JavaScript is disabled in your browser. Please enable JavaScript to view this website.
AB317617

Anti-ST8SiaIII antibody [EPR28521-92] - BSA and Azide free

Be the first to review this product! Submit a review

|

(0 Publication)

Rabbit Recombinant Monoclonal ST8SiaIII antibody. Carrier free. Suitable for I-ELISA, ICC/IF, WB, IP, IHC-Fr, IHC-P and reacts with Recombinant fragment - Human, Human, Mouse, Rat samples.

View Alternative Names

SIAT8C, ST8SIA3, Ganglioside GD3 synthase ST8SIA3, Sialyltransferase 8C, Sialyltransferase St8Sia III, hST8Sia III, SIAT8-C, ST8SiaIII

16 Images
Immunohistochemistry (Formalin/PFA-fixed paraffin-embedded sections) - Anti-ST8SiaIII antibody [EPR28521-92] - BSA and Azide free (AB317617)
  • IHC-P

Supplier Data

Immunohistochemistry (Formalin/PFA-fixed paraffin-embedded sections) - Anti-ST8SiaIII antibody [EPR28521-92] - BSA and Azide free (AB317617)

This data was developed using ab317616, the same antibody clone in a different buffer formulation.

Immunohistochemical analysis of paraffin-embedded Human cerebellum tissue labeling ST8SiaIII with ab317616 at 1/100 (5.29 ug/ml) dilution, followed by a ready to use LeicaDS9800 (Bond™ Polymer Refine Detection).

Positive staining on human cerebellum.
The section was incubated with ab317616 for 30 mins at room temperature.
The immunostaining was performed on a Leica Biosystems BOND® RX instrument

Counterstained with Hematoxylin.

Secondary antibody only control : Secondary antibody is a ready to use LeicaDS9800 (Bond™ Polymer Refine Detection).

Heat mediated antigen retrieval was performed with Tris-EDTA buffer (pH 9.0, Epitope Retrieval Solution2) for 20 mins

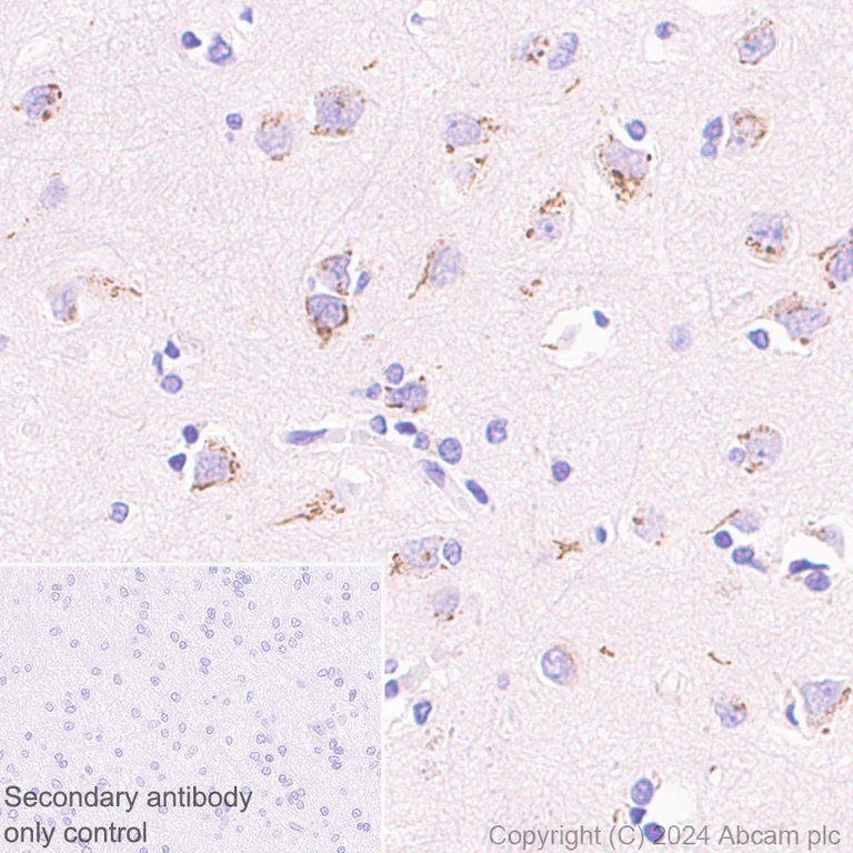
Immunohistochemistry (Formalin/PFA-fixed paraffin-embedded sections) - Anti-ST8SiaIII antibody [EPR28521-92] - BSA and Azide free (AB317617)
  • IHC-P

Supplier Data

Immunohistochemistry (Formalin/PFA-fixed paraffin-embedded sections) - Anti-ST8SiaIII antibody [EPR28521-92] - BSA and Azide free (AB317617)

This data was developed using ab317616, the same antibody clone in a different buffer formulation.

Immunohistochemical analysis of paraffin-embedded Human cerebrum tissue labeling ST8SiaIII with ab317616 at 1/100 (5.29 ug/ml) dilution, followed by a ready to use LeicaDS9800 (Bond™ Polymer Refine Detection).

Positive staining on human cerebrum (PMID : 9826427).
The section was incubated with ab317616 for 30 mins at room temperature.
The immunostaining was performed on a Leica Biosystems BOND® RX instrument

Counterstained with Hematoxylin.

Secondary antibody only control : Secondary antibody is a ready to use LeicaDS9800 (Bond™ Polymer Refine Detection).

