JavaScript is disabled in your browser. Please enable JavaScript to view this website.
AB261915

Anti-Stanniocalcin 2/STC-2 antibody [EPR22866-10] - BSA and Azide free

Be the first to review this product! Submit a review

|

(4 Publications)

Rabbit Recombinant Monoclonal Stanniocalcin 2/STC-2 antibody. Carrier free. Suitable for IP, WB, ICC/IF, Flow Cyt (Intra), IHC-P and reacts with Human samples. Cited in 4 publications.

View Alternative Names

Stanniocalcin-2, STC-2, Stanniocalcin-related protein, STC-related protein, STCRP, STC2

7 Images
Flow Cytometry (Intracellular) - Anti-Stanniocalcin 2/STC-2 antibody [EPR22866-10] - BSA and Azide free (AB261915)
  • Flow Cyt (Intra)

Unknown

Flow Cytometry (Intracellular) - Anti-Stanniocalcin 2/STC-2 antibody [EPR22866-10] - BSA and Azide free (AB261915)

Intracellular flow cytometric analysis of 4% paraformaldehyde fixed, 90% methanol permeabilized T-47D (human ductal breast epithelial tumor epithelial cell) cells labelling STC2 with ab255610 at 1/500 dilution (Red) compared with a Rabbit monoclonal IgG (ab172730) / Black isotype control and an unlabelled control (cells without incubation with primary antibody and secondary antibody) (Blue). A Goat anti rabbit IgG (Alexa Fluor® 488, ab150077) at 1/2000 dilution was used as the secondary antibody.

This data was developed using the same antibody clone in a different buffer formulation containing PBS, BSA, glycerol, and sodium azide (ab255610).

Immunocytochemistry/ Immunofluorescence - Anti-Stanniocalcin 2/STC-2 antibody [EPR22866-10] - BSA and Azide free (AB261915)
  • ICC/IF

Unknown

Immunocytochemistry/ Immunofluorescence - Anti-Stanniocalcin 2/STC-2 antibody [EPR22866-10] - BSA and Azide free (AB261915)

Immunofluorescent analysis of 4% Paraformaldehyde-fixed, 0.1% TritonX-100 permeabilized HepG2 (human hepatocellular carcinoma epithelial cell) cells labelling STC2 with ab255610 at 1/50 (9 ug/ml) dilution, followed by ab150077 AlexaFluor® 488 Goat anti-Rabbit secondary antibody at 1/1000 (2 ug/ml) dilution (Green). Confocal image showing cytoplasmic staining in HepG2 cell line. ab195889 Anti-alpha Tubulin antibody [DM1A] - Microtubule Marker (Alexa Fluor® 594) was used to counterstain tubulin at 1/200 dilution (Red). The Nuclear counterstain was DAPI (Blue).

Secondary antibody only control : Secondary antibody is ab150077 AlexaFluor® 488 Goat anti-Rabbit secondary at 1/1000 (2 ug/ml) dilution.

This data was developed using the same antibody clone in a different buffer formulation containing PBS, BSA, glycerol, and sodium azide (ab255610).

Flow Cytometry (Intracellular) - Anti-Stanniocalcin 2/STC-2 antibody [EPR22866-10] - BSA and Azide free (AB261915)
  • Flow Cyt (Intra)

Unknown

Flow Cytometry (Intracellular) - Anti-Stanniocalcin 2/STC-2 antibody [EPR22866-10] - BSA and Azide free (AB261915)

Intracellular flow cytometric analysis of 4% paraformaldehyde fixed, 90% methanol permeabilized HepG2 (human hepatocellular carcinoma epithelial cell) cells labelling STC2 with ab255610 at 1/50 dilution (Red) compared with a Rabbit monoclonal IgG (ab172730) / Black isotype control and an unlabelled control (cells without incubation with primary antibody and secondary antibody) (Blue). A Goat anti rabbit IgG (Alexa Fluor®488, ab150077) at 1/2000 dilution was used as the secondary antibody.

This data was developed using the same antibody clone in a different buffer formulation containing PBS, BSA, glycerol, and sodium azide (ab255610).

