JavaScript is disabled in your browser. Please enable JavaScript to view this website.
AB267373

Anti-STAT3 (phospho Y705) antibody [EPR23968-52]

  • BOND RX™ Validated
  • KO Validated
  • RabMAb
  • Recombinant
  • Lab Essentials
  • 20ul selling size
  • What is this?

Be the first to review this product! Submit a review

|

(114 Publications)

Anti-STAT3 (phospho Y705) antibody [EPR23968-52] (ab267373) is a rabbit monoclonal antibody detecting STAT3 in Western Blot, Flow Cytometry (Intra), Flow Cytometry, IP, IHC-P, ICC/IF, ChIP, Dot Blot. Suitable for Human.

- KO validated for confirmed specificity
- Biophysical QC for unrivalled batch-batch consistency
- Over 40 publications

View Alternative Names

APRF, STAT3, Signal transducer and activator of transcription 3, Acute-phase response factor

11 Images
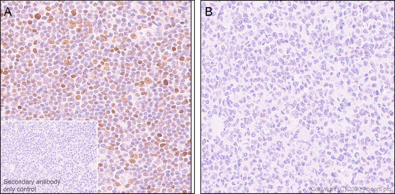
Immunohistochemistry (Formalin/PFA-fixed paraffin-embedded sections) - Anti-STAT3 (phospho Y705) antibody [EPR23968-52] (AB267373)
  • IHC-P

Supplier Data

Immunohistochemistry (Formalin/PFA-fixed paraffin-embedded sections) - Anti-STAT3 (phospho Y705) antibody [EPR23968-52] (AB267373)

Immunohistochemical analysis of paraffin-embedded human tonsil tissue labeling STAT3 (phospho Y705) with ab267373 at 1/500 dilution followed by ready to use Rabbit specific IHC polymer detection kit HRP/DAB (ab209101). Nuclear staining on human tonsil without alkaline phosphatase treatment (image A) is observed. No signal was detected when tissues were treated with alkaline phosphatase (image B). The section was incubated with ab267373 for 30 mins at room temperature. The immunostaining was performed on a Leica Biosystems BOND® RX instrument. Counterstained with Hematoxylin.

Secondary antibody only control : Secondary antibody is ready to use Rabbit specific IHC polymer detection kit HRP/DAB (ab209101).

Heat mediated antigen retrieval with Tris-EDTA buffer (pH 9.0, epitope retrieval solution2) for 20 mins.

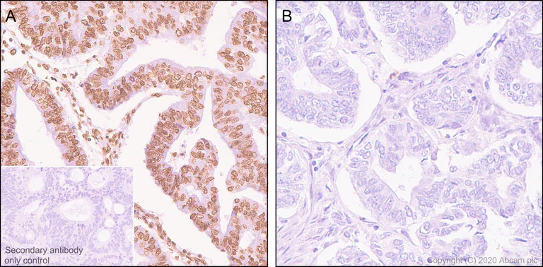
Immunohistochemistry (Formalin/PFA-fixed paraffin-embedded sections) - Anti-STAT3 (phospho Y705) antibody [EPR23968-52] (AB267373)
  • IHC-P

Supplier Data

Immunohistochemistry (Formalin/PFA-fixed paraffin-embedded sections) - Anti-STAT3 (phospho Y705) antibody [EPR23968-52] (AB267373)

Immunohistochemical analysis of paraffin-embedded human endometrial carcinoma tissue labeling STAT3 (phospho Y705) with ab267373 at 1/500 dilution followed by ready to use Rabbit specific IHC polymer detection kit HRP/DAB (ab209101). Nuclear staining on human endometrial carcinoma without alkaline phosphatase treatment (image A) is observed. No signal was detected when tissues were treated with alkaline phosphatase (image B). The section was incubated with ab267373 for 30 mins at room temperature. The immunostaining was performed on a Leica Biosystems BOND® RX instrument. Counterstained with Hematoxylin.

Secondary antibody only control : Secondary antibody is ready to use Rabbit specific IHC polymer detection kit HRP/DAB (ab209101).

Heat mediated antigen retrieval with Tris-EDTA buffer (pH 9.0, epitope retrieval solution2) for 20 mins.

Immunocytochemistry/ Immunofluorescence - Anti-STAT3 (phospho Y705) antibody [EPR23968-52] (AB267373)
  • ICC/IF

Supplier Data

Immunocytochemistry/ Immunofluorescence - Anti-STAT3 (phospho Y705) antibody [EPR23968-52] (AB267373)

Immunofluorescent analysis of 4% Paraformaldehyde-fixed, 100% Methanol-permeabilized STAT3 KO HeLa cells labelling STAT3 (phospho Y705) with ab267373 at 1/500 dilution, followed by ab150077 Goat Anti-Rabbit IgG H&L (Alexa Fluor® 488) antibody at 1/1000 dilution (Green).

