JavaScript is disabled in your browser. Please enable JavaScript to view this website.
AB75927

Anti-SSB antibody [mAbcam75927]

5

(4 Reviews)

|

(13 Publications)

Mouse Monoclonal SSB antibody. Suitable for IP, Flow Cyt (Intra), WB, ICC/IF, IHC-P and reacts with Human samples. Cited in 13 publications.

View Alternative Names

Lupus La protein, La autoantigen, La ribonucleoprotein, Sjoegren syndrome type B antigen, SS-B, SSB

9 Images
Immunocytochemistry/ Immunofluorescence - Anti-SSB antibody [mAbcam75927] (AB75927)
  • ICC/IF

Lab

Immunocytochemistry/ Immunofluorescence - Anti-SSB antibody [mAbcam75927] (AB75927)

ab75927 staining SSB in HeLa cells. The cells were fixed with 4% paraformaldehyde (10 min), permeabilized with 0.1% PBS-Triton X-100 for 5 minutes and then blocked with 1% BSA/10% normal goat serum/0.3M glycine in 0.1%PBS-Tween for 1h. The cells were then incubated overnight at 4°C with ab75927 at 5µg/ml and ab6046, Rabbit polyclonal to beta Tubulin - Loading Control. Cells were then incubated with ab150117, Goat polyclonal Secondary Antibody to Mouse IgG H&L (Alexa Fluor® 488) preadsorbed at 1/1000 dilution (shown in green) and ab150080, Goat polyclonal Secondary Antibody to Rabbit IgG - H&L (Alexa Fluor® 594) at 1/1000 dilution (shown in pseudocolour red). Nuclear DNA was labelled with DAPI (shown in blue).

Also suitable in cells fixed with 100% methanol (5 min).

Image was acquired with a high-content analyser (Operetta CLS, Perkin Elmer) and a maximum intensity projection of confocal sections is shown.

Flow Cytometry (Intracellular) - Anti-SSB antibody [mAbcam75927] (AB75927)
  • Flow Cyt (Intra)

Unknown

Flow Cytometry (Intracellular) - Anti-SSB antibody [mAbcam75927] (AB75927)

Overlay histogram showing Ramos cells stained with ab75927 (red line). The cells were fixed with 80% methanol (5 min) and then permeabilized with 0.1% PBS-Tween for 20 min. The cells were then incubated in 1x PBS / 10% normal goat serum / 0.3M glycine to block non-specific protein-protein interactions followed by the antibody (ab75927, 0.5μg/1x106 cells) for 30 min at 22°C. The secondary antibody used was DyLight® 488 goat anti-mouse IgG (H+L) (ab96879) at 1/500 dilution for 30 min at 22°C. Isotype control antibody (black line) was mouse IgG2a [ICIGG2A] (ab91361, 1μg/1x106 cells) used under the same conditions. Acquisition of >5,000 events was performed. This antibody gave a positive signal in Ramos cells fixed with 4% paraformaldehyde (10 min)/permeabilized with 0.1% PBS-Tween for 20 min used under the same conditions.

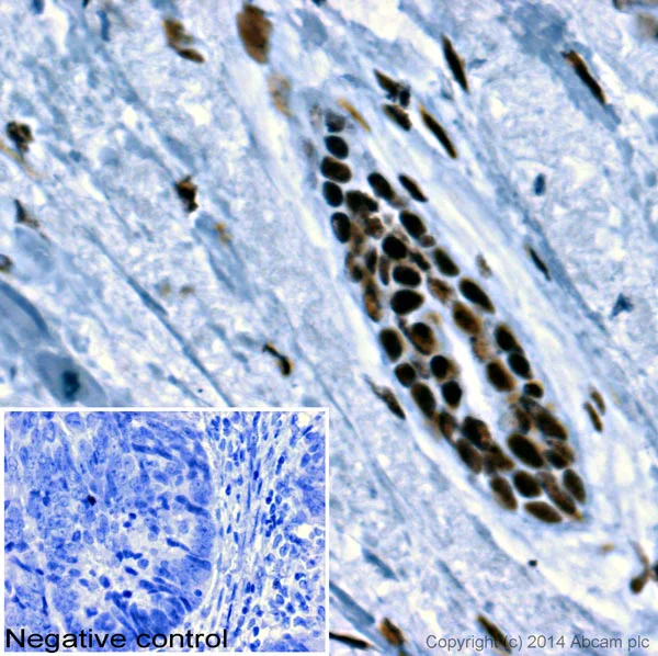
Immunohistochemistry (Formalin/PFA-fixed paraffin-embedded sections) - Anti-SSB antibody [mAbcam75927] (AB75927)
  • IHC-P