Immunocytochemistry/ Immunofluorescence - Anti-Stanniocalcin 2/STC-2 antibody [EPR22866-10] - BSA and Azide free (AB261915)
  • ICC/IF

Unknown

Immunocytochemistry/ Immunofluorescence - Anti-Stanniocalcin 2/STC-2 antibody [EPR22866-10] - BSA and Azide free (AB261915)

Immunofluorescent analysis of 4% Paraformaldehyde-fixed, 0.1% TritonX-100 permeabilized T-47D (human ductal breast epithelial tumor epithelial cell) cells labelling STC2 with ab255610 at 1/50 (9 ug/ml) dilution, followed by ab150077 AlexaFluor® 488 Goat anti-Rabbit secondary antibody at 1/1000 (2 ug/ml) dilution (Green). Confocal image showing cytoplasmic staining in T-47D cell line. ab195889 Anti-alpha Tubulin antibody [DM1A] - Microtubule Marker (Alexa Fluor® 594) was used to counterstain tubulin at 1/200 dilution (Red). The Nuclear counterstain was DAPI (Blue).

Secondary antibody only control : Secondary antibody is ab255610 anti-STC2 ab150077 AlexaFluor® 488 Goat anti-Rabbit secondary at 1/1000 (2 ug/ml) dilution.

This data was developed using the same antibody clone in a different buffer formulation containing PBS, BSA, glycerol, and sodium azide (ab255610).

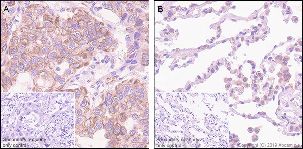
Immunohistochemistry (Formalin/PFA-fixed paraffin-embedded sections) - Anti-Stanniocalcin 2/STC-2 antibody [EPR22866-10] - BSA and Azide free (AB261915)
  • IHC-P

Unknown

Immunohistochemistry (Formalin/PFA-fixed paraffin-embedded sections) - Anti-Stanniocalcin 2/STC-2 antibody [EPR22866-10] - BSA and Azide free (AB261915)

Immunohistochemical analysis of paraffin-embedded Human lung cancer (A) and its adjacent noncancerous lung tissue (B) tissue labeling STC2 with ab255610 at 1/ 200 dilution (2.29ug/ml) followed by a ready to use Rabbit specific IHC polymer detection kit HRP/DAB (ab209101). Strong cytoplasmic staining in human lung cancer tissue (A) while weak staining in its adjacent noncancerous lung tissue (B) (PMID : 25463045) is observed. The section was incubated with ab255610 for 30 mins at room temperature. The immunostaining was performed on a Leica Biosystems BOND® RX instrument. Counterstained with Hematoxylin.

Secondary antibody only control : Secondary antibody is a ready to use Rabbit specific IHC polymer detection kit HRP/DAB (ab209101).

Heat mediated antigen retrieval with Tris-EDTA buffer (pH 9.0, epitope retrieval solution 2) for 20 mins.

This data was developed using the same antibody clone in a different buffer formulation containing PBS, BSA, glycerol, and sodium azide (ab255610).

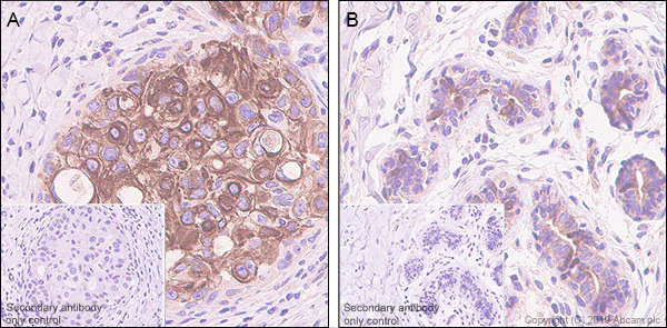
Immunohistochemistry (Formalin/PFA-fixed paraffin-embedded sections) - Anti-Stanniocalcin 2/STC-2 antibody [EPR22866-10] - BSA and Azide free (AB261915)
  • IHC-P

Unknown

Immunohistochemistry (Formalin/PFA-fixed paraffin-embedded sections) - Anti-Stanniocalcin 2/STC-2 antibody [EPR22866-10] - BSA and Azide free (AB261915)

