JavaScript is disabled in your browser. Please enable JavaScript to view this website.
AB281565

Anti-SS18-SSX Fusion Protein antibody [EPR24159-81] - BSA and Azide free

Be the first to review this product! Submit a review

|

(0 Publication)

Rabbit Recombinant Monoclonal CGB2 antibody. Carrier free. Suitable for IHC-P, Dot, Flow Cyt (Intra) and reacts with Human, Transfected cell line samples.

View Alternative Names

Choriogonadotropin subunit beta variant 2, CGB2

7 Images
Immunohistochemistry (Formalin/PFA-fixed paraffin-embedded sections) - Anti-SS18-SSX Fusion Protein antibody [EPR24159-81] - BSA and Azide free (AB281565)
  • IHC-P

Supplier Data

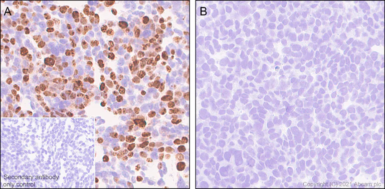
Immunohistochemistry (Formalin/PFA-fixed paraffin-embedded sections) - Anti-SS18-SSX Fusion Protein antibody [EPR24159-81] - BSA and Azide free (AB281565)

This image was produced using ab254406 the same clone but in a different formulation.

Immunohistochemical analysis of paraffin-embedded human synovial sarcoma tissue labeling SS18-SSX Fusion Protein with ab254406 at 1/5000 (0.118 μg/ml) followed by LeicaDS9800 (Bond™ Polymer Refine Detection). The section was incubated with ab254406 for 30 mins at room temperature. The immunostaining was performed on a Leica Biosystems BOND® RX instrument. Counterstained with Hematoxylin.
Nuclear staining on human synovial sarcoma (PMID : 32141887).
Heat mediated antigen retrieval with Citrate buffer (pH 6.0, epitope retrieval solution 1) for 20 mins.

Flow Cytometry (Intracellular) - Anti-SS18-SSX Fusion Protein antibody [EPR24159-81] - BSA and Azide free (AB281565)
  • Flow Cyt (Intra)

Supplier Data

Flow Cytometry (Intracellular) - Anti-SS18-SSX Fusion Protein antibody [EPR24159-81] - BSA and Azide free (AB281565)

This image was produced using ab254406 the same clone but in a different formulation.

Flow Cytometry analysis of 4% paraformaldehyde-fixed, 90% methanol-permeabilized HEK-293T (Human embryonic kidney epithelial cell) transfected with myc tagged non-fused SS18+SSX1+SSX2+SSX4 constructs (right panel) stained for SS18-SSX Fusion Protein using ab254406 at a 1/5000 dilution (0.01 μg), followed by Goat anti rabbit IgG (Alexa Fluor® 488, ab150077) at a 1/2000 dilution.

Isotype control (left panel) is Rabbit monoclonal IgG (ab172730).

Flow Cytometry (Intracellular) - Anti-SS18-SSX Fusion Protein antibody [EPR24159-81] - BSA and Azide free (AB281565)
  • Flow Cyt (Intra)

Supplier Data

Flow Cytometry (Intracellular) - Anti-SS18-SSX Fusion Protein antibody [EPR24159-81] - BSA and Azide free (AB281565)

This image was produced using ab254406 the same clone but in a different formulation.

Flow Cytometry analysis of 4% paraformaldehyde-fixed, 90% methanol-permeabilized HEK-293T (Human embryonic kidney epithelial cell) transfected with myc-tagged SSX18-SSX2 fusion construct (right panel) stained for SS18-SSX Fusion Protein using ab254406 at a 1/5000 dilution (0.01 μg), followed by Goat anti rabbit IgG (Alexa Fluor® 488, ab150077) at a 1/2000 dilution.

Isotype control (left panel) is Rabbit monoclonal IgG (ab172730).

