JavaScript is disabled in your browser. Please enable JavaScript to view this website.
AB32500

Anti-STAT3 antibody [E121-21]

  • KO Validated
  • RabMAb
  • Recombinant
  • Lab Essentials
  • 20ul selling size
  • What is this?

2

(3 Reviews)

|

(38 Publications)

Rabbit Recombinant Monoclonal STAT3 antibody. Suitable for IP, WB, ICC/IF, Flow Cyt (Intra) and reacts with Human samples. Cited in 38 publications.

View Alternative Names

APRF, STAT3, Signal transducer and activator of transcription 3, Acute-phase response factor

5 Images
Flow Cytometry (Intracellular) - Anti-STAT3 antibody [E121-21] (AB32500)
  • Flow Cyt (Intra)

Lab

Flow Cytometry (Intracellular) - Anti-STAT3 antibody [E121-21] (AB32500)

Flow Cytometry analysis of A431 (Human epidermoid carcinoma epithelial cell) cells labelling STAT3 with Purified ab32500 at 1 : 20 dilution (5 μg/ml) (Red). Cells were fixed with 4% Paraformaldehyde and permeabilised with 90% Methanol. A Goat anti rabbit IgG (Alexa Fluor® 488, ab150081) secondary antibody was used at 1 : 2000. Isotype control - Rabbit monoclonal IgG (Black). Unlabelled control - Cell without incubation with primary antibody and secondary antibody (Blue).

Immunocytochemistry/ Immunofluorescence - Anti-STAT3 antibody [E121-21] (AB32500)
  • ICC/IF

Supplier Data

Immunocytochemistry/ Immunofluorescence - Anti-STAT3 antibody [E121-21] (AB32500)

Immunocytochemistry analysis of SH-SY5Y (Human neuroblastoma epithelial cell) cells labeling STAT3 with Purified ab32500 at 1 : 50 dilution (2.1 μg/ml). Cells were fixed in 4% Paraformaldehyde and permeabilized with 0.1% tritonX-100. Cells were counterstained with ab195889 Anti-alpha Tubulin antibody [DM1A] - Microtubule Marker (Alexa Fluor® 594) 1 : 200 (2.5 μg/ml). Goat anti rabbit IgG (Alexa Fluor® 488, ab150077) was used as the secondary antibody at 1 : 1000 (2 μg/ml) dilution. DAPI (blue) was used as nuclear counterstain. PBS instead of the primary antibody was used as the secondary antibody only control.

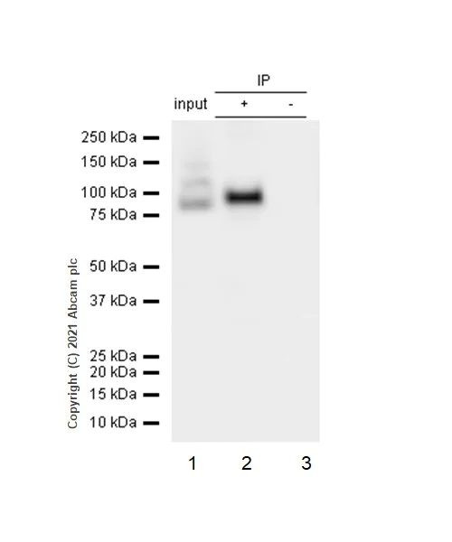
Immunoprecipitation - Anti-STAT3 antibody [E121-21] (AB32500)
  • IP

Supplier Data

Immunoprecipitation - Anti-STAT3 antibody [E121-21] (AB32500)

ab32500 at 1/20 dilution (0.5 μg) immunoprecipitating STAT3 in HeLa whole cell lysate.

Lane 1 (input) : HeLa (human cervix adenocarcinoma epithelial cell) whole cell lysate 10μg
Lane 2 (+) : ab32500 & HeLa whole cell lysate
Lane 3 (-) : Rabbit monoclonal IgG (ab172730) instead of ab32500 in HeLa whole cell lysate

For western blotting, ab32500 at 1/1000 and VeriBlot for IP secondary antibody (HRP) (ab131366) was used at 1/5000 dilution.

