JavaScript is disabled in your browser. Please enable JavaScript to view this website.
AB272677

Anti-SSTR4 antibody

Be the first to review this product! Submit a review

|

(0 Publication)

Rabbit Polyclonal SSTR4 antibody. Suitable for IHC-P and reacts with Human samples. Immunogen corresponding to Recombinant Fragment Protein within Human SSTR4 aa 300 to C-terminus.

View Alternative Names

Somatostatin receptor type 4, SS-4-R, SS4-R, SS4R, SST4, SSTR4

4 Images
Immunohistochemistry (Formalin/PFA-fixed paraffin-embedded sections) - Anti-SSTR4 antibody (AB272677)
  • IHC-P

Supplier Data

Immunohistochemistry (Formalin/PFA-fixed paraffin-embedded sections) - Anti-SSTR4 antibody (AB272677)

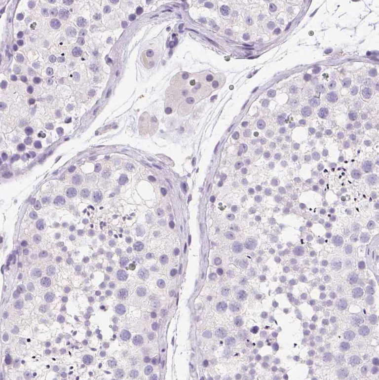
Immunohistochemistry (Formalin/PFA-fixed paraffin-embedded sections) analysis of human testis tissue labelling SSTR4 with ab272677 at 1/200 dilution. Heat mediated antigen retrieval performed with citrate buffer pH 6 before commencing with IHC staining protocol.

Immunohistochemistry (Formalin/PFA-fixed paraffin-embedded sections) - Anti-SSTR4 antibody (AB272677)
  • IHC-P

Supplier Data

Immunohistochemistry (Formalin/PFA-fixed paraffin-embedded sections) - Anti-SSTR4 antibody (AB272677)

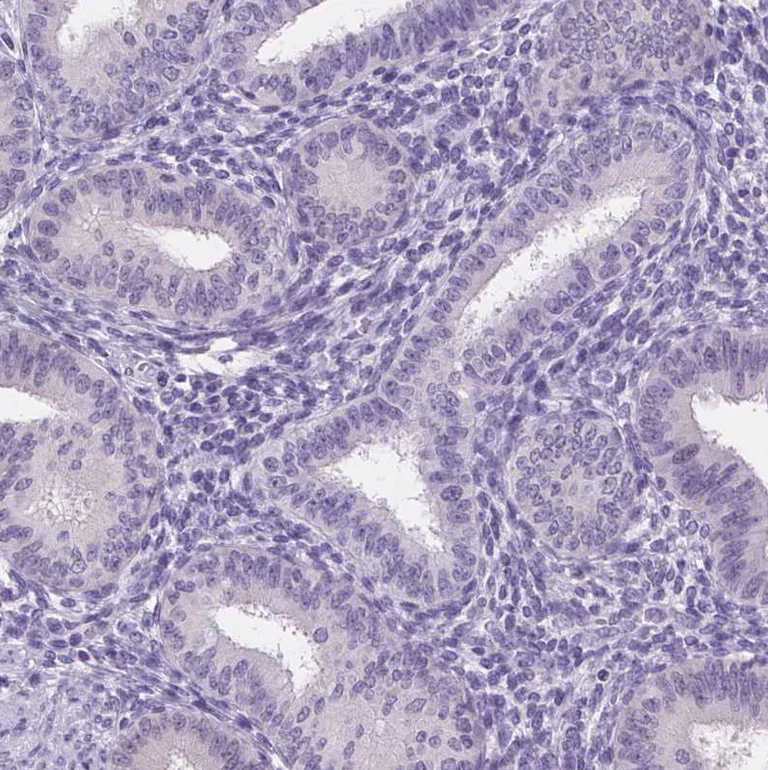
Immunohistochemistry (Formalin/PFA-fixed paraffin-embedded sections) analysis of human endometrium tissue labelling SSTR4 with ab272677 at 1/200 dilution. Heat mediated antigen retrieval performed with citrate buffer pH 6 before commencing with IHC staining protocol.

Immunohistochemistry (Formalin/PFA-fixed paraffin-embedded sections) - Anti-SSTR4 antibody (AB272677)
  • IHC-P

Supplier Data

Immunohistochemistry (Formalin/PFA-fixed paraffin-embedded sections) - Anti-SSTR4 antibody (AB272677)

Immunohistochemistry (Formalin/PFA-fixed paraffin-embedded sections) analysis of human cerebral cortex tissue labelling SSTR4 with ab272677 at 1/200 dilution. Heat mediated antigen retrieval performed with citrate buffer pH 6 before commencing with IHC staining protocol.

