JavaScript is disabled in your browser. Please enable JavaScript to view this website.
AB300520

Anti-Stargazin antibody [EPR25387-48] - BSA and Azide free

Be the first to review this product! Submit a review

|

(0 Publication)

Rabbit Recombinant Monoclonal Stargazin antibody. Carrier free. Suitable for IP, IHC-Fr, IHC-P, Dot, WB and reacts with Mouse, Human, Rat, Transfected cell line - Mouse samples.

View Alternative Names

Voltage-dependent calcium channel gamma-2 subunit, Neuronal voltage-gated calcium channel gamma-2 subunit, Transmembrane AMPAR regulatory protein gamma-2, TARP gamma-2, CACNG2

11 Images
Immunoprecipitation - Anti-Stargazin antibody [EPR25387-48] - BSA and Azide free (AB300520)
  • IP

Supplier Data

Immunoprecipitation - Anti-Stargazin antibody [EPR25387-48] - BSA and Azide free (AB300520)

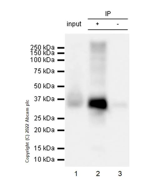
This data was developed using ab300520, the same antibody clone in a different buffer formulation. Stargazin was immunoprecipitated from 0.35 mg Human cerebellum tissue lysate 10 ug with ab300519 at 1/30 dilution (2ug in 0.35mg lysates). Western blot was performed on the immunoprecipitate using ab300519 at 1/1000 dilution. VeriBlot for IP secondary antibody (HRP)(ab131366) was used at 1/5000 dilution. Lane 1 : Human cerebellum tissue lysate 10 ug Lane 2 : ab300519 IP in Human cerebellum tissue lysate Lane 3 : Rabbit monoclonal IgG (ab172730) instead of ab300519 in human cerebellum tissue lysate. Blocking and dilution buffer and concentration : 5% NFDM/TBST. Exposure time : 15 seconds

Lane 1:

Immunoprecipitation - Anti-Stargazin antibody [EPR25387-48] (<a href='/en-us/products/primary-antibodies/stargazin-antibody-epr25387-48-ab300519'>ab300519</a>) at 1/30 dilution

Lane 2:

Immunoprecipitation - Anti-Stargazin antibody [EPR25387-48] (<a href='/en-us/products/primary-antibodies/stargazin-antibody-epr25387-48-ab300519'>ab300519</a>) at 1/1000 dilution

All lanes:

Human cerebellum tissue lysate at 10 µg

Secondary

All lanes:

Immunoprecipitation - VeriBlot for IP Detection Reagent (HRP) (<a href='/en-us/products/reagents/veriblot-for-ip-detection-reagent-hrp-ab131366'>ab131366</a>) at 1/5000 dilution

false

Exposure time: 15s

Immunohistochemistry (Frozen sections) - Anti-Stargazin antibody [EPR25387-48] - BSA and Azide free (AB300520)
  • IHC-Fr

Supplier Data

Immunohistochemistry (Frozen sections) - Anti-Stargazin antibody [EPR25387-48] - BSA and Azide free (AB300520)

This data was developed using ab300519, the same antibody clone in a different buffer formulation.Immunohistochemical analysis of 4% PFA-fixed, 0.2% Triton X-100 permeabilized frozen Mouse heart (fresh) tissue labeling Stargazin with ab300519 at 1/500 (1.206 ug/ml) dilution followed by ab150081 Goat Anti-Rabbit IgG H&L (Alexa Fluor® 488) preadsorbed at 1/1000 2 ug/mL dilution (Green). Negative control (PMID : 11170751)No staining on mouse heart is observed. The nuclear counterstain was DAPI (Blue). Secondary antibody control : Secondary antibody is ab150081 Goat Anti-Rabbit IgG H&L (Alexa Fluor® 488) preadsorbed at 1/1000 2 ug/mL dilution. .

