JavaScript is disabled in your browser. Please enable JavaScript to view this website.
AB109461

Anti-STAT1 (phospho S727) antibody [EPR3146]

  • 20ul selling size
  • Recombinant
  • Advanced Validation
  • RabMAb
  • What is this?

4

(1 Review)

|

(47 Publications)

Anti-STAT1 (phospho S727) antibody [EPR3146] (ab109461) is a rabbit monoclonal antibody detecting STAT1 in Western Blot, IHC-P, Dot Blot. Suitable for Human, Mouse, Rat.

- Biophysical QC for unrivalled batch-batch consistency
- Over 40 publications

View Alternative Names

Signal transducer and activator of transcription 1-alpha/beta, Transcription factor ISGF-3 components p91/p84, STAT1

11 Images
Western blot - Anti-STAT1 (phospho S727) antibody [EPR3146] (AB109461)
  • WB

Lab

Western blot - Anti-STAT1 (phospho S727) antibody [EPR3146] (AB109461)

Blocking buffer : 2% BSA/TBST
Dilution buffer : 2% BSA/TBST

All lanes:

Western blot - Anti-STAT1 (phospho S727) antibody [EPR3146] (ab109461) at 1/5000 dilution

Lane 1:

Untreated HeLa whole cell lysate at 10 µg

Lane 2:

HeLa whole cell lysate treated with etoposide at 10 µg

Lane 3:

HeLa whole cell lysate treated with etoposide, followed by membrane treatment with phosphatase at 10 µg

Secondary

All lanes:

Western blot - Goat Anti-Rabbit IgG H&L (HRP) (<a href='/en-us/products/secondary-antibodies/goat-rabbit-igg-h-l-hrp-ab97051'>ab97051</a>) at 1/20000 dilution

Predicted band size: 87 kDa

Observed band size: 90 kDa

false

Western blot - Anti-STAT1 (phospho S727) antibody [EPR3146] (AB109461)
  • WB

Lab

Western blot - Anti-STAT1 (phospho S727) antibody [EPR3146] (AB109461)

The lower section shows STAT1 detected with ab92506, anti-STAT1 antibody, to confirm that the same amount of lysate is used in each lane.

Blocking and dilution biffer : 5% NFDM/TBST.

All lanes:

Western blot - Anti-STAT1 (phospho S727) antibody [EPR3146] (ab109461) at 1/10000 dilution

Lane 1:

Untreated HeLa (human cervix adenocarcinoma) at 10 µg

Lane 2:

HeLa (human cervix adenocarcinoma) membrane treated with Alkaline Phosphatase at 10 µg

Secondary

All lanes:

Goat Anti-Rabbit IgG, (H+L), Peroxidase conjugated at 1/1500 dilution

Predicted band size: 87 kDa

Observed band size: 91 kDa

true

Exposure time: 30s

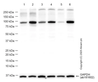
Western blot - Anti-STAT1 (phospho S727) antibody [EPR3146] (AB109461)
  • WB

Supplier Data

Western blot - Anti-STAT1 (phospho S727) antibody [EPR3146] (AB109461)

Blocking and diluting buffer and concentration : 5% NFDM/TBST.

ab181602 was used as a GAPDH loading at 1000000 dilution.

All lanes:

Western blot - Anti-STAT1 (phospho S727) antibody [EPR3146] (ab109461) at 1/1000 dilution

Lane 1:

Untreated HEK-293 (human embryonic kidney epithelial cell) whole cell lysate at 20 µg

Lane 2:

HEK-293 treated with 50 ng/ml IFN beta for 3 hours whole cell lysate at 20 µg

Lane 3:

Untreated RAW 264.7 (mouse Abelson murine leukemia virus-induced tumor macrophage) whole cell lysate at 20 µg

Lane 4:

RAW 264.7 treated with 100 ng/ml IFN alpha for 24 hours whole cell lysate at 20 µg

