JavaScript is disabled in your browser. Please enable JavaScript to view this website.
AB234400

Anti-STAT1 antibody [EPR21057-141] - ChIP Grade

  • 20ul selling size
  • RabMAb
  • Recombinant
  • KO Validated
  • What is this?

4

(4 Reviews)

|

(23 Publications)

Rabbit Recombinant Monoclonal STAT1 antibody. Suitable for IP, ChIP, WB, Flow Cyt (Intra), IHC-P and reacts with Human samples. Cited in 23 publications.

View Alternative Names

Signal transducer and activator of transcription 1-alpha/beta, Transcription factor ISGF-3 components p91/p84, STAT1

9 Images
Immunohistochemistry (Formalin/PFA-fixed paraffin-embedded sections) - Anti-STAT1 antibody [EPR21057-141] - ChIP Grade (AB234400)
  • IHC-P

Supplier Data

Immunohistochemistry (Formalin/PFA-fixed paraffin-embedded sections) - Anti-STAT1 antibody [EPR21057-141] - ChIP Grade (AB234400)

Immunohistochemical analysis of paraffin-embedded paired human endometrial cancer (A) and non-tumor endometrium tissue (B) labeling STAT1 with ab234400 at 1/5000 dilution, followed by Goat Anti-Rabbit IgG H&L (HRP) ready to use. Much higher staining intensity of endometrial cancer (A) than its paired non-tumor endometrium (B) (PMID : 25267067) is observed. Counter stained with hematoxylin.

Secondary antibody only control : Used PBS instead of primary antibody, secondary antibody is Goat Anti-Rabbit IgG H&L (HRP) ready to use.

Heat mediated antigen retrieval was performed with Tris/EDTA buffer pH 9.0 before commencing with IHC staining protocol.

Immunohistochemistry (Formalin/PFA-fixed paraffin-embedded sections) - Anti-STAT1 antibody [EPR21057-141] - ChIP Grade (AB234400)
  • IHC-P

Supplier Data

Immunohistochemistry (Formalin/PFA-fixed paraffin-embedded sections) - Anti-STAT1 antibody [EPR21057-141] - ChIP Grade (AB234400)

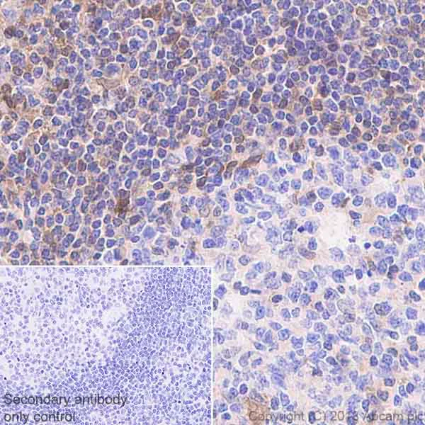
Immunohistochemical analysis of paraffin-embedded human tonsil tissue labeling STAT1 with ab234400 at 1/5000 dilution, followed by Goat Anti-Rabbit IgG H&L (HRP) ready to use. Positive staining mainly on interfollicular cells of human tonsil (PMID : 25336386; PMID : 25921060) is observed. Counter stained with hematoxylin.

Secondary antibody only control : Used PBS instead of primary antibody, secondary antibody is Goat Anti-Rabbit IgG H&L (HRP) ready to use.

Heat mediated antigen retrieval was performed with Tris/EDTA buffer pH 9.0 before commencing with IHC staining protocol.

Flow Cytometry (Intracellular) - Anti-STAT1 antibody [EPR21057-141] - ChIP Grade (AB234400)
  • Flow Cyt (Intra)

Unknown

Flow Cytometry (Intracellular) - Anti-STAT1 antibody [EPR21057-141] - ChIP Grade (AB234400)

Intracellular flow cytometric analysis of 4% paraformaldehyde-fixed, 90% methanol permeabilized MCF7 (human breast adenocarcinoma cell line) cells labeling STAT1 with ab234400 at 1/500 (Red) compared with Rabbit monoclonal IgG (ab172730) (Black) and an unlabelled control (cells without incubation with primary antibody and secondary antibody) (Blue). Goat anti rabbit IgG (Alexa Fluor® 488, ab150077) at 1/2000 dilution was used as the secondary antibody.