Immunohistochemistry (Formalin/PFA-fixed paraffin-embedded sections) - Anti-SS18-SSX Fusion Protein antibody [EPR24159-81] - BSA and Azide free (AB281565)
  • IHC-P

Supplier Data

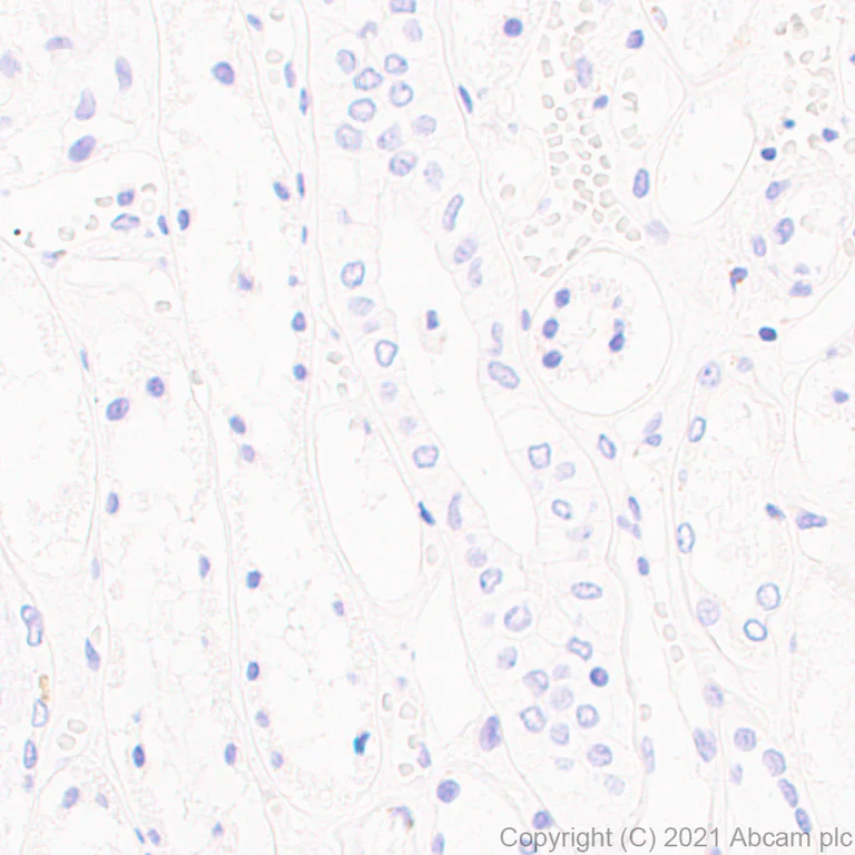
Immunohistochemistry (Formalin/PFA-fixed paraffin-embedded sections) - Anti-SS18-SSX Fusion Protein antibody [EPR24159-81] - BSA and Azide free (AB281565)

This image was produced using ab254406 the same clone but in a different formulation.

Immunohistochemical analysis of paraffin-embedded human kidney tissue labeling SS18-SSX Fusion Protein with ab254406 at 1/5000 (0.118 μg/ml) followed by LeicaDS9800 (Bond™ Polymer Refine Detection). The section was incubated with ab254406 for 30 mins at room temperature. The immunostaining was performed on a Leica Biosystems BOND® RX instrument. Counterstained with Hematoxylin.
Negative control : No staining on human kidney.
Heat mediated antigen retrieval with Citrate buffer (pH 6.0, epitope retrieval solution 1) for 20 mins.

Immunohistochemistry (Formalin/PFA-fixed paraffin-embedded sections) - Anti-SS18-SSX Fusion Protein antibody [EPR24159-81] - BSA and Azide free (AB281565)
  • IHC-P

Supplier Data

Immunohistochemistry (Formalin/PFA-fixed paraffin-embedded sections) - Anti-SS18-SSX Fusion Protein antibody [EPR24159-81] - BSA and Azide free (AB281565)

This image was produced using ab254406 the same clone but in a different formulation.

