JavaScript is disabled in your browser. Please enable JavaScript to view this website.
AB109085

Anti-STAT3 antibody [EPR361]

  • RabMAb
  • Recombinant
  • KO Validated
  • Lab Essentials
  • 20ul selling size
  • What is this?

0

(2 Reviews)

|

(41 Publications)

Rabbit Recombinant Monoclonal STAT3 antibody. Suitable for IHC-P, WB, ICC/IF, Flow Cyt (Intra) and reacts with Human, Mouse, Rat samples. Cited in 41 publications.

View Alternative Names

APRF, STAT3, Signal transducer and activator of transcription 3, Acute-phase response factor

10 Images
Flow Cytometry (Intracellular) - Anti-STAT3 antibody [EPR361] (AB109085)
  • Flow Cyt (Intra)

Unknown

Flow Cytometry (Intracellular) - Anti-STAT3 antibody [EPR361] (AB109085)

Intracellular Flow Cytometry analysis of HeLa (human cervix adenocarcinoma) cells labeling STAT3 (red) with ab109085 at a 1/300 dilution. Cells were fixed with 4% paraformaldehyde and permeabilized with 90% methanol. A goat anti-rabbit IgG (Alexa Fluorr® 488) (ab150077) was used as the secondary antibody at a 1/2000 dilution. Black - Rabbit monoclonal IgG (ab172730). Blue (unlabeled control) - Cells without incubation with the primary and secondary antibodies.

Immunocytochemistry/ Immunofluorescence - Anti-STAT3 antibody [EPR361] (AB109085)
  • ICC/IF

Unknown

Immunocytochemistry/ Immunofluorescence - Anti-STAT3 antibody [EPR361] (AB109085)

Immunocytochemistry/Immunofluorescence analysis of HeLa (Human epithelial cell line from cervix adenocarcinoma) labeling STAT3 with Purified ab109085 at 1/250 dilution (5 μg/ml). Cells were fixed with 4% PFA and permeabilized with 0.1% tritonX-100. ab150077 Goat anti rabbit IgG(Alexa Fluor® 488) at 1/1000 dilution was used as the secondary antibody. Nuclei were counterstained with DAPI. PBS was used instead of the primary antibody as the negative control.

Immunocytochemistry/ Immunofluorescence - Anti-STAT3 antibody [EPR361] (AB109085)
  • ICC/IF

Lab

Immunocytochemistry/ Immunofluorescence - Anti-STAT3 antibody [EPR361] (AB109085)

Immunofluorescence staining of A549 cells with purified ab109085 at a working dilution of 1 in 150, counter-stained with DAPI. The secondary antibody was Alexa Fluor® 555 goat anti rabbit (ab150078), used at a dilution of 1 in 500. The cells were fixed in 4% PFA and permeabilized using 0.1% Triton X 100. The negative control is shown in bottom right hand panel - for the negative control, purified ab109085 was used at a dilution of 1/200 followed by an Alexa Fluor® 488 goat anti-mouse antibody at a dilution of 1/500.

Immunohistochemistry (Formalin/PFA-fixed paraffin-embedded sections) - Anti-STAT3 antibody [EPR361] (AB109085)
  • IHC-P

Lab

Immunohistochemistry (Formalin/PFA-fixed paraffin-embedded sections) - Anti-STAT3 antibody [EPR361] (AB109085)

Immunohistochemical staining of paraffin embedded human pancreas with purified ab109085 at a working dilution of 1 in 100. The secondary antibody used is a HRP polymer for rabbit IgG. The sample is counter-stained with hematoxylin. Antigen retrieval was perfomed using Tris-EDTA buffer, pH 9.0. PBS was used instead of the primary antibody as the negative control, and is shown in the inset.

