JavaScript is disabled in your browser. Please enable JavaScript to view this website.
AB325041

Anti-ST8SIA6 antibody [EPR29919-587]

Be the first to review this product! Submit a review

|

(0 Publication)

Rabbit Recombinant Monoclonal SIA8F antibody. Suitable for IHC-P, WB and reacts with Transfected cell line - Mouse, Mouse samples.

View Alternative Names

Siat8f, Sialyltransferase 8F, Sialyltransferase St8Sia VI, SIAT8-F, ST8SiaVI

8 Images
Immunohistochemistry (Formalin/PFA-fixed paraffin-embedded sections) - Anti-ST8SIA6 antibody [EPR29919-587] (AB325041)
  • IHC-P

Supplier Data

Immunohistochemistry (Formalin/PFA-fixed paraffin-embedded sections) - Anti-ST8SIA6 antibody [EPR29919-587] (AB325041)

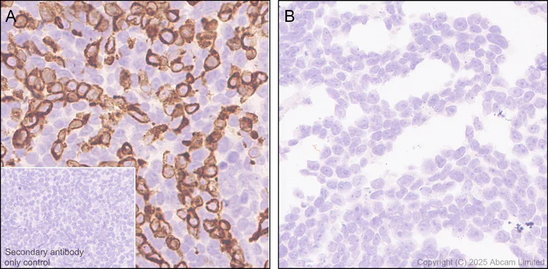
Immunohistochemical analysis of paraffin-embedded (A) HEK-293T (human embryonic kidney epithelial cell) transfected with a mouse ST8SIA6 expression vector containing a his tag; (B) HEK-293T transfected with empty vector containing a his tag labeling ST8SIA6 with ab325041 at 1/100 (4.81 ug/ml) dilution, followed by a ready to use LeicaDS9800 (Bond™ Polymer Refine Detection).

Positive staining in (A) HEK-293T (human embryonic kidney epithelial cell) transfected with a mouse ST8SIA6 expression vector containing a his tag, and no staining in (B) HEK-293T transfected with empty vector containing a his tag.
The section was incubated with ab322460 for 30 mins at room temperature.
The immunostaining was performed on a Leica Biosystems BOND® RX instrument

Counterstained with Hematoxylin.

Secondary antibody only control : Secondary antibody is a ready to use LeicaDS9800 (Bond™ Polymer Refine Detection).

Heat mediated antigen retrieval was performed with Tris-EDTA buffer (pH 9.0, Epitope Retrieval Solution2) for 20 mins

Immunohistochemistry (Formalin/PFA-fixed paraffin-embedded sections) - Anti-ST8SIA6 antibody [EPR29919-587] (AB325041)
  • IHC-P

Supplier Data

Immunohistochemistry (Formalin/PFA-fixed paraffin-embedded sections) - Anti-ST8SIA6 antibody [EPR29919-587] (AB325041)

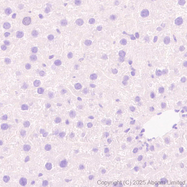
Immunohistochemical analysis of paraffin-embedded Mouse liver tissue labeling ST8SIA6 with ab325041 at 1/100 (4.81 ug/ml) dilution, followed by a ready to use LeicaDS9800 (Bond™ Polymer Refine Detection).

Negative control : No staining in mouse liver.
The primary antibody was incubated for 30 mins at room temperature.
The immunostaining was performed on a Leica Biosystems BOND® RX instrument

Counterstained with Hematoxylin.

Secondary antibody only control : Secondary antibody is a ready to use LeicaDS9800 (Bond™ Polymer Refine Detection).

Heat mediated antigen retrieval was performed with Tris-EDTA buffer (pH 9.0, Epitope Retrieval Solution2) for 20 mins

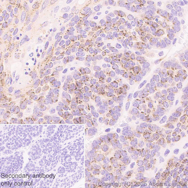
Immunohistochemistry (Formalin/PFA-fixed paraffin-embedded sections) - Anti-ST8SIA6 antibody [EPR29919-587] (AB325041)
  • IHC-P

Supplier Data

Immunohistochemistry (Formalin/PFA-fixed paraffin-embedded sections) - Anti-ST8SIA6 antibody [EPR29919-587] (AB325041)

Immunohistochemical analysis of paraffin-embedded Mouse squamous cell carcinoma tissue labeling ST8SIA6 with ab325041 at 1/100 (4.81 ug/ml) dilution, followed by a ready to use LeicaDS9800 (Bond™ Polymer Refine Detection).