Lane 5:

Untreated NIH/3T3 (mouse embryonic fibroblast) whole cell lysate at 20 µg

Lane 6:

NIH/3T3 treated with 100 ng/ml IFN gamma for 48 hours whole cell lysate at 20 µg

Secondary

All lanes:

Western blot - Goat Anti-Rabbit IgG H&L (HRP) (<a href='/en-us/products/secondary-antibodies/goat-rabbit-igg-h-l-hrp-ab97051'>ab97051</a>) at 1/20000 dilution

Predicted band size: 91 kDa,37 kDa

Observed band size: 91 kDa,37 kDa

false

Exposure time: 3s

ChIC/CUT&RUN sequencing - Anti-STAT1 (phospho S727) antibody [EPR3146] (AB109461)
  • ChIC/CUT&RUN-seq

Supplier Data

ChIC/CUT&RUN sequencing - Anti-STAT1 (phospho S727) antibody [EPR3146] (AB109461)

ChIC/CUT&RUN was performed using a pAG-MNAse at a final concentration of 700 ng/µL, 2 x 10^5 HeLa (Human cervix adenocarcinoma epithelial cell line) treated with IFN gamma (50ng/ml 1h) cells and 5µg of ab109461 [EPR3146]. The resulting DNA was sequenced on the Illumina NovaSeq 6000 to a depth of 10 million reads. The negative IgG control ab172730 is also shown. Additional screenshots of mapped reads can be found in the Protocol booklet in the Product Protocol section. The University of Geneva owns patents relevant to ChIC (Chromatin Immuno-Cleavage) methods.

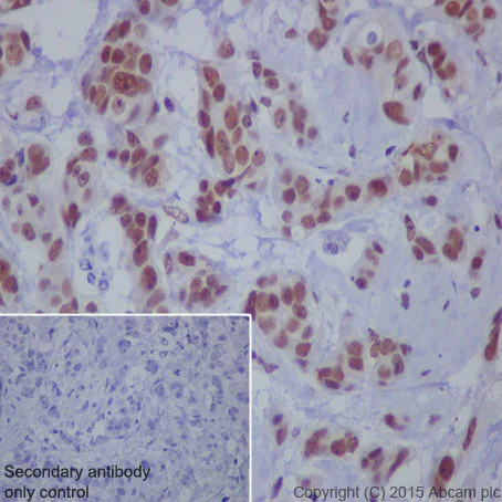
Immunohistochemistry (Formalin/PFA-fixed paraffin-embedded sections) - Anti-STAT1 (phospho S727) antibody [EPR3146] (AB109461)
  • IHC-P

Unknown

Immunohistochemistry (Formalin/PFA-fixed paraffin-embedded sections) - Anti-STAT1 (phospho S727) antibody [EPR3146] (AB109461)

Immunohistochemical staining of paraffin embedded human breast carcinoma with purified ab109461 at a working dilution of 1/200. The secondary antibody used is ab97051, a goat anti-rabbit IgG (H&L) at a dilution of 1/500. The sample is counter-stained with hematoxylin. Antigen retrieval was perfomed using Tris-EDTA buffer, pH 9.0. PBS was used instead of the primary antibody as the negative control, and is shown in the inset.

Immunohistochemistry (Formalin/PFA-fixed paraffin-embedded sections) - Anti-STAT1 (phospho S727) antibody [EPR3146] (AB109461)
  • IHC-P

Unknown

Immunohistochemistry (Formalin/PFA-fixed paraffin-embedded sections) - Anti-STAT1 (phospho S727) antibody [EPR3146] (AB109461)

Unpurified ab109461, at a 1/100 dilution, staining STAT1 (phospho S727) in paraffin embedded Human stomach adenocarcinoma tissue by Immunohistochemistry.