Heat mediated antigen retrieval was performed with Tris-EDTA buffer (pH 9.0, Epitope Retrieval Solution2) for 20 mins

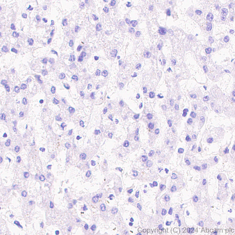
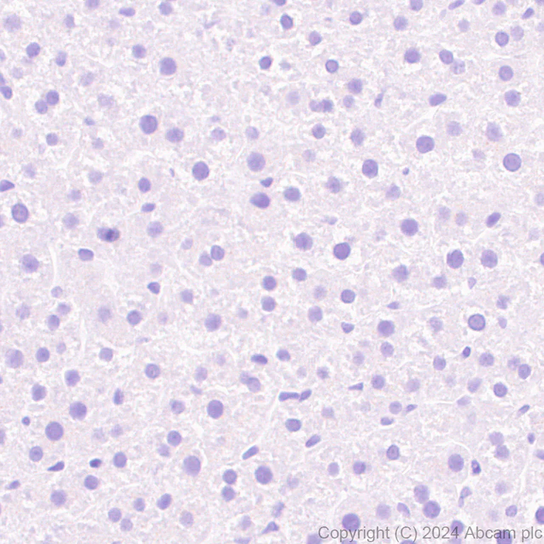
Immunohistochemistry (Formalin/PFA-fixed paraffin-embedded sections) - Anti-ST8SiaIII antibody [EPR28521-92] - BSA and Azide free (AB317617)
  • IHC-P

Supplier Data

Immunohistochemistry (Formalin/PFA-fixed paraffin-embedded sections) - Anti-ST8SiaIII antibody [EPR28521-92] - BSA and Azide free (AB317617)

This data was developed using ab317616, the same antibody clone in a different buffer formulation.

Immunohistochemical analysis of paraffin-embedded Human liver tissue labeling ST8SiaIII with ab317616 at 1/100 (5.29 ug/ml) dilution, followed by a ready to use LeicaDS9800 (Bond™ Polymer Refine Detection).

Negative control : No staining on human liver.
The section was incubated with ab317616 for 30 mins at room temperature.
The immunostaining was performed on a Leica Biosystems BOND® RX instrument

Counterstained with Hematoxylin.

Secondary antibody only control : Secondary antibody is a ready to use LeicaDS9800 (Bond™ Polymer Refine Detection).

Heat mediated antigen retrieval was performed with Tris-EDTA buffer (pH 9.0, Epitope Retrieval Solution2) for 20 mins

Immunocytochemistry/ Immunofluorescence - Anti-ST8SiaIII antibody [EPR28521-92] - BSA and Azide free (AB317617)
  • ICC/IF

Supplier Data

Immunocytochemistry/ Immunofluorescence - Anti-ST8SiaIII antibody [EPR28521-92] - BSA and Azide free (AB317617)

This data was developed using ab317616, the same antibody clone in a different buffer formulation.

Immunofluorescent analysis of 4% Paraformaldehyde-fixed, 0.1% TritonX-100 permeabilized SH-SY5Y (human neuroblastoma epithelial cell) cells labelling ST8SiaIII with ab317616 at 1/50 (10.58 ug/ml) dilution, followed by ab150081 Goat Anti-Rabbit IgG H&L (Alexa Fluor® 488) preadsorbed antibody at 1/1000 2 ug/ml dilution (Green).

Confocal image showing cytoplasmic staining in SH-SY5Y cell line (shown in green). The counterstain was observed in magenta. Nuclear DNA was labeled with DAPI (shown in blue).
Low expression : U-937.
Image was taken with a confocal microscope (Leica-Microsystems, TCS SP8).

ab195889 Anti-alpha Tubulin mouse monoclonal antibody - Microtubule Marker (Alexa Fluor® 594) was used to counterstain tubulin at 1/200 2.5ug/ml dilution (Magenta). The Nuclear counterstain was DAPI (Blue).

Secondary antibody only control : Secondary antibody is ab150081 Goat Anti-Rabbit IgG H&L (Alexa Fluor® 488) preadsorbed at 1/1000 2 ug/ml dilution.

Immunoprecipitation - Anti-ST8SiaIII antibody [EPR28521-92] - BSA and Azide free (AB317617)
  • IP

Supplier Data

Immunoprecipitation - Anti-ST8SiaIII antibody [EPR28521-92] - BSA and Azide free (AB317617)

This data was developed using ab317616, the same antibody clone in a different buffer formulation.

ST8SiaIII was immunoprecipitated from 0.35 mg SH-SY5Y (human neuroblastoma epithelial cell) whole cell lysate with ab317616 at 1/30 dilution (2ug in 0.35mg lysates). Western blot was performed on the immunoprecipitate using ab317616 at 1/1000 dilution. VeriBlot for IP secondary antibody(HRP)(ab131366) was used at 1/5000 dilution.

