JavaScript is disabled in your browser. Please enable JavaScript to view this website.
AB47425

Anti-STAT1 antibody

5

(3 Reviews)

|

(19 Publications)

Rabbit Polyclonal STAT1 antibody. Suitable for WB, IHC-P, ICC/IF and reacts with Human samples. Cited in 19 publications. Immunogen corresponding to Synthetic Peptide within Human STAT1 aa 650 to C-terminus.

View Alternative Names

Signal transducer and activator of transcription 1-alpha/beta, Transcription factor ISGF-3 components p91/p84, STAT1

3 Images
Immunocytochemistry/ Immunofluorescence - Anti-STAT1 antibody (AB47425)
  • ICC/IF

Unknown

Immunocytochemistry/ Immunofluorescence - Anti-STAT1 antibody (AB47425)

ICC/IF image of ab47425 stained HeLa cells. The cells were 4% PFA fixed (10 min) and then incubated in 1%BSA / 10% normal goat serum / 0.3M glycine in 0.1% PBS-Tween for 1h to permeabilise the cells and block non-specific protein-protein interactions. The cells were then incubated with the antibody (ab47425, 1µg/ml) overnight at +4°C. The secondary antibody (green) was Alexa Fluor® 488 goat anti-rabbit IgG (H+L) used at a 1/1000 dilution for 1h. Alexa Fluor® 594 WGA was used to label plasma membranes (red) at a 1/200 dilution for 1h. DAPI was used to stain the cell nuclei (blue) at a concentration of 1.43µM.

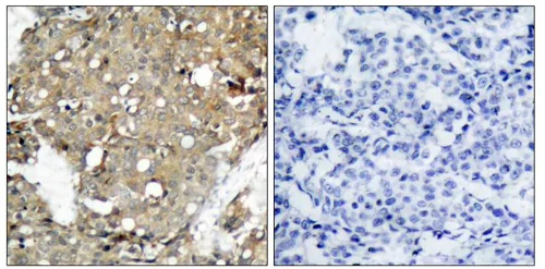
Immunohistochemistry (Formalin/PFA-fixed paraffin-embedded sections) - Anti-STAT1 antibody (AB47425)
  • IHC-P

Supplier Data

Immunohistochemistry (Formalin/PFA-fixed paraffin-embedded sections) - Anti-STAT1 antibody (AB47425)

ab47425 staining STAT1 in human breast carcinoma tissue by Immunohistochemistry (IHC-P- paraformaldehyde fixed , paraffin embedded sections). Samples were incubated with primary antibody at a 1 : 50 dilution.

Right picture : Blocked with synthesized peptide.

Western blot - Anti-STAT1 antibody (AB47425)
  • WB

Supplier Data

Western blot - Anti-STAT1 antibody (AB47425)

All lanes:

Western blot - Anti-STAT1 antibody (ab47425) at 1/2000 dilution

All lanes:

293 Cells

Predicted band size: 87 kDa

false

Key facts

Host species

Rabbit

Clonality

Polyclonal

Isotype

IgG

Carrier free

No

Reacts with

Human

Applications

IHC-P, WB, ICC/IF

applications

Immunogen

Synthetic Peptide within Human STAT1 aa 650 to C-terminus. The exact immunogen used to generate this antibody is proprietary information.