Immunohistochemistry (Frozen sections) - Anti-Stargazin antibody [EPR25387-48] - BSA and Azide free (AB300520)
  • IHC-Fr

Supplier Data

Immunohistochemistry (Frozen sections) - Anti-Stargazin antibody [EPR25387-48] - BSA and Azide free (AB300520)

This data was developed using ab300519, the same antibody clone in a different buffer formulation.Immunohistochemical analysis of 4% PFA-fixed, 0.2% Triton X-100 permeabilized frozen Rat heart (fresh) tissue labeling Stargazin with ab300519 at 1/500 (1.206 ug/ml) dilution followed by ab150081 Goat Anti-Rabbit IgG H&L (Alexa Fluor® 488) preadsorbed at 1/1000 2 ug/mL dilution (Green). Negative control (PMID : 11170751)No staining on rat heart is observed. The nuclear counterstain was DAPI (Blue). Secondary antibody control : Secondary antibody is ab150081 Goat Anti-Rabbit IgG H&L (Alexa Fluor® 488) preadsorbed at 1/1000 2 ug/mL dilution. .

Immunohistochemistry (Frozen sections) - Anti-Stargazin antibody [EPR25387-48] - BSA and Azide free (AB300520)
  • IHC-Fr

Supplier Data

Immunohistochemistry (Frozen sections) - Anti-Stargazin antibody [EPR25387-48] - BSA and Azide free (AB300520)

This data was developed using ab300519, the same antibody clone in a different buffer formulation.Immunohistochemical analysis of 4% PFA-fixed, 0.2% Triton X-100 permeabilized frozen Rat cerebellum (fresh) tissue labeling Stargazin with ab300519 at 1/500 (1.206 ug/ml) dilution followed by ab150081 Goat Anti-Rabbit IgG H&L (Alexa Fluor® 488) preadsorbed at 1/1000 2 ug/mL dilution (Green). Positive staining on rat cerebellum is observed. The nuclear counterstain was DAPI (Blue). Secondary antibody control : Secondary antibody is ab150081 Goat Anti-Rabbit IgG H&L (Alexa Fluor® 488) preadsorbed at 1/1000 2 ug/mL dilution. .

Immunohistochemistry (Frozen sections) - Anti-Stargazin antibody [EPR25387-48] - BSA and Azide free (AB300520)
  • IHC-Fr

Supplier Data

Immunohistochemistry (Frozen sections) - Anti-Stargazin antibody [EPR25387-48] - BSA and Azide free (AB300520)

This data was developed using ab300519, the same antibody clone in a different buffer formulation.Immunohistochemical analysis of 4% PFA-fixed, 0.2% Triton X-100 permeabilized frozen Mouse cerebellum (fresh) tissue labeling Stargazin with ab300519 at 1/500 (1.206 ug/ml) dilution followed by ab150081 Goat Anti-Rabbit IgG H&L (Alexa Fluor® 488) preadsorbed at 1/1000 2 ug/mL dilution (Green). Positive staining on mouse cerebellum is observed. The nuclear counterstain was DAPI (Blue). Secondary antibody control : Secondary antibody is ab150081 Goat Anti-Rabbit IgG H&L (Alexa Fluor® 488) preadsorbed at 1/1000 2 ug/mL dilution. .

Immunohistochemistry (Formalin/PFA-fixed paraffin-embedded sections) - Anti-Stargazin antibody [EPR25387-48] - BSA and Azide free (AB300520)
  • IHC-P

Supplier Data

Immunohistochemistry (Formalin/PFA-fixed paraffin-embedded sections) - Anti-Stargazin antibody [EPR25387-48] - BSA and Azide free (AB300520)

