JavaScript is disabled in your browser. Please enable JavaScript to view this website.
AB219593

Anti-STAT3 (phospho S727) antibody [E121-31] - BSA and Azide free

Be the first to review this product! Submit a review

|

(2 Publications)

Rabbit Recombinant Monoclonal STAT3 phospho S727 antibody. Carrier free. Suitable for ChIC/CUT&RUN-seq, IHC-P, Dot, WB, ICC/IF, IP and reacts with Human, Rat, Mouse, Recombinant full length protein - Human samples. Cited in 2 publications.

View Alternative Names

APRF, STAT3, Signal transducer and activator of transcription 3, Acute-phase response factor

8 Images
Immunocytochemistry/ Immunofluorescence - Anti-STAT3 (phospho S727) antibody [E121-31] - BSA and Azide free (AB219593)
  • ICC/IF

Unknown

Immunocytochemistry/ Immunofluorescence - Anti-STAT3 (phospho S727) antibody [E121-31] - BSA and Azide free (AB219593)

Immunocytochemical/Immunofluorescence analysis of untreated, EGF treated and EGF + LP treated A431 cells labelling STAT3 (phospho S727) with ab32143 (left) and STAT3 with ab32500 (right) both at a dilution of 1/500.

Cells were fixed with 4% paraformaldehyde and permeabilized with 0.1% Triton X-100. Goat Anti-Rabbit IgG H&L (Alexa Fluor® 488) (ab150077) (1/1000) was used as the secondary antibody (green). DAPI (blue) was used as the nuclear counterstain. Anti-alpha Tubulin antibody [DM1A] - Microtubule Marker (Alexa Fluor® 594) (ab195889) (1/200) was used as a counterstain (red).

The green staining was increased and translocated from the cytoplasm into the nucleus in the EGF (ab9697 100ng/ml, 10min) treated A431 cells when compared with A431 cells without treatment. After LP treatment, the green signal was decreased. For the pan antibody, there was no great difference after EGF (100ng/ml, 10min) or EGF (100ng/ml, 10min) + LP treatment.

This data was developed using the same antibody clone in a different buffer formulation containing PBS, BSA, glycerol, and sodium azide (ab32143).

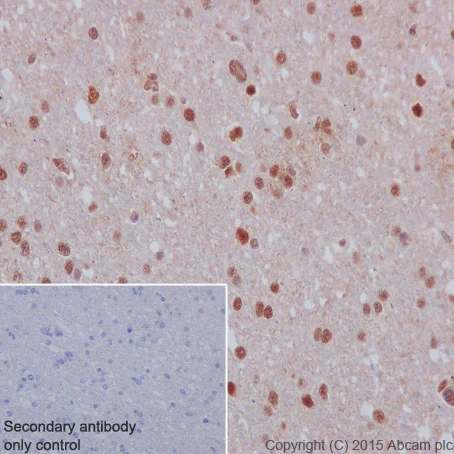
Immunohistochemistry (Formalin/PFA-fixed paraffin-embedded sections) - Anti-STAT3 (phospho S727) antibody [E121-31] - BSA and Azide free (AB219593)
  • IHC-P

Unknown

Immunohistochemistry (Formalin/PFA-fixed paraffin-embedded sections) - Anti-STAT3 (phospho S727) antibody [E121-31] - BSA and Azide free (AB219593)

Immunohistochemical staining of paraffin embedded human astrocytoma with purified ab32143 at a working dilution of 1/250. The secondary antibody used is HRP goat anti-rabbit IgG H&L (ab97051) at 1/500. The sample is counter-stained with hematoxylin. Antigen retrieval was perfomed using Tris-EDTA buffer, pH 9.0. PBS was used instead of the primary antibody as the negative control, and is shown in the inset.This data was developed using the same antibody clone in a different buffer formulation containing PBS, BSA, glycerol, and sodium azide (ab32143).

