JavaScript is disabled in your browser. Please enable JavaScript to view this website.
AB307600

Anti-ST14 antibody [EPR26785-94] - BSA and Azide free

Be the first to review this product! Submit a review

|

(0 Publication)

Rabbit Recombinant Monoclonal ST14 antibody. Carrier free. Suitable for ICC/IF, IHC-P, WB and reacts with Human, Rat, Mouse samples.

View Alternative Names

PRSS14, SNC19, TADG15, ST14, Suppressor of tumorigenicity 14 protein, Matriptase, Membrane-type serine protease 1, Prostamin, Serine protease 14, Serine protease TADG-15, Tumor-associated differentially-expressed gene 15 protein, MT-SP1

8 Images
Immunohistochemistry (Formalin/PFA-fixed paraffin-embedded sections) - Anti-ST14 antibody [EPR26785-94] - BSA and Azide free (AB307600)
  • IHC-P

Supplier Data

Immunohistochemistry (Formalin/PFA-fixed paraffin-embedded sections) - Anti-ST14 antibody [EPR26785-94] - BSA and Azide free (AB307600)

This data was developed using ab307599, the same antibody clone in a different buffer formulation. Immunohistochemical analysis of paraffin-embedded human testis tissue labeling ST14 with ab307599 at 1/100 dilution (4.94 µg/ml) followed by ready to use LeicaDS9800 (Bond™ Polymer Refine Detection). Negative control : no staining on human testis (PMID : 12871983). The section was incubated with ab307599 for 30 mins at room temperature. The immunostaining was performed on a Leica Biosystems BOND® RX instrument. Counterstained with Hematoxylin. Secondary antibody only control : Secondary antibody is ready to use LeicaDS9800 (Bond™ Polymer Refine Detection). Heat mediated antigen retrieval was performed with Tris-EDTA buffer (pH 9.0, Epitope Retrieval Solution2) for 20 mins.

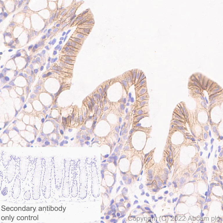
Immunohistochemistry (Formalin/PFA-fixed paraffin-embedded sections) - Anti-ST14 antibody [EPR26785-94] - BSA and Azide free (AB307600)
  • IHC-P

Supplier Data

Immunohistochemistry (Formalin/PFA-fixed paraffin-embedded sections) - Anti-ST14 antibody [EPR26785-94] - BSA and Azide free (AB307600)

This data was developed using ab307599, the same antibody clone in a different buffer formulation. Immunohistochemical analysis of paraffin-embedded human colon tissue labeling ST14 with ab307599 at 1/100 dilution (4.94 µg/ml) followed by ready to use LeicaDS9800 (Bond™ Polymer Refine Detection). Positive staining on human colon (PMID : 22081509). The section was incubated with ab307599 for 30 mins at room temperature. The immunostaining was performed on a Leica Biosystems BOND® RX instrument. Counterstained with Hematoxylin. Secondary antibody only control : Secondary antibody is ready to use LeicaDS9800 (Bond™ Polymer Refine Detection). Heat mediated antigen retrieval was performed with Tris-EDTA buffer (pH 9.0, Epitope Retrieval Solution2) for 20 mins.

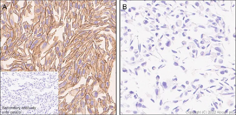
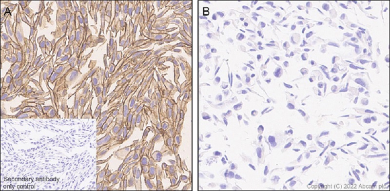
Immunohistochemistry (Formalin/PFA-fixed paraffin-embedded sections) - Anti-ST14 antibody [EPR26785-94] - BSA and Azide free (AB307600)
  • IHC-P

Supplier Data

Immunohistochemistry (Formalin/PFA-fixed paraffin-embedded sections) - Anti-ST14 antibody [EPR26785-94] - BSA and Azide free (AB307600)

This data was developed using ab307599, the same antibody clone in a different buffer formulation. Immunohistochemical analysis of paraffin-embedded cell pellets labeling ST14 with ab307599 at 1/100 dilution (4.94 µg/ml) followed by ready to use LeicaDS9800 (Bond™ Polymer Refine Detection). Positive staining on (A) T-47D cell pellet, no staining on (B) MDA-MB-231 cell pellet. The section was incubated with ab307599 for 30 mins at room temperature. The immunostaining was performed on a Leica Biosystems BOND® RX instrument. Counterstained with Hematoxylin. Secondary antibody only control : Secondary antibody is ready to use LeicaDS9800 (Bond™ Polymer Refine Detection). Heat mediated antigen retrieval was performed with Tris-EDTA buffer (pH 9.0, Epitope Retrieval Solution2) for 20 mins.

