JavaScript is disabled in your browser. Please enable JavaScript to view this website.
AB280202

Anti-STAT3 (phospho Y705) antibody [EPR23968-52] - BSA and Azide free

  • BOND RX™ Validated
  • RabMAb
  • Recombinant
  • KO Validated
  • What is this?

4

(2 Reviews)

|

(1 Publication)

Rabbit Recombinant Monoclonal STAT3 phospho Y705 antibody. Carrier free. Suitable for ICC/IF, IP, ChIP, Dot, WB, Flow Cyt (Intra), IHC-P and reacts with Human, Synthetic peptide - Human samples. Cited in 1 publication.

View Alternative Names

APRF, STAT3, Signal transducer and activator of transcription 3, Acute-phase response factor

10 Images
Immunohistochemistry (Formalin/PFA-fixed paraffin-embedded sections) - Anti-STAT3 (phospho Y705) antibody [EPR23968-52] - BSA and Azide free (AB280202)
  • IHC-P

Supplier Data

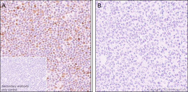
Immunohistochemistry (Formalin/PFA-fixed paraffin-embedded sections) - Anti-STAT3 (phospho Y705) antibody [EPR23968-52] - BSA and Azide free (AB280202)

This data was developed using ab267373, the same antibody clone in a different buffer formulation.

Immunohistochemical analysis of paraffin-embedded human tonsil tissue labeling STAT3 (phospho Y705) with ab267373 at 1/500 dilution followed by ready to use Rabbit specific IHC polymer detection kit HRP/DAB (ab209101). Nuclear staining on human tonsil without alkaline phosphatase treatment (image A) is observed. No signal was detected when tissues were treated with alkaline phosphatase (image B). The section was incubated with ab267373 for 30 mins at room temperature. The immunostaining was performed on a Leica Biosystems BOND® RX instrument. Counterstained with Hematoxylin.

Secondary antibody only control : Secondary antibody is ready to use Rabbit specific IHC polymer detection kit HRP/DAB (ab209101).

Heat mediated antigen retrieval with Tris-EDTA buffer (pH 9.0, epitope retrieval solution2) for 20 mins.

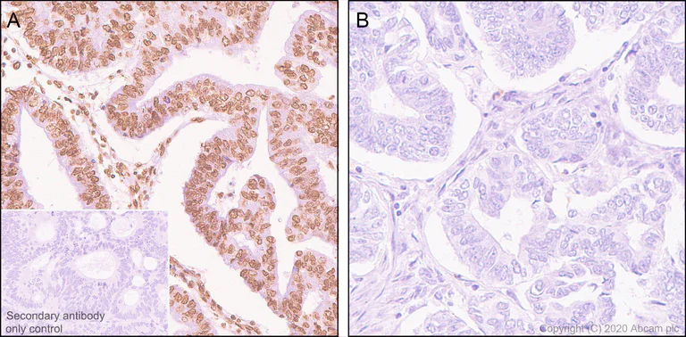
Immunohistochemistry (Formalin/PFA-fixed paraffin-embedded sections) - Anti-STAT3 (phospho Y705) antibody [EPR23968-52] - BSA and Azide free (AB280202)
  • IHC-P

Supplier Data

Immunohistochemistry (Formalin/PFA-fixed paraffin-embedded sections) - Anti-STAT3 (phospho Y705) antibody [EPR23968-52] - BSA and Azide free (AB280202)

This data was developed using ab267373, the same antibody clone in a different buffer formulation.

Immunohistochemical analysis of paraffin-embedded human endometrial carcinoma tissue labeling STAT3 (phospho Y705) with ab267373 at 1/500 dilution followed by ready to use Rabbit specific IHC polymer detection kit HRP/DAB (ab209101). Nuclear staining on human endometrial carcinoma without alkaline phosphatase treatment (image A) is observed. No signal was detected when tissues were treated with alkaline phosphatase (image B). The section was incubated with ab267373 for 30 mins at room temperature. The immunostaining was performed on a Leica Biosystems BOND® RX instrument. Counterstained with Hematoxylin.

Secondary antibody only control : Secondary antibody is ready to use Rabbit specific IHC polymer detection kit HRP/DAB (ab209101).