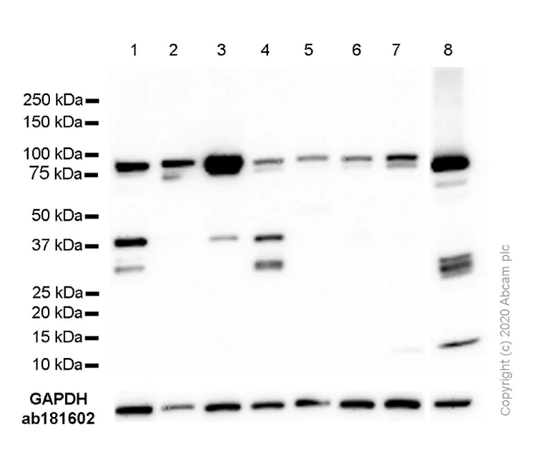
Western blot - Anti-STAT3 antibody [EPR361] (AB109085)
  • WB

Lab

Western blot - Anti-STAT3 antibody [EPR361] (AB109085)

Blocking/Diluting buffer : 5% NFDM/TBST.

Rabbit monoclonal [EPR16891] to GAPDH (ab181602) used as loading control.

All lanes:

Western blot - Anti-STAT3 antibody [EPR361] (ab109085) at 1/1000 dilution

Lane 1:

HeLa (Human cervix adenocarcinoma epithelial cell) whole cell lysate at 20 µg

Lane 2:

HaCaT (Human skin keratinocyte) whole cell lysate at 20 µg

Lane 3:

NIH/3T3 (Mouse embryonic fibroblast) whole cell lysate at 20 µg

Lane 4:

C2C12 (Mouse myoblasts cell line) whole cell lysate at 20 µg

Lane 5:

Human brain lysate at 20 µg

Lane 6:

Mouse brain lysate at 20 µg

Lane 7:

Rat brain lysate at 20 µg

Lane 8:

Rat liver lysate at 20 µg

Secondary

All lanes:

Western blot - Goat Anti-Rabbit IgG H&L (HRP) (<a href='/en-us/products/secondary-antibodies/goat-rabbit-igg-h-l-hrp-ab97051'>ab97051</a>) at 1/20000 dilution

Predicted band size: 88 kDa

Observed band size: 32 kDa,40 kDa,92 kDa

false

Exposure time: 50s

Western blot - Anti-STAT3 antibody [EPR361] (AB109085)
  • WB

Lab

Western blot - Anti-STAT3 antibody [EPR361] (AB109085)

Lanes 1 - 4 : Merged signal (red and green). Green - ab109085 observed at 92 kDa. Red - loading control, ab8245, observed at 37 kDa.

ab109085 was shown to specifically react with STAT3 in wild-type cells as signal was lost in STAT3 knockout HAP1 cells. Wild-type and STAT3 knockout samples were subjected to SDS-PAGE. ab109085 and ab8245 (Mouse anti GAPDH loading control) were incubated overnight at 4°C at 1/1000 dilution and 1/10000 dilution respectively. Blots were developed with Goat anti-Rabbit IgG H&L (IRDye® 800CW) preabsorbed ab216773 and Goat anti-Mouse IgG H&L (IRDye® 680RD) preabsorbed ab216776 secondary antibodies at 1/10000 dilution for 1 hour at room temperature before imaging.

All lanes:

Western blot - Anti-STAT3 antibody [EPR361] (ab109085) at 1/1000 dilution

Lane 1:

Wild-type HAP1 whole cell lysate at 20 µg

Lane 2:

STAT3 knockout HAP1 whole cell lysate at 20 µg

Lane 3:

HeLa whole cell lysate at 20 µg

Lane 4:

HEK293 whole cell lysate at 20 µg

Predicted band size: 88 kDa

false

Western blot - Anti-STAT3 antibody [EPR361] (AB109085)
  • WB

Lab

Western blot - Anti-STAT3 antibody [EPR361] (AB109085)

Lanes 1- 2 : Merged signal (red and green). Green - ab109085 observed at 92 kDa. Red - Anti-GAPDH antibody [6C5] - Loading Control (ab8245) observed at 37 kDa.

ab109085 was shown to react with STAT3 in wild-type HeLa cells in western blot. Loss of signal was observed when knockout cell line ab255436 (knockout cell lysate ab263797) was used. Wild-type HeLa and STAT3 knockout HeLa cell lysates were subjected to SDS-PAGE. Membrane was blocked for 1 hour at room temperature in 0.1% TBST with 3% non-fat dried milk. ab109085 and Anti-GAPDH antibody [6C5] - Loading Control (ab8245) overnight at 4°C at a 1 in 1000 dilution and a 1 in 20000 dilution respectively. Blots were developed with Goat anti-Rabbit IgG H&L (IRDye®800CW) preadsorbed (ab216773) and Goat anti-Mouse IgG H&L (IRDye®680RD) preadsorbed (ab216776) secondary antibodies at 1 in 20000 dilution for 1 hour at room temperature before imaging.

