JavaScript is disabled in your browser. Please enable JavaScript to view this website.
AB2071

Anti-STAT1 alpha antibody

Be the first to review this product! Submit a review

|

(7 Publications)

Rabbit Polyclonal STAT1 antibody. Suitable for WB, IHC-P, ICC/IF and reacts with Mouse, Rat, Human samples. Cited in 7 publications. Immunogen corresponding to Synthetic Peptide within Human STAT1 aa 700 to C-terminus.

View Alternative Names

Signal transducer and activator of transcription 1-alpha/beta, Transcription factor ISGF-3 components p91/p84, STAT1

6 Images
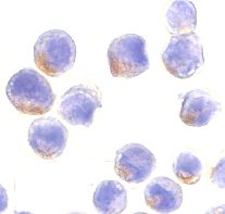
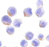
Immunocytochemistry/ Immunofluorescence - Anti-STAT1 alpha antibody (AB2071)
  • ICC/IF

Supplier Data

Immunocytochemistry/ Immunofluorescence - Anti-STAT1 alpha antibody (AB2071)

Immunocytochemistry of STAT1a in HeLa cells with STAT1a antibody at 10 µg/ml.

Immunohistochemistry (Formalin/PFA-fixed paraffin-embedded sections) - Anti-STAT1 alpha antibody (AB2071)
  • IHC-P

Supplier Data

Immunohistochemistry (Formalin/PFA-fixed paraffin-embedded sections) - Anti-STAT1 alpha antibody (AB2071)

Immunohistochemistry of STAT1 in human colon tissue with ab2071 at 2.5 μg/ml.

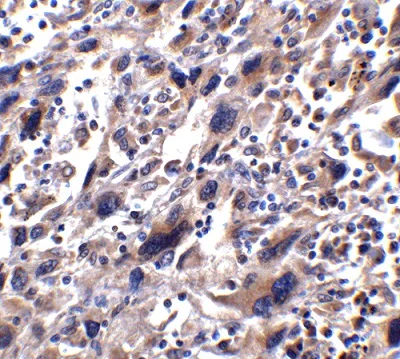
Immunohistochemistry (Formalin/PFA-fixed paraffin-embedded sections) - Anti-STAT1 alpha antibody (AB2071)
  • IHC-P

Supplier Data

Immunohistochemistry (Formalin/PFA-fixed paraffin-embedded sections) - Anti-STAT1 alpha antibody (AB2071)

Immunofluorescence of STAT1 in human colon tissue with ab2071 at 20 μg/mL.

Western blot - Anti-STAT1 alpha antibody (AB2071)
  • WB

Supplier Data

Western blot - Anti-STAT1 alpha antibody (AB2071)

All lanes:

Western blot - Anti-STAT1 alpha antibody (ab2071) at 1 µg/mL

All lanes:

YB2/0 at 15 µg

Secondary

All lanes:

Goat anti-rabbit IgG HRP conjugate at 1/10000 dilution

Predicted band size: 87 kDa

false

Western blot - Anti-STAT1 alpha antibody (AB2071)
  • WB

Supplier Data

Western blot - Anti-STAT1 alpha antibody (AB2071)

All lanes:

Western blot - Anti-STAT1 alpha antibody (ab2071) at 0.5 µg/mL

Lane 1:

Mouse skin at 15 µg

Lane 2:

Mouse skeletal muscle at 15 µg

Lane 3:

Mouse bladder at 15 µg

Lane 4:

Mouse lung at 15 µg

Secondary

All lanes:

Goat anti-rabbit IgG HRP conjugate at 1/10000 dilution

Predicted band size: 87 kDa

false

Western blot - Anti-STAT1 alpha antibody (AB2071)
  • WB

Unknown

Western blot - Anti-STAT1 alpha antibody (AB2071)

All lanes:

Western blot - Anti-STAT1 alpha antibody (ab2071) at 1 µg/mL

Lane 1:

HeLa whole cell lysate

Lane 2:

Jurkat whole cell lysate

Lane 3:

A431 whole cell lysate

Lane 4:

K562 whole cell lysate

Lane 5:

NIH3T3 whole cell lysate

Predicted band size: 87 kDa

Observed band size: 91 kDa

false

Key facts

Host species

Rabbit

Clonality

Polyclonal

Isotype

IgG

Carrier free

No

Reacts with

Mouse, Rat, Human

Applications

IHC-P, WB, ICC/IF

applications

Immunogen

Synthetic Peptide within Human STAT1 aa 700 to C-terminus. The exact immunogen used to generate this antibody is proprietary information.

