JavaScript is disabled in your browser. Please enable JavaScript to view this website.
AB233177

Anti-STAT2 antibody

2

(1 Review)

|

(3 Publications)

Rabbit Polyclonal STAT2 antibody. Suitable for WB, IHC-P and reacts with Pig, Human samples. Cited in 3 publications. Immunogen corresponding to Recombinant Fragment Protein within Human STAT2 aa 600-850.

View Alternative Names

Signal transducer and activator of transcription 2, p113, STAT2

9 Images
Immunohistochemistry (Formalin/PFA-fixed paraffin-embedded sections) - Anti-STAT2 antibody (AB233177)
  • IHC-P

Supplier Data

Immunohistochemistry (Formalin/PFA-fixed paraffin-embedded sections) - Anti-STAT2 antibody (AB233177)

Paraffin-embedded human stomach tissue stained for STAT2 using ab233177 at 20 μg/ml in immunohistochemical analysis. DAB staining.

Immunohistochemistry (Formalin/PFA-fixed paraffin-embedded sections) - Anti-STAT2 antibody (AB233177)
  • IHC-P

Supplier Data

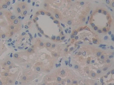
Immunohistochemistry (Formalin/PFA-fixed paraffin-embedded sections) - Anti-STAT2 antibody (AB233177)

Paraffin-embedded human kidney tissue stained for STAT2 using ab233177 at 20 μg/ml in immunohistochemical analysis. DAB staining.

Immunohistochemistry (Formalin/PFA-fixed paraffin-embedded sections) - Anti-STAT2 antibody (AB233177)
  • IHC-P

Supplier Data

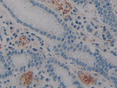
Immunohistochemistry (Formalin/PFA-fixed paraffin-embedded sections) - Anti-STAT2 antibody (AB233177)

Paraffin-embedded human stomach cancer tissue stained for STAT2 using ab233177 at 20 μg/ml in immunohistochemical analysis. DAB staining.

Immunohistochemistry (Formalin/PFA-fixed paraffin-embedded sections) - Anti-STAT2 antibody (AB233177)
  • IHC-P

Supplier Data

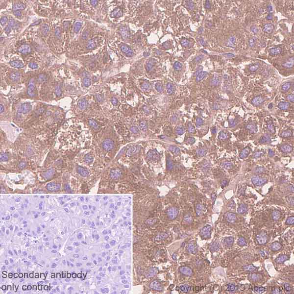
Immunohistochemistry (Formalin/PFA-fixed paraffin-embedded sections) - Anti-STAT2 antibody (AB233177)

Formalin-fixed, paraffin-embedded human liver tissue stained for STAT2 using ab233177 at 20 μg/ml in immunohistochemical analysis. DAB staining.

Western blot - Anti-STAT2 antibody (AB233177)
  • WB

Supplier Data

Western blot - Anti-STAT2 antibody (AB233177)

All lanes:

Western blot - Anti-STAT2 antibody (ab233177) at 2 µg/mL

All lanes:

HeLa (human epithelial cell line from cervix adenocarcinoma) cell lysate

Predicted band size: 97 kDa

false

Western blot - Anti-STAT2 antibody (AB233177)
  • WB

Supplier Data

Western blot - Anti-STAT2 antibody (AB233177)

All lanes:

Western blot - Anti-STAT2 antibody (ab233177) at 2 µg/mL

All lanes:

Pig liver tissue lysate

Predicted band size: 97 kDa

false

Western blot - Anti-STAT2 antibody (AB233177)
  • WB

Supplier Data

Western blot - Anti-STAT2 antibody (AB233177)

All lanes:

Western blot - Anti-STAT2 antibody (ab233177) at 2 µg/mL

All lanes:

K562 (human chronic myelogenous leukemia cell line from bone marrow) cell lysate

Predicted band size: 97 kDa

false

Western blot - Anti-STAT2 antibody (AB233177)
  • WB

Supplier Data

Western blot - Anti-STAT2 antibody (AB233177)

All lanes:

Western blot - Anti-STAT2 antibody (ab233177) at 2 µg/mL

All lanes:

Recombinant human STAT2 protein

Predicted band size: 97 kDa

false

Western blot - Anti-STAT2 antibody (AB233177)
  • WB

CiteAb

Western blot - Anti-STAT2 antibody (AB233177)

STAT2 western blot using anti-STAT2 antibody ab233177. Publication image and figure legend from Cao, H., Gao, R., et al., 2020, FEBS Open Bio, PubMed 31981447.

ab233177 was used in this publication in western blot. This may not be the same as the application(s) guaranteed by Abcam. For a full list of applications guaranteed by Abcam for ab233177 please see the product overview.

