JavaScript is disabled in your browser. Please enable JavaScript to view this website.
AB284412

Anti-STAT4 antibody [EPR25128-48] - BSA and Azide free

  • BOND RX™ Validated
  • RabMAb
  • Recombinant
  • Advanced Validation
  • What is this?

Be the first to review this product! Submit a review

|

(2 Publications)

Rabbit Recombinant Monoclonal STAT4 antibody. Carrier free. Suitable for IP, WB, mIHC, IHC-P and reacts with Mouse, Rat, Human samples. Cited in 2 publications.

View Alternative Names

Signal transducer and activator of transcription 4, STAT4

16 Images
Immunohistochemistry (Formalin/PFA-fixed paraffin-embedded sections) - Anti-STAT4 antibody [EPR25128-48] - BSA and Azide free (AB284412)
  • IHC-P

Supplier Data

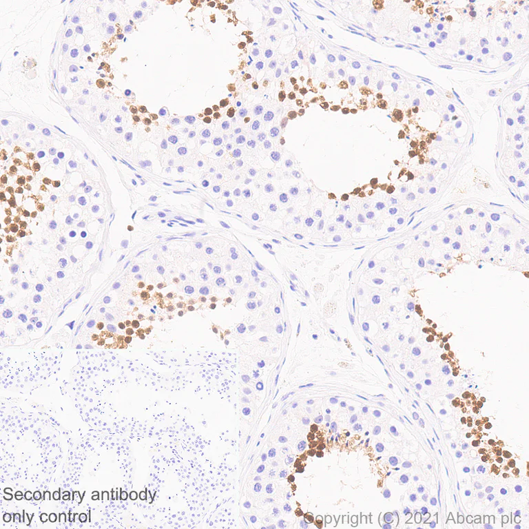
Immunohistochemistry (Formalin/PFA-fixed paraffin-embedded sections) - Anti-STAT4 antibody [EPR25128-48] - BSA and Azide free (AB284412)

This data was developed using ab284408, the same antibody clone in a different buffer formulation.

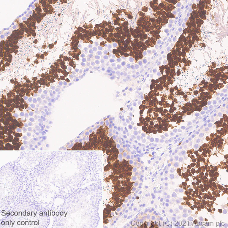
Immunohistochemical analysis of paraffin-embedded Human testis tissue labelling STAT4 with ab284408 at 1/500 (1.136 ug/ml) followed by a ready to use Leica DS9800 (BOND™, Polymer Refine Detection) was used. Postive staining on human testis. The section was incubated with ab284408 for 30 mins at room temperature. The immunostaining was performed on a Leica Biosystems BOND® RX instrument Counterstained with Hematoxylin.

Secondary antibody only control : Secondary antibody is a ready to use Leica DS9800 (BOND™, Polymer Refine Detection) was used.

Heat mediated antigen retrieval with Tris-EDTA buffer (pH 9.0, epitope retrieval solution 2) for 20 mins

Immunohistochemistry (Formalin/PFA-fixed paraffin-embedded sections) - Anti-STAT4 antibody [EPR25128-48] - BSA and Azide free (AB284412)
  • IHC-P

Supplier Data

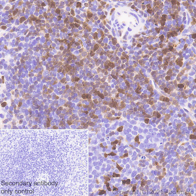
Immunohistochemistry (Formalin/PFA-fixed paraffin-embedded sections) - Anti-STAT4 antibody [EPR25128-48] - BSA and Azide free (AB284412)

This data was developed using ab284408, the same antibody clone in a different buffer formulation.

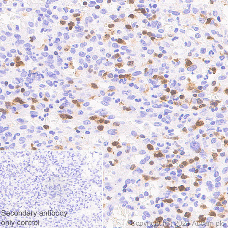
Immunohistochemical analysis of paraffin-embedded Human breast carcinoma tissue labelling STAT4 with ab284408 at 1/500 (1.136 ug/ml) followed by a ready to use Leica DS9800 (BOND™, Polymer Refine Detection) was used. Postive staining on immune cells in human breast carcinoma. The section was incubated with ab284408 for 30 mins at room temperature. The immunostaining was performed on a Leica Biosystems BOND® RX instrument Counterstained with Hematoxylin.

Secondary antibody only control : Secondary antibody is a ready to use Leica DS9800 (BOND™, Polymer Refine Detection) was used.