Unknown

Immunohistochemistry (Formalin/PFA-fixed paraffin-embedded sections) - Anti-SSB antibody [mAbcam75927] (AB75927)

IHC image of SSB staining in Human breast adenocarcinoma formalin fixed paraffin embedded tissue section*. The section was pre-treated using pressure cooker heat mediated antigen retrieval with sodium citrate buffer (pH6) for 30mins. The section was incubated with ab75927, 0.5μg/ml overnight at +4°C. An HRP-conjugated secondary (ab97245, 1/200 dilution) was used for 1hr at room temperature. The section was counterstained with haematoxylin and mounted with DPX.

*Tissue obtained from the Human Research Tissue Bank, supported by the NIHR Cambridge Biomedical Research Centre

Immunohistochemistry (Formalin/PFA-fixed paraffin-embedded sections) - Anti-SSB antibody [mAbcam75927] (AB75927)
  • IHC-P

Unknown

Immunohistochemistry (Formalin/PFA-fixed paraffin-embedded sections) - Anti-SSB antibody [mAbcam75927] (AB75927)

IHC image of SSB staining in Human breast adenocarcinoma formalin fixed paraffin embedded tissue section, performed on a Leica BondTM system using the standard protocol F. The section was pre-treated using heat mediated antigen retrieval with sodium citrate buffer (pH6, epitope retrieval solution 1) for 20 mins. The section was then incubated with ab75927, 5μg/ml, for 15 mins at room temperature and detected using an HRP conjugated compact polymer system. DAB was used as the chromogen. The section was then counterstained with haematoxylin and mounted with DPX.

For other IHC staining systems (automated and non-automated) customers should optimize variable parameters such as antigen retrieval conditions, primary antibody concentration and antibody incubation times.

Immunoprecipitation - Anti-SSB antibody [mAbcam75927] (AB75927)
  • IP

Lab

Immunoprecipitation - Anti-SSB antibody [mAbcam75927] (AB75927)

SSB was immunoprecipitated using 0.5mg Hek293 whole cell extract, 5μg of Mouse monoclonal to SSB and 50μl of protein G magnetic beads (+). No antibody was added to the control (-).

The antibody was incubated under agitation with Protein G beads for 10min, Hek293 whole cell extract lysate diluted in RIPA buffer was added to each sample and incubated for a further 10min under agitation.

Proteins were eluted by addition of 40μl SDS loading buffer and incubated for 10min at 70°C; 10μl of each sample was separated on a SDS PAGE gel, transferred to a nitrocellulose membrane, blocked with 5% BSA and probed with ab75927.

Secondary : Goat polyclonal to mouse IgG light chain specific (HRP) at 1/20,000 dilution.