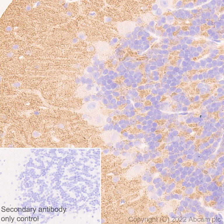
This data was developed using ab300519, the same antibody clone in a different buffer formulation.Immunohistochemical analysis of paraffin-embedded Mouse cerebellum tissue labeling Stargazin with ab300519 at 1/1000 (0.603 ug/ml) followed by a ready to use LeicaDS9800 (Bond™ Polymer Refine Detection) was used. Positive staining in mouse cerebellum. The section was incubated with ab300519 for 30 mins at room temperature.The immunostaining was performed on a Leica Biosystems BOND® RX instrument Counterstained with Hematoxylin. Secondary antibody only control : Secondary antibody is a ready to use LeicaDS9800 (Bond™ Polymer Refine Detection) was used.Heat mediated antigen retrieval with Tris-EDTA buffer (pH 9.0, epitope retrieval solution2) for 20 mins

Immunohistochemistry (Formalin/PFA-fixed paraffin-embedded sections) - Anti-Stargazin antibody [EPR25387-48] - BSA and Azide free (AB300520)
  • IHC-P

Supplier Data

Immunohistochemistry (Formalin/PFA-fixed paraffin-embedded sections) - Anti-Stargazin antibody [EPR25387-48] - BSA and Azide free (AB300520)

This data was developed using ab300519, the same antibody clone in a different buffer formulation.Immunohistochemical analysis of paraffin-embedded Mouse hippocampus tissue labeling Stargazin with ab300519 at 1/1000 (0.603 ug/ml) followed by a ready to use LeicaDS9800 (Bond™ Polymer Refine Detection) was used. Positive staining in mouse hippocampus. The section was incubated with ab300519 for 30 mins at room temperature.The immunostaining was performed on a Leica Biosystems BOND® RX instrument Counterstained with Hematoxylin. Secondary antibody only control : Secondary antibody is a ready to use LeicaDS9800 (Bond™ Polymer Refine Detection) was used.Heat mediated antigen retrieval with Tris-EDTA buffer (pH 9.0, epitope retrieval solution2) for 20 mins

Immunohistochemistry (Formalin/PFA-fixed paraffin-embedded sections) - Anti-Stargazin antibody [EPR25387-48] - BSA and Azide free (AB300520)
  • IHC-P

Supplier Data

Immunohistochemistry (Formalin/PFA-fixed paraffin-embedded sections) - Anti-Stargazin antibody [EPR25387-48] - BSA and Azide free (AB300520)

This data was developed using ab300519, the same antibody clone in a different buffer formulation.Immunohistochemical analysis of paraffin-embedded Rat cerebral cortex tissue labeling Stargazin with ab300519 at 1/1000 (0.603 ug/ml) followed by a ready to use LeicaDS9800 (Bond™ Polymer Refine Detection) was used. Positive staining in rat cerebral cortex. The section was incubated with ab300519 for 30 mins at room temperature.The immunostaining was performed on a Leica Biosystems BOND® RX instrument Counterstained with Hematoxylin. Secondary antibody only control : Secondary antibody is a ready to use LeicaDS9800 (Bond™ Polymer Refine Detection) was used.Heat mediated antigen retrieval with Tris-EDTA buffer (pH 9.0, epitope retrieval solution2) for 20 mins

Immunohistochemistry (Formalin/PFA-fixed paraffin-embedded sections) - Anti-Stargazin antibody [EPR25387-48] - BSA and Azide free (AB300520)
  • IHC-P

Supplier Data

Immunohistochemistry (Formalin/PFA-fixed paraffin-embedded sections) - Anti-Stargazin antibody [EPR25387-48] - BSA and Azide free (AB300520)

This data was developed using ab300519, the same antibody clone in a different buffer formulation.Immunohistochemical analysis of paraffin-embedded Mouse cardiac muscle tissue labeling Stargazin with ab300519 at 1/1000 (0.603 ug/ml) followed by a ready to use LeicaDS9800 (Bond™ Polymer Refine Detection) was used. Negative control : no staining in mouse cardiac muscle. The section was incubated with ab300519 for 30 mins at room temperature.The immunostaining was performed on a Leica Biosystems BOND® RX instrument Counterstained with Hematoxylin. Secondary antibody only control : Secondary antibody is a ready to use LeicaDS9800 (Bond™ Polymer Refine Detection) was used.Heat mediated antigen retrieval with Tris-EDTA buffer (pH 9.0, epitope retrieval solution2) for 20 mins