Immunocytochemistry/ Immunofluorescence - Anti-STAT3 (phospho S727) antibody [E121-31] - BSA and Azide free (AB219593)
  • ICC/IF

Unknown

Immunocytochemistry/ Immunofluorescence - Anti-STAT3 (phospho S727) antibody [E121-31] - BSA and Azide free (AB219593)

Purified ab32143 staining STAT3 (phospho S727) in A431 cells by Immunocytochemistry/ Immunofluorescence. 4% PFA-fixed, 0.1% Triton X-100 permeabilized A431 (Human epidermoid carcinoma) cells labelled with ab32143 at 1/500 dilution, followed by Goat anti-rabbit IgG (Alexa Fluor 488) (ab150077) secondary antibody at 1/400 dilution (green). Confocal image showing nuclear staining on A431 cell line. The red staining is ab7291 anti-Tubulin (mouse mAb), followed by Goat Anti-Mouse IgG H&L (Alexa Fluor® 594) (ab150120) secondary antibody.

This data was developed using the same antibody clone in a different buffer formulation containing PBS, BSA, glycerol, and sodium azide (ab32143).

Immunohistochemistry (Formalin/PFA-fixed paraffin-embedded sections) - Anti-STAT3 (phospho S727) antibody [E121-31] - BSA and Azide free (AB219593)
  • IHC-P

Unknown

Immunohistochemistry (Formalin/PFA-fixed paraffin-embedded sections) - Anti-STAT3 (phospho S727) antibody [E121-31] - BSA and Azide free (AB219593)

Immunohistochemical staining of paraffin embedded rat cerebral cortex with purified ab32143 at a working dilution of 1/250. The secondary antibody used is HRP goat anti-rabbit IgG H&L (ab97051) at 1/500. The sample is counter-stained with hematoxylin. Antigen retrieval was perfomed using Tris-EDTA buffer, pH 9.0. PBS was used instead of the primary antibody as the negative control, and is shown in the inset.This data was developed using the same antibody clone in a different buffer formulation containing PBS, BSA, glycerol, and sodium azide (ab32143).

Immunohistochemistry (Formalin/PFA-fixed paraffin-embedded sections) - Anti-STAT3 (phospho S727) antibody [E121-31] - BSA and Azide free (AB219593)
  • IHC-P

Unknown

Immunohistochemistry (Formalin/PFA-fixed paraffin-embedded sections) - Anti-STAT3 (phospho S727) antibody [E121-31] - BSA and Azide free (AB219593)

Immunohistochemical staining of paraffin embedded mouse liver with purified ab32143 at a working dilution of 1/250. The secondary antibody used is HRP goat anti-rabbit IgG H&L (ab97051) at 1/500. The sample is counter-stained with hematoxylin. Antigen retrieval was perfomed using Tris-EDTA buffer, pH 9.0. PBS was used instead of the primary antibody as the negative control, and is shown in the inset.This data was developed using the same antibody clone in a different buffer formulation containing PBS, BSA, glycerol, and sodium azide (ab32143).

ChIC/CUT&RUN sequencing - Anti-STAT3 (phospho S727) antibody [E121-31] - BSA and Azide free (AB219593)
  • ChIC/CUT&RUN-seq

Lab

ChIC/CUT&RUN sequencing - Anti-STAT3 (phospho S727) antibody [E121-31] - BSA and Azide free (AB219593)

This data was developed using the same antibody clone in a different buffer formulation containing PBS, BSA, glycerol, and sodium azide (ab32143). ChIC/CUT&RUN was performed using a pAG-MNAse at a final concentration of 700 ng/mL, 2.5 x 10^5 HepG2 cells (starved overnight and treated with 100ng/ml IL-6 for 30min) and 5 µg of ab32143 [E121-31]. The resulting DNA was sequenced on the Illumina NovaSeq 6000 to a depth of 10 million reads. The negative IgG control ab172730 is also shown. Additional screenshots of mapped reads can be found in the Protocol booklet in the Product Protocol section. The University of Geneva owns patents relevant to ChIC (Chromatin Immuno-Cleavage) methods.

Immunohistochemistry (Formalin/PFA-fixed paraffin-embedded sections) - Anti-STAT3 (phospho S727) antibody [E121-31] - BSA and Azide free (AB219593)
  • IHC-P

Unknown

Immunohistochemistry (Formalin/PFA-fixed paraffin-embedded sections) - Anti-STAT3 (phospho S727) antibody [E121-31] - BSA and Azide free (AB219593)

IHC-P analysis of brain astrocytoma using unpurified ab32143 at 1/50 dilution.