Flow Cytometry (Intracellular) - Anti-STAT1 antibody [EPR21057-141] - ChIP Grade (AB234400)
  • Flow Cyt (Intra)

Supplier Data

Flow Cytometry (Intracellular) - Anti-STAT1 antibody [EPR21057-141] - ChIP Grade (AB234400)

Intracellular flow cytometric analysis of 4% paraformaldehyde-fixed, 90% methanol permeabilized HeLa (human epithelial cell line from cervix adenocarcinoma) cells labeling STAT1 with ab234400 at 1/500 (Red) compared with Rabbit monoclonal IgG (ab172730) (Black) and an unlabelled control (cells without incubation with primary antibody and secondary antibody) (Blue). Goat anti rabbit IgG (Alexa Fluor® 488, ab150077) at 1/2000 dilution was used as the secondary antibody.

Immunohistochemistry (Formalin/PFA-fixed paraffin-embedded sections) - Anti-STAT1 antibody [EPR21057-141] - ChIP Grade (AB234400)
  • IHC-P

Supplier Data

Immunohistochemistry (Formalin/PFA-fixed paraffin-embedded sections) - Anti-STAT1 antibody [EPR21057-141] - ChIP Grade (AB234400)

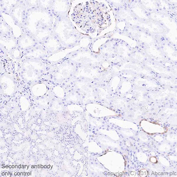
Immunohistochemical analysis of paraffin-embedded human kidney tissue labeling STAT1 with ab234400 at 1/5000 dilution, followed by Goat Anti-Rabbit IgG H&L (HRP) ready to use. Positive staining on glomerulus and some renal tubules of human kidney (PMID : 26678048) is observed. Counter stained with hematoxylin.

Secondary antibody only control : Used PBS instead of primary antibody, secondary antibody is Goat Anti-Rabbit IgG H&L (HRP) ready to use.

Heat mediated antigen retrieval was performed with Tris/EDTA buffer pH 9.0 before commencing with IHC staining protocol.

ChIP - Anti-STAT1 antibody [EPR21057-141] - ChIP Grade (AB234400)
  • ChIP

Lab

ChIP - Anti-STAT1 antibody [EPR21057-141] - ChIP Grade (AB234400)

Chromatin was prepared from HeLa (starve overnight) + hIFN-α (serum-starved overnight) (1,000 units/ml,30 min) cells according to the Abcam X-ChIP protocol. Cells were fixed with formaldehyde for 10min. The ChIP was performed with 25 μg of chromatin, 2 μg of ab234400 (red), and 20 μl of protein A/G sepharose beads slurry (10 μl of sepharose A beads + 10 μl of sepharose G beads). 2 μg of rabbit normal IgG was added to the beads control (gray). The immunoprecipitated DNA was quantified by real time PCR (SYBR approach).
ChIP results are consistent with the literature (PMID : 16319195).

Immunoprecipitation - Anti-STAT1 antibody [EPR21057-141] - ChIP Grade (AB234400)
  • IP

Supplier Data

Immunoprecipitation - Anti-STAT1 antibody [EPR21057-141] - ChIP Grade (AB234400)

STAT1 was immunoprecipitated from 0.35 mg of MCF7 (human breast adenocarcinoma cell line) whole cell lysate with ab234400 at 1/30 dilution. Western blot was performed from the immunoprecipitate using ab234400 at 1/1000 dilution. VeriBlot for IP Detection Reagent (HRP) (ab131366) was used for detection antibody at 1/5000 dilution.
Lane 1 : MCF7 whole cell lysate 10 μg (input).
Lane 2 : ab234400 IP in MCF7 whole cell lysate.
Lane 3 : Rabbit monoclonal IgG (ab172730) instead of ab234400 in MCF7 whole cell lysate.

Blocking and dilution buffer and concentration : 5% NFDM/TBST.
Exposure time : 3 minutes.