Lane 1 : SH-SY5Y (human neuroblastoma epithelial cell) whole cell lysate
Lane 2 : ab317616 IP in SH-SY5Y (human neuroblastoma epithelial cell) whole cell lysate
Lane 3 : Rabbit monoclonal IgG (ab172730) instead of ab317616 in SH-SY5Y whole cell lysate

All lanes:

Immunoprecipitation - Anti-ST8SiaIII antibody [EPR28521-92] (<a href='/en-us/products/primary-antibodies/st8siaiii-antibody-epr28521-92-ab317616'>ab317616</a>) at 1/30 dilution

All lanes:

SH-SY5Y (human neuroblastoma epithelial cell) whole cell lysate with NFDM/TBST

Secondary

All lanes:

Immunoprecipitation - VeriBlot for IP Detection Reagent (HRP) (<a href='/en-us/products/reagents/veriblot-for-ip-detection-reagent-hrp-ab131366'>ab131366</a>) at 1/5000 dilution

false

Exposure time: 120s

Immunohistochemistry (Frozen sections) - Anti-ST8SiaIII antibody [EPR28521-92] - BSA and Azide free (AB317617)
  • IHC-Fr

Supplier Data

Immunohistochemistry (Frozen sections) - Anti-ST8SiaIII antibody [EPR28521-92] - BSA and Azide free (AB317617)

This data was developed using ab317616, the same antibody clone in a different buffer formulation.

Immunohistochemical analysis of 4% PFA-fixed, 0.2% Triton X-100 permeabilized frozen Mouse liver (fresh frozen) tissue labeling ST8SiaIII with ab317616 at 1/100 (5.29 ug/ml) dilution followed by ab150081 Goat Anti-Rabbit IgG H&L (Alexa Fluor® 488) preadsorbed at 1/1000 2 ug/mL dilution (Green).

Negative control : confocal image showing no staining on mouse liver. The nuclear counterstain was DAPI (Blue). The section was incubated with ab317616 for 60 mins at room temperature. The section was then mounted using Fluoromount®.The immunostaining was performed on a Leica Biosystems BOND® RX instrument. Image was taken with a confocal microscope (Leica-Microsystems, TCS SP8).

Secondary antibody control : Secondary antibody is ab150081 Goat Anti-Rabbit IgG H&L (Alexa Fluor® 488) preadsorbedat 1/1000 2 ug/mL dilution.

Immunohistochemistry (Formalin/PFA-fixed paraffin-embedded sections) - Anti-ST8SiaIII antibody [EPR28521-92] - BSA and Azide free (AB317617)
  • IHC-P

Supplier Data

Immunohistochemistry (Formalin/PFA-fixed paraffin-embedded sections) - Anti-ST8SiaIII antibody [EPR28521-92] - BSA and Azide free (AB317617)

This data was developed using ab317616, the same antibody clone in a different buffer formulation.

Immunohistochemical analysis of paraffin-embedded Mouse liver tissue labeling ST8SiaIII with ab317616 at 1/1000 (0.529 ug/ml) dilution, followed by a ready to use LeicaDS9800 (Bond™ Polymer Refine Detection).

Negative control : No staining on mouse liver.
The section was incubated with ab317616 for 30 mins at room temperature.
The immunostaining was performed on a Leica Biosystems BOND® RX instrument

Counterstained with Hematoxylin.

Secondary antibody only control : Secondary antibody is a ready to use LeicaDS9800 (Bond™ Polymer Refine Detection).

Heat mediated antigen retrieval was performed with Tris-EDTA buffer (pH 9.0, Epitope Retrieval Solution2) for 20 mins

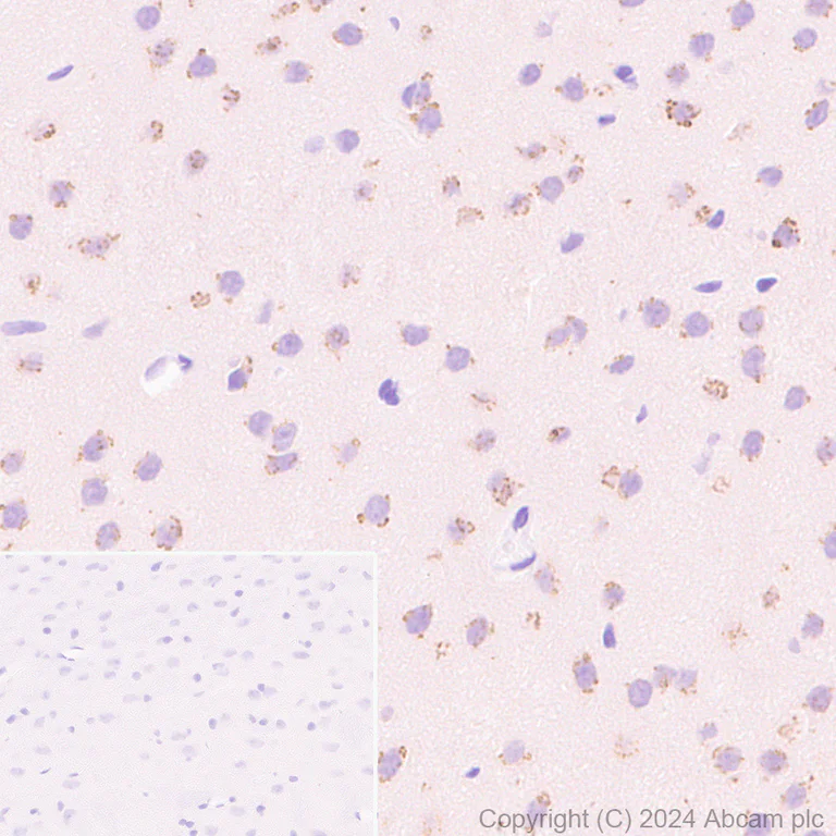
Immunohistochemistry (Formalin/PFA-fixed paraffin-embedded sections) - Anti-ST8SiaIII antibody [EPR28521-92] - BSA and Azide free (AB317617)
  • IHC-P

Supplier Data

Immunohistochemistry (Formalin/PFA-fixed paraffin-embedded sections) - Anti-ST8SiaIII antibody [EPR28521-92] - BSA and Azide free (AB317617)

This data was developed using ab317616, the same antibody clone in a different buffer formulation.