Heat mediated antigen retrieval with Tris-EDTA buffer (pH 9.0, epitope retrieval solution 2) for 20 mins

Immunohistochemistry (Formalin/PFA-fixed paraffin-embedded sections) - Anti-STAT4 antibody [EPR25128-48] - BSA and Azide free (AB284412)
  • IHC-P

Supplier Data

Immunohistochemistry (Formalin/PFA-fixed paraffin-embedded sections) - Anti-STAT4 antibody [EPR25128-48] - BSA and Azide free (AB284412)

This data was developed using ab284408, the same antibody clone in a different buffer formulation.

Immunohistochemical analysis of paraffin-embedded Human spleen tissue labelling STAT4 with ab284408 at 1/500 (1.136 ug/ml) followed by a ready to use Leica DS9800 (BOND™, Polymer Refine Detection) was used. Postive staining on human spleen. The section was incubated with ab284408 for 30 mins at room temperature.The immunostaining was performed on a Leica Biosystems BOND® RX instrument Counterstained with Hematoxylin.

Secondary antibody only control : Secondary antibody is a ready to use Leica DS9800 (BOND™, Polymer Refine Detection) was used.

Heat mediated antigen retrieval with Tris-EDTA buffer (pH 9.0, epitope retrieval solution 2) for 20 mins

Immunohistochemistry (Formalin/PFA-fixed paraffin-embedded sections) - Anti-STAT4 antibody [EPR25128-48] - BSA and Azide free (AB284412)
  • IHC-P

Supplier Data

Immunohistochemistry (Formalin/PFA-fixed paraffin-embedded sections) - Anti-STAT4 antibody [EPR25128-48] - BSA and Azide free (AB284412)

This data was developed using ab284408, the same antibody clone in a different buffer formulation.

Immunohistochemical analysis of paraffin-embedded Human cardiac muscle tissue labelling STAT4 with ab284408 at 1/500 (1.136 ug/ml) followed by a ready to use Leica DS9800 (BOND™, Polymer Refine Detection) was used. Negative control : no staining on human cardiac muscle. The section was incubated with ab284408 for 30 mins at room temperature.The immunostaining was performed on a Leica Biosystems BOND® RX instrument Counterstained with Hematoxylin.

Secondary antibody only control : Secondary antibody is a ready to use LeicaDS9800 (BOND™, Polymer Refine Detection) was used.

Heat mediated antigen retrieval with Tris-EDTA buffer (pH 9.0, epitope retrieval solution 2) for 20 mins

Multiplex immunohistochemistry - Anti-STAT4 antibody [EPR25128-48] - BSA and Azide free (AB284412)
  • mIHC

Lab

Multiplex immunohistochemistry - Anti-STAT4 antibody [EPR25128-48] - BSA and Azide free (AB284412)

This data was developed using ab284408, the same antibody clone in a different buffer formulation.

Immunohistochemistry analysis of Formalin/PFA-fixed paraffin-embedded sections Mouse testis tissue labelling Lin28A with ab279647 at 1 : 1000 dilution (B), STAT4 with ab284408 at 1 : 500 dilution (C) and SCP1 with [ab303520 at 1 : 500 dilution (D). Opal Polymer HRP Ms + Rb was used as a secondary antibody, and DAPI was used for a nuclear counter stain. Heat mediated antigen retrieval with Tris-EDTA buffer (pH 9.0, epitope retrieval solution2) for 20 mins.

Panel A : merged staining of anti-Lin28A (green; Opal™520), anti-STAT4 (magenta; Opal™690) and anti-SCP1 (gray; Opal™570) on mouse testis.

Panel B : anti-Lin28A staining undifferentiated spermatogonia in mouse testis.

Panel C : ant-STAT4 staining round spermatids (rs) and elongated spermatids (es) in mouse testis.

Panel D : ant-SCP1 staining spermatocytes in mouse testis.

Nuclear DNA was labeled with DAPI (shown in blue).

The section was incubated in three rounds of staining : in the order of ab279647, ab284408 and ab303520 for 30 mins at room temperature. Each round was followed by a separate fluorescent tyramide signal amplification system.

The immunostaining was performed on a Leica Biosystems BOND® RX instrument with an Opal™ 4-color kit. Image acquisition was performed with Leica SP8 confocal microscope.