This data was developed using the same antibody clone in a different buffer formulation containing PBS, BSA, glycerol, and sodium azide (ab32143).

Perform heat mediated antigen retrieval before commencing with IHC staining protocol.

Dot Blot - Anti-STAT3 (phospho S727) antibody [E121-31] - BSA and Azide free (AB219593)
  • Dot

Unknown

Dot Blot - Anti-STAT3 (phospho S727) antibody [E121-31] - BSA and Azide free (AB219593)

Dot Blot analysis of Lane 1 : STAT3 (pS727) phospho peptide and Lane 2 : STAT3 non-phospho peptide labeling STAT3 (phospho S727) with ab32143 at 1/1000 dilution (0.009 μg/ml). 5% NFDM /TBST was used as the diluting and blocking buffer and concentration. ab97051, Goat Anti-Rabbit IgG, (H+L), Peroxidase conjugated was used as the secondary antibody at 1/100,000 dilution. Exposure time : 10 seconds.

This data was developed using the same antibody clone in a different buffer formulation containing PBS, BSA, glycerol, and sodium azide (ab32143).

  • 519 Alexa Fluor® 488

    Alexa Fluor® 488 Anti-STAT3 (phospho S727) antibody [E121-31]

  • 665 Alexa Fluor® 647

    Alexa Fluor® 647 Anti-STAT3 (phospho S727) antibody [E121-31]

  • 603 Alexa Fluor® 568

    Alexa Fluor® 568 Anti-STAT3 (phospho S727) antibody [E121-31]

  • Unconjugated

    Anti-STAT3 (phospho S727) antibody [E121-31]

  • 775 Alexa Fluor® 750

    Alexa Fluor® 750 Anti-STAT3 (phospho S727) antibody [E121-31]

  • 660 APC

    APC Anti-STAT3 (phospho S727) antibody [E121-31]

  • 578 PE

    PE Anti-STAT3 (phospho S727) antibody [E121-31]

  • 617 Alexa Fluor® 594

    Alexa Fluor® 594 Anti-STAT3 (phospho S727) antibody [E121-31]

  • 565 Alexa Fluor® 555

    Alexa Fluor® 555 Anti-STAT3 (phospho S727) antibody [E121-31]

Key facts

Host species

Rabbit

Clonality

Monoclonal

Clone number

E121-31

Isotype

IgG

Carrier free

Yes

Reacts with

Mouse, Rat, Human

Applications

Dot, ChIC/CUT&RUN-seq, IHC-P, IP, ICC/IF, WB

applications

Immunogen

The exact immunogen used to generate this antibody is proprietary information.

