriogonadotropin subunit beta variant 2, CGB2

7 Images
Immunohistochemistry (Formalin/PFA-fixed paraffin-embedded sections) - Anti-SS18-SSX Fusion Protein antibody [EPR24159-81] (AB254406)
  • IHC-P

Supplier Data

Immunohistochemistry (Formalin/PFA-fixed paraffin-embedded sections) - Anti-SS18-SSX Fusion Protein antibody [EPR24159-81] (AB254406)

Immunohistochemical analysis of paraffin-embedded human kidney tissue labeling SS18-SSX Fusion Protein with ab254406 at 1/5000 (0.118 μg/ml) followed by LeicaDS9800 (Bond™ Polymer Refine Detection). The section was incubated with ab254406 for 30 mins at room temperature. The immunostaining was performed on a Leica Biosystems BOND® RX instrument. Counterstained with Hematoxylin.
Negative control : No staining on human kidney.
Heat mediated antigen retrieval with Citrate buffer (pH 6.0, epitope retrieval solution 1) for 20 mins.

Flow Cytometry (Intracellular) - Anti-SS18-SSX Fusion Protein antibody [EPR24159-81] (AB254406)
  • Flow Cyt (Intra)

Supplier Data

Flow Cytometry (Intracellular) - Anti-SS18-SSX Fusion Protein antibody [EPR24159-81] (AB254406)

Flow Cytometry analysis of 4% paraformaldehyde-fixed, 90% methanol-permeabilized HEK-293T (Human embryonic kidney epithelial cell) transfected with myc-tagged SSX18-SSX2 fusion construct (right panel) stained for SS18-SSX Fusion Protein using ab254406 at a 1/5000 dilution (0.01 μg), followed by Goat anti rabbit IgG (Alexa Fluor® 488, ab150077) at a 1/2000 dilution.

Isotype control (left panel) is Rabbit monoclonal IgG (ab172730).

Immunohistochemistry (Formalin/PFA-fixed paraffin-embedded sections) - Anti-SS18-SSX Fusion Protein antibody [EPR24159-81] (AB254406)
  • IHC-P

Supplier Data

Immunohistochemistry (Formalin/PFA-fixed paraffin-embedded sections) - Anti-SS18-SSX Fusion Protein antibody [EPR24159-81] (AB254406)

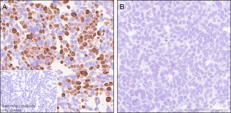
Immunohistochemical analysis of paraffin-embedded (Panel A) HEK-293T (human epithelial cell line from embryonic kidney transformed with large T antigen) transfected with SSXT-SSX2 labeled 6X His tag and (Panel B) HEK-293T (human epithelial cell line from embryonic kidney transformed with large T antigen) transfected with an empty plasmid. labeling SS18-SSX Fusion Protein with ab254406 at 1/5000 (0.118 μg/ml) followed by LeicaDS9800 (Bond™ Polymer Refine Detection). The section was incubated with ab254406 for 30 mins at room temperature. The immunostaining was performed on a Leica Biosystems BOND® RX instrument. Counterstained with Hematoxylin.
Nuclear staining on (A) HEK-293T transfected with SSXT-SSX2 labeled 6X His tag, no staining on (B) HEK-293T transfected with an empty plasmid.
Heat mediated antigen retrieval with Citrate buffer (pH 6.0, epitope retrieval solution 1) for 20 mins.

Immunohistochemistry (Formalin/PFA-fixed paraffin-embedded sections) - Anti-SS18-SSX Fusion Protein antibody [EPR24159-81] (AB254406)
  • IHC-P

Supplier Data

Immunohistochemistry (Formalin/PFA-fixed paraffin-embedded sections) - Anti-SS18-SSX Fusion Protein antibody [EPR24159-81] (AB254406)

Immunohistochemical analysis of paraffin-embedded human stomach tissue labeling SS18-SSX Fusion Protein with ab254406 at 1/5000 (0.118 μg/ml) followed by LeicaDS9800 (Bond™ Polymer Refine Detection). The section was incubated with ab254406 for 30 mins at room temperature. The immunostaining was performed on a Leica Biosystems BOND® RX instrument. Counterstained with Hematoxylin.
Negative control : No staining on human stomach.
Heat mediated antigen retrieval with Citrate buffer (pH 6.0, epitope retrieval solution 1) for 20 mins.