All lanes:

Western blot - Anti-STAT3 antibody [EPR361] (ab109085) at 1/1000 dilution

Lane 1:

Wild-type HeLa cell lysate at 20 µg

Lane 2:

STAT3 knockout HeLa cell lysate at 20 µg

Predicted band size: 88 kDa

Observed band size: 92 kDa

false

Western blot - Anti-STAT3 antibody [EPR361] (AB109085)
  • WB

Lab

Western blot - Anti-STAT3 antibody [EPR361] (AB109085)

Blocking buffer : 5% NFDM/TBST

Dilution buffer : 5% NFDM/TBST

All lanes:

Western blot - Anti-STAT3 antibody [EPR361] (ab109085) at 1/2000 dilution

Lane 1:

A431 cell lysate at 20 µg

Lane 2:

Raji cell lysate at 20 µg

Lane 3:

HeLa cell lysate at 20 µg

Lane 4:

SH-S5SY (Human neuroblastoma cell line from bone marrow) cell lysate at 20 µg

Secondary

All lanes:

HRP goat anti-rabbit (H+L) at 1000 mg/mL

Predicted band size: 88 kDa

Observed band size: 88 kDa

false

Western blot - Anti-STAT3 antibody [EPR361] (AB109085)
  • WB

Lab

Western blot - Anti-STAT3 antibody [EPR361] (AB109085)

Blocking buffer : 5% NFDM/TBST

Dilution buffer : 5% NFDM/TBST

All lanes:

Western blot - Anti-STAT3 antibody [EPR361] (ab109085) at 1/2000 dilution

Lane 1:

Mouse heart tissue lysate at 20 µg

Lane 2:

Rat brain tissue lysate at 20 µg

Secondary

All lanes:

HRP goat anti-rabbit (H+L) at 1/1000 dilution

Predicted band size: 88 kDa

Observed band size: 88 kDa

false

Western blot - Anti-STAT3 antibody [EPR361] (AB109085)
  • WB

Unknown

Western blot - Anti-STAT3 antibody [EPR361] (AB109085)

All lanes:

Western blot - Anti-STAT3 antibody [EPR361] (ab109085) at 1/1000 dilution

Lane 1:

A431 cell lysate at 10 µg

Lane 2:

Raji cell lysate at 10 µg

Lane 3:

HeLa cell lysate at 10 µg

Lane 4:

SH-SY5Y cell lysate at 10 µg

Predicted band size: 88 kDa

false

Key facts

Host species

Rabbit

Clonality

Monoclonal

Clone number

EPR361

Isotype

IgG

Carrier free

No

Reacts with

Mouse, Rat, Human

Applications

WB, IHC-P, ICC/IF, Flow Cyt (Intra)

applications

Immunogen

The exact immunogen used to generate this antibody is proprietary information.

