JavaScript is disabled in your browser. Please enable JavaScript to view this website.
AB240348

Anti-SSX2IP antibody [EPR16979] - BSA and Azide free

Be the first to review this product! Submit a review

|

(1 Publication)

Rabbit Recombinant Monoclonal SSX2IP antibody. Carrier free. Suitable for IP, WB, IHC-P and reacts with Human samples. Cited in 1 publication.

View Alternative Names

KIAA0923, SSX2IP, Afadin- and alpha-actinin-binding protein, ADIP, Afadin DIL domain-interacting protein, SSX2-interacting protein

3 Images
Immunohistochemistry (Formalin/PFA-fixed paraffin-embedded sections) - Anti-SSX2IP antibody [EPR16979] - BSA and Azide free (AB240348)
  • IHC-P

Supplier Data

Immunohistochemistry (Formalin/PFA-fixed paraffin-embedded sections) - Anti-SSX2IP antibody [EPR16979] - BSA and Azide free (AB240348)

Immunohistochemical analysis of paraffin-embedded Human cerebral cortex tissue labeling SSX2IP with ab199425 at 1/200 dilution followed by Goat Anti-Rabbit IgG H&L (HRP) (ab97051) at 1/500 dilution. Cytoplasm staining on Human cerebral cortex tissue is observed. Counter stained with Hematoxylin.
Negative control : Used PBS instead of primary ab.

This data was developed using the same antibody clone in a different buffer formulation containing PBS, BSA, glycerol, and sodium azide (ab199425).

Heat mediated antigen retrieval was performed with Tris/EDTA buffer pH 9.0 before commencing with IHC staining protocol.

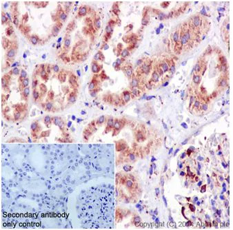
Immunohistochemistry (Formalin/PFA-fixed paraffin-embedded sections) - Anti-SSX2IP antibody [EPR16979] - BSA and Azide free (AB240348)
  • IHC-P

Supplier Data

Immunohistochemistry (Formalin/PFA-fixed paraffin-embedded sections) - Anti-SSX2IP antibody [EPR16979] - BSA and Azide free (AB240348)

Immunohistochemical analysis of paraffin-embedded Human kidney tissue labeling SSX2IP with ab199425 at 1/200 dilution followed by Goat Anti-Rabbit IgG H&L (HRP) (ab97051) at 1/500 dilution. Cytoplasm staining on Human kidney tissue is observed. Counter stained with Hematoxylin.
Negative control : Used PBS instead of primary ab.

This data was developed using the same antibody clone in a different buffer formulation containing PBS, BSA, glycerol, and sodium azide (ab199425).

Heat mediated antigen retrieval was performed with Tris/EDTA buffer pH 9.0 before commencing with IHC staining protocol.

Immunoprecipitation - Anti-SSX2IP antibody [EPR16979] - BSA and Azide free (AB240348)
  • IP

Supplier Data

Immunoprecipitation - Anti-SSX2IP antibody [EPR16979] - BSA and Azide free (AB240348)

SSX2IP was immunoprecipitated from 1mg of HEK293 (Human embryonic kidney) whole cell lysate with ab199425 at 1/150 dilution. Western blot was performed from the immunoprecipitate using ab199425 at 1/1000 dilution. Anti-Rabbit IgG (HRP), specific to the non-reduced form of IgG, was used as secondary antibody at 1/1500 dilution. Lane 1 : Input HEK293 whole cell lysate (10 µg). Lane 2 : HEK293 whole cell lysate folowing precipitation. Lane 3 : Rabbit monoclonal IgG (ab172730) instead of ab199425 in HEK293 whole cell lysate.
Blocking and dilution buffer and concentration : 5% NFDM/TBST. 10 second exposure.

This data was developed using the same antibody clone in a different buffer formulation containing PBS, BSA, glycerol, and sodium azide (ab199425).

All lanes:

Immunoprecipitation - Anti-SSX2IP antibody [EPR16979] (<a href='/en-us/products/primary-antibodies/ssx2ip-antibody-epr16979-ab199425'>ab199425</a>)

Predicted band size: 71 kDa

Observed band size: 68 kDa,71 kDa

false

Key facts

Host species

Rabbit

Clonality

Monoclonal

Clone number

EPR16979

Isotype

IgG

Carrier free

Yes

Reacts with

Human

Applications

IHC-P, IP, WB

applications

Immunogen

The exact immunogen used to generate this antibody is proprietary information.

Reactivity data

{ "title": "Reactivity Data", "filters": { "stats": ["", "Species", "Dilution Info", "Notes"], "tabs": { "all-applications": {"fullname" : "All Applications", "shortname": "All Applications"}, "IP" : {"fullname" : "Immunoprecipitation", "shortname":"IP"}, "WB" : {"fullname" : "Western blot", "shortname":"WB"}, "IHCP" : {"fullname" : "Immunohistochemistry (Formalin/PFA-fixed paraffin-embedded sections)", "shortname":"IHC-P"} }, "product-promise": { "all": "all", "testedAndGuaranteed": "tested", "guaranteed": "expected", "predicted": "predicted", "notRecommended": "not-recommended" } }, "values": { "Human": { "IP-species-checked": "testedAndGuaranteed", "IP-species-dilution-info": "", "IP-species-notes": "<p></p>", "WB-species-checked": "testedAndGuaranteed", "WB-species-dilution-info": "", "WB-species-notes": "<p></p>", "IHCP-species-checked": "testedAndGuaranteed", "IHCP-species-dilution-info": "", "IHCP-species-notes": "<p></p> Perform heat-mediated antigen retrieval with Tris/EDTA buffer pH 9.0 before commencing with IHC staining protocol." } } }

Product details

ab240348 is the carrier-free version of ab199425.

