JavaScript is disabled in your browser. Please enable JavaScript to view this website.
AB215820

Anti-STAT1 (phospho S727) antibody [EPR3146] - BSA and Azide free

4

(1 Review)

|

(5 Publications)

Rabbit Recombinant Monoclonal STAT1 phospho S727 antibody. Carrier free. Suitable for ChIC/CUT&RUN-seq, Dot, WB, IHC-P and reacts with Human, Rat, Mouse samples. Cited in 5 publications.

View Alternative Names

Signal transducer and activator of transcription 1-alpha/beta, Transcription factor ISGF-3 components p91/p84, STAT1

7 Images
Immunohistochemistry (Formalin/PFA-fixed paraffin-embedded sections) - Anti-STAT1 (phospho S727) antibody [EPR3146] - BSA and Azide free (AB215820)
  • IHC-P

Unknown

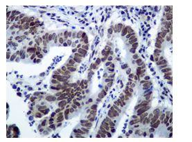
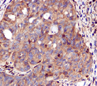
Immunohistochemistry (Formalin/PFA-fixed paraffin-embedded sections) - Anti-STAT1 (phospho S727) antibody [EPR3146] - BSA and Azide free (AB215820)

Unpurified ab109461, at a 1/100 dilution, staining STAT1 (phospho S727) in paraffin embedded Human stomach adenocarcinoma tissue by Immunohistochemistry.

This data was developed using the same antibody clone in a different buffer formulation containing PBS, BSA, glycerol, and sodium azide (ab109461).

Immunohistochemistry (Formalin/PFA-fixed paraffin-embedded sections) - Anti-STAT1 (phospho S727) antibody [EPR3146] - BSA and Azide free (AB215820)
  • IHC-P

Unknown

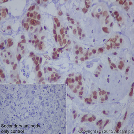
Immunohistochemistry (Formalin/PFA-fixed paraffin-embedded sections) - Anti-STAT1 (phospho S727) antibody [EPR3146] - BSA and Azide free (AB215820)

Immunohistochemical staining of paraffin embedded human breast carcinoma with purified ab109461 at a working dilution of 1/200. The secondary antibody used is ab97051, a goat anti-rabbit IgG (H&L) at a dilution of 1/500. The sample is counter-stained with hematoxylin. Antigen retrieval was perfomed using Tris-EDTA buffer, pH 9.0. PBS was used instead of the primary antibody as the negative control, and is shown in the inset.This data was developed using the same antibody clone in a different buffer formulation containing PBS, BSA, glycerol, and sodium azide (ab109461).

Immunohistochemistry (Formalin/PFA-fixed paraffin-embedded sections) - Anti-STAT1 (phospho S727) antibody [EPR3146] - BSA and Azide free (AB215820)
  • IHC-P

Unknown

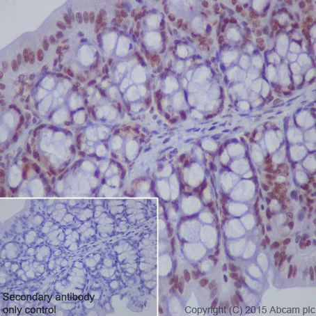
Immunohistochemistry (Formalin/PFA-fixed paraffin-embedded sections) - Anti-STAT1 (phospho S727) antibody [EPR3146] - BSA and Azide free (AB215820)

Immunohistochemical staining of paraffin embedded mouse colon with purified ab109461 at a working dilution of 1/200. The secondary antibody used is ab97051, a goat anti-rabbit IgG (H&L) at a dilution of 1/500. The sample is counter-stained with hematoxylin. Antigen retrieval was perfomed using Tris-EDTA buffer, pH 9.0. PBS was used instead of the primary antibody as the negative control, and is shown in the inset.This data was developed using the same antibody clone in a different buffer formulation containing PBS, BSA, glycerol, and sodium azide (ab109461).