Immunohistochemistry (Formalin/PFA-fixed paraffin-embedded sections) - Anti-STAT4 antibody [EPR25128-48] - BSA and Azide free (AB284412)
  • IHC-P

Supplier Data

Immunohistochemistry (Formalin/PFA-fixed paraffin-embedded sections) - Anti-STAT4 antibody [EPR25128-48] - BSA and Azide free (AB284412)

This data was developed using ab284408, the same antibody clone in a different buffer formulation.

Immunohistochemical analysis of paraffin-embedded Mouse cardiac muscle tissue labelling STAT4 with ab284408 at 1/500 (1.136 ug/ml) followed by a ready to use Leica DS9800 (BOND™, Polymer Refine Detection) was used. Negative control : no staining on mouse cardiac muscle. The section was incubated with ab284408 for 30 mins at room temperature.The immunostaining was performed on a Leica Biosystems BOND® RX instrument Counterstained with Hematoxylin.

Secondary antibody only control : Secondary antibody is a ready to use LeicaDS9800 (BOND™, Polymer Refine Detection) was used.

Heat mediated antigen retrieval with Tris-EDTA buffer (pH 9.0, epitope retrieval solution 2) for 20 mins

Immunohistochemistry (Formalin/PFA-fixed paraffin-embedded sections) - Anti-STAT4 antibody [EPR25128-48] - BSA and Azide free (AB284412)
  • IHC-P

Supplier Data

Immunohistochemistry (Formalin/PFA-fixed paraffin-embedded sections) - Anti-STAT4 antibody [EPR25128-48] - BSA and Azide free (AB284412)

This data was developed using ab284408, the same antibody clone in a different buffer formulation.

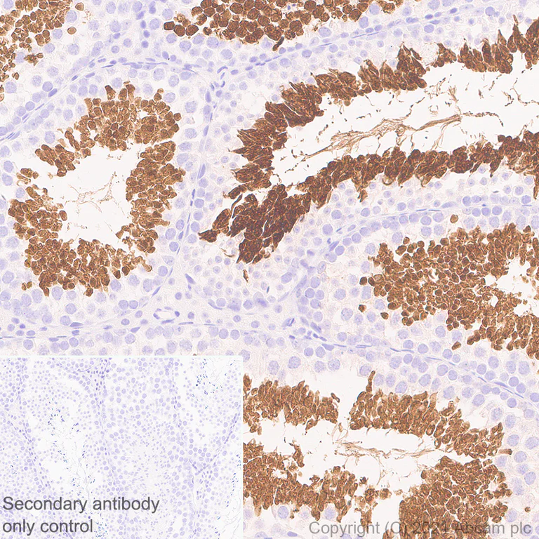
Immunohistochemical analysis of paraffin-embedded Mouse testis tissue labelling STAT4 with ab284408 at 1/500 (1.136 ug/ml) followed by a ready to use Leica DS9800 (BOND™, Polymer Refine Detection) was used. Postive staining on mouse testis. The section was incubated with ab284408 for 30 mins at room temperature.The immunostaining was performed on a Leica Biosystems BOND® RX instrument Counterstained with Hematoxylin.

Secondary antibody only control : Secondary antibody is a ready to use Leica DS9800 (BOND™, Polymer Refine Detection) was used.

Heat mediated antigen retrieval with Tris-EDTA buffer (pH 9.0, epitope retrieval solution 2) for 20 mins

Immunohistochemistry (Formalin/PFA-fixed paraffin-embedded sections) - Anti-STAT4 antibody [EPR25128-48] - BSA and Azide free (AB284412)
  • IHC-P

Supplier Data

Immunohistochemistry (Formalin/PFA-fixed paraffin-embedded sections) - Anti-STAT4 antibody [EPR25128-48] - BSA and Azide free (AB284412)

This data was developed using ab284408, the same antibody clone in a different buffer formulation.

Immunohistochemical analysis of paraffin-embedded Rat testis tissue labelling STAT4 with ab284408 at 1/500 (1.136 ug/ml) followed by a ready to use Leica DS9800 (BOND™, Polymer Refine Detection) was used. Postive staining on rat testis. The section was incubated with ab284408 for 30 mins at room temperature.The immunostaining was performed on a Leica Biosystems BOND® RX instrument Counterstained with Hematoxylin.

Secondary antibody only control : Secondary antibody is a ready to use Leica DS9800 (BOND™, Polymer Refine Detection) was used.