Confocal image showing increased nuclear staining in parental HeLa cells treated with IFN-alpha (50 ng/ml) for 30 min, and no staining in STAT3 knockout HeLa cells treated with IFN-alpha (50 ng/ml) for 30 min.

ab195889 Anti-alpha Tubulin mouse monoclonal antibody - Microtubule Marker (Alexa Fluor® 594) was used to counterstain tubulin at 1/200 dilution (Red). The nuclear counterstain was DAPI (Blue).

Flow Cytometry (Intracellular) - Anti-STAT3 (phospho Y705) antibody [EPR23968-52] (AB267373)
  • Flow Cyt (Intra)

Supplier Data

Flow Cytometry (Intracellular) - Anti-STAT3 (phospho Y705) antibody [EPR23968-52] (AB267373)

Flow cytometric analysis of 4% paraformaldehyde fixed 90% methanol permeabilized Jurkat (Human T cell leukemia T lymphocyte) treated with 50 ng/ml IFN-alpha for 30min (Red)/ Untreated control (Green) cells labelling STAT3 (phospho Y705) with ab267373 at 1/500 dilution (Red) compared with a Rabbit monoclonal IgG (ab172730) (Black) isotype control and an unlabelled control (cells without incubation with primary antibody and secondary antibody) (Blue).

A Goat anti rabbit IgG (Alexa Fluor® 488, ab150077 at 1/2000 dilution was used as the secondary antibody.

ChIP - Anti-STAT3 (phospho Y705) antibody [EPR23968-52] (AB267373)
  • ChIP

Supplier Data

ChIP - Anti-STAT3 (phospho Y705) antibody [EPR23968-52] (AB267373)

Chromatin was prepared from HepG2 (starved overnight) treated with IL-6 cells and HepG2 (starved overnight) non-treated according to the Abcam Dual-X-ChIP protocol*.

Cells were fixed with 1.5 mM EGS for 30mins and then formaldehyde for 10min.

The ChIP was performed with 25 μg of chromatin, 5 μg of ab267373 (red), or 5 μg of rabbit normal IgG ab172730 (gray) and 25 μl of Protein A/G Dynabeads. The immunoprecipitated DNA was quantified by real time PCR (Sybr green approach).
Primers are purchased from competitor.
*http : //www.abcam.com/resources?keywords=X%20ChIP%20protocol

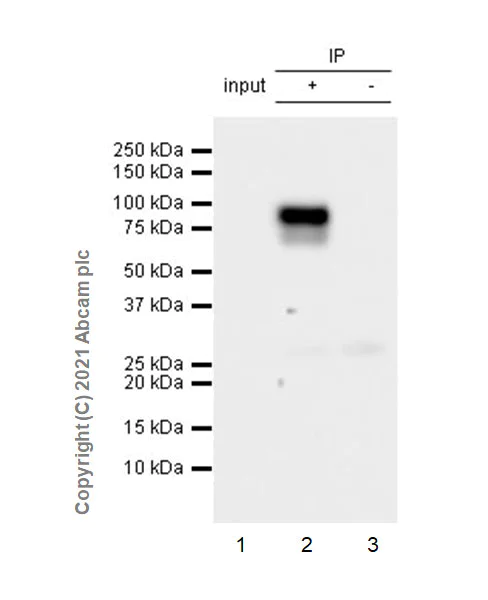
Immunoprecipitation - Anti-STAT3 (phospho Y705) antibody [EPR23968-52] (AB267373)
  • IP

Supplier Data

Immunoprecipitation - Anti-STAT3 (phospho Y705) antibody [EPR23968-52] (AB267373)

STAT3 (phospho Y705) was immunoprecipitated from 0.35 mg Jurkat (human t cell leukemia cell line from peripheral blood) treated with 50 ng/ml IFN alpha for 30 minutes, whole cell lysate 10 μg with ab267373 at 1/30 dilution (2μg in 0.35mg lysates). Western blot was performed on the immunoprecipitate using ab267373 at 1/1000 dilution. VeriBlot for IP Detection Reagent (HRP)(ab131366) was used at 1/5000 dilution.

Lane 1 : Jurkat treated with 50 ng/ml IFN alpha for 30 minutes, whole cell lysate 10 μg

Lane 2 : ab267373 IP in Jurkat treated with 50 ng/ml IFN alpha for 30 minutes whole cell lysate

Lane 3 : Rabbit monoclonal IgG (ab172730) instead of ab267373 in Jurkat treated with 50 ng/ml IFN alpha for 30 minutes whole cell lysate

Blocking and dilution buffer and concentration : 5% NFDM/TBST.

