JavaScript is disabled in your browser. Please enable JavaScript to view this website.
AB248995

Anti-STAM2 antibody [EPR8688] - BSA and Azide free

Be the first to review this product! Submit a review

|

(0 Publication)

Rabbit Recombinant Monoclonal STAM2 antibody. Carrier free. Suitable for IHC-P, ICC/IF, WB, Flow Cyt (Intra) and reacts with Human samples.

View Alternative Names

HBP, STAM2, Signal transducing adapter molecule 2, STAM-2, Hrs-binding protein

4 Images
Immunocytochemistry/ Immunofluorescence - Anti-STAM2 antibody [EPR8688] - BSA and Azide free (AB248995)
  • ICC/IF

Unknown

Immunocytochemistry/ Immunofluorescence - Anti-STAM2 antibody [EPR8688] - BSA and Azide free (AB248995)

This data was developed using ab151545, the same antibody clone in a different buffer formulation.Immunofluorescent analysis of HepG2 cells labeling STAM2 with ab151545 at 1/100 dilution.

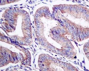
Immunohistochemistry (Formalin/PFA-fixed paraffin-embedded sections) - Anti-STAM2 antibody [EPR8688] - BSA and Azide free (AB248995)
  • IHC-P

Unknown

Immunohistochemistry (Formalin/PFA-fixed paraffin-embedded sections) - Anti-STAM2 antibody [EPR8688] - BSA and Azide free (AB248995)

This data was developed using ab151545, the same antibody clone in a different buffer formulation.

Immunohistochemical analysis of paraffin-embedded Human uterus tissue labeling STAM2 with ab151545 at 1/50 dilution.

Perform heat mediated antigen retrieval with citrate buffer pH 6 before commencing with IHC staining protocol.

Flow Cytometry (Intracellular) - Anti-STAM2 antibody [EPR8688] - BSA and Azide free (AB248995)
  • Flow Cyt (Intra)

Unknown

Flow Cytometry (Intracellular) - Anti-STAM2 antibody [EPR8688] - BSA and Azide free (AB248995)

This data was developed using ab151545, the same antibody clone in a different buffer formulation.

Overlay histogram showing HeLa cells stained with ab151545 (red line). The cells were fixed with 80% methanol (5 min) and then permeabilized with 0.1% PBS-Tween for 20 min. The cells were then incubated in 1x PBS / 10% normal goat serum / 0.3M glycine to block non-specific protein-protein interactions followed by the antibody (ab151545, 1/10000 dilution) for 30 min at 22°C. The secondary antibody used was Alexa Fluor® 488 goat anti-rabbit IgG (H&L) (ab150077) at 1/2000 dilution for 30 min at 22°C. Isotype control antibody (black line) was rabbit IgG (monoclonal) (0.1µg/1x106 cells) used under the same conditions. Unlabelled sample (blue line) was also used as a control. Acquisition of >5,000 events were collected using a 20mW Argon ion laser (488nm) and 525/30 bandpass filter. This antibody gave a positive signal in HeLa cells fixed with 4% paraformaldehyde (10 min)/permeabilized with 0.1% PBS-Tween for 20 min used under the same conditions.

Western blot - Anti-STAM2 antibody [EPR8688] - BSA and Azide free (AB248995)
  • WB

Unknown

Western blot - Anti-STAM2 antibody [EPR8688] - BSA and Azide free (AB248995)

This data was developed using ab151545, the same antibody clone in a different buffer formulation.

All lanes:

Western blot - Anti-STAM2 antibody [EPR8688] (<a href='/en-us/products/primary-antibodies/stam2-antibody-epr8688-ab151545'>ab151545</a>) at 1/10000 dilution

Lane 1:

HeLa cell lysate at 10 µg

Lane 2:

293T cell lysate at 10 µg

Lane 3:

HepG2 cell lysate at 10 µg

Secondary

All lanes:

Goat anti-rabbit HRP conjugated at 1/2000 dilution

Predicted band size: 58 kDa

false

Key facts

Host species

Rabbit

Clonality

Monoclonal

Clone number

EPR8688

Isotype

IgG

Carrier free

Yes

Reacts with

Human

Applications

ICC/IF, IHC-P, Flow Cyt (Intra), WB

applications

Immunogen

The exact immunogen used to generate this antibody is proprietary information.

Reactivity data

{ "title": "Reactivity Data", "filters": { "stats": ["", "Species", "Dilution Info", "Notes"], "tabs": { "all-applications": {"fullname" : "All Applications", "shortname": "All Applications"}, "IHCP" : {"fullname" : "Immunohistochemistry (Formalin/PFA-fixed paraffin-embedded sections)", "shortname":"IHC-P"}, "ICCIF" : {"fullname" : "Immunocytochemistry/ Immunofluorescence", "shortname":"ICC/IF"}, "IP" : {"fullname" : "Immunoprecipitation", "shortname":"IP"}, "WB" : {"fullname" : "Western blot", "shortname":"WB"}, "FlowCytIntra" : {"fullname" : "Flow Cytometry (Intracellular)", "shortname":"Flow Cyt (Intra)"} }, "product-promise": { "all": "all", "testedAndGuaranteed": "tested", "guaranteed": "expected", "predicted": "predicted", "notRecommended": "not-recommended" } }, "values": { "Human": { "IHCP-species-checked": "testedAndGuaranteed", "IHCP-species-dilution-info": "", "IHCP-species-notes": "<p></p>", "ICCIF-species-checked": "testedAndGuaranteed", "ICCIF-species-dilution-info": "", "ICCIF-species-notes": "<p></p>", "IP-species-checked": "notRecommended", "IP-species-dilution-info": "", "IP-species-notes": "<p></p>", "WB-species-checked": "testedAndGuaranteed", "WB-species-dilution-info": "", "WB-species-notes": "<p></p>", "FlowCytIntra-species-checked": "testedAndGuaranteed", "FlowCytIntra-species-dilution-info": "", "FlowCytIntra-species-notes": "<p></p>" } } }

Product details

ab248995 is the carrier-free version of ab151545.