Immunohistochemical analysis of paraffin-embedded Human breast cancer (A) and its adjacent noncancerous breast tissue (B) tissue labeling STC2 with ab255610 at 1/ 200 dilution (2.29ug/ml) followed by a ready to use Rabbit specific IHC polymer detection kit HRP/DAB (ab209101). Strong cytoplasmic staining in human breast cancer tissue (A) while weak staining in its adjacent noncancerous breast tissue (B) (PMID : 18492817) is observed. The section was incubated with ab255610 for 30 mins at room temperature. The immunostaining was performed on a Leica Biosystems BOND® RX instrument. Counterstained with Hematoxylin.

Secondary antibody only control : Secondary antibody is a ready to use Rabbit specific IHC polymer detection kit HRP/DAB (ab209101).

Heat mediated antigen retrieval with Tris-EDTA buffer (pH 9.0, epitope retrieval solution 2) for 20 mins.

This data was developed using the same antibody clone in a different buffer formulation containing PBS, BSA, glycerol, and sodium azide (ab255610).

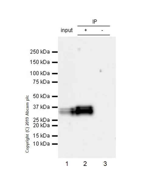
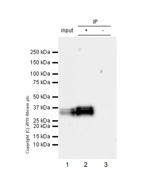
Immunoprecipitation - Anti-Stanniocalcin 2/STC-2 antibody [EPR22866-10] - BSA and Azide free (AB261915)
  • IP

Unknown

Immunoprecipitation - Anti-Stanniocalcin 2/STC-2 antibody [EPR22866-10] - BSA and Azide free (AB261915)

STC2 was immunoprecipitated from 0.35 mg T-47D (human ductal breast epithelial tumor epithelial cell) whole cell lysate with ab255610 at 1/30 dilution (2ug in 0.35mg lysates). Western blot was performed on the immunoprecipitate using ab255610 at 1/1000 dilution. VeriBlot for IP Detection Reagent (HRP) (ab131366) was used at 1/5000 dilution.

Lane 1 : T-47D (human ductal breast epithelial tumor epithelial cell) whole cell lysate 10ug

Lane 2 : ab255610 IP in T-47D whole cell lysate

Lane 3 : Rabbit monoclonal IgG (ab172730) instead of ab255610 in T-47D whole cell lysate

Blocking and dilution buffer and concentration : 5% NFDM/TBST.

Exposure time : 30 seconds.

This data was developed using the same antibody clone in a different buffer formulation containing PBS, BSA, glycerol, and sodium azide (ab255610).

All lanes:

Immunoprecipitation - Anti-Stanniocalcin 2/STC-2 antibody [EPR22866-10] (<a href='/en-us/products/primary-antibodies/stanniocalcin-2-stc-2-antibody-epr22866-10-ab255610'>ab255610</a>)

Predicted band size: 33 kDa

Observed band size: 33-35 kDa

false

  • 775 Alexa Fluor® 750

    Alexa Fluor® 750 Anti-Stanniocalcin 2/STC-2 antibody [EPR22866-10]

  • Unconjugated

    Anti-Stanniocalcin 2/STC-2 antibody [EPR22866-10]

  • 578 PE

    PE Anti-Stanniocalcin 2/STC-2 antibody [EPR22866-10]

  • 660 APC

    APC Anti-Stanniocalcin 2/STC-2 antibody [EPR22866-10]

  • HRP

    HRP Anti-Stanniocalcin 2/STC-2 antibody [EPR22866-10]

  • 519 Alexa Fluor® 488

    Alexa Fluor® 488 Anti-Stanniocalcin 2/STC-2 antibody [EPR22866-10]

  • 665 Alexa Fluor® 647

    Alexa Fluor® 647 Anti-Stanniocalcin 2/STC-2 antibody [EPR22866-10]

  • 617 Alexa Fluor® 594

    Alexa Fluor® 594 Anti-Stanniocalcin 2/STC-2 antibody [EPR22866-10]

  • 565 Alexa Fluor® 555

    Alexa Fluor® 555 Anti-Stanniocalcin 2/STC-2 antibody [EPR22866-10]

  • 603 Alexa Fluor® 568

    Alexa Fluor® 568 Anti-Stanniocalcin 2/STC-2 antibody [EPR22866-10]

Key facts

Host species

Rabbit

Clonality

Monoclonal

Clone number

EPR22866-10

Isotype

IgG

Carrier free

Yes

Reacts with

Human

Applications

ICC/IF, Flow Cyt (Intra), IP, WB, IHC-P

applications

Immunogen

The exact immunogen used to generate this antibody is proprietary information.