Immunohistochemistry (Formalin/PFA-fixed paraffin-embedded sections) - Anti-SS18-SSX Fusion Protein antibody [EPR24159-81] (AB254406)
  • IHC-P

Supplier Data

Immunohistochemistry (Formalin/PFA-fixed paraffin-embedded sections) - Anti-SS18-SSX Fusion Protein antibody [EPR24159-81] (AB254406)

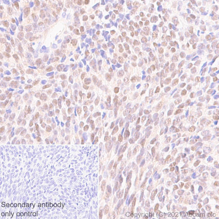
Immunohistochemical analysis of paraffin-embedded human synovial sarcoma tissue labeling SS18-SSX Fusion Protein with ab254406 at 1/5000 (0.118 μg/ml) followed by LeicaDS9800 (Bond™ Polymer Refine Detection). The section was incubated with ab254406 for 30 mins at room temperature. The immunostaining was performed on a Leica Biosystems BOND® RX instrument. Counterstained with Hematoxylin.
Nuclear staining on human synovial sarcoma (PMID : 32141887).
Heat mediated antigen retrieval with Citrate buffer (pH 6.0, epitope retrieval solution 1) for 20 mins.

Flow Cytometry (Intracellular) - Anti-SS18-SSX Fusion Protein antibody [EPR24159-81] (AB254406)
  • Flow Cyt (Intra)

Supplier Data

Flow Cytometry (Intracellular) - Anti-SS18-SSX Fusion Protein antibody [EPR24159-81] (AB254406)

Flow Cytometry analysis of 4% paraformaldehyde-fixed, 90% methanol-permeabilized HEK-293T (Human embryonic kidney epithelial cell) transfected with myc tagged non-fused SS18+SSX1+SSX2+SSX4 constructs (right panel) stained for SS18-SSX Fusion Protein using ab254406 at a 1/5000 dilution (0.01 μg), followed by Goat anti rabbit IgG (Alexa Fluor® 488, ab150077) at a 1/2000 dilution.

Isotype control (left panel) is Rabbit monoclonal IgG (ab172730).

Dot Blot - Anti-SS18-SSX Fusion Protein antibody [EPR24159-81] (AB254406)
  • Dot

Supplier Data

Dot Blot - Anti-SS18-SSX Fusion Protein antibody [EPR24159-81] (AB254406)

Dot Blot - Anti-SS18-SSX Fusion Protein antibody [EPR24159-81] (ab254406 used at a 1/1000 dilution (0.592 μg/ml)).

Lane 1 : Human SS18 + SSX(1/2/4) fusion peptide

Lane 2 : Human SS18 peptide

Lane 3 : Human SSX(1/2/4) peptide

Blocking/Dilution buffer : 5% NFDM/TBST.

Secondary : Goat Anti-Rabbit IgG, (H+L), Peroxidase conjugated (ab97051) at a 1/100000 dilution.

Exposure time is 3 mins.

Key facts

Host species

Rabbit

Clonality

Monoclonal

Clone number

EPR24159-81

Isotype

IgG

Carrier free

No

Reacts with

Human

Applications

IHC-P, Dot, Flow Cyt (Intra)

applications

Immunogen

The exact immunogen used to generate this antibody is proprietary information.