Heat mediated antigen retrieval with Tris-EDTA buffer (pH 9.0, epitope retrieval solution2) for 20 mins.

Immunocytochemistry/ Immunofluorescence - Anti-STAT3 (phospho Y705) antibody [EPR23968-52] - BSA and Azide free (AB280202)
  • ICC/IF

Supplier Data

Immunocytochemistry/ Immunofluorescence - Anti-STAT3 (phospho Y705) antibody [EPR23968-52] - BSA and Azide free (AB280202)

This data was developed using ab267373, the same antibody clone in a different buffer formulation.

Immunofluorescent analysis of 4% Paraformaldehyde-fixed, 100% Methanol-permeabilized STAT3 KO HeLa cells labelling STAT3 (phospho Y705) with ab267373 at 1/500 dilution, followed by ab150077 Goat Anti-Rabbit IgG H&L (Alexa Fluor® 488) antibody at 1/1000 dilution (Green).

Confocal image showing increased nuclear staining in parental HeLa cells treated with IFN-alpha (50 ng/ml) for 30 min, and no staining in STAT3 knockout HeLa cells treated with IFN-alpha (50 ng/ml) for 30 min.

ab195889 Anti-alpha Tubulin mouse monoclonal antibody - Microtubule Marker (Alexa Fluor® 594) was used to counterstain tubulin at 1/200 dilution (Red). The nuclear counterstain was DAPI (Blue).

Flow Cytometry (Intracellular) - Anti-STAT3 (phospho Y705) antibody [EPR23968-52] - BSA and Azide free (AB280202)
  • Flow Cyt (Intra)

Supplier Data

Flow Cytometry (Intracellular) - Anti-STAT3 (phospho Y705) antibody [EPR23968-52] - BSA and Azide free (AB280202)

This data was developed using ab267373, the same antibody clone in a different buffer formulation.

Intracellular flow cytometric analysis of 4% paraformaldehyde fixed 90% methanol permeabilized Jurkat (Human T cell leukemia T lymphocyte) treated with 50 ng/ml IFN-alpha for 30min (Red)/ Untreated control (Green) cells labelling STAT3 (phospho Y705) with ab267373 at 1/500 dilution (Red) compared with a Rabbit monoclonal IgG (ab172730) (Black) isotype control and an unlabelled control (cells without incubation with primary antibody and secondary antibody) (Blue).

A Goat anti rabbit IgG (Alexa Fluor®488, ab150077 at 1/2000 dilution was used as the secondary antibody.

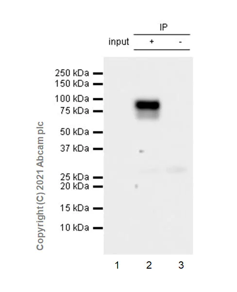
Immunoprecipitation - Anti-STAT3 (phospho Y705) antibody [EPR23968-52] - BSA and Azide free (AB280202)
  • IP

Supplier Data

Immunoprecipitation - Anti-STAT3 (phospho Y705) antibody [EPR23968-52] - BSA and Azide free (AB280202)

This data was developed using ab267373, the same antibody clone in a different buffer formulation.

STAT3 (phospho Y705) was immunoprecipitated from 0.35 mg Jurkat (human t cell leukemia cell line from peripheral blood) treated with 50 ng/ml IFN alpha for 30 minutes, whole cell lysate 10 μg with ab267373 at 1/30 dilution (2μg in 0.35mg lysates). Western blot was performed on the immunoprecipitate using ab267373 at 1/1000 dilution. VeriBlot for IP Detection Reagent (HRP)(ab131366) was used at 1/5000 dilution.

Lane 1 : Jurkat treated with 50 ng/ml IFN alpha for 30 minutes, whole cell lysate 10 μg

Lane 2 : ab267373 IP in Jurkat treated with 50 ng/ml IFN alpha for 30 minutes whole cell lysate

Lane 3 : Rabbit monoclonal IgG (ab172730) instead of ab267373 in Jurkat treated with 50 ng/ml IFN alpha for 30 minutes whole cell lysate

Blocking and dilution buffer and concentration : 5% NFDM/TBST.

Exposure time : 15 seconds.