Immunoprecipitation - Anti-Stargazin antibody [EPR25387-48] - BSA and Azide free (AB300520)
  • IP

Supplier Data

Immunoprecipitation - Anti-Stargazin antibody [EPR25387-48] - BSA and Azide free (AB300520)

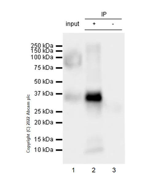
This data was developed using ab300520, the same antibody clone in a different buffer formulation. Stargazin was immunoprecipitated from 0.35 mg Mouse cerebellum tissue lysate 10 ug with ab300519 at 1/30 dilution (2ug in 0.35mg lysates). Western blot was performed on the immunoprecipitate using ab300519 at 1/1000 dilution. VeriBlot for IP secondary antibody (HRP)(ab131366) was used at 1/5000 dilution. Lane 1 : Mouse cerebellum tissue lysate 10 ug Lane 2 : ab300519 IP in Mouse cerebellum tissue lysate Lane 3 : Rabbit monoclonal IgG (ab172730) instead of ab300519 in mouse cerebellum tissue lysate. Blocking and dilution buffer and concentration : 5% NFDM/TBST. Exposure time : 6 seconds

Lane 1:

Immunoprecipitation - Anti-Stargazin antibody [EPR25387-48] (<a href='/en-us/products/primary-antibodies/stargazin-antibody-epr25387-48-ab300519'>ab300519</a>) at 1/30 dilution

Lane 2:

Immunoprecipitation - Anti-Stargazin antibody [EPR25387-48] (<a href='/en-us/products/primary-antibodies/stargazin-antibody-epr25387-48-ab300519'>ab300519</a>) at 1/1000 dilution

All lanes:

Mouse cerebellum tissue lysate at 10 µg

Secondary

All lanes:

Immunoprecipitation - VeriBlot for IP Detection Reagent (HRP) (<a href='/en-us/products/reagents/veriblot-for-ip-detection-reagent-hrp-ab131366'>ab131366</a>) at 1/5000 dilution

false

Exposure time: 6s

Dot Blot - Anti-Stargazin antibody [EPR25387-48] - BSA and Azide free (AB300520)
  • Dot

Supplier Data

Dot Blot - Anti-Stargazin antibody [EPR25387-48] - BSA and Azide free (AB300520)

This data was developed using ab300519, the same antibody clone in a different buffer formulation.

Dot blot analysis of Stargazin using ab300519 at 1 : 1000 (0.603 µg/ml) followed by a Goat Anti-Rabbit IgG, (H+L), Peroxidase conjugated (ab97051) at 1 : 100000 dilution.

Exposure time : 3 minutes

Blocking and diluting buffer and concentration : 5% NFDM/TBST.

Key facts

Host species

Rabbit

Clonality

Monoclonal

Clone number

EPR25387-48

Isotype

IgG

Carrier free

Yes

Reacts with

Human, Mouse, Rat

Applications

Dot, IHC-P, IP, IHC-Fr, WB

applications

Immunogen

The exact immunogen used to generate this antibody is proprietary information.

