JavaScript is disabled in your browser. Please enable JavaScript to view this website.
AB16285

Anti-SSEA1 antibody [MC-480]

4

(9 Reviews)

|

(77 Publications)

Mouse Monoclonal FUT4 antibody. Suitable for IHC-FoFr, IHC-P, ICC, Flow Cyt and reacts with Human, Mouse samples. Cited in 77 publications.

View Alternative Names

Elft, Fut4, 4-galactosyl-N-acetylglucosaminide 3-alpha-L-fucosyltransferase, Fucosyltransferase 4, Fucosyltransferase IV, Galactoside 3-L-fucosyltransferase, Fuc-TIV, FucT-IV

4 Images
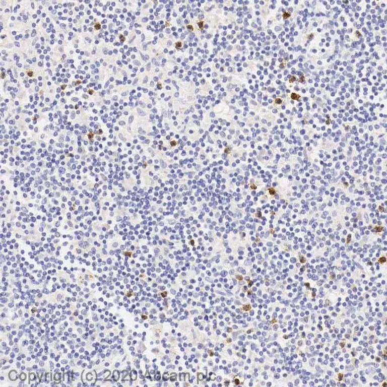
Immunohistochemistry (Formalin/PFA-fixed paraffin-embedded sections) - Anti-SSEA1 antibody [MC-480] (AB16285)
  • IHC-P

Lab

Immunohistochemistry (Formalin/PFA-fixed paraffin-embedded sections) - Anti-SSEA1 antibody [MC-480] (AB16285)

IHC image of SSEA1 staining in Human Hodgkin's Lymphoma formalin fixed paraffin embedded tissue section*. The section was pre-treated using pressure cooker heat mediated antigen retrieval with sodium citrate buffer (pH6.0). The section was incubated with ab16285, 1/200 dilution, overnight at 4°C. A Goat anti-Mouse (IgM) HRP conjugated secondary antibody (ab97230 at 1/2000) was used to detect the primary and visualized using DAB as the chromogen. The section was counterstained with haematoxylin and mounted with DPX.

For other IHC staining systems (automated and non-automated) customers should optimize variable parameters such as antigen retrieval conditions, primary antibody concentration and antibody incubation times.

*Tissue obtained from the Human Research Tissue Bank, supported by the NIHR Cambridge Biomedical Research Centre

Immunocytochemistry - Anti-SSEA1 antibody [MC-480] (AB16285)
  • ICC

Lab

Immunocytochemistry - Anti-SSEA1 antibody [MC-480] (AB16285)

ab16285 staining SSEA1 in mES cells. The cells were fixed with 4% paraformaldehyde (10 min), permeabilized with 0.1% PBS-Tween for 5 minutes and then blocked with 1% BSA/10% normal goat serum/0.3M glycine in 0.1%PBS-Tween for 1h. The cells were then incubated overnight at 4°C with ab16285 at a 1/1000 dilution and ab6046, Rabbit polyclonal to beta Tubulin - Loading Control. Cells were then incubated with ab150121, Goat polyclonal Secondary Antibody to Mouse IgM - mu chain (Alexa Fluor® 488) at 1/1000 dilution (shown in green) and ab150080, Goat polyclonal Secondary Antibody to Rabbit IgG - H&L (Alexa Fluor® 594) at 1/1000 dilution (shown in pseudocolour red). Nuclear DNA was labelled with DAPI (shown in blue).

Also suitable in cells fixed with 100% methanol (5 min).

Image was acquired with a confocal microscope (Leica-Microsystems TCS SP8) and a single confocal section is shown.

Immunocytochemistry - Anti-SSEA1 antibody [MC-480] (AB16285)
  • ICC

Project752****

Immunocytochemistry - Anti-SSEA1 antibody [MC-480] (AB16285)

The image shows staining of the cell membranes of P19 mouse embryonic carcinoma cells using SSEA1-specific antibody, ab16285.

This image is courtesy of the laboratory of Peter Andrews.

