JavaScript is disabled in your browser. Please enable JavaScript to view this website.
AB190936

Anti-SSR3 antibody - N-terminal

Be the first to review this product! Submit a review

|

(2 Publications)

Rabbit Polyclonal SSR3 antibody. N-terminal. Suitable for IHC-P, WB, ICC/IF and reacts with Mouse, Rat, Human samples. Cited in 2 publications. Immunogen corresponding to Synthetic Peptide within Human SSR3 aa 1-50.

View Alternative Names

TRAPG, SSR3, Translocon-associated protein subunit gamma, TRAP-gamma, Signal sequence receptor subunit gamma, SSR-gamma

8 Images
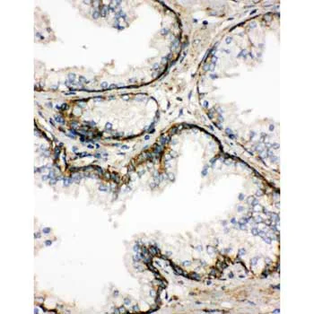
Immunohistochemistry (Formalin/PFA-fixed paraffin-embedded sections) - Anti-SSR3 antibody - N-terminal (AB190936)
  • IHC-P

Supplier Data

Immunohistochemistry (Formalin/PFA-fixed paraffin-embedded sections) - Anti-SSR3 antibody - N-terminal (AB190936)

Immunohistochemical analysis of paraffin-embedded Human prostatic cancer tissue labeling SSR3 with ab190936 at 1 μg/ml.

Immunocytochemistry/ Immunofluorescence - Anti-SSR3 antibody - N-terminal (AB190936)
  • ICC/IF

Supplier Data

Immunocytochemistry/ Immunofluorescence - Anti-SSR3 antibody - N-terminal (AB190936)

SSR3 was detected in immunocytochemical section of HeLa cell. Enzyme antigen retrieval was performed using IHC enzyme antigen retrieval reagent for 15 mins. The cells were blocked with 10% goat serum. And then incubated with 1μg/ml ab190936 overnight at 4°C. Biotinylated goat anti-rabbit IgG was used as secondary antibody and incubated for 30 minutes at 37°C. The section was developed using Strepavidin-Biotin-Complex with DAB as the chromogen.

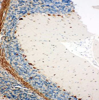
Immunohistochemistry (Formalin/PFA-fixed paraffin-embedded sections) - Anti-SSR3 antibody - N-terminal (AB190936)
  • IHC-P

Supplier Data

Immunohistochemistry (Formalin/PFA-fixed paraffin-embedded sections) - Anti-SSR3 antibody - N-terminal (AB190936)

Immunohistochemical analysis of paraffin-embedded Rat brain tissue labeling SSR3 with ab190936 at 1 μg/ml.

Immunohistochemistry (Formalin/PFA-fixed paraffin-embedded sections) - Anti-SSR3 antibody - N-terminal (AB190936)
  • IHC-P

Supplier Data

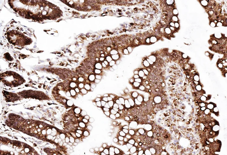
Immunohistochemistry (Formalin/PFA-fixed paraffin-embedded sections) - Anti-SSR3 antibody - N-terminal (AB190936)

SSR3 was detected in paraffin-embedded section of mouse intestine tissues. Heat mediated antigen retrieval was performed in citrate buffer (pH6, epitope retrieval solution) for 20 mins. The tissue section was blocked with 10% goat serum. The tissue section was then incubated with 1μg/ml ab190936 overnight at 4°C. Biotinylated goat anti-rabbit IgG was used as secondary antibody and incubated for 30 minutes at 37°C. The tissue section was developed using Strepavidin-Biotin-Complex with DAB as the chromogen.