Exposure time : 15 seconds.

All lanes:

Immunoprecipitation - Anti-STAT3 (phospho Y705) antibody [EPR23968-52] (ab267373)

Predicted band size: 88 kDa

Observed band size: 88 kDa

false

Western blot - Anti-STAT3 (phospho Y705) antibody [EPR23968-52] (AB267373)
  • WB

Lab

Western blot - Anti-STAT3 (phospho Y705) antibody [EPR23968-52] (AB267373)

Blocking and diluting buffer and concentration : 5% NFDM/TBST.

IFN alpha treatment induces phosphorylation of STAT3 at Tyr705 (PMID : 21957129).

Lysates were made freshly and used in WB immediately to minimize protein degradation.

Exposure time : 3 minutes.

All lanes:

Western blot - Anti-STAT3 (phospho Y705) antibody [EPR23968-52] (ab267373) at 1/1000 dilution

Lane 1:

HeLa (human cervix adenocarcinoma epithelial cell) serum starved overnight, whole cell lysate at 20 µg

Lane 2:

HeLa serum starved overnight, then treated with 50 ng/ml IFN alpha for 30 minutes, whole cell lysate at 20 µg

Secondary

All lanes:

Western blot - Goat Anti-Rabbit IgG H&L (HRP) (<a href='/en-us/products/secondary-antibodies/goat-rabbit-igg-h-l-hrp-ab97051'>ab97051</a>) at 1/20000 dilution

Predicted band size: 88 kDa

Observed band size: 88 kDa

false

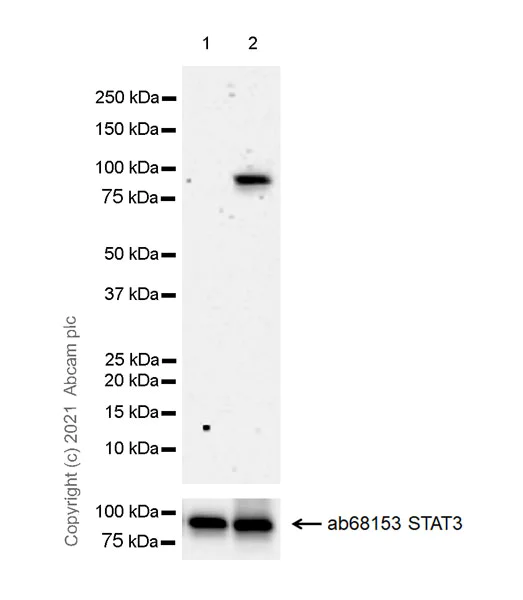
Western blot - Anti-STAT3 (phospho Y705) antibody [EPR23968-52] (AB267373)
  • WB

Lab

Western blot - Anti-STAT3 (phospho Y705) antibody [EPR23968-52] (AB267373)

Blocking and diluting buffer and concentration : 5% NFDM/TBST.

IL-6 treatment induces phosphorylation of STAT3 at Tyr705 (PMID : 28676732).

Lysates were made freshly and used in WB immediately to minimize protein degradation.

Exposure time : 26 seconds.

All lanes:

Western blot - Anti-STAT3 (phospho Y705) antibody [EPR23968-52] (ab267373) at 1/1000 dilution

Lane 1:

HepG2 (human hepatocellular carcinoma epithelial cell) serum starved overnight, whole cell lysate at 20 µg

Lane 2:

HepG2 serum starved overnight, then treated with 100 ng/ml IL-6 for 30 minutes, whole cell lysate at 20 µg

Secondary

All lanes:

Western blot - Goat Anti-Rabbit IgG H&L (HRP) (<a href='/en-us/products/secondary-antibodies/goat-rabbit-igg-h-l-hrp-ab97051'>ab97051</a>) at 1/20000 dilution

Predicted band size: 88 kDa

Observed band size: 88 kDa

false

Western blot - Anti-STAT3 (phospho Y705) antibody [EPR23968-52] (AB267373)
  • WB

Lab

Western blot - Anti-STAT3 (phospho Y705) antibody [EPR23968-52] (AB267373)

Blocking and diluting buffer and concentration : Intercept® (TBS) Blocking Buffer diluted with an equal volume of 0.1% TBS.

Lanes 1-4 : Merged signal (red and green). Green - ab267373 observed at 88 kDa. Red - loading control ab8245 (Mouse monoclonal [6C5] to GAPDH) observed at 36 kDa.