Reactivity data

{ "title": "Reactivity Data", "filters": { "stats": ["", "Species", "Dilution Info", "Notes"], "tabs": { "all-applications": {"fullname" : "All Applications", "shortname": "All Applications"}, "IP" : {"fullname" : "Immunoprecipitation", "shortname":"IP"}, "WB" : {"fullname" : "Western blot", "shortname":"WB"}, "ICCIF" : {"fullname" : "Immunocytochemistry/ Immunofluorescence", "shortname":"ICC/IF"}, "FlowCytIntra" : {"fullname" : "Flow Cytometry (Intracellular)", "shortname":"Flow Cyt (Intra)"}, "IHCP" : {"fullname" : "Immunohistochemistry (Formalin/PFA-fixed paraffin-embedded sections)", "shortname":"IHC-P"} }, "product-promise": { "all": "all", "testedAndGuaranteed": "tested", "guaranteed": "expected", "predicted": "predicted", "notRecommended": "not-recommended" } }, "values": { "Human": { "IP-species-checked": "testedAndGuaranteed", "IP-species-dilution-info": "", "IP-species-notes": "<p></p>", "WB-species-checked": "guaranteed", "WB-species-dilution-info": "", "WB-species-notes": "<p></p>", "ICCIF-species-checked": "testedAndGuaranteed", "ICCIF-species-dilution-info": "", "ICCIF-species-notes": "<p></p>", "FlowCytIntra-species-checked": "testedAndGuaranteed", "FlowCytIntra-species-dilution-info": "", "FlowCytIntra-species-notes": "<p></p>", "IHCP-species-checked": "testedAndGuaranteed", "IHCP-species-dilution-info": "", "IHCP-species-notes": "<p></p>" } } }

Product details

ab261915 is the carrier-free version of ab255610.

Patented technology
Our RabMAb® technology is a patented hybridoma-based technology for making rabbit monoclonal antibodies. For details on our patents, please refer to RabMAb® patents.

What are the advantages of a recombinant monoclonal antibody?
This product is a recombinant monoclonal antibody, which offers several advantages including:

  • - High batch-to-batch consistency and reproducibility
  • - Improved sensitivity and specificity
  • - Long-term security of supply
  • - Animal-free batch production

For more information, read more on recombinant antibodies.

Conjugation ready
Our carrier-free antibodies are typically supplied in a PBS-only formulation, purified and free of BSA, sodium azide and glycerol. This conjugation-ready format is designed for use with fluorochromes, metal isotopes, oligonucleotides, and enzymes, which makes them ideal for antibody labelling, functional and cell-based assays, flow-based assays (e.g. mass cytometry) and Multiplex Imaging applications.

Use our conjugation kits for antibody conjugates that are ready-to-use in as little as 20 minutes with 1 minute hands-on-time and 100% antibody recovery: available for fluorescent dyes, HRP, biotin and gold.

Compatibility
This product is compatible with the Maxpar® Antibody Labeling Kit from Fluidigm, without the need for antibody preparation. Maxpar® is a trademark of Fluidigm Canada Inc.

Properties and storage information

Form
Liquid
Purification technique
Affinity purification Protein A
Storage buffer
pH: 7.2 - 7.4 Constituents: PBS
Shipped at conditions
Blue Ice
Appropriate short-term storage conditions
+4°C
Appropriate long-term storage conditions
+4°C
Storage information
Do Not Freeze

Supplementary information

This supplementary information is collated from multiple sources and compiled automatically.

Stanniocalcin 2 (STC-2) is a glycoprotein hormone known for regulating calcium and phosphate homeostasis. It has other names like STC-1-related protein and STC2. The protein has a mass of approximately 33 kDa. STC-2 expresses in various tissues with high levels in the liver kidney and thyroid gland. Its expression suggests an important role in maintaining mineral balance in these tissues.
Biological function summary

STC-2 influences metabolic and inflammatory processes by modulating cellular responses to calcium and phosphate. It operates partly by binding to receptors on cell surfaces impacting cell proliferation and survival. While not part of a known complex STC-2 interacts with signaling molecules involved in bone metabolism and endocrine function serving as a modulator of mineralized tissue homeostasis.

Pathways

In mineral homeostasis STC-2 interacts within pathways involving calcium and phosphate regulation. Its interactions include overlap with the PTH (parathyroid hormone) and vitamin D pathways each critical for calcium and bone metabolism. STC-2 shows connections with proteins like FGF23 (fibroblast growth factor 23) that also participate in these regulatory networks impacting how cells manage mineral concentrations.

Research indicates STC-2's involvement in conditions such as chronic kidney disease and some cancers. Its expression levels correlate with abnormal mineral metabolism in kidney disease where it may interact with proteins like Klotho a known regulator of phosphate transport. In oncology overexpression of STC-2 associates with cancer progression potentially linking to altered signaling pathways in tumor cells.

Product protocols

For this product, it's our understanding that no specific protocols are required. You can visit:

Target data

Has an anti-hypocalcemic action on calcium and phosphate homeostasis.
See full target information Stanniocalcin-2

Publications (4)

Recent publications for all applications. Explore the full list and refine your search

Journal of Cancer 16:2737-2749 PubMed40535801

2025

Stanniocalcin-2 significantly promotes colorectal cancer progression by regulating cancer cell proliferation and invasion.

Applications

Unspecified application

Species

Unspecified reactive species

Fang Li,Zihao Liu,Kaibin Huang,Shunkai Ding,Chang Zhu,Yuxiang Fu,Xiao Sun,Shipai Zhang,Rui Zhang,Zhipeng Jiang,Keli Zhong,Qijun Zheng

iScience 28:111903 PubMed39995871

2025

Adipocyte-specific Steap4 deficiency reduced thermogenesis and energy expenditure in mice.

Applications

Unspecified application

Species

Unspecified reactive species

Han Wang,Lizi Zhang,Xing Chen,Lingzi Hong,Junjie Zhao,Wen Qian,Lam Khue Pham,Belinda Willard,Xiaoxia Li,Katarzyna Bulek,Xiao Li

International journal of medical sciences 18:2814-2827 PubMed34220309

2021

Abnormal proinflammatory and stressor environmental with increased the regulatory cellular IGF-1/PAPP-A/STC and Wnt-1/β-Catenin canonical pathway in placenta of women with Chronic venous Disease during Pregnancy.

Applications

Unspecified application

Species

Unspecified reactive species

Miguel A Ortega,Oscar Fraile-Martínez,Miguel A Saez,Miguel A Álvarez-Mon,Ana M Gómez-Lahoz,Coral Bravo,Juan A De León Luis,Felipe Sainz,Santiago Coca,Ángel Asúnsolo,Jorge Monserrat,Luis G Guijarro,Melchor Álvarez-Mon,Julia Bujan,Natalio García-Honduvilla

BioMed research international 2020:6782659 PubMed33381575

2020

Chronic Venous Disease Patients Showed Altered Expression of IGF-1/PAPP-A/STC-2 Axis in the Vein Wall.

Applications

Unspecified application

Species

Unspecified reactive species

Miguel A Ortega,Oscar Fraile-Martínez,Ángel Asúnsolo,Clara Martínez-Vivero,Leonel Pekarek,Santiago Coca,Luis G Guijarro,Melchor Álvarez-Mon,Julia Buján,Natalio García-Honduvilla,Felipe Sainz
View all publications

Product promise

We are committed to supporting your work with high-quality reagents, and we're here for you every step of the way. In the unlikely event that one of our products does not perform as expected, you're protected by our Product Promise.
For full details, please see our Terms & Conditions

Please note: All products are 'FOR RESEARCH USE ONLY. NOT FOR USE IN DIAGNOSTIC OR THERAPEUTIC PROCEDURES'.

For licensing inquiries, please contact partnerships@abcam.com