Immunohistochemical analysis of paraffin-embedded (Panel A) HEK-293T (human epithelial cell line from embryonic kidney transformed with large T antigen) transfected with SSXT-SSX2 labeled 6X His tag and (Panel B) HEK-293T (human epithelial cell line from embryonic kidney transformed with large T antigen) transfected with an empty plasmid. labeling SS18-SSX Fusion Protein with ab254406 at 1/5000 (0.118 μg/ml) followed by LeicaDS9800 (Bond™ Polymer Refine Detection). The section was incubated with ab254406 for 30 mins at room temperature. The immunostaining was performed on a Leica Biosystems BOND® RX instrument. Counterstained with Hematoxylin.
Nuclear staining on (A) HEK-293T transfected with SSXT-SSX2 labeled 6X His tag, no staining on (B) HEK-293T transfected with an empty plasmid.
Heat mediated antigen retrieval with Citrate buffer (pH 6.0, epitope retrieval solution 1) for 20 mins.

Immunohistochemistry (Formalin/PFA-fixed paraffin-embedded sections) - Anti-SS18-SSX Fusion Protein antibody [EPR24159-81] - BSA and Azide free (AB281565)
  • IHC-P

Supplier Data

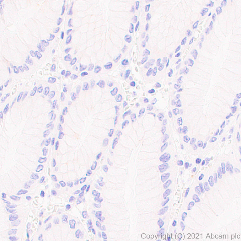
Immunohistochemistry (Formalin/PFA-fixed paraffin-embedded sections) - Anti-SS18-SSX Fusion Protein antibody [EPR24159-81] - BSA and Azide free (AB281565)

This image was produced using ab254406 the same clone but in a different formulation.

Immunohistochemical analysis of paraffin-embedded human stomach tissue labeling SS18-SSX Fusion Protein with ab254406 at 1/5000 (0.118 μg/ml) followed by LeicaDS9800 (Bond™ Polymer Refine Detection). The section was incubated with ab254406 for 30 mins at room temperature. The immunostaining was performed on a Leica Biosystems BOND® RX instrument. Counterstained with Hematoxylin.
Negative control : No staining on human stomach.
Heat mediated antigen retrieval with Citrate buffer (pH 6.0, epitope retrieval solution 1) for 20 mins.

Dot Blot - Anti-SS18-SSX Fusion Protein antibody [EPR24159-81] - BSA and Azide free (AB281565)
  • Dot

Supplier Data

Dot Blot - Anti-SS18-SSX Fusion Protein antibody [EPR24159-81] - BSA and Azide free (AB281565)

This image was produced using ab254406 the same clone but in a different formulation.

Dot Blot - Anti-SS18-SSX Fusion Protein antibody [EPR24159-81] (ab254406 used at a 1/1000 dilution (0.592 μg/ml)).

Lane 1 : Human SS18 + SSX(1/2/4) fusion peptide

Lane 2 : Human SS18 peptide

Lane 3 : Human SSX(1/2/4) peptide

Blocking/Dilution buffer : 5% NFDM/TBST.

Secondary : Goat Anti-Rabbit IgG, (H+L), Peroxidase conjugated (ab97051) at a 1/100000 dilution.

Exposure time is 3 mins.

  • Unconjugated

    Anti-SS18-SSX Fusion Protein antibody [EPR24159-81]

  • 775 Alexa Fluor® 750

    Alexa Fluor® 750 Anti-SS18-SSX Fusion Protein antibody [EPR24159-81]

  • 578 PE

    PE Anti-SS18-SSX Fusion Protein antibody [EPR24159-81]

  • 660 APC

    APC Anti-SS18-SSX Fusion Protein antibody [EPR24159-81]

  • HRP

    HRP Anti-SS18-SSX Fusion Protein antibody [EPR24159-81]