Immunohistochemical analysis of paraffin-embedded Mouse cerebrum tissue labeling ST8SiaIII with ab317616 at 1/1000 (0.529 ug/ml) dilution, followed by a ready to use LeicaDS9800 (Bond™ Polymer Refine Detection).

Positive staining on mouse cerebrum (PMID : 7782326).
The section was incubated with ab317616 for 30 mins at room temperature.
The immunostaining was performed on a Leica Biosystems BOND® RX instrument

Counterstained with Hematoxylin.

Secondary antibody only control : Secondary antibody is a ready to use LeicaDS9800 (Bond™ Polymer Refine Detection).

Heat mediated antigen retrieval was performed with Tris-EDTA buffer (pH 9.0, Epitope Retrieval Solution2) for 20 mins

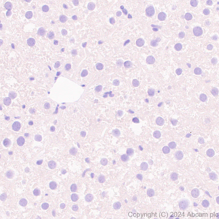
Immunohistochemistry (Formalin/PFA-fixed paraffin-embedded sections) - Anti-ST8SiaIII antibody [EPR28521-92] - BSA and Azide free (AB317617)
  • IHC-P

Supplier Data

Immunohistochemistry (Formalin/PFA-fixed paraffin-embedded sections) - Anti-ST8SiaIII antibody [EPR28521-92] - BSA and Azide free (AB317617)

This data was developed using ab317616, the same antibody clone in a different buffer formulation.

Immunohistochemical analysis of paraffin-embedded Rat liver tissue labeling ST8SiaIII with ab317616 at 1/1000 (0.529 ug/ml) dilution, followed by a ready to use LeicaDS9800 (Bond™ Polymer Refine Detection).

Negative control : No staining on rat liver.
The section was incubated with ab317616 for 30 mins at room temperature.
The immunostaining was performed on a Leica Biosystems BOND® RX instrument

Counterstained with Hematoxylin.

Secondary antibody only control : Secondary antibody is a ready to use LeicaDS9800 (Bond™ Polymer Refine Detection).

Heat mediated antigen retrieval was performed with Tris-EDTA buffer (pH 9.0, Epitope Retrieval Solution2) for 20 mins

Immunohistochemistry (Frozen sections) - Anti-ST8SiaIII antibody [EPR28521-92] - BSA and Azide free (AB317617)
  • IHC-Fr

Supplier Data

Immunohistochemistry (Frozen sections) - Anti-ST8SiaIII antibody [EPR28521-92] - BSA and Azide free (AB317617)

This data was developed using ab317616, the same antibody clone in a different buffer formulation.

Immunohistochemical analysis of 4% PFA-fixed, 0.2% Triton X-100 permeabilized frozen Mouse cerebrum (fresh frozen) tissue labeling ST8SiaIII with ab317616 at 1/100 (5.29 ug/ml) dilution followed by ab150081 Goat Anti-Rabbit IgG H&L (Alexa Fluor® 488) preadsorbed at 1/1000 2 ug/mL dilution (Green).

Panel A : merged staining of anti-ST8SiaIII (ab317616, green), anti-NeuN (ab190565, grey) and anti-GFAP (ab201732, magenta) on mouse cerebrum.
Panel B : anti-ST8SIA3 stained on mouse cerebrum.
Panel C : anti-NeuN stained in neurons of mouse cerebrum.
Panel D : anti-GFAP stained in astrocytes of mouse cerebrum.
The section was incubated in two rounds of staining : in the order of ab317616 and ab190565, ab201732 for 1 hr at room temperature. The nuclear counterstain was DAPI (Blue). The section was then mounted using Fluoromount®.The immunostaining was performed on a Leica Biosystems BOND® RX instrument. Image was taken with a confocal microscope (Leica-Microsystems, TCS SP8).

Secondary antibody control : Secondary antibody is ab150081 Goat Anti-Rabbit IgG H&L (Alexa Fluor® 488) preadsorbedat 1/1000 2 ug/mL dilution.

Immunohistochemistry (Formalin/PFA-fixed paraffin-embedded sections) - Anti-ST8SiaIII antibody [EPR28521-92] - BSA and Azide free (AB317617)
  • IHC-P

Supplier Data

Immunohistochemistry (Formalin/PFA-fixed paraffin-embedded sections) - Anti-ST8SiaIII antibody [EPR28521-92] - BSA and Azide free (AB317617)

This data was developed using ab317616, the same antibody clone in a different buffer formulation.

Immunohistochemical analysis of paraffin-embedded Rat cerebrum tissue labeling ST8SiaIII with ab317616 at 1/1000 (0.529 ug/ml) dilution, followed by a ready to use LeicaDS9800 (Bond™ Polymer Refine Detection).

Positive staining on rat cerebrum.
The section was incubated with ab317616 for 30 mins at room temperature.
The immunostaining was performed on a Leica Biosystems BOND® RX instrument

Counterstained with Hematoxylin.

Secondary antibody only control : Secondary antibody is a ready to use LeicaDS9800 (Bond™ Polymer Refine Detection).