The doublet observed in some lanes likely represent the α and β isoforms of STAT1 (PMID : 8647800).

All lanes:

Immunoprecipitation - Anti-STAT1 antibody [EPR21057-141] - ChIP Grade (ab234400)

Predicted band size: 87 kDa

false

Western blot - Anti-STAT1 antibody [EPR21057-141] - ChIP Grade (AB234400)
  • WB

Lab

Western blot - Anti-STAT1 antibody [EPR21057-141] - ChIP Grade (AB234400)

Lanes 1 - 3 : Merged signal (red and green). Green - ab234400 observed at 87 kDa. Red - loading control, ab8245, observed at 37 kDa.

ab234400 was shown to specifically react with STAT1 in wild-type HAP1 cells as signal was lost in STA1 knockout cells. Wild-type and STA1 knockout samples were subjected to SDS-PAGE. The membrane was blocked with 3% Milk. ab234400 and ab8245 (Mouse anti-GAPDH loading control) were incubated overnight at 4°C at 1/1000 dilution and 1/20000 dilution respectively. Blots were developed with Goat anti-Rabbit IgG H&L (IRDye® 800CW) preabsorbed ab216773 and Goat anti-Mouse IgG H&L (IRDye® 680RD) preabsorbed ab216776 secondary antibodies at 1/20000 dilution for 1 hour at room temperature before imaging.

All lanes:

Western blot - Anti-STAT1 antibody [EPR21057-141] - ChIP Grade (ab234400) at 1/1000 dilution

Lane 1:

Wild-type HAP1 whole cell lysate at 20 µg

Lane 2:

STA1 knockout HAP1 whole cell lysate at 20 µg

Lane 3:

HeLa whole cell lysate at 20 µg

Predicted band size: 87 kDa

false

Western blot - Anti-STAT1 antibody [EPR21057-141] - ChIP Grade (AB234400)
  • WB

Supplier Data

Western blot - Anti-STAT1 antibody [EPR21057-141] - ChIP Grade (AB234400)

Blocking/diluting buffer and concentration : 5% NFDM/TBST.

Exposure time : Lanes 1-2 & 4 : 3 minutes; Lane 3 : 15 seconds.

The doublet observed in some lanes likely represent the α and β isoforms of Stat1 (PMID : 8647800).

All lanes:

Western blot - Anti-STAT1 antibody [EPR21057-141] - ChIP Grade (ab234400) at 1/1000 dilution

Lane 1:

HeLa (human epithelial cell line from cervix adenocarcinoma) whole cell lysate at 20 µg

Lane 2:

HEK-293T (human epithelial cell line from embryonic kidney transformed with large T antigen) whole cell lysate at 20 µg

Lane 3:

MCF7 (human breast adenocarcinoma cell line) whole cell lysate at 20 µg

Lane 4:

Human heart tissue lysate at 10 µg

Secondary

Lanes 1 - 3:

Western blot - Goat Anti-Rabbit IgG H&L (HRP) (<a href='/en-us/products/secondary-antibodies/goat-rabbit-igg-h-l-hrp-ab97051'>ab97051</a>) at 1/100000 dilution

Lane 4:

Western blot - VeriBlot for IP Detection Reagent (HRP) (<a href='/en-us/products/reagents/veriblot-for-ip-detection-reagent-hrp-ab131366'>ab131366</a>) at 1/4000 dilution

Predicted band size: 87 kDa

false

  • Carrier free

    Anti-STAT1 antibody [EPR21057-141] - BSA and Azide free

Key facts

Host species

Rabbit

Clonality

Monoclonal

Clone number

EPR21057-141

Isotype

IgG

Carrier free

No

Reacts with

Human

Applications

IP, WB, IHC-P, ChIP, Flow Cyt (Intra)

applications

Immunogen

The exact immunogen used to generate this antibody is proprietary information.