Band : 47kDa; SSB

All lanes:

Immunoprecipitation - Anti-SSB antibody [mAbcam75927] (ab75927)

Predicted band size: 46 kDa

true

Exposure time: 20min

Western blot - Anti-SSB antibody [mAbcam75927] (AB75927)
  • WB

Unknown

Western blot - Anti-SSB antibody [mAbcam75927] (AB75927)

All lanes:

Western blot - Anti-SSB antibody [mAbcam75927] (ab75927) at 5 µg/mL

Lane 1:

HEK293 (Human embryonic kidney cell line) Whole Cell Lysate at 20 µg

Lane 2:

HeLa (Human epithelial carcinoma cell line) Nuclear Lysate at 20 µg

Lane 3:

Raji (Human Burkitt's lymphoma cell line) Nuclear Lysate - tumor cell line (<a href='/en-us/products/unavailable/raji-human-burkitt-s-lymphoma-cell-line-nuclear-lysate-tumor-cell-line-ab30127'>ab30127</a>) at 20 µg

Lane 4:

MCF7 (Human breast adenocarcinoma cell line) Nuclear Lysate at 20 µg

Lane 5:

MCF7 (Human breast adenocarcinoma cell line) Whole Cell Lysate at 20 µg

Lane 6:

Ramos (Human Burkitt's lymphoma cell line) Whole Cell Lysate at 20 µg

Lane 7:

Heart (Human) Whole Cell Lysate - fetal normal tissue at 20 µg

Secondary

All lanes:

Western blot - Goat Anti-Mouse IgG H&L (HRP) preadsorbed (<a href='/en-us/products/secondary-antibodies/goat-mouse-igg-h-l-hrp-preadsorbed-ab97040'>ab97040</a>) at 1/5000 dilution

Predicted band size: 46 kDa

Observed band size: 47 kDa

true

Exposure time: 30s

Western blot - Anti-SSB antibody [mAbcam75927] (AB75927)
  • WB

Unknown

Western blot - Anti-SSB antibody [mAbcam75927] (AB75927)

All lanes:

Western blot - Anti-SSB antibody [mAbcam75927] (ab75927) at 1 µg/mL

All lanes:

Western blot - Recombinant Human SSB protein (<a href='/en-us/products/proteins-peptides/recombinant-human-ssb-protein-ab84477'>ab84477</a>) at 0.1 µg

Secondary

All lanes:

Western blot - Goat Anti-Mouse IgG H&L (HRP) preadsorbed (<a href='/en-us/products/secondary-antibodies/goat-mouse-igg-h-l-hrp-preadsorbed-ab97040'>ab97040</a>) at 1/5000 dilution

Predicted band size: 46 kDa

true

Exposure time: 30s

Western blot - Anti-SSB antibody [mAbcam75927] (AB75927)
  • WB

Unknown

Western blot - Anti-SSB antibody [mAbcam75927] (AB75927)

All lanes:

Western blot - Anti-SSB antibody [mAbcam75927] (ab75927) at 1 µg/mL

All lanes:

Western blot - Recombinant Human SSB protein (<a href='/en-us/products/proteins-peptides/recombinant-human-ssb-protein-ab84477'>ab84477</a>) at 0.1 µg

Secondary

All lanes:

Western blot - Goat Anti-Mouse IgG H&L (HRP) preadsorbed (<a href='/en-us/products/secondary-antibodies/goat-mouse-igg-h-l-hrp-preadsorbed-ab97040'>ab97040</a>) at 1/5000 dilution

Predicted band size: 46 kDa

true

Exposure time: 30s

Western blot - Anti-SSB antibody [mAbcam75927] (AB75927)
  • WB

CiteAb

Western blot - Anti-SSB antibody [mAbcam75927] (AB75927)

SSB western blot using anti-SSB antibody [mAbcam75927] ab75927. Publication image and figure legend from Spurlock, C. F., Tossberg, J. T., et al., 2015, Genome Biol, PubMed 25885816.

ab75927 was used in this publication in western blot. This may not be the same as the application(s) guaranteed by Abcam. For a full list of applications guaranteed by Abcam for ab75927 please see the product overview.

