JavaScript is disabled in your browser. Please enable JavaScript to view this website.
AB122768

Anti-SSC5D antibody

Be the first to review this product! Submit a review

|

(0 Publication)

Rabbit Polyclonal SSC5D antibody. Suitable for IHC-P, ICC/IF and reacts with Human samples. Immunogen corresponding to Recombinant Fragment Protein within Human SSC5D aa 850-1000.

View Alternative Names

Soluble scavenger receptor cysteine-rich domain-containing protein SSC5D, Soluble scavenger protein with 5 SRCR domains, SSc5D, SSC5D

2 Images
Immunocytochemistry/ Immunofluorescence - Anti-SSC5D antibody (AB122768)
  • ICC/IF

Unknown

Immunocytochemistry/ Immunofluorescence - Anti-SSC5D antibody (AB122768)

Immunofluorescent staining of Human cell line A-431 shows positivity in nucleus but not nucleoli. Recommended concentration of ab122768 1-4 µg/ml. Cells treated with PFA/Triton X-100.

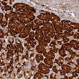
Immunohistochemistry (Formalin/PFA-fixed paraffin-embedded sections) - Anti-SSC5D antibody (AB122768)
  • IHC-P

Unknown

Immunohistochemistry (Formalin/PFA-fixed paraffin-embedded sections) - Anti-SSC5D antibody (AB122768)

ab122768, at 1/50 dilution, staining SSC5D in paraffin-embedded Human stomach tissue by Immunohistochemistry.

Key facts

Host species

Rabbit

Clonality

Polyclonal

Isotype

IgG

Carrier free

No

Reacts with

Human

Applications

IHC-P, ICC/IF

applications

Immunogen

Recombinant Fragment Protein within Human SSC5D aa 850-1000. The exact immunogen used to generate this antibody is proprietary information.

A1L4H1

Reactivity data

{ "title": "Reactivity Data", "filters": { "stats": ["", "Species", "Dilution Info", "Notes"], "tabs": { "all-applications": {"fullname" : "All Applications", "shortname": "All Applications"}, "IHCP" : {"fullname" : "Immunohistochemistry (Formalin/PFA-fixed paraffin-embedded sections)", "shortname":"IHC-P"}, "ICCIF" : {"fullname" : "Immunocytochemistry/ Immunofluorescence", "shortname":"ICC/IF"} }, "product-promise": { "all": "all", "testedAndGuaranteed": "tested", "guaranteed": "expected", "predicted": "predicted", "notRecommended": "not-recommended" } }, "values": { "Human": { "IHCP-species-checked": "testedAndGuaranteed", "IHCP-species-dilution-info": "1/50 - 1/200", "IHCP-species-notes": "<p></p> Perform heat-mediated antigen retrieval with citrate buffer pH 6 before commencing with IHC staining protocol.", "ICCIF-species-checked": "testedAndGuaranteed", "ICCIF-species-dilution-info": "1-4 µg/mL", "ICCIF-species-notes": "<p>Recommend PFA Fixation and Triton X-100 treatment</p>" } } }

Properties and storage information

Form
Liquid
Purification technique
Affinity purification Immunogen
Storage buffer
pH: 7.2 Preservative: 0.02% Sodium azide Constituents: PBS, 40% Glycerol (glycerin, glycerine)
Shipped at conditions
Blue Ice
Appropriate short-term storage conditions
+4°C
Appropriate long-term storage conditions
-20°C
Aliquoting information
Upon delivery aliquot
Storage information
Avoid freeze / thaw cycle

Supplementary information

This supplementary information is collated from multiple sources and compiled automatically.

SSC5D also known as scavenger receptor cysteine-rich family member with 5 domains is a large protein with an approximate molecular mass of 150 kDa. It functions as a receptor that engages in pathogen recognition and clearance. This protein is expressed mainly on myeloid cells such as macrophages and dendritic cells. SSC5D contains multiple scavenger receptor cysteine-rich domains which are important for its interaction with a wide range of ligands including bacterial components.
Biological function summary

The protein plays an essential role in the immune response by recognizing and binding to pathogen-associated molecular patterns (PAMPs). SSC5D acts as a pattern recognition receptor which is part of the innate immune system and it helps in activating further immune responses. While it does not form part of a larger well-known complex its interactions suggest cooperation with other immune receptors and signaling molecules.

Pathways

SSC5D is involved in immune response pathways leading to pathogen recognition and clearance. It contributes to the activation of signaling cascades that may involve the Toll-like receptor (TLR) pathway. SSC5D shows functional relationships with proteins like CD14 and TLRs which are critical in initiating inflammatory responses following pathogenic recognition.

SSC5D shows possible links with infectious diseases and autoimmune disorders due to its immune role. Its ability to recognize bacterial components might have implications in infections where pathogen recognition is compromised. Additionally alterations in SSC5D expression or function might influence inflammatory disorders potentially linking to diseases like rheumatoid arthritis. Its interaction with proteins involved in inflammation highlights its possible contribution to disease states where the immune system plays a role in pathogenicity.

Product protocols

For this product, it's our understanding that no specific protocols are required. You can visit:

Target data

Binds to extracellular matrix proteins. Binds to pathogen-associated molecular patterns (PAMPs) present on the cell walls of Gram-positive and Gram-negative bacteria and fungi, behaving as a pattern recognition receptor (PRR). Induces bacterial and fungal aggregation and subsequent inhibition of PAMP-induced cytokine release. Does not possess intrinsic bactericidal activity. May play a role in the innate defense and homeostasis of certain epithelial surfaces (By similarity).
See full target information SSC5D

Product promise

We are committed to supporting your work with high-quality reagents, and we're here for you every step of the way. In the unlikely event that one of our products does not perform as expected, you're protected by our Product Promise.
For full details, please see our Terms & Conditions

Please note: All products are 'FOR RESEARCH USE ONLY. NOT FOR USE IN DIAGNOSTIC OR THERAPEUTIC PROCEDURES'.

For licensing inquiries, please contact partnerships@abcam.com