Reactivity data

{ "title": "Reactivity Data", "filters": { "stats": ["", "Species", "Dilution Info", "Notes"], "tabs": { "all-applications": {"fullname" : "All Applications", "shortname": "All Applications"}, "IP" : {"fullname" : "Immunoprecipitation", "shortname":"IP"}, "ChIP" : {"fullname" : "ChIP", "shortname":"ChIP"}, "WB" : {"fullname" : "Western blot", "shortname":"WB"}, "FlowCytIntra" : {"fullname" : "Flow Cytometry (Intracellular)", "shortname":"Flow Cyt (Intra)"}, "IHCP" : {"fullname" : "Immunohistochemistry (Formalin/PFA-fixed paraffin-embedded sections)", "shortname":"IHC-P"} }, "product-promise": { "all": "all", "testedAndGuaranteed": "tested", "guaranteed": "expected", "predicted": "predicted", "notRecommended": "not-recommended" } }, "values": { "Human": { "IP-species-checked": "testedAndGuaranteed", "IP-species-dilution-info": "1/30", "IP-species-notes": "<p></p>", "ChIP-species-checked": "testedAndGuaranteed", "ChIP-species-dilution-info": "", "ChIP-species-notes": "<p></p>", "WB-species-checked": "testedAndGuaranteed", "WB-species-dilution-info": "1/1000", "WB-species-notes": "<p></p>", "FlowCytIntra-species-checked": "testedAndGuaranteed", "FlowCytIntra-species-dilution-info": "1/500", "FlowCytIntra-species-notes": "<p></p>", "IHCP-species-checked": "testedAndGuaranteed", "IHCP-species-dilution-info": "1/5000", "IHCP-species-notes": "<p></p>" } } }

Product details

Patented technology
Our RabMAb® technology is a patented hybridoma-based technology for making rabbit monoclonal antibodies. For details on our patents, please refer to RabMAb® patents.

What are the advantages of a recombinant monoclonal antibody?
This product is a recombinant monoclonal antibody, which offers several advantages including:

  • - High batch-to-batch consistency and reproducibility
  • - Improved sensitivity and specificity
  • - Long-term security of supply
  • - Animal-free batch production

For more information, read more on recombinant antibodies.

Properties and storage information

Form
Liquid
Purification technique
Affinity purification Protein A
Storage buffer
pH: 7.2 - 7.4 Preservative: 0.01% Sodium azide Constituents: PBS, 40% Glycerol (glycerin, glycerine), 0.05% BSA
Shipped at conditions
Blue Ice
Appropriate short-term storage duration
1-2 weeks
Appropriate short-term storage conditions
+4°C
Appropriate long-term storage conditions
-20°C
Aliquoting information
Upon delivery aliquot
Storage information
Avoid freeze / thaw cycle

Supplementary information

This supplementary information is collated from multiple sources and compiled automatically.

Signal Transducer and Activator of Transcription 1 (STAT1) is a protein of about 91 kDa commonly known simply as STAT1. It belongs to the STAT protein family which is involved in gene regulation. STAT1 expresses widely in many tissues including the immune system where it plays a major role. As an important player in cellular responses to cytokines and growth factors STAT1 becomes activated through phosphorylation often referred to as phospho-STAT1. This phosphorylation promotes dimerization an important step for its function.
Biological function summary

The STAT1 protein influences cell survival and immune responses. It functions as a transcription factor and participates in the interferon signaling pathway. In this setting it forms a complex with other STAT proteins such as STAT2 and STAT3 to regulate gene expression. By binding to specific DNA sequences in the nucleus STAT1 alters transcription in response to extracellular signals. It contributes to antiviral defense mechanisms and antiproliferative activities in various cells.

Pathways

The STAT1 protein plays essential roles in the JAK-STAT signaling pathway and interferon signaling pathway. It operates closely with proteins such as JAK1 and TYK2 which are involved in the phosphorylation process activating STAT1. During this activation STAT1 helps initiate cellular responses to interferons a type of signaling protein released during viral infections. The JAK-STAT pathway facilitates various physiological processes including immune responses and cell growth regulation.