Flow Cytometry - Anti-SSEA1 antibody [MC-480] (AB16285)
  • Flow Cyt

Collaborator

Flow Cytometry - Anti-SSEA1 antibody [MC-480] (AB16285)

Cell surface flow analysis of SSEA1 on D3 mouse ES cells using ab16285 at 1 : 100 dilution. Purple histogram represents negative control; green line represents anti-SSEA1 antibody (ab16285).

This image is taken from an anonymous abreview.

Key facts

Host species

Mouse

Clonality

Monoclonal

Clone number

MC-480

Isotype

IgM

Light chain type

kappa

Carrier free

No

Reacts with

Mouse, Human

Applications

IHC-FoFr, Flow Cyt, ICC, IHC-P

applications

Immunogen

The exact immunogen used to generate this antibody is proprietary information.

Specificity

We guarantee IHC-P in Human only

Reactivity data

{ "title": "Reactivity Data", "filters": { "stats": ["", "Species", "Dilution Info", "Notes"], "tabs": { "all-applications": {"fullname" : "All Applications", "shortname": "All Applications"}, "IHCFoFr" : {"fullname" : "Immunohistochemistry (PFA perfusion fixed frozen sections)", "shortname":"IHC-FoFr"}, "IHCP" : {"fullname" : "Immunohistochemistry (Formalin/PFA-fixed paraffin-embedded sections)", "shortname":"IHC-P"}, "ICC" : {"fullname" : "Immunocytochemistry", "shortname":"ICC"}, "FlowCyt" : {"fullname" : "Flow Cytometry", "shortname":"Flow Cyt"} }, "product-promise": { "all": "all", "testedAndGuaranteed": "tested", "guaranteed": "expected", "predicted": "predicted", "notRecommended": "not-recommended" } }, "values": { "Human": { "IHCFoFr-species-checked": "guaranteed", "IHCFoFr-species-dilution-info": "", "IHCFoFr-species-notes": "<p></p>", "IHCP-species-checked": "testedAndGuaranteed", "IHCP-species-dilution-info": "1/200", "IHCP-species-notes": "<p></p> Perform heat-mediated antigen retrieval with citrate buffer pH 6 before commencing with IHC staining protocol.", "ICC-species-checked": "guaranteed", "ICC-species-dilution-info": "", "ICC-species-notes": "", "FlowCyt-species-checked": "guaranteed", "FlowCyt-species-dilution-info": "", "FlowCyt-species-notes": "" }, "Mouse": { "IHCFoFr-species-checked": "predicted", "IHCFoFr-species-dilution-info": "", "IHCFoFr-species-notes": "", "IHCP-species-checked": "guaranteed", "IHCP-species-dilution-info": "", "IHCP-species-notes": "", "ICC-species-checked": "testedAndGuaranteed", "ICC-species-dilution-info": "1/1000", "ICC-species-notes": "<p>Fixation with 100% MeOH (5 min) or 4% PFA (10 min).</p>", "FlowCyt-species-checked": "testedAndGuaranteed", "FlowCyt-species-dilution-info": "", "FlowCyt-species-notes": "<p></p>" } } }

Product details

Want a custom formulation?
This antibody clone is manufactured by Abcam. If you require a custom buffer formulation or conjugation for your experiments, please contact orders@abcam.com

Properties and storage information

Form
Liquid
Purity
Tissue culture supernatant
Purification notes
Tissue culture supernatant was cross flow concentrated.
Storage buffer
Preservative: 0.02% Sodium azide Constituents: 99% Tissue culture supernatant
Shipped at conditions
Blue Ice
Appropriate short-term storage duration
1-2 weeks
Appropriate short-term storage conditions
+4°C
Appropriate long-term storage conditions
-20°C
Aliquoting information
Upon delivery aliquot
Storage information
Avoid freeze / thaw cycle

Supplementary information

This supplementary information is collated from multiple sources and compiled automatically.