P42224

Reactivity data

{ "title": "Reactivity Data", "filters": { "stats": ["", "Species", "Dilution Info", "Notes"], "tabs": { "all-applications": {"fullname" : "All Applications", "shortname": "All Applications"}, "WB" : {"fullname" : "Western blot", "shortname":"WB"}, "IHCP" : {"fullname" : "Immunohistochemistry (Formalin/PFA-fixed paraffin-embedded sections)", "shortname":"IHC-P"}, "ICCIF" : {"fullname" : "Immunocytochemistry/ Immunofluorescence", "shortname":"ICC/IF"} }, "product-promise": { "all": "all", "testedAndGuaranteed": "tested", "guaranteed": "expected", "predicted": "predicted", "notRecommended": "not-recommended" } }, "values": { "Human": { "WB-species-checked": "testedAndGuaranteed", "WB-species-dilution-info": "1/500 - 1/1000", "WB-species-notes": "<p></p>", "IHCP-species-checked": "testedAndGuaranteed", "IHCP-species-dilution-info": "", "IHCP-species-notes": "<p></p>", "ICCIF-species-checked": "testedAndGuaranteed", "ICCIF-species-dilution-info": "1-5 µg/mL", "ICCIF-species-notes": "<p></p>" }, "Rat": { "WB-species-checked": "predicted", "WB-species-dilution-info": "", "WB-species-notes": "", "IHCP-species-checked": "predicted", "IHCP-species-dilution-info": "", "IHCP-species-notes": "", "ICCIF-species-checked": "predicted", "ICCIF-species-dilution-info": "", "ICCIF-species-notes": "" } } }

Properties and storage information

Form
Liquid
Purification technique
Affinity purification Immunogen
Storage buffer
pH: 7.4 Preservative: 0.02% Sodium azide Constituents: PBS, 50% Glycerol (glycerin, glycerine), 0.87% Sodium chloride
Shipped at conditions
Blue Ice
Appropriate short-term storage conditions
+4°C
Appropriate long-term storage conditions
-20°C
Storage information
Stable for 12 months at -20°C

Supplementary information

This supplementary information is collated from multiple sources and compiled automatically.

Signal Transducer and Activator of Transcription 1 (STAT1) is a protein of about 91 kDa commonly known simply as STAT1. It belongs to the STAT protein family which is involved in gene regulation. STAT1 expresses widely in many tissues including the immune system where it plays a major role. As an important player in cellular responses to cytokines and growth factors STAT1 becomes activated through phosphorylation often referred to as phospho-STAT1. This phosphorylation promotes dimerization an important step for its function.
Biological function summary

The STAT1 protein influences cell survival and immune responses. It functions as a transcription factor and participates in the interferon signaling pathway. In this setting it forms a complex with other STAT proteins such as STAT2 and STAT3 to regulate gene expression. By binding to specific DNA sequences in the nucleus STAT1 alters transcription in response to extracellular signals. It contributes to antiviral defense mechanisms and antiproliferative activities in various cells.

Pathways

The STAT1 protein plays essential roles in the JAK-STAT signaling pathway and interferon signaling pathway. It operates closely with proteins such as JAK1 and TYK2 which are involved in the phosphorylation process activating STAT1. During this activation STAT1 helps initiate cellular responses to interferons a type of signaling protein released during viral infections. The JAK-STAT pathway facilitates various physiological processes including immune responses and cell growth regulation.

STAT1 dysregulation often connects to autoimmune diseases and infectious diseases. Elevated STAT1 activity associates with disorders like systemic lupus erythematosus where an imbalanced immune response occurs. Phosphorylation of STAT1 can also relate to chronic infections in cases where proper immune response activation becomes impaired. In certain cancers STAT1 interaction with proteins like SOCS1 might contribute to tumor immune evasion highlighting its vital role in pathology.

Product protocols

For this product, it's our understanding that no specific protocols are required. You can visit:

Target data

Signal transducer and transcription activator that mediates cellular responses to interferons (IFNs), cytokine KITLG/SCF and other cytokines and other growth factors (PubMed : 12764129, PubMed : 12855578, PubMed : 15322115, PubMed : 23940278, PubMed : 34508746, PubMed : 35568036, PubMed : 9724754). Following type I IFN (IFN-alpha and IFN-beta) binding to cell surface receptors, signaling via protein kinases leads to activation of Jak kinases (TYK2 and JAK1) and to tyrosine phosphorylation of STAT1 and STAT2. The phosphorylated STATs dimerize and associate with ISGF3G/IRF-9 to form a complex termed ISGF3 transcription factor, that enters the nucleus (PubMed : 28753426, PubMed : 35568036). ISGF3 binds to the IFN stimulated response element (ISRE) to activate the transcription of IFN-stimulated genes (ISG), which drive the cell in an antiviral state (PubMed : 28753426, PubMed : 35568036). In response to type II IFN (IFN-gamma), STAT1 is tyrosine- and serine-phosphorylated (PubMed : 26479788). It then forms a homodimer termed IFN-gamma-activated factor (GAF), migrates into the nucleus and binds to the IFN gamma activated sequence (GAS) to drive the expression of the target genes, inducing a cellular antiviral state (PubMed : 8156998). Becomes activated in response to KITLG/SCF and KIT signaling (PubMed : 15526160). May mediate cellular responses to activated FGFR1, FGFR2, FGFR3 and FGFR4 (PubMed : 19088846). Following bacterial lipopolysaccharide (LPS)-induced TLR4 endocytosis, phosphorylated at Thr-749 by IKBKB which promotes binding of STAT1 to the 5'-TTTGAGGC-3' sequence in the ARID5A promoter, resulting in transcriptional activation of ARID5A and subsequent ARID5A-mediated stabilization of IL6 (PubMed : 32209697). Phosphorylation at Thr-749 also promotes binding of STAT1 to the 5'-TTTGAGTC-3' sequence in the IL12B promoter and activation of IL12B transcription (PubMed : 32209697). Involved in food tolerance in small intestine : associates with the Gasdermin-D, p13 cleavage product (13 kDa GSDMD) and promotes transcription of CIITA, inducing type 1 regulatory T (Tr1) cells in upper small intestine (By similarity).
See full target information STAT1

Publications (19)

Recent publications for all applications. Explore the full list and refine your search

Nucleic acids research 52:6298-6316 PubMed38682582

2024

Senescence of human pancreatic beta cells enhances functional maturation through chromatin reorganization and promotes interferon responsiveness.

Applications

Unspecified application

Species

Unspecified reactive species

Milan Patra,Agnes Klochendler,Reba Condiotti,Binyamin Kaffe,Sharona Elgavish,Zeina Drawshy,Dana Avrahami,Masashi Narita,Matan Hofree,Yotam Drier,Eran Meshorer,Yuval Dor,Ittai Ben-Porath

Nature communications 15:438 PubMed38200007

2024

Disparate macrophage responses are linked to infection outcome of Hantan virus in humans or rodents.

Applications

Unspecified application

Species

Unspecified reactive species

Hongwei Ma,Yongheng Yang,Tiejian Nie,Rong Yan,Yue Si,Jing Wei,Mengyun Li,He Liu,Wei Ye,Hui Zhang,Linfeng Cheng,Liang Zhang,Xin Lv,Limin Luo,Zhikai Xu,Xijing Zhang,Yingfeng Lei,Fanglin Zhang

Allergologia et immunopathologia 51:146-153 PubMed36617834

2023

Chryseriol attenuates the progression of OVA-induced asthma in mice through NF-κB/HIF-1α and MAPK/STAT1 pathways.

Applications

Unspecified application

Species

Unspecified reactive species

Shangyao Mo,Hao Deng,Yong Xie,Lixia Yang,Lili Wen

Nature communications 13:4605 PubMed35941154

2022

IFN-γ stimulated murine and human neurons mount anti-parasitic defenses against the intracellular parasite Toxoplasma gondii.

Applications

Unspecified application

Species

Unspecified reactive species

Sambamurthy Chandrasekaran,Joshua A Kochanowsky,Emily F Merritt,Joseph S Lagas,Ayesha Swannigan,Anita A Koshy

Folia histochemica et cytobiologica 60:226-236 PubMed35929062

2022

Activation of the JAK1/STAT1 signaling pathway is associated with peroxiredoxin 6 expression levels in human epididymis epithelial cells.