Reactivity data

{ "title": "Reactivity Data", "filters": { "stats": ["", "Species", "Dilution Info", "Notes"], "tabs": { "all-applications": {"fullname" : "All Applications", "shortname": "All Applications"}, "IP" : {"fullname" : "Immunoprecipitation", "shortname":"IP"}, "ICCIF" : {"fullname" : "Immunocytochemistry/ Immunofluorescence", "shortname":"ICC/IF"}, "IHCFr" : {"fullname" : "Immunohistochemistry (Frozen sections)", "shortname":"IHC-Fr"}, "IHCP" : {"fullname" : "Immunohistochemistry (Formalin/PFA-fixed paraffin-embedded sections)", "shortname":"IHC-P"}, "Dot" : {"fullname" : "Dot Blot", "shortname":"Dot"}, "WB" : {"fullname" : "Western blot", "shortname":"WB"} }, "product-promise": { "all": "all", "testedAndGuaranteed": "tested", "guaranteed": "expected", "predicted": "predicted", "notRecommended": "not-recommended" } }, "values": { "Human": { "IP-species-checked": "testedAndGuaranteed", "IP-species-dilution-info": "", "IP-species-notes": "<p></p>", "ICCIF-species-checked": "notRecommended", "ICCIF-species-dilution-info": "", "ICCIF-species-notes": "", "IHCFr-species-checked": "guaranteed", "IHCFr-species-dilution-info": "", "IHCFr-species-notes": "", "IHCP-species-checked": "notRecommended", "IHCP-species-dilution-info": "", "IHCP-species-notes": "<p></p>", "Dot-species-checked": "guaranteed", "Dot-species-dilution-info": "", "Dot-species-notes": "", "WB-species-checked": "testedAndGuaranteed", "WB-species-dilution-info": "", "WB-species-notes": "<p></p>" }, "Mouse": { "IP-species-checked": "testedAndGuaranteed", "IP-species-dilution-info": "", "IP-species-notes": "<p></p>", "ICCIF-species-checked": "notRecommended", "ICCIF-species-dilution-info": "", "ICCIF-species-notes": "<p></p>", "IHCFr-species-checked": "testedAndGuaranteed", "IHCFr-species-dilution-info": "", "IHCFr-species-notes": "<p></p>", "IHCP-species-checked": "testedAndGuaranteed", "IHCP-species-dilution-info": "", "IHCP-species-notes": "<p></p>", "Dot-species-checked": "guaranteed", "Dot-species-dilution-info": "", "Dot-species-notes": "", "WB-species-checked": "testedAndGuaranteed", "WB-species-dilution-info": "", "WB-species-notes": "<p></p>" }, "Rat": { "IP-species-checked": "guaranteed", "IP-species-dilution-info": "", "IP-species-notes": "", "ICCIF-species-checked": "notRecommended", "ICCIF-species-dilution-info": "", "ICCIF-species-notes": "<p></p>", "IHCFr-species-checked": "testedAndGuaranteed", "IHCFr-species-dilution-info": "", "IHCFr-species-notes": "<p></p>", "IHCP-species-checked": "testedAndGuaranteed", "IHCP-species-dilution-info": "", "IHCP-species-notes": "<p></p>", "Dot-species-checked": "guaranteed", "Dot-species-dilution-info": "", "Dot-species-notes": "", "WB-species-checked": "testedAndGuaranteed", "WB-species-dilution-info": "", "WB-species-notes": "<p></p>" }, "Transfected cell line - Mouse": { "IP-species-checked": "notRecommended", "IP-species-dilution-info": "", "IP-species-notes": "", "ICCIF-species-checked": "notRecommended", "ICCIF-species-dilution-info": "", "ICCIF-species-notes": "", "IHCFr-species-checked": "notRecommended", "IHCFr-species-dilution-info": "", "IHCFr-species-notes": "", "IHCP-species-checked": "notRecommended", "IHCP-species-dilution-info": "", "IHCP-species-notes": "", "Dot-species-checked": "testedAndGuaranteed", "Dot-species-dilution-info": "", "Dot-species-notes": "<p></p>", "WB-species-checked": "notRecommended", "WB-species-dilution-info": "", "WB-species-notes": "" } } }

Product details

Patented technology
Our RabMAb® technology is a patented hybridoma-based technology for making rabbit monoclonal antibodies. For details on our patents, please refer to RabMAb® patents.

What are the advantages of a recombinant monoclonal antibody?
This product is a recombinant monoclonal antibody, which offers several advantages including:

  • - High batch-to-batch consistency and reproducibility
  • - Improved sensitivity and specificity
  • - Long-term security of supply
  • - Animal-free batch production

For more information, read more on recombinant antibodies.