Immunohistochemistry (Formalin/PFA-fixed paraffin-embedded sections) - Anti-STAT1 (phospho S727) antibody [EPR3146] (AB109461)
  • IHC-P

Unknown

Immunohistochemistry (Formalin/PFA-fixed paraffin-embedded sections) - Anti-STAT1 (phospho S727) antibody [EPR3146] (AB109461)

Immunohistochemical staining of paraffin embedded mouse colon with purified ab109461 at a working dilution of 1/200. The secondary antibody used is ab97051, a goat anti-rabbit IgG (H&L) at a dilution of 1/500. The sample is counter-stained with hematoxylin. Antigen retrieval was perfomed using Tris-EDTA buffer, pH 9.0. PBS was used instead of the primary antibody as the negative control, and is shown in the inset.

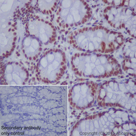
Immunohistochemistry (Formalin/PFA-fixed paraffin-embedded sections) - Anti-STAT1 (phospho S727) antibody [EPR3146] (AB109461)
  • IHC-P

Unknown

Immunohistochemistry (Formalin/PFA-fixed paraffin-embedded sections) - Anti-STAT1 (phospho S727) antibody [EPR3146] (AB109461)

Immunohistochemical staining of paraffin embedded rat colon with purified ab109461 at a working dilution of 1/200. The secondary antibody used is ab97051, a goat anti-rabbit IgG (H&L) at a dilution of 1/500. The sample is counter-stained with hematoxylin. Antigen retrieval was perfomed using Tris-EDTA buffer, pH 9.0. PBS was used instead of the primary antibody as the negative control, and is shown in the inset.

Western blot - Anti-STAT1 (phospho S727) antibody [EPR3146] (AB109461)
  • WB

Lab

Western blot - Anti-STAT1 (phospho S727) antibody [EPR3146] (AB109461)

Blocking buffer : 5% NFDM/TBST.

All lanes:

Western blot - Anti-STAT1 (phospho S727) antibody [EPR3146] (ab109461) at 1/1000 dilution

Lane 1:

HeLa (Human cervix adenocarcinoma epithelial cell) whole cell lysate at 15 µg

Lane 2:

HeLa (Human cervix adenocarcinoma epithelial cell) whole cell lysate (treated with Alkaline Phosphatase for 1 hour) at 15 µg

Lane 3:

Mouse brain lysate at 15 µg

Lane 4:

Mouse brain lysate (treated with Alkaline Phosphatase for 1 hour) at 15 µg

Secondary

All lanes:

Western blot - Goat Anti-Rabbit IgG H&L (HRP) (<a href='/en-us/products/secondary-antibodies/goat-rabbit-igg-h-l-hrp-ab97051'>ab97051</a>) at 1/20000 dilution

Predicted band size: 87 kDa

Observed band size: 91 kDa

false

Western blot - Anti-STAT1 (phospho S727) antibody [EPR3146] (AB109461)
  • WB

Lab

Western blot - Anti-STAT1 (phospho S727) antibody [EPR3146] (AB109461)

Blocking buffer : 5% NFDM/TBST.

All lanes:

Western blot - Anti-STAT1 (phospho S727) antibody [EPR3146] (ab109461) at 1/1000 dilution

Lane 1:

Rat brain lysate at 15 µg

Lane 2:

Rat brain lysate (treated with Alkaline Phosphatase for 1 hour) at 15 µg

Secondary

All lanes:

Western blot - Goat Anti-Rabbit IgG H&L (HRP) (<a href='/en-us/products/secondary-antibodies/goat-rabbit-igg-h-l-hrp-ab97051'>ab97051</a>) at 1/20000 dilution

Predicted band size: 87 kDa

Observed band size: 91 kDa

false

Dot Blot - Anti-STAT1 (phospho S727) antibody [EPR3146] (AB109461)
  • Dot

Lab

Dot Blot - Anti-STAT1 (phospho S727) antibody [EPR3146] (AB109461)

Dot Blot analysis of Lane 1 : STAT1 (pS727) phospho peptide and Lane 2 : STAT1 non-phospho peptide, labeling STAT1 (phospho S727) with ab109461 at 1/1000 dilution. 5% NFDM/TBST was used as the blocking and diluting buffer. ab97051, a Goat Anti-Rabbit IgG, (H+L), Peroxidase conjugated secondary antibody was used at 1/100000 dilution. Exposure time : 3 minutes.