Heat mediated antigen retrieval was performed with Tris-EDTA buffer (pH 9.0, Epitope Retrieval Solution2) for 20 mins

Immunoprecipitation - Anti-ST8SiaIII antibody [EPR28521-92] - BSA and Azide free (AB317617)
  • IP

Supplier Data

Immunoprecipitation - Anti-ST8SiaIII antibody [EPR28521-92] - BSA and Azide free (AB317617)

This data was developed using ab317616, the same antibody clone in a different buffer formulation.

ST8SiaIII was immunoprecipitated from 0.35 mg Mouse striatum tissue lysate with ab317616 at 1/30 dilution (2ug in 0.35mg lysates). Western blot was performed on the immunoprecipitate using ab317616 at 1/1000 dilution. VeriBlot for IP secondary antibody(HRP)(ab131366) was used at 1/5000 dilution.

Lane 1 : Mouse striatum tissue lysate
Lane 2 : ab317616 IP in Mouse striatum tissue lysate
Lane 3 : Rabbit monoclonal IgG (ab172730) instead of ab317616 in mouse striatum tissue lysate

All lanes:

Immunoprecipitation - Anti-ST8SiaIII antibody [EPR28521-92] (<a href='/en-us/products/primary-antibodies/st8siaiii-antibody-epr28521-92-ab317616'>ab317616</a>) at 1/30 dilution

All lanes:

Mouse striatum tissue lysate with NFDM/TBST

Secondary

All lanes:

Immunoprecipitation - VeriBlot for IP Detection Reagent (HRP) (<a href='/en-us/products/reagents/veriblot-for-ip-detection-reagent-hrp-ab131366'>ab131366</a>) at 1/5000 dilution

false

Exposure time: 24s

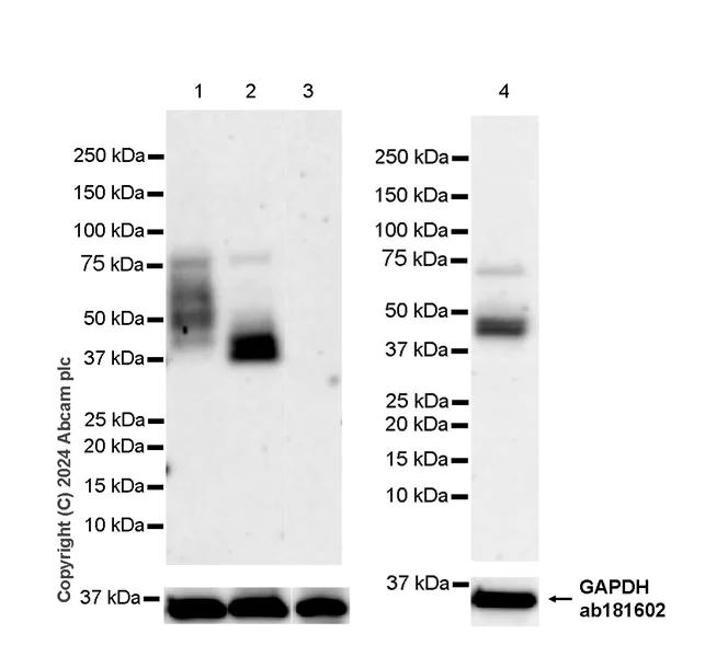
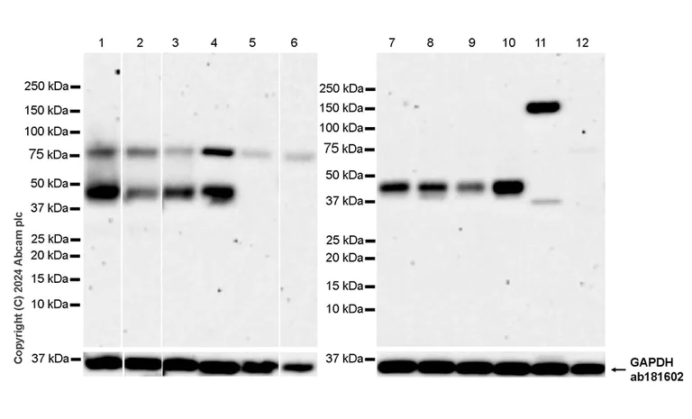
Western blot - Anti-ST8SiaIII antibody [EPR28521-92] - BSA and Azide free (AB317617)
  • WB

Supplier Data

Western blot - Anti-ST8SiaIII antibody [EPR28521-92] - BSA and Azide free (AB317617)

This data was developed using ab317616, the same antibody clone in a different buffer formulation.

Negative control : liver, placenta, lung (PMID : 9826427, PMID : 7782326).

Samples are non-boiled as boiling may cause protein aggregation.

The identity of the higher MW band at approximately 75 kDa (in lanes 1-6 human tissues) is unknown.

The identity of the lower MW band at approximately 37 kDa and higher MW band at approximately 150 kDa (in lane 11) is unknown.

Lanes 7-12 are applied with Goat Anti-Rabbit IgG, (H+L), Peroxidase conjugated (ab97051) at 1/20000 and lanes 1-6 are applied with Goat Anti-Rabbit IgG (HRP) with minimal cross-reactivity with human IgG at 1/2000.

In Western blot, Anti-GAPDH antibody [EPR16891] - Loading Control (ab181602) staining at 1/200000 dilution.