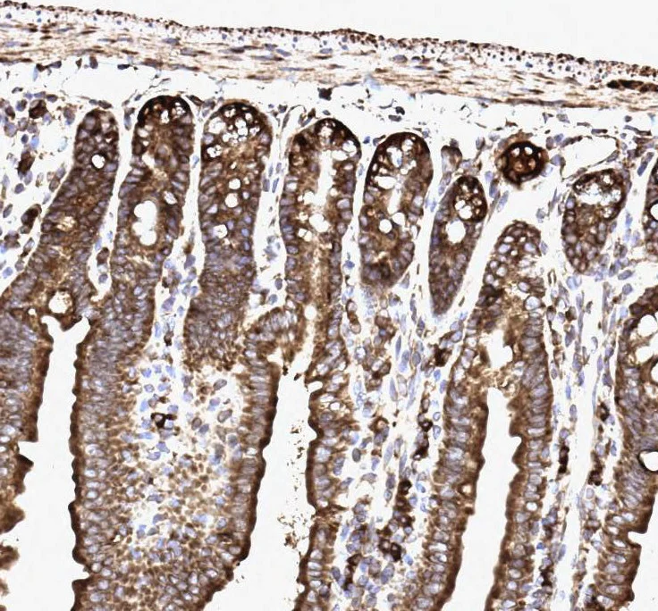
Immunohistochemistry (Formalin/PFA-fixed paraffin-embedded sections) - Anti-SSR3 antibody - N-terminal (AB190936)
  • IHC-P

Supplier Data

Immunohistochemistry (Formalin/PFA-fixed paraffin-embedded sections) - Anti-SSR3 antibody - N-terminal (AB190936)

Immunohistochemical analysis of paraffin-embedded Rat intestine tissue labeling SSR3 with ab190936 at 1 μg/ml.

Immunohistochemistry (Formalin/PFA-fixed paraffin-embedded sections) - Anti-SSR3 antibody - N-terminal (AB190936)
  • IHC-P

Supplier Data

Immunohistochemistry (Formalin/PFA-fixed paraffin-embedded sections) - Anti-SSR3 antibody - N-terminal (AB190936)

SSR3 was detected in paraffin-embedded section of rat intestine tissues. Heat mediated antigen retrieval was performed in citrate buffer (pH6, epitope retrieval solution) for 20 mins. The tissue section was blocked with 10% goat serum. The tissue section was then incubated with 1μg/ml rabbit ab190936 overnight at 4°C. Biotinylated goat anti-rabbit IgG was used as secondary antibody and incubated for 30 minutes at 37°C. The tissue section was developed using Strepavidin-Biotin-Complex with DAB as the chromogen.

Immunohistochemistry (Formalin/PFA-fixed paraffin-embedded sections) - Anti-SSR3 antibody - N-terminal (AB190936)
  • IHC-P

Supplier Data

Immunohistochemistry (Formalin/PFA-fixed paraffin-embedded sections) - Anti-SSR3 antibody - N-terminal (AB190936)

SSR3 was detected in paraffin-embedded section of rat intestine tissues. Heat mediated antigen retrieval was performed in citrate buffer (pH6, epitope retrieval solution) for 20 mins. The tissue section was blocked with 10% goat serum. The tissue section was then incubated with 1μg/ml ab190936 overnight at 4°C. Biotinylated goat anti-rabbit IgG was used as secondary antibody and incubated for 30 minutes at 37°C. The tissue section was developed using Strepavidin-Biotin-Complex with DAB as the chromogen.

Western blot - Anti-SSR3 antibody - N-terminal (AB190936)
  • WB

Supplier Data

Western blot - Anti-SSR3 antibody - N-terminal (AB190936)

All lanes:

Western blot - Anti-SSR3 antibody - N-terminal (ab190936) at 0.5 µg/mL

Lane 1:

Rat liver tissue lysate

Lane 2:

Rat spleen tissue lysate

Lane 3:

A431 cell lysate

Lane 4:

HeLa cell lysate

Lane 5:

U87 cell lysate

Lane 6:

SMMC cell lysate

Predicted band size: 21 kDa

false

Key facts

Host species

Rabbit

Clonality

Polyclonal

Isotype

IgG

Carrier free

No

Reacts with

Mouse, Rat, Human

Applications

IHC-P, WB, ICC/IF

applications

Immunogen

Synthetic Peptide within Human SSR3 aa 1-50. The exact immunogen used to generate this antibody is proprietary information.