Stage-specific embryonic antigen-1 (SSEA-1) also known as CD15 is a carbohydrate antigen often attached to glycoproteins or glycolipids. It has a molecular mass of approximately 480 Da. SSEA-1 is prominently expressed on the surface of murine embryonal carcinoma cells granulocytes and neural stem cells. It plays a role in cellular processes such as adhesion where it influences cell-to-cell and cell-to-extracellular matrix interactions.
Biological function summary

SSEA-1 participates in the regulation of cell differentiation and migration. This carbohydrate antigen is particularly critical in developmental stages where it impacts cellular behaviors that are important for embryogenesis. It functions as an adhesion molecule playing a role in forming complexes with cell surface lectins. These complexes can influence how cells communicate and adhere to one another therefore affecting various aspects of cellular dynamics.

Pathways

SSEA-1 is integral to the leukocyte extravasation signaling pathway which is significant for the immune system's operation. It interacts with proteins involved in the regulation of inflammation and immune response such as selectins. The antigen aids the tethering and rolling of leukocytes on endothelial surfaces a precursor step for their transmigration into tissues. SSEA-1's interaction with selectins is important in this process driving important cellular functions that enable immune surveillance and responses.

SSEA-1 is associated with certain cancers such as leukemia and neurological disorders. In leukemia SSEA-1 can act as a marker for cancer stem cells influencing tumor progression and resistance to chemotherapy. In the context of neurological disorders its altered expression is connected with the pathology of Alzheimer's disease where neural stem cell behavior may be affected. Other proteins like amyloid precursors potentially interact with SSEA-1 in Alzheimer's contributing to the disease's complexity.

Product protocols

For this product, it's our understanding that no specific protocols are required. You can visit:

Target data

Catalyzes alpha(1->3) linkage of fucosyl moiety transferred from GDP-beta-L-fucose to N-acetyl glucosamine (GlcNAc) within type 2 lactosamine (LacNAc, Gal-beta(1->4)GlcNAc) glycan attached to N- or O-linked glycoproteins (PubMed : 11485743). Robustly fucosylates nonsialylated distal LacNAc unit of the polylactosamine chain to form Lewis X antigen (CD15), a glycan determinant known to mediate important cellular functions in development and immunity. Fucosylates with lower efficiency sialylated LacNAc acceptors to form sialyl Lewis X and 6-sulfo sialyl Lewis X determinants that serve as recognition epitopes for C-type lectins (PubMed : 11485743). Together with FUT7 contributes to SELE, SELL and SELP selectin ligand biosynthesis and selectin-dependent lymphocyte homing, leukocyte migration and blood leukocyte homeostasis (PubMed : 11485743). In a cell type specific manner, may also fucosylate the internal LacNAc unit of the polylactosamine chain to form VIM-2 antigen that serves as recognition epitope for SELE (By similarity).
See full target information Fut4

Publications (77)

Recent publications for all applications. Explore the full list and refine your search

European journal of medical research 30:748 PubMed40796870

2025

FGFR2 identified as a NETs-associated biomarker and therapeutic target in diabetic foot ulcers.

Applications

Unspecified application

Species

Unspecified reactive species

Linrui Dai,Shunli Rui,Mengling Yang,Shiyan Yu,Qingqing Chen,Hongyan Wang,Bo Deng,Liling Deng,Wei Hao,Xiaohua Wu,David G Armstrong,Zhidong Cao,Xiaodong Duan,Wuquan Deng

Frontiers in genome editing 6:1512108 PubMed39845894

2025

Hyperthermia suppresses the biological characteristics and migration of chicken primordial germ cells.

Applications

Unspecified application

Species

Unspecified reactive species

Yuzhou Gu,Kexin Wu,Bowen Niu,Zhiting Wang,Yuchen Jie,Zixuan Fan,Junying Li,Congjiao Sun,Zhuo-Cheng Hou,Li-Wa Shao

Journal of clinical medicine 13: PubMed39685514

2024

Scratch-Based Isolation of Primary Cells (SCIP): A Novel Method to Obtain a Large Number of Human Dental Pulp Cells Through One-Step Cultivation.