Reactivity data

{ "title": "Reactivity Data", "filters": { "stats": ["", "Species", "Dilution Info", "Notes"], "tabs": { "all-applications": {"fullname" : "All Applications", "shortname": "All Applications"}, "IHCP" : {"fullname" : "Immunohistochemistry (Formalin/PFA-fixed paraffin-embedded sections)", "shortname":"IHC-P"}, "IP" : {"fullname" : "Immunoprecipitation", "shortname":"IP"}, "WB" : {"fullname" : "Western blot", "shortname":"WB"}, "ICCIF" : {"fullname" : "Immunocytochemistry/ Immunofluorescence", "shortname":"ICC/IF"}, "FlowCytIntra" : {"fullname" : "Flow Cytometry (Intracellular)", "shortname":"Flow Cyt (Intra)"} }, "product-promise": { "all": "all", "testedAndGuaranteed": "tested", "guaranteed": "expected", "predicted": "predicted", "notRecommended": "not-recommended" } }, "values": { "Human": { "IHCP-species-checked": "testedAndGuaranteed", "IHCP-species-dilution-info": "1/100", "IHCP-species-notes": "<p></p>", "IP-species-checked": "notRecommended", "IP-species-dilution-info": "", "IP-species-notes": "<p></p>", "WB-species-checked": "testedAndGuaranteed", "WB-species-dilution-info": "1/1000 - 1/10000", "WB-species-notes": "<p></p>", "ICCIF-species-checked": "testedAndGuaranteed", "ICCIF-species-dilution-info": "1/150", "ICCIF-species-notes": "<p></p>", "FlowCytIntra-species-checked": "testedAndGuaranteed", "FlowCytIntra-species-dilution-info": "1/300", "FlowCytIntra-species-notes": "<p></p>" }, "Mouse": { "IHCP-species-checked": "guaranteed", "IHCP-species-dilution-info": "", "IHCP-species-notes": "", "IP-species-checked": "notRecommended", "IP-species-dilution-info": "", "IP-species-notes": "<p></p>", "WB-species-checked": "testedAndGuaranteed", "WB-species-dilution-info": "1/1000 - 1/10000", "WB-species-notes": "<p></p>", "ICCIF-species-checked": "guaranteed", "ICCIF-species-dilution-info": "", "ICCIF-species-notes": "", "FlowCytIntra-species-checked": "guaranteed", "FlowCytIntra-species-dilution-info": "", "FlowCytIntra-species-notes": "" }, "Rat": { "IHCP-species-checked": "guaranteed", "IHCP-species-dilution-info": "", "IHCP-species-notes": "", "IP-species-checked": "notRecommended", "IP-species-dilution-info": "", "IP-species-notes": "<p></p>", "WB-species-checked": "testedAndGuaranteed", "WB-species-dilution-info": "1/1000 - 1/10000", "WB-species-notes": "<p></p>", "ICCIF-species-checked": "guaranteed", "ICCIF-species-dilution-info": "", "ICCIF-species-notes": "", "FlowCytIntra-species-checked": "guaranteed", "FlowCytIntra-species-dilution-info": "", "FlowCytIntra-species-notes": "" } } }

Product details

Patented technology
Our RabMAb® technology is a patented hybridoma-based technology for making rabbit monoclonal antibodies. For details on our patents, please refer to RabMAb® patents.

What are the advantages of a recombinant monoclonal antibody?
This product is a recombinant monoclonal antibody, which offers several advantages including:

  • - High batch-to-batch consistency and reproducibility
  • - Improved sensitivity and specificity
  • - Long-term security of supply
  • - Animal-free batch production

For more information, read more on recombinant antibodies.

Properties and storage information

Form
Liquid
Purification technique
Affinity purification Protein A
Storage buffer
pH: 7.2 - 7.4 Preservative: 0.01% Sodium azide Constituents: PBS, 40% Glycerol (glycerin, glycerine), 0.05% BSA
Shipped at conditions
Blue Ice
Appropriate short-term storage conditions
+4°C
Appropriate long-term storage conditions
-20°C
Storage information
Stable for 12 months at -20°C

Supplementary information

This supplementary information is collated from multiple sources and compiled automatically.

Signal Transducer and Activator of Transcription 3 (STAT3) also called p-stat3 or phospho-STAT3 is a critical transcription factor involved in various cellular processes. The molecular weight of STAT3 is approximately 92 kDa. This protein is expressed broadly across many tissues and cell types. Mechanically upon cytokine or growth factor stimulation STAT3 undergoes phosphorylation resulting in dimerization. This phosphorylated form often referred to as phospho-Stat3 or p-STAT3 translocates to the nucleus where it binds specific DNA sequences to modulate gene transcription.
Biological function summary

STAT3 is an important player in regulating cell growth and apoptosis. It functions not only as a transcription factor but also as part of a larger protein complex that operates within the cell nucleus to influence gene expression. This multifaceted role enables STAT3 to control the expression of genes related to cell proliferation survival and differentiation impacting various biological processes. These functions highlight its importance in tissue homeostasis and response to extracellular signals.