Immunocytochemistry/ Immunofluorescence - Anti-ST14 antibody [EPR26785-94] - BSA and Azide free (AB307600)
  • ICC/IF

Supplier Data

Immunocytochemistry/ Immunofluorescence - Anti-ST14 antibody [EPR26785-94] - BSA and Azide free (AB307600)

This data was developed using ab307599, the same antibody clone in a different buffer formulation. Immunofluorescent analysis of 4% Paraformaldehyde-fixed, 0.1% Triton X-100 permeabilized T-47D (human ductal breast epithelial tumor epithelial cell) cells labeling ST14 with ab307599 at 1/50 dilution, followed by ab150081 Goat Anti-Rabbit IgG H&L (Alexa Fluor® 488) preadsorbed antibody at 1/1000 dilution (Green). Confocal image showing membranous staining in T-47D cell line, no staining was observed in MDA-MB-231 cell line. Negative control : MDA-MB-231(PMID : 28915606). Image was taken with a confocal microscope(Leica-Microsystems, TCS SP8). ab195889 Anti-alpha Tubulin mouse monoclonal antibody - Microtubule Marker (Alexa Fluor® 594) was used to counterstain tubulin at 1/200 dilution (2.5 µg/ml) (Red). Nuclear counterstain was DAPI (Blue). Secondary antibody only control : Secondary antibody is ab150081 Goat Anti-Rabbit IgG H&L (Alexa Fluor® 488) preadsorbed at 1/1000 dilution.

Immunohistochemistry (Formalin/PFA-fixed paraffin-embedded sections) - Anti-ST14 antibody [EPR26785-94] - BSA and Azide free (AB307600)
  • IHC-P

Supplier Data

Immunohistochemistry (Formalin/PFA-fixed paraffin-embedded sections) - Anti-ST14 antibody [EPR26785-94] - BSA and Azide free (AB307600)

This data was developed using ab307599, the same antibody clone in a different buffer formulation. Immunohistochemical analysis of paraffin-embedded rat colon tissue labeling ST14 with ab307599 at 1/100 dilution (4.94 µg/ml) followed by ready to use LeicaDS9800 (Bond™ Polymer Refine Detection). Positive staining on rat colon. The section was incubated with ab307599 for 30 mins at room temperature. The immunostaining was performed on a Leica Biosystems BOND® RX instrument. Counterstained with Hematoxylin. Secondary antibody only control : Secondary antibody is ready to use LeicaDS9800 (Bond™ Polymer Refine Detection). Heat mediated antigen retrieval was performed with Tris-EDTA buffer (pH 9.0, Epitope Retrieval Solution2) for 20 mins.

Immunohistochemistry (Formalin/PFA-fixed paraffin-embedded sections) - Anti-ST14 antibody [EPR26785-94] - BSA and Azide free (AB307600)
  • IHC-P

Supplier Data

Immunohistochemistry (Formalin/PFA-fixed paraffin-embedded sections) - Anti-ST14 antibody [EPR26785-94] - BSA and Azide free (AB307600)

This data was developed using ab307599, the same antibody clone in a different buffer formulation. Immunohistochemical analysis of paraffin-embedded mouse colon tissue labeling ST14 with ab307599 at 1/100 dilution (4.94 µg/ml) followed by ready to use LeicaDS9800 (Bond™ Polymer Refine Detection). Positive staining on mouse colon. The section was incubated with ab307599 for 30 mins at room temperature. The immunostaining was performed on a Leica Biosystems BOND® RX instrument. Counterstained with Hematoxylin. Secondary antibody only control : Secondary antibody is ready to use LeicaDS9800 (Bond™ Polymer Refine Detection). Heat mediated antigen retrieval was performed with Tris-EDTA buffer (pH 9.0, Epitope Retrieval Solution2) for 20 mins.

Western blot - Anti-ST14 antibody [EPR26785-94] - BSA and Azide free (AB307600)
  • WB

Supplier Data

Western blot - Anti-ST14 antibody [EPR26785-94] - BSA and Azide free (AB307600)

This data was developed using ab307599, the same antibody clone in a different buffer formulation. Blocking and diluting buffer and concentration : 5% NFDM/TBST. Negative control : MDA-MB-231(PMID : 28915606). The lane 5 was developed using a high sensitivity ECL substrate. The identity of the lower MW bands beneath 80 kDa are expected to be degraded ST14. Exposure times : Lanes 1, 3 and 4 : 180 seconds Lane 2 : 70 seconds Lane 5 : 180 seconds

All lanes:

Western blot - Anti-ST14 antibody [EPR26785-94] (<a href='/en-us/products/primary-antibodies/st14-antibody-epr26785-94-ab307599'>ab307599</a>) at 1/1000 dilution

Lane 1:

NAMALWA (human Burkitt's lymphoma B lymphocyte) whole cell lysate at 40 µg

Lane 2:

T-47D (human ductal breast epithelial tumor epithelial cell), whole cell lysate at 40 µg

Lane 3:

MDA-MB-231 (human breast adenocarcinoma epithelial cell) whole cell lysate at 40 µg

Lane 4:

HaCaT (human skin keratinocyte) whole cell lysate at 40 µg

Lane 5:

Mouse kidney tissue lysate at 40 µg

Secondary

All lanes:

Western blot - Goat Anti-Rabbit IgG H&L (HRP) (<a href='/en-us/products/secondary-antibodies/goat-rabbit-igg-h-l-hrp-ab97051'>ab97051</a>) at 1/100000 dilution

Observed band size: 80 kDa,95 kDa

true

Western blot - Anti-ST14 antibody [EPR26785-94] - BSA and Azide free (AB307600)
  • WB

Supplier Data

Western blot - Anti-ST14 antibody [EPR26785-94] - BSA and Azide free (AB307600)

This data was developed using ab307599, the same antibody clone in a different buffer formulation. Blocking and diluting buffer and concentration : 5% NFDM/TBST. The blot was developed using a high sensitivity ECL substrate. The identity of the lower MW bands beneath 80 kDa are expected to be degraded ST14. Exposure times : Lanes 1 : 59 seconds Lane 2 : 70 seconds

All lanes:

Western blot - Anti-ST14 antibody [EPR26785-94] (<a href='/en-us/products/primary-antibodies/st14-antibody-epr26785-94-ab307599'>ab307599</a>) at 1/1000 dilution

Lane 1:

Rat kidney tissue lysate at 20 µg

Lane 2:

NR8383 (rat alveolar macrophage) whole cell lysate at 20 µg

Secondary

All lanes:

Western blot - Goat Anti-Rabbit IgG H&L (HRP) (<a href='/en-us/products/secondary-antibodies/goat-rabbit-igg-h-l-hrp-ab97051'>ab97051</a>) at 1/20000 dilution

Observed band size: 80 kDa,95 kDa

true

Key facts

Host species

Rabbit

Clonality

Monoclonal

Clone number

EPR26785-94

Isotype

IgG

Carrier free

Yes

Reacts with

Rat, Mouse, Human

Applications

ICC/IF, IHC-P, WB

applications

Immunogen

The exact immunogen used to generate this antibody is proprietary information.

Reactivity data

{ "title": "Reactivity Data", "filters": { "stats": ["", "Species", "Dilution Info", "Notes"], "tabs": { "all-applications": {"fullname" : "All Applications", "shortname": "All Applications"}, "ICCIF" : {"fullname" : "Immunocytochemistry/ Immunofluorescence", "shortname":"ICC/IF"}, "IHCP" : {"fullname" : "Immunohistochemistry (Formalin/PFA-fixed paraffin-embedded sections)", "shortname":"IHC-P"}, "WB" : {"fullname" : "Western blot", "shortname":"WB"}, "IP" : {"fullname" : "Immunoprecipitation", "shortname":"IP"}, "FlowCyt" : {"fullname" : "Flow Cytometry", "shortname":"Flow Cyt"} }, "product-promise": { "all": "all", "testedAndGuaranteed": "tested", "guaranteed": "expected", "predicted": "predicted", "notRecommended": "not-recommended" } }, "values": { "Human": { "ICCIF-species-checked": "testedAndGuaranteed", "ICCIF-species-dilution-info": "", "ICCIF-species-notes": "<p></p>", "IHCP-species-checked": "testedAndGuaranteed", "IHCP-species-dilution-info": "", "IHCP-species-notes": "<p></p>", "WB-species-checked": "testedAndGuaranteed", "WB-species-dilution-info": "", "WB-species-notes": "<p></p>", "IP-species-checked": "notRecommended", "IP-species-dilution-info": "", "IP-species-notes": "<p></p>", "FlowCyt-species-checked": "notRecommended", "FlowCyt-species-dilution-info": "", "FlowCyt-species-notes": "<p></p>" }, "Mouse": { "ICCIF-species-checked": "guaranteed", "ICCIF-species-dilution-info": "", "ICCIF-species-notes": "", "IHCP-species-checked": "testedAndGuaranteed", "IHCP-species-dilution-info": "", "IHCP-species-notes": "<p></p>", "WB-species-checked": "testedAndGuaranteed", "WB-species-dilution-info": "", "WB-species-notes": "<p></p>", "IP-species-checked": "notRecommended", "IP-species-dilution-info": "", "IP-species-notes": "", "FlowCyt-species-checked": "notRecommended", "FlowCyt-species-dilution-info": "", "FlowCyt-species-notes": "" }, "Rat": { "ICCIF-species-checked": "guaranteed", "ICCIF-species-dilution-info": "", "ICCIF-species-notes": "", "IHCP-species-checked": "testedAndGuaranteed", "IHCP-species-dilution-info": "", "IHCP-species-notes": "<p></p>", "WB-species-checked": "testedAndGuaranteed", "WB-species-dilution-info": "", "WB-species-notes": "<p></p>", "IP-species-checked": "notRecommended", "IP-species-dilution-info": "", "IP-species-notes": "", "FlowCyt-species-checked": "notRecommended", "FlowCyt-species-dilution-info": "", "FlowCyt-species-notes": "" } } }

Product details

Patented technology
Our RabMAb® technology is a patented hybridoma-based technology for making rabbit monoclonal antibodies. For details on our patents, please refer to RabMAb® patents.

What are the advantages of a recombinant monoclonal antibody?
This product is a recombinant monoclonal antibody, which offers several advantages including:

  • - High batch-to-batch consistency and reproducibility
  • - Improved sensitivity and specificity
  • - Long-term security of supply
  • - Animal-free batch production

For more information, read more on recombinant antibodies.

Conjugation ready
Our carrier-free antibodies are typically supplied in a PBS-only formulation, purified and free of BSA, sodium azide and glycerol. This conjugation-ready format is designed for use with fluorochromes, metal isotopes, oligonucleotides, and enzymes, which makes them ideal for antibody labelling, functional and cell-based assays, flow-based assays (e.g. mass cytometry) and Multiplex Imaging applications.

Use our conjugation kits for antibody conjugates that are ready-to-use in as little as 20 minutes with 1 minute hands-on-time and 100% antibody recovery: available for fluorescent dyes, HRP, biotin and gold.

Compatibility
This product is compatible with the Maxpar® Antibody Labeling Kit from Fluidigm, without the need for antibody preparation. Maxpar® is a trademark of Fluidigm Canada Inc.

Properties and storage information

Form
Liquid
Purification technique
Affinity purification Protein A
Storage buffer
pH: 7.2 - 7.4 Constituents: PBS
Shipped at conditions
Blue Ice
Appropriate short-term storage conditions
+4°C
Appropriate long-term storage conditions
+4°C

Supplementary information

This supplementary information is collated from multiple sources and compiled automatically.

ST14 also known as matriptase is a serine protease with a molecular mass of about 92 kDa. It exists as a single-chain zymogen and activates through cleavage to form a two-chain form. Matriptase resides on the surface of epithelial cells and shows high expression in several tissues such as the epidermis prostate and gastrointestinal tract. This protease plays a part in tissue homeostasis by initiating proteolytic cascades that modify the extracellular matrix and influence cellular processes.
Biological function summary

Matriptase regulates proteolytic activation events in the extracellular environment. It instigates cascades that activate specific growth factors and proteases playing a role in cell proliferation and migration. Matriptase forms a complex with hepatocyte growth factor activator inhibitor-1 (HAI-1) which modulates its activity. The balance between matriptase and its inhibitors is important for controlling epithelial cell dynamics and maintaining a healthy cellular environment.

Pathways

Matriptase contributes to key signaling pathways like the epidermal growth factor receptor (EGFR) pathway and the plasminogen activation pathway. Within the EGFR signaling matriptase activates growth factors that influence cell proliferation and survival. It also intersects with proteins like epithelial growth factor receptor and plasminogen which are significant for cellular functions and homeostasis. These pathways are important for maintaining normal tissue function and responding to cellular stress.

Deregulation of matriptase is linked to conditions like cancer and ichthyosis. Matriptase overexpression or aberrant activity often relates to tumor progression and cancer metastasis particularly in breast and prostate cancer. Dysregulation also associates with the skin disorder ichthyosis due to imbalance with its inhibitor HAI-1 leading to defective epidermal permeability. Understanding matriptase's role in these diseases helps in designing therapeutic strategies and targeting the protease with specific inhibitors.

Product protocols

For this product, it's our understanding that no specific protocols are required. You can visit:

Target data

Exhibits trypsin-like activity as defined by cleavage of synthetic substrates with Arg or Lys as the P1 site (PubMed : 10373424). Involved in the terminal differentiation of keratinocytes through prostasin (PRSS8) activation and filaggrin (FLG) processing (PubMed : 18843291). Proteolytically cleaves and therefore activates TMPRSS13 (PubMed : 28710277).
See full target information ST14

Product promise

We are committed to supporting your work with high-quality reagents, and we're here for you every step of the way. In the unlikely event that one of our products does not perform as expected, you're protected by our Product Promise.
For full details, please see our Terms & Conditions

Please note: All products are 'FOR RESEARCH USE ONLY. NOT FOR USE IN DIAGNOSTIC OR THERAPEUTIC PROCEDURES'.

For licensing inquiries, please contact partnerships@abcam.com