Immunohistochemistry (Formalin/PFA-fixed paraffin-embedded sections) - Anti-STAT1 (phospho S727) antibody [EPR3146] - BSA and Azide free (AB215820)
  • IHC-P

Unknown

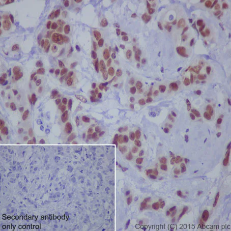
Immunohistochemistry (Formalin/PFA-fixed paraffin-embedded sections) - Anti-STAT1 (phospho S727) antibody [EPR3146] - BSA and Azide free (AB215820)

Immunohistochemical staining of paraffin embedded rat colon with purified ab109461 at a working dilution of 1/200. The secondary antibody used is ab97051, a goat anti-rabbit IgG (H&L) at a dilution of 1/500. The sample is counter-stained with hematoxylin. Antigen retrieval was perfomed using Tris-EDTA buffer, pH 9.0. PBS was used instead of the primary antibody as the negative control, and is shown in the inset.This data was developed using the same antibody clone in a different buffer formulation containing PBS, BSA, glycerol, and sodium azide (ab109461).

Western blot - Anti-STAT1 (phospho S727) antibody [EPR3146] - BSA and Azide free (AB215820)
  • WB

Supplier Data

Western blot - Anti-STAT1 (phospho S727) antibody [EPR3146] - BSA and Azide free (AB215820)

This data was developed using ab109461, the same antibody clone in a different buffer formulation.

Blocking and diluting buffer and concentration : 5% NFDM/TBST.

ab181602 was used as a GAPDH loading at 1000000 dilution.

All lanes:

Western blot - Anti-STAT1 (phospho S727) antibody [EPR3146] (<a href='/en-us/products/primary-antibodies/stat1-phospho-s727-antibody-epr3146-ab109461'>ab109461</a>) at 1/1000 dilution

Lane 1:

Untreated HEK-293 (human embryonic kidney epithelial cell) whole cell lysate at 20 µg

Lane 2:

HEK-293 treated with 50 ng/ml IFN beta for 3 hours whole cell lysate at 20 µg

Lane 3:

Untreated RAW 264.7 (mouse Abelson murine leukemia virus-induced tumor macrophage) whole cell lysate at 20 µg

Lane 4:

RAW 264.7 treated with 100 ng/ml IFN alpha for 24 hours whole cell lysate at 20 µg

Lane 5:

Untreated NIH/3T3 (mouse embryonic fibroblast) whole cell lysate at 20 µg

Lane 6:

NIH/3T3 treated with 100 ng/ml IFN gamma for 48 hours whole cell lysate at 20 µg

Secondary

All lanes:

Western blot - Goat Anti-Rabbit IgG H&L (HRP) (<a href='/en-us/products/secondary-antibodies/goat-rabbit-igg-h-l-hrp-ab97051'>ab97051</a>) at 1/20000 dilution

Predicted band size: 91 kDa,37 kDa

Observed band size: 91 kDa,37 kDa

false

Exposure time: 3s

ChIC/CUT&RUN sequencing - Anti-STAT1 (phospho S727) antibody [EPR3146] - BSA and Azide free (AB215820)
  • ChIC/CUT&RUN-seq

Supplier Data

ChIC/CUT&RUN sequencing - Anti-STAT1 (phospho S727) antibody [EPR3146] - BSA and Azide free (AB215820)

ChIC/CUT&RUN was performed using a pAG-MNAse at a final concentration of 700 ng/µL, 2 x 10^5 HeLa (Human cervix adenocarcinoma epithelial cell line) treated with IFN gamma (50ng/ml 1h) cells and 5µg of ab109461 [EPR3146]. The resulting DNA was sequenced on the Illumina NovaSeq 6000 to a depth of 10 million reads. The negative IgG control ab172730 is also shown. Additional screenshots of mapped reads can be found in the Protocol booklet in the Product Protocol section. The University of Geneva owns patents relevant to ChIC (Chromatin Immuno-Cleavage) methods. This data was developed using the same antibody clone in a different buffer formulation containing PBS, BSA, glycerol, and sodium azide (ab109461).

Dot Blot - Anti-STAT1 (phospho S727) antibody [EPR3146] - BSA and Azide free (AB215820)
  • Dot

Lab

Dot Blot - Anti-STAT1 (phospho S727) antibody [EPR3146] - BSA and Azide free (AB215820)

Dot Blot analysis of Lane 1 : STAT1 (pS727) phospho peptide and Lane 2 : STAT1 non-phospho peptide, labeling STAT1 (phospho S727) with ab109461 at 1/1000 dilution. 5% NFDM/TBST was used as the blocking and diluting buffer. ab97051, a Goat Anti-Rabbit IgG, (H+L), Peroxidase conjugated secondary antibody was used at 1/100000 dilution. Exposure time : 3 minutes.