Ro60 and La proteins are depressed in RRMS. (A) Ro60 (TROVE2) and La (SSB) transcript levels in CTRL (N = 24), CIS-MS (N = 16), RRMS (N = 22), RA (N = 18), SLE (N = 24), NMO (N = 22), and PD (N = 19) were determined by quantitative PCR after cDNA synthesis using oligo-dT. Results are normalized to CTRL = 1.0 after normalization to transcript levels of GAPDH, error bars are S.D. (B) As in (A) using whole genome RNA-sequencing data. (C) Western blot to determine Ro60 and La protein levels in PBMC from CTRL (N = 9) and RRMS (N = 8). (D) Quantitative estimates of protein abundance relative to β-actin. *p < 0.05, **p < 0.01.

false

Key facts

Host species

Mouse

Clonality

Monoclonal

Clone number

mAbcam75927

Isotype

IgG2a

Carrier free

No

Reacts with

Human

Applications

Flow Cyt (Intra), WB, IP, IHC-P, ICC/IF

applications

Immunogen

The exact immunogen used to generate this antibody is proprietary information.

Reactivity data

{ "title": "Reactivity Data", "filters": { "stats": ["", "Species", "Dilution Info", "Notes"], "tabs": { "all-applications": {"fullname" : "All Applications", "shortname": "All Applications"}, "IP" : {"fullname" : "Immunoprecipitation", "shortname":"IP"}, "FlowCytIntra" : {"fullname" : "Flow Cytometry (Intracellular)", "shortname":"Flow Cyt (Intra)"}, "WB" : {"fullname" : "Western blot", "shortname":"WB"}, "ICCIF" : {"fullname" : "Immunocytochemistry/ Immunofluorescence", "shortname":"ICC/IF"}, "IHCP" : {"fullname" : "Immunohistochemistry (Formalin/PFA-fixed paraffin-embedded sections)", "shortname":"IHC-P"} }, "product-promise": { "all": "all", "testedAndGuaranteed": "tested", "guaranteed": "expected", "predicted": "predicted", "notRecommended": "not-recommended" } }, "values": { "Human": { "IP-species-checked": "testedAndGuaranteed", "IP-species-dilution-info": "5 µg/mL", "IP-species-notes": "<p></p>", "FlowCytIntra-species-checked": "testedAndGuaranteed", "FlowCytIntra-species-dilution-info": "0.5 µg for 10^6 Cells", "FlowCytIntra-species-notes": "<p><a href='/en-us/products/primary-antibodies/mouse-igg2c-kappa-monoclonal-18c8bc7ad10-isotype-control-ab170191'>ab170191</a> - Mouse monoclonal IgG2a, is suitable for use as an isotype control with this antibody.</p>", "WB-species-checked": "testedAndGuaranteed", "WB-species-dilution-info": "1-5 µg/mL", "WB-species-notes": "<p></p>", "ICCIF-species-checked": "testedAndGuaranteed", "ICCIF-species-dilution-info": "5 µg/mL", "ICCIF-species-notes": "<p></p>", "IHCP-species-checked": "testedAndGuaranteed", "IHCP-species-dilution-info": "5 µg/mL", "IHCP-species-notes": "<p></p>" } } }

Product details

Want a custom formulation?
This antibody clone is manufactured by Abcam. If you require a custom buffer formulation or conjugation for your experiments, please contact orders@abcam.com

Properties and storage information

Form
Liquid
Purification technique
Affinity purification
Storage buffer
pH: 7.4 Preservative: 0.02% Sodium azide Constituents: PBS, 6.97% L-Arginine
Shipped at conditions
Blue Ice
Appropriate short-term storage duration
1-2 weeks
Appropriate short-term storage conditions
+4°C
Appropriate long-term storage conditions
-20°C
Aliquoting information
Upon delivery aliquot

Supplementary information

This supplementary information is collated from multiple sources and compiled automatically.

