JavaScript is disabled in your browser. Please enable JavaScript to view this website.
AB119352

Anti-STAT3 antibody [9D8]

4

(11 Reviews)

|

(244 Publications)

Anti-STAT3 antibody [9D8] (ab119352) is a mouse monoclonal antibody detecting STAT3 in Western Blot, Flow Cytometry, IP, IHC-P, ICC/IF. Suitable for African green monkey, Human, Mouse, Rat.

- Over 200 publications

View Alternative Names

APRF, STAT3, Signal transducer and activator of transcription 3, Acute-phase response factor

11 Images
Western blot - Anti-STAT3 antibody [9D8] (AB119352)
  • WB

Unknown

Western blot - Anti-STAT3 antibody [9D8] (AB119352)

4-20% Tris-HCl polyacrylamide gel

All lanes:

Western blot - Anti-STAT3 antibody [9D8] (ab119352) at 1/1000 dilution

Lane 1:

U2OS lysate from non-targeting control at 25 µg

Lane 2:

U2OS lysate from STAT3 SMART pool siRNA transfected at 25 µg

Secondary

All lanes:

goat anti-mouse-HRP at 1/20000 dilution

Predicted band size: 88 kDa

true

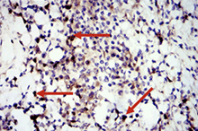
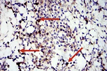
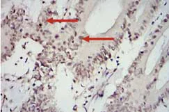
Immunohistochemistry (Formalin/PFA-fixed paraffin-embedded sections) - Anti-STAT3 antibody [9D8] (AB119352)
  • IHC-P

Unknown

Immunohistochemistry (Formalin/PFA-fixed paraffin-embedded sections) - Anti-STAT3 antibody [9D8] (AB119352)

ab119352, at 1/1600 dilution, staining STAT3 in Human brain tumor tissue by Immunohistochemistry. Detection was performed using a goat anti-mouse HRP secondary antibody followed by colorimetric detection using DAB substrate. Tissues were counterstained with hematoxylin.

Immunohistochemistry (Formalin/PFA-fixed paraffin-embedded sections) - Anti-STAT3 antibody [9D8] (AB119352)
  • IHC-P

Unknown

Immunohistochemistry (Formalin/PFA-fixed paraffin-embedded sections) - Anti-STAT3 antibody [9D8] (AB119352)

ab119352, at 1/1600 dilution, staining STAT3 in Human stomach cancer tissue by Immunohistochemistry. Detection was performed using a goat anti-mouse HRP secondary antibody followed by colorimetric detection using DAB substrate. Tissues were counterstained with hematoxylin.

Immunocytochemistry/ Immunofluorescence - Anti-STAT3 antibody [9D8] (AB119352)
  • ICC/IF

Unknown

Immunocytochemistry/ Immunofluorescence - Anti-STAT3 antibody [9D8] (AB119352)

Immunofluorescent analysis of STAT3 using ab119352 at 1/100 dilution (shown in green) in HeLa cells (formalin fixed cells permeabilized with 0.1% Triton X-100) using a DyLight® 488 goat-anti-mouse secondary antibody (ab96879) at 1/400 dilution. Nuclei (blue) were stained with Hoechst 33342 dye.

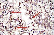
Immunohistochemistry (Formalin/PFA-fixed paraffin-embedded sections) - Anti-STAT3 antibody [9D8] (AB119352)
  • IHC-P

Unknown

Immunohistochemistry (Formalin/PFA-fixed paraffin-embedded sections) - Anti-STAT3 antibody [9D8] (AB119352)

ab119352, at 1/1600 dilution, staining STAT3 in Human pancreas tissue by Immunohistochemistry. Detection was performed using a goat anti-mouse HRP secondary antibody followed by colorimetric detection using DAB substrate. Tissues were counterstained with hematoxylin.