Blocking and diluting buffer : 5% NFDM /TBST.

All lanes:

Immunoprecipitation - Anti-STAT3 antibody [E121-21] (ab32500)

Predicted band size: 88 kDa

Observed band size: 92 kDa

false

Exposure time: 1s

Western blot - Anti-STAT3 antibody [E121-21] (AB32500)
  • WB

Supplier Data

Western blot - Anti-STAT3 antibody [E121-21] (AB32500)

Lane 1 : Wild type HAP1 whole cell lysate (20 μg)
Lane 2 : STAT3 knockout HAP1 whole cell lysate (20 μg)
Lane 3 : HeLa whole cell lysate (20 μg)
Lane 4 : HEK293 whole cell lysate (20 μg)

Lanes 1 - 4 : Merged signal (red and green). Green - ab32500 observed at 92 kDa. Red - loading control, ab8245, observed at 37 kDa.

ab32500 detected the expected band for STAT3 in wild-type cells along with additional cross-reactive bands. The band was not seen in STAT3 knockout HAP1 cells. Wild-type and STAT3 knockout samples were subjected to SDS-PAGE. ab32500 and ab8245 (Mouse anti GAPDH loading control) were incubated overnight at 4°C at 1/1000 dilution and 1/10000 dilution respectively. Blots were developed with Goat anti-Rabbit IgG H&L (IRDye® 800CW) preabsorbed ab216773 and Goat anti-Mouse IgG H&L (IRDye® 680RD) preabsorbed ab216776 secondary antibodies at 1/10000 dilution for 1 hour at room temperature before imaging.

All lanes:

Western blot - Anti-STAT3 antibody [E121-21] (ab32500)

Predicted band size: 88 kDa

false

Western blot - Anti-STAT3 antibody [E121-21] (AB32500)
  • WB

Supplier Data

Western blot - Anti-STAT3 antibody [E121-21] (AB32500)

All lanes:

Western blot - Anti-STAT3 antibody [E121-21] (ab32500) at 1/1000 dilution

Lane 1:

A431 (Human epidermoid carcinoma epithelial cell) whole cell lysate at 20 µg

Lane 2:

HaCaT (Human skin keratinocyte) whole cell lysate at 20 µg

Secondary

All lanes:

Western blot - Goat Anti-Rabbit IgG H&L (HRP) (<a href='/en-us/products/secondary-antibodies/goat-rabbit-igg-h-l-hrp-ab97051'>ab97051</a>) at 1/20000 dilution

Predicted band size: 88 kDa

false

Key facts

Host species

Rabbit

Clonality

Monoclonal

Clone number

E121-21

Isotype

IgG

Carrier free

No

Reacts with

Human

Applications

ICC/IF, WB, IP, Flow Cyt (Intra)

applications

Immunogen

The exact immunogen used to generate this antibody is proprietary information.

Specificity

This antibody only detects Stat3 without phosphorylation on Serine 727. It does not detect S727-phosphorylated Stat3.