  • 617 Alexa Fluor® 594

    Alexa Fluor® 594 Anti-SS18-SSX Fusion Protein antibody [EPR24159-81]

  • 519 Alexa Fluor® 488

    Alexa Fluor® 488 Anti-SS18-SSX Fusion Protein antibody [EPR24159-81]

  • 565 Alexa Fluor® 555

    Alexa Fluor® 555 Anti-SS18-SSX Fusion Protein antibody [EPR24159-81]

  • 603 Alexa Fluor® 568

    Alexa Fluor® 568 Anti-SS18-SSX Fusion Protein antibody [EPR24159-81]

  • 665 Alexa Fluor® 647

    Alexa Fluor® 647 Anti-SS18-SSX Fusion Protein antibody [EPR24159-81]

Key facts

Host species

Rabbit

Clonality

Monoclonal

Clone number

EPR24159-81

Isotype

IgG

Carrier free

Yes

Reacts with

Human

Applications

Flow Cyt (Intra), Dot, IHC-P

applications

Immunogen

The exact immunogen used to generate this antibody is proprietary information.

Reactivity data

{ "title": "Reactivity Data", "filters": { "stats": ["", "Species", "Dilution Info", "Notes"], "tabs": { "all-applications": {"fullname" : "All Applications", "shortname": "All Applications"}, "IHCP" : {"fullname" : "Immunohistochemistry (Formalin/PFA-fixed paraffin-embedded sections)", "shortname":"IHC-P"}, "Dot" : {"fullname" : "Dot Blot", "shortname":"Dot"}, "FlowCytIntra" : {"fullname" : "Flow Cytometry (Intracellular)", "shortname":"Flow Cyt (Intra)"}, "WB" : {"fullname" : "Western blot", "shortname":"WB"}, "ICCIF" : {"fullname" : "Immunocytochemistry/ Immunofluorescence", "shortname":"ICC/IF"}, "IP" : {"fullname" : "Immunoprecipitation", "shortname":"IP"} }, "product-promise": { "all": "all", "testedAndGuaranteed": "tested", "guaranteed": "expected", "predicted": "predicted", "notRecommended": "not-recommended" } }, "values": { "Human": { "IHCP-species-checked": "testedAndGuaranteed", "IHCP-species-dilution-info": "", "IHCP-species-notes": "<p></p> Perform heat-mediated antigen retrieval with citrate buffer pH 6 before commencing with IHC staining protocol.", "Dot-species-checked": "testedAndGuaranteed", "Dot-species-dilution-info": "", "Dot-species-notes": "<p></p>", "FlowCytIntra-species-checked": "guaranteed", "FlowCytIntra-species-dilution-info": "", "FlowCytIntra-species-notes": "<p></p>", "WB-species-checked": "notRecommended", "WB-species-dilution-info": "", "WB-species-notes": "<p></p>", "ICCIF-species-checked": "notRecommended", "ICCIF-species-dilution-info": "", "ICCIF-species-notes": "<p></p>", "IP-species-checked": "notRecommended", "IP-species-dilution-info": "", "IP-species-notes": "<p></p>" }, "Mouse": { "IHCP-species-checked": "notRecommended", "IHCP-species-dilution-info": "", "IHCP-species-notes": "<p></p> Perform heat-mediated antigen retrieval with citrate buffer pH 6 before commencing with IHC staining protocol.", "Dot-species-checked": "notRecommended", "Dot-species-dilution-info": "", "Dot-species-notes": "", "FlowCytIntra-species-checked": "notRecommended", "FlowCytIntra-species-dilution-info": "", "FlowCytIntra-species-notes": "", "WB-species-checked": "notRecommended", "WB-species-dilution-info": "", "WB-species-notes": "<p></p>", "ICCIF-species-checked": "notRecommended", "ICCIF-species-dilution-info": "", "ICCIF-species-notes": "", "IP-species-checked": "notRecommended", "IP-species-dilution-info": "", "IP-species-notes": "" }, "Rat": { "IHCP-species-checked": "notRecommended", "IHCP-species-dilution-info": "", "IHCP-species-notes": "<p></p> Perform heat-mediated antigen retrieval with citrate buffer pH 6 before commencing with IHC staining protocol.", "Dot-species-checked": "notRecommended", "Dot-species-dilution-info": "", "Dot-species-notes": "", "FlowCytIntra-species-checked": "notRecommended", "FlowCytIntra-species-dilution-info": "", "FlowCytIntra-species-notes": "", "WB-species-checked": "notRecommended", "WB-species-dilution-info": "", "WB-species-notes": "<p></p>", "ICCIF-species-checked": "notRecommended", "ICCIF-species-dilution-info": "", "ICCIF-species-notes": "", "IP-species-checked": "notRecommended", "IP-species-dilution-info": "", "IP-species-notes": "" }, "Transfected cell line": { "IHCP-species-checked": "testedAndGuaranteed", "IHCP-species-dilution-info": "", "IHCP-species-notes": "<p></p> Perform heat-mediated antigen retrieval with citrate buffer pH 6 before commencing with IHC staining protocol.", "Dot-species-checked": "notRecommended", "Dot-species-dilution-info": "", "Dot-species-notes": "", "FlowCytIntra-species-checked": "testedAndGuaranteed", "FlowCytIntra-species-dilution-info": "", "FlowCytIntra-species-notes": "<p></p>", "WB-species-checked": "notRecommended", "WB-species-dilution-info": "", "WB-species-notes": "", "ICCIF-species-checked": "notRecommended", "ICCIF-species-dilution-info": "", "ICCIF-species-notes": "", "IP-species-checked": "notRecommended", "IP-species-dilution-info": "", "IP-species-notes": "" } } }