Applications

Unspecified application

Species

Unspecified reactive species

Hui Shi,Xiaoyu Liu,Yanwei Wang,Haiyan Wang,Bochen Pan,Jianyuan Li

Frontiers in pharmacology 13:836724 PubMed35712699

2022

Novel STAT3 Inhibitors Targeting STAT3 Dimerization by Binding to the STAT3 SH2 Domain.

Applications

Unspecified application

Species

Unspecified reactive species

Yaping Hua,Xing Yuan,Yun-Heng Shen,Jinxin Wang,Waqas Azeem,Shuo Yang,Alexandra Gade,Seyed Mohammad Lellahi,Anne Margrete Øyan,Xisong Ke,Wei-Dong Zhang,Karl-Henning Kalland

Cell cycle (Georgetown, Tex.) 21:767-779 PubMed35130108

2022

STING agonist enhances the efficacy of programmed death-ligand 1 monoclonal antibody in breast cancer immunotherapy by activating the interferon-β signalling pathway.

Applications

Unspecified application

Species

Unspecified reactive species

Mingming Yin,Jinlong Hu,Zhongxu Yuan,Guangyi Luo,Jiaming Yao,Rundong Wang,Dongquan Liu,Baoqiang Cao,Wenyong Wu,Zhiqi Hu

Cell reports 36:109412 PubMed34289354

2021

Cell-autonomous inflammation of BRCA1-deficient ovarian cancers drives both tumor-intrinsic immunoreactivity and immune resistance via STING.

Applications

Unspecified application

Species

Unspecified reactive species

Marine Bruand,David Barras,Marco Mina,Eleonora Ghisoni,Matteo Morotti,Evripidis Lanitis,Noémie Fahr,Mathieu Desbuisson,Alizée Grimm,Hualing Zhang,Chloe Chong,Julien Dagher,Sora Chee,Theodora Tsianou,Julien Dorier,Brian J Stevenson,Christian Iseli,Catherine Ronet,Sara Bobisse,Raphael Genolet,Josephine Walton,Michal Bassani-Sternberg,Lana E Kandalaft,Bing Ren,Iain McNeish,Elizabeth Swisher,Alexandre Harari,Mauro Delorenzi,Giovanni Ciriello,Melita Irving,Sylvie Rusakiewicz,Periklis G Foukas,Fabio Martinon,Denarda Dangaj Laniti,George Coukos

Cell host & microbe 29:579-593.e5 PubMed33857419

2021

Il4ra-independent vaginal eosinophil accumulation following helminth infection exacerbates epithelial ulcerative pathology of HSV-2 infection.

Applications

Unspecified application

Species

Unspecified reactive species

Alisha Chetty,Matthew G Darby,Pia M Vornewald,Mara Martín-Alonso,Anna Filz,Manuel Ritter,Henry J McSorley,Lindi Masson,Katherine Smith,Frank Brombacher,Matthew K O'Shea,Adam F Cunningham,Bernhard Ryffel,Menno J Oudhoff,Benjamin G Dewals,Laura E Layland,William G C Horsnell

Nature communications 12:2099 PubMed33833239

2021

Defective dystrophic thymus determines degenerative changes in skeletal muscle.

Applications

Unspecified application

Species

Unspecified reactive species

Andrea Farini,Clementina Sitzia,Chiara Villa,Barbara Cassani,Luana Tripodi,Mariella Legato,Marzia Belicchi,Pamela Bella,Caterina Lonati,Stefano Gatti,Massimiliano Cerletti,Yvan Torrente
View all publications

Product promise

We are committed to supporting your work with high-quality reagents, and we're here for you every step of the way. In the unlikely event that one of our products does not perform as expected, you're protected by our Product Promise.
For full details, please see our Terms & Conditions

Please note: All products are 'FOR RESEARCH USE ONLY. NOT FOR USE IN DIAGNOSTIC OR THERAPEUTIC PROCEDURES'.

For licensing inquiries, please contact partnerships@abcam.com