  • Carrier free

    Anti-STAT1 (phospho S727) antibody [EPR3146] - BSA and Azide free

Key facts

Host species

Rabbit

Clonality

Monoclonal

Clone number

EPR3146

Isotype

IgG

Carrier free

No

Reacts with

Mouse, Rat, Human

Applications

ChIC/CUT&RUN-seq, Dot, IHC-P, WB

applications

Immunogen

The exact immunogen used to generate this antibody is proprietary information.

Specificity

A phospho specific peptide corresponding to residues surrounding Serine 727 of human Stat-1 was used as an immunogen. This antibody only detects Stat-1 phosphorylated at Serine 727.

Reactivity data

{ "title": "Reactivity Data", "filters": { "stats": ["", "Species", "Dilution Info", "Notes"], "tabs": { "all-applications": {"fullname" : "All Applications", "shortname": "All Applications"}, "ChICCUTRUNseq" : {"fullname" : "ChIC/CUT&RUN sequencing", "shortname":"ChIC/CUT&RUN-seq"}, "Dot" : {"fullname" : "Dot Blot", "shortname":"Dot"}, "WB" : {"fullname" : "Western blot", "shortname":"WB"}, "ICCIF" : {"fullname" : "Immunocytochemistry/ Immunofluorescence", "shortname":"ICC/IF"}, "IHCP" : {"fullname" : "Immunohistochemistry (Formalin/PFA-fixed paraffin-embedded sections)", "shortname":"IHC-P"} }, "product-promise": { "all": "all", "testedAndGuaranteed": "tested", "guaranteed": "expected", "predicted": "predicted", "notRecommended": "not-recommended" } }, "values": { "Human": { "ChICCUTRUNseq-species-checked": "testedAndGuaranteed", "ChICCUTRUNseq-species-dilution-info": "5 µg", "ChICCUTRUNseq-species-notes": "<p></p>", "Dot-species-checked": "guaranteed", "Dot-species-dilution-info": "", "Dot-species-notes": "", "WB-species-checked": "testedAndGuaranteed", "WB-species-dilution-info": "1/1000 - 1/10000", "WB-species-notes": "<p></p>", "ICCIF-species-checked": "notRecommended", "ICCIF-species-dilution-info": "", "ICCIF-species-notes": "<p></p>", "IHCP-species-checked": "testedAndGuaranteed", "IHCP-species-dilution-info": "1/100 - 1/250", "IHCP-species-notes": "<p>Heat up to 98 °C, below boiling, and then let cool for 10-20 minutes.</p>" }, "Mouse": { "ChICCUTRUNseq-species-checked": "guaranteed", "ChICCUTRUNseq-species-dilution-info": "", "ChICCUTRUNseq-species-notes": "", "Dot-species-checked": "guaranteed", "Dot-species-dilution-info": "", "Dot-species-notes": "", "WB-species-checked": "testedAndGuaranteed", "WB-species-dilution-info": "1/1000 - 1/10000", "WB-species-notes": "<p></p>", "ICCIF-species-checked": "notRecommended", "ICCIF-species-dilution-info": "", "ICCIF-species-notes": "<p></p>", "IHCP-species-checked": "testedAndGuaranteed", "IHCP-species-dilution-info": "1/100 - 1/250", "IHCP-species-notes": "<p>Heat up to 98 °C, below boiling, and then let cool for 10-20 minutes.</p>" }, "Rat": { "ChICCUTRUNseq-species-checked": "guaranteed", "ChICCUTRUNseq-species-dilution-info": "", "ChICCUTRUNseq-species-notes": "", "Dot-species-checked": "testedAndGuaranteed", "Dot-species-dilution-info": "", "Dot-species-notes": "<p></p>", "WB-species-checked": "guaranteed", "WB-species-dilution-info": "", "WB-species-notes": "", "ICCIF-species-checked": "notRecommended", "ICCIF-species-dilution-info": "", "ICCIF-species-notes": "<p></p>", "IHCP-species-checked": "testedAndGuaranteed", "IHCP-species-dilution-info": "1/100 - 1/250", "IHCP-species-notes": "<p>Heat up to 98 °C, below boiling, and then let cool for 10-20 minutes.</p>" } } }

