JavaScript is disabled in your browser. Please enable JavaScript to view this website.
AB30645

Anti-STAT1 (phospho Y701) antibody

3

(6 Reviews)

|

(61 Publications)

Rabbit Polyclonal STAT1 phospho Y701 antibody. Suitable for WB, IHC-P, ICC/IF and reacts with Human samples. Cited in 61 publications. Immunogen corresponding to Synthetic Peptide within Human STAT1 phospho Y701.

View Alternative Names

Signal transducer and activator of transcription 1-alpha/beta, Transcription factor ISGF-3 components p91/p84, STAT1

5 Images
Immunocytochemistry/ Immunofluorescence - Anti-STAT1 (phospho Y701) antibody (AB30645)
  • ICC/IF

Unknown

Immunocytochemistry/ Immunofluorescence - Anti-STAT1 (phospho Y701) antibody (AB30645)

ICC/IF image of ab30645 stained HeLa cells. The cells were 4% PFA fixed (10 min) and then incubated in 1%BSA / 10% normal goat serum / 0.3M glycine in 0.1% PBS-Tween for 1h to permeabilise the cells and block non-specific protein-protein interactions. The cells were then incubated with the antibody (ab30645, 1µg/ml) overnight at +4°C. The secondary antibody (green) was Alexa Fluor® 488 goat anti-rabbit IgG (H+L) used at a 1/1000 dilution for 1h. Alexa Fluor® 594 WGA was used to label plasma membranes (red) at a 1/200 dilution for 1h. DAPI was used to stain the cell nuclei (blue) at a concentration of 1.43µM.

Immunohistochemistry (Formalin/PFA-fixed paraffin-embedded sections) - Anti-STAT1 (phospho Y701) antibody (AB30645)
  • IHC-P

Supplier Data

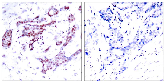
Immunohistochemistry (Formalin/PFA-fixed paraffin-embedded sections) - Anti-STAT1 (phospho Y701) antibody (AB30645)

Paraffin-embedded human breast carcinoma tissue stained for STAT1 (phospho Y701) using ab30645 at 1/590 dilution in immunohistochemical analysis. Tissue was incubated in the absence (left) or presence (right) of immunizing phospho-peptide.

Immunohistochemistry (Formalin/PFA-fixed paraffin-embedded sections) - Anti-STAT1 (phospho Y701) antibody (AB30645)
  • IHC-P

AbReview31171****

Immunohistochemistry (Formalin/PFA-fixed paraffin-embedded sections) - Anti-STAT1 (phospho Y701) antibody (AB30645)

ab30645 staining STAT1 (phospho Y701) in murine intestine tissue by Immunohistochemistry (Formalin/PFA-fixed paraffin-embedded sections).

Tissue was fixed with paraformaldehyde and blocked with 5% serum for 1 hour at 23°C; antigen retrieval was by heat mediation with a citrate buffer. Samples were incubated with primary antibody (1/400 in Tris Buffer Saline) for 16 hours at 4°C. An AlexaFluor®488-conjugated goat anti-rabbit polyclonal IgG (1/200) was used as the secondary antibody.

This image is courtesy of an anonymous Abreview

Western blot - Anti-STAT1 (phospho Y701) antibody (AB30645)
  • WB

Unknown

Western blot - Anti-STAT1 (phospho Y701) antibody (AB30645)

Suggested dilution : 1 : 500 - 1 : 1000

All lanes:

Western blot - Anti-STAT1 (phospho Y701) antibody (ab30645)

Lane 1:

Untreated MCF7 lysate (5-30ug).

Lane 2:

EGF treated MCF7 lysate (5-30ug).

Predicted band size: 87 kDa

Observed band size: 47 kDa,87 kDa

false

Western blot - Anti-STAT1 (phospho Y701) antibody (AB30645)
  • WB

CiteAb

Western blot - Anti-STAT1 (phospho Y701) antibody (AB30645)

STAT1 (phospho Y701) western blot using anti-STAT1 (phospho Y701) antibody ab30645. Publication image and figure legend from Qiu, X., Fu, Q., et al., 2016, PLoS One, PubMed 26859759.

ab30645 was used in this publication in western blot. This may not be the same as the application(s) guaranteed by Abcam. For a full list of applications guaranteed by Abcam for ab30645 please see the product overview.