Heat mediated antigen retrieval with Tris-EDTA buffer (pH 9.0, epitope retrieval solution2) for 20 mins

Immunohistochemistry (Formalin/PFA-fixed paraffin-embedded sections) - Anti-STAT4 antibody [EPR25128-48] - BSA and Azide free (AB284412)
  • IHC-P

Supplier Data

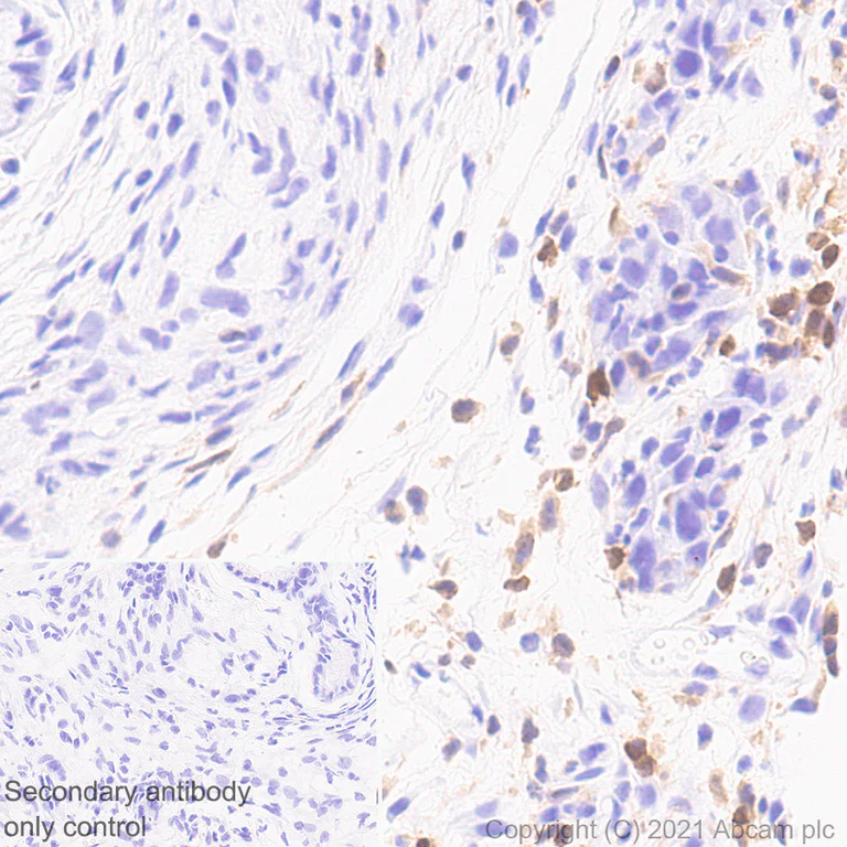
Immunohistochemistry (Formalin/PFA-fixed paraffin-embedded sections) - Anti-STAT4 antibody [EPR25128-48] - BSA and Azide free (AB284412)

This data was developed using ab284408, the same antibody clone in a different buffer formulation.

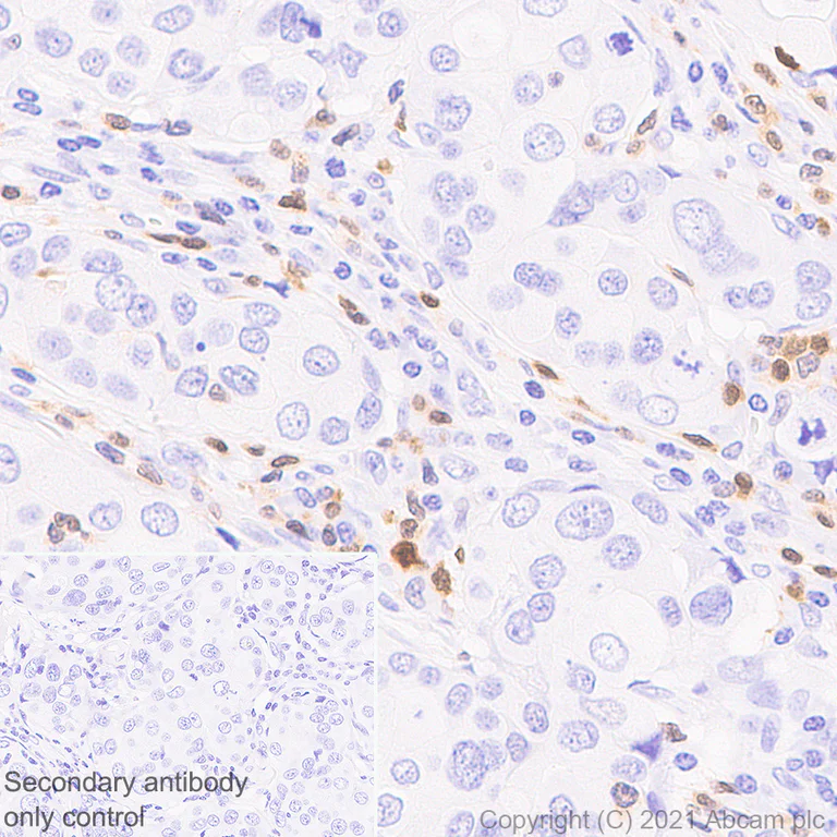
Immunohistochemical analysis of paraffin-embedded Mouse pancreatic carcinoma tissue labelling STAT4 with ab284408 at 1/500 (1.136 ug/ml) followed by a ready to use Leica DS9800 (BOND™, Polymer Refine Detection) was used. Postive staining on immune cells in mouse pancreatic carcinoma. The section was incubated with ab284408 for 30 mins at room temperature.The immunostaining was performed on a Leica Biosystems BOND® RX instrument Counterstained with Hematoxylin.