Reactivity data

{ "title": "Reactivity Data", "filters": { "stats": ["", "Species", "Dilution Info", "Notes"], "tabs": { "all-applications": {"fullname" : "All Applications", "shortname": "All Applications"}, "ChICCUTRUNseq" : {"fullname" : "ChIC/CUT&RUN sequencing", "shortname":"ChIC/CUT&RUN-seq"}, "IHCP" : {"fullname" : "Immunohistochemistry (Formalin/PFA-fixed paraffin-embedded sections)", "shortname":"IHC-P"}, "Dot" : {"fullname" : "Dot Blot", "shortname":"Dot"}, "WB" : {"fullname" : "Western blot", "shortname":"WB"}, "ICCIF" : {"fullname" : "Immunocytochemistry/ Immunofluorescence", "shortname":"ICC/IF"}, "IP" : {"fullname" : "Immunoprecipitation", "shortname":"IP"} }, "product-promise": { "all": "all", "testedAndGuaranteed": "tested", "guaranteed": "expected", "predicted": "predicted", "notRecommended": "not-recommended" } }, "values": { "Human": { "ChICCUTRUNseq-species-checked": "testedAndGuaranteed", "ChICCUTRUNseq-species-dilution-info": "", "ChICCUTRUNseq-species-notes": "<p></p>", "IHCP-species-checked": "testedAndGuaranteed", "IHCP-species-dilution-info": "", "IHCP-species-notes": "<p><strong>For unpurified, use 1/50.</strong></p>", "Dot-species-checked": "guaranteed", "Dot-species-dilution-info": "", "Dot-species-notes": "", "WB-species-checked": "testedAndGuaranteed", "WB-species-dilution-info": "", "WB-species-notes": "<p>Stimulation may be required to allow detection of the phosphorylated protein. Please see images below for recommended treatment conditions and positive controls.</p>", "ICCIF-species-checked": "testedAndGuaranteed", "ICCIF-species-dilution-info": "", "ICCIF-species-notes": "<p></p>", "IP-species-checked": "testedAndGuaranteed", "IP-species-dilution-info": "", "IP-species-notes": "<p></p>" }, "Mouse": { "ChICCUTRUNseq-species-checked": "guaranteed", "ChICCUTRUNseq-species-dilution-info": "", "ChICCUTRUNseq-species-notes": "", "IHCP-species-checked": "guaranteed", "IHCP-species-dilution-info": "", "IHCP-species-notes": "", "Dot-species-checked": "guaranteed", "Dot-species-dilution-info": "", "Dot-species-notes": "", "WB-species-checked": "testedAndGuaranteed", "WB-species-dilution-info": "", "WB-species-notes": "<p>Stimulation may be required to allow detection of the phosphorylated protein. Please see images below for recommended treatment conditions and positive controls.</p>", "ICCIF-species-checked": "guaranteed", "ICCIF-species-dilution-info": "", "ICCIF-species-notes": "", "IP-species-checked": "guaranteed", "IP-species-dilution-info": "", "IP-species-notes": "" }, "Rat": { "ChICCUTRUNseq-species-checked": "guaranteed", "ChICCUTRUNseq-species-dilution-info": "", "ChICCUTRUNseq-species-notes": "", "IHCP-species-checked": "testedAndGuaranteed", "IHCP-species-dilution-info": "", "IHCP-species-notes": "<p></p>", "Dot-species-checked": "guaranteed", "Dot-species-dilution-info": "", "Dot-species-notes": "", "WB-species-checked": "testedAndGuaranteed", "WB-species-dilution-info": "", "WB-species-notes": "<p>Stimulation may be required to allow detection of the phosphorylated protein. Please see images below for recommended treatment conditions and positive controls.</p>", "ICCIF-species-checked": "guaranteed", "ICCIF-species-dilution-info": "", "ICCIF-species-notes": "", "IP-species-checked": "guaranteed", "IP-species-dilution-info": "", "IP-species-notes": "" }, "Cow": { "ChICCUTRUNseq-species-checked": "predicted", "ChICCUTRUNseq-species-dilution-info": "", "ChICCUTRUNseq-species-notes": "", "IHCP-species-checked": "predicted", "IHCP-species-dilution-info": "", "IHCP-species-notes": "", "Dot-species-checked": "predicted", "Dot-species-dilution-info": "", "Dot-species-notes": "", "WB-species-checked": "predicted", "WB-species-dilution-info": "", "WB-species-notes": "", "ICCIF-species-checked": "predicted", "ICCIF-species-dilution-info": "", "ICCIF-species-notes": "", "IP-species-checked": "predicted", "IP-species-dilution-info": "", "IP-species-notes": "" }, "Horse": { "ChICCUTRUNseq-species-checked": "predicted", "ChICCUTRUNseq-species-dilution-info": "", "ChICCUTRUNseq-species-notes": "", "IHCP-species-checked": "predicted", "IHCP-species-dilution-info": "", "IHCP-species-notes": "", "Dot-species-checked": "predicted", "Dot-species-dilution-info": "", "Dot-species-notes": "", "WB-species-checked": "predicted", "WB-species-dilution-info": "", "WB-species-notes": "", "ICCIF-species-checked": "predicted", "ICCIF-species-dilution-info": "", "ICCIF-species-notes": "", "IP-species-checked": "predicted", "IP-species-dilution-info": "", "IP-species-notes": "" }, "Macaque monkey": { "ChICCUTRUNseq-species-checked": "predicted", "ChICCUTRUNseq-species-dilution-info": "", "ChICCUTRUNseq-species-notes": "", "IHCP-species-checked": "predicted", "IHCP-species-dilution-info": "", "IHCP-species-notes": "", "Dot-species-checked": "predicted", "Dot-species-dilution-info": "", "Dot-species-notes": "", "WB-species-checked": "predicted", "WB-species-dilution-info": "", "WB-species-notes": "", "ICCIF-species-checked": "predicted", "ICCIF-species-dilution-info": "", "ICCIF-species-notes": "", "IP-species-checked": "predicted", "IP-species-dilution-info": "", "IP-species-notes": "" }, "Recombinant full length protein - Human": { "ChICCUTRUNseq-species-checked": "notRecommended", "ChICCUTRUNseq-species-dilution-info": "", "ChICCUTRUNseq-species-notes": "", "IHCP-species-checked": "notRecommended", "IHCP-species-dilution-info": "", "IHCP-species-notes": "", "Dot-species-checked": "testedAndGuaranteed", "Dot-species-dilution-info": "", "Dot-species-notes": "<p></p>", "WB-species-checked": "notRecommended", "WB-species-dilution-info": "", "WB-species-notes": "", "ICCIF-species-checked": "notRecommended", "ICCIF-species-dilution-info": "", "ICCIF-species-notes": "", "IP-species-checked": "notRecommended", "IP-species-dilution-info": "", "IP-species-notes": "" } } }