Newcastle disease virus infection impaired IFN-α-induced STAT1 phosphorylation.(A) IFN-α-induced phosphorylated STAT1 degradation in NDV-infected A549 and Vero cells. A549 or Vero cells were infected with NDV strains ZJ1 at MOI 3. At indicated time points post infection, A549 and Vero cells were stimulated with 500 U/ml human IFN-α or IFN-γ in 1 ml DMEM at 37°C for 15 min. Uninfected cells were stimulated with IFN as negative controls (IFNα+/infection-). IFN-α-induced phospho-STAT1 was observed (IFNα+/infection+) for reduction in total STAT1 proteins. IFN-γ-induced phospho-STAT1 proteins were not reduced. (B) Phospho-STAT1 in A549 cells transfected with V-expressing plasmids after stimulation with IFN-α. (C) Expression level of STAT1 and phospho-STAT1 decreased in V-expressing Vero cells after IFN-α stimulation. Vero cells were mock transfected with pCI-neo plasmids. Cells on glass coverlips were transfected with pCI-V/ZJ1 plasmids. At 48 h post-transfection, cells were treated with IFN-α for 15 min prior to fixation as in “Material and methods”. V protein was detected by a mixture of anti-serum Pab-V1 and Pab-V2; STAT1 and phosphorylation were determined by anti-STAT1 antibody (ab31369) and anti-phospho-STAT1 antibody (ab30645). Cellular nuclei were stained with DAPI.

false

Key facts

Host species

Rabbit

Clonality

Polyclonal

Isotype

IgG

Carrier free

No

Reacts with

Human

Applications

IHC-P, WB, ICC/IF

applications

Immunogen

Synthetic Peptide within Human STAT1 phospho Y701. The exact immunogen used to generate this antibody is proprietary information.

P42224

Reactivity data

{ "title": "Reactivity Data", "filters": { "stats": ["", "Species", "Dilution Info", "Notes"], "tabs": { "all-applications": {"fullname" : "All Applications", "shortname": "All Applications"}, "WB" : {"fullname" : "Western blot", "shortname":"WB"}, "IHCP" : {"fullname" : "Immunohistochemistry (Formalin/PFA-fixed paraffin-embedded sections)", "shortname":"IHC-P"}, "ICCIF" : {"fullname" : "Immunocytochemistry/ Immunofluorescence", "shortname":"ICC/IF"} }, "product-promise": { "all": "all", "testedAndGuaranteed": "tested", "guaranteed": "expected", "predicted": "predicted", "notRecommended": "not-recommended" } }, "values": { "Human": { "WB-species-checked": "testedAndGuaranteed", "WB-species-dilution-info": "1/500 - 1/1000", "WB-species-notes": "<p></p>", "IHCP-species-checked": "testedAndGuaranteed", "IHCP-species-dilution-info": "", "IHCP-species-notes": "<p></p>", "ICCIF-species-checked": "testedAndGuaranteed", "ICCIF-species-dilution-info": "1-5 µg/mL", "ICCIF-species-notes": "<p></p>" } } }

Properties and storage information

Form
Liquid
Purification technique
Affinity purification Immunogen
Purification notes
The antibody was affinity-purified from rabbit antiserum by affinity-chromatography using epitope-specific phosphopeptide. The antibody against non-phosphopeptide was removed by chromatography using non-phosphopeptide corresponding to the phosphorylation site.
Storage buffer
pH: 7 Preservative: 0.02% Sodium azide Constituents: PBS, 50% Glycerol (glycerin, glycerine), 0.87% Sodium chloride
Shipped at conditions
Blue Ice
Appropriate short-term storage conditions
+4°C
Appropriate long-term storage conditions
-20°C
Aliquoting information
Upon delivery aliquot
Storage information
Avoid freeze / thaw cycle

Supplementary information

This supplementary information is collated from multiple sources and compiled automatically.

Signal Transducer and Activator of Transcription 1 (STAT1) is a protein of about 91 kDa commonly known simply as STAT1. It belongs to the STAT protein family which is involved in gene regulation. STAT1 expresses widely in many tissues including the immune system where it plays a major role. As an important player in cellular responses to cytokines and growth factors STAT1 becomes activated through phosphorylation often referred to as phospho-STAT1. This phosphorylation promotes dimerization an important step for its function.
Biological function summary

The STAT1 protein influences cell survival and immune responses. It functions as a transcription factor and participates in the interferon signaling pathway. In this setting it forms a complex with other STAT proteins such as STAT2 and STAT3 to regulate gene expression. By binding to specific DNA sequences in the nucleus STAT1 alters transcription in response to extracellular signals. It contributes to antiviral defense mechanisms and antiproliferative activities in various cells.