TRIM66 regulated STAT2 expression. (A) The correlation of TRIM66 and STAT2 in patients with prostate cancer was analyzed in TCGA prostate cancer dataset. (B) The mRNA expression of STAT2 in PC-3 cells transfected with TRIM66 shRNA was determined by RT-qPCR. (C) The protein expression of STAT2 and phosphorylated (p)-STAT2 in PC-3 cells transfected with TRIM66 shRNA was analyzed using western blot. (D) Luciferase reporter assay of STAT2 promoter in cells transfected with vector or shTRIM66. (E) The mRNA levels of STAT2 in PC-3 cells transfected with shSTAT2 or corresponding vector were confirmed by RT-qPCR. (F) Cell viabilities of PC-3 cells transfected with shSTAT2 or corresponding vector were determined by cell count assay. (G) Fluorescence-activated cell sorting analysis of the effects of STAT2 depletion on the cell cycle in PC-3 cells. (H) Transwell of migration and invasion assay of PC-3 cells transfected with shSTAT2 and corresponding vector. (I) The expression of EMT markers in PC-3 cells transfected with shSTAT2 and corresponding vector was determined by western blot. All of the experiments were biologically repeated at least three times. Data were expressed as mean ± SD and analyzed by Student's t-test. **p < 0.01, ***p < 0.001.

false

Key facts

Host species

Rabbit

Clonality

Polyclonal

Isotype

IgG

Carrier free

No

Reacts with

Human, Pig

Applications

IHC-P, WB

applications

Immunogen

Recombinant Fragment Protein within Human STAT2 aa 600-850. The exact immunogen used to generate this antibody is proprietary information.

P52630

Reactivity data

{ "title": "Reactivity Data", "filters": { "stats": ["", "Species", "Dilution Info", "Notes"], "tabs": { "all-applications": {"fullname" : "All Applications", "shortname": "All Applications"}, "WB" : {"fullname" : "Western blot", "shortname":"WB"}, "IHCP" : {"fullname" : "Immunohistochemistry (Formalin/PFA-fixed paraffin-embedded sections)", "shortname":"IHC-P"} }, "product-promise": { "all": "all", "testedAndGuaranteed": "tested", "guaranteed": "expected", "predicted": "predicted", "notRecommended": "not-recommended" } }, "values": { "Human": { "WB-species-checked": "testedAndGuaranteed", "WB-species-dilution-info": "0.5-2 µg/mL", "WB-species-notes": "<p></p>", "IHCP-species-checked": "testedAndGuaranteed", "IHCP-species-dilution-info": "5-20 µg/mL", "IHCP-species-notes": "<p></p>" }, "Pig": { "WB-species-checked": "testedAndGuaranteed", "WB-species-dilution-info": "0.5-2 µg/mL", "WB-species-notes": "<p></p>", "IHCP-species-checked": "guaranteed", "IHCP-species-dilution-info": "", "IHCP-species-notes": "" } } }

Properties and storage information

Form
Liquid
Purification technique
Affinity purification Immunogen
Purification notes
ab233177 was purified by antigen-specific affinity chromatography followed by Protein A affinity chromatography.
Storage buffer
pH: 7.4 Preservative: 0.02% Sodium azide Constituents: PBS, 55.77% Glycerol (glycerin, glycerine)
Shipped at conditions
Blue Ice
Appropriate short-term storage duration
1-2 weeks
Appropriate short-term storage conditions
+4°C
Appropriate long-term storage conditions
-20°C
Aliquoting information
Upon delivery aliquot
Storage information
Avoid freeze / thaw cycle

Supplementary information

This supplementary information is collated from multiple sources and compiled automatically.