All lanes:

Immunoprecipitation - Anti-STAT3 (phospho Y705) antibody [EPR23968-52] (<a href='/en-us/products/primary-antibodies/stat3-phospho-y705-antibody-epr23968-52-ab267373'>ab267373</a>)

Predicted band size: 88 kDa

Observed band size: 88 kDa

false

ChIP - Anti-STAT3 (phospho Y705) antibody [EPR23968-52] - BSA and Azide free (AB280202)
  • ChIP

Supplier Data

ChIP - Anti-STAT3 (phospho Y705) antibody [EPR23968-52] - BSA and Azide free (AB280202)

This data was developed using ab267373, the same antibody clone in a different buffer formulation.

Chromatin was prepared from HepG2 (starved overnight) treated with IL-6 cells and HepG2 (starved overnight) non-treated according to the Abcam Dual-X-ChIP protocol*.

Cells were fixed with 1.5 mM EGS for 30mins and then formaldehyde for 10min.

The ChIP was performed with 25 μg of chromatin, 5 μg of ab267373 (red), or 5 μg of rabbit normal IgG ab172730 (gray) and 25 μl of Protein A/G Dynabeads. The immunoprecipitated DNA was quantified by real time PCR (Sybr green approach).
Primers are purchased from competitor.
*http : //www.abcam.com/resources?keywords=X%20ChIP%20protocol

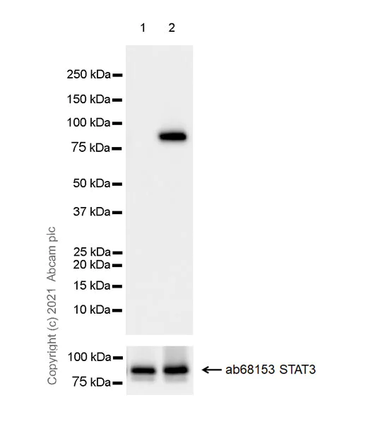
Western blot - Anti-STAT3 (phospho Y705) antibody [EPR23968-52] - BSA and Azide free (AB280202)
  • WB

Lab

Western blot - Anti-STAT3 (phospho Y705) antibody [EPR23968-52] - BSA and Azide free (AB280202)

This data was developed using ab267373, the same antibody clone in a different buffer formulation.

Blocking and diluting buffer and concentration : 5% NFDM/TBST.

IFN alpha treatment induces phosphorylation of STAT3 at Tyr705 (PMID : 21957129).

Lysates were made freshly and used in WB immediately to minimize protein degradation.

Exposure time : 3 minutes.

All lanes:

Western blot - Anti-STAT3 (phospho Y705) antibody [EPR23968-52] (<a href='/en-us/products/primary-antibodies/stat3-phospho-y705-antibody-epr23968-52-ab267373'>ab267373</a>) at 1/1000 dilution

Lane 1:

HeLa (human cervix adenocarcinoma epithelial cell) serum starved overnight, whole cell lysate at 20 µg

Lane 2:

HeLa serum starved overnight, then treated with 50 ng/ml IFN alpha for 30 minutes, whole cell lysate at 20 µg

Secondary

All lanes:

Western blot - Goat Anti-Rabbit IgG H&L (HRP) (<a href='/en-us/products/secondary-antibodies/goat-rabbit-igg-h-l-hrp-ab97051'>ab97051</a>) at 1/20000 dilution

Predicted band size: 88 kDa

Observed band size: 88 kDa

false

Western blot - Anti-STAT3 (phospho Y705) antibody [EPR23968-52] - BSA and Azide free (AB280202)
  • WB

Lab

Western blot - Anti-STAT3 (phospho Y705) antibody [EPR23968-52] - BSA and Azide free (AB280202)

This data was developed using ab267373, the same antibody clone in a different buffer formulation.

Blocking and diluting buffer and concentration : 5% NFDM/TBST.

IL-6 treatment induces phosphorylation of STAT3 at Tyr705 (PMID : 28676732).

Lysates were made freshly and used in WB immediately to minimize protein degradation.

Exposure time : 26 seconds.