Pathways

The STAT1 protein plays essential roles in the JAK-STAT signaling pathway and interferon signaling pathway. It operates closely with proteins such as JAK1 and TYK2 which are involved in the phosphorylation process activating STAT1. During this activation STAT1 helps initiate cellular responses to interferons a type of signaling protein released during viral infections. The JAK-STAT pathway facilitates various physiological processes including immune responses and cell growth regulation.

STAT1 dysregulation often connects to autoimmune diseases and infectious diseases. Elevated STAT1 activity associates with disorders like systemic lupus erythematosus where an imbalanced immune response occurs. Phosphorylation of STAT1 can also relate to chronic infections in cases where proper immune response activation becomes impaired. In certain cancers STAT1 interaction with proteins like SOCS1 might contribute to tumor immune evasion highlighting its vital role in pathology.

Product protocols

For this product, it's our understanding that no specific protocols are required. You can visit:

Target data

Signal transducer and transcription activator that mediates cellular responses to interferons (IFNs), cytokine KITLG/SCF and other cytokines and other growth factors (PubMed : 12764129, PubMed : 12855578, PubMed : 15322115, PubMed : 23940278, PubMed : 34508746, PubMed : 35568036, PubMed : 9724754). Following type I IFN (IFN-alpha and IFN-beta) binding to cell surface receptors, signaling via protein kinases leads to activation of Jak kinases (TYK2 and JAK1) and to tyrosine phosphorylation of STAT1 and STAT2. The phosphorylated STATs dimerize and associate with ISGF3G/IRF-9 to form a complex termed ISGF3 transcription factor, that enters the nucleus (PubMed : 28753426, PubMed : 35568036). ISGF3 binds to the IFN stimulated response element (ISRE) to activate the transcription of IFN-stimulated genes (ISG), which drive the cell in an antiviral state (PubMed : 28753426, PubMed : 35568036). In response to type II IFN (IFN-gamma), STAT1 is tyrosine- and serine-phosphorylated (PubMed : 26479788). It then forms a homodimer termed IFN-gamma-activated factor (GAF), migrates into the nucleus and binds to the IFN gamma activated sequence (GAS) to drive the expression of the target genes, inducing a cellular antiviral state (PubMed : 8156998). Becomes activated in response to KITLG/SCF and KIT signaling (PubMed : 15526160). May mediate cellular responses to activated FGFR1, FGFR2, FGFR3 and FGFR4 (PubMed : 19088846). Following bacterial lipopolysaccharide (LPS)-induced TLR4 endocytosis, phosphorylated at Thr-749 by IKBKB which promotes binding of STAT1 to the 5'-TTTGAGGC-3' sequence in the ARID5A promoter, resulting in transcriptional activation of ARID5A and subsequent ARID5A-mediated stabilization of IL6 (PubMed : 32209697). Phosphorylation at Thr-749 also promotes binding of STAT1 to the 5'-TTTGAGTC-3' sequence in the IL12B promoter and activation of IL12B transcription (PubMed : 32209697). Involved in food tolerance in small intestine : associates with the Gasdermin-D, p13 cleavage product (13 kDa GSDMD) and promotes transcription of CIITA, inducing type 1 regulatory T (Tr1) cells in upper small intestine (By similarity).
See full target information STAT1 phospho Y701

Publications (61)

Recent publications for all applications. Explore the full list and refine your search

Cell death & disease 16:231 PubMed40169556

2025

Mechanical sensing protein PIEZO1 controls osteoarthritis via glycolysis mediated mesenchymal stem cells-Th17 cells crosstalk.

Applications

Unspecified application

Species

Unspecified reactive species

Yikun Zhou,Mingzhao Li,Shuai Lin,Zilu Zhu,Zimeng Zhuang,Shengjie Cui,Liujing Chen,Ran Zhang,Xuedong Wang,Bo Shen,Chider Chen,Ruili Yang

Analytical cellular pathology (Amsterdam) 2024:6624283 PubMed39624161

2024

N-Acetylcysteine Treats Spinal Cord Injury by Inhibiting Astrocyte Proliferation.

