JavaScript is disabled in your browser. Please enable JavaScript to view this website.
AB231280

Anti-STAM2 antibody

Be the first to review this product! Submit a review

|

(1 Publication)

Rabbit Polyclonal STAM2 antibody. Suitable for WB, IHC-P and reacts with Mouse samples. Cited in 1 publication. Immunogen corresponding to Recombinant Fragment Protein within Mouse Stam2 aa 1-400.

View Alternative Names

Hbp, Stam2, Signal transducing adapter molecule 2, STAM-2, Hrs-binding protein

3 Images
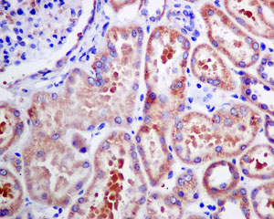
Immunohistochemistry (Formalin/PFA-fixed paraffin-embedded sections) - Anti-STAM2 antibody (AB231280)
  • IHC-P

Supplier Data

Immunohistochemistry (Formalin/PFA-fixed paraffin-embedded sections) - Anti-STAM2 antibody (AB231280)

Formalin-fixed, paraffin-embedded mouse kidney tissue stained for STAM2 using ab231280 at 20 μg/ml in immunohistochemical analysis. DAB staining.

Western blot - Anti-STAM2 antibody (AB231280)
  • WB

Supplier Data

Western blot - Anti-STAM2 antibody (AB231280)

All lanes:

Western blot - Anti-STAM2 antibody (ab231280) at 2 µg/mL

All lanes:

Recombinant mouse STAM2 protein

Predicted band size: 50 kDa,58 kDa,82 kDa

false

Western blot - Anti-STAM2 antibody (AB231280)
  • WB

Supplier Data

Western blot - Anti-STAM2 antibody (AB231280)

All lanes:

Western blot - Anti-STAM2 antibody (ab231280) at 1 µg/mL

Lane 1:

Mouse liver lysate

Lane 2:

Mouse brain lysate

Lane 3:

Mouse kidney lysate

Secondary

All lanes:

HRP-Linked Guinea pig anti-Rabbit at 1/2000 dilution

Predicted band size: 58 kDa

false

Key facts

Host species

Rabbit

Clonality

Polyclonal

Isotype

IgG

Carrier free

No

Reacts with

Mouse

Applications

IHC-P, WB

applications

Immunogen

Recombinant Fragment Protein within Mouse Stam2 aa 1-400. The exact immunogen used to generate this antibody is proprietary information.

O88811

Reactivity data

{ "title": "Reactivity Data", "filters": { "stats": ["", "Species", "Dilution Info", "Notes"], "tabs": { "all-applications": {"fullname" : "All Applications", "shortname": "All Applications"}, "WB" : {"fullname" : "Western blot", "shortname":"WB"}, "IHCP" : {"fullname" : "Immunohistochemistry (Formalin/PFA-fixed paraffin-embedded sections)", "shortname":"IHC-P"} }, "product-promise": { "all": "all", "testedAndGuaranteed": "tested", "guaranteed": "expected", "predicted": "predicted", "notRecommended": "not-recommended" } }, "values": { "Human": { "WB-species-checked": "predicted", "WB-species-dilution-info": "", "WB-species-notes": "", "IHCP-species-checked": "predicted", "IHCP-species-dilution-info": "", "IHCP-species-notes": "" }, "Mouse": { "WB-species-checked": "testedAndGuaranteed", "WB-species-dilution-info": "0.5-2 µg/mL", "WB-species-notes": "<p></p>", "IHCP-species-checked": "testedAndGuaranteed", "IHCP-species-dilution-info": "5-20 µg/mL", "IHCP-species-notes": "<p></p>" }, "Rat": { "WB-species-checked": "predicted", "WB-species-dilution-info": "", "WB-species-notes": "", "IHCP-species-checked": "predicted", "IHCP-species-dilution-info": "", "IHCP-species-notes": "" } } }