You may be interested in:

AB253222

Human STAT1 ELISA Kit

0

0 Reviews

View product

We recommend this product because it’s often used in the same experiment or related research.

We advise that you always check the datasheet to ensure it fits your experiments, or contact ourtechnical teamfor help.

Product details

What is this antibody validated in?
Anti-STAT1 (phospho S727) antibody [EPR3146] (ab109461) is a rabbit recombinant monoclonal antibody and is validated for use in Western Blot (WB), Immunohistochemistry (IHC-P), Dot Blot in Human, Mouse, Rat samples.

What is the molecular weight of STAT1?
Anti-STAT1 (phospho S727) [EPR3146] (ab109461) specifically detects a band for STAT1 (UniProt: P42224) at a molecular weight of 87kDa.

Trusted by the scientific community
Anti-STAT1 (phospho S727) [EPR3146] (ab109461) was first used in a scientific publication in 2011 and has been cited over 40 times in peer-reviewed journals.

Trial sizes available!
Test your antibody or perform pre-screening before committing to a larger quantity. Sold in 10µl. Discover our selection of trial-size antibodies.

Other related products
We have a range of other formats of antibody clone [EPR3146] also available for your convenience: ab109461, Carrier free - ab215820

Patented technology
Our RabMAb® technology is a patented hybridoma-based technology for making rabbit monoclonal antibodies. For details on our patents, please refer to RabMAb® patents.

What are the advantages of a recombinant monoclonal antibody?
This product is a recombinant monoclonal antibody, which offers several advantages including:

  • - High batch-to-batch consistency and reproducibility
  • - Improved sensitivity and specificity
  • - Long-term security of supply
  • - Animal-free batch production

For more information, read more on recombinant antibodies.

Properties and storage information

Form
Liquid
Purification technique
Affinity purification Protein A
Storage buffer
pH: 7.2 - 7.4 Preservative: 0.01% Sodium azide Constituents: 59% PBS, 40% Glycerol (glycerin, glycerine), 0.05% BSA
Shipped at conditions
Blue Ice
Appropriate short-term storage duration
1-2 weeks
Appropriate short-term storage conditions
+4°C
Appropriate long-term storage conditions
-20°C
Aliquoting information
Upon delivery aliquot
Storage information
Avoid freeze / thaw cycle

Supplementary information

This supplementary information is collated from multiple sources and compiled automatically.

Signal Transducer and Activator of Transcription 1 (STAT1) is a protein of about 91 kDa commonly known simply as STAT1. It belongs to the STAT protein family which is involved in gene regulation. STAT1 expresses widely in many tissues including the immune system where it plays a major role. As an important player in cellular responses to cytokines and growth factors STAT1 becomes activated through phosphorylation often referred to as phospho-STAT1. This phosphorylation promotes dimerization an important step for its function.
Biological function summary

The STAT1 protein influences cell survival and immune responses. It functions as a transcription factor and participates in the interferon signaling pathway. In this setting it forms a complex with other STAT proteins such as STAT2 and STAT3 to regulate gene expression. By binding to specific DNA sequences in the nucleus STAT1 alters transcription in response to extracellular signals. It contributes to antiviral defense mechanisms and antiproliferative activities in various cells.