Product details

ab219593 is the carrier-free version of ab32143.

Species reactivity
Mouse: We have preliminary internal testing data to indicate this antibody may not react with this species.
Please contact us for more information.

Patented technology
Our RabMAb® technology is a patented hybridoma-based technology for making rabbit monoclonal antibodies. For details on our patents, please refer to RabMAb® patents.

What are the advantages of a recombinant monoclonal antibody?
This product is a recombinant monoclonal antibody, which offers several advantages including:

  • - High batch-to-batch consistency and reproducibility
  • - Improved sensitivity and specificity
  • - Long-term security of supply
  • - Animal-free batch production

For more information, read more on recombinant antibodies.

Conjugation ready
Our carrier-free antibodies are typically supplied in a PBS-only formulation, purified and free of BSA, sodium azide and glycerol. This conjugation-ready format is designed for use with fluorochromes, metal isotopes, oligonucleotides, and enzymes, which makes them ideal for antibody labelling, functional and cell-based assays, flow-based assays (e.g. mass cytometry) and Multiplex Imaging applications.

Use our conjugation kits for antibody conjugates that are ready-to-use in as little as 20 minutes with 1 minute hands-on-time and 100% antibody recovery: available for fluorescent dyes, HRP, biotin and gold.

Compatibility
This product is compatible with the Maxpar® Antibody Labeling Kit from Fluidigm, without the need for antibody preparation. Maxpar® is a trademark of Fluidigm Canada Inc.

Properties and storage information

Form
Liquid
Purification technique
Affinity purification Protein A
Storage buffer
pH: 7.2 - 7.4 Constituents: PBS
Shipped at conditions
Blue Ice
Appropriate short-term storage conditions
+4°C
Appropriate long-term storage conditions
+4°C
Storage information
Do Not Freeze

Supplementary information

This supplementary information is collated from multiple sources and compiled automatically.

Signal Transducer and Activator of Transcription 3 (STAT3) also called p-stat3 or phospho-STAT3 is a critical transcription factor involved in various cellular processes. The molecular weight of STAT3 is approximately 92 kDa. This protein is expressed broadly across many tissues and cell types. Mechanically upon cytokine or growth factor stimulation STAT3 undergoes phosphorylation resulting in dimerization. This phosphorylated form often referred to as phospho-Stat3 or p-STAT3 translocates to the nucleus where it binds specific DNA sequences to modulate gene transcription.
Biological function summary

STAT3 is an important player in regulating cell growth and apoptosis. It functions not only as a transcription factor but also as part of a larger protein complex that operates within the cell nucleus to influence gene expression. This multifaceted role enables STAT3 to control the expression of genes related to cell proliferation survival and differentiation impacting various biological processes. These functions highlight its importance in tissue homeostasis and response to extracellular signals.