This data was developed using the same antibody clone in a different buffer formulation containing PBS, BSA, glycerol, and sodium azide (ab109461).

Key facts

Host species

Rabbit

Clonality

Monoclonal

Clone number

EPR3146

Isotype

IgG

Carrier free

Yes

Reacts with

Mouse, Rat, Human

Applications

WB, ChIC/CUT&RUN-seq, Dot, IHC-P

applications

Immunogen

The exact immunogen used to generate this antibody is proprietary information.

Specificity

A phospho specific peptide corresponding to residues surrounding Serine 727 of human Stat-1 was used as an immunogen. This antibody only detects Stat-1 phosphorylated at Serine 727.

Reactivity data

{ "title": "Reactivity Data", "filters": { "stats": ["", "Species", "Dilution Info", "Notes"], "tabs": { "all-applications": {"fullname" : "All Applications", "shortname": "All Applications"}, "ChICCUTRUNseq" : {"fullname" : "ChIC/CUT&RUN sequencing", "shortname":"ChIC/CUT&RUN-seq"}, "Dot" : {"fullname" : "Dot Blot", "shortname":"Dot"}, "WB" : {"fullname" : "Western blot", "shortname":"WB"}, "ICCIF" : {"fullname" : "Immunocytochemistry/ Immunofluorescence", "shortname":"ICC/IF"}, "IHCP" : {"fullname" : "Immunohistochemistry (Formalin/PFA-fixed paraffin-embedded sections)", "shortname":"IHC-P"} }, "product-promise": { "all": "all", "testedAndGuaranteed": "tested", "guaranteed": "expected", "predicted": "predicted", "notRecommended": "not-recommended" } }, "values": { "Human": { "ChICCUTRUNseq-species-checked": "testedAndGuaranteed", "ChICCUTRUNseq-species-dilution-info": "", "ChICCUTRUNseq-species-notes": "<p></p>", "Dot-species-checked": "guaranteed", "Dot-species-dilution-info": "", "Dot-species-notes": "", "WB-species-checked": "guaranteed", "WB-species-dilution-info": "", "WB-species-notes": "<p></p>", "ICCIF-species-checked": "notRecommended", "ICCIF-species-dilution-info": "", "ICCIF-species-notes": "<p></p>", "IHCP-species-checked": "guaranteed", "IHCP-species-dilution-info": "", "IHCP-species-notes": "" }, "Mouse": { "ChICCUTRUNseq-species-checked": "guaranteed", "ChICCUTRUNseq-species-dilution-info": "", "ChICCUTRUNseq-species-notes": "", "Dot-species-checked": "guaranteed", "Dot-species-dilution-info": "", "Dot-species-notes": "", "WB-species-checked": "guaranteed", "WB-species-dilution-info": "", "WB-species-notes": "<p></p>", "ICCIF-species-checked": "notRecommended", "ICCIF-species-dilution-info": "", "ICCIF-species-notes": "<p></p>", "IHCP-species-checked": "guaranteed", "IHCP-species-dilution-info": "", "IHCP-species-notes": "" }, "Rat": { "ChICCUTRUNseq-species-checked": "guaranteed", "ChICCUTRUNseq-species-dilution-info": "", "ChICCUTRUNseq-species-notes": "", "Dot-species-checked": "testedAndGuaranteed", "Dot-species-dilution-info": "", "Dot-species-notes": "<p></p>", "WB-species-checked": "guaranteed", "WB-species-dilution-info": "", "WB-species-notes": "<p></p>", "ICCIF-species-checked": "notRecommended", "ICCIF-species-dilution-info": "", "ICCIF-species-notes": "<p></p>", "IHCP-species-checked": "testedAndGuaranteed", "IHCP-species-dilution-info": "", "IHCP-species-notes": "<p>Heat up to 98 °C, below boiling, and then let cool for 10-20 minutes.</p>" } } }

Product details

ab215820 is the carrier-free version of ab109461.

Patented technology
Our RabMAb® technology is a patented hybridoma-based technology for making rabbit monoclonal antibodies. For details on our patents, please refer to RabMAb® patents.