Reactivity data

{ "title": "Reactivity Data", "filters": { "stats": ["", "Species", "Dilution Info", "Notes"], "tabs": { "all-applications": {"fullname" : "All Applications", "shortname": "All Applications"}, "IHCP" : {"fullname" : "Immunohistochemistry (Formalin/PFA-fixed paraffin-embedded sections)", "shortname":"IHC-P"}, "Dot" : {"fullname" : "Dot Blot", "shortname":"Dot"}, "FlowCytIntra" : {"fullname" : "Flow Cytometry (Intracellular)", "shortname":"Flow Cyt (Intra)"}, "WB" : {"fullname" : "Western blot", "shortname":"WB"}, "ICCIF" : {"fullname" : "Immunocytochemistry/ Immunofluorescence", "shortname":"ICC/IF"}, "IP" : {"fullname" : "Immunoprecipitation", "shortname":"IP"} }, "product-promise": { "all": "all", "testedAndGuaranteed": "tested", "guaranteed": "expected", "predicted": "predicted", "notRecommended": "not-recommended" } }, "values": { "Human": { "IHCP-species-checked": "testedAndGuaranteed", "IHCP-species-dilution-info": "1/5000", "IHCP-species-notes": "<p></p>", "Dot-species-checked": "guaranteed", "Dot-species-dilution-info": "", "Dot-species-notes": "", "FlowCytIntra-species-checked": "guaranteed", "FlowCytIntra-species-dilution-info": "", "FlowCytIntra-species-notes": "", "WB-species-checked": "notRecommended", "WB-species-dilution-info": "", "WB-species-notes": "<p></p>", "ICCIF-species-checked": "notRecommended", "ICCIF-species-dilution-info": "", "ICCIF-species-notes": "<p></p>", "IP-species-checked": "notRecommended", "IP-species-dilution-info": "", "IP-species-notes": "<p></p>" }, "Mouse": { "IHCP-species-checked": "notRecommended", "IHCP-species-dilution-info": "1/5000", "IHCP-species-notes": "<p></p>", "Dot-species-checked": "notRecommended", "Dot-species-dilution-info": "", "Dot-species-notes": "", "FlowCytIntra-species-checked": "notRecommended", "FlowCytIntra-species-dilution-info": "", "FlowCytIntra-species-notes": "", "WB-species-checked": "notRecommended", "WB-species-dilution-info": "", "WB-species-notes": "<p></p>", "ICCIF-species-checked": "notRecommended", "ICCIF-species-dilution-info": "", "ICCIF-species-notes": "", "IP-species-checked": "notRecommended", "IP-species-dilution-info": "", "IP-species-notes": "" }, "Rat": { "IHCP-species-checked": "notRecommended", "IHCP-species-dilution-info": "1/5000", "IHCP-species-notes": "<p></p>", "Dot-species-checked": "notRecommended", "Dot-species-dilution-info": "", "Dot-species-notes": "", "FlowCytIntra-species-checked": "notRecommended", "FlowCytIntra-species-dilution-info": "", "FlowCytIntra-species-notes": "", "WB-species-checked": "notRecommended", "WB-species-dilution-info": "", "WB-species-notes": "<p></p>", "ICCIF-species-checked": "notRecommended", "ICCIF-species-dilution-info": "", "ICCIF-species-notes": "", "IP-species-checked": "notRecommended", "IP-species-dilution-info": "", "IP-species-notes": "" }, "Synthetic peptide - Human": { "IHCP-species-checked": "notRecommended", "IHCP-species-dilution-info": "", "IHCP-species-notes": "", "Dot-species-checked": "testedAndGuaranteed", "Dot-species-dilution-info": "1/1000", "Dot-species-notes": "<p></p>", "FlowCytIntra-species-checked": "notRecommended", "FlowCytIntra-species-dilution-info": "", "FlowCytIntra-species-notes": "", "WB-species-checked": "notRecommended", "WB-species-dilution-info": "", "WB-species-notes": "", "ICCIF-species-checked": "notRecommended", "ICCIF-species-dilution-info": "", "ICCIF-species-notes": "", "IP-species-checked": "notRecommended", "IP-species-dilution-info": "", "IP-species-notes": "" }, "Transfected cell line": { "IHCP-species-checked": "testedAndGuaranteed", "IHCP-species-dilution-info": "1/5000", "IHCP-species-notes": "<p></p>", "Dot-species-checked": "notRecommended", "Dot-species-dilution-info": "", "Dot-species-notes": "", "FlowCytIntra-species-checked": "testedAndGuaranteed", "FlowCytIntra-species-dilution-info": "1/5000", "FlowCytIntra-species-notes": "<p></p>", "WB-species-checked": "notRecommended", "WB-species-dilution-info": "", "WB-species-notes": "", "ICCIF-species-checked": "notRecommended", "ICCIF-species-dilution-info": "", "ICCIF-species-notes": "", "IP-species-checked": "notRecommended", "IP-species-dilution-info": "", "IP-species-notes": "" } } }

Product details

Patented technology
Our RabMAb® technology is a patented hybridoma-based technology for making rabbit monoclonal antibodies. For details on our patents, please refer to RabMAb® patents.

What are the advantages of a recombinant monoclonal antibody?
This product is a recombinant monoclonal antibody, which offers several advantages including:

  • - High batch-to-batch consistency and reproducibility
  • - Improved sensitivity and specificity
  • - Long-term security of supply
  • - Animal-free batch production

For more information, read more on recombinant antibodies.

Properties and storage information

Form
Liquid
Purification technique
Affinity purification Protein A
Storage buffer
Preservative: 0.01% Sodium azide Constituents: PBS, 40% Glycerol (glycerin, glycerine), 0.05% BSA
Shipped at conditions
Blue Ice
Appropriate short-term storage duration
1-2 weeks
Appropriate short-term storage conditions
+4°C
Appropriate long-term storage conditions
-20°C
Aliquoting information
Upon delivery aliquot
Storage information
Avoid freeze / thaw cycle

Product protocols

For this product, it's our understanding that no specific protocols are required. You can visit:

Target data

See full target information CGB2

Additional targets

SS18

Product promise

We are committed to supporting your work with high-quality reagents, and we're here for you every step of the way. In the unlikely event that one of our products does not perform as expected, you're protected by our Product Promise.
For full details, please see our Terms & Conditions

Please note: All products are 'FOR RESEARCH USE ONLY. NOT FOR USE IN DIAGNOSTIC OR THERAPEUTIC PROCEDURES'.

For licensing inquiries, please contact partnerships@abcam.com