All lanes:

Western blot - Anti-STAT3 (phospho Y705) antibody [EPR23968-52] (<a href='/en-us/products/primary-antibodies/stat3-phospho-y705-antibody-epr23968-52-ab267373'>ab267373</a>) at 1/1000 dilution

Lane 1:

HepG2 (human hepatocellular carcinoma epithelial cell) serum starved overnight, whole cell lysate at 20 µg

Lane 2:

HepG2 serum starved overnight, then treated with 100 ng/ml IL-6 for 30 minutes, whole cell lysate at 20 µg

Secondary

All lanes:

Western blot - Goat Anti-Rabbit IgG H&L (HRP) (<a href='/en-us/products/secondary-antibodies/goat-rabbit-igg-h-l-hrp-ab97051'>ab97051</a>) at 1/20000 dilution

Predicted band size: 88 kDa

Observed band size: 88 kDa

false

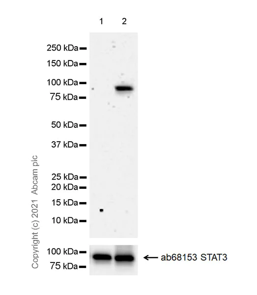
Western blot - Anti-STAT3 (phospho Y705) antibody [EPR23968-52] - BSA and Azide free (AB280202)
  • WB

Lab

Western blot - Anti-STAT3 (phospho Y705) antibody [EPR23968-52] - BSA and Azide free (AB280202)

This data was developed using ab267373, the same antibody clone in a different buffer formulation.

Blocking and diluting buffer and concentration : Intercept® (TBS) Blocking Buffer diluted with an equal volume of 0.1% TBS.

Lanes 1-4 : Merged signal (red and green). Green - ab267373 observed at 88 kDa. Red - loading control ab8245 (Mouse monoclonal [6C5] to GAPDH) observed at 36 kDa.

Lanes 1-2 : ab267373 Anti-STAT3 (phospho Y705) antibody [EPR23968-52] was shown to specifically react with STAT3 in wild-type serum starved and then IFN alpha treated HeLa cells. Loss of signal was observed when serum starved and then IFN alpha treated knockout cell line ab255436 (knockout cell lysate ab263797) was used. Wild-type and STAT3 knockout samples were subjected to SDS-PAGE. ab267373 and Anti-GAPDH antibody [6C5] - Loading Control (ab8245) were incubated at 4°C overnight at 1 in 1000 dilution and 1 in 20000 dilution respectively. Blots were developed with Goat anti-Rabbit IgG H&L (IRDye® 800CW) preadsorbed (ab216773) and Goat anti-Mouse IgG H&L (IRDye® 680RD) preadsorbed (ab216776) secondary antibodies at 1 in 10000 dilution for 1 hour at room temperature before imaging.

Lysates loaded onto lanes 3-4 were made freshly and used in WB immediately to minimize protein degradation.

All lanes:

Western blot - Anti-STAT3 (phospho Y705) antibody [EPR23968-52] (<a href='/en-us/products/primary-antibodies/stat3-phospho-y705-antibody-epr23968-52-ab267373'>ab267373</a>) at 1/1000 dilution

Lane 1:

Wild-type HeLa (human cervix adenocarcinoma epithelial cell) serum starved overnight, then treated with 50 ng/ml IFN alpha for 30 minutes, whole cell lysate at 20 µg

Lane 2:

STAT3 knockout HeLa serum starved overnight, then treated with 50 ng/ml IFN alpha for 30 minutes, whole cell lysate at 20 µg

Lane 2:

Western blot - Human STAT3 knockout HeLa cell line (<a href='/en-us/products/cell-lines/human-stat3-knockout-hela-cell-line-ab255436'>ab255436</a>)

Lane 3:

Jurkat (human t cell leukemia cell line from peripheral blood) treated with 50 ng/ml IFN alpha for 30 minutes, whole cell lysate at 20 µg

Lane 4:

HepG2 (human hepatocellar carcinoma epithelial cell) serum starved overnight, then treated with 100 ng/ml IL-6 for 30 minutes, whole cell lysate at 20 µg

Secondary

All lanes:

Goat Anti-Rabbit IgG H&L (IRDye® 800CW) (<a href='/en-us/products/secondary-antibodies/goat-rabbit-igg-h-l-irdye-800cw-preadsorbed-ab216773'>ab216773</a>) and Goat Anti-Mouse IgG H&L (IRDye® 680RD) (<a href='/en-us/products/secondary-antibodies/goat-mouse-igg-h-l-irdye-680rd-preadsorbed-ab216776'>ab216776</a>) at 1/10000 dilution

Predicted band size: 88 kDa

Observed band size: 88 kDa

false

Dot Blot - Anti-STAT3 (phospho Y705) antibody [EPR23968-52] - BSA and Azide free (AB280202)
  • Dot

Supplier Data

Dot Blot - Anti-STAT3 (phospho Y705) antibody [EPR23968-52] - BSA and Azide free (AB280202)

This data was developed using ab267373, the same antibody clone in a different buffer formulation.