Pathways

STAT3 is actively involved in the JAK-STAT signaling pathway a principal route for many cytokines and growth factors and the MAPK pathway. STAT3 interacts with proteins such as JAK kinases which phosphorylate Stat3 and initiate the STAT3 signaling cascade. Additionally it closely associates with the protein Raf1 in the MAPK pathway linking external signals to transcriptional responses. These pathways play a significant role in immune response inflammation and growth signaling.

Researchers have implicated STAT3 in cancer and autoimmune diseases. Persistent activation of STAT3 is often observed in various cancers including breast and lung cancer promoting oncogenesis through altered gene expression. Additionally abnormal STAT3 signaling is associated with autoimmune conditions such as rheumatoid arthritis. The interplay between STAT3 and proteins like IL-6 in these diseases highlights its potential as a therapeutic target for intervention.

Product protocols

For this product, it's our understanding that no specific protocols are required. You can visit:

Target data

Signal transducer and transcription activator that mediates cellular responses to interleukins, KITLG/SCF, LEP and other growth factors (PubMed : 10688651, PubMed : 12359225, PubMed : 12873986, PubMed : 15194700, PubMed : 15653507, PubMed : 16285960, PubMed : 17344214, PubMed : 18242580, PubMed : 18782771, PubMed : 22306293, PubMed : 23084476, PubMed : 28262505, PubMed : 32929201, PubMed : 38404237). Once activated, recruits coactivators, such as NCOA1 or MED1, to the promoter region of the target gene (PubMed : 15653507, PubMed : 16285960, PubMed : 17344214, PubMed : 18782771, PubMed : 28262505, PubMed : 32929201). May mediate cellular responses to activated FGFR1, FGFR2, FGFR3 and FGFR4 (PubMed : 12873986). Upon activation of IL6ST/gp130 signaling by interleukin-6 (IL6), binds to the IL6-responsive elements identified in the promoters of various acute-phase protein genes (PubMed : 12359225). Activated by IL31 through IL31RA (PubMed : 15194700). Acts as a regulator of inflammatory response by regulating differentiation of naive CD4(+) T-cells into T-helper Th17 or regulatory T-cells (Treg) : acetylation promotes its transcription activity and cell differentiation while deacetylation and oxidation of lysine residues by LOXL3 inhibits differentiation (PubMed : 28065600, PubMed : 28262505). Involved in cell cycle regulation by inducing the expression of key genes for the progression from G1 to S phase, such as CCND1 (PubMed : 17344214). Mediates the effects of LEP on melanocortin production, body energy homeostasis and lactation (By similarity). May play an apoptotic role by transctivating BIRC5 expression under LEP activation (PubMed : 18242580). Cytoplasmic STAT3 represses macroautophagy by inhibiting EIF2AK2/PKR activity (PubMed : 23084476). Plays a crucial role in basal beta cell functions, such as regulation of insulin secretion (By similarity). Following JAK/STAT signaling activation and as part of a complex with NFATC3 and NFATC4, binds to the alpha-beta E4 promoter region of CRYAB and activates transcription in cardiomyocytes (By similarity).
See full target information STAT3

Publications (41)

Recent publications for all applications. Explore the full list and refine your search

Functional & integrative genomics 25:59 PubMed40072648

2025

MAZ-mediated LAMA5 transcription activation promotes gastric cancer progression through the STAT3 signaling.

Applications

Unspecified application

Species

Unspecified reactive species

Yu Wang,Jiazhong Xu,Hongxia Zhang,Xiaobo Guo,Hongjun Liu,Qinhui Sun

Diabetic medicine : a journal of the British Diabetic Association 42:e70014 PubMed40065730

2025

LncRNA CASC2 mediates SOCS6 mRNA stabilization via U2AF2 recruitment to modulate macrophage polarisation in diabetic retinopathy.