Applications

Unspecified application

Species

Unspecified reactive species

Yuki Kiyokawa,Masahiko Terajima,Masahiro Sato,Emi Inada,Yuria Hori,Ryo Bando,Yoko Iwase,Naoko Kubota,Tomoya Murakami,Hiroko Tsugane,Satoshi Watanabe,Takahiro Sonomura,Miho Terunuma,Takeyasu Maeda,Hirofumi Noguchi,Issei Saitoh

Cellular and molecular life sciences : CMLS 81:427 PubMed39377807

2024

Elucidation of the pluripotent potential of bovine embryonic lineages facilitates the establishment of formative stem cell lines.

Applications

Unspecified application

Species

Unspecified reactive species

Minglei Zhi,Dengfeng Gao,Yixuan Yao,Zimo Zhao,Yingjie Wang,Pengcheng He,Zhiqiang Feng,Jinying Zhang,Ziqi Huang,Wenyuan Gu,Jianglin Zhao,He Zhang,Shunxin Wang,Xin Li,Qiang Zhang,Zengyuan Zhao,Xinze Chen,Xiaowei Zhang,Lun Qin,Jun Liu,Chengjun Liu,Suying Cao,Shuai Gao,Wenli Yu,Zhu Ma,Jianyong Han

Poultry science 103:104140 PubMed39173217

2024

Role of PI3K/AKT signaling pathway involved in self-renewing and maintaining biological properties of chicken primordial germ cells.

Applications

Unspecified application

Species

Unspecified reactive species

Xin Liu,Liu Ye,Ying Ding,Wei Gong,Hongwu Qian,Kai Jin,Yingjie Niu,Qisheng Zuo,Jiuzhou Song,Wei Han,Guohong Chen,Bichun Li

Animal bioscience 37:1873-1886 PubMed39118547

2024

Comparison of primordial germ cell differences at different developmental time points in chickens.

Applications

Unspecified application

Species

Unspecified reactive species

Wei Gong,Yichen Zou,Xin Liu,Yingjie Niu,Kai Jin,Bichun Li,Qisheng Zuo

Journal of cellular physiology 239:e31295 PubMed38747637

2024

Male-pronuclei-specific granulin facilitates somatic cells reprogramming via mitigating excessive cell proliferation and enhancing lysosomal function.

Applications

Unspecified application

Species

Unspecified reactive species

Qingqing Wei,Yanwen Xu,Guina Cui,Jiatong Sun,Zhongqu Su,Xiaochen Kou,Yanhong Zhao,Suyuan Cao,Wenhui Li,Yiliang Xu,Shaorong Gao

Frontiers in cell and developmental biology 12:1306530 PubMed38410371

2024

Source cell-type epigenetic memory persists in induced pluripotent cells but is lost in subsequently derived germline cells.

Applications

Unspecified application

Species

Unspecified reactive species

Yu-Huey Lin,Jake D Lehle,John R McCarrey

Animals : an open access journal from MDPI 14: PubMed38254471

2024

The Establishment and Optimization of a Chicken Primordial Germ Cell Induction Model Using Small-Molecule Compounds.

Applications

Unspecified application

Species

Unspecified reactive species

Wei Gong,Juanjuan Zhao,Zeling Yao,Yani Zhang,Yingjie Niu,Kai Jin,Bichun Li,Qisheng Zuo

Cell proliferation 57:e13595 PubMed38185785

2024

Prickle1-driven basement membrane deposition of the iPSC-derived embryoid bodies is separable from the establishment of apicobasal polarity.

Applications

Unspecified application

Species

Unspecified reactive species

Dianlei Guo,Sikai Liu,Jiao Zhang,Xinyu Gu,Lei Shi,Yingchun Su,Shujuan Xu,Rong Ju,Yanhong Wei,Chunqiao Liu
View all publications

Product promise

We are committed to supporting your work with high-quality reagents, and we're here for you every step of the way. In the unlikely event that one of our products does not perform as expected, you're protected by our Product Promise.
For full details, please see our Terms & Conditions

Please note: All products are 'FOR RESEARCH USE ONLY. NOT FOR USE IN DIAGNOSTIC OR THERAPEUTIC PROCEDURES'.

For licensing inquiries, please contact partnerships@abcam.com