STAT1 dysregulation often connects to autoimmune diseases and infectious diseases. Elevated STAT1 activity associates with disorders like systemic lupus erythematosus where an imbalanced immune response occurs. Phosphorylation of STAT1 can also relate to chronic infections in cases where proper immune response activation becomes impaired. In certain cancers STAT1 interaction with proteins like SOCS1 might contribute to tumor immune evasion highlighting its vital role in pathology.

Product protocols

For this product, it's our understanding that no specific protocols are required. You can visit:

Target data

Signal transducer and transcription activator that mediates cellular responses to interferons (IFNs), cytokine KITLG/SCF and other cytokines and other growth factors (PubMed : 12764129, PubMed : 12855578, PubMed : 15322115, PubMed : 23940278, PubMed : 34508746, PubMed : 35568036, PubMed : 9724754). Following type I IFN (IFN-alpha and IFN-beta) binding to cell surface receptors, signaling via protein kinases leads to activation of Jak kinases (TYK2 and JAK1) and to tyrosine phosphorylation of STAT1 and STAT2. The phosphorylated STATs dimerize and associate with ISGF3G/IRF-9 to form a complex termed ISGF3 transcription factor, that enters the nucleus (PubMed : 28753426, PubMed : 35568036). ISGF3 binds to the IFN stimulated response element (ISRE) to activate the transcription of IFN-stimulated genes (ISG), which drive the cell in an antiviral state (PubMed : 28753426, PubMed : 35568036). In response to type II IFN (IFN-gamma), STAT1 is tyrosine- and serine-phosphorylated (PubMed : 26479788). It then forms a homodimer termed IFN-gamma-activated factor (GAF), migrates into the nucleus and binds to the IFN gamma activated sequence (GAS) to drive the expression of the target genes, inducing a cellular antiviral state (PubMed : 8156998). Becomes activated in response to KITLG/SCF and KIT signaling (PubMed : 15526160). May mediate cellular responses to activated FGFR1, FGFR2, FGFR3 and FGFR4 (PubMed : 19088846). Following bacterial lipopolysaccharide (LPS)-induced TLR4 endocytosis, phosphorylated at Thr-749 by IKBKB which promotes binding of STAT1 to the 5'-TTTGAGGC-3' sequence in the ARID5A promoter, resulting in transcriptional activation of ARID5A and subsequent ARID5A-mediated stabilization of IL6 (PubMed : 32209697). Phosphorylation at Thr-749 also promotes binding of STAT1 to the 5'-TTTGAGTC-3' sequence in the IL12B promoter and activation of IL12B transcription (PubMed : 32209697). Involved in food tolerance in small intestine : associates with the Gasdermin-D, p13 cleavage product (13 kDa GSDMD) and promotes transcription of CIITA, inducing type 1 regulatory T (Tr1) cells in upper small intestine (By similarity).
See full target information STAT1

Publications (23)

Recent publications for all applications. Explore the full list and refine your search

Infectious agents and cancer 20:36 PubMed40514669

2025

DNA hypomethylation modification promotes BST2 expression in cervical cancer by facilitating STAT1 binding to the promoter of BST2.

Applications

Unspecified application

Species

Unspecified reactive species

Reziwanguli Wubuli,Zumurelaiti Ainiwaer,Mayinuer Niyazi,Lili Han

Frontiers in oncology 15:1581860 PubMed40406250

2025

Integrated analysis identifies P4HA2 as a key regulator of STAT1-mediated colorectal cancer progression and a potential biomarker for precision therapy.

Applications

Unspecified application

Species

Unspecified reactive species

Qianshi Zhang,Yinan Zhang,Zhiwei Sun,Huanle Wang,Guohang Dai,Yue Meng,Shasha Shi,Shuangyi Ren

eNeuro 11: PubMed39542733

2024

Procaine Regulates the STAT3/CCL5 Axis and Inhibits Microglia M1 Polarization to Alleviate Complete Freund's Adjuvant Rats Pain Behavior.