Positive staining in mouse squamous cell carcinoma.
The primary antibody was incubated for 30 mins at room temperature.
The immunostaining was performed on a Leica Biosystems BOND® RX instrument

Counterstained with Hematoxylin.

Secondary antibody only control : Secondary antibody is a ready to use LeicaDS9800 (Bond™ Polymer Refine Detection).

Heat mediated antigen retrieval was performed with Tris-EDTA buffer (pH 9.0, Epitope Retrieval Solution2) for 20 mins

Immunohistochemistry (Formalin/PFA-fixed paraffin-embedded sections) - Anti-ST8SIA6 antibody [EPR29919-587] (AB325041)
  • IHC-P

Supplier Data

Immunohistochemistry (Formalin/PFA-fixed paraffin-embedded sections) - Anti-ST8SIA6 antibody [EPR29919-587] (AB325041)

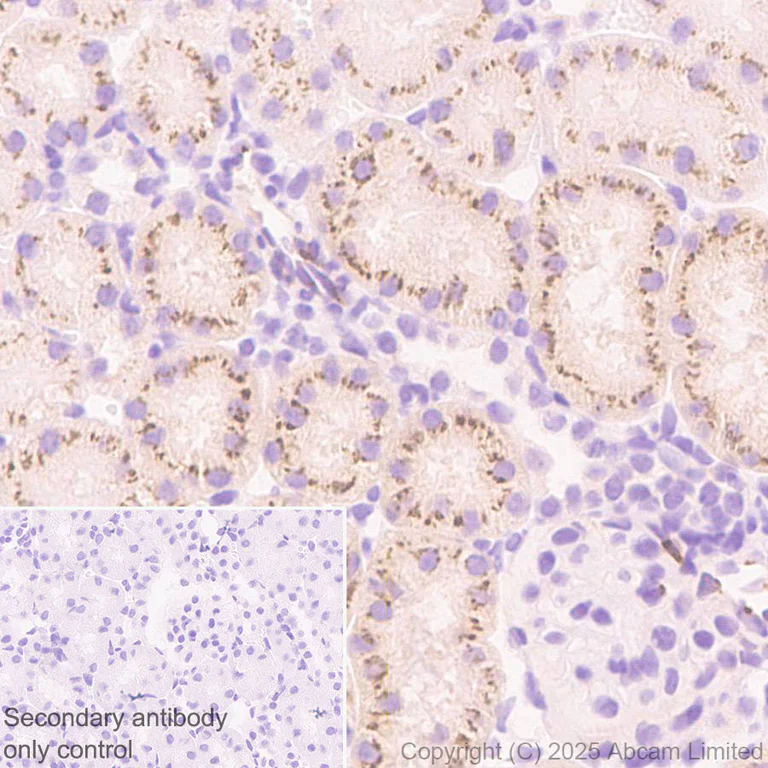
Immunohistochemical analysis of paraffin-embedded Mouse kidney tissue labeling ST8SIA6 with ab325041 at 1/100 (4.81 ug/ml) dilution, followed by a ready to use LeicaDS9800 (Bond™ Polymer Refine Detection).

Positive staining in mouse kidney.
The primary antibody was incubated for 30 mins at room temperature.
The immunostaining was performed on a Leica Biosystems BOND® RX instrument

Counterstained with Hematoxylin.

Secondary antibody only control : Secondary antibody is a ready to use LeicaDS9800 (Bond™ Polymer Refine Detection).

Heat mediated antigen retrieval was performed with Tris-EDTA buffer (pH 9.0, Epitope Retrieval Solution2) for 20 mins

Immunohistochemistry (Formalin/PFA-fixed paraffin-embedded sections) - Anti-ST8SIA6 antibody [EPR29919-587] (AB325041)
  • IHC-P

Supplier Data

Immunohistochemistry (Formalin/PFA-fixed paraffin-embedded sections) - Anti-ST8SIA6 antibody [EPR29919-587] (AB325041)

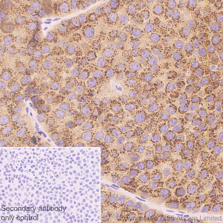
Immunohistochemical analysis of paraffin-embedded Mouse breast cancer tissue labeling ST8SIA6 with ab325041 at 1/100 (4.81 ug/ml) dilution, followed by a ready to use LeicaDS9800 (Bond™ Polymer Refine Detection).