All lanes:

Western blot - Anti-ST8SiaIII antibody [EPR28521-92] (<a href='/en-us/products/primary-antibodies/st8siaiii-antibody-epr28521-92-ab317616'>ab317616</a>) at 1/1000 dilution

Lane 1:

Human hippocampus tissue lysate at 20 µg with NFDM/TBST

Lane 2:

Human hypothalamus tissue lysate at 20 µg with NFDM/TBST

Lane 3:

Human brain tissue lysate at 20 µg with NFDM/TBST

Lane 4:

Human striatum tissue lysate at 20 µg with NFDM/TBST

Lane 5:

Human liver tissue lysate at 20 µg with NFDM/TBST

Lane 6:

Human placenta tissue lysate at 20 µg with NFDM/TBST

Lane 7:

Mouse brain tissue lysate at 20 µg with NFDM/TBST

Lane 8:

Mouse hippocampus tissue lysate at 20 µg with NFDM/TBST

Lane 9:

Mouse striatum tissue lysate at 20 µg with NFDM/TBST

Lane 10:

Mouse cerebellum tissue lysate at 20 µg with NFDM/TBST

Lane 11:

Mouse liver tissue lysate at 20 µg with NFDM/TBST

Lane 12:

Mouse lung tissue lysate at 20 µg with NFDM/TBST

Secondary

Lanes 1 - 6:

Goat Anti-Rabbit IgG (HRP) with minimal cross-reactivity with human IgG at 1/2000 dilution

Lanes 7 - 12:

Western blot - Goat Anti-Rabbit IgG H&L (HRP) (<a href='/en-us/products/secondary-antibodies/goat-rabbit-igg-h-l-hrp-ab97051'>ab97051</a>) at 1/20000 dilution

Observed band size: 45 kDa,36 kDa

false

Exposure time: 180s

Western blot - Anti-ST8SiaIII antibody [EPR28521-92] - BSA and Azide free (AB317617)
  • WB

Supplier Data

Western blot - Anti-ST8SiaIII antibody [EPR28521-92] - BSA and Azide free (AB317617)

This data was developed using ab317616, the same antibody clone in a different buffer formulation.

Low expression : U-937.

ST8SiaIII is a glycoprotein of approximately 45-60 kDa and detected as a 37-40 kDa band after treated with Protein Deglycosylation MIX II.

The expression profile/ molecular weight observed is consistent with what has been described in the literature (PMID : 11980897, PMID : 10766765).

The identity of the higher MW band at approximately 75 kDa is unknown.

Samples are non-boiled as boiling may cause protein aggregation.

In Western blot, Anti-GAPDH antibody [EPR16891] - Loading Control (ab181602) staining at 1/200000 dilution.

All lanes:

Western blot - Anti-ST8SiaIII antibody [EPR28521-92] (<a href='/en-us/products/primary-antibodies/st8siaiii-antibody-epr28521-92-ab317616'>ab317616</a>) at 1/1000 dilution

Lane 1:

Un treated SH-SY5Y (human neuroblastoma epithelial cell) whole cell lysate at 20 µg with NFDM/TBST

Lane 2:

SH-SY5Y cell lysate treated with Peptide:N-glycosidase F (PNGase F) at 20 µg with NFDM/TBST

Lane 3:

U-937 (human histiocytic lymphoma monocyte) whole cell lysate at 20 µg with NFDM/TBST

Lane 4:

SK-N-BE(2) (human neuroblastoma neuroblast) whole cell lysate at 20 µg with NFDM/TBST

Secondary

All lanes:

Western blot - Goat Anti-Rabbit IgG H&L (HRP) (<a href='/en-us/products/secondary-antibodies/goat-rabbit-igg-h-l-hrp-ab97051'>ab97051</a>) at 1/20000 dilution

Observed band size: 45-60 kDa,37-40 kDa,36 kDa

false

Exposure time: 180s

Western blot - Anti-ST8SiaIII antibody [EPR28521-92] - BSA and Azide free (AB317617)
  • WB

Supplier Data

Western blot - Anti-ST8SiaIII antibody [EPR28521-92] - BSA and Azide free (AB317617)

This data was developed using ab317616, the same antibody clone in a different buffer formulation.

In Western blot, Anti-GAPDH antibody [EPR16891] - Loading Control (ab181602) staining at 1/200000 dilution.

All lanes:

Western blot - Anti-ST8SiaIII antibody [EPR28521-92] (<a href='/en-us/products/primary-antibodies/st8siaiii-antibody-epr28521-92-ab317616'>ab317616</a>) at 1/1000 dilution

All lanes:

Neuro-2a (mouse neuroblastoma neuroblast) whole cell lysate at 20 µg with NFDM/TBST

Secondary

All lanes:

Western blot - Goat Anti-Rabbit IgG H&L (HRP) (<a href='/en-us/products/secondary-antibodies/goat-rabbit-igg-h-l-hrp-ab97051'>ab97051</a>) at 1/20000 dilution

Observed band size: 45 kDa,36 kDa

false

Exposure time: 180s

Indirect ELISA - Anti-ST8SiaIII antibody [EPR28521-92] - BSA and Azide free (AB317617)
  • I-ELISA

Supplier Data

Indirect ELISA - Anti-ST8SiaIII antibody [EPR28521-92] - BSA and Azide free (AB317617)

This data was developed using ab317616, the same antibody clone in a different buffer formulation.

Indirect ELISA analysis of ab317616 at 1000-0 ng/ml. The Secondary antibody used was Alkaline Phosphatase-conjugated AffiniPure Goat Anti-Rabbit IgG (H+L) at 1 : 2500 dilution.

Antigen : Human ST8SiaIII.