Reactivity data

{ "title": "Reactivity Data", "filters": { "stats": ["", "Species", "Dilution Info", "Notes"], "tabs": { "all-applications": {"fullname" : "All Applications", "shortname": "All Applications"}, "IP" : {"fullname" : "Immunoprecipitation", "shortname":"IP"}, "WB" : {"fullname" : "Western blot", "shortname":"WB"}, "IHCP" : {"fullname" : "Immunohistochemistry (Formalin/PFA-fixed paraffin-embedded sections)", "shortname":"IHC-P"}, "ICCIF" : {"fullname" : "Immunocytochemistry/ Immunofluorescence", "shortname":"ICC/IF"}, "FlowCytIntra" : {"fullname" : "Flow Cytometry (Intracellular)", "shortname":"Flow Cyt (Intra)"} }, "product-promise": { "all": "all", "testedAndGuaranteed": "tested", "guaranteed": "expected", "predicted": "predicted", "notRecommended": "not-recommended" } }, "values": { "Human": { "IP-species-checked": "testedAndGuaranteed", "IP-species-dilution-info": "1/20", "IP-species-notes": "<p></p>", "WB-species-checked": "testedAndGuaranteed", "WB-species-dilution-info": "1/1000", "WB-species-notes": "<p></p>", "IHCP-species-checked": "notRecommended", "IHCP-species-dilution-info": "", "IHCP-species-notes": "<p></p>", "ICCIF-species-checked": "testedAndGuaranteed", "ICCIF-species-dilution-info": "1/50", "ICCIF-species-notes": "<p>For unpurified use at 1/250 dilution.</p>", "FlowCytIntra-species-checked": "testedAndGuaranteed", "FlowCytIntra-species-dilution-info": "1/20", "FlowCytIntra-species-notes": "<p><a href='/en-us/products/primary-antibodies/rabbit-igg-monoclonal-epr25a-isotype-control-ab172730'>ab172730</a> - Rabbit monoclonal IgG, is suitable for use as an isotype control with this antibody.</p><p>For unpurified use at 1/100 dilution.</p>" }, "Cow": { "IP-species-checked": "predicted", "IP-species-dilution-info": "", "IP-species-notes": "", "WB-species-checked": "predicted", "WB-species-dilution-info": "", "WB-species-notes": "", "IHCP-species-checked": "notRecommended", "IHCP-species-dilution-info": "", "IHCP-species-notes": "", "ICCIF-species-checked": "predicted", "ICCIF-species-dilution-info": "", "ICCIF-species-notes": "", "FlowCytIntra-species-checked": "predicted", "FlowCytIntra-species-dilution-info": "", "FlowCytIntra-species-notes": "" }, "Horse": { "IP-species-checked": "predicted", "IP-species-dilution-info": "", "IP-species-notes": "", "WB-species-checked": "predicted", "WB-species-dilution-info": "", "WB-species-notes": "", "IHCP-species-checked": "notRecommended", "IHCP-species-dilution-info": "", "IHCP-species-notes": "", "ICCIF-species-checked": "predicted", "ICCIF-species-dilution-info": "", "ICCIF-species-notes": "", "FlowCytIntra-species-checked": "predicted", "FlowCytIntra-species-dilution-info": "", "FlowCytIntra-species-notes": "" } } }

Product details

Species reactivity
Mouse, Rat: We have preliminary internal testing data to indicate this antibody may not react with these species.
Please contact us for more information.

Patented technology
Our RabMAb® technology is a patented hybridoma-based technology for making rabbit monoclonal antibodies. For details on our patents, please refer to RabMAb® patents.

What are the advantages of a recombinant monoclonal antibody?
This product is a recombinant monoclonal antibody, which offers several advantages including:

  • - High batch-to-batch consistency and reproducibility
  • - Improved sensitivity and specificity
  • - Long-term security of supply
  • - Animal-free batch production

For more information, read more on recombinant antibodies.

Properties and storage information

Form
Liquid
Purification technique
Affinity purification Protein A
Storage buffer
pH: 7.2 - 7.4 Preservative: 0.01% Sodium azide Constituents: PBS, 50% Glycerol (glycerin, glycerine), 0.05% BSA
Shipped at conditions
Blue Ice
Appropriate short-term storage conditions
+4°C
Appropriate long-term storage conditions
-20°C
Aliquoting information
Upon delivery aliquot
Storage information
Avoid freeze / thaw cycle

Supplementary information

This supplementary information is collated from multiple sources and compiled automatically.

Signal Transducer and Activator of Transcription 3 (STAT3) also called p-stat3 or phospho-STAT3 is a critical transcription factor involved in various cellular processes. The molecular weight of STAT3 is approximately 92 kDa. This protein is expressed broadly across many tissues and cell types. Mechanically upon cytokine or growth factor stimulation STAT3 undergoes phosphorylation resulting in dimerization. This phosphorylated form often referred to as phospho-Stat3 or p-STAT3 translocates to the nucleus where it binds specific DNA sequences to modulate gene transcription.
Biological function summary

STAT3 is an important player in regulating cell growth and apoptosis. It functions not only as a transcription factor but also as part of a larger protein complex that operates within the cell nucleus to influence gene expression. This multifaceted role enables STAT3 to control the expression of genes related to cell proliferation survival and differentiation impacting various biological processes. These functions highlight its importance in tissue homeostasis and response to extracellular signals.

