JavaScript is disabled in your browser. Please enable JavaScript to view this website.
AB32367

Anti-STAT2 antibody [Y141]

  • BOND RX™ Validated
  • RabMAb
  • Recombinant
  • KO Validated
  • What is this?

5

(1 Review)

|

(19 Publications)

Rabbit Recombinant Monoclonal STAT2 antibody. Suitable for IHC-P, WB, ICC/IF, Flow Cyt (Intra) and reacts with Mouse, Rat, Human samples. Cited in 19 publications.

View Alternative Names

Signal transducer and activator of transcription 2, p113, STAT2

12 Images
Flow Cytometry (Intracellular) - Anti-STAT2 antibody [Y141] (AB32367)
  • Flow Cyt (Intra)

Lab

Flow Cytometry (Intracellular) - Anti-STAT2 antibody [Y141] (AB32367)

Intracellular Flow Cytometry analysis of Ramos (Human Burkitt's lymphoma B lymphocyte) cells labeling STAT2 with purified ab32367 at 1/60 dilution (10μg/mL) (Red). Cells were fixed with 4% Paraformaldehyde and permeabilised with 90% Methanol. A Goat anti rabbit IgG (Alexa Fluorr® 488, ab150077) secondary antibody was used at 1/2000. Isotype control - Rabbit monoclonal IgG (Black). Unlabeled control - Cell without incubation with primary antibody and secondary antibody (Blue).

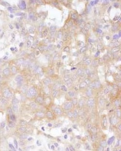
Immunohistochemistry (Formalin/PFA-fixed paraffin-embedded sections) - Anti-STAT2 antibody [Y141] (AB32367)
  • IHC-P

Lab

Immunohistochemistry (Formalin/PFA-fixed paraffin-embedded sections) - Anti-STAT2 antibody [Y141] (AB32367)

Immunohistochemistry (Formalin/PFA-fixed paraffin-embedded sections) analysis of human hepatocellular carcinoma tissue sections labeling STAT2 with purified ab32367 at 1/100 dilution (6.22 μg/mL). Heat mediated antigen retrieval was performed using Bond™ Epitope Retrieval Solution 2 (pH 9.0) . Rabbit specific IHC polymer detection kit HRP/DAB (ab209101) was used as the secondary antibody. Negative control : PBS instead of the primary antibody. Hematoxylin was used as a counterstain.

The immunostaining was performed on a Leica Biosystems BOND® RX instrument.

Immunocytochemistry/ Immunofluorescence - Anti-STAT2 antibody [Y141] (AB32367)
  • ICC/IF

Lab

Immunocytochemistry/ Immunofluorescence - Anti-STAT2 antibody [Y141] (AB32367)

Immunocytochemistry/ Immunofluorescence analysis of THP-1 (Human monocytic leukemia monocyte) cells labeling STAT2 with purified ab32367 at 1/50 dilution (10 µg/mL). Cells were fixed in 100% Methanol. Cells were counterstained with ab195889 Anti-alpha Tubulin antibody [DM1A] - Microtubule Marker (Alexa Fluor® 594) 1/200 (2.5 µg/mL). Goat anti rabbit IgG (Alexa Fluor® 488, ab150077) was used as the secondary antibody at 1/1000 (2 µg/mL) dilution. DAPI (blue) was used as nuclear counterstain. PBS instead of the primary antibody was used as the secondary antibody only control.

Immunohistochemistry (Formalin/PFA-fixed paraffin-embedded sections) - Anti-STAT2 antibody [Y141] (AB32367)
  • IHC-P

Lab

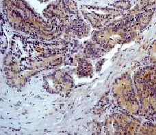
Immunohistochemistry (Formalin/PFA-fixed paraffin-embedded sections) - Anti-STAT2 antibody [Y141] (AB32367)

Immunohistochemical analysis of paraffin-embedded human thyroid cancer using ab32367 (unpurified). Heat mediated antigen retrieval was performed with citrate buffer pH 6 before commencing with IHC staining protocol.