Lanes 1-2 : ab267373 Anti-STAT3 (phospho Y705) antibody [EPR23968-52] was shown to specifically react with STAT3 in wild-type serum starved and then IFN alpha treated HeLa cells. Loss of signal was observed when serum starved and then IFN alpha treated knockout cell line ab255436 (knockout cell lysate ab263797) was used. Wild-type and STAT3 knockout samples were subjected to SDS-PAGE. ab267373 and Anti-GAPDH antibody [6C5] - Loading Control (ab8245) were incubated at 4°C overnight at 1 in 1000 dilution and 1 in 20000 dilution respectively. Blots were developed with Goat anti-Rabbit IgG H&L (IRDye® 800CW) preadsorbed (ab216773) and Goat anti-Mouse IgG H&L (IRDye® 680RD) preadsorbed (ab216776) secondary antibodies at 1 in 10000 dilution for 1 hour at room temperature before imaging.

Lysates loaded onto lanes 3-4 were made freshly and used in WB immediately to minimize protein degradation.

All lanes:

Western blot - Anti-STAT3 (phospho Y705) antibody [EPR23968-52] (ab267373) at 1/1000 dilution

Lane 1:

Wild-type HeLa (human cervix adenocarcinoma epithelial cell) serum starved overnight, then treated with 50 ng/ml IFN alpha for 30 minutes, whole cell lysate at 20 µg

Lane 2:

STAT3 knockout HeLa serum starved overnight, then treated with 50 ng/ml IFN alpha for 30 minutes, whole cell lysate at 20 µg

Lane 2:

Western blot - Human STAT3 knockout HeLa cell line (<a href='/en-us/products/cell-lines/human-stat3-knockout-hela-cell-line-ab255436'>ab255436</a>)

Lane 3:

Jurkat (human t cell leukemia cell line from peripheral blood) treated with 50 ng/ml IFN alpha for 30 minutes, whole cell lysate at 20 µg

Lane 4:

HepG2 (human hepatocellar carcinoma epithelial cell) serum starved overnight, then treated with 100 ng/ml IL-6 for 30 minutes, whole cell lysate at 20 µg

Secondary

All lanes:

Goat Anti-Rabbit IgG H&L (IRDye® 800CW) (<a href='/en-us/products/secondary-antibodies/goat-rabbit-igg-h-l-irdye-800cw-preadsorbed-ab216773'>ab216773</a>) and Goat Anti-Mouse IgG H&L (IRDye® 680RD) (<a href='/en-us/products/secondary-antibodies/goat-mouse-igg-h-l-irdye-680rd-preadsorbed-ab216776'>ab216776</a>) at 1/10000 dilution

Predicted band size: 88 kDa

Observed band size: 88 kDa

false

Western blot - Anti-STAT3 (phospho Y705) antibody [EPR23968-52] (AB267373)
  • WB

Lab

Western blot - Anti-STAT3 (phospho Y705) antibody [EPR23968-52] (AB267373)

Blocking and diluting buffer and concentration : Intercept® (TBS) Blocking Buffer diluted with an equal volume of 0.1% TBS.

Lanes 1-4 : Merged signal (red and green). Green - ab267373 observed at 88 kDa. Red - loading control ab8245 (Mouse monoclonal [6C5] to GAPDH) observed at 36 kDa.

Lanes 1-2 : ab267373 Anti-STAT3 (phospho Y705) antibody [EPR23968-52] was shown to specifically react with STAT3 in wild-type serum starved and then IFN alpha treated HeLa cells. Loss of signal was observed when serum starved and then IFN alpha treated knockout cell line ab255436 (knockout cell lysate ab263797) was used. Wild-type and STAT3 knockout samples were subjected to SDS-PAGE. ab267373 and Anti-GAPDH antibody [6C5] - Loading Control (ab8245) were incubated at 4°C overnight at 1 in 1000 dilution and 1 in 20000 dilution respectively. Blots were developed with Goat anti-Rabbit IgG H&L (IRDye® 800CW) preadsorbed (ab216773) and Goat anti-Mouse IgG H&L (IRDye® 680RD) preadsorbed (ab216776) secondary antibodies at 1 in 10000 dilution for 1 hour at room temperature before imaging.

Lysates loaded onto lanes 3-4 were made freshly and used in WB immediately to minimize protein degradation.