Pathways

STAT3 is actively involved in the JAK-STAT signaling pathway a principal route for many cytokines and growth factors and the MAPK pathway. STAT3 interacts with proteins such as JAK kinases which phosphorylate Stat3 and initiate the STAT3 signaling cascade. Additionally it closely associates with the protein Raf1 in the MAPK pathway linking external signals to transcriptional responses. These pathways play a significant role in immune response inflammation and growth signaling.

Researchers have implicated STAT3 in cancer and autoimmune diseases. Persistent activation of STAT3 is often observed in various cancers including breast and lung cancer promoting oncogenesis through altered gene expression. Additionally abnormal STAT3 signaling is associated with autoimmune conditions such as rheumatoid arthritis. The interplay between STAT3 and proteins like IL-6 in these diseases highlights its potential as a therapeutic target for intervention.

Product protocols

For this product, it's our understanding that no specific protocols are required. You can visit:

Target data

Signal transducer and transcription activator that mediates cellular responses to interleukins, KITLG/SCF, LEP and other growth factors (PubMed : 10688651, PubMed : 12359225, PubMed : 12873986, PubMed : 15194700, PubMed : 15653507, PubMed : 16285960, PubMed : 17344214, PubMed : 18242580, PubMed : 18782771, PubMed : 22306293, PubMed : 23084476, PubMed : 28262505, PubMed : 32929201, PubMed : 38404237). Once activated, recruits coactivators, such as NCOA1 or MED1, to the promoter region of the target gene (PubMed : 15653507, PubMed : 16285960, PubMed : 17344214, PubMed : 18782771, PubMed : 28262505, PubMed : 32929201). May mediate cellular responses to activated FGFR1, FGFR2, FGFR3 and FGFR4 (PubMed : 12873986). Upon activation of IL6ST/gp130 signaling by interleukin-6 (IL6), binds to the IL6-responsive elements identified in the promoters of various acute-phase protein genes (PubMed : 12359225). Activated by IL31 through IL31RA (PubMed : 15194700). Acts as a regulator of inflammatory response by regulating differentiation of naive CD4(+) T-cells into T-helper Th17 or regulatory T-cells (Treg) : acetylation promotes its transcription activity and cell differentiation while deacetylation and oxidation of lysine residues by LOXL3 inhibits differentiation (PubMed : 28065600, PubMed : 28262505). Involved in cell cycle regulation by inducing the expression of key genes for the progression from G1 to S phase, such as CCND1 (PubMed : 17344214). Mediates the effects of LEP on melanocortin production, body energy homeostasis and lactation (By similarity). May play an apoptotic role by transctivating BIRC5 expression under LEP activation (PubMed : 18242580). Cytoplasmic STAT3 represses macroautophagy by inhibiting EIF2AK2/PKR activity (PubMed : 23084476). Plays a crucial role in basal beta cell functions, such as regulation of insulin secretion (By similarity). Following JAK/STAT signaling activation and as part of a complex with NFATC3 and NFATC4, binds to the alpha-beta E4 promoter region of CRYAB and activates transcription in cardiomyocytes (By similarity).
See full target information STAT3

Publications (38)

Recent publications for all applications. Explore the full list and refine your search

Clinical & translational immunology 14:e70048 PubMed40672112

2025

SIRT7 ameliorates Th17/Treg imbalance by desuccinylation of STAT3 to improve immune thrombocytopenia.

Applications

Unspecified application

Species

Unspecified reactive species

Jiao Ge,Xiaoyan Zhang,Fajuan Tang,Yan Liu

British journal of haematology 206:1627-1641 PubMed40325612

2025

Echinococcus granulosus antigen B regulates T-cell function through inhibition of signal transducer and activator of transcription 3 in experimental immune thrombocytopenia.