Patented technology
Our RabMAb® technology is a patented hybridoma-based technology for making rabbit monoclonal antibodies. For details on our patents, please refer to RabMAb® patents.

What are the advantages of a recombinant monoclonal antibody?
This product is a recombinant monoclonal antibody, which offers several advantages including:

  • - High batch-to-batch consistency and reproducibility
  • - Improved sensitivity and specificity
  • - Long-term security of supply
  • - Animal-free batch production

For more information, read more on recombinant antibodies.

Conjugation ready
Our carrier-free antibodies are typically supplied in a PBS-only formulation, purified and free of BSA, sodium azide and glycerol. This conjugation-ready format is designed for use with fluorochromes, metal isotopes, oligonucleotides, and enzymes, which makes them ideal for antibody labelling, functional and cell-based assays, flow-based assays (e.g. mass cytometry) and Multiplex Imaging applications.

Use our conjugation kits for antibody conjugates that are ready-to-use in as little as 20 minutes with 1 minute hands-on-time and 100% antibody recovery: available for fluorescent dyes, HRP, biotin and gold.

Compatibility
This product is compatible with the Maxpar® Antibody Labeling Kit from Fluidigm, without the need for antibody preparation. Maxpar® is a trademark of Fluidigm Canada Inc.

Properties and storage information

Form
Liquid
Purification technique
Affinity purification Protein A
Storage buffer
pH: 7.2 - 7.4 Constituents: PBS
Shipped at conditions
Blue Ice
Appropriate short-term storage conditions
+4°C
Appropriate long-term storage conditions
+4°C
Storage information
Do Not Freeze

Supplementary information

This supplementary information is collated from multiple sources and compiled automatically.

STAM2 also known as STAM2b acts as a signal transducing adaptor molecule. STAM2 has a mass of approximately 69 kDa and is located in the cytoplasm. It expresses widely with notable presence in the brain and immune cells. Mechanically STAM2 contains multiple functional domains including a VHS domain and a UIM domain which participate in binding ubiquitinated proteins. These features allow STAM2 to mediate interactions in cellular processes involving intracellular signaling.
Biological function summary

STAM2 plays a role in the sorting and trafficking of proteins within the cell. It forms part of the ESCRT-0 complex which is important for sorting ubiquitinated cargo into the multivesicular body (MVB) pathway. This pathway is important for the degradation of membrane proteins in lysosomes and regulating various signaling pathways including endocytosis. The involvement of STAM2 in these processes makes it essential for maintaining cellular homeostasis and regulating signal transduction.

Pathways

STAM2 is involved in both the endocytic and lysosomal degradation pathways. Within these pathways STAM2 interacts with Hrs (hepatocyte growth factor-regulated tyrosine kinase substrate) another component of the ESCRT-0 complex to regulate the sorting of endocytic cargo. This interaction is part of a larger network connecting the endocytic pathway with other cellular processes such as ubiquitin-dependent protein degradation. STAM2's functions align it with pathways necessary for proper protein turnover and cellular signaling adjustments.

STAM2's dysregulation has a noted connection to neurodegenerative diseases such as Alzheimer's disease. Changes in protein trafficking and degradation which involve STAM2 function correlate with the buildup of abnormal protein aggregates in neurons. Additionally STAM2 has been implicated in certain cancers where its interaction with proteins such as EGFR (epidermal growth factor receptor) may influence tumor growth and metastasis. Understanding how STAM2 contributes to these conditions could offer insight into potential therapeutic targets.

Product protocols

For this product, it's our understanding that no specific protocols are required. You can visit:

Target data

Involved in intracellular signal transduction mediated by cytokines and growth factors. Upon IL-2 and GM-CSL stimulation, it plays a role in signaling leading to DNA synthesis and MYC induction. May also play a role in T-cell development. Involved in down-regulation of receptor tyrosine kinase via multivesicular body (MVBs) when complexed with HGS (ESCRT-0 complex). The ESCRT-0 complex binds ubiquitin and acts as a sorting machinery that recognizes ubiquitinated receptors and transfers them to further sequential lysosomal sorting/trafficking processes (By similarity).
See full target information STAM2

Product promise

We are committed to supporting your work with high-quality reagents, and we're here for you every step of the way. In the unlikely event that one of our products does not perform as expected, you're protected by our Product Promise.
For full details, please see our Terms & Conditions

Please note: All products are 'FOR RESEARCH USE ONLY. NOT FOR USE IN DIAGNOSTIC OR THERAPEUTIC PROCEDURES'.

For licensing inquiries, please contact partnerships@abcam.com