Secondary antibody only control : Secondary antibody is a ready to use Leica DS9800 (BOND™, Polymer Refine Detection) was used.

Heat mediated antigen retrieval with Tris-EDTA buffer (pH 9.0, epitope retrieval solution 2) for 20 mins

Immunohistochemistry (Formalin/PFA-fixed paraffin-embedded sections) - Anti-STAT4 antibody [EPR25128-48] - BSA and Azide free (AB284412)
  • IHC-P

Supplier Data

Immunohistochemistry (Formalin/PFA-fixed paraffin-embedded sections) - Anti-STAT4 antibody [EPR25128-48] - BSA and Azide free (AB284412)

This data was developed using ab284408, the same antibody clone in a different buffer formulation.

Immunohistochemical analysis of paraffin-embedded Mouse spleen tissue labelling STAT4 with ab284408 at 1/500 (1.136 ug/ml) followed by a ready to use Leica DS9800 (BOND™, Polymer Refine Detection) was used. Postive staining on mouse spleen. The section was incubated with ab284408 for 30 mins at room temperature.The immunostaining was performed on a Leica Biosystems BOND® RX instrument Counterstained with Hematoxylin.

Secondary antibody only control : Secondary antibody is a ready to use Leica DS9800 (BOND™, Polymer Refine Detection) was used.

Heat mediated antigen retrieval with Tris-EDTA buffer (pH 9.0, epitope retrieval solution 2) for 20 mins

Multiplex immunohistochemistry - Anti-STAT4 antibody [EPR25128-48] - BSA and Azide free (AB284412)
  • mIHC

Lab

Multiplex immunohistochemistry - Anti-STAT4 antibody [EPR25128-48] - BSA and Azide free (AB284412)

This data was developed using ab284408, the same antibody clone in a different buffer formulation.

Immunohistochemistry analysis of Formalin/PFA-fixed paraffin-embedded sections Rat testis labelling Lin28A with ab279647 at 1 : 1000 dilution (B), STAT4 with ab284408 at 1 : 500 dilution (C) and SCP1 with ab303520 at 1 : 500 dilution (D). Opal Polymer HRP Ms + Rb was used as a secondary antibody, and DAPI was used for a nuclear counter stain. Heat mediated antigen retrieval with Tris-EDTA buffer (pH 9.0, epitope retrieval solution2) for 20 mins.

Panel A : merged staining of anti-Lin28A (green; Opal™520), anti-STAT4 (magenta; Opal™690) and anti-SCP1 (gray; Opal™570) on rat testis.

Panel B : anti-Lin28A staining undifferentiated spermatogonia in rat testis.

Panel C : ant-STAT4 staining round spermatids (rs) and elongated spermatids (es) in rat testis.

Panel D : ant-SCP1 staining spermatocytes in rat testis.

Nuclear DNA was labeled with DAPI (shown in blue).

The section was incubated in three rounds of staining : in the order of ab279647, ab284408 and ab303520 for 30 mins at room temperature. Each round was followed by a separate fluorescent tyramide signal amplification system.