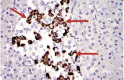
Immunohistochemistry (Formalin/PFA-fixed paraffin-embedded sections) - Anti-STAT3 antibody [9D8] (AB119352)
  • IHC-P

Unknown

Immunohistochemistry (Formalin/PFA-fixed paraffin-embedded sections) - Anti-STAT3 antibody [9D8] (AB119352)

ab119352, at 1/1600 dilution, staining STAT3 in Human colon cancer tissue by Immunohistochemistry. Detection was performed using a goat anti-mouse HRP secondary antibody followed by colorimetric detection using DAB substrate. Tissues were counterstained with hematoxylin.

Flow Cytometry - Anti-STAT3 antibody [9D8] (AB119352)
  • Flow Cyt

Lab

Flow Cytometry - Anti-STAT3 antibody [9D8] (AB119352)

Overlay histogram showing HeLa cells stained with ab119352 (red line). The cells were fixed with 80% methanol (5 min) and then permeabilized with 0.1% PBS-Tween 20 for 20 min. The cells were then incubated in 1x PBS / 10% normal goat serum / 0.3M glycine to block non-specific protein-protein interactions followed by the antibody (ab119352, 0.1μg/1x106 cells) for 30 min at 22°C. The secondary antibody used was Alexa Fluor® 488 goat anti-mouse IgG (H&L) (ab150113) at 1/2000 dilution for 30 min at 22°C. Isotype control antibody (black line) was mouse IgG (ab37355, 0.1μg/1x106 cells) used under the same conditions. Unlabelled sample (blue line) was also used as a control.

Acquisition of >5,000 events were collected using a 20mW Argon ion laser (488nm) and 525/30 bandpass filter.

Immunoprecipitation - Anti-STAT3 antibody [9D8] (AB119352)
  • IP

Unknown

Immunoprecipitation - Anti-STAT3 antibody [9D8] (AB119352)

Immunoprecipitation of STAT3 was performed on HepG2 cells. The antigen : antibody complex was formed by incubating 750µg whole cell lysate with 2µg of ab119352 overnight at 4°C. The immune-complex was captured, washed extensively and proteins eluted with 5X Reducing Sample Loading Dye. Samples were resolved on a 4-20% Tris-HCl polyacrylamide gel. Proteins were transferred to PVDF membrane and blocked with 5% Milk/TBS-0.1% Tween for at least 1 hour. Membranes were then probed with ab119352 at a dilution of 1/5000 overnight at 4°C. Membranes were washed in TBST and probed with IP detection reagent at a dilution of 1/2000 for at least one hour. Membranes were washed and chemiluminescent detection was performed.

All lanes:

Immunoprecipitation - Anti-STAT3 antibody [9D8] (ab119352)

Predicted band size: 88 kDa

false

Western blot - Anti-STAT3 antibody [9D8] (AB119352)
  • WB

Unknown

Western blot - Anti-STAT3 antibody [9D8] (AB119352)

4-20% Tris-HCl polyacrylamide gel

All lanes:

Western blot - Anti-STAT3 antibody [9D8] (ab119352) at 1/5000 dilution

Lane 1:

HepG2 cell lysate at 25 µg

Lane 2:

293T cell lysate at 25 µg

Lane 3:

Jurkat cell lysate at 25 µg

Lane 4:

A431 cell lysate at 25 µg

Lane 5:

U2OS cell lysate at 25 µg

Lane 6:

MCF7 cell lysate at 25 µg

Lane 7:

A549 cell lysate at 25 µg

Lane 8:

K562 cell lysate at 25 µg

Lane 9:

COS7 cell lysate at 25 µg

Lane 10:

NIH3T3 cell lysate at 25 µg

Lane 11:

C2C12 cell lysate at 25 µg

Lane 12:

NRK cell lysate at 25 µg

Secondary

All lanes:

goat anti-mouse-HRP at 1/20000 dilution

Predicted band size: 88 kDa

true

Western blot - Anti-STAT3 antibody [9D8] (AB119352)
  • WB

Unknown

Western blot - Anti-STAT3 antibody [9D8] (AB119352)

4-20% Tris-HCl polyacrylamide gel

All lanes:

Western blot - Anti-STAT3 antibody [9D8] (ab119352) at 1/1000 dilution

All lanes:

HepG2 total lysate at 25 µg

Secondary

All lanes:

goat anti-mouse-HRP at 1/20000 dilution

Predicted band size: 88 kDa

true

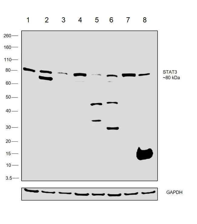
Western blot - Anti-STAT3 antibody [9D8] (AB119352)
  • WB

Supplier Data

Western blot - Anti-STAT3 antibody [9D8] (AB119352)

All lanes:

Western blot - Anti-STAT3 antibody [9D8] (ab119352) at 1/5000 dilution

Lane 1:

Jurkat (Human T cell leukemia cell line from peripheral blood) whole cell lysate at 30 µg

Lane 2:

A-431 (Human epidermoid carcinoma cell line) whole cell lysate at 30 µg

Lane 3:

Hep G2 (Human liver hepatocellular carcinoma cell line) whole cell lysate at 30 µg

Lane 4:

HeLa (Human cervix adenocarcinoma epithelial cell) whole cell lysate at 30 µg

Lane 5:

PC-12 (Rat adrenal gland pheochromocytoma cell line) whole cell lysate at 30 µg

Lane 6:

NIH/3T3 (Mouse embryonic fibroblast cell line) whole cell lysate at 30 µg

Lane 7:

A549 (Human lung carcinoma cell line) whole cell lysate at 30 µg

Lane 8:

Mouse lung tissue lysate at 30 µg

Predicted band size: 88 kDa

Observed band size: 80 kDa

false

Key facts

Host species

Mouse

Clonality

Monoclonal

Clone number

9D8

Isotype

IgG

Carrier free

No

Reacts with

Mouse, Rat, Human, African green monkey

Applications

Flow Cyt, IHC-P, ICC/IF, IP, WB

applications

Immunogen

Recombinant Fragment Protein within Human STAT3 aa 650 to C-terminus. The exact immunogen used to generate this antibody is proprietary information.

P40763

Specificity

Detects STAT3 from Human, murine, monkey and rat samples.