Applications

Unspecified application

Species

Unspecified reactive species

Yingbin Yue,Yunfei Zhang,Yongfeng Cheng,Hongjie Jiao,Mei Yan

Histology and histopathology 40:711-720 PubMed39363579

2024

CRISPR-mediated WNK4 point mutation aggravates tumor progression and weakens chemotherapy sensitivity in gastric cancer.

Applications

Unspecified application

Species

Unspecified reactive species

Xiaojun Ying,Zhen Ying,Xiaobing Gao,Yong Wang,Xinting Lv

Cell & bioscience 13:176 PubMed37743465

2023

Post-translational modification of CDK1-STAT3 signaling by fisetin suppresses pancreatic cancer stem cell properties.

Applications

Unspecified application

Species

Unspecified reactive species

Xiaodong Xu,Yimin Ding,Junbin Jin,Chengjie Xu,Wenyi Hu,Songtao Wu,Guoping Ding,Rui Cheng,Liping Cao,Shengnan Jia

BMC molecular and cell biology 24:21 PubMed37337185

2023

Janus Kinase 3 phosphorylation and the JAK/STAT pathway are positively modulated by follicle-stimulating hormone (FSH) in bovine granulosa cells.

Applications

Unspecified application

Species

Unspecified reactive species

Amir Zareifard,Francis Beaudry,Kalidou Ndiaye

Oncoimmunology 12:2173422 PubMed36776524

2023

Gankyrin-mediated interaction between cancer cells and tumor-associated macrophages facilitates prostate cancer progression and androgen deprivation therapy resistance.

Applications

Unspecified application

Species

Unspecified reactive species

Guang Peng,Chao Wang,Hongru Wang,Min Qu,Keqin Dong,Yongwei Yu,Yuquan Jiang,Sishun Gan,Xu Gao

International journal of molecular sciences 24: PubMed36769070

2023

The Activation of Reticulophagy by ER Stress through the ATF4-MAP1LC3A-CCPG1 Pathway in Ovarian Granulosa Cells Is Linked to Apoptosis and Necroptosis.

Applications

Unspecified application

Species

Unspecified reactive species

Huiduo Li,Yanan Jing,Xiaoya Qu,Jinyi Yang,Pengge Pan,Xinrui Liu,Hui Gao,Xiuying Pei,Cheng Zhang,Yanzhou Yang

Journal of oncology 2022:6093216 PubMed36618071

2022

Paeoniflorin Regulates NEDD4L/STAT3 Pathway to Induce Ferroptosis in Human Glioma Cells.

Applications

Unspecified application

Species

Unspecified reactive species

Xiao-Hu Nie,Sheng Qiu,Ying Xing,Jie Xu,Bin Lu,Shu-Fa Zhao,Yun-Tao Li,Zhong-Zhou Su

Aging 14:8032-8045 PubMed36227136

2022

SENP3 affects the expression of PYCR1 to promote bladder cancer proliferation and EMT transformation by deSUMOylation of STAT3.

Applications

Unspecified application

Species

Unspecified reactive species

Zhuo Li,Jian Liu,Huifeng Fu,Yuanwei Li,Qiang Liu,Wei Song,Mingqiang Zeng

Digestive and liver disease : official journal of the Italian Society of Gastroenterology and the Italian Association for the Study of the Liver 55:113-122 PubMed35504805

2022

HOTAIR modulates hepatocellular carcinoma progression by activating FUT8/core-fucosylated Hsp90/MUC1/STAT3 feedback loop via JAK1/STAT3 cascade.

Applications

Unspecified application

Species

Unspecified reactive species

Yanru Guo,Bing Liu,Tong Huang,Xia Qi,Shijun Li
View all publications

Product promise

We are committed to supporting your work with high-quality reagents, and we're here for you every step of the way. In the unlikely event that one of our products does not perform as expected, you're protected by our Product Promise.
For full details, please see our Terms & Conditions

Please note: All products are 'FOR RESEARCH USE ONLY. NOT FOR USE IN DIAGNOSTIC OR THERAPEUTIC PROCEDURES'.

For licensing inquiries, please contact partnerships@abcam.com