Pathways

STAT3 is actively involved in the JAK-STAT signaling pathway a principal route for many cytokines and growth factors and the MAPK pathway. STAT3 interacts with proteins such as JAK kinases which phosphorylate Stat3 and initiate the STAT3 signaling cascade. Additionally it closely associates with the protein Raf1 in the MAPK pathway linking external signals to transcriptional responses. These pathways play a significant role in immune response inflammation and growth signaling.

Researchers have implicated STAT3 in cancer and autoimmune diseases. Persistent activation of STAT3 is often observed in various cancers including breast and lung cancer promoting oncogenesis through altered gene expression. Additionally abnormal STAT3 signaling is associated with autoimmune conditions such as rheumatoid arthritis. The interplay between STAT3 and proteins like IL-6 in these diseases highlights its potential as a therapeutic target for intervention.

Product protocols

For this product, it's our understanding that no specific protocols are required. You can visit:

Target data

Signal transducer and transcription activator that mediates cellular responses to interleukins, KITLG/SCF, LEP and other growth factors (PubMed : 10688651, PubMed : 12359225, PubMed : 12873986, PubMed : 15194700, PubMed : 15653507, PubMed : 16285960, PubMed : 17344214, PubMed : 18242580, PubMed : 18782771, PubMed : 22306293, PubMed : 23084476, PubMed : 28262505, PubMed : 32929201, PubMed : 38404237). Once activated, recruits coactivators, such as NCOA1 or MED1, to the promoter region of the target gene (PubMed : 15653507, PubMed : 16285960, PubMed : 17344214, PubMed : 18782771, PubMed : 28262505, PubMed : 32929201). May mediate cellular responses to activated FGFR1, FGFR2, FGFR3 and FGFR4 (PubMed : 12873986). Upon activation of IL6ST/gp130 signaling by interleukin-6 (IL6), binds to the IL6-responsive elements identified in the promoters of various acute-phase protein genes (PubMed : 12359225). Activated by IL31 through IL31RA (PubMed : 15194700). Acts as a regulator of inflammatory response by regulating differentiation of naive CD4(+) T-cells into T-helper Th17 or regulatory T-cells (Treg) : acetylation promotes its transcription activity and cell differentiation while deacetylation and oxidation of lysine residues by LOXL3 inhibits differentiation (PubMed : 28065600, PubMed : 28262505). Involved in cell cycle regulation by inducing the expression of key genes for the progression from G1 to S phase, such as CCND1 (PubMed : 17344214). Mediates the effects of LEP on melanocortin production, body energy homeostasis and lactation (By similarity). May play an apoptotic role by transctivating BIRC5 expression under LEP activation (PubMed : 18242580). Cytoplasmic STAT3 represses macroautophagy by inhibiting EIF2AK2/PKR activity (PubMed : 23084476). Plays a crucial role in basal beta cell functions, such as regulation of insulin secretion (By similarity). Following JAK/STAT signaling activation and as part of a complex with NFATC3 and NFATC4, binds to the alpha-beta E4 promoter region of CRYAB and activates transcription in cardiomyocytes (By similarity).
See full target information STAT3 phospho S727

Publications (2)

Recent publications for all applications. Explore the full list and refine your search

Frontiers in immunology 15:1373321 PubMed38596684

2024

IL-22 signaling promotes sorafenib resistance in hepatocellular carcinoma via STAT3/CD155 signaling axis.

Applications

Unspecified application

Species

Unspecified reactive species

Junzhang Chen,Shiran Sun,Hui Li,Xiong Cai,Chidan Wan

Experimental and therapeutic medicine 14:3583-3588 PubMed29042952

2017

Protective effect of ulinastatin on severe pulmonary infection under immunosuppression and its molecular mechanism.

Applications

Unspecified application

Species

Unspecified reactive species

Wenshuai Liu,Guozhong Pang,Shengyan Wang,Aiqin Sun
View all publications
chicCutRunSequencingBooklet
en

Product promise

We are committed to supporting your work with high-quality reagents, and we're here for you every step of the way. In the unlikely event that one of our products does not perform as expected, you're protected by our Product Promise.
For full details, please see our Terms & Conditions

Please note: All products are 'FOR RESEARCH USE ONLY. NOT FOR USE IN DIAGNOSTIC OR THERAPEUTIC PROCEDURES'.

For licensing inquiries, please contact partnerships@abcam.com