Q9UNL2

Reactivity data

{ "title": "Reactivity Data", "filters": { "stats": ["", "Species", "Dilution Info", "Notes"], "tabs": { "all-applications": {"fullname" : "All Applications", "shortname": "All Applications"}, "IHCP" : {"fullname" : "Immunohistochemistry (Formalin/PFA-fixed paraffin-embedded sections)", "shortname":"IHC-P"}, "WB" : {"fullname" : "Western blot", "shortname":"WB"}, "ICCIF" : {"fullname" : "Immunocytochemistry/ Immunofluorescence", "shortname":"ICC/IF"} }, "product-promise": { "all": "all", "testedAndGuaranteed": "tested", "guaranteed": "expected", "predicted": "predicted", "notRecommended": "not-recommended" } }, "values": { "Human": { "IHCP-species-checked": "testedAndGuaranteed", "IHCP-species-dilution-info": "0.5-1 µg/mL", "IHCP-species-notes": "<p></p> Perform heat-mediated antigen retrieval with citrate buffer pH 6 before commencing with IHC staining protocol.", "WB-species-checked": "guaranteed", "WB-species-dilution-info": "", "WB-species-notes": "", "ICCIF-species-checked": "testedAndGuaranteed", "ICCIF-species-dilution-info": "0.5-1 µg/mL", "ICCIF-species-notes": "<p></p>" }, "Mouse": { "IHCP-species-checked": "testedAndGuaranteed", "IHCP-species-dilution-info": "0.5-1 µg/mL", "IHCP-species-notes": "<p></p> Perform heat-mediated antigen retrieval with citrate buffer pH 6 before commencing with IHC staining protocol.", "WB-species-checked": "guaranteed", "WB-species-dilution-info": "", "WB-species-notes": "", "ICCIF-species-checked": "guaranteed", "ICCIF-species-dilution-info": "", "ICCIF-species-notes": "" }, "Rat": { "IHCP-species-checked": "testedAndGuaranteed", "IHCP-species-dilution-info": "0.5-1 µg/mL", "IHCP-species-notes": "<p></p> Perform heat-mediated antigen retrieval with citrate buffer pH 6 before commencing with IHC staining protocol.", "WB-species-checked": "testedAndGuaranteed", "WB-species-dilution-info": "0.1-0.5 µg/mL", "WB-species-notes": "<p></p>", "ICCIF-species-checked": "guaranteed", "ICCIF-species-dilution-info": "", "ICCIF-species-notes": "" }, "Cow": { "IHCP-species-checked": "predicted", "IHCP-species-dilution-info": "", "IHCP-species-notes": "", "WB-species-checked": "predicted", "WB-species-dilution-info": "", "WB-species-notes": "", "ICCIF-species-checked": "predicted", "ICCIF-species-dilution-info": "", "ICCIF-species-notes": "" }, "Orangutan": { "IHCP-species-checked": "predicted", "IHCP-species-dilution-info": "", "IHCP-species-notes": "", "WB-species-checked": "predicted", "WB-species-dilution-info": "", "WB-species-notes": "", "ICCIF-species-checked": "predicted", "ICCIF-species-dilution-info": "", "ICCIF-species-notes": "" } } }

Properties and storage information

Form
Liquid
Purification technique
Affinity purification Immunogen
Storage buffer
Preservative: 0.025% Sodium azide, 0.025% Thimerosal (merthiolate) Constituents: 2.5% BSA, 0.45% Sodium chloride, 0.1% Sodium phosphate
Shipped at conditions
Blue Ice
Appropriate short-term storage duration
1-2 weeks
Appropriate short-term storage conditions
+4°C
Appropriate long-term storage conditions
-20°C
Aliquoting information
Upon delivery aliquot
Storage information
Avoid freeze / thaw cycle

Supplementary information

This supplementary information is collated from multiple sources and compiled automatically.