Applications

Unspecified application

Species

Unspecified reactive species

Yu Sun,Kai Zhang,Chen Li,QingDong Wang,Rongjia Zang

Advanced science (Weinheim, Baden-Wurttemberg, Germany) 11:e2404510 PubMed39257029

2024

Molecular Profiling Defines Three Subtypes of Synovial Sarcoma.

Applications

Unspecified application

Species

Unspecified reactive species

Yi Chen,Yanhong Su,Xiaofang Cao,Ioannis Siavelis,Isabelle Rose Leo,Jianming Zeng,Panagiotis Tsagkozis,Asle C Hesla,Andri Papakonstantinou,Xiao Liu,Wen-Kuan Huang,Binbin Zhao,Cecilia Haglund,Monika Ehnman,Henrik Johansson,Yingbo Lin,Janne Lehtiö,Yifan Zhang,Olle Larsson,Xuexin Li,Felix Haglund de Flon

Journal of translational medicine 22:474 PubMed38764020

2024

Fibroblast growth factor pathway promotes glycolysis by activating LDHA and suppressing LDHB in a STAT1-dependent manner in prostate cancer.

Applications

Unspecified application

Species

Unspecified reactive species

Yongkang Ye,Fukan Yang,Zhanhao Gu,Wenxuan Li,Yinjiao Yuan,Shaoqian Liu,Le Zhou,Bo Han,Ruinian Zheng,Zhengguo Cao

Inflammation 47:1053-1066 PubMed38315275

2024

Low-Shear Stress Promotes Atherosclerosis via Inducing Endothelial Cell Pyroptosis Mediated by IKKε/STAT1/NLRP3 Pathway.

Applications

Unspecified application

Species

Unspecified reactive species

Yifei Lv,Zihao Jiang,Wenying Zhou,Hongfeng Yang,Guozhen Jin,Dongchen Wang,Chaohua Kong,Zhiyuan Qian,Yue Gu,Shaoliang Chen,Linlin Zhu

Aging 15:15382-15401 PubMed38147026

2023

Proteomic analysis reveals the aging-related pathways contribute to pulmonary fibrogenesis.

Applications

Unspecified application

Species

Unspecified reactive species

Tingwei Zhang,Xinglong Yuan,Mengqi Jiang,Bo Liu,Nailiang Zhai,Qian Zhang,Xiaodong Song,Changjun Lv,Jinjin Zhang,Hongbo Li

Cell death & disease 14:852 PubMed38129408

2023

USP7 inhibits the progression of nasopharyngeal carcinoma via promoting SPLUNC1-mediated M1 macrophage polarization through TRIM24.

Applications

Unspecified application

Species

Unspecified reactive species

Huai Liu,Ling Tang,Sha Gong,Tengfei Xiao,Hongmin Yang,Wangning Gu,Hui Wang,Pan Chen

Scientific reports 13:22764 PubMed38123650

2023

Myricetin suppresses traumatic brain injury-induced inflammatory response via EGFR/AKT/STAT pathway.

Applications

Unspecified application

Species

Unspecified reactive species

Chenxing Wang,Siguang Ouyang,Xingjia Zhu,Yi Jiang,Zhichao Lu,Peipei Gong

Nature communications 14:3007 PubMed37230975

2023

HDAC9-mediated epithelial cell cycle arrest in G2/M contributes to kidney fibrosis in male mice.

Applications

Unspecified application

Species

Unspecified reactive species

Yang Zhang,Yujie Yang,Fan Yang,Xiaohan Liu,Ping Zhan,Jichao Wu,Xiaojie Wang,Ziying Wang,Wei Tang,Yu Sun,Yan Zhang,Qianqian Xu,Jin Shang,Junhui Zhen,Min Liu,Fan Yi
View all publications

Product promise

We are committed to supporting your work with high-quality reagents, and we're here for you every step of the way. In the unlikely event that one of our products does not perform as expected, you're protected by our Product Promise.
For full details, please see our Terms & Conditions

Please note: All products are 'FOR RESEARCH USE ONLY. NOT FOR USE IN DIAGNOSTIC OR THERAPEUTIC PROCEDURES'.

For licensing inquiries, please contact partnerships@abcam.com