All lanes:

Western blot - Anti-STAT3 (phospho Y705) antibody [EPR23968-52] (ab267373) at 1/1000 dilution

Lane 1:

Wild-type HeLa (human cervix adenocarcinoma epithelial cell) serum starved overnight, then treated with 50 ng/ml IFN alpha for 30 minutes, whole cell lysate at 20 µg

Lane 2:

STAT3 knockout HeLa serum starved overnight, then treated with 50 ng/ml IFN alpha for 30 minutes, whole cell lysate at 20 µg

Lane 3:

Jurkat (human t cell leukemia cell line from peripheral blood) treated with 50 ng/ml IFN alpha for 30 minutes, whole cell lysate at 20 µg

Lane 4:

HepG2 (human hepatocellar carcinoma epithelial cell) serum starved overnight, then treated with 100 ng/ml IL-6 for 30 minutes, whole cell lysate at 20 µg

Secondary

All lanes:

Goat Anti-Rabbit IgG H&L (IRDye® 800CW) (<a href='/en-us/products/secondary-antibodies/goat-rabbit-igg-h-l-irdye-800cw-preadsorbed-ab216773'>ab216773</a>) and Goat Anti-Mouse IgG H&L (IRDye® 680RD) (<a href='/en-us/products/secondary-antibodies/goat-mouse-igg-h-l-irdye-680rd-preadsorbed-ab216776'>ab216776</a>) at 1/10000 dilution

Predicted band size: 88 kDa

Observed band size: 88 kDa

false

Dot Blot - Anti-STAT3 (phospho Y705) antibody [EPR23968-52] (AB267373)
  • Dot

Supplier Data

Dot Blot - Anti-STAT3 (phospho Y705) antibody [EPR23968-52] (AB267373)

Dot blot analysis of STAT3 (phospho Y705) using ab267373 at 1/1000 followed by a Goat Anti-Rabbit IgG, (H+L), Peroxidase conjugated (ab97051) at 1 : 100,000 dilution.

Lane 1 : STAT3 phospho Y705 peptide (aa700-710)

Lane 2 : Unmodified STAT3 peptide (aa698-710)

Exposure time : 3 minutes.

Blocking and diluting buffer and concentration : 5% NFDM/TBST.

  • Carrier free

    Anti-STAT3 (phospho Y705) antibody [EPR23968-52] - BSA and Azide free

Key facts

Host species

Rabbit

Clonality

Monoclonal

Clone number

EPR23968-52

Isotype

IgG

Carrier free

No

Reacts with

Human

Applications

Flow Cyt (Intra), ChIP, IHC-P, ICC/IF, IP, WB, Dot

applications

Immunogen

The exact immunogen used to generate this antibody is proprietary information.

Reactivity data

{ "title": "Reactivity Data", "filters": { "stats": ["", "Species", "Dilution Info", "Notes"], "tabs": { "all-applications": {"fullname" : "All Applications", "shortname": "All Applications"}, "ICCIF" : {"fullname" : "Immunocytochemistry/ Immunofluorescence", "shortname":"ICC/IF"}, "IP" : {"fullname" : "Immunoprecipitation", "shortname":"IP"}, "ChIP" : {"fullname" : "ChIP", "shortname":"ChIP"}, "Dot" : {"fullname" : "Dot Blot", "shortname":"Dot"}, "WB" : {"fullname" : "Western blot", "shortname":"WB"}, "FlowCytIntra" : {"fullname" : "Flow Cytometry (Intracellular)", "shortname":"Flow Cyt (Intra)"}, "IHCP" : {"fullname" : "Immunohistochemistry (Formalin/PFA-fixed paraffin-embedded sections)", "shortname":"IHC-P"} }, "product-promise": { "all": "all", "testedAndGuaranteed": "tested", "guaranteed": "expected", "predicted": "predicted", "notRecommended": "not-recommended" } }, "values": { "Human": { "ICCIF-species-checked": "testedAndGuaranteed", "ICCIF-species-dilution-info": "1/500", "ICCIF-species-notes": "<p></p>", "IP-species-checked": "testedAndGuaranteed", "IP-species-dilution-info": "1/30", "IP-species-notes": "<p></p>", "ChIP-species-checked": "testedAndGuaranteed", "ChIP-species-dilution-info": "5 µg for 25 µg chromatin", "ChIP-species-notes": "<p></p>", "Dot-species-checked": "guaranteed", "Dot-species-dilution-info": "", "Dot-species-notes": "", "WB-species-checked": "testedAndGuaranteed", "WB-species-dilution-info": "1/1000", "WB-species-notes": "<p></p>", "FlowCytIntra-species-checked": "testedAndGuaranteed", "FlowCytIntra-species-dilution-info": "1/500", "FlowCytIntra-species-notes": "<p></p>", "IHCP-species-checked": "testedAndGuaranteed", "IHCP-species-dilution-info": "1/500", "IHCP-species-notes": "<p></p>" }, "Mouse": { "ICCIF-species-checked": "notRecommended", "ICCIF-species-dilution-info": "", "ICCIF-species-notes": "", "IP-species-checked": "notRecommended", "IP-species-dilution-info": "", "IP-species-notes": "", "ChIP-species-checked": "notRecommended", "ChIP-species-dilution-info": "", "ChIP-species-notes": "", "Dot-species-checked": "notRecommended", "Dot-species-dilution-info": "", "Dot-species-notes": "", "WB-species-checked": "notRecommended", "WB-species-dilution-info": "1/1000", "WB-species-notes": "<p></p>", "FlowCytIntra-species-checked": "notRecommended", "FlowCytIntra-species-dilution-info": "", "FlowCytIntra-species-notes": "", "IHCP-species-checked": "notRecommended", "IHCP-species-dilution-info": "1/500", "IHCP-species-notes": "<p></p>" }, "Rat": { "ICCIF-species-checked": "notRecommended", "ICCIF-species-dilution-info": "", "ICCIF-species-notes": "", "IP-species-checked": "notRecommended", "IP-species-dilution-info": "", "IP-species-notes": "", "ChIP-species-checked": "notRecommended", "ChIP-species-dilution-info": "", "ChIP-species-notes": "", "Dot-species-checked": "notRecommended", "Dot-species-dilution-info": "", "Dot-species-notes": "", "WB-species-checked": "notRecommended", "WB-species-dilution-info": "1/1000", "WB-species-notes": "<p></p>", "FlowCytIntra-species-checked": "notRecommended", "FlowCytIntra-species-dilution-info": "", "FlowCytIntra-species-notes": "", "IHCP-species-checked": "notRecommended", "IHCP-species-dilution-info": "1/500", "IHCP-species-notes": "<p></p>" }, "Synthetic peptide - Human": { "ICCIF-species-checked": "notRecommended", "ICCIF-species-dilution-info": "", "ICCIF-species-notes": "", "IP-species-checked": "notRecommended", "IP-species-dilution-info": "", "IP-species-notes": "", "ChIP-species-checked": "notRecommended", "ChIP-species-dilution-info": "", "ChIP-species-notes": "", "Dot-species-checked": "testedAndGuaranteed", "Dot-species-dilution-info": "1/1000", "Dot-species-notes": "<p></p>", "WB-species-checked": "notRecommended", "WB-species-dilution-info": "", "WB-species-notes": "", "FlowCytIntra-species-checked": "notRecommended", "FlowCytIntra-species-dilution-info": "", "FlowCytIntra-species-notes": "", "IHCP-species-checked": "notRecommended", "IHCP-species-dilution-info": "", "IHCP-species-notes": "" } } }