The single-stranded DNA-binding protein (SSB) also known as La protein in humans has a mechanical role in stabilizing single-stranded DNA (ssDNA) during replication recombination and repair processes. In E. coli the SSB protein weighs approximately 19 kDa and is essential for maintaining genome integrity. SSB expression occurs in various organisms with bacterial SSBs being key to prokaryotic cells while homologs like La/SSB in humans are more involved in post-transcriptional processes. Anti-SSB antibodies target this protein often in research and diagnostic applications.
Biological function summary

The single-stranded DNA-binding protein plays an important role in the orchestration of DNA metabolism. It binds to ssDNA substrates acting as a scaffold for recruiting other proteins and it frequently involves itself in complex formation with other cellular factors such as replication proteins. This function proves important in stabilizing unwound DNA and regulating access for proteins involved in DNA synthesis and repair. Anti-La SSB antibodies are typically used to study aberrant RNA processing events.

Pathways

The SSB protein influences the DNA replication and repair pathways. SSB's interaction with proteins like DNA polymerase and exonuclease suggests its cooperation with these enzymes to ensure precise DNA synthesis and to facilitate proper repair of DNA. Anti-SSB Ab can be used to investigate specific pathway dysregulations providing insights into pathway alterations that impact genome stability. Notably SSB's role in coordinating with other repair proteins emphasizes its centrality in maintaining steady state of DNA integrity.

The single-stranded DNA-binding protein has vital connections to autoimmune diseases. Sjögren's syndrome and systemic lupus erythematosus often see the presence of anti-SSB antibodies indicating an autoimmune response against this protein. These disorders associate with the human La protein an autoimmune target in these disease states. Understanding SSB's interaction with other proteins such as Ro60 in these conditions gives insights into disease pathology and potential areas for therapeutic intervention.

Product protocols

For this product, it's our understanding that no specific protocols are required. You can visit:

Target data

Binds to the 3' poly(U) terminus of nascent RNA polymerase III transcripts, protecting them from exonuclease digestion and facilitating their folding and maturation (PubMed : 2470590, PubMed : 3192525). In case of Coxsackievirus B3 infection, binds to the viral internal ribosome entry site (IRES) and stimulates the IRES-mediated translation (PubMed : 12384597).
See full target information Lupus La protein

Publications (13)

Recent publications for all applications. Explore the full list and refine your search

Nature 628:639-647 PubMed38570691

2024

Improving prime editing with an endogenous small RNA-binding protein.

Applications

Unspecified application

Species

Unspecified reactive species

Jun Yan,Paul Oyler-Castrillo,Purnima Ravisankar,Carl C Ward,Sébastien Levesque,Yangwode Jing,Danny Simpson,Anqi Zhao,Hui Li,Weihao Yan,Laine Goudy,Ralf Schmidt,Sabrina C Solley,Luke A Gilbert,Michelle M Chan,Daniel E Bauer,Alexander Marson,Lance R Parsons,Britt Adamson

The Journal of biological chemistry 299:105326 PubMed37805140

2023

Crosstalk between the tRNA methyltransferase Trm1 and RNA chaperone La influences eukaryotic tRNA maturation.

Applications

Unspecified application

Species

Unspecified reactive species

Jennifer Porat,Ana Vakiloroayaei,Brittney M Remnant,Mohammadaref Talebi,Taylor Cargill,Mark A Bayfield

Cell genomics 3:100303 PubMed37228754

2023

exRNA-eCLIP intersection analysis reveals a map of extracellular RNA binding proteins and associated RNAs across major human biofluids and carriers.

Applications

Unspecified application

Species

Unspecified reactive species

Emily L LaPlante,Alessandra Stürchler,Robert Fullem,David Chen,Anne C Starner,Emmanuel Esquivel,Eric Alsop,Andrew R Jackson,Ionita Ghiran,Getulio Pereira,Joel Rozowsky,Justin Chang,Mark B Gerstein,Roger P Alexander,Matthew E Roth,Jeffrey L Franklin,Robert J Coffey,Robert L Raffai,Isabelle M Mansuy,Stavros Stavrakis,Andrew J deMello,Louise C Laurent,Yi-Ting Wang,Chia-Feng Tsai,Tao Liu,Jennifer Jones,Kendall Van Keuren-Jensen,Eric Van Nostrand,Bogdan Mateescu,Aleksandar Milosavljevic

Frontiers in oncology 12:763480 PubMed36110943

2022

La protein regulates protein expression by binding with the mRNAs of target genes and participates the pathological process of ovarian cancer.