The immunostaining was performed on a Leica Biosystems BOND® RX instrument with an Opal™ 4-color kit. Image acquisition was performed with Leica SP8 confocal microscope.

Immunoprecipitation - Anti-STAT4 antibody [EPR25128-48] - BSA and Azide free (AB284412)
  • IP

Supplier Data

Immunoprecipitation - Anti-STAT4 antibody [EPR25128-48] - BSA and Azide free (AB284412)

This data was developed using ab284408, the same antibody clone in a different buffer formulation.

STAT4 was immunoprecipitated from 0.35 mg Rat thymus tissue lysate 10 ug with ab284408 at 1/30 dilution (2ug in 0.35mg lysates). Western blot was performed on the immunoprecipitate using ab284408 at 1/1000 dilution. VeriBlot for IP secondary antibody(HRP)(ab131366) was used at 1/5000 dilution.

Lane 1 : Rat thymus tissue lysate 10 ug

Lane 2 : ab284408 IP in Rat thymus tissue lysate

Lane 3 : Rabbit monoclonal IgG (ab172730) instead of ab284408 in rat thymus tissue lysate 10 ug

Blocking and dilution buffer and concentration : 5% NFDM/TBST.

Exposure time : 3 minutes

The lower band in lane 2 would be a degradation band.

All lanes:

Immunoprecipitation - Anti-STAT4 antibody [EPR25128-48] (<a href='/en-us/products/primary-antibodies/stat4-antibody-epr25128-48-ab284408'>ab284408</a>)

Predicted band size: 85 kDa

false

Immunoprecipitation - Anti-STAT4 antibody [EPR25128-48] - BSA and Azide free (AB284412)
  • IP

Supplier Data

Immunoprecipitation - Anti-STAT4 antibody [EPR25128-48] - BSA and Azide free (AB284412)

This data was developed using ab284408, the same antibody clone in a different buffer formulation.

STAT4 was immunoprecipitated from 0.35 mg F9 (mouse embryonal carcinoma epithelial cell) whole cell lysate 10 ug with ab284408 at 1/30 dilution (2ug in 0.35mg lysates). Western blot was performed on the immunoprecipitate using ab284408 at 1/1000 dilution. VeriBlot for IP secondary antibody(HRP)(ab131366) was used at 1/5000 dilution.

Lane 1 : F9 (mouse embryonal carcinoma epithelial cell) whole cell lysate 10 ug

Lane 2 : ab284408 IP in F9 whole cell lysate 10 ug

Lane 3 : Rabbit monoclonal IgG (ab172730) instead of ab284408 in F9 whole cell lysate

Blocking and dilution buffer and concentration : 5% NFDM/TBST.

Exposure time : 3 minutes

The 37 kDa band in lane 2 would be a degradation band.

All lanes:

Immunoprecipitation - Anti-STAT4 antibody [EPR25128-48] (<a href='/en-us/products/primary-antibodies/stat4-antibody-epr25128-48-ab284408'>ab284408</a>)

Predicted band size: 85 kDa

false

Western blot - Anti-STAT4 antibody [EPR25128-48] - BSA and Azide free (AB284412)
  • WB

Lab

Western blot - Anti-STAT4 antibody [EPR25128-48] - BSA and Azide free (AB284412)

This data was developed using ab284408, the same antibody clone in a different buffer formulation.

Blocking and diluting buffer and concentration : Lane 1-3 : This blot was developed using a higher sensitivity ECL substrate.

Lane 4 : Lysates was made freshly and used in WB test immediately to minimize protein degradation.

The 37 kDa band in lane 1 would be a degradation band.

Negative control : NIH/3T3, EL4 (PMID : 8007943, 10358173)

Fresh lysates are preferred in this product.