Applications

Unspecified application

Species

Unspecified reactive species

Dong Zhang,Chaoxi Qin,Fei Meng,Xiaopeng Han,Xing Guo

EMBO molecular medicine 16:3142-3168 PubMed39521937

2024

JAK-STAT1 as therapeutic target for EGFR deficiency-associated inflammation and scarring alopecia.

Applications

Unspecified application

Species

Unspecified reactive species

Karoline Strobl,Jörg Klufa,Regina Jin,Lena Artner-Gent,Dana Krauß,Philipp Novoszel,Johanna Strobl,Georg Stary,Igor Vujic,Johannes Griss,Martin Holcmann,Matthias Farlik,Bernhard Homey,Maria Sibilia,Thomas Bauer

Cell death & disease 15:608 PubMed39168971

2024

TAGLN2 induces resistance signature ISGs by activating AKT-YBX1 signal with dual pathways and mediates the IFN-related DNA damage resistance in gastric cancer.

Applications

Unspecified application

Species

Unspecified reactive species

Huiqin Zhuo,Jingjing Hou,Zhijun Hong,Shuqi Yu,Huifang Peng,Lihua Zhang,Wen Xie,Xuehui Hong

Immunology 172:469-485 PubMed38544333

2024

The dysfunction of CD8 T cells triggered by endometriotic stromal cells promotes the immune survival of endometriosis.

Applications

Unspecified application

Species

Unspecified reactive species

Zhi-Xiong Huang,Dian-Chao Lin,Hua-Ying Zhang,Meng-Jie Yang,Jia-Hao Chen,Xin-Yu Ding,Song-Juan Dai,Yi-Huang Hong,Gui-Shuang Liang,Qi-Yuan Li,Qiong-Hua Chen

Brain research bulletin 208:110889 PubMed38290590

2024

Valproate attenuates somatic hyperalgesia induced by orofacial inflammation combined with stress through inhibiting spinal IL-6 and STAT1 phosphorylation.

Applications

Unspecified application

Species

Unspecified reactive species

Chen-Xi Xu,Xin-Yi Qiu,Yi Guo,Tian-Ming Xu,Richard J Traub,Hai-Nan Feng,Dong-Yuan Cao

Nature communications 15:438 PubMed38200007

2024

Disparate macrophage responses are linked to infection outcome of Hantan virus in humans or rodents.

Applications

Unspecified application

Species

Unspecified reactive species

Hongwei Ma,Yongheng Yang,Tiejian Nie,Rong Yan,Yue Si,Jing Wei,Mengyun Li,He Liu,Wei Ye,Hui Zhang,Linfeng Cheng,Liang Zhang,Xin Lv,Limin Luo,Zhikai Xu,Xijing Zhang,Yingfeng Lei,Fanglin Zhang

BMC veterinary research 19:270 PubMed38087313

2023

The role of IBV PL1pro in virus replication and suppression of host innate immune responses.

Applications

Unspecified application

Species

Unspecified reactive species

Weirong Liu,Ge Mu,Yiquan Jia,Mengting Yu,Songbai Zhang,Zhen Wang,Shouguo Fang

American journal of cancer research 13:5218-5235 PubMed38058799

2023

TP53TG1/STAT axis is involved in the development of colon cancer through affecting PD-L1 expression and immune escape mechanism of tumor cells.

Applications

Unspecified application

Species

Unspecified reactive species

Wenmin Ji,Wenyan Wang,Yanfang Wei

Journal of experimental & clinical cancer research : CR 42:194 PubMed37542342

2023

RNA-binding protein CCDC137 activates AKT signaling and promotes hepatocellular carcinoma through a novel non-canonical role of DGCR8 in mRNA localization.

Applications

Unspecified application

Species

Unspecified reactive species

Shuang Tao,Shu-Juan Xie,Li-Ting Diao,Guo Lv,Ya-Rui Hou,Yan-Xia Hu,Wan-Yi Xu,Bin Du,Zhen-Dong Xiao
View all publications

Product promise

We are committed to supporting your work with high-quality reagents, and we're here for you every step of the way. In the unlikely event that one of our products does not perform as expected, you're protected by our Product Promise.
For full details, please see our Terms & Conditions

Please note: All products are 'FOR RESEARCH USE ONLY. NOT FOR USE IN DIAGNOSTIC OR THERAPEUTIC PROCEDURES'.

For licensing inquiries, please contact partnerships@abcam.com