Pathways

The STAT1 protein plays essential roles in the JAK-STAT signaling pathway and interferon signaling pathway. It operates closely with proteins such as JAK1 and TYK2 which are involved in the phosphorylation process activating STAT1. During this activation STAT1 helps initiate cellular responses to interferons a type of signaling protein released during viral infections. The JAK-STAT pathway facilitates various physiological processes including immune responses and cell growth regulation.

STAT1 dysregulation often connects to autoimmune diseases and infectious diseases. Elevated STAT1 activity associates with disorders like systemic lupus erythematosus where an imbalanced immune response occurs. Phosphorylation of STAT1 can also relate to chronic infections in cases where proper immune response activation becomes impaired. In certain cancers STAT1 interaction with proteins like SOCS1 might contribute to tumor immune evasion highlighting its vital role in pathology.

Product protocols

For this product, it's our understanding that no specific protocols are required. You can visit:

Target data

Signal transducer and transcription activator that mediates cellular responses to interferons (IFNs), cytokine KITLG/SCF and other cytokines and other growth factors (PubMed : 12764129, PubMed : 12855578, PubMed : 15322115, PubMed : 23940278, PubMed : 34508746, PubMed : 35568036, PubMed : 9724754). Following type I IFN (IFN-alpha and IFN-beta) binding to cell surface receptors, signaling via protein kinases leads to activation of Jak kinases (TYK2 and JAK1) and to tyrosine phosphorylation of STAT1 and STAT2. The phosphorylated STATs dimerize and associate with ISGF3G/IRF-9 to form a complex termed ISGF3 transcription factor, that enters the nucleus (PubMed : 28753426, PubMed : 35568036). ISGF3 binds to the IFN stimulated response element (ISRE) to activate the transcription of IFN-stimulated genes (ISG), which drive the cell in an antiviral state (PubMed : 28753426, PubMed : 35568036). In response to type II IFN (IFN-gamma), STAT1 is tyrosine- and serine-phosphorylated (PubMed : 26479788). It then forms a homodimer termed IFN-gamma-activated factor (GAF), migrates into the nucleus and binds to the IFN gamma activated sequence (GAS) to drive the expression of the target genes, inducing a cellular antiviral state (PubMed : 8156998). Becomes activated in response to KITLG/SCF and KIT signaling (PubMed : 15526160). May mediate cellular responses to activated FGFR1, FGFR2, FGFR3 and FGFR4 (PubMed : 19088846). Following bacterial lipopolysaccharide (LPS)-induced TLR4 endocytosis, phosphorylated at Thr-749 by IKBKB which promotes binding of STAT1 to the 5'-TTTGAGGC-3' sequence in the ARID5A promoter, resulting in transcriptional activation of ARID5A and subsequent ARID5A-mediated stabilization of IL6 (PubMed : 32209697). Phosphorylation at Thr-749 also promotes binding of STAT1 to the 5'-TTTGAGTC-3' sequence in the IL12B promoter and activation of IL12B transcription (PubMed : 32209697). Involved in food tolerance in small intestine : associates with the Gasdermin-D, p13 cleavage product (13 kDa GSDMD) and promotes transcription of CIITA, inducing type 1 regulatory T (Tr1) cells in upper small intestine (By similarity).
See full target information STAT1 phospho S727

Publications (47)

Recent publications for all applications. Explore the full list and refine your search

Biomolecules 13: PubMed38136633

2023

Antiviral Functions of Type I and Type III Interferons in the Olfactory Epithelium.

Applications

Unspecified application

Species

Unspecified reactive species

Ahmad Zedan,Ashley D Winters,Wei Yu,Shuangyan Wang,Ying Ren,Ashley Takeshita,Qizhi Gong

Journal of orthopaedic translation 40:37-48 PubMed37304218

2023

Metformin attenuates diabetes-induced osteopenia in rats is associated with down-regulation of the RAGE-JAK2-STAT1 signal axis.