What are the advantages of a recombinant monoclonal antibody?
This product is a recombinant monoclonal antibody, which offers several advantages including:

  • - High batch-to-batch consistency and reproducibility
  • - Improved sensitivity and specificity
  • - Long-term security of supply
  • - Animal-free batch production

For more information, read more on recombinant antibodies.

Conjugation ready
Our carrier-free antibodies are typically supplied in a PBS-only formulation, purified and free of BSA, sodium azide and glycerol. This conjugation-ready format is designed for use with fluorochromes, metal isotopes, oligonucleotides, and enzymes, which makes them ideal for antibody labelling, functional and cell-based assays, flow-based assays (e.g. mass cytometry) and Multiplex Imaging applications.

Use our conjugation kits for antibody conjugates that are ready-to-use in as little as 20 minutes with 1 minute hands-on-time and 100% antibody recovery: available for fluorescent dyes, HRP, biotin and gold.

Compatibility
This product is compatible with the Maxpar® Antibody Labeling Kit from Fluidigm, without the need for antibody preparation. Maxpar® is a trademark of Fluidigm Canada Inc.

Properties and storage information

Form
Liquid
Purification technique
Affinity purification Protein A
Storage buffer
pH: 7.2 - 7.4 Constituents: PBS
Shipped at conditions
Blue Ice
Appropriate short-term storage conditions
+4°C
Appropriate long-term storage conditions
+4°C
Storage information
Do Not Freeze

Supplementary information

This supplementary information is collated from multiple sources and compiled automatically.

Signal Transducer and Activator of Transcription 1 (STAT1) is a protein of about 91 kDa commonly known simply as STAT1. It belongs to the STAT protein family which is involved in gene regulation. STAT1 expresses widely in many tissues including the immune system where it plays a major role. As an important player in cellular responses to cytokines and growth factors STAT1 becomes activated through phosphorylation often referred to as phospho-STAT1. This phosphorylation promotes dimerization an important step for its function.
Biological function summary

The STAT1 protein influences cell survival and immune responses. It functions as a transcription factor and participates in the interferon signaling pathway. In this setting it forms a complex with other STAT proteins such as STAT2 and STAT3 to regulate gene expression. By binding to specific DNA sequences in the nucleus STAT1 alters transcription in response to extracellular signals. It contributes to antiviral defense mechanisms and antiproliferative activities in various cells.

Pathways

The STAT1 protein plays essential roles in the JAK-STAT signaling pathway and interferon signaling pathway. It operates closely with proteins such as JAK1 and TYK2 which are involved in the phosphorylation process activating STAT1. During this activation STAT1 helps initiate cellular responses to interferons a type of signaling protein released during viral infections. The JAK-STAT pathway facilitates various physiological processes including immune responses and cell growth regulation.

STAT1 dysregulation often connects to autoimmune diseases and infectious diseases. Elevated STAT1 activity associates with disorders like systemic lupus erythematosus where an imbalanced immune response occurs. Phosphorylation of STAT1 can also relate to chronic infections in cases where proper immune response activation becomes impaired. In certain cancers STAT1 interaction with proteins like SOCS1 might contribute to tumor immune evasion highlighting its vital role in pathology.

Product protocols

For this product, it's our understanding that no specific protocols are required. You can visit:

Target data

Signal transducer and transcription activator that mediates cellular responses to interferons (IFNs), cytokine KITLG/SCF and other cytokines and other growth factors (PubMed : 12764129, PubMed : 12855578, PubMed : 15322115, PubMed : 23940278, PubMed : 34508746, PubMed : 35568036, PubMed : 9724754). Following type I IFN (IFN-alpha and IFN-beta) binding to cell surface receptors, signaling via protein kinases leads to activation of Jak kinases (TYK2 and JAK1) and to tyrosine phosphorylation of STAT1 and STAT2. The phosphorylated STATs dimerize and associate with ISGF3G/IRF-9 to form a complex termed ISGF3 transcription factor, that enters the nucleus (PubMed : 28753426, PubMed : 35568036). ISGF3 binds to the IFN stimulated response element (ISRE) to activate the transcription of IFN-stimulated genes (ISG), which drive the cell in an antiviral state (PubMed : 28753426, PubMed : 35568036). In response to type II IFN (IFN-gamma), STAT1 is tyrosine- and serine-phosphorylated (PubMed : 26479788). It then forms a homodimer termed IFN-gamma-activated factor (GAF), migrates into the nucleus and binds to the IFN gamma activated sequence (GAS) to drive the expression of the target genes, inducing a cellular antiviral state (PubMed : 8156998). Becomes activated in response to KITLG/SCF and KIT signaling (PubMed : 15526160). May mediate cellular responses to activated FGFR1, FGFR2, FGFR3 and FGFR4 (PubMed : 19088846). Following bacterial lipopolysaccharide (LPS)-induced TLR4 endocytosis, phosphorylated at Thr-749 by IKBKB which promotes binding of STAT1 to the 5'-TTTGAGGC-3' sequence in the ARID5A promoter, resulting in transcriptional activation of ARID5A and subsequent ARID5A-mediated stabilization of IL6 (PubMed : 32209697). Phosphorylation at Thr-749 also promotes binding of STAT1 to the 5'-TTTGAGTC-3' sequence in the IL12B promoter and activation of IL12B transcription (PubMed : 32209697). Involved in food tolerance in small intestine : associates with the Gasdermin-D, p13 cleavage product (13 kDa GSDMD) and promotes transcription of CIITA, inducing type 1 regulatory T (Tr1) cells in upper small intestine (By similarity).
See full target information STAT1 phospho S727

