JavaScript is disabled in your browser. Please enable JavaScript to view this website.
AB96704

Anti-SSRP1 antibody

3

(1 Review)

|

(0 Publication)

Rabbit Polyclonal SSRP1 antibody. Suitable for WB, IHC-P and reacts with Human samples. Immunogen corresponding to Recombinant Fragment Protein within Human SSRP1.

View Alternative Names

FACT80, SSRP1, FACT complex subunit SSRP1, Chromatin-specific transcription elongation factor 80 kDa subunit, Facilitates chromatin transcription complex 80 kDa subunit, Facilitates chromatin transcription complex subunit SSRP1, Recombination signal sequence recognition protein 1, Structure-specific recognition protein 1, T160, FACT 80 kDa subunit, FACTp80, hSSRP1

4 Images
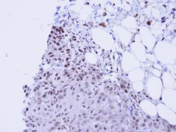
Immunohistochemistry (Formalin/PFA-fixed paraffin-embedded sections) - Anti-SSRP1 antibody (AB96704)
  • IHC-P

Unknown

Immunohistochemistry (Formalin/PFA-fixed paraffin-embedded sections) - Anti-SSRP1 antibody (AB96704)

ab96704, at a 1/100 dilution, staining human SSRP1 in Cal27 xenograft, using Immunohistochemistry, Formalin/PFA-fixed paraffin-embedded tissue.

Western blot - Anti-SSRP1 antibody (AB96704)
  • WB

Unknown

Western blot - Anti-SSRP1 antibody (AB96704)

7.5% SDS PAGE

All lanes:

Western blot - Anti-SSRP1 antibody (ab96704) at 1/1000 dilution

All lanes:

Molt-4 whole cell lysate at 30 µg

Predicted band size: 81 kDa

false

Western blot - Anti-SSRP1 antibody (AB96704)
  • WB

Supplier Data

Western blot - Anti-SSRP1 antibody (AB96704)

Samples were separated by 7.5% SDS PAGE.

All lanes:

Western blot - Anti-SSRP1 antibody (ab96704) at 1/1000 dilution

All lanes:

Jurkat Whole cell extract at 30 µg

Secondary

All lanes:

HRP-conjugated anti-rabbit IgG antibody

Predicted band size: 81 kDa

false

Western blot - Anti-SSRP1 antibody (AB96704)
  • WB

Supplier Data

Western blot - Anti-SSRP1 antibody (AB96704)

Samples were separated by 7.5% SDS PAGE.

All lanes:

Western blot - Anti-SSRP1 antibody (ab96704) at 1/1000 dilution

Lane 1:

293T whole cell lysates at 30 µg

Lane 2:

A431 whole cell lysates at 30 µg

Lane 3:

HeLa whole cell lysates at 30 µg

Lane 4:

HepG2 whole cell lysates at 30 µg

Secondary

All lanes:

HRP-conjugated anti-rabbit IgG antibody

Predicted band size: 81 kDa

false

Key facts

Host species

Rabbit

Clonality

Polyclonal

Isotype

IgG

Carrier free

No

Reacts with

Human

Applications

IHC-P, WB

applications

Immunogen

Recombinant Fragment Protein within Human SSRP1. The exact immunogen used to generate this antibody is proprietary information.

Q08945

Reactivity data

{ "title": "Reactivity Data", "filters": { "stats": ["", "Species", "Dilution Info", "Notes"], "tabs": { "all-applications": {"fullname" : "All Applications", "shortname": "All Applications"}, "WB" : {"fullname" : "Western blot", "shortname":"WB"}, "IHCP" : {"fullname" : "Immunohistochemistry (Formalin/PFA-fixed paraffin-embedded sections)", "shortname":"IHC-P"} }, "product-promise": { "all": "all", "testedAndGuaranteed": "tested", "guaranteed": "expected", "predicted": "predicted", "notRecommended": "not-recommended" } }, "values": { "Human": { "WB-species-checked": "testedAndGuaranteed", "WB-species-dilution-info": "1/500 - 1/3000", "WB-species-notes": "<p></p>", "IHCP-species-checked": "testedAndGuaranteed", "IHCP-species-dilution-info": "1/100 - 1/1000", "IHCP-species-notes": "<p></p>" }, "Mouse": { "WB-species-checked": "predicted", "WB-species-dilution-info": "", "WB-species-notes": "", "IHCP-species-checked": "predicted", "IHCP-species-dilution-info": "", "IHCP-species-notes": "" }, "Rat": { "WB-species-checked": "predicted", "WB-species-dilution-info": "", "WB-species-notes": "", "IHCP-species-checked": "predicted", "IHCP-species-dilution-info": "", "IHCP-species-notes": "" }, "Cow": { "WB-species-checked": "predicted", "WB-species-dilution-info": "", "WB-species-notes": "", "IHCP-species-checked": "predicted", "IHCP-species-dilution-info": "", "IHCP-species-notes": "" }, "Zebrafish": { "WB-species-checked": "predicted", "WB-species-dilution-info": "", "WB-species-notes": "", "IHCP-species-checked": "predicted", "IHCP-species-dilution-info": "", "IHCP-species-notes": "" } } }