The Signal Transducer and Activator of Transcription 2 commonly known as STAT2 is a protein with a molecular mass of approximately 97 kDa. It functions mainly as a transcription factor and is an essential mediator of the interferon (IFN) signaling pathway. STAT2 is expressed in various tissues including immune cells where it responds to external stimuli. It works by translocating to the nucleus upon phosphorylation subsequently influencing the expression of genes involved in immune response.
Biological function summary

Members of the STAT protein family including STAT2 play a central role in mediating immune responses. STAT2 often forms a complex with STAT1 and other proteins such as IRF9 to initiate the transcription of interferon-stimulated genes (ISGs). This complex known as the ISGF3 complex facilitates the cellular response to viral infections by promoting the expression of antiviral proteins that help modify the host cellular environment to resist viral replication.

Pathways

The involvement of STAT2 is closely associated with the JAK-STAT signaling pathway and the interferon signaling pathway. In these pathways it interacts with proteins like JAK1 TYK2 and STAT1 playing a part in transmitting signals from the cell surface to the nucleus. Such pathways are fundamental to regulating the body's immune response to pathogens and managing cell growth and apoptosis in various cells.

STAT2 alterations have been linked to autoimmune diseases and viral infections. Disruptions in STAT2 function can impair the body's ability to combat viruses effectively making individuals more susceptible to infections. STAT2 mutations or dysregulations might also connect to disorders like Systemic Lupus Erythematosus where immune system malfunctions occur. The interactions of STAT2 with other proteins like STAT1 and IRF9 in disease contexts underline its importance in maintaining immune system balance.

Product protocols

For this product, it's our understanding that no specific protocols are required. You can visit:

Target data

Signal transducer and activator of transcription that mediates signaling by type I interferons (IFN-alpha and IFN-beta). Following type I IFN binding to cell surface receptors, Jak kinases (TYK2 and JAK1) are activated, leading to tyrosine phosphorylation of STAT1 and STAT2. The phosphorylated STATs dimerize, associate with IRF9/ISGF3G to form a complex termed ISGF3 transcription factor, that enters the nucleus. ISGF3 binds to the IFN stimulated response element (ISRE) to activate the transcription of interferon stimulated genes, which drive the cell in an antiviral state (PubMed : 23391734, PubMed : 9020188). In addition, has also a negative feedback regulatory role in the type I interferon signaling by recruiting USP18 to the type I IFN receptor subunit IFNAR2 thereby mitigating the response to type I IFNs (PubMed : 28165510). Acts as a regulator of mitochondrial fission by modulating the phosphorylation of DNM1L at 'Ser-616' and 'Ser-637' which activate and inactivate the GTPase activity of DNM1L respectively (PubMed : 23391734, PubMed : 26122121, PubMed : 9020188).
See full target information STAT2

Publications (3)

Recent publications for all applications. Explore the full list and refine your search

NPJ breast cancer 11:67 PubMed40624019

2025

NR4A3 potentials M1-like macrophage polarization to facilitate anti-tumor immune responses in breast cancer.

Applications

Unspecified application

Species

Unspecified reactive species

Yi-Yu Qian,Ning Jin,Shan-Shan Rao,Ya Wang,Xin Li,Wen Pan,Pu Huang,Si-Yuan Wang,Ping-Fei Li,Yan-Kai Lv,Qing-Lei Gao,Yu Xia

Experimental and therapeutic medicine 22:875 PubMed34194553

2021

Curcumin inhibits the viability, migration and invasion of papillary thyroid cancer cells by regulating the miR-301a-3p/STAT3 axis.

Applications

Unspecified application

Species

Unspecified reactive species

Ying Liang,Deyu Kong,Yi Zhang,Siqi Li,Yan Li,Liying Dong,Ningxin Zhang,Junfeng Ma

FEBS open bio 10:515-524 PubMed31981447

2020

TRIM66 promotes malignant progression of prostate carcinoma through the JAK/STAT pathway.

Applications

Unspecified application

Species

Unspecified reactive species

Hongwen Cao,Renjie Gao,Lei Chen,Yigeng Feng
View all publications

Product promise

We are committed to supporting your work with high-quality reagents, and we're here for you every step of the way. In the unlikely event that one of our products does not perform as expected, you're protected by our Product Promise.
For full details, please see our Terms & Conditions

Please note: All products are 'FOR RESEARCH USE ONLY. NOT FOR USE IN DIAGNOSTIC OR THERAPEUTIC PROCEDURES'.

For licensing inquiries, please contact partnerships@abcam.com