Reactivity data

{ "title": "Reactivity Data", "filters": { "stats": ["", "Species", "Dilution Info", "Notes"], "tabs": { "all-applications": {"fullname" : "All Applications", "shortname": "All Applications"}, "IHCP" : {"fullname" : "Immunohistochemistry (Formalin/PFA-fixed paraffin-embedded sections)", "shortname":"IHC-P"}, "ICCIF" : {"fullname" : "Immunocytochemistry/ Immunofluorescence", "shortname":"ICC/IF"}, "IP" : {"fullname" : "Immunoprecipitation", "shortname":"IP"}, "FlowCyt" : {"fullname" : "Flow Cytometry", "shortname":"Flow Cyt"}, "WB" : {"fullname" : "Western blot", "shortname":"WB"} }, "product-promise": { "all": "all", "testedAndGuaranteed": "tested", "guaranteed": "expected", "predicted": "predicted", "notRecommended": "not-recommended" } }, "values": { "Human": { "IHCP-species-checked": "testedAndGuaranteed", "IHCP-species-dilution-info": "1/1600", "IHCP-species-notes": "<p></p>", "ICCIF-species-checked": "testedAndGuaranteed", "ICCIF-species-dilution-info": "1/100", "ICCIF-species-notes": "<p></p>", "IP-species-checked": "testedAndGuaranteed", "IP-species-dilution-info": "2 µg/mg of lysate", "IP-species-notes": "<p></p>", "FlowCyt-species-checked": "testedAndGuaranteed", "FlowCyt-species-dilution-info": "0.1 µg for 10^6 Cells", "FlowCyt-species-notes": "<p></p>", "WB-species-checked": "testedAndGuaranteed", "WB-species-dilution-info": "1/5000", "WB-species-notes": "<p></p>" }, "Mouse": { "IHCP-species-checked": "guaranteed", "IHCP-species-dilution-info": "", "IHCP-species-notes": "", "ICCIF-species-checked": "guaranteed", "ICCIF-species-dilution-info": "", "ICCIF-species-notes": "", "IP-species-checked": "guaranteed", "IP-species-dilution-info": "", "IP-species-notes": "", "FlowCyt-species-checked": "guaranteed", "FlowCyt-species-dilution-info": "", "FlowCyt-species-notes": "", "WB-species-checked": "testedAndGuaranteed", "WB-species-dilution-info": "1/5000", "WB-species-notes": "<p></p>" }, "Rat": { "IHCP-species-checked": "guaranteed", "IHCP-species-dilution-info": "", "IHCP-species-notes": "", "ICCIF-species-checked": "guaranteed", "ICCIF-species-dilution-info": "", "ICCIF-species-notes": "", "IP-species-checked": "guaranteed", "IP-species-dilution-info": "", "IP-species-notes": "", "FlowCyt-species-checked": "guaranteed", "FlowCyt-species-dilution-info": "", "FlowCyt-species-notes": "", "WB-species-checked": "testedAndGuaranteed", "WB-species-dilution-info": "1/5000", "WB-species-notes": "<p></p>" }, "African green monkey": { "IHCP-species-checked": "guaranteed", "IHCP-species-dilution-info": "", "IHCP-species-notes": "<p></p>", "ICCIF-species-checked": "guaranteed", "ICCIF-species-dilution-info": "", "ICCIF-species-notes": "<p></p>", "IP-species-checked": "guaranteed", "IP-species-dilution-info": "", "IP-species-notes": "", "FlowCyt-species-checked": "guaranteed", "FlowCyt-species-dilution-info": "", "FlowCyt-species-notes": "", "WB-species-checked": "testedAndGuaranteed", "WB-species-dilution-info": "1/5000", "WB-species-notes": "<p></p>" }, "Transfected cell line": { "IHCP-species-checked": "notRecommended", "IHCP-species-dilution-info": "", "IHCP-species-notes": "", "ICCIF-species-checked": "notRecommended", "ICCIF-species-dilution-info": "", "ICCIF-species-notes": "", "IP-species-checked": "notRecommended", "IP-species-dilution-info": "", "IP-species-notes": "", "FlowCyt-species-checked": "notRecommended", "FlowCyt-species-dilution-info": "", "FlowCyt-species-notes": "", "WB-species-checked": "testedAndGuaranteed", "WB-species-dilution-info": "1/5000", "WB-species-notes": "<p></p>" } } }

Product details

What is this antibody validated in?
Anti-STAT3 antibody [9D8] (ab119352) is a mouse monoclonal antibody and is validated for use in Western Blot (WB), Flow Cytometry (Flow Cyt), Immunoprecipitation (IP), Immunohistochemistry (IHC-P), Immunocytochemistry/immunofluorescence (ICC/IF) in African green monkey, Human, Mouse, Rat samples.

What is the molecular weight of STAT3?
Anti-STAT3 [9D8] (ab119352) specifically detects a band for STAT3 (UniProt: P40763) at a molecular weight of 88kDa.

Trusted by the scientific community
Anti-STAT3 [9D8] (ab119352) was first used in a scientific publication in 2011 and has been cited over 200 times in peer-reviewed journals.

Reviewed by scientists
Anti-STAT3 [9D8] (ab119352) has over 10 independent reviews from customers.

Properties and storage information

Form
Liquid
Purification technique
Affinity purification Protein A
Storage buffer
Preservative: 0.05% Sodium azide Constituents: PBS, 0.1% BSA
Shipped at conditions
Blue Ice
Appropriate short-term storage duration
1-2 weeks
Appropriate short-term storage conditions
+4°C
Appropriate long-term storage conditions
-20°C
Aliquoting information
Upon delivery aliquot
Storage information
Avoid freeze / thaw cycle

Supplementary information

This supplementary information is collated from multiple sources and compiled automatically.