Positive staining in mouse breast cancer.
The primary antibody was incubated for 30 mins at room temperature.
The immunostaining was performed on a Leica Biosystems BOND® RX instrument

Counterstained with Hematoxylin.

Secondary antibody only control : Secondary antibody is a ready to use LeicaDS9800 (Bond™ Polymer Refine Detection).

Heat mediated antigen retrieval was performed with Tris-EDTA buffer (pH 9.0, Epitope Retrieval Solution2) for 20 mins

Western blot - Anti-ST8SIA6 antibody [EPR29919-587] (AB325041)
  • WB

Supplier Data

Western blot - Anti-ST8SIA6 antibody [EPR29919-587] (AB325041)

Blocking and diluting buffer and concentration : 5% NFDM/TBST.

Low expression : Skeletal muscle, lung, liver, testis and brain (PMID : 11980897).

The highest expression of ST8SIA6 is observed in the kidney tissue and relatively low in the other tissues (PMID : 11980897).

In Western blot, Anti-GAPDH antibody [EPR16891] - Loading Control (ab181602) staining at 1/200000 dilution.

All lanes:

Western blot - Anti-ST8SIA6 antibody [EPR29919-587] (ab325041) at 1/1000 dilution

Lane 1:

Mouse kidney tissue lysate at 60 µg

Lane 2:

Mouse skeletal muscle tissue lysate at 60 µg

Lane 3:

Mouse lung tissue lysate at 60 µg

Lane 4:

Mouse liver tissue lysate at 60 µg

Lane 5:

Mouse testis tissue lysate at 60 µg

Lane 6:

Mouse brain tissue lysate at 60 µg

Secondary

All lanes:

Western blot - Goat Anti-Rabbit IgG H&L (HRP) (<a href='/en-us/products/secondary-antibodies/goat-rabbit-igg-h-l-hrp-ab97051'>ab97051</a>) at 1/20000 dilution

Observed band size: 50 kDa,80-90 kDa,36 kDa

false

Exposure time: 3min

Western blot - Anti-ST8SIA6 antibody [EPR29919-587] (AB325041)
  • WB

Supplier Data

Western blot - Anti-ST8SIA6 antibody [EPR29919-587] (AB325041)

Blocking and diluting buffer and concentration : 5% NFDM/TBST.

The expression profile/ molecular weight observed is consistent with what has been described in the literature (PMID : 11980897; PMID : 8631818)

In Western blot, Anti-GAPDH antibody [EPR16891] - Loading Control (ab181602) staining at 1/200000 dilution.

All lanes:

Western blot - Anti-ST8SIA6 antibody [EPR29919-587] (ab325041) at 1/1000 dilution

Lane 1:

Mouse breast cancer tissue lysate at 40 µg

Lane 2:

Mouse skin cancer tissue lysate at 40 µg

Secondary

All lanes:

Western blot - Goat Anti-Rabbit IgG H&L (HRP) (<a href='/en-us/products/secondary-antibodies/goat-rabbit-igg-h-l-hrp-ab97051'>ab97051</a>) at 1/20000 dilution

Observed band size: 45-120 kDa,36 kDa

false

Exposure time: 48s

Western blot - Anti-ST8SIA6 antibody [EPR29919-587] (AB325041)
  • WB

Supplier Data

Western blot - Anti-ST8SIA6 antibody [EPR29919-587] (AB325041)

Blocking and diluting buffer and concentration : 5% NFDM/TBST.

ST8SIA6 is a glycoprotein of approximately 45-120 kDa and is detected as a 35-80 kDa band after treatment with the deglycosylation enzyme Peptide : N-glycosidase F (PNGase F).

The expression profile/ molecular weight observed is consistent with what has been described in the literature (PMID : 11980897; PMID : 8631818)

In Western blot, Anti-GAPDH antibody [EPR16891] - Loading Control (ab181602) staining at 1/200000 dilution.