Conjugation ready
Our carrier-free antibodies are typically supplied in a PBS-only formulation, purified and free of BSA, sodium azide and glycerol. This conjugation-ready format is designed for use with fluorochromes, metal isotopes, oligonucleotides, and enzymes, which makes them ideal for antibody labelling, functional and cell-based assays, flow-based assays (e.g. mass cytometry) and Multiplex Imaging applications.

Use our conjugation kits for antibody conjugates that are ready-to-use in as little as 20 minutes with 1 minute hands-on-time and 100% antibody recovery: available for fluorescent dyes, HRP, biotin and gold.

Compatibility
This product is compatible with the Maxpar® Antibody Labeling Kit from Fluidigm, without the need for antibody preparation. Maxpar® is a trademark of Fluidigm Canada Inc.

Properties and storage information

Form
Liquid
Purification technique
Affinity purification Protein A
Storage buffer
pH: 7.2 - 7.4 Constituents: PBS
Shipped at conditions
Blue Ice
Appropriate short-term storage conditions
+4°C
Appropriate long-term storage conditions
+4°C
Aliquoting information
Upon delivery aliquot
Storage information
Do Not Freeze

Supplementary information

This supplementary information is collated from multiple sources and compiled automatically.

Stargazin also known as γ-2 is a protein that modulates synaptic function by influencing AMPA receptor trafficking and their gating properties in neurons. It is a transmembrane protein with a mass of approximately 38 kDa. Stargazin is highly expressed in the brain predominantly in the cerebellum and hippocampus and is an important member of the transmembrane AMPA receptor regulatory protein (TARP) family. It directly interacts with AMPA receptors to regulate their surface expression and synaptic localization impacting synaptic plasticity and transmission in neurons.
Biological function summary

The protein known as Stargazin serves a pivotal role in the regulation of excitatory synaptic transmission. It forms part of a complex with AMPA receptors facilitating their proper trafficking to the postsynaptic membrane. Stargazin’s interaction with AMPA receptors is not just structural; it also modulates receptor activation and desensitization kinetics impacting neuronal communication. This modulation is essential for synaptic plasticity—a process underlying learning and memory.

Pathways

The interaction of Stargazin with AMPA receptors is central to the glutamatergic signaling pathway. This pathway is important for synaptic strength modulation and long-term potentiation. Stargazin also interacts with other TARP family proteins such as γ-3 γ-4 and γ-8 which further influences AMPA receptor trafficking across various brain regions. This association with different TARP proteins allows it to finely tune synaptic responses and modifies the receptor's contribution to neural signaling.

Stargazin plays a significant role in conditions like epilepsy and ataxia. Mutations or dysregulation in Stargazin disrupt AMPA receptor trafficking and synaptic signaling contributing to the abnormal neuronal activity observed in epilepsy. Moreover Stargazin is implicated in type 1 episodic ataxia due to its influence on cerebellar synaptic function which is vital for motor coordination. Stargazin’s interaction with other AMPAR auxiliary subunits can further exacerbate these disorders by altering receptor compositions and neuronal excitability.

Product protocols

For this product, it's our understanding that no specific protocols are required. You can visit:

Target data

Regulates the trafficking and gating properties of AMPA-selective glutamate receptors (AMPARs). Promotes their targeting to the cell membrane and synapses and modulates their gating properties by slowing their rates of activation, deactivation and desensitization. Does not show subunit-specific AMPA receptor regulation and regulates all AMPAR subunits. Thought to stabilize the calcium channel in an inactivated (closed) state.
See full target information CACNG2

Product promise

We are committed to supporting your work with high-quality reagents, and we're here for you every step of the way. In the unlikely event that one of our products does not perform as expected, you're protected by our Product Promise.
For full details, please see our Terms & Conditions

Please note: All products are 'FOR RESEARCH USE ONLY. NOT FOR USE IN DIAGNOSTIC OR THERAPEUTIC PROCEDURES'.

For licensing inquiries, please contact partnerships@abcam.com