Signal Transducer and Activator of Transcription 3 (STAT3) also called p-stat3 or phospho-STAT3 is a critical transcription factor involved in various cellular processes. The molecular weight of STAT3 is approximately 92 kDa. This protein is expressed broadly across many tissues and cell types. Mechanically upon cytokine or growth factor stimulation STAT3 undergoes phosphorylation resulting in dimerization. This phosphorylated form often referred to as phospho-Stat3 or p-STAT3 translocates to the nucleus where it binds specific DNA sequences to modulate gene transcription.
Biological function summary

STAT3 is an important player in regulating cell growth and apoptosis. It functions not only as a transcription factor but also as part of a larger protein complex that operates within the cell nucleus to influence gene expression. This multifaceted role enables STAT3 to control the expression of genes related to cell proliferation survival and differentiation impacting various biological processes. These functions highlight its importance in tissue homeostasis and response to extracellular signals.

Pathways

STAT3 is actively involved in the JAK-STAT signaling pathway a principal route for many cytokines and growth factors and the MAPK pathway. STAT3 interacts with proteins such as JAK kinases which phosphorylate Stat3 and initiate the STAT3 signaling cascade. Additionally it closely associates with the protein Raf1 in the MAPK pathway linking external signals to transcriptional responses. These pathways play a significant role in immune response inflammation and growth signaling.

Researchers have implicated STAT3 in cancer and autoimmune diseases. Persistent activation of STAT3 is often observed in various cancers including breast and lung cancer promoting oncogenesis through altered gene expression. Additionally abnormal STAT3 signaling is associated with autoimmune conditions such as rheumatoid arthritis. The interplay between STAT3 and proteins like IL-6 in these diseases highlights its potential as a therapeutic target for intervention.

Product protocols

For this product, it's our understanding that no specific protocols are required. You can visit:

Target data

Signal transducer and transcription activator that mediates cellular responses to interleukins, KITLG/SCF, LEP and other growth factors (PubMed : 10688651, PubMed : 12359225, PubMed : 12873986, PubMed : 15194700, PubMed : 15653507, PubMed : 16285960, PubMed : 17344214, PubMed : 18242580, PubMed : 18782771, PubMed : 22306293, PubMed : 23084476, PubMed : 28262505, PubMed : 32929201, PubMed : 38404237). Once activated, recruits coactivators, such as NCOA1 or MED1, to the promoter region of the target gene (PubMed : 15653507, PubMed : 16285960, PubMed : 17344214, PubMed : 18782771, PubMed : 28262505, PubMed : 32929201). May mediate cellular responses to activated FGFR1, FGFR2, FGFR3 and FGFR4 (PubMed : 12873986). Upon activation of IL6ST/gp130 signaling by interleukin-6 (IL6), binds to the IL6-responsive elements identified in the promoters of various acute-phase protein genes (PubMed : 12359225). Activated by IL31 through IL31RA (PubMed : 15194700). Acts as a regulator of inflammatory response by regulating differentiation of naive CD4(+) T-cells into T-helper Th17 or regulatory T-cells (Treg) : acetylation promotes its transcription activity and cell differentiation while deacetylation and oxidation of lysine residues by LOXL3 inhibits differentiation (PubMed : 28065600, PubMed : 28262505). Involved in cell cycle regulation by inducing the expression of key genes for the progression from G1 to S phase, such as CCND1 (PubMed : 17344214). Mediates the effects of LEP on melanocortin production, body energy homeostasis and lactation (By similarity). May play an apoptotic role by transctivating BIRC5 expression under LEP activation (PubMed : 18242580). Cytoplasmic STAT3 represses macroautophagy by inhibiting EIF2AK2/PKR activity (PubMed : 23084476). Plays a crucial role in basal beta cell functions, such as regulation of insulin secretion (By similarity). Following JAK/STAT signaling activation and as part of a complex with NFATC3 and NFATC4, binds to the alpha-beta E4 promoter region of CRYAB and activates transcription in cardiomyocytes (By similarity).
See full target information STAT3

Publications (244)

Recent publications for all applications. Explore the full list and refine your search

Frontiers in medicine 12:1663279 PubMed40995100

2025

Human epidermis models demonstrate mediator role of TLR2 and TLR3 for psoriatic inflammation.

