JavaScript is disabled in your browser. Please enable JavaScript to view this website.
AB245394

Anti-STAT2 antibody

Be the first to review this product! Submit a review

|

(0 Publication)

Rabbit Polyclonal STAT2 antibody. Suitable for IHC-P, IP, WB and reacts with Human samples. Immunogen corresponding to Synthetic Peptide within Human STAT2 aa 700-800.

View Alternative Names

Signal transducer and activator of transcription 2, p113, STAT2

3 Images
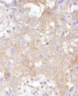
Immunohistochemistry (Formalin/PFA-fixed paraffin-embedded sections) - Anti-STAT2 antibody (AB245394)
  • IHC-P

Supplier Data

Immunohistochemistry (Formalin/PFA-fixed paraffin-embedded sections) - Anti-STAT2 antibody (AB245394)

Formalin-fixed, paraffin-embedded human ovarian carcinoma tissue stained for STAT2 using ab245394 at 1/200 dilution in immunohistochemical analysis. Detection : DAB staining.

Immunoprecipitation - Anti-STAT2 antibody (AB245394)
  • IP

Supplier Data

Immunoprecipitation - Anti-STAT2 antibody (AB245394)

STAT2 was immunoprecipitated from Jurkat (human T cell leukemia cell line from peripheral blood) whole cell lysate (1 mg for IP, 20% of IP loaded) with ab245394 at 6 μg/mg lysate. Western blot was performed from the immunoprecipitate using ab245394 at 1 μg/ml.

Lane 1 : ab245394 IP in Jurkat whole cell lysate.
Lane 2 : Control IgG IP in Jurkat whole cell lysate.

Detection : Chemiluminescence with exposure time of 3 seconds.

All lanes:

Immunoprecipitation - Anti-STAT2 antibody (ab245394)

Predicted band size: 97 kDa

false

Western blot - Anti-STAT2 antibody (AB245394)
  • WB

Supplier Data

Western blot - Anti-STAT2 antibody (AB245394)

All lanes:

Western blot - Anti-STAT2 antibody (ab245394) at 0.04 µg/mL

Lane 1:

Jurkat (human T cell leukemia cell line from peripheral blood) whole cell lysate at 50 µg

Lane 2:

Jurkat whole cell lysate at 15 µg

Lane 3:

HEK-293T (human epithelial cell line from embryonic kidney transformed with large T antigen) whole cell lysate at 50 µg

Lane 4:

HeLa (human epithelial cell line from cervix adenocarcinoma) whole cell lysate at 15 µg

Predicted band size: 97 kDa

true

Exposure time: 3min

Key facts

Host species

Rabbit

Clonality

Polyclonal

Isotype

IgG

Carrier free

No

Reacts with

Human

Applications

WB, IHC-P, IP

applications

Immunogen

Synthetic Peptide within Human STAT2 aa 700-800. The exact immunogen used to generate this antibody is proprietary information.

P52630

Reactivity data

{ "title": "Reactivity Data", "filters": { "stats": ["", "Species", "Dilution Info", "Notes"], "tabs": { "all-applications": {"fullname" : "All Applications", "shortname": "All Applications"}, "IHCP" : {"fullname" : "Immunohistochemistry (Formalin/PFA-fixed paraffin-embedded sections)", "shortname":"IHC-P"}, "IP" : {"fullname" : "Immunoprecipitation", "shortname":"IP"}, "WB" : {"fullname" : "Western blot", "shortname":"WB"} }, "product-promise": { "all": "all", "testedAndGuaranteed": "tested", "guaranteed": "expected", "predicted": "predicted", "notRecommended": "not-recommended" } }, "values": { "Human": { "IHCP-species-checked": "testedAndGuaranteed", "IHCP-species-dilution-info": "1/100 - 1/500", "IHCP-species-notes": "<p></p> Perform heat-mediated antigen retrieval with citrate buffer pH 6 before commencing with IHC staining protocol.", "IP-species-checked": "testedAndGuaranteed", "IP-species-dilution-info": "2-10 µg/mg of lysate", "IP-species-notes": "<p></p>", "WB-species-checked": "testedAndGuaranteed", "WB-species-dilution-info": "1/2000 - 1/10000", "WB-species-notes": "<p></p>" } } }