P42224

Reactivity data

{ "title": "Reactivity Data", "filters": { "stats": ["", "Species", "Dilution Info", "Notes"], "tabs": { "all-applications": {"fullname" : "All Applications", "shortname": "All Applications"}, "WB" : {"fullname" : "Western blot", "shortname":"WB"}, "IHCP" : {"fullname" : "Immunohistochemistry (Formalin/PFA-fixed paraffin-embedded sections)", "shortname":"IHC-P"}, "ICCIF" : {"fullname" : "Immunocytochemistry/ Immunofluorescence", "shortname":"ICC/IF"} }, "product-promise": { "all": "all", "testedAndGuaranteed": "tested", "guaranteed": "expected", "predicted": "predicted", "notRecommended": "not-recommended" } }, "values": { "Human": { "WB-species-checked": "testedAndGuaranteed", "WB-species-dilution-info": "1/1000 - 1/2000", "WB-species-notes": "<p></p>", "IHCP-species-checked": "testedAndGuaranteed", "IHCP-species-dilution-info": "2.5 µg/mL", "IHCP-species-notes": "<p></p>", "ICCIF-species-checked": "testedAndGuaranteed", "ICCIF-species-dilution-info": "10 µg/mL", "ICCIF-species-notes": "<p></p>" }, "Mouse": { "WB-species-checked": "testedAndGuaranteed", "WB-species-dilution-info": "1/1000 - 1/2000", "WB-species-notes": "<p></p>", "IHCP-species-checked": "guaranteed", "IHCP-species-dilution-info": "", "IHCP-species-notes": "", "ICCIF-species-checked": "guaranteed", "ICCIF-species-dilution-info": "", "ICCIF-species-notes": "" }, "Rat": { "WB-species-checked": "testedAndGuaranteed", "WB-species-dilution-info": "1/1000 - 1/2000", "WB-species-notes": "<p></p>", "IHCP-species-checked": "guaranteed", "IHCP-species-dilution-info": "", "IHCP-species-notes": "", "ICCIF-species-checked": "guaranteed", "ICCIF-species-dilution-info": "", "ICCIF-species-notes": "" } } }

Properties and storage information

Form
Liquid
Purification technique
Affinity purification
Storage buffer
pH: 7.2 Preservative: 0.02% Sodium azide
Shipped at conditions
Blue Ice
Appropriate short-term storage conditions
+4°C
Appropriate long-term storage conditions
-20°C
Aliquoting information
Upon delivery aliquot
Storage information
Avoid freeze / thaw cycle

Supplementary information

This supplementary information is collated from multiple sources and compiled automatically.

STAT1 alpha also known as Signal Transducer and Activator of Transcription 1-alpha is a protein with a mass of approximately 91 kDa. It operates in the cell nucleus and cytoplasm to mediate signal transduction and activation of transcription. STAT1 alpha does this by dimerizing following phosphorylation enabling its nuclear translocation. It is broadly expressed in many tissues including immune cells. This expression plays an important role in response to cytokines and other signaling molecules.
Biological function summary

STAT1 alpha functions as a critical component of the interferon signaling pathway. It is part of a transcription factor complex that regulates the expression of genes involved in cell proliferation differentiation and immune response. STAT1 alpha mediates its effects by forming homo- or heterodimers with related proteins and binding to specific DNA sequences. This interaction facilitates the transcription of genes necessary for innate and adaptive immunity highlighting its fundamental role in host defense mechanisms.

Pathways

STAT1 alpha participates in the JAK-STAT signaling pathway and interferon signaling pathways. It interacts with Janus kinases (JAKs) after cytokine stimulation resulting in its phosphorylation and dimerization. This pathway links it with other STAT family members such as STAT2 and STAT3 to regulate gene expression. These pathways ensure proper immune function and cell growth control indicating STAT1 alpha's essential role in various cellular processes.

STAT1 alpha is associated with autoimmune diseases and certain cancers. Its malfunction can result in inadequate immune responses or excessive inflammation. In some cancers altered STAT1 alpha activity contributes to unchecked cell proliferation. STAT1 alpha interacts with various proteins such as IFNGR1 and IRF1 in these disease states affecting their signaling pathways. Its dysregulation indicates a potential target for therapeutic intervention in these disorders making it of interest for medical research.

Product protocols

For this product, it's our understanding that no specific protocols are required. You can visit:

Target data

Signal transducer and transcription activator that mediates cellular responses to interferons (IFNs), cytokine KITLG/SCF and other cytokines and other growth factors (PubMed : 12764129, PubMed : 12855578, PubMed : 15322115, PubMed : 23940278, PubMed : 34508746, PubMed : 35568036, PubMed : 9724754). Following type I IFN (IFN-alpha and IFN-beta) binding to cell surface receptors, signaling via protein kinases leads to activation of Jak kinases (TYK2 and JAK1) and to tyrosine phosphorylation of STAT1 and STAT2. The phosphorylated STATs dimerize and associate with ISGF3G/IRF-9 to form a complex termed ISGF3 transcription factor, that enters the nucleus (PubMed : 28753426, PubMed : 35568036). ISGF3 binds to the IFN stimulated response element (ISRE) to activate the transcription of IFN-stimulated genes (ISG), which drive the cell in an antiviral state (PubMed : 28753426, PubMed : 35568036). In response to type II IFN (IFN-gamma), STAT1 is tyrosine- and serine-phosphorylated (PubMed : 26479788). It then forms a homodimer termed IFN-gamma-activated factor (GAF), migrates into the nucleus and binds to the IFN gamma activated sequence (GAS) to drive the expression of the target genes, inducing a cellular antiviral state (PubMed : 8156998). Becomes activated in response to KITLG/SCF and KIT signaling (PubMed : 15526160). May mediate cellular responses to activated FGFR1, FGFR2, FGFR3 and FGFR4 (PubMed : 19088846). Following bacterial lipopolysaccharide (LPS)-induced TLR4 endocytosis, phosphorylated at Thr-749 by IKBKB which promotes binding of STAT1 to the 5'-TTTGAGGC-3' sequence in the ARID5A promoter, resulting in transcriptional activation of ARID5A and subsequent ARID5A-mediated stabilization of IL6 (PubMed : 32209697). Phosphorylation at Thr-749 also promotes binding of STAT1 to the 5'-TTTGAGTC-3' sequence in the IL12B promoter and activation of IL12B transcription (PubMed : 32209697). Involved in food tolerance in small intestine : associates with the Gasdermin-D, p13 cleavage product (13 kDa GSDMD) and promotes transcription of CIITA, inducing type 1 regulatory T (Tr1) cells in upper small intestine (By similarity).
See full target information STAT1

Publications (7)

Recent publications for all applications. Explore the full list and refine your search

EBioMedicine 70:103477 PubMed34284174

2021

Expression characteristics of interferon-stimulated genes and possible regulatory mechanisms in lupus patients using transcriptomics analyses.

Applications

Unspecified application

Species

Unspecified reactive species

Yiyao Deng,Ying Zheng,Delun Li,Quan Hong,Min Zhang,Qinggang Li,Bo Fu,Lingling Wu,Xu Wang,Wanjun Shen,Yingjie Zhang,Jiakai Chang,Kangkang Song,Xiaomin Liu,Shunlai Shang,Guangyan Cai,Xiangmei Chen

International journal of molecular medicine 46:239-251 PubMed32377717

2020

Puerarin improves graft bone defect through microRNA‑155‑3p‑mediated p53/TNF‑α/STAT1 signaling pathway.

Applications

Unspecified application

Species

Unspecified reactive species

Yang Zhou,Hongyu Lian,Kexin Liu,Deli Wang,Xuelian Xiu,Zhang Sun

Molecular medicine reports 20:4993-5001 PubMed31638264

2019

IL‑1β increases the expression of inflammatory factors in synovial fluid‑derived fibroblast‑like synoviocytes via activation of the NF‑κB‑mediated ERK‑STAT1 signaling pathway.

Applications

Unspecified application

Species

Unspecified reactive species

Jie Yang,Junhu Wang,Xiaojun Liang,Hongmou Zhao,Jun Lu,Qiang Ma,Bingfei Jing,Feng Tian

The Journal of neuroscience : the official journal of the Society for Neuroscience 38:3890-3900 PubMed29540554

2018

Major Vault Protein, a Candidate Gene in 16p11.2 Microdeletion Syndrome, Is Required for the Homeostatic Regulation of Visual Cortical Plasticity.

Applications

Unspecified application

Species

Unspecified reactive species

Jacque P K Ip,Ikue Nagakura,Jeremy Petravicz,Keji Li,Erik A C Wiemer,Mriganka Sur

Cell death discovery 4:4 PubMed29531801

2018

Inhibition of the MID1 protein complex: a novel approach targeting APP protein synthesis.

Applications

Unspecified application

Species

Unspecified reactive species

Frank Matthes,Moritz M Hettich,Judith Schilling,Diana Flores-Dominguez,Nelli Blank,Thomas Wiglenda,Alexander Buntru,Hanna Wolf,Stephanie Weber,Ina Vorberg,Alina Dagane,Gunnar Dittmar,Erich Wanker,Dan Ehninger,Sybille Krauss

The Journal of neuroscience : the official journal of the Society for Neuroscience 34:10256-63 PubMed25080587

2014

STAT1 regulates the homeostatic component of visual cortical plasticity via an AMPA receptor-mediated mechanism.

Applications

Unspecified application

Species

Mouse

Ikue Nagakura,Audra Van Wart,Jeremy Petravicz,Daniela Tropea,Mriganka Sur

The Journal of general virology 90:2147-56 PubMed19458173

2009

Parainfluenza virus 5 genomes are located in viral cytoplasmic bodies whilst the virus dismantles the interferon-induced antiviral state of cells.

Applications

ICC/IF

Species

Human

T S Carlos,D F Young,M Schneider,J P Simas,R E Randall
View all publications

Product promise

We are committed to supporting your work with high-quality reagents, and we're here for you every step of the way. In the unlikely event that one of our products does not perform as expected, you're protected by our Product Promise.
For full details, please see our Terms & Conditions

Please note: All products are 'FOR RESEARCH USE ONLY. NOT FOR USE IN DIAGNOSTIC OR THERAPEUTIC PROCEDURES'.

For licensing inquiries, please contact partnerships@abcam.com