Publications (5)

Recent publications for all applications. Explore the full list and refine your search

Cell & bioscience 13:220 PubMed38037116

2023

GSTM2 alleviates heart failure by inhibiting DNA damage in cardiomyocytes.

Applications

Unspecified application

Species

Unspecified reactive species

Hongfei Xu,Zhen Wang,Yalin Wang,Shaobo Pan,Wenting Zhao,Miao Chen,Xiaofan Chen,Tingting Tao,Liang Ma,Yiming Ni,Weidong Li

Diagnostic pathology 16:93 PubMed34689819

2021

CircRNA NRIP1 promotes papillary thyroid carcinoma progression by sponging mir-195-5p and modulating the P38 MAPK and JAK/STAT pathways.

Applications

Unspecified application

Species

Unspecified reactive species

Chuang Li,Lijuan Zhu,Lijun Fu,Mingli Han,Ya Li,Zhaozhong Meng,Xinguang Qiu

Nature communications 5:5241 PubMed25348003

2014

Metastasis is regulated via microRNA-200/ZEB1 axis control of tumour cell PD-L1 expression and intratumoral immunosuppression.

Applications

WB

Species

Unspecified reactive species

Limo Chen,Don L Gibbons,Sangeeta Goswami,Maria Angelica Cortez,Young-Ho Ahn,Lauren A Byers,Xuejun Zhang,Xiaohui Yi,David Dwyer,Wei Lin,Lixia Diao,Jing Wang,Jonathon Roybal,Mayuri Patel,Christin Ungewiss,David Peng,Scott Antonia,Melanie Mediavilla-Varela,Gordon Robertson,Milind Suraokar,James W Welsh,Baruch Erez,Ignacio I Wistuba,Lieping Chen,Di Peng,Shanshan Wang,Stephen E Ullrich,John V Heymach,Jonathan M Kurie,F Xiao-Feng Qin

Cancer gene therapy 20:582-9 PubMed24030211

2013

Overcoming cancer cell resistance to VSV oncolysis with JAK1/2 inhibitors.

Applications

Unspecified application

Species

Unspecified reactive species

D Escobar-Zarate,Y-P Liu,L Suksanpaisan,S J Russell,K-W Peng

Journal of cell science 126:1969-80 PubMed23487038

2013

BAL1/ARTD9 represses the anti-proliferative and pro-apoptotic IFNγ-STAT1-IRF1-p53 axis in diffuse large B-cell lymphoma.

Applications

Unspecified application

Species

Unspecified reactive species

Rosalba Camicia,Samia B Bachmann,Hans C Winkler,Marc Beer,Marianne Tinguely,Eugenia Haralambieva,Paul O Hassa
View all publications
chicCutRunSequencingBooklet
en

Product promise

We are committed to supporting your work with high-quality reagents, and we're here for you every step of the way. In the unlikely event that one of our products does not perform as expected, you're protected by our Product Promise.
For full details, please see our Terms & Conditions

Please note: All products are 'FOR RESEARCH USE ONLY. NOT FOR USE IN DIAGNOSTIC OR THERAPEUTIC PROCEDURES'.

For licensing inquiries, please contact partnerships@abcam.com