Immunohistochemistry (Formalin/PFA-fixed paraffin-embedded sections) - Anti-STAT2 antibody [Y141] (AB32367)
  • IHC-P

Lab

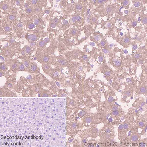
Immunohistochemistry (Formalin/PFA-fixed paraffin-embedded sections) - Anti-STAT2 antibody [Y141] (AB32367)

Immunohistochemistry (Formalin/PFA-fixed paraffin-embedded sections) analysis of rat liver tissue sections labeling STAT2 with purified ab32367 at 1/100 dilution (6.22 μg/mL). Heat mediated antigen retrieval was performed using Bond™ Epitope Retrieval Solution 2 (pH 9.0) . Rabbit specific IHC polymer detection kit HRP/DAB (ab209101) was used as the secondary antibody. Negative control : PBS instead of the primary antibody. Hematoxylin was used as a counterstain.

The immunostaining was performed on a Leica Biosystems BOND® RX instrument.

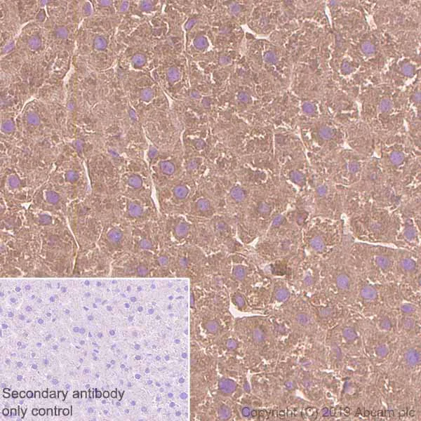
Immunohistochemistry (Formalin/PFA-fixed paraffin-embedded sections) - Anti-STAT2 antibody [Y141] (AB32367)
  • IHC-P

Lab

Immunohistochemistry (Formalin/PFA-fixed paraffin-embedded sections) - Anti-STAT2 antibody [Y141] (AB32367)

Immunohistochemistry (Formalin/PFA-fixed paraffin-embedded sections) analysis of mouse liver tissue sections labeling STAT2 with purified ab32367 at 1/100 dilution (6.22 μg/mL). Heat mediated antigen retrieval was performed using Bond™ Epitope Retrieval Solution 2 (pH 9.0) . Rabbit specific IHC polymer detection kit HRP/DAB (ab209101) was used as the secondary antibody. Negative control : PBS instead of the primary antibody. Hematoxylin was used as a counterstain.

The immunostaining was performed on a Leica Biosystems BOND® RX instrument.

Western blot - Anti-STAT2 antibody [Y141] (AB32367)
  • WB

Lab

Western blot - Anti-STAT2 antibody [Y141] (AB32367)

Lanes 1 - 4 : Merged signal (red and green). Green - ab32367 (unpurified) observed at 97 kDa. Red - loading control, ab9484, observed at 37 kDa.

ab32367 was shown to recognize STAT2 in wild-type HAP1 cells as signal was lost at the expected MW in STAT2 knockout cells. Additional cross-reactive bands were observed in the wild-type and knockout cells. Wild-type and STAT2 knockout samples were subjected to SDS-PAGE. ab32367 and ab9484 (Mouse anti-GAPDH loading control) were incubated overnight at 4°C at 1/5000 dilution and 1/20000 dilution respectively. Blots were developed with Goat anti-Rabbit IgG H&L (IRDye® 800CW) preabsorbed ab216773 and Goat anti-Mouse IgG H&L (IRDye® 680RD) preabsorbed ab216776 secondary antibodies at 1/20000 dilution for 1 hour at room temperature before imaging.

All lanes:

Western blot - Anti-STAT2 antibody [Y141] (ab32367)

Lane 1:

Wild-type HAP1 whole cell lysate at 20 µg

Lane 2:

STAT2 knockout HAP1 whole cell lysate at 20 µg

Lane 3:

K562 whole cell lysate at 20 µg

Lane 4:

THP1 whole cell lysate at 20 µg

Predicted band size: 97 kDa

false

Western blot - Anti-STAT2 antibody [Y141] (AB32367)
  • WB

Lab

Western blot - Anti-STAT2 antibody [Y141] (AB32367)

Blocking/Diluting Buffer and concentration : 5% NFDM/TBST

All lanes:

Western blot - Anti-STAT2 antibody [Y141] (ab32367) at 1/1000 dilution

Lane 1:

Ramos (Human Burkitt's lymphoma B lymphocyte) whole cell lysates at 20 µg

Lane 2:

HeLa (Human cervix adenocarcinoma epithelial cell) whole cell lysates at 20 µg

Lane 3:

Mouse brain lysates at 20 µg

Lane 4:

Rat brain lysates at 20 µg

Secondary

All lanes:

Western blot - Goat Anti-Rabbit IgG H&L (HRP) (<a href='/en-us/products/secondary-antibodies/goat-rabbit-igg-h-l-hrp-ab97051'>ab97051</a>) at 1/20000 dilution

Predicted band size: 97 kDa

Observed band size: 113 kDa,97 kDa

false

Western blot - Anti-STAT2 antibody [Y141] (AB32367)
  • WB

Lab

Western blot - Anti-STAT2 antibody [Y141] (AB32367)

Lanes 1 - 2 : Merged signal (red and green). Green - ab32367 observed at 97 kDa. Red - loading control ab8245 (Mouse anti-GAPDH antibody [6C5]) observed at 37kDa.

ab32367 was shown to react with STAT2 in A549 wild-type cells in western blot with loss of signal observed in STAT2 knockout cell line ab267004 (STAT2 knockout cell lysate ab257183). Wild-type and STAT2 knockout A549 cell lysates were subjected to SDS-PAGE. Membranes were blocked in 3% Milk before incubation with ab32367 and ab8245 (Mouse anti-GAPDH antibody [6C5]) overnight at 4 °C at a 1 in 5000 dilution and a 1 in 20000 dilution respectively. Blots were incubated with Goat anti-Rabbit IgG H&L (IRDye® 800CW) preabsorbed (ab216773) and Goat anti-Mouse IgG H&L (IRDye® 680RD) preabsorbed (ab216776) secondary antibodies at 1 in 20000 dilution for 1 h at room temperature before imaging.

All lanes:

Western blot - Anti-STAT2 antibody [Y141] (ab32367) at 1/5000 dilution

Lane 1:

Wild-type A549 cell lysate at 20 µg

Lane 2:

STAT2 knockout A549 cell lysate at 20 µg

Lane 2:

Western blot - Human STAT2 knockout A549 cell line (<a href='/en-us/products/cell-lines/human-stat2-knockout-a549-cell-line-ab267004'>ab267004</a>)

Predicted band size: 97 kDa

Observed band size: 97 kDa

false

Western blot - Anti-STAT2 antibody [Y141] (AB32367)
  • WB

Lab

Western blot - Anti-STAT2 antibody [Y141] (AB32367)

Lanes 1- 2 : Merged signal (red and green). Green - ab32367 observed at 97 kDa. Red - Anti-GAPDH antibody [6C5] - Loading Control (ab8245) observed at 37 kDa.

ab32367 was shown to react with STAT2 in wild-type A549 cells in western blot. Loss of signal was observed when knockout cell line ab267005 (knockout cell lysate ab257184) was used. Wild-type A549 and STAT2 knockout A549 cell lysates were subjected to SDS-PAGE. Membrane was blocked for 1 hour at room temperature in 0.1% TBST with 3% non-fat dried milk. ab32367 and Anti-GAPDH antibody [6C5] - Loading Control (ab8245) overnight at 4°C at a 1 in 5000 dilution and a 1 in 20000 dilution respectively. Blots were developed with Goat anti-Rabbit IgG H&L (IRDye®800CW) preadsorbed (ab216773) and Goat anti-Mouse IgG H&L (IRDye®680RD) preadsorbed (ab216776) secondary antibodies at 1 in 20000 dilution for 1 hour at room temperature before imaging.