Applications

Unspecified application

Species

Unspecified reactive species

Xuan Huang,Jialei Zhu,Yueyan Li,Yang Yu,Jing Tang

Nucleic acid therapeutics 30:312-324 PubMed32589504

2020

Gapmer Antisense Oligonucleotides Targeting 5S Ribosomal RNA Can Reduce Mature 5S Ribosomal RNA by Two Mechanisms.

Applications

Unspecified application

Species

Unspecified reactive species

Adam J Pollak,Justin H Hickman,Xue-Hai Liang,Stanley T Crooke

American journal of transplantation : official journal of the American Society of Transplantation and the American Society of Transplant Surgeons 20:2768-2780 PubMed32185871

2020

Discovery of non-HLA antibodies associated with cardiac allograft rejection and development and validation of a non-HLA antigen multiplex panel: From bench to bedside.

Applications

Unspecified application

Species

Unspecified reactive species

Carrie L Butler,Michelle J Hickey,Ning Jiang,Ying Zheng,David Gjertson,Qiuheng Zhang,Ping Rao,Gregory A Fishbein,Martin Cadeiras,Mario C Deng,Hector L Banchs,Guillermo Torre,David DeNofrio,Howard J Eisen,Jon Kobashigawa,Randall C Starling,Abdallah Kfoury,Adrian Van Bakel,Gregory Ewald,Ivan Balazs,Arnold S Baas,Daniel Cruz,Reza Ardehali,Reshma Biniwale,Murray Kwon,Abbas Ardehali,Ali Nsair,Bryan Ray,Elaine F Reed

Intervirology 61:79-91 PubMed30253401

2018

Expression of Duplex shRNAs through a Lentiviral Vector against Cellular and Viral Genes Inflicts Sustained Inhibition of Hepatitis C Virus Replication.

Applications

Unspecified application

Species

Unspecified reactive species

Anirban Mandal,Binay Chaubey

Nucleic acids research 46:293-313 PubMed29165591

2017

Translation can affect the antisense activity of RNase H1-dependent oligonucleotides targeting mRNAs.

Applications

Unspecified application

Species

Unspecified reactive species

Xue-Hai Liang,Joshua G Nichols,Hong Sun,Stanley T Crooke

Molecular therapy : the journal of the American So 25:2075-2092 PubMed28663102

2017

RNase H1-Dependent Antisense Oligonucleotides Are Robustly Active in Directing RNA Cleavage in Both the Cytoplasm and the Nucleus.

Applications

Unspecified application

Species

Unspecified reactive species

Xue-Hai Liang,Hong Sun,Joshua G Nichols,Stanley T Crooke

International journal of molecular sciences 17: PubMed27447629

2016

La Autoantigen Induces Ribosome Binding Protein 1 (RRBP1) Expression through Internal Ribosome Entry Site (IRES)-Mediated Translation during Cellular Stress Condition.

Applications

Unspecified application

Species

Unspecified reactive species

Wenqing Gao,Qi Li,Ruiyu Zhu,Jian Jin
View all publications

Product promise

We are committed to supporting your work with high-quality reagents, and we're here for you every step of the way. In the unlikely event that one of our products does not perform as expected, you're protected by our Product Promise.
For full details, please see our Terms & Conditions

Please note: All products are 'FOR RESEARCH USE ONLY. NOT FOR USE IN DIAGNOSTIC OR THERAPEUTIC PROCEDURES'.

For licensing inquiries, please contact partnerships@abcam.com