Applications

Unspecified application

Species

Unspecified reactive species

Rui Lin,Bilian Xu,Zhiqiang Ye,Yin Gao,Haiping Fang,Jintong Song,Dahong Liang,Lingna Liu,Zilong Hu,Min Zhang,Jinsong Wei,Feifu Deng,Xiangxin Zhong,Liao Cui,Yanzhi Liu

Mediators of inflammation 2023:1699946 PubMed36915717

2023

IFN--2b Reduces Postoperative Arthrofibrosis in Rats by Inhibiting Fibroblast Proliferation and Migration through STAT1/p21 Signaling Pathway.

Applications

Unspecified application

Species

Unspecified reactive species

Zhendong Liu,Zhehao Fan,Rui Wang,Xiaolei Li,Hui Chen,Jingcheng Wang

Biology 12: PubMed36829595

2023

Reduced Renal CSE/CBS/H2S Contributes to the Progress of Lupus Nephritis.

Applications

Unspecified application

Species

Unspecified reactive species

Xuan Wang,Tao Lin,Yifei He,Yueyuan Zhou,Yi Peng,Weiru Zhang,Xin Ni

Frontiers in immunology 13:1094132 PubMed36741384

2023

Protective effects of blocking PD-1 pathway on retinal ganglion cells in a mouse model of chronic ocular hypertension.

Applications

Unspecified application

Species

Unspecified reactive species

Siqi Sheng,Yixian Ma,Yue Zou,Fangyuan Hu,Ling Chen

Journal of clinical and translational hepatology 11:273-283 PubMed36643029

2023

Osteopontin Promotes Macrophage M1 Polarization by Activation of the JAK1/STAT1/HMGB1 Signaling Pathway in Nonalcoholic Fatty Liver Disease.

Applications

Unspecified application

Species

Unspecified reactive species

Zhihao Xu,Feiyang Xi,Xinxin Deng,Yuqi Ni,Changqin Pu,Dan Wang,Weiming Lou,Xufang Zeng,Ning Su,Chen Chen,Ziqiang Zeng,Libin Deng,Meixiu Jiang

Phytotherapy research : PTR 37:1740-1753 PubMed36576358

2022

Dihydroartemisinin broke the tumor immunosuppressive microenvironment by inhibiting YAP1 expression to enhance anti-PD-1 efficacy.

Applications

Unspecified application

Species

Unspecified reactive species

Qing Peng,Shenghao Li,Xinli Shi,Yinglin Guo,Liyuan Hao,Zhiqin Zhang,Jingmin Ji,Yanmeng Zhao,Caige Li,Yu Xue,Yiwei Liu

Molecular biology reports 50:2243-2255 PubMed36572761

2022

Pre exposure to enriched environment alleviates brain injury after ischemia-reperfusion by inhibiting p38MAPK/STAT1 pathway.

Applications

Unspecified application

Species

Unspecified reactive species

Xin-Ya Shen,Yu Han,Zhen-Kun Gao,Ping-Ping Han,Xia Bi

JCI insight 7: PubMed36509291

2022

Small-molecule PROTAC mediates targeted protein degradation to treat STAT3-dependent epithelial cancer.

Applications

Unspecified application

Species

Unspecified reactive species

Jinmei Jin,Yaping Wu,Zeng Zhao,Ye Wu,Yu-Dong Zhou,Sanhong Liu,Qingyan Sun,Guizhu Yang,Jiayi Lin,Dale G Nagle,Jiangjiang Qin,Zhiyuan Zhang,Hong-Zhuan Chen,Weidong Zhang,Shuyang Sun,Xin Luan

Molecular nutrition & food research 66:e2200300 PubMed36208084

2022

GPR109a Regulates Phenotypic and Functional Alterations in Macrophages and the Progression of Type 1 Diabetes.

