JavaScript is disabled in your browser. Please enable JavaScript to view this website.
AB232025

Anti-SSB antibody [EPR6570] - BSA and Azide free

Be the first to review this product! Submit a review

|

(1 Publication)

Rabbit Recombinant Monoclonal SSB antibody. Carrier free. Suitable for IHC-P, WB and reacts with Human, Mouse, Rat samples. Cited in 1 publication.

View Alternative Names

Lupus La protein, La autoantigen, La ribonucleoprotein, Sjoegren syndrome type B antigen, SS-B, SSB

2 Images
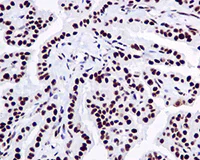
Immunohistochemistry (Formalin/PFA-fixed paraffin-embedded sections) - Anti-SSB antibody [EPR6570] - BSA and Azide free (AB232025)
  • IHC-P

Unknown

Immunohistochemistry (Formalin/PFA-fixed paraffin-embedded sections) - Anti-SSB antibody [EPR6570] - BSA and Azide free (AB232025)

Formalin-fixed, paraffin-embedded human thyroid adenocarcinoma tissue stained for SSB with ab124932 (1/250 dilution) in immunohistochemical analysis.

This data was developed using the same antibody clone in a different buffer formulation containing PBS, BSA, glycerol, and sodium azide (ab124932).

Heat mediated antigen retrieval was performed with citrate buffer pH 6 before commencing with IHC staining protocol.

OI-RD Scanning - Anti-SSB antibody [EPR6570] - BSA and Azide free (AB232025)
  • OI-RD Scanning

Unknown

OI-RD Scanning - Anti-SSB antibody [EPR6570] - BSA and Azide free (AB232025)

We have systematically measured KD (the equilibrium dissociation constant between the antibody and its antigen), of more than 840 recombinant antibodies to assess not only their individual KD values but also to see the average affinity of antibody. Based on the comparison with published literature values for mouse monoclonal antibodies, Recombinant antibodies appear to be on average 1-2 order of magnitude higher affinity.

Key facts

Host species

Rabbit

Clonality

Monoclonal

Clone number

EPR6570

Isotype

IgG

Carrier free

Yes

Reacts with

Mouse, Rat, Human

Applications

WB, IHC-P

applications

Immunogen

The exact immunogen used to generate this antibody is proprietary information.

Reactivity data

{ "title": "Reactivity Data", "filters": { "stats": ["", "Species", "Dilution Info", "Notes"], "tabs": { "all-applications": {"fullname" : "All Applications", "shortname": "All Applications"}, "IHCP" : {"fullname" : "Immunohistochemistry (Formalin/PFA-fixed paraffin-embedded sections)", "shortname":"IHC-P"}, "WB" : {"fullname" : "Western blot", "shortname":"WB"} }, "product-promise": { "all": "all", "testedAndGuaranteed": "tested", "guaranteed": "expected", "predicted": "predicted", "notRecommended": "not-recommended" } }, "values": { "Human": { "IHCP-species-checked": "testedAndGuaranteed", "IHCP-species-dilution-info": "", "IHCP-species-notes": "<p></p>", "WB-species-checked": "guaranteed", "WB-species-dilution-info": "", "WB-species-notes": "<p></p>" }, "Mouse": { "IHCP-species-checked": "predicted", "IHCP-species-dilution-info": "", "IHCP-species-notes": "", "WB-species-checked": "guaranteed", "WB-species-dilution-info": "", "WB-species-notes": "<p></p>" }, "Rat": { "IHCP-species-checked": "predicted", "IHCP-species-dilution-info": "", "IHCP-species-notes": "", "WB-species-checked": "guaranteed", "WB-species-dilution-info": "", "WB-species-notes": "<p></p>" } } }

Product details

ab232025 is the carrier-free version of ab124932.

Patented technology
Our RabMAb® technology is a patented hybridoma-based technology for making rabbit monoclonal antibodies. For details on our patents, please refer to RabMAb® patents.

What are the advantages of a recombinant monoclonal antibody?
This product is a recombinant monoclonal antibody, which offers several advantages including:

  • - High batch-to-batch consistency and reproducibility
  • - Improved sensitivity and specificity
  • - Long-term security of supply
  • - Animal-free batch production

For more information, read more on recombinant antibodies.