Applications

Unspecified application

Species

Unspecified reactive species

Fan Xiao,Feipeng Wu,Peipei Zhong,Tian Hu,Rong Luo

Aging and disease 16:3040-3054 PubMed39571159

2024

Exercise Types: Physical Activity Mitigates Cardiac Aging and Enhances Mitochondrial Function via PKG-STAT3-Opa1 Axis.

Applications

Unspecified application

Species

Unspecified reactive species

Reka Szekeres,Daniel Priksz,Mariann Bombicz,Beata Pelles-Tasko,Anna Szilagyi,Brigitta Bernat,Aniko Posa,Balazs Varga,Rudolf Gesztelyi,Sandor Somodi,Zoltan Szabo,Zoltan Szilvassy,Bela Juhasz

Scientific reports 14:21827 PubMed39294234

2024

Zinc finger protein 263 promotes colorectal cancer cell progression by activating STAT3 and enhancing chemoradiotherapy resistance.

Applications

Unspecified application

Species

Unspecified reactive species

Yadan Du,Yawen Chen,Zaihua Yan,Jian Yang,Mingxu Da

Cancer science 115:2923-2930 PubMed39014520

2024

Ropivacaine synergizes with sorafenib to induce apoptosis of hepatocellular carcinoma cells via the IL-6/STAT3 pathway.

Applications

Unspecified application

Species

Unspecified reactive species

Wenting Wang,Hongyun Lin,Desheng Liu,Tao Wang,Zicheng Zhu,Peng Yu,Jing Zhang

BMC biotechnology 24:13 PubMed38459479

2024

Polyphyllin B inhibited STAT3/NCOA4 pathway and restored gut microbiota to ameliorate lung tissue injury in cigarette smoke-induced mice.

Applications

Unspecified application

Species

Unspecified reactive species

Qing Wang,Zhiyi He,Jinqi Zhu,Mengyun Hu,Liu Yang,Hongzhong Yang

Aging 16:1845-1859 PubMed38261741

2024

Activation of Notch-1 signaling pathway in macrophages to secrete PD-L1 and regulate cytotoxicity of CAR-T cells in diffuse large B-cell lymphoma.

Applications

Unspecified application

Species

Unspecified reactive species

Weijing Li,Lili Wu,Chen Huang,Hongqing Ma,Lianjing Wang,Wei Liu,Lihong Liu

Cell & bioscience 13:176 PubMed37743465

2023

Post-translational modification of CDK1-STAT3 signaling by fisetin suppresses pancreatic cancer stem cell properties.

Applications

Unspecified application

Species

Unspecified reactive species

Xiaodong Xu,Yimin Ding,Junbin Jin,Chengjie Xu,Wenyi Hu,Songtao Wu,Guoping Ding,Rui Cheng,Liping Cao,Shengnan Jia

Experimental and therapeutic medicine 26:469 PubMed37664675

2023

FOXA2 attenuates lipopolysaccharide‑induced pneumonia by inhibiting the inflammatory response, oxidative stress and apoptosis through blocking of p38/STAT3 signaling.

Applications

Unspecified application

Species

Unspecified reactive species

Zhibin Xue,Yinglin Li,Shiji Xiao,Hanqing Zhang,Jianzhang Xu

Cells 12: PubMed37408275

2023

Effect of Photobiomodulation on Protein Kinase Cδ, Cytochrome C, and Mitochondria in U87 MG Cells.

Applications

Unspecified application

Species

Unspecified reactive species

Viktória Pevná,Georges Wagnières,Daniel Jancura,Veronika Huntošová
View all publications

Product promise

We are committed to supporting your work with high-quality reagents, and we're here for you every step of the way. In the unlikely event that one of our products does not perform as expected, you're protected by our Product Promise.
For full details, please see our Terms & Conditions

Please note: All products are 'FOR RESEARCH USE ONLY. NOT FOR USE IN DIAGNOSTIC OR THERAPEUTIC PROCEDURES'.

For licensing inquiries, please contact partnerships@abcam.com