Antigen concentration : 1000 ng/ml

Key facts

Host species

Rabbit

Clonality

Monoclonal

Clone number

EPR28521-92

Isotype

IgG

Carrier free

Yes

Reacts with

Human, Mouse, Rat

Applications

WB, IHC-Fr, IP, ICC/IF, I-ELISA, IHC-P

applications

Immunogen

The exact immunogen used to generate this antibody is proprietary information.

Specificity

Unsuitable for rat WB.

Reactivity data

{ "title": "Reactivity Data", "filters": { "stats": ["", "Species", "Dilution Info", "Notes"], "tabs": { "all-applications": {"fullname" : "All Applications", "shortname": "All Applications"}, "IELISA" : {"fullname" : "Indirect ELISA", "shortname":"I-ELISA"}, "ICCIF" : {"fullname" : "Immunocytochemistry/ Immunofluorescence", "shortname":"ICC/IF"}, "WB" : {"fullname" : "Western blot", "shortname":"WB"}, "IP" : {"fullname" : "Immunoprecipitation", "shortname":"IP"}, "IHCFr" : {"fullname" : "Immunohistochemistry (Frozen sections)", "shortname":"IHC-Fr"}, "FlowCyt" : {"fullname" : "Flow Cytometry", "shortname":"Flow Cyt"}, "IHCP" : {"fullname" : "Immunohistochemistry (Formalin/PFA-fixed paraffin-embedded sections)", "shortname":"IHC-P"} }, "product-promise": { "all": "all", "testedAndGuaranteed": "tested", "guaranteed": "expected", "predicted": "predicted", "notRecommended": "not-recommended" } }, "values": { "Human": { "IELISA-species-checked": "guaranteed", "IELISA-species-dilution-info": "", "IELISA-species-notes": "", "ICCIF-species-checked": "testedAndGuaranteed", "ICCIF-species-dilution-info": "", "ICCIF-species-notes": "<p></p>", "WB-species-checked": "testedAndGuaranteed", "WB-species-dilution-info": "", "WB-species-notes": "<p></p>", "IP-species-checked": "testedAndGuaranteed", "IP-species-dilution-info": "", "IP-species-notes": "<p></p>", "IHCFr-species-checked": "guaranteed", "IHCFr-species-dilution-info": "", "IHCFr-species-notes": "", "FlowCyt-species-checked": "notRecommended", "FlowCyt-species-dilution-info": "", "FlowCyt-species-notes": "<p></p>", "IHCP-species-checked": "testedAndGuaranteed", "IHCP-species-dilution-info": "", "IHCP-species-notes": "<p></p>" }, "Mouse": { "IELISA-species-checked": "guaranteed", "IELISA-species-dilution-info": "", "IELISA-species-notes": "", "ICCIF-species-checked": "guaranteed", "ICCIF-species-dilution-info": "", "ICCIF-species-notes": "", "WB-species-checked": "testedAndGuaranteed", "WB-species-dilution-info": "", "WB-species-notes": "<p></p>", "IP-species-checked": "testedAndGuaranteed", "IP-species-dilution-info": "", "IP-species-notes": "<p></p>", "IHCFr-species-checked": "testedAndGuaranteed", "IHCFr-species-dilution-info": "", "IHCFr-species-notes": "<p></p>", "FlowCyt-species-checked": "notRecommended", "FlowCyt-species-dilution-info": "", "FlowCyt-species-notes": "", "IHCP-species-checked": "testedAndGuaranteed", "IHCP-species-dilution-info": "", "IHCP-species-notes": "<p></p>" }, "Rat": { "IELISA-species-checked": "guaranteed", "IELISA-species-dilution-info": "", "IELISA-species-notes": "", "ICCIF-species-checked": "guaranteed", "ICCIF-species-dilution-info": "", "ICCIF-species-notes": "", "WB-species-checked": "notRecommended", "WB-species-dilution-info": "", "WB-species-notes": "<p></p>", "IP-species-checked": "guaranteed", "IP-species-dilution-info": "", "IP-species-notes": "", "IHCFr-species-checked": "guaranteed", "IHCFr-species-dilution-info": "", "IHCFr-species-notes": "", "FlowCyt-species-checked": "notRecommended", "FlowCyt-species-dilution-info": "", "FlowCyt-species-notes": "", "IHCP-species-checked": "testedAndGuaranteed", "IHCP-species-dilution-info": "", "IHCP-species-notes": "<p></p>" }, "Recombinant fragment - Human": { "IELISA-species-checked": "testedAndGuaranteed", "IELISA-species-dilution-info": "", "IELISA-species-notes": "<p></p>", "ICCIF-species-checked": "notRecommended", "ICCIF-species-dilution-info": "", "ICCIF-species-notes": "", "WB-species-checked": "notRecommended", "WB-species-dilution-info": "", "WB-species-notes": "", "IP-species-checked": "notRecommended", "IP-species-dilution-info": "", "IP-species-notes": "", "IHCFr-species-checked": "notRecommended", "IHCFr-species-dilution-info": "", "IHCFr-species-notes": "", "FlowCyt-species-checked": "notRecommended", "FlowCyt-species-dilution-info": "", "FlowCyt-species-notes": "", "IHCP-species-checked": "notRecommended", "IHCP-species-dilution-info": "", "IHCP-species-notes": "" } } }

Product details

ab317617 is the carrier-free version of ab317616.

Patented technology
Our RabMAb® technology is a patented hybridoma-based technology for making rabbit monoclonal antibodies. For details on our patents, please refer to RabMAb® patents.