Applications

Unspecified application

Species

Unspecified reactive species

Zhaodi Zhang,Jiahong Li,Ming Zhang,Binbin Li,XiaoHua Pan,Xiaoliang Dong,Li-Long Pan,Jia Sun
View all publications

Product promise

We are committed to supporting your work with high-quality reagents, and we're here for you every step of the way. In the unlikely event that one of our products does not perform as expected, you're protected by our Product Promise.
For full details, please see our Terms & Conditions
chicCutRunSequencingBooklet
en

Associated Products

Select an associated product type
Alternative Product
Primary Antibodies

AB47425

Anti-STAT1 antibody

primary-antibodies

stat1-antibody-ab47425

5

(3 reviews)

Alternative Product
Primary Antibodies

AB125685

Anti-STAT1 antibody [OTI9B12]

primary-antibodies

stat1-antibody-oti9b12-ab125685

0

(0 reviews)

Alternative Product
Primary Antibodies

AB31369

Anti-STAT1 antibody

primary-antibodies

stat1-antibody-ab31369

0

(0 reviews)

Alternative Product
Primary Antibodies

AB3987

Anti-STAT1 antibody [SM1]

primary-antibodies

stat1-antibody-sm1-ab3987

3

(3 reviews)

Alternative Product
Primary Antibodies

AB29045

Anti-STAT1 (phospho Y701) antibody [M135]

primary-antibodies

stat1-phospho-y701-antibody-m135-ab29045

5

(5 reviews)

Alternative Product
Primary Antibodies

AB30645

Anti-STAT1 (phospho Y701) antibody

primary-antibodies

stat1-phospho-y701-antibody-ab30645

3

(6 reviews)

Alternative Product
Primary Antibodies

AB155933

Anti-STAT1 antibody [15H3]

primary-antibodies

stat1-antibody-15h3-ab155933

0

(0 reviews)

Alternative Product
Primary Antibodies

AB99415

Anti-STAT1 antibody

primary-antibodies

stat1-antibody-ab99415

0

(0 reviews)

Alternative Product
Primary Antibodies

AB233219

Anti-STAT1 antibody

primary-antibodies

stat1-antibody-ab233219

0

(0 reviews)

Alternative Product
Primary Antibodies

AB200417

Alexa Fluor® 647 Anti-STAT1 antibody [EPR4407]

primary-antibodies

alexa-fluor-647-stat1-antibody-epr4407-ab200417

0

(0 reviews)

Alternative Product
Primary Antibodies

AB109457

Anti-STAT1 (phospho Y701) antibody [EPR3147]

primary-antibodies

stat1-phospho-y701-antibody-epr3147-ab109457

5

(1 reviews)

Alternative Product
Primary Antibodies

AB239360

Anti-STAT1 antibody [EPR23049-111] - ChIP Grade

primary-antibodies

stat1-antibody-epr23049-111-chip-grade-ab239360

0

(0 reviews)

Alternative Product
Primary Antibodies

AB234400

Anti-STAT1 antibody [EPR21057-141] - ChIP Grade

primary-antibodies

stat1-antibody-epr21057-141-chip-grade-ab234400

4

(4 reviews)

Alternative Product
Primary Antibodies

AB109320

Anti-STAT1 antibody [EPR4407]

primary-antibodies

stat1-antibody-epr4407-ab109320

0

(0 reviews)

Alternative Product
Primary Antibodies

AB210524

Anti-STAT1 antibody [EPRR21057-168]

primary-antibodies

stat1-antibody-eprr21057-168-ab210524

5

(1 reviews)

Please note: All products are 'FOR RESEARCH USE ONLY. NOT FOR USE IN DIAGNOSTIC OR THERAPEUTIC PROCEDURES'.

For licensing inquiries, please contact partnerships@abcam.com