Product details

ab281565 is the carrier-free version of ab254406.

Patented technology
Our RabMAb® technology is a patented hybridoma-based technology for making rabbit monoclonal antibodies. For details on our patents, please refer to RabMAb® patents.

What are the advantages of a recombinant monoclonal antibody?
This product is a recombinant monoclonal antibody, which offers several advantages including:

  • - High batch-to-batch consistency and reproducibility
  • - Improved sensitivity and specificity
  • - Long-term security of supply
  • - Animal-free batch production

For more information, read more on recombinant antibodies.

Conjugation ready
Our carrier-free antibodies are typically supplied in a PBS-only formulation, purified and free of BSA, sodium azide and glycerol. This conjugation-ready format is designed for use with fluorochromes, metal isotopes, oligonucleotides, and enzymes, which makes them ideal for antibody labelling, functional and cell-based assays, flow-based assays (e.g. mass cytometry) and Multiplex Imaging applications.

Use our conjugation kits for antibody conjugates that are ready-to-use in as little as 20 minutes with 1 minute hands-on-time and 100% antibody recovery: available for fluorescent dyes, HRP, biotin and gold.

Compatibility
This product is compatible with the Maxpar® Antibody Labeling Kit from Fluidigm, without the need for antibody preparation. Maxpar® is a trademark of Fluidigm Canada Inc.

Properties and storage information

Form
Liquid
Purification technique
Affinity purification Protein A
Storage buffer
Constituents: 100% PBS
Shipped at conditions
Blue Ice
Appropriate short-term storage conditions
+4°C
Appropriate long-term storage conditions
+4°C

Product protocols

For this product, it's our understanding that no specific protocols are required. You can visit:

Target data

See full target information CGB2

Additional targets

SS18

Product promise

We are committed to supporting your work with high-quality reagents, and we're here for you every step of the way. In the unlikely event that one of our products does not perform as expected, you're protected by our Product Promise.
For full details, please see our Terms & Conditions

Please note: All products are 'FOR RESEARCH USE ONLY. NOT FOR USE IN DIAGNOSTIC OR THERAPEUTIC PROCEDURES'.

For licensing inquiries, please contact partnerships@abcam.com