Immunohistochemistry (Formalin/PFA-fixed paraffin-embedded sections) - Anti-SSTR4 antibody (AB272677)
  • IHC-P

Supplier Data

Immunohistochemistry (Formalin/PFA-fixed paraffin-embedded sections) - Anti-SSTR4 antibody (AB272677)

Immunohistochemistry (Formalin/PFA-fixed paraffin-embedded sections) analysis of human cerebellum tissue labelling SSTR4 with ab272677 at 1/200 dilution. Heat mediated antigen retrieval performed with citrate buffer pH 6 before commencing with IHC staining protocol.

Key facts

Host species

Rabbit

Clonality

Polyclonal

Isotype

IgG

Carrier free

No

Reacts with

Human

Applications

IHC-P

applications

Immunogen

Recombinant Fragment Protein within Human SSTR4 aa 300 to C-terminus. The exact immunogen used to generate this antibody is proprietary information.

P31391

Reactivity data

{ "title": "Reactivity Data", "filters": { "stats": ["", "Species", "Dilution Info", "Notes"], "tabs": { "all-applications": {"fullname" : "All Applications", "shortname": "All Applications"}, "IHCP" : {"fullname" : "Immunohistochemistry (Formalin/PFA-fixed paraffin-embedded sections)", "shortname":"IHC-P"} }, "product-promise": { "all": "all", "testedAndGuaranteed": "tested", "guaranteed": "expected", "predicted": "predicted", "notRecommended": "not-recommended" } }, "values": { "Human": { "IHCP-species-checked": "testedAndGuaranteed", "IHCP-species-dilution-info": "1/50 - 1/200", "IHCP-species-notes": "<p></p> Perform heat-mediated antigen retrieval with citrate buffer pH 6 before commencing with IHC staining protocol." } } }

Properties and storage information

Form
Liquid
Purification technique
Affinity purification Immunogen
Storage buffer
pH: 7.2 Preservative: 0.02% Sodium azide Constituents: PBS, 40% Glycerol (glycerin, glycerine)
Shipped at conditions
Blue Ice
Appropriate short-term storage duration
1-2 weeks
Appropriate short-term storage conditions
+4°C
Appropriate long-term storage conditions
-20°C
Aliquoting information
Upon delivery aliquot
Storage information
Avoid freeze / thaw cycle

Supplementary information

This supplementary information is collated from multiple sources and compiled automatically.

The somatostatin receptor 4 (SSTR4) is a G protein-coupled receptor that binds somatostatin. It is also known as SS4R. With a molecular mass of around 41 kDa SSTR4 can induce signaling cascades by activating inhibitory G proteins leading to decreased cAMP levels in cells. It is largely expressed in the central nervous system including the spinal cord and brain and is also present in peripheral tissues.
Biological function summary

The function of SSTR4 involves regulating neurotransmission cell proliferation and secretion processes. It does not form part of a larger receptor complex but plays an important role in mediating inhibitory signals from somatostatin. SSTR4 modulates the release of many hormones and neurotransmitters influencing neural and endocrine communications in the body.

Pathways

SSTR4 is involved in important signaling pathways such as the somatostatin receptor signaling pathway and the MAPK signaling pathway. It often cooperates with related somatostatin receptor family members like SSTR2 and SSTR5. Through these pathways SSTR4 helps modulate cellular responses including gene expression and cell cycle control.

SSTR4 has been linked to neurodegenerative diseases such as Alzheimer's disease due to its role in neurotransmission and inflammatory regulation. It also connects to cancer particularly in inhibiting tumor progression and growth by activating antiproliferative pathways. Through these conditions SSTR4 interacts with proteins involved in inflammatory responses and cell proliferation further highlighting its therapeutic potential.

Product protocols

For this product, it's our understanding that no specific protocols are required. You can visit:

Target data

Receptor for somatostatin-14. The activity of this receptor is mediated by G proteins which inhibits adenylyl cyclase. It is functionally coupled not only to inhibition of adenylate cyclase, but also to activation of both arachidonate release and mitogen-activated protein (MAP) kinase cascade. Mediates antiproliferative action of somatostatin in tumor cells.
See full target information SSTR4

Product promise

We are committed to supporting your work with high-quality reagents, and we're here for you every step of the way. In the unlikely event that one of our products does not perform as expected, you're protected by our Product Promise.
For full details, please see our Terms & Conditions

Please note: All products are 'FOR RESEARCH USE ONLY. NOT FOR USE IN DIAGNOSTIC OR THERAPEUTIC PROCEDURES'.

For licensing inquiries, please contact partnerships@abcam.com