Product details

What is this antibody validated in?
Anti-STAT3 (phospho Y705) antibody [EPR23968-52] (ab267373) is a rabbit recombinant monoclonal antibody and is validated for use in Western Blot (WB), Flow Cytometry (Intra), Flow Cytometry (Flow Cyt), Immunoprecipitation (IP), Immunohistochemistry (IHC-P), Immunocytochemistry/immunofluorescence (ICC/IF), ChIP, Dot Blot in Human samples.

What is the molecular weight of STAT3?
Anti-STAT3 (phospho Y705) [EPR23968-52] (ab267373) specifically detects a band for STAT3 (UniProt: P40763) at a molecular weight of 88kDa.

Trusted by the scientific community
Anti-STAT3 (phospho Y705) [EPR23968-52] (ab267373) was first used in a scientific publication in 2021 and has been cited over 40 times in peer-reviewed journals.

Trial sizes available!
Test your antibody or perform pre-screening before committing to a larger quantity. Sold in 10µl. Discover our selection of trial-size antibodies.

Specificity confirmed
The specificity of Anti-STAT3 (phospho Y705) antibody [EPR23968-52] (ab267373) has been confirmed by Western blot testing in STAT3 Knockout HeLa cell line, ab255436.

Other related products
We have a range of other formats of antibody clone [EPR23968-52] also available for your convenience: ab267373, Carrier free - ab280202

Patented technology
Our RabMAb® technology is a patented hybridoma-based technology for making rabbit monoclonal antibodies. For details on our patents, please refer to RabMAb® patents.

What are the advantages of a recombinant monoclonal antibody?
This product is a recombinant monoclonal antibody, which offers several advantages including:

  • - High batch-to-batch consistency and reproducibility
  • - Improved sensitivity and specificity
  • - Long-term security of supply
  • - Animal-free batch production

For more information, read more on recombinant antibodies.

Properties and storage information

Form
Liquid
Purification technique
Affinity purification Protein A
Storage buffer
Preservative: 0.01% Sodium azide Constituents: PBS, 40% Glycerol (glycerin, glycerine), 0.05% BSA
Shipped at conditions
Blue Ice
Appropriate short-term storage duration
1-2 weeks
Appropriate short-term storage conditions
+4°C
Appropriate long-term storage conditions
-20°C
Aliquoting information
Upon delivery aliquot
Storage information
Avoid freeze / thaw cycle

Supplementary information

This supplementary information is collated from multiple sources and compiled automatically.