Applications

Unspecified application

Species

Unspecified reactive species

Hanna Glasebach,Lukas Denzinger,Steffen Rupp,Anke Burger-Kentischer

Cellular & molecular biology letters 30:104 PubMed40883663

2025

Radiation-sensitive circRNA promotes intestinal regeneration.

Applications

Unspecified application

Species

Unspecified reactive species

Hui Cai,Xin Liang,Shazhen Ai,Hao Sun,Xinyu Zhang,Qianying Lu,Qingshan Yang,Ying Li,Di Zhao,Manman Zhang,Kaihua Ji,Yan Wang,Qiang Liu

Frontiers in medicine 12:1539484 PubMed40678130

2025

A standardizable human-based psoriasis skin model for drug development.

Applications

Unspecified application

Species

Unspecified reactive species

Hanna Glasebach,Steffen Rupp,Anke Burger-Kentischer

Clinical & translational immunology 14:e70048 PubMed40672112

2025

SIRT7 ameliorates Th17/Treg imbalance by desuccinylation of STAT3 to improve immune thrombocytopenia.

Applications

Unspecified application

Species

Unspecified reactive species

Jiao Ge,Xiaoyan Zhang,Fajuan Tang,Yan Liu

Journal of traditional Chinese medicine = Chung i tsa chih ying wen pan 45:610-617 PubMed40524299

2025

Systematic acupuncture explains acupuncture at Baihui (GV20) and Fengchi (GB20) targeting the inflammatory response to regulate migraine.

Applications

Unspecified application

Species

Unspecified reactive species

Min Yu,Zheng Meifeng,Sun Ju,Peng Zetong,Cao Zhixian,Huang Xiaohua

Molecular medicine (Cambridge, Mass.) 31:197 PubMed40389855

2025

Cytoplasmic HMGB1 promotes the activation of JAK2-STAT3 signaling and PD-L1 expression in breast cancer.

Applications

Unspecified application

Species

Unspecified reactive species

Ju-Young Han,Woo Joong Rhee,Jeon-Soo Shin

Oncogenesis 14:15 PubMed40346039

2025

PLEKHA4 is transcriptionally regulated by HOXD9 and regulates glycolytic reprogramming and progression in glioblastoma via activation of the STAT3/SOCS-1 pathway.

Applications

Unspecified application

Species

Unspecified reactive species

Dainan Zhang,Xiaoyin Wang,Meng Xiao,Shunchang Ma,Shaomin Li,Wang Jia

Oncology letters 29:236 PubMed40151421

2025

Effects of SB939 are mediated by STAT3 to inhibit breast cancer cell metastasis-related genes.

Applications

Unspecified application

Species

Unspecified reactive species

Chen-Hui Qin,Shu-Min Zhang,Xiao-Ou Huo,Ruo-Piao Song,Jun Ling

International journal of immunopathology and pharmacology 39:3946320251320754 PubMed40019103

2025

Administration of anti-GFAP antibodies increases CGRP expression and increases pain hypersensitivity in spinal cord injured animals.

Applications

Unspecified application

Species

Unspecified reactive species

Georgene W Hergenroeder,Samuel T Molina,Juan J Herrera

Biomedicines 13: PubMed40002703

2025

Dysregulation of Leukaemia Inhibitory Factor (LIF) Signalling Pathway by Supraphysiological Dose of Testosterone in Female Sprague Dawley Rats During Development of Endometrial Receptivity.

Applications

Unspecified application

Species

Unspecified reactive species

Allia Najmie Muhammad Yusuf,Mohd Fariz Amri,Azizah Ugusman,Adila A Hamid,Izzat Zulhilmi Abd Rahman,Mohd Helmy Mokhtar
View all publications

Product promise

We are committed to supporting your work with high-quality reagents, and we're here for you every step of the way. In the unlikely event that one of our products does not perform as expected, you're protected by our Product Promise.
For full details, please see our Terms & Conditions

Please note: All products are 'FOR RESEARCH USE ONLY. NOT FOR USE IN DIAGNOSTIC OR THERAPEUTIC PROCEDURES'.

For licensing inquiries, please contact partnerships@abcam.com