Properties and storage information

Form
Liquid
Purification technique
Affinity purification Immunogen
Purification notes
ab245394 was affinity purified using an epitope specific to STAT2 immobilized on solid support.
Storage buffer
pH: 6.8 - 7.4 Preservative: 0.09% Sodium azide Constituents: Tris buffered saline, 0.1% BSA
Shipped at conditions
Blue Ice
Appropriate short-term storage duration
1-2 weeks
Appropriate short-term storage conditions
+4°C
Appropriate long-term storage conditions
+4°C
Aliquoting information
Upon delivery aliquot
Storage information
Avoid freeze / thaw cycle

Supplementary information

This supplementary information is collated from multiple sources and compiled automatically.

The Signal Transducer and Activator of Transcription 2 commonly known as STAT2 is a protein with a molecular mass of approximately 97 kDa. It functions mainly as a transcription factor and is an essential mediator of the interferon (IFN) signaling pathway. STAT2 is expressed in various tissues including immune cells where it responds to external stimuli. It works by translocating to the nucleus upon phosphorylation subsequently influencing the expression of genes involved in immune response.
Biological function summary

Members of the STAT protein family including STAT2 play a central role in mediating immune responses. STAT2 often forms a complex with STAT1 and other proteins such as IRF9 to initiate the transcription of interferon-stimulated genes (ISGs). This complex known as the ISGF3 complex facilitates the cellular response to viral infections by promoting the expression of antiviral proteins that help modify the host cellular environment to resist viral replication.

Pathways

The involvement of STAT2 is closely associated with the JAK-STAT signaling pathway and the interferon signaling pathway. In these pathways it interacts with proteins like JAK1 TYK2 and STAT1 playing a part in transmitting signals from the cell surface to the nucleus. Such pathways are fundamental to regulating the body's immune response to pathogens and managing cell growth and apoptosis in various cells.

STAT2 alterations have been linked to autoimmune diseases and viral infections. Disruptions in STAT2 function can impair the body's ability to combat viruses effectively making individuals more susceptible to infections. STAT2 mutations or dysregulations might also connect to disorders like Systemic Lupus Erythematosus where immune system malfunctions occur. The interactions of STAT2 with other proteins like STAT1 and IRF9 in disease contexts underline its importance in maintaining immune system balance.

Product protocols

For this product, it's our understanding that no specific protocols are required. You can visit:

Target data

Signal transducer and activator of transcription that mediates signaling by type I interferons (IFN-alpha and IFN-beta). Following type I IFN binding to cell surface receptors, Jak kinases (TYK2 and JAK1) are activated, leading to tyrosine phosphorylation of STAT1 and STAT2. The phosphorylated STATs dimerize, associate with IRF9/ISGF3G to form a complex termed ISGF3 transcription factor, that enters the nucleus. ISGF3 binds to the IFN stimulated response element (ISRE) to activate the transcription of interferon stimulated genes, which drive the cell in an antiviral state (PubMed : 23391734, PubMed : 9020188). In addition, has also a negative feedback regulatory role in the type I interferon signaling by recruiting USP18 to the type I IFN receptor subunit IFNAR2 thereby mitigating the response to type I IFNs (PubMed : 28165510). Acts as a regulator of mitochondrial fission by modulating the phosphorylation of DNM1L at 'Ser-616' and 'Ser-637' which activate and inactivate the GTPase activity of DNM1L respectively (PubMed : 23391734, PubMed : 26122121, PubMed : 9020188).
See full target information STAT2

Product promise

We are committed to supporting your work with high-quality reagents, and we're here for you every step of the way. In the unlikely event that one of our products does not perform as expected, you're protected by our Product Promise.
For full details, please see our Terms & Conditions

Please note: All products are 'FOR RESEARCH USE ONLY. NOT FOR USE IN DIAGNOSTIC OR THERAPEUTIC PROCEDURES'.

For licensing inquiries, please contact partnerships@abcam.com