Properties and storage information

Form
Liquid
Purification technique
Affinity purification Immunogen
Storage buffer
pH: 7 Preservative: 0.01% Thimerosal (merthiolate) Constituents: 10% Glycerol (glycerin, glycerine), 1.21% Tris, 0.75% Glycine
Shipped at conditions
Blue Ice
Appropriate short-term storage conditions
+4°C
Appropriate long-term storage conditions
-20°C
Aliquoting information
Upon delivery aliquot
Storage information
Avoid freeze / thaw cycle

Supplementary information

This supplementary information is collated from multiple sources and compiled automatically.

SSRP1 also known as Structure-Specific Recognition Protein 1 has an important role in DNA-related processes. This protein with a molecular weight of about 80 kDa binds DNA to regulate its structure during transcription and replication. SSRP1 localizes in the nucleus and expresses widely across various tissues indicating its broad functional significance. SSRP1 often pairs with SPT16 to form the FACT (Facilitates Chromatin Transcription) complex which aids in nucleosome disassembly and reassembly.
Biological function summary

SSRP1 is integral to processes involving chromatin reorganization and transcriptional regulation. It operates as a component of the FACT complex facilitating the modification of chromatin structure enabling access to the underlying DNA for active transcription. By altering nucleosome structure it assists RNA polymerase II in transcribing through chromatin directly influencing gene expression regulation.

Pathways

SSRP1 participates actively in DNA transcription and repair mechanisms. It is an essential player in the transcription elongation pathway interacting with RNA polymerase II. Additionally it influences the DNA repair pathways working in concert with proteins such as SPT16 and histones to maintain genomic stability. Its function ensures efficient transcription and protection against DNA damage.

SSRP1 connections emerge in the context of cancer and Alzheimer's disease. In cancer SSRP1 expression levels can correlate with tumor progression influencing the behavior of cancer cells through its role in transcriptional regulation. In Alzheimer's alterations in chromatin structure involving SSRP1 may link to disease progression. The activity of SSRP1 interacts with proteins such as p53 in cancer highlighting its role in disease mechanisms and potential as a therapeutic target.

Product protocols

For this product, it's our understanding that no specific protocols are required. You can visit:

Target data

Component of the FACT complex, a general chromatin factor that acts to reorganize nucleosomes. The FACT complex is involved in multiple processes that require DNA as a template such as mRNA elongation, DNA replication and DNA repair. During transcription elongation the FACT complex acts as a histone chaperone that both destabilizes and restores nucleosomal structure. It facilitates the passage of RNA polymerase II and transcription by promoting the dissociation of one histone H2A-H2B dimer from the nucleosome, then subsequently promotes the reestablishment of the nucleosome following the passage of RNA polymerase II. The FACT complex is probably also involved in phosphorylation of 'Ser-392' of p53/TP53 via its association with CK2 (casein kinase II). Binds specifically to double-stranded DNA and at low levels to DNA modified by the antitumor agent cisplatin. May potentiate cisplatin-induced cell death by blocking replication and repair of modified DNA. Also acts as a transcriptional coactivator for p63/TP63.
See full target information SSRP1

Product promise

We are committed to supporting your work with high-quality reagents, and we're here for you every step of the way. In the unlikely event that one of our products does not perform as expected, you're protected by our Product Promise.
For full details, please see our Terms & Conditions

Please note: All products are 'FOR RESEARCH USE ONLY. NOT FOR USE IN DIAGNOSTIC OR THERAPEUTIC PROCEDURES'.

For licensing inquiries, please contact partnerships@abcam.com