SSR3 also known as the signal sequence receptor subunit 3 or translocon-associated protein delta subunit is a component of the protein translocon complex located in the endoplasmic reticulum (ER) membrane. The protein has a mass of approximately 18-20 kDa. SSR3 is expressed in various tissues with significant levels in metabolically active tissues such as the liver and kidney. As a membrane-associated protein it functions as part of a larger complex that assists in the translocation of nascent polypeptides into the ER lumen.
Biological function summary

The involvement of SSR3 in the protein translocation process emphasizes its role in maintaining ER function and protein handling. It forms part of the heterotetrameric translocon-associated protein (TRAP) complex which includes SSR1 SSR2 and SSR4. This complex operates in the early stages of the secretory pathway assisting in the proper insertion and folding of nascent proteins into the ER. Consequently SSR3 plays a direct role in the synthesis of secretory and membrane-bound proteins ensuring the fidelity of protein modification and trafficking within the cell.

Pathways

SSR3 is intricately linked with the secretory pathway important for cell function and communication. The protein directly interacts with the translocon machinery which is responsible for mediating the transfer of nascent polypeptides through the ER membrane. SSR3's function in conjunction with TRAP and other components such as the signal recognition particle receptor allow transition into additional cellular pathways like the unfolded protein response (UPR). This relationship maintains ER homeostasis and cellular adaptability situating SSR3 within a network of proteins that respond to ER stress conditions.

SSR3 has connections to conditions related to ER stress such as neurodegenerative diseases and certain forms of diabetes. Given its role in protein folding and quality control disruptions in SSR3 function can contribute to the accumulation of misfolded proteins possibly linking it to disorders like Alzheimer's disease. In these scenarios interactions with proteins involved in the UPR like ATF6 and PERK indicate SSR3's contribution to the cellular attempt to rectify protein misfolding and restore ER capacity. Therefore understanding SSR3's function and regulation provides insight into the cellular response to stress that could influence therapeutic strategies for related diseases.

Product protocols

For this product, it's our understanding that no specific protocols are required. You can visit:

Target data

TRAP proteins are part of a complex whose function is to bind calcium to the ER membrane and thereby regulate the retention of ER resident proteins.
See full target information SSR3

Publications (2)

Recent publications for all applications. Explore the full list and refine your search

Frontiers in oncology 13:1184900 PubMed38144528

2023

Preclinical evidence for anaplastic lymphoma kinase inhibitors as novel therapeutic treatments for cholangiocarcinoma.

Applications

Unspecified application

Species

Unspecified reactive species

Kyaw Zwar Myint,Mireia Sueca-Comes,Pamela Collier,Brinda Balasubramanian,Simran Venkatraman,John Gordan,Abed M Zaitoun,Abhik Mukherjee,Arvind Arora,Noppadol Larbcharoensub,Chinnawut Suriyonplengsaeng,Kanokpan Wongprasert,Tavan Janvilisri,Dhanny Gomez,Anna M Grabowska,Rutaiwan Tohtong,David O Bates,Kiren Yacqub-Usman

Nature communications 11:2032 PubMed32341344

2020

Immunoglobulin expression and the humoral immune response is regulated by the non-canonical poly(A) polymerase TENT5C.

Applications

Unspecified application

Species

Unspecified reactive species

Aleksandra Bilska,Monika Kusio-Kobiałka,Paweł S Krawczyk,Olga Gewartowska,Bartosz Tarkowski,Kamil Kobyłecki,Dominika Nowis,Jakub Golab,Jakub Gruchota,Ewa Borsuk,Andrzej Dziembowski,Seweryn Mroczek
View all publications

Product promise

We are committed to supporting your work with high-quality reagents, and we're here for you every step of the way. In the unlikely event that one of our products does not perform as expected, you're protected by our Product Promise.
For full details, please see our Terms & Conditions

Please note: All products are 'FOR RESEARCH USE ONLY. NOT FOR USE IN DIAGNOSTIC OR THERAPEUTIC PROCEDURES'.

For licensing inquiries, please contact partnerships@abcam.com