Patented technology
Our RabMAb® technology is a patented hybridoma-based technology for making rabbit monoclonal antibodies. For details on our patents, please refer to RabMAb® patents.

What are the advantages of a recombinant monoclonal antibody?
This product is a recombinant monoclonal antibody, which offers several advantages including:

  • - High batch-to-batch consistency and reproducibility
  • - Improved sensitivity and specificity
  • - Long-term security of supply
  • - Animal-free batch production

For more information, read more on recombinant antibodies.

Conjugation ready
Our carrier-free antibodies are typically supplied in a PBS-only formulation, purified and free of BSA, sodium azide and glycerol. This conjugation-ready format is designed for use with fluorochromes, metal isotopes, oligonucleotides, and enzymes, which makes them ideal for antibody labelling, functional and cell-based assays, flow-based assays (e.g. mass cytometry) and Multiplex Imaging applications.

Use our conjugation kits for antibody conjugates that are ready-to-use in as little as 20 minutes with 1 minute hands-on-time and 100% antibody recovery: available for fluorescent dyes, HRP, biotin and gold.

Compatibility
This product is compatible with the Maxpar® Antibody Labeling Kit from Fluidigm, without the need for antibody preparation. Maxpar® is a trademark of Fluidigm Canada Inc.

Properties and storage information

Form
Liquid
Purification technique
Affinity purification Protein A
Storage buffer
pH: 7.2 - 7.4 Constituents: PBS
Shipped at conditions
Blue Ice
Appropriate short-term storage conditions
+4°C
Appropriate long-term storage conditions
+4°C
Storage information
Do Not Freeze

Supplementary information

This supplementary information is collated from multiple sources and compiled automatically.

SSX2IP also known as ADIP or SSX2-interacting protein is a protein weighing approximately 73 kDa. It functions mechanically as a centrosomal protein interacting with proteins involved in centrosome duplication and spindle formation. SSX2IP shows expression in various tissues especially in dividing cells highlighting its role in cell cycle regulation. It interacts with proteins like CCDC155 (CEP155) during centrosome dynamics.
Biological function summary

SSX2IP facilitates the assembly of the mitotic spindle and the proper segregation of chromosomes during cell division. It is part of a complex where it collaborates with spindle assembly factors to ensure accurate cell division. By supporting centrosome integrity SSX2IP plays a necessary role in maintaining genomic stability and proper cell proliferation.

Pathways

Several elements such as cell cycle progression and the SPICE1-interacting pathway rely on SSX2IP. It participates in pathways that oversee centrosome duplication and spindle dynamics making it critical for mitotic progression. SSX2IP interacts with proteins like SPDYA and PLK1 which are key elements in cell cycle-related pathways ensuring the fidelity of cell division.

Abnormalities in SSX2IP expression or function may have connections to cancer and neurodevelopmental disorders. In oncology dysregulation of SSX2IP can affect centrosome function and contribute to chromosomal instability a hallmark of many cancers. Additionally its interaction with abnormal centrosomal proteins like ASPM links it to microcephaly affecting neural development. Therefore understanding SSX2IP offers valuable insights into both cancer biology and developmental anomalies.

Product protocols

For this product, it's our understanding that no specific protocols are required. You can visit:

Target data

Belongs to an adhesion system, which plays a role in the organization of homotypic, interneuronal and heterotypic cell-cell adherens junctions (AJs). May connect the nectin-afadin and E-cadherin-catenin system through alpha-actinin and may be involved in organization of the actin cytoskeleton at AJs through afadin and alpha-actinin (By similarity). Involved in cell movement : localizes at the leading edge of moving cells in response to PDGF and is required for the formation of the leading edge and the promotion of cell movement, possibly via activation of Rac signaling (By similarity). Acts as a centrosome maturation factor, probably by maintaining the integrity of the pericentriolar material and proper microtubule nucleation at mitotic spindle poles. The function seems to implicate at least in part WRAP73; the SSX2IP : WRAP73 complex is proposed to act as regulator of spindle anchoring at the mitotic centrosome (PubMed : 23816619, PubMed : 26545777). Involved in ciliogenesis (PubMed : 24356449). It is required for targeted recruitment of the BBSome, CEP290, RAB8, and SSTR3 to the cilia (PubMed : 24356449).
See full target information SSX2IP

Publications (1)

Recent publications for all applications. Explore the full list and refine your search

Experimental dermatology 33:e15009 PubMed38284185

2024

Road-traffic-related air pollution contributes to skin barrier alteration and growth defect of sensory neurons.

Applications

Unspecified application

Species

Unspecified reactive species

Christelle Le Gall-Lanotto,Anthony Verdin,Fabrice Cazier,Adeline Bataille-Savattier,Christelle Guéré,Marie M Dorr,Joachim W Fluhr,Dominique Courcot,Katell Vié,Laurent Misery
View all publications

Product promise

We are committed to supporting your work with high-quality reagents, and we're here for you every step of the way. In the unlikely event that one of our products does not perform as expected, you're protected by our Product Promise.
For full details, please see our Terms & Conditions

Please note: All products are 'FOR RESEARCH USE ONLY. NOT FOR USE IN DIAGNOSTIC OR THERAPEUTIC PROCEDURES'.

For licensing inquiries, please contact partnerships@abcam.com