Exposure time : Lane 1-3 : 3 minutesLane 4 : 26 seconds

All lanes:

Western blot - Anti-STAT4 antibody [EPR25128-48] (<a href='/en-us/products/primary-antibodies/stat4-antibody-epr25128-48-ab284408'>ab284408</a>) at 1/1000 dilution

Lane 1:

F9 (mouse embryonal carcinoma epithelial cell) whole cell lysate at 20 µg

Lane 2:

NIH/3T3 (mouse embryonic fibroblast) whole cell lysate at 20 µg

Lane 3:

EL4 (mouse lymphoma T lymphocyte) whole cell lysate at 20 µg

Lane 4:

F9 (mouse embryonal carcinoma epithelial cell) whole cell fresh lysate at 20 µg

Secondary

All lanes:

Goat Anti-Rabbit IgG, (H+L), Peroxidase conjugated (<a href='/en-us/products/secondary-antibodies/goat-rabbit-igg-h-l-hrp-ab97051'>ab97051</a>) at 1/100000 dilution

Predicted band size: 85 kDa

Observed band size: 81 kDa

false

Western blot - Anti-STAT4 antibody [EPR25128-48] - BSA and Azide free (AB284412)
  • WB

Lab

Western blot - Anti-STAT4 antibody [EPR25128-48] - BSA and Azide free (AB284412)

This data was developed using ab284408, the same antibody clone in a different buffer formulation.

Blocking and diluting buffer and concentration : The expression profile is consistent with what has been described in the literature (PMID : 8700209).

The lower bands would be degradation bands.

Fresh lysates are preferred in this product.

Exposure time : 15 seconds

All lanes:

Western blot - Anti-STAT4 antibody [EPR25128-48] (<a href='/en-us/products/primary-antibodies/stat4-antibody-epr25128-48-ab284408'>ab284408</a>) at 1/1000 dilution

Lane 1:

Mouse thymus tissue lysate at 20 µg

Lane 2:

Mouse lymph node tissue lysate at 20 µg

Lane 3:

Rat thymus tissue lysate at 20 µg

Secondary

All lanes:

Goat Anti-Rabbit IgG (HRP) with minimal cross-reactivity with human IgG at 1/2000 dilution

Predicted band size: 85 kDa

false

Western blot - Anti-STAT4 antibody [EPR25128-48] - BSA and Azide free (AB284412)
  • WB

Lab

Western blot - Anti-STAT4 antibody [EPR25128-48] - BSA and Azide free (AB284412)

This data was developed using ab284408, the same antibody clone in a different buffer formulation.

Blocking and diluting buffer and concentration : 5% NFDM/TBST

Negative control : brian, liver (PMID : 8007943)

The lower bands would be degradation bands.

Fresh lysates are preferred in this product.

Exposure time : 10 seconds

All lanes:

Western blot - Anti-STAT4 antibody [EPR25128-48] (<a href='/en-us/products/primary-antibodies/stat4-antibody-epr25128-48-ab284408'>ab284408</a>) at 1/1000 dilution

Lane 1:

Mouse testis tissue lysate at 20 µg

Lane 2:

Mouse brain tissue lysate at 20 µg

Lane 3:

Mouse liver tissue lysate at 40 µg

Lane 4:

Rat testis tissue lysate at 20 µg

Lane 5:

Rat brain tissue lysate at 20 µg

Lane 6:

Rat liver tissue lysate at 40 µg

Secondary

All lanes:

Goat Anti-Rabbit IgG, (H+L), Peroxidase conjugated (<a href='/en-us/products/secondary-antibodies/goat-rabbit-igg-h-l-hrp-ab97051'>ab97051</a>) at 1/100000 dilution

Predicted band size: 85 kDa

Observed band size: 81 kDa

false

Key facts

Host species

Rabbit

Clonality

Monoclonal

Clone number

EPR25128-48

Isotype

IgG

Carrier free

Yes

Reacts with

Rat, Mouse, Human

Applications

WB, mIHC, IP, IHC-P

applications

Immunogen

The exact immunogen used to generate this antibody is proprietary information.

Specificity

Human species is recommended based on IHC-P results, we do not guarantee WB and IP for human.

Reactivity data

{ "title": "Reactivity Data", "filters": { "stats": ["", "Species", "Dilution Info", "Notes"], "tabs": { "all-applications": {"fullname" : "All Applications", "shortname": "All Applications"}, "ICCIF" : {"fullname" : "Immunocytochemistry/ Immunofluorescence", "shortname":"ICC/IF"}, "IP" : {"fullname" : "Immunoprecipitation", "shortname":"IP"}, "WB" : {"fullname" : "Western blot", "shortname":"WB"}, "FlowCytIntra" : {"fullname" : "Flow Cytometry (Intracellular)", "shortname":"Flow Cyt (Intra)"}, "mIHC" : {"fullname" : "Multiplex immunohistochemistry", "shortname":"mIHC"}, "IHCP" : {"fullname" : "Immunohistