JavaScript is disabled in your browser. Please enable JavaScript to view this website.
AB317557

Anti-ST2 antibody [EPR28307-82]

Be the first to review this product! Submit a review

|

(1 Publication)

Rabbit Recombinant Monoclonal ST2 antibody. Suitable for WB, IP and reacts with Human, Mouse samples. Cited in 1 publication.

View Alternative Names

Ly84, St2, Ste2, Il1rl1, Interleukin-1 receptor-like 1, Interleukin-33 receptor alpha chain, Lymphocyte antigen 84, Protein ST2, Protein T1

4 Images
Immunoprecipitation - Anti-ST2 antibody [EPR28307-82] (AB317557)
  • IP

Supplier Data

Immunoprecipitation - Anti-ST2 antibody [EPR28307-82] (AB317557)

ST2 was immunoprecipitated from 0.35 mg NIH/3T3 (mouse embryonic fibroblast) whole cell lysate with ab317557 at 1/30 dilution (2ug in 0.35mg lysates). Western blot was performed on the immunoprecipitate using ab317557 at 1/1000 dilution. VeriBlot for IP secondary antibody(HRP)(ab131366) was used at 1/5000 dilution.

Lane 1 : NIH/3T3 (mouse embryonic fibroblast) whole cell lysate
Lane 2 : ab317557 IP in NIH/3T3 (mouse embryonic fibroblast) whole cell lysate
Lane 3 : Rabbit monoclonal IgG (ab172730) instead of ab317557 in NIH/3T3 whole cell lysate

All lanes:

Immunoprecipitation - Anti-ST2 antibody [EPR28307-82] (ab317557) at 1/30 dilution

All lanes:

NIH/3T3 (mouse embryonic fibroblast) whole cell lysate

Secondary

All lanes:

Immunoprecipitation - VeriBlot for IP Detection Reagent (HRP) (<a href='/en-us/products/reagents/veriblot-for-ip-detection-reagent-hrp-ab131366'>ab131366</a>) at 1/5000 dilution

false

Exposure time: 180s

Western blot - Anti-ST2 antibody [EPR28307-82] (AB317557)
  • WB

Supplier Data

Western blot - Anti-ST2 antibody [EPR28307-82] (AB317557)

Negative control : HepG2

In Western blot, Anti-GAPDH antibody [EPR16891] - Loading Control (ab181602) staining at 1/200000 dilution.

All lanes:

Western blot - Anti-ST2 antibody [EPR28307-82] (ab317557) at 1/1000 dilution

Lane 1:

HeLa (human cervical adenocarcinoma epithelial cell) whole cell lysate at 20 µg

Lane 2:

293T (human embryonic kidney epithelial cell) whole cell lysate at 20 µg

Lane 3:

HepG2 (human hepatocellar carcinoma epithelial cell) whole cell lysate at 20 µg

Secondary

All lanes:

Western blot - Goat Anti-Rabbit IgG H&L (HRP) (<a href='/en-us/products/secondary-antibodies/goat-rabbit-igg-h-l-hrp-ab97051'>ab97051</a>) at 1/100000 dilution

Observed band size: 64 kDa,36 kDa

false

Exposure time: 180s

Western blot - Anti-ST2 antibody [EPR28307-82] (AB317557)
  • WB

Supplier Data

Western blot - Anti-ST2 antibody [EPR28307-82] (AB317557)

In Western blot, Anti-GAPDH antibody [EPR16891] - Loading Control (ab181602) staining at 1/200000 dilution.

All lanes:

Western blot - Anti-ST2 antibody [EPR28307-82] (ab317557) at 1/1000 dilution

Lane 1:

NIH/3T3 (mouse embryonic fibroblast) transfected with scrambled siRNA control whole cell lysate at 20 µg

Lane 2:

NIH/3T3 transfected with siRNA specifically targeting ST2 whole cell lysate at 20 µg

Secondary

All lanes:

Western blot - Goat Anti-Rabbit IgG H&L (HRP) (<a href='/en-us/products/secondary-antibodies/goat-rabbit-igg-h-l-hrp-ab97051'>ab97051</a>) at 1/100000 dilution

Observed band size: 64 kDa,36 kDa

true

Exposure time: 62s

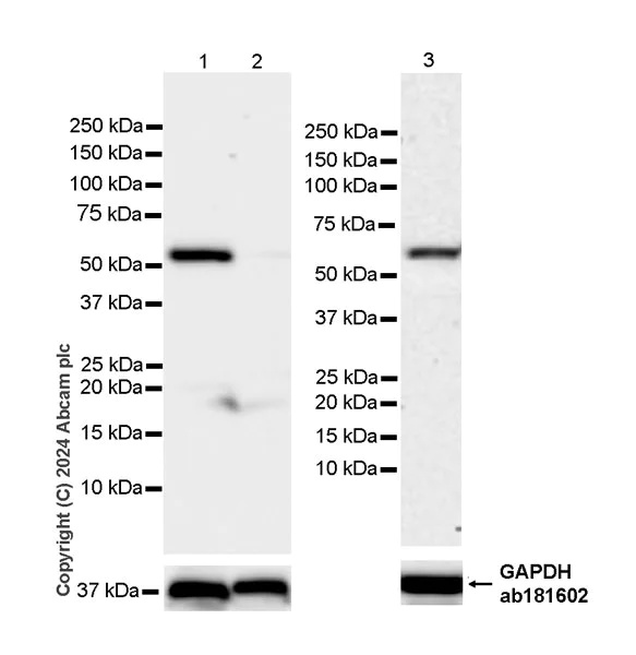
Western blot - Anti-ST2 antibody [EPR28307-82] (AB317557)
  • WB

Supplier Data

Western blot - Anti-ST2 antibody [EPR28307-82] (AB317557)

Low expression : HL-1

In Western blot, Anti-GAPDH antibody [EPR16891] - Loading Control (ab181602) staining at 1/200000 dilution.

All lanes:

Western blot - Anti-ST2 antibody [EPR28307-82] (ab317557) at 1/1000 dilution

Lane 1:

P815 (mouse mastocytoma mast Cell) whole cell lysate at 20 µg

Lane 2:

HL-1 (mouse atrial muscle cell) whole cell lysate at 20 µg

Lane 3:

RAW 264.7 (mouse Abelson murine leukemia virus-induced tumor macrophage) whole cell lysate at 20 µg

Secondary

All lanes:

Western blot - Goat Anti-Rabbit IgG H&L (HRP) (<a href='/en-us/products/secondary-antibodies/goat-rabbit-igg-h-l-hrp-ab97051'>ab97051</a>) at 1/100000 dilution

Observed band size: 64 kDa,36 kDa

false

Exposure time: 48s

  • Carrier free

    Anti-ST2 antibody [EPR28307-82] - BSA and Azide free

Key facts

Host species

Rabbit

Clonality

Monoclonal

Clone number

EPR28307-82

Isotype

IgG

Carrier free

No

Reacts with

Human, Mouse

Applications

WB, IP

applications

Immunogen

The exact immunogen used to generate this antibody is proprietary information.

Reactivity data

{ "title": "Reactivity Data", "filters": { "stats": ["", "Species", "Dilution Info", "Notes"], "tabs": { "all-applications": {"fullname" : "All Applications", "shortname": "All Applications"}, "WB" : {"fullname" : "Western blot", "shortname":"WB"}, "IP" : {"fullname" : "Immunoprecipitation", "shortname":"IP"}, "ICCIF" : {"fullname" : "Immunocytochemistry/ Immunofluorescence", "shortname":"ICC/IF"}, "FlowCyt" : {"fullname" : "Flow Cytometry", "shortname":"Flow Cyt"}, "IHCP" : {"fullname" : "Immunohistochemistry (Formalin/PFA-fixed paraffin-embedded sections)", "shortname":"IHC-P"} }, "product-promise": { "all": "all", "testedAndGuaranteed": "tested", "guaranteed": "expected", "predicted": "predicted", "notRecommended": "not-recommended" } }, "values": { "Human": { "WB-species-checked": "testedAndGuaranteed", "WB-species-dilution-info": "1/1000", "WB-species-notes": "<p></p>", "IP-species-checked": "guaranteed", "IP-species-dilution-info": "", "IP-species-notes": "", "ICCIF-species-checked": "notRecommended", "ICCIF-species-dilution-info": "", "ICCIF-species-notes": "", "FlowCyt-species-checked": "notRecommended", "FlowCyt-species-dilution-info": "", "FlowCyt-species-notes": "", "IHCP-species-checked": "notRecommended", "IHCP-species-dilution-info": "", "IHCP-species-notes": "<p></p>" }, "Mouse": { "WB-species-checked": "testedAndGuaranteed", "WB-species-dilution-info": "1/1000", "WB-species-notes": "<p></p>", "IP-species-checked": "testedAndGuaranteed", "IP-species-dilution-info": "1/30", "IP-species-notes": "<p></p>", "ICCIF-species-checked": "notRecommended", "ICCIF-species-dilution-info": "", "ICCIF-species-notes": "<p></p>", "FlowCyt-species-checked": "notRecommended", "FlowCyt-species-dilution-info": "", "FlowCyt-species-notes": "<p></p>", "IHCP-species-checked": "notRecommended", "IHCP-species-dilution-info": "", "IHCP-species-notes": "<p></p>" }, "Rat": { "WB-species-checked": "notRecommended", "WB-species-dilution-info": "", "WB-species-notes": "<p></p>", "IP-species-checked": "notRecommended", "IP-species-dilution-info": "", "IP-species-notes": "", "ICCIF-species-checked": "notRecommended", "ICCIF-species-dilution-info": "", "ICCIF-species-notes": "", "FlowCyt-species-checked": "notRecommended", "FlowCyt-species-dilution-info": "", "FlowCyt-species-notes": "", "IHCP-species-checked": "notRecommended", "IHCP-species-dilution-info": "", "IHCP-species-notes": "<p></p>" } } }

Product details

Patented technology
Our RabMAb® technology is a patented hybridoma-based technology for making rabbit monoclonal antibodies. For details on our patents, please refer to RabMAb® patents.

What are the advantages of a recombinant monoclonal antibody?
This product is a recombinant monoclonal antibody, which offers several advantages including:

  • - High batch-to-batch consistency and reproducibility
  • - Improved sensitivity and specificity
  • - Long-term security of supply
  • - Animal-free batch production

For more information, read more on recombinant antibodies.

Properties and storage information

Form
Liquid
Purification technique
Affinity purification Protein A
Storage buffer
pH: 7.2 - 7.4 Preservative: 0.01% Sodium azide Constituents: PBS, 40% Glycerol (glycerin, glycerine), 0.05% BSA
Shipped at conditions
Blue Ice
Appropriate short-term storage duration
1-2 weeks
Appropriate short-term storage conditions
+4°C
Appropriate long-term storage conditions
-20°C
Aliquoting information
Upon delivery aliquot
Storage information
Avoid freeze / thaw cycle

Supplementary information

This supplementary information is collated from multiple sources and compiled automatically.

ST2 also known as IL-1RL1 or IL-1RL1 chimera protein is a member of the IL-1 receptor family. It has a molecular mass of approximately 55 kDa. This protein exists in different forms including a membrane-bound form and a soluble variant. Researchers typically find ST2 expressed in various tissues including the lungs gut and cardiovascular system. The expression level can vary significantly depending on the physiological or pathological state.
Biological function summary

ST2 interacts with interleukin-33 (IL-33) and functions as its receptor. The binding of IL-33 to ST2 activates immune responses particularly influencing T-helper 2 (Th2) cells. ST2 forms part of a receptor complex including IL-1 receptor accessory protein IL-1RAcP necessary for signal transduction. This interaction leads to the activation of nuclear factor kappa-light-chain-enhancer of activated B cells (NF-kB) and mitogen-activated protein kinase (MAPK) signaling pathways facilitating inflammatory responses.

Pathways

IL-33 signals through the ST2 receptor participating actively in the immune signaling pathway. This pathway plays a significant role in modulating inflammatory and immune responses. ST2 association with NF-kB broadly affects inflammatory signaling while its involvement with the MAPK pathway aids in cellular responses to cytokines and stress. The close relationship with the IL-33/ST2 axis highlights its importance in maintaining immune homeostasis and reacting to environmental stressors.

ST2 has significant associations with asthma and cardiovascular diseases. In asthma the IL-33/ST2 axis critically contributes to airway inflammation and hyperresponsiveness. Similarly in the context of cardiovascular diseases elevated levels of soluble ST2 are markers of heart failure with the ST2/IL-33 axis contributing to cardiac remodeling. ST2's connection with inflammatory processes implies it also interacts with other cytokines such as interleukin-6 (IL-6) exacerbating the disease states through shared pathways.

Product protocols

For this product, it's our understanding that no specific protocols are required. You can visit:

Target data

Receptor for interleukin-33 (IL-33) which plays crucial roles in innate and adaptive immunity, contributing to tissue homeostasis and responses to environmental stresses together with coreceptor IL1RAP (PubMed : 17675517, PubMed : 18450470, PubMed : 22660580, PubMed : 29045903). Its stimulation recruits MYD88, IRAK1, IRAK4, and TRAF6, followed by phosphorylation of MAPK3/ERK1 and/or MAPK1/ERK2, MAPK14, and MAPK8 (By similarity). Possibly involved in helper T-cell function (By similarity). Upon tissue injury, induces UCP2-dependent mitochondrial rewiring that attenuates the generation of reactive oxygen species and preserves the integrity of Krebs cycle required for persistent production of itaconate and subsequent GATA3-dependent differentiation of inflammation-resolving alternatively activated macrophages (PubMed : 34644537).. Isoform B. Inhibits IL-33 signaling.
See full target information Il1rl1

Publications (1)

Recent publications for all applications. Explore the full list and refine your search

Cellular and molecular biology (Noisy-le-Grand, France) 71:36-42 PubMed39976915

2025

Notch/IL33/ST2 signaling was involved in the maintenance of intestinal epithelial barrier through regulating tight junction after LPS stimulation.

Applications

Unspecified application

Species

Unspecified reactive species

Yuanling Zhang,Chao Xu,Fang Li,Guoqing Chen
View all publications

Product promise

We are committed to supporting your work with high-quality reagents, and we're here for you every step of the way. In the unlikely event that one of our products does not perform as expected, you're protected by our Product Promise.
For full details, please see our Terms & Conditions

Please note: All products are 'FOR RESEARCH USE ONLY. NOT FOR USE IN DIAGNOSTIC OR THERAPEUTIC PROCEDURES'.

For licensing inquiries, please contact partnerships@abcam.com