Dot blot analysis of STAT3 (phospho Y705) using ab267373 at 1/1000 followed by a Goat Anti-Rabbit IgG, (H+L), Peroxidase conjugated (ab97051) at 1 : 100,000 dilution.

Lane 1 : STAT3 phospho Y705 peptide (aa700-710)

Lane 2 : Unmodified STAT3 peptide (aa698-710)

Exposure time : 3 minutes

Blocking and diluting buffer and concentration : 5% NFDM/TBST

  • Unconjugated

    Anti-STAT3 (phospho Y705) antibody [EPR23968-52]

Key facts

Host species

Rabbit

Clonality

Monoclonal

Clone number

EPR23968-52

Isotype

IgG

Carrier free

Yes

Reacts with

Human

Applications

ICC/IF, Dot, Flow Cyt (Intra), IHC-P, WB, IP, ChIP

applications

Immunogen

The exact immunogen used to generate this antibody is proprietary information.

Reactivity data

{ "title": "Reactivity Data", "filters": { "stats": ["", "Species", "Dilution Info", "Notes"], "tabs": { "all-applications": {"fullname" : "All Applications", "shortname": "All Applications"}, "ICCIF" : {"fullname" : "Immunocytochemistry/ Immunofluorescence", "shortname":"ICC/IF"}, "IP" : {"fullname" : "Immunoprecipitation", "shortname":"IP"}, "ChIP" : {"fullname" : "ChIP", "shortname":"ChIP"}, "Dot" : {"fullname" : "Dot Blot", "shortname":"Dot"}, "WB" : {"fullname" : "Western blot", "shortname":"WB"}, "FlowCytIntra" : {"fullname" : "Flow Cytometry (Intracellular)", "shortname":"Flow Cyt (Intra)"}, "IHCP" : {"fullname" : "Immunohistochemistry (Formalin/PFA-fixed paraffin-embedded sections)", "shortname":"IHC-P"} }, "product-promise": { "all": "all", "testedAndGuaranteed": "tested", "guaranteed": "expected", "predicted": "predicted", "notRecommended": "not-recommended" } }, "values": { "Human": { "ICCIF-species-checked": "testedAndGuaranteed", "ICCIF-species-dilution-info": "", "ICCIF-species-notes": "<p></p>", "IP-species-checked": "testedAndGuaranteed", "IP-species-dilution-info": "", "IP-species-notes": "<p></p>", "ChIP-species-checked": "testedAndGuaranteed", "ChIP-species-dilution-info": "", "ChIP-species-notes": "<p></p>", "Dot-species-checked": "guaranteed", "Dot-species-dilution-info": "", "Dot-species-notes": "", "WB-species-checked": "testedAndGuaranteed", "WB-species-dilution-info": "", "WB-species-notes": "<p></p>", "FlowCytIntra-species-checked": "testedAndGuaranteed", "FlowCytIntra-species-dilution-info": "", "FlowCytIntra-species-notes": "<p></p>", "IHCP-species-checked": "testedAndGuaranteed", "IHCP-species-dilution-info": "", "IHCP-species-notes": "<p></p>" }, "Mouse": { "ICCIF-species-checked": "notRecommended", "ICCIF-species-dilution-info": "", "ICCIF-species-notes": "", "IP-species-checked": "notRecommended", "IP-species-dilution-info": "", "IP-species-notes": "", "ChIP-species-checked": "notRecommended", "ChIP-species-dilution-info": "", "ChIP-species-notes": "", "Dot-species-checked": "notRecommended", "Dot-species-dilution-info": "", "Dot-species-notes": "", "WB-species-checked": "notRecommended", "WB-species-dilution-info": "", "WB-species-notes": "<p></p>", "FlowCytIntra-species-checked": "notRecommended", "FlowCytIntra-species-dilution-info": "", "FlowCytIntra-species-notes": "", "IHCP-species-checked": "notRecommended", "IHCP-species-dilution-info": "", "IHCP-species-notes": "<p></p>" }, "Rat": { "ICCIF-species-checked": "notRecommended", "ICCIF-species-dilution-info": "", "ICCIF-species-notes": "", "IP-species-checked": "notRecommended", "IP-species-dilution-info": "", "IP-species-notes": "", "ChIP-species-checked": "notRecommended", "ChIP-species-dilution-info": "", "ChIP-species-notes": "", "Dot-species-checked": "notRecommended", "Dot-species-dilution-info": "", "Dot-species-notes": "", "WB-species-checked": "notRecommended", "WB-species-dilution-info": "", "WB-species-notes": "<p></p>", "FlowCytIntra-species-checked": "notRecommended", "FlowCytIntra-species-dilution-info": "", "FlowCytIntra-species-notes": "", "IHCP-species-checked": "notRecommended", "IHCP-species-dilution-info": "", "IHCP-species-notes": "<p></p>" }, "Synthetic peptide - Human": { "ICCIF-species-checked": "notRecommended", "ICCIF-species-dilution-info": "", "ICCIF-species-notes": "", "IP-species-checked": "notRecommended", "IP-species-dilution-info": "", "IP-species-notes": "", "ChIP-species-checked": "notRecommended", "ChIP-species-dilution-info": "", "ChIP-species-notes": "", "Dot-species-checked": "testedAndGuaranteed", "Dot-species-dilution-info": "", "Dot-species-notes": "<p></p>", "WB-species-checked": "notRecommended", "WB-species-dilution-info": "", "WB-species-notes": "", "FlowCytIntra-species-checked": "notRecommended", "FlowCytIntra-species-dilution-info": "", "FlowCytIntra-species-notes": "", "IHCP-species-checked": "notRecommended", "IHCP-species-dilution-info": "", "IHCP-species-notes": "" } } }