All lanes:

Western blot - Anti-ST8SIA6 antibody [EPR29919-587] (ab325041) at 1/1000 dilution

Lane 1:

Untreated mouse breast cancer tissue lysate at 20 µg

Lane 2:

Mouse breast cancer tissue lysate treated with Protein Deglycosylation Peptide:N-glycosidase F (PNGase F) at 20 µg

Secondary

All lanes:

Western blot - Goat Anti-Rabbit IgG H&L (HRP) (<a href='/en-us/products/secondary-antibodies/goat-rabbit-igg-h-l-hrp-ab97051'>ab97051</a>) at 1/20000 dilution

Observed band size: 45-120 kDa,36 kDa

false

Exposure time: 48s

Key facts

Host species

Rabbit

Clonality

Monoclonal

Clone number

EPR29919-587

Isotype

IgG

Carrier free

No

Reacts with

Mouse

Applications

IHC-P, WB

applications

Immunogen

The exact immunogen used to generate this antibody is proprietary information.

Reactivity data

{ "title": "Reactivity Data", "filters": { "stats": ["", "Species", "Dilution Info", "Notes"], "tabs": { "all-applications": {"fullname" : "All Applications", "shortname": "All Applications"}, "IHCP" : {"fullname" : "Immunohistochemistry (Formalin/PFA-fixed paraffin-embedded sections)", "shortname":"IHC-P"}, "WB" : {"fullname" : "Western blot", "shortname":"WB"}, "ICCIF" : {"fullname" : "Immunocytochemistry/ Immunofluorescence", "shortname":"ICC/IF"} }, "product-promise": { "all": "all", "testedAndGuaranteed": "tested", "guaranteed": "expected", "predicted": "predicted", "notRecommended": "not-recommended" } }, "values": { "Mouse": { "IHCP-species-checked": "testedAndGuaranteed", "IHCP-species-dilution-info": "1/100", "IHCP-species-notes": "<p></p> Perform heat-mediated antigen retrieval with Tris/EDTA buffer pH 9.0 before commencing with IHC staining protocol.", "WB-species-checked": "testedAndGuaranteed", "WB-species-dilution-info": "1/1000", "WB-species-notes": "<p></p>", "ICCIF-species-checked": "notRecommended", "ICCIF-species-dilution-info": "", "ICCIF-species-notes": "<p></p>" }, "Transfected cell line - Mouse": { "IHCP-species-checked": "testedAndGuaranteed", "IHCP-species-dilution-info": "1/100", "IHCP-species-notes": "<p></p>", "WB-species-checked": "notRecommended", "WB-species-dilution-info": "", "WB-species-notes": "", "ICCIF-species-checked": "notRecommended", "ICCIF-species-dilution-info": "", "ICCIF-species-notes": "" } } }

Product details

Patented technology
Our RabMAb® technology is a patented hybridoma-based technology for making rabbit monoclonal antibodies. For details on our patents, please refer to RabMAb® patents.

What are the advantages of a recombinant monoclonal antibody?
This product is a recombinant monoclonal antibody, which offers several advantages including:

  • - High batch-to-batch consistency and reproducibility
  • - Improved sensitivity and specificity
  • - Long-term security of supply
  • - Animal-free batch production

For more information, read more on recombinant antibodies.

Properties and storage information

Form
Liquid
Purification technique
Affinity purification Protein A
Storage buffer
pH: 7.2 - 7.4 Preservative: 0.01% Sodium azide Constituents: PBS, 40% Glycerol (glycerin, glycerine), 0.05% BSA
Shipped at conditions
Blue Ice
Appropriate short-term storage duration
1-2 weeks
Appropriate short-term storage conditions
+4°C
Appropriate long-term storage conditions
-20°C
Aliquoting information
Upon delivery aliquot
Storage information
Avoid freeze / thaw cycle

Product protocols

For this product, it's our understanding that no specific protocols are required. You can visit:

Target data

Alpha-2,8-sialyltransferase that prefers O-glycans to N-glycans or glycolipids as acceptor substrates. The minimal acceptor substrate is the NeuAc-alpha-2,3(6)-Gal sequence at the non-reducing end of their carbohydrate groups.
See full target information St8sia6

Product promise

We are committed to supporting your work with high-quality reagents, and we're here for you every step of the way. In the unlikely event that one of our products does not perform as expected, you're protected by our Product Promise.
For full details, please see our Terms & Conditions

Please note: All products are 'FOR RESEARCH USE ONLY. NOT FOR USE IN DIAGNOSTIC OR THERAPEUTIC PROCEDURES'.

For licensing inquiries, please contact partnerships@abcam.com