Conjugation ready
Our carrier-free antibodies are typically supplied in a PBS-only formulation, purified and free of BSA, sodium azide and glycerol. This conjugation-ready format is designed for use with fluorochromes, metal isotopes, oligonucleotides, and enzymes, which makes them ideal for antibody labelling, functional and cell-based assays, flow-based assays (e.g. mass cytometry) and Multiplex Imaging applications.

Use our conjugation kits for antibody conjugates that are ready-to-use in as little as 20 minutes with 1 minute hands-on-time and 100% antibody recovery: available for fluorescent dyes, HRP, biotin and gold.

Compatibility
This product is compatible with the Maxpar® Antibody Labeling Kit from Fluidigm, without the need for antibody preparation. Maxpar® is a trademark of Fluidigm Canada Inc.

Properties and storage information

Form
Liquid
Purification technique
Affinity purification Protein A
Storage buffer
pH: 7.2 - 7.4 Constituents: PBS
Shipped at conditions
Blue Ice
Appropriate short-term storage conditions
+4°C
Appropriate long-term storage conditions
+4°C
Storage information
Do Not Freeze

Supplementary information

This supplementary information is collated from multiple sources and compiled automatically.

The single-stranded DNA-binding protein (SSB) also known as La protein in humans has a mechanical role in stabilizing single-stranded DNA (ssDNA) during replication recombination and repair processes. In E. coli the SSB protein weighs approximately 19 kDa and is essential for maintaining genome integrity. SSB expression occurs in various organisms with bacterial SSBs being key to prokaryotic cells while homologs like La/SSB in humans are more involved in post-transcriptional processes. Anti-SSB antibodies target this protein often in research and diagnostic applications.
Biological function summary

The single-stranded DNA-binding protein plays an important role in the orchestration of DNA metabolism. It binds to ssDNA substrates acting as a scaffold for recruiting other proteins and it frequently involves itself in complex formation with other cellular factors such as replication proteins. This function proves important in stabilizing unwound DNA and regulating access for proteins involved in DNA synthesis and repair. Anti-La SSB antibodies are typically used to study aberrant RNA processing events.

Pathways

The SSB protein influences the DNA replication and repair pathways. SSB's interaction with proteins like DNA polymerase and exonuclease suggests its cooperation with these enzymes to ensure precise DNA synthesis and to facilitate proper repair of DNA. Anti-SSB Ab can be used to investigate specific pathway dysregulations providing insights into pathway alterations that impact genome stability. Notably SSB's role in coordinating with other repair proteins emphasizes its centrality in maintaining steady state of DNA integrity.

The single-stranded DNA-binding protein has vital connections to autoimmune diseases. Sjögren's syndrome and systemic lupus erythematosus often see the presence of anti-SSB antibodies indicating an autoimmune response against this protein. These disorders associate with the human La protein an autoimmune target in these disease states. Understanding SSB's interaction with other proteins such as Ro60 in these conditions gives insights into disease pathology and potential areas for therapeutic intervention.

Product protocols

For this product, it's our understanding that no specific protocols are required. You can visit:

Target data

Binds to the 3' poly(U) terminus of nascent RNA polymerase III transcripts, protecting them from exonuclease digestion and facilitating their folding and maturation (PubMed : 2470590, PubMed : 3192525). In case of Coxsackievirus B3 infection, binds to the viral internal ribosome entry site (IRES) and stimulates the IRES-mediated translation (PubMed : 12384597).
See full target information Lupus La protein

Publications (1)

Recent publications for all applications. Explore the full list and refine your search

Translational lung cancer research 10:2523-2538 PubMed34295659

2021

One carbon metabolism in human lung cancer.

Applications

Unspecified application

Species

Unspecified reactive species

Sha Yao,Luogen Peng,Omar Elakad,Stefan Küffer,Marc Hinterthaner,Bernhard C Danner,Alexander von Hammerstein-Equord,Philipp Ströbel,Hanibal Bohnenberger
View all publications

Product promise

We are committed to supporting your work with high-quality reagents, and we're here for you every step of the way. In the unlikely event that one of our products does not perform as expected, you're protected by our Product Promise.
For full details, please see our Terms & Conditions

Please note: All products are 'FOR RESEARCH USE ONLY. NOT FOR USE IN DIAGNOSTIC OR THERAPEUTIC PROCEDURES'.

For licensing inquiries, please contact partnerships@abcam.com