All lanes:

Western blot - Anti-STAT2 antibody [Y141] (ab32367) at 1/5000 dilution

Lane 1:

Wild-type A549 cell lysate at 20 µg

Lane 2:

STAT2 knockout A549 cell lysate at 20 µg

Lane 2:

Western blot - Human STAT2 knockout A549 cell line (<a href='/en-us/products/cell-lines/human-stat2-knockout-a549-cell-line-ab267005'>ab267005</a>)

Predicted band size: 97 kDa

Observed band size: 97 kDa

false

Western blot - Anti-STAT2 antibody [Y141] (AB32367)
  • WB

Lab

Western blot - Anti-STAT2 antibody [Y141] (AB32367)

Lanes 1- 2 : Merged signal (red and green). Green - ab32367 observed at 97 kDa. Red - Anti-GAPDH antibody [6C5] - Loading Control (ab8245) observed at 37 kDa.

ab32367 was shown to react with STAT2 in wild-type A549 cells in western blot. Loss of signal was observed when knockout sample ab257185 was used. Wild-type A549 and STAT2 knockout A549 cell lysates were subjected to SDS-PAGE. ab32367 and Anti-GAPDH antibody [6C5] - Loading Control (ab8245) overnight at 4°C at a 1 in 5000 dilution and a 1 in 20000 dilution respectively. Blots were developed with Goat anti-Rabbit IgG H&L (IRDye®800CW) preadsorbed (ab216773) and Goat anti-Mouse IgG H&L (IRDye®680RD) preadsorbed (ab216776) secondary antibodies at 1 in 20000 dilution for 1 hour at room temperature before imaging.

All lanes:

Western blot - Anti-STAT2 antibody [Y141] (ab32367) at 1/5000 dilution

Lane 1:

Wild-type A549 cell lysate at 20 µg

Lane 2:

STAT2 knockout A549 cell lysate at 20 µg

Lane 2:

Western blot - Human STAT2 knockout A549 cell line (<a href='/en-us/products/cell-lines/human-stat2-knockout-a549-cell-line-ab267006'>ab267006</a>)

Predicted band size: 97 kDa

Observed band size: 97 kDa

false

Western blot - Anti-STAT2 antibody [Y141] (AB32367)
  • WB

Lab

Western blot - Anti-STAT2 antibody [Y141] (AB32367)

Lanes 1- 2 : Merged signal (red and green). Green - ab32367 observed at 97 kDa. Red - Anti-GAPDH antibody [6C5] - Loading Control (ab8245) observed at 37 kDa.

ab32367 was shown to react with STAT2 in wild-type HeLa cells in western blot. Loss of signal was observed when knockout cell line ab261819 (knockout cell lysate ab257182) was used. Wild-type HeLa and STAT2 knockout HeLa cell lysates were subjected to SDS-PAGE. Membrane was blocked for 1 hour at room temperature in 0.1% TBST with 3% non-fat dried milk. ab32367 and Anti-GAPDH antibody [6C5] - Loading Control (ab8245) overnight at 4°C at a 1 in 5000 dilution and a 1 in 20000 dilution respectively. Blots were developed with Goat anti-Rabbit IgG H&L (IRDye®800CW) preadsorbed (ab216773) and Goat anti-Mouse IgG H&L (IRDye®680RD) preadsorbed (ab216776) secondary antibodies at 1 in 20000 dilution for 1 hour at room temperature before imaging.

All lanes:

Western blot - Anti-STAT2 antibody [Y141] (ab32367) at 1/5000 dilution

Lane 1:

Wild-type HeLa cell lysate at 20 µg

Lane 2:

STAT2 knockout HeLa cell lysate at 20 µg

Lane 2:

Western blot - Human STAT2 knockout HeLa cell line (<a href='/en-us/products/cell-lines/human-stat2-knockout-hela-cell-line-ab261819'>ab261819</a>)

Predicted band size: 97 kDa

Observed band size: 97 kDa

false

Key facts

Host species

Rabbit

Clonality

Monoclonal

Clone number

Y141

Isotype

IgG

Carrier free

No

Reacts with

Mouse, Human, Rat

Applications

IHC-P, ICC/IF, WB, Flow Cyt (Intra)

applications

Immunogen

The exact immunogen used to generate this antibody is proprietary information.

Specificity

This antibody detects both long and short forms of STAT2.