Product details

ab280202 is the carrier-free version of ab267373.

Patented technology
Our RabMAb® technology is a patented hybridoma-based technology for making rabbit monoclonal antibodies. For details on our patents, please refer to RabMAb® patents.

What are the advantages of a recombinant monoclonal antibody?
This product is a recombinant monoclonal antibody, which offers several advantages including:

  • - High batch-to-batch consistency and reproducibility
  • - Improved sensitivity and specificity
  • - Long-term security of supply
  • - Animal-free batch production

For more information, read more on recombinant antibodies.

Conjugation ready
Our carrier-free antibodies are typically supplied in a PBS-only formulation, purified and free of BSA, sodium azide and glycerol. This conjugation-ready format is designed for use with fluorochromes, metal isotopes, oligonucleotides, and enzymes, which makes them ideal for antibody labelling, functional and cell-based assays, flow-based assays (e.g. mass cytometry) and Multiplex Imaging applications.

Use our conjugation kits for antibody conjugates that are ready-to-use in as little as 20 minutes with 1 minute hands-on-time and 100% antibody recovery: available for fluorescent dyes, HRP, biotin and gold.

Compatibility
This product is compatible with the Maxpar® Antibody Labeling Kit from Fluidigm, without the need for antibody preparation. Maxpar® is a trademark of Fluidigm Canada Inc.

Properties and storage information

Form
Liquid
Purification technique
Affinity purification Protein A
Storage buffer
Constituents: PBS
Shipped at conditions
Blue Ice
Appropriate short-term storage conditions
+4°C
Appropriate long-term storage conditions
+4°C

Supplementary information

This supplementary information is collated from multiple sources and compiled automatically.

Signal Transducer and Activator of Transcription 3 (STAT3) also called p-stat3 or phospho-STAT3 is a critical transcription factor involved in various cellular processes. The molecular weight of STAT3 is approximately 92 kDa. This protein is expressed broadly across many tissues and cell types. Mechanically upon cytokine or growth factor stimulation STAT3 undergoes phosphorylation resulting in dimerization. This phosphorylated form often referred to as phospho-Stat3 or p-STAT3 translocates to the nucleus where it binds specific DNA sequences to modulate gene transcription.
Biological function summary

STAT3 is an important player in regulating cell growth and apoptosis. It functions not only as a transcription factor but also as part of a larger protein complex that operates within the cell nucleus to influence gene expression. This multifaceted role enables STAT3 to control the expression of genes related to cell proliferation survival and differentiation impacting various biological processes. These functions highlight its importance in tissue homeostasis and response to extracellular signals.