Signal Transducer and Activator of Transcription 3 (STAT3) also called p-stat3 or phospho-STAT3 is a critical transcription factor involved in various cellular processes. The molecular weight of STAT3 is approximately 92 kDa. This protein is expressed broadly across many tissues and cell types. Mechanically upon cytokine or growth factor stimulation STAT3 undergoes phosphorylation resulting in dimerization. This phosphorylated form often referred to as phospho-Stat3 or p-STAT3 translocates to the nucleus where it binds specific DNA sequences to modulate gene transcription.
Biological function summary

STAT3 is an important player in regulating cell growth and apoptosis. It functions not only as a transcription factor but also as part of a larger protein complex that operates within the cell nucleus to influence gene expression. This multifaceted role enables STAT3 to control the expression of genes related to cell proliferation survival and differentiation impacting various biological processes. These functions highlight its importance in tissue homeostasis and response to extracellular signals.

Pathways

STAT3 is actively involved in the JAK-STAT signaling pathway a principal route for many cytokines and growth factors and the MAPK pathway. STAT3 interacts with proteins such as JAK kinases which phosphorylate Stat3 and initiate the STAT3 signaling cascade. Additionally it closely associates with the protein Raf1 in the MAPK pathway linking external signals to transcriptional responses. These pathways play a significant role in immune response inflammation and growth signaling.

Researchers have implicated STAT3 in cancer and autoimmune diseases. Persistent activation of STAT3 is often observed in various cancers including breast and lung cancer promoting oncogenesis through altered gene expression. Additionally abnormal STAT3 signaling is associated with autoimmune conditions such as rheumatoid arthritis. The interplay between STAT3 and proteins like IL-6 in these diseases highlights its potential as a therapeutic target for intervention.

Product protocols

For this product, it's our understanding that no specific protocols are required. You can visit:

Target data

Signal transducer and transcription activator that mediates cellular responses to interleukins, KITLG/SCF, LEP and other growth factors (PubMed : 10688651, PubMed : 12359225, PubMed : 12873986, PubMed : 15194700, PubMed : 15653507, PubMed : 16285960, PubMed : 17344214, PubMed : 18242580, PubMed : 18782771, PubMed : 22306293, PubMed : 23084476, PubMed : 28262505, PubMed : 32929201, PubMed : 38404237). Once activated, recruits coactivators, such as NCOA1 or MED1, to the promoter region of the target gene (PubMed : 15653507, PubMed : 16285960, PubMed : 17344214, PubMed : 18782771, PubMed : 28262505, PubMed : 32929201). May mediate cellular responses to activated FGFR1, FGFR2, FGFR3 and FGFR4 (PubMed : 12873986). Upon activation of IL6ST/gp130 signaling by interleukin-6 (IL6), binds to the IL6-responsive elements identified in the promoters of various acute-phase protein genes (PubMed : 12359225). Activated by IL31 through IL31RA (PubMed : 15194700). Acts as a regulator of inflammatory response by regulating differentiation of naive CD4(+) T-cells into T-helper Th17 or regulatory T-cells (Treg) : acetylation promotes its transcription activity and cell differentiation while deacetylation and oxidation of lysine residues by LOXL3 inhibits differentiation (PubMed : 28065600, PubMed : 28262505). Involved in cell cycle regulation by inducing the expression of key genes for the progression from G1 to S phase, such as CCND1 (PubMed : 17344214). Mediates the effects of LEP on melanocortin production, body energy homeostasis and lactation (By similarity). May play an apoptotic role by transctivating BIRC5 expression under LEP activation (PubMed : 18242580). Cytoplasmic STAT3 represses macroautophagy by inhibiting EIF2AK2/PKR activity (PubMed : 23084476). Plays a crucial role in basal beta cell functions, such as regulation of insulin secretion (By similarity). Following JAK/STAT signaling activation and as part of a complex with NFATC3 and NFATC4, binds to the alpha-beta E4 promoter region of CRYAB and activates transcription in cardiomyocytes (By similarity).
See full target information STAT3 phospho Y705

Publications (114)

Recent publications for all applications. Explore the full list and refine your search

Cell division 20:22 PubMed41039618

2025

FGF4 drives tumor progression in triple-negative breast cancer via IL6/STAT3-mediated macrophage M2 polarization and immune suppression.

Applications

Unspecified application

Species

Unspecified reactive species

Xuanhe Zhang,Shushan Zhang,Yuanyuan Han

Neoplasia (New York, N.Y.) 68:101219 PubMed40840329

2025

Prkci activates Jak2/Stat3 signaling to promote tumor angiogenesis: Short Name: Prkci in tumor angiogenesis.