What are the advantages of a recombinant monoclonal antibody?
This product is a recombinant monoclonal antibody, which offers several advantages including:

  • - High batch-to-batch consistency and reproducibility
  • - Improved sensitivity and specificity
  • - Long-term security of supply
  • - Animal-free batch production

For more information, read more on recombinant antibodies.

Conjugation ready
Our carrier-free antibodies are typically supplied in a PBS-only formulation, purified and free of BSA, sodium azide and glycerol. This conjugation-ready format is designed for use with fluorochromes, metal isotopes, oligonucleotides, and enzymes, which makes them ideal for antibody labelling, functional and cell-based assays, flow-based assays (e.g. mass cytometry) and Multiplex Imaging applications.

Use our conjugation kits for antibody conjugates that are ready-to-use in as little as 20 minutes with 1 minute hands-on-time and 100% antibody recovery: available for fluorescent dyes, HRP, biotin and gold.

Compatibility
This product is compatible with the Maxpar® Antibody Labeling Kit from Fluidigm, without the need for antibody preparation. Maxpar® is a trademark of Fluidigm Canada Inc.

Properties and storage information

Form
Liquid
Purification technique
Affinity purification Protein A
Storage buffer
pH: 7.2 - 7.4 Constituents: PBS
Shipped at conditions
Blue Ice
Appropriate short-term storage conditions
+4°C
Appropriate long-term storage conditions
+4°C

Supplementary information

This supplementary information is collated from multiple sources and compiled automatically.

ST8SiaIII also known as Sialyltransferase 8B is an enzyme weighing approximately 43 kDa. This enzyme plays a mechanical role in the brain where it contributes to the synthesis of polysialic acid chains. ST8SiaIII adds sialic acid residues to glycoproteins and glycolipids catalyzing the transfer of these residues to terminal ends of N-glycans on proteins notably NCAM1 (Neural Cell Adhesion Molecule 1). The enzyme is expressed in the nervous system specifically detected in the brain tissue where it influences neural activity and development.
Biological function summary

ST8SiaIII modifies neural cell surfaces impacting cell-cell interactions and neural plasticity. It does not operate as a singular entity and is often part of larger glycosylation complexes working in tandem with other sialyltransferases such as ST8SiaII. Through these modifications it regulates the extent of polysialylation which is necessary for processes like cell migration synaptic plasticity and axonal growth. Therefore ST8SiaIII plays a pivotal role in neural development and the central nervous system's adaptability.

Pathways

Polysialylation mediated by ST8SiaIII fits within critical signal transduction pathways like the neural development pathway. This pathway entails multiple proteins where ST8SiaIII interacts particularly with NCAM1 facilitating neuronal changes and synapse formation. It is also part of broader glycosylation pathways contributing to cellular communication and signal transduction. Through these pathways the enzyme influences neural connectivity and cognitive functions forming a network with similar glyco-enzyme participants.

ST8SiaIII has associations with neurological conditions such as schizophrenia and Alzheimer’s disease. Changes in polysialic acid expression levels can disrupt neural functions influencing disease progression. These changes affect linked proteins including NCAM1 highlighting the enzyme's role in neural health. Misregulation of ST8SiaIII activity could lead to altered synapse formation and stability therefore contributing to cognitive deficits seen in these disorders. Understanding its function and regulation may provide insights into disease mechanisms and potential therapeutic avenues.

Product protocols

For this product, it's our understanding that no specific protocols are required. You can visit:

Target data

Catalyzes the transfer of sialic acid from a CMP-linked sialic acid donor onto a terminal alpha-2,3-, alpha-2,6-, or alpha-2,8-linked sialic acid of an acceptor, such as N-linked oligosaccharides of glycoproteins and glycolipids through alpha-2,8-linkages (PubMed : 10766765, PubMed : 26192331, PubMed : 9826427). Forms oligosialic and polysialic acid on various sialylated N-acetyllactosamine oligosaccharides of glycoproteins, including FETUB N-glycans, a2-HS-glycoprotein (AHSG) and alpha 2,3-sialylated glycosphingolipids, such as alpha 2,3-sialylparagloboside and ganglioside GM3 and to a lesser extent NCAM1 N-glycans (PubMed : 10766765, PubMed : 9826427). However, it is much more specific to N-linked oligosaccharides of glycoproteins than glycosphingolipids (By similarity). 2,3-sialylparagloboside serves as the best acceptor substrate among the glycolipids (By similarity). alpha-Neu5Ac-(2->8)-alpha-Neu5Ac-(2->3)-beta-D-Gal-(1->4)-6S-D-GlcNAc and monosialyl and disialyl N-acetyllactosamines are the best acceptor substrates among glycoproteins (PubMed : 10766765, PubMed : 26192331). May plays critical role in the striatum by mediating the formation of disialylated and trisialylated terminal glycotopes on N- and O-glycans of specific striatal proteins, regulating their distribution in lipid rafts, affecting their interaction with other binding partners, and subsequently modulating striatal functions (By similarity).
See full target information ST8SIA3

Product promise

We are committed to supporting your work with high-quality reagents, and we're here for you every step of the way. In the unlikely event that one of our products does not perform as expected, you're protected by our Product Promise.
For full details, please see our Terms & Conditions

Please note: All products are 'FOR RESEARCH USE ONLY. NOT FOR USE IN DIAGNOSTIC OR THERAPEUTIC PROCEDURES'.

For licensing inquiries, please contact partnerships@abcam.com