Pathways

STAT3 is actively involved in the JAK-STAT signaling pathway a principal route for many cytokines and growth factors and the MAPK pathway. STAT3 interacts with proteins such as JAK kinases which phosphorylate Stat3 and initiate the STAT3 signaling cascade. Additionally it closely associates with the protein Raf1 in the MAPK pathway linking external signals to transcriptional responses. These pathways play a significant role in immune response inflammation and growth signaling.

Researchers have implicated STAT3 in cancer and autoimmune diseases. Persistent activation of STAT3 is often observed in various cancers including breast and lung cancer promoting oncogenesis through altered gene expression. Additionally abnormal STAT3 signaling is associated with autoimmune conditions such as rheumatoid arthritis. The interplay between STAT3 and proteins like IL-6 in these diseases highlights its potential as a therapeutic target for intervention.

Product protocols

For this product, it's our understanding that no specific protocols are required. You can visit:

Target data

Signal transducer and transcription activator that mediates cellular responses to interleukins, KITLG/SCF, LEP and other growth factors (PubMed : 10688651, PubMed : 12359225, PubMed : 12873986, PubMed : 15194700, PubMed : 15653507, PubMed : 16285960, PubMed : 17344214, PubMed : 18242580, PubMed : 18782771, PubMed : 22306293, PubMed : 23084476, PubMed : 28262505, PubMed : 32929201, PubMed : 38404237). Once activated, recruits coactivators, such as NCOA1 or MED1, to the promoter region of the target gene (PubMed : 15653507, PubMed : 16285960, PubMed : 17344214, PubMed : 18782771, PubMed : 28262505, PubMed : 32929201). May mediate cellular responses to activated FGFR1, FGFR2, FGFR3 and FGFR4 (PubMed : 12873986). Upon activation of IL6ST/gp130 signaling by interleukin-6 (IL6), binds to the IL6-responsive elements identified in the promoters of various acute-phase protein genes (PubMed : 12359225). Activated by IL31 through IL31RA (PubMed : 15194700). Acts as a regulator of inflammatory response by regulating differentiation of naive CD4(+) T-cells into T-helper Th17 or regulatory T-cells (Treg) : acetylation promotes its transcription activity and cell differentiation while deacetylation and oxidation of lysine residues by LOXL3 inhibits differentiation (PubMed : 28065600, PubMed : 28262505). Involved in cell cycle regulation by inducing the expression of key genes for the progression from G1 to S phase, such as CCND1 (PubMed : 17344214). Mediates the effects of LEP on melanocortin production, body energy homeostasis and lactation (By similarity). May play an apoptotic role by transctivating BIRC5 expression under LEP activation (PubMed : 18242580). Cytoplasmic STAT3 represses macroautophagy by inhibiting EIF2AK2/PKR activity (PubMed : 23084476). Plays a crucial role in basal beta cell functions, such as regulation of insulin secretion (By similarity). Following JAK/STAT signaling activation and as part of a complex with NFATC3 and NFATC4, binds to the alpha-beta E4 promoter region of CRYAB and activates transcription in cardiomyocytes (By similarity).
See full target information STAT3 phospho Y705

Publications (1)

Recent publications for all applications. Explore the full list and refine your search

Bioactive materials 52:753-772 PubMed40688064

2025

Modular assembled biomimetic nanobubbles for synergistic therapy of ischemic stroke cascade modulation thrombo-inflammatory network.

Applications

Unspecified application

Species

Unspecified reactive species

Mingxi Li,Xuan Xu,Guoyan Tang,Huan Wu,Yakun Wang,Chen Cheng,Hongde Liu,Fang Yang
View all publications

Product promise

We are committed to supporting your work with high-quality reagents, and we're here for you every step of the way. In the unlikely event that one of our products does not perform as expected, you're protected by our Product Promise.
For full details, please see our Terms & Conditions

Please note: All products are 'FOR RESEARCH USE ONLY. NOT FOR USE IN DIAGNOSTIC OR THERAPEUTIC PROCEDURES'.

For licensing inquiries, please contact partnerships@abcam.com