Applications

Unspecified application

Species

Unspecified reactive species

Peng Li,Guangshi Liu,Wenbin Zhang,Tao Li,Xinhui Yang

Frontiers in pharmacology 16:1625286 PubMed40832613

2025

Huangkui capsule combined with finerenone attenuates diabetic nephropathy by regulating the JAK2/STAT3 signaling pathway based on network pharmacology, molecular docking, and experimental verification.

Applications

Unspecified application

Species

Unspecified reactive species

Xuanke Liu,Chunjiang Zhang,YanJie Fu,JingJing Dai,Jiaying Lu,Gang Liu,Xiaoping Yang

Frontiers in oncology 15:1604377 PubMed40799250

2025

RNLS promotes ovarian cancer growth and inhibits ferroptosis via mediating STAT3.

Applications

Unspecified application

Species

Unspecified reactive species

Liang Lin,Zuolian Xie,Peilin Zhong,Jian Chen,Ning Ma,Ling Li,Li Chen,An Lin

Materials today. Bio 33:102027 PubMed40677394

2025

Deliver CEBPE via cartilage targeting Lipid nanoparticle to block CEBPE-LTF-STAT3 positive feedback loop for efficient treatment of cartilage endplate degeneration.

Applications

Unspecified application

Species

Unspecified reactive species

Jiangminghao Zhao,Peichuan Xu,Tao Li,Jinghong Yuan,Wenrui Zhao,Rui Ding,Guoyu Yang,Jiajun Xie,Guanfeng Huang,Zhidong Peng,Xinxin Miao,Xigao Cheng

Journal of nanobiotechnology 23:409 PubMed40457410

2025

Targeted tumor cell-intrinsic CTRP6 biomimetic codelivery synergistically amplifies ferroptosis and immune activation to boost anti-PD-L1 immunotherapy efficacy in lung cancer.

Applications

Unspecified application

Species

Unspecified reactive species

Songhua Cai,Jing Huang,Hongjie Fan,Zhilin Sui,Chujian Huang,Youjun Deng,Ran Jia,Lixu Wang,Kai Ma,Xiaotong Guo,Jie He,Baihua Zhang,Zhentao Yu

Theranostics 15:5826-5845 PubMed40365295

2025

GPX4 knockdown suppresses M2 macrophage polarization in gastric cancer by modulating kynurenine metabolism.

Applications

Unspecified application

Species

Unspecified reactive species

Jingli Xu,Chunyan Weng,Yanqiang Zhang,Qianyu Zhao,Jiahui Chen,Siwei Pan,Yan Wang,Ruolan Zhang,Yuqi Wang,Weiwei Zhu,Mengxuan Cao,Dan Zu,Shengjie Zhang,Zhiyuan Xu,Can Hu,Xiangdong Cheng

Physiological reports 13:e70360 PubMed40338178

2025

CIAPIN1 promotes proliferation and migration of PDGF-BB-activated airway smooth muscle cells via the PI3K/AKT and JAK2/STAT3 signaling pathways.

Applications

Unspecified application

Species

Unspecified reactive species

Ling Zhu,Jin Zhou,Yunfan Gu,Yongtian Xu,Yanfang Guo

Cell death & disease 16:278 PubMed40216763

2025

Inhibition of Rho GEFs attenuates pulmonary fibrosis through suppressing myofibroblast activation and reprogramming profibrotic macrophages.

Applications

Unspecified application

Species

Unspecified reactive species

Chengju Luo,Chenqi Huang,Yuqi Zhu,Yuxin Zhou,Yansheng Qiao,Chenxiao Shi,Yuan Gao,Yongjian Guo,Libin Wei

Advanced biology 9:e2400685 PubMed40197728

2025

Phytomolecule Epimedin C Mitigates Cartilage Extracellular Matrix Degradation and Osteoarthritis Progression in Rats.

Applications

Unspecified application

Species

Unspecified reactive species

Wenyao Yang,Xiangbo Meng,Jiming Li,Huijuan Cao,Ling Li,Cuishan Huang,Yingchao Wang,Wakam Chang,Sibylle Grad,Zhen Li,Ling Qin,Xinluan Wang
View all publications

Product promise

We are committed to supporting your work with high-quality reagents, and we're here for you every step of the way. In the unlikely event that one of our products does not perform as expected, you're protected by our Product Promise.
For full details, please see our Terms & Conditions

Please note: All products are 'FOR RESEARCH USE ONLY. NOT FOR USE IN DIAGNOSTIC OR THERAPEUTIC PROCEDURES'.

For licensing inquiries, please contact partnerships@abcam.com