Properties and storage information

Form
Liquid
Purification technique
Affinity purification Immunogen
Purification notes
Antigen-specific affinity chromatography followed by Protein A affinity chromatography.
Storage buffer
pH: 7.4 Preservative: 0.011% Proclin 300 Constituents: 55.77% Glycerol (glycerin, glycerine), 44.219% PBS
Shipped at conditions
Blue Ice
Appropriate short-term storage duration
1-2 weeks
Appropriate short-term storage conditions
+4°C
Appropriate long-term storage conditions
-20°C
Aliquoting information
Upon delivery aliquot
Storage information
Avoid freeze / thaw cycle

Supplementary information

This supplementary information is collated from multiple sources and compiled automatically.

STAM2 also known as STAM2b acts as a signal transducing adaptor molecule. STAM2 has a mass of approximately 69 kDa and is located in the cytoplasm. It expresses widely with notable presence in the brain and immune cells. Mechanically STAM2 contains multiple functional domains including a VHS domain and a UIM domain which participate in binding ubiquitinated proteins. These features allow STAM2 to mediate interactions in cellular processes involving intracellular signaling.
Biological function summary

STAM2 plays a role in the sorting and trafficking of proteins within the cell. It forms part of the ESCRT-0 complex which is important for sorting ubiquitinated cargo into the multivesicular body (MVB) pathway. This pathway is important for the degradation of membrane proteins in lysosomes and regulating various signaling pathways including endocytosis. The involvement of STAM2 in these processes makes it essential for maintaining cellular homeostasis and regulating signal transduction.

Pathways

STAM2 is involved in both the endocytic and lysosomal degradation pathways. Within these pathways STAM2 interacts with Hrs (hepatocyte growth factor-regulated tyrosine kinase substrate) another component of the ESCRT-0 complex to regulate the sorting of endocytic cargo. This interaction is part of a larger network connecting the endocytic pathway with other cellular processes such as ubiquitin-dependent protein degradation. STAM2's functions align it with pathways necessary for proper protein turnover and cellular signaling adjustments.

STAM2's dysregulation has a noted connection to neurodegenerative diseases such as Alzheimer's disease. Changes in protein trafficking and degradation which involve STAM2 function correlate with the buildup of abnormal protein aggregates in neurons. Additionally STAM2 has been implicated in certain cancers where its interaction with proteins such as EGFR (epidermal growth factor receptor) may influence tumor growth and metastasis. Understanding how STAM2 contributes to these conditions could offer insight into potential therapeutic targets.

Product protocols

For this product, it's our understanding that no specific protocols are required. You can visit:

Target data

Involved in intracellular signal transduction mediated by cytokines and growth factors. Upon IL-2 and GM-CSL stimulation, it plays a role in signaling leading to DNA synthesis and MYC induction. May also play a role in T-cell development. Involved in down-regulation of receptor tyrosine kinase via multivesicular body (MVBs) when complexed with HGS (ESCRT-0 complex). The ESCRT-0 complex binds ubiquitin and acts as a sorting machinery that recognizes ubiquitinated receptors and transfers them to further sequential lysosomal sorting/trafficking processes (By similarity).
See full target information Stam2

Publications (1)

Recent publications for all applications. Explore the full list and refine your search

Journal of atherosclerosis and thrombosis 29:1849-1863 PubMed36171087

2022

Oxygenized Low-Density Lipoprotein-Induced ASMC Dysregulation Depends on circ_0000345-Mediated Regulatory Mechanism.

Applications

Unspecified application

Species

Unspecified reactive species

Song Chen,Lixiu Sun,Jingjing Zhang,Ling Zhang,Xian Liu
View all publications

Product promise

We are committed to supporting your work with high-quality reagents, and we're here for you every step of the way. In the unlikely event that one of our products does not perform as expected, you're protected by our Product Promise.
For full details, please see our Terms & Conditions

Please note: All products are 'FOR RESEARCH USE ONLY. NOT FOR USE IN DIAGNOSTIC OR THERAPEUTIC PROCEDURES'.

For licensing inquiries, please contact partnerships@abcam.com