Reactivity data

{ "title": "Reactivity Data", "filters": { "stats": ["", "Species", "Dilution Info", "Notes"], "tabs": { "all-applications": {"fullname" : "All Applications", "shortname": "All Applications"}, "IHCP" : {"fullname" : "Immunohistochemistry (Formalin/PFA-fixed paraffin-embedded sections)", "shortname":"IHC-P"}, "WB" : {"fullname" : "Western blot", "shortname":"WB"}, "ICCIF" : {"fullname" : "Immunocytochemistry/ Immunofluorescence", "shortname":"ICC/IF"}, "FlowCytIntra" : {"fullname" : "Flow Cytometry (Intracellular)", "shortname":"Flow Cyt (Intra)"} }, "product-promise": { "all": "all", "testedAndGuaranteed": "tested", "guaranteed": "expected", "predicted": "predicted", "notRecommended": "not-recommended" } }, "values": { "Human": { "IHCP-species-checked": "testedAndGuaranteed", "IHCP-species-dilution-info": "1/100 - 1/250", "IHCP-species-notes": "<p>The immunostaining was performed on a Leica Biosystems BOND® RX instrument.</p>", "WB-species-checked": "testedAndGuaranteed", "WB-species-dilution-info": "1/5000 - 1/10000", "WB-species-notes": "<p></p>", "ICCIF-species-checked": "testedAndGuaranteed", "ICCIF-species-dilution-info": "1/50", "ICCIF-species-notes": "<p></p>", "FlowCytIntra-species-checked": "testedAndGuaranteed", "FlowCytIntra-species-dilution-info": "1/60", "FlowCytIntra-species-notes": "<p></p>" }, "Mouse": { "IHCP-species-checked": "testedAndGuaranteed", "IHCP-species-dilution-info": "1/100 - 1/250", "IHCP-species-notes": "<p>The immunostaining was performed on a Leica Biosystems BOND® RX instrument.</p>", "WB-species-checked": "testedAndGuaranteed", "WB-species-dilution-info": "1/5000 - 1/10000", "WB-species-notes": "<p></p>", "ICCIF-species-checked": "guaranteed", "ICCIF-species-dilution-info": "", "ICCIF-species-notes": "", "FlowCytIntra-species-checked": "guaranteed", "FlowCytIntra-species-dilution-info": "", "FlowCytIntra-species-notes": "" }, "Rat": { "IHCP-species-checked": "testedAndGuaranteed", "IHCP-species-dilution-info": "1/100 - 1/250", "IHCP-species-notes": "<p>The immunostaining was performed on a Leica Biosystems BOND® RX instrument.</p>", "WB-species-checked": "testedAndGuaranteed", "WB-species-dilution-info": "1/5000 - 1/10000", "WB-species-notes": "<p></p>", "ICCIF-species-checked": "guaranteed", "ICCIF-species-dilution-info": "", "ICCIF-species-notes": "", "FlowCytIntra-species-checked": "guaranteed", "FlowCytIntra-species-dilution-info": "", "FlowCytIntra-species-notes": "" } } }

Product details

Patented technology
Our RabMAb® technology is a patented hybridoma-based technology for making rabbit monoclonal antibodies. For details on our patents, please refer to RabMAb® patents.

What are the advantages of a recombinant monoclonal antibody?
This product is a recombinant monoclonal antibody, which offers several advantages including:

  • - High batch-to-batch consistency and reproducibility
  • - Improved sensitivity and specificity
  • - Long-term security of supply
  • - Animal-free batch production

For more information, read more on recombinant antibodies.

Properties and storage information

Form
Liquid
Purification technique
Affinity purification Protein A
Storage buffer
pH: 7.2 - 7.4 Preservative: 0.01% Sodium azide Constituents: PBS, 40% Glycerol (glycerin, glycerine), 0.05% BSA
Shipped at conditions
Blue Ice
Appropriate short-term storage duration
1-2 weeks
Appropriate short-term storage conditions
+4°C
Appropriate long-term storage conditions
-20°C
Aliquoting information
Upon delivery aliquot
Storage information
Avoid freeze / thaw cycle

Supplementary information

This supplementary information is collated from multiple sources and compiled automatically.

The Signal Transducer and Activator of Transcription 2 commonly known as STAT2 is a protein with a molecular mass of approximately 97 kDa. It functions mainly as a transcription factor and is an essential mediator of the interferon (IFN) signaling pathway. STAT2 is expressed in various tissues including immune cells where it responds to external stimuli. It works by translocating to the nucleus upon phosphorylation subsequently influencing the expression of genes involved in immune response.
Biological function summary

Members of the STAT protein family including STAT2 play a central role in mediating immune responses. STAT2 often forms a complex with STAT1 and other proteins such as IRF9 to initiate the transcription of interferon-stimulated genes (ISGs). This complex known as the ISGF3 complex facilitates the cellular response to viral infections by promoting the expression of antiviral proteins that help modify the host cellular environment to resist viral replication.

Pathways

The involvement of STAT2 is closely associated with the JAK-STAT signaling pathway and the interferon signaling pathway. In these pathways it interacts with proteins like JAK1 TYK2 and STAT1 playing a part in transmitting signals from the cell surface to the nucleus. Such pathways are fundamental to regulating the body's immune response to pathogens and managing cell growth and apoptosis in various cells.

STAT2 alterations have been linked to autoimmune diseases and viral infections. Disruptions in STAT2 function can impair the body's ability to combat viruses effectively making individuals more susceptible to infections. STAT2 mutations or dysregulations might also connect to disorders like Systemic Lupus Erythematosus where immune system malfunctions occur. The interactions of STAT2 with other proteins like STAT1 and IRF9 in disease contexts underline its importance in maintaining immune system balance.

Product protocols

For this product, it's our understanding that no specific protocols are required. You can visit:

Target data

Signal transducer and activator of transcription that mediates signaling by type I interferons (IFN-alpha and IFN-beta). Following type I IFN binding to cell surface receptors, Jak kinases (TYK2 and JAK1) are activated, leading to tyrosine phosphorylation of STAT1 and STAT2. The phosphorylated STATs dimerize, associate with IRF9/ISGF3G to form a complex termed ISGF3 transcription factor, that enters the nucleus. ISGF3 binds to the IFN stimulated response element (ISRE) to activate the transcription of interferon stimulated genes, which drive the cell in an antiviral state (PubMed : 23391734, PubMed : 9020188). In addition, has also a negative feedback regulatory role in the type I interferon signaling by recruiting USP18 to the type I IFN receptor subunit IFNAR2 thereby mitigating the response to type I IFNs (PubMed : 28165510). Acts as a regulator of mitochondrial fission by modulating the phosphorylation of DNM1L at 'Ser-616' and 'Ser-637' which activate and inactivate the GTPase activity of DNM1L respectively (PubMed : 23391734, PubMed : 26122121, PubMed : 9020188).
See full target information STAT2

Publications (19)

Recent publications for all applications. Explore the full list and refine your search

International journal of molecular sciences 26: PubMed40565000

2025

SARS-CoV-2 ORF7a Protein Impedes Type I Interferon-Activated JAK/STAT Signaling by Interacting with HNRNPA2B1.

Applications

Unspecified application

Species

Unspecified reactive species

Yujie Wen,Chaochao Li,Tian Tang,Chao Luo,Shan Lu,Na Lyu,Yongxi Li,Rong Wang

Molecular neurodegeneration 20:73 PubMed40542358

2025

Mutations in PSEN1 predispose inflammation in an astrocyte model of familial Alzheimer's disease through disrupted regulated intramembrane proteolysis.

Applications

Unspecified application

Species

Unspecified reactive species

Oliver J Ziff,Gustavo Morrone Parfitt,Sarah Jolly,Jackie M Casey,Lucy Granat,Satinder Samra,Núria Setó-Salvia,Argyro Alatza,Leela Phadke,Benjamin Galet,Philippe Ravassard,Marie-Claude Potier,John Hardy,Dervis A Salih,Paul Whiting,Fiona Ducotterd,Rickie Patani,Selina Wray,Charles Arber

Frontiers in pharmacology 15:1443472 PubMed39555089

2024

Protective effect of baicalin on oxidative stress injury in retinal ganglion cells through the JAK/STAT signaling pathway and .

Applications

Unspecified application

Species

Unspecified reactive species

Huan Yu,Dan Zhou,Wei Wang,Qingxia Wang,Min Li,Xiaoyun Ma

Bioactive materials 43:255-272 PubMed39386219

2024

Self-assembled PROTACs enable protein degradation to reprogram the tumor microenvironment for synergistically enhanced colorectal cancer immunotherapy.

Applications

Unspecified application

Species

Unspecified reactive species

Xinchen Lu,Jinmei Jin,Ye Wu,Jiayi Lin,Xiaokun Zhang,Shengxin Lu,Jiyuan Zhang,Chunling Zhang,Maomao Ren,Hongzhuan Chen,Weidong Zhang,Xin Luan

Iranian journal of basic medical sciences 27:685-694 PubMed38645489

2024

Quercetin of huoxuehuayu tongluo decoction and azithromycin combination therapy effectively improves rat tubal factor infertility by inhibiting inflammation.

Applications

Unspecified application

Species

Unspecified reactive species

Liang Shao,Nansu Wang,Yan Yan,Yali Tan,Qin Wu,Lei Lei,Mingming Wang,Ling Liu

Communications biology 7:63 PubMed38191598

2024

Single-cell transcriptomic analyses of tumor microenvironment and molecular reprograming landscape of metastatic laryngeal squamous cell carcinoma.

Applications

Unspecified application

Species

Unspecified reactive species

Yuanyuan Sun,Sheng Chen,Yongping Lu,Zhenming Xu,Weineng Fu,Wei Yan

American journal of cancer research 13:5218-5235 PubMed38058799

2023

TP53TG1/STAT axis is involved in the development of colon cancer through affecting PD-L1 expression and immune escape mechanism of tumor cells.

Applications

Unspecified application

Species

Unspecified reactive species

Wenmin Ji,Wenyan Wang,Yanfang Wei

Journal of virology 97:e0102823 PubMed37772822

2023

EGR1 functions as a new host restriction factor for SARS-CoV-2 to inhibit virus replication through the E3 ubiquitin ligase MARCH8.

Applications

Unspecified application

Species

Unspecified reactive species

Yinghua Zhao,Liyan Sui,Ping Wu,Letian Li,Li Liu,Baohua Ma,Wenfang Wang,Hongmiao Chi,Ze-Dong Wang,Zhengkai Wei,Zhijun Hou,Kaiyu Zhang,Junqi Niu,Ningyi Jin,Chang Li,Jixue Zhao,Guoqing Wang,Quan Liu

Nature 617:386-394 PubMed37100912

2023

A druggable copper-signalling pathway that drives inflammation.

Applications

Unspecified application

Species

Unspecified reactive species

Stéphanie Solier,Sebastian Müller,Tatiana Cañeque,Antoine Versini,Arnaud Mansart,Fabien Sindikubwabo,Leeroy Baron,Laila Emam,Pierre Gestraud,G Dan Pantoș,Vincent Gandon,Christine Gaillet,Ting-Di Wu,Florent Dingli,Damarys Loew,Sylvain Baulande,Sylvère Durand,Valentin Sencio,Cyril Robil,François Trottein,David Péricat,Emmanuelle Näser,Céline Cougoule,Etienne Meunier,Anne-Laure Bègue,Hélène Salmon,Nicolas Manel,Alain Puisieux,Sarah Watson,Mark A Dawson,Nicolas Servant,Guido Kroemer,Djillali Annane,Raphaël Rodriguez

Frontiers in immunology 14:1133160 PubMed37033924

2023

Identification of cancer-associated fibroblasts subtypes in prostate cancer.

Applications

Unspecified application

Species

Unspecified reactive species

Jiahua Pan,Zehua Ma,Bo Liu,Hongyang Qian,Xiaoguang Shao,Jiazhou Liu,Qi Wang,Wei Xue
View all publications

Product promise

We are committed to supporting your work with high-quality reagents, and we're here for you every step of the way. In the unlikely event that one of our products does not perform as expected, you're protected by our Product Promise.
For full details, please see our Terms & Conditions

Please note: All products are 'FOR RESEARCH USE ONLY. NOT FOR USE IN DIAGNOSTIC OR THERAPEUTIC PROCEDURES'.

For licensing inquiries, please contact partnerships@abcam.com