JavaScript is disabled in your browser. Please enable JavaScript to view this website.
AB96637

Anti-StAR antibody

5

(3 Reviews)

|

(40 Publications)

Rabbit Polyclonal STAR antibody. Suitable for ICC/IF, WB, IHC-P and reacts with Human samples. Cited in 40 publications. Immunogen corresponding to Recombinant Fragment Protein within Human STAR aa 1-250.

View Alternative Names

STARD1, STAR, StAR, START domain-containing protein 1, StARD1

5 Images
Immunocytochemistry/ Immunofluorescence - Anti-StAR antibody (AB96637)
  • ICC/IF

Supplier Data

Immunocytochemistry/ Immunofluorescence - Anti-StAR antibody (AB96637)

Immunofluorescence analysis of 4% paraformaldehyde-fixed HepG2 (human liver hepatocellular carcinoma cell line) whole cell lysate labeling StAR protein at mitochondria with ab96637 at 1/500 dilution. Blue : Hoechst 33342 staining.

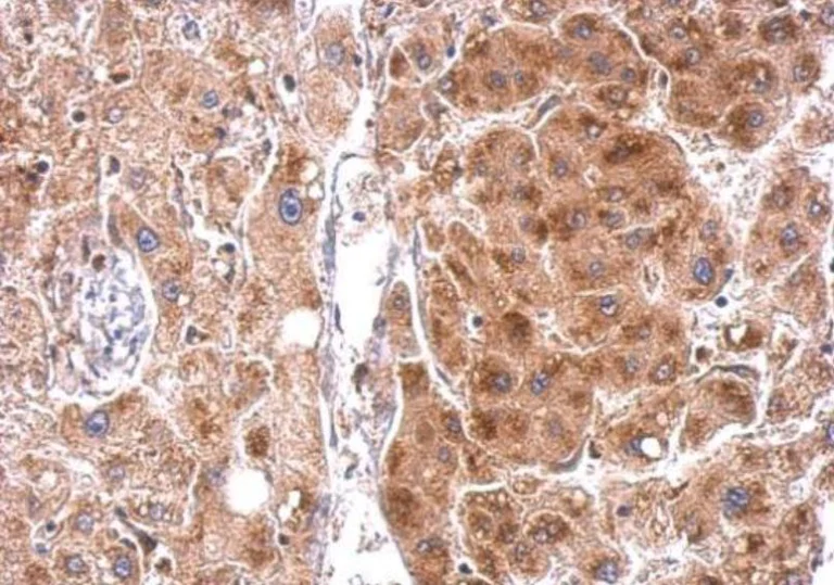
Immunohistochemistry (Formalin/PFA-fixed paraffin-embedded sections) - Anti-StAR antibody (AB96637)
  • IHC-P

Supplier Data

Immunohistochemistry (Formalin/PFA-fixed paraffin-embedded sections) - Anti-StAR antibody (AB96637)

Immunohistochemical analysis of paraffin-embedded human hepatoma tissue staining StAR protein at cytosol with ab96637 at 1/500.

Antigen Retrieval : EDTA based buffer, pH 8.0, 15min.

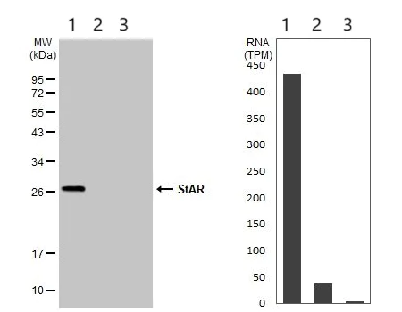
Western blot - Anti-StAR antibody (AB96637)
  • WB

Supplier Data

Western blot - Anti-StAR antibody (AB96637)

Samples were separated by 12% SDS-PAGE.

All lanes:

Western blot - Anti-StAR antibody (ab96637) at 1/1000 dilution

Lane 1:

K562 whole cell extract at 30 µg

Lane 2:

THP-1 whole cell extract at 30 µg

Lane 3:

HL-60 whole cell extract at 30 µg

Secondary

All lanes:

HRP-conjugated anti-rabbit IgG

Predicted band size: 32 kDa

false

Western blot - Anti-StAR antibody (AB96637)
  • WB

AbReview25795****

Western blot - Anti-StAR antibody (AB96637)

All lanes:

Western blot - Anti-StAR antibody (ab96637) at 1/1000 dilution

Lane 1:

Whole tissue lysate prepared from murine adrenal gland at 50 µg

Lane 2:

Whole tissue lysate prepared from rat adrenal gland at 50 µg

Secondary

All lanes:

HRP conjugated goat anti-rabbit polyclonal at 1/2500 dilution

Predicted band size: 32 kDa

true

Exposure time: 20s

Image courtesy of an anonymous Abreview.

Western blot - Anti-StAR antibody (AB96637)
  • WB

Supplier Data

Western blot - Anti-StAR antibody (AB96637)

12% SDS-PAGE

All lanes:

Western blot - Anti-StAR antibody (ab96637) at 1/5000 dilution

Lane 1:

Non-transfected HEK-293T (human epithelial cell line from embryonic kidney transformed with large T antigen) whole cell lysate at 30 µg

Lane 2:

Transfected HEK-293T whole cell lysate at 30 µg

Secondary

All lanes:

HRP-conjugated anti-rabbit IgG antibody

Predicted band size: 32 kDa

false

Key facts

Host species

Rabbit

Clonality

Polyclonal

Isotype

IgG

Carrier free

No

Reacts with

Human

Applications

IHC-P, ICC/IF, WB

applications

Immunogen

Recombinant Fragment Protein within Human STAR aa 1-250. The exact immunogen used to generate this antibody is proprietary information.

P49675

Reactivity data

{ "title": "Reactivity Data", "filters": { "stats": ["", "Species", "Dilution Info", "Notes"], "tabs": { "all-applications": {"fullname" : "All Applications", "shortname": "All Applications"}, "ICCIF" : {"fullname" : "Immunocytochemistry/ Immunofluorescence", "shortname":"ICC/IF"}, "WB" : {"fullname" : "Western blot", "shortname":"WB"}, "IHCP" : {"fullname" : "Immunohistochemistry (Formalin/PFA-fixed paraffin-embedded sections)", "shortname":"IHC-P"} }, "product-promise": { "all": "all", "testedAndGuaranteed": "tested", "guaranteed": "expected", "predicted": "predicted", "notRecommended": "not-recommended" } }, "values": { "Human": { "ICCIF-species-checked": "testedAndGuaranteed", "ICCIF-species-dilution-info": "1/100 - 1/1000", "ICCIF-species-notes": "<p></p>", "WB-species-checked": "testedAndGuaranteed", "WB-species-dilution-info": "1/100 - 1/10000", "WB-species-notes": "<p></p>", "IHCP-species-checked": "testedAndGuaranteed", "IHCP-species-dilution-info": "1/100 - 1/1000", "IHCP-species-notes": "<p></p>" }, "Dog": { "ICCIF-species-checked": "predicted", "ICCIF-species-dilution-info": "", "ICCIF-species-notes": "", "WB-species-checked": "predicted", "WB-species-dilution-info": "", "WB-species-notes": "", "IHCP-species-checked": "predicted", "IHCP-species-dilution-info": "", "IHCP-species-notes": "" }, "Pig": { "ICCIF-species-checked": "predicted", "ICCIF-species-dilution-info": "", "ICCIF-species-notes": "", "WB-species-checked": "predicted", "WB-species-dilution-info": "", "WB-species-notes": "", "IHCP-species-checked": "predicted", "IHCP-species-dilution-info": "", "IHCP-species-notes": "" } } }

Properties and storage information

Form
Liquid
Purification technique
Affinity purification Immunogen
Storage buffer
pH: 7 Preservative: 0.025% Proclin 300 Constituents: PBS, 20% Glycerol (glycerin, glycerine)
Shipped at conditions
Blue Ice
Appropriate short-term storage duration
1-2 weeks
Appropriate short-term storage conditions
+4°C
Appropriate long-term storage conditions
-20°C
Aliquoting information
Upon delivery aliquot
Storage information
Avoid freeze / thaw cycle

Supplementary information

This supplementary information is collated from multiple sources and compiled automatically.

The Steroidogenic Acute Regulatory protein (StAR) also known as STARD1 plays an important role in steroid hormone synthesis. It facilitates the transport of cholesterol from the outer to the inner mitochondrial membrane essential for steroid biosynthesis. StAR has a molecular mass of approximately 30 kDa. Expression of StAR occurs predominantly in steroidogenic tissues like adrenal glands ovaries and testes. The protein's efficient functioning is necessary for the maintenance of proper steroid hormone levels in the body.
Biological function summary

The transport activity of StAR is important for the production of steroid hormones which are pivotal in numerous physiological functions. StAR does not function alone; it forms a part of a larger complex of proteins involved in mitochondrial cholesterol transfer. By enabling the conversion of cholesterol to pregnenolone a precursor to various steroid hormones StAR directly affects processes such as metabolism immune function and sexual differentiation. Abnormalities in these processes can result from disruptions in StAR's activity.

Pathways

The involvement of StAR in cholesterol transport places it in the important steroidogenic pathway. This pathway includes interactions with other pivotal proteins such as cytochrome P450scc (CYP11A1) which further converts cholesterol into pregnenolone. Another important pathway where StAR participates is the adrenal biosynthesis pathway linking it to the production of glucocorticoids and mineralocorticoids. Disruption in these pathways due to StAR deficiency or malfunction can lead to severe biological implications.

StAR is closely associated with conditions like lipoid congenital adrenal hyperplasia (LCAH) and Addison's disease. Mutations or deficiencies in StAR can interrupt steroid hormone production which is essential for managing these conditions. Additionally proteins like CYP11A1 may show functional impairment in the presence of StAR mutations exacerbating these disorders. A deeper understanding of StAR's role in these conditions can support the development of targeted therapeutic strategies.

Product protocols

For this product, it's our understanding that no specific protocols are required. You can visit:

Target data

Plays a key role in steroid hormone synthesis by enhancing the metabolism of cholesterol into pregnenolone. Mediates the transfer of cholesterol from the outer mitochondrial membrane to the inner mitochondrial membrane where it is cleaved to pregnenolone.
See full target information STAR

Publications (40)

Recent publications for all applications. Explore the full list and refine your search

Nature communications 16:6756 PubMed40695837

2025

Zika virus disrupts steroidogenesis and impairs spermatogenesis by stalling the translation of CYP17A1 mRNA.

Applications

Unspecified application

Species

Unspecified reactive species

Wei Yang,Hanyu Li,Shanshan Wang,Rui Huang,Yifei Zhang,Moujian Guo,Li Huang,Shihua Li,Ruirui Yang,Dingran Zhao,Yuxin Xiong,Yifei Liu,Mengjing Huang,Lixia Hui,Wei Xiao,Ying Wu

Animals : an open access journal from MDPI 15: PubMed40646785

2025

LncRNA RWDD3 Facilitates Leydig Cell Steroidogenesis by Regulating the miR-1388-5p/NPY1R/cAMP Pathway in Yanshan Cashmere Goats.

Applications

Unspecified application

Species

Unspecified reactive species

Meijing Chen,Xuejiao Yin,Chunhui Duan,Yuchun Xie,Chenghao Ji,Yong Wang,Yueqin Liu,Yingjie Zhang

Reproductive and developmental medicine 9:11-21 PubMed40162300

2025

deficiency partially restores defects in -deficient mouse corpus luteum.

Applications

Unspecified application

Species

Unspecified reactive species

Yuehuan Li,Ahmed E El Zowalaty,Jonathan Matthew Hancock,Zidao Wang,Taylor Elijah Martin,Tingjie Zhan,Yingzheng Wang,Christian Lee Andersen,Suvitha Viswanathan,Jaymie Bromfield,Venkata Abhigna Atluri,Karly Rae Kallish,Hope Nicole Grismer,Shuo Xiao,Xiaoqin Ye

Reproduction, fertility, and development 37: PubMed39786988

2025

Role of resistin in the porcine uterus: effects on endometrial steroidogenesis.

Applications

Unspecified application

Species

Unspecified reactive species

Marlena Gudelska,Kamil Dobrzyn,Marta Kiezun,Edyta Rytelewska,Ewa Zaobidna,Katarzyna Kisielewska,Grzegorz Kopij,Tadeusz Kaminski,Nina Smolinska

The Journal of biological chemistry 301:108042 PubMed39615688

2024

Metabolic control of luteinizing hormone-responsive ovarian steroidogenesis.

Applications

Unspecified application

Species

Unspecified reactive species

Emilia Przygrodzka,Fatema Bhinderwala,Robert Powers,Renee M McFee,Andrea S Cupp,Jennifer R Wood,John S Davis

Molecular metabolism 91:102062 PubMed39536822

2024

Increased susceptibility to diet-induced obesity in female mice impairs ovarian steroidogenesis: The role of elevated leptin signalling on nodal activity inhibition in theca cells.

Applications

Unspecified application

Species

Unspecified reactive species

Karolina Wołodko,Tjaša Šentjurc,Edyta Walewska,Elżbieta Laniecka,Magdalena Jura,António Galvão

Human reproduction (Oxford, England) 40:119-137 PubMed39521729

2024

Upregulated let-7 expression in the follicular fluid of patients with endometriomas leads to dysfunction of granulosa cells through targeting of IGF1R.

Applications

Unspecified application

Species

Unspecified reactive species

Libing Shi,Hanqi Ying,Yongdong Dai,Yan Rong,Jianmin Chen,Feng Zhou,Shasha Wang,Shiqian Xu,Xiaomei Tong,Songying Zhang

Experimental & molecular medicine 56:1591-1605 PubMed38945952

2024

Development of a novel testis-on-a-chip that demonstrates reciprocal crosstalk between Sertoli and Leydig cells in testicular tissue.

Applications

Unspecified application

Species

Unspecified reactive species

Se-Ra Park,Myung Geun Kook,Soo-Rim Kim,Choon-Mi Lee,Jin Woo Lee,Jung-Kyu Park,Chan Hum Park,Byung-Chul Oh,YunJae Jung,In-Sun Hong

FASEB journal : official publication of the Federation of American Societies for Experimental Biology 38:e23710 PubMed38822676

2024

Unraveling the role of lipid droplets and perilipin 2 in bovine luteal cells.

Applications

Unspecified application

Species

Unspecified reactive species

Michele R Plewes,Heather A Talbott,Micah B Schott,Jennifer R Wood,Andrea S Cupp,John S Davis

Frontiers in immunology 15:1330094 PubMed38361932

2024

Microbiota modulates the steroid response to acute immune stress in male mice.

Applications

Unspecified application

Species

Unspecified reactive species

Karla Vagnerová,Taťána Gazárková,Martin Vodička,Peter Ergang,Petra Klusoňová,Tomáš Hudcovic,Dagmar Šrůtková,Petra Petr Hermanová,Lucie Nováková,Jiří Pácha
View all publications

Product promise

We are committed to supporting your work with high-quality reagents, and we're here for you every step of the way. In the unlikely event that one of our products does not perform as expected, you're protected by our Product Promise.
For full details, please see our Terms & Conditions

Please note: All products are 'FOR RESEARCH USE ONLY. NOT FOR USE IN DIAGNOSTIC OR THERAPEUTIC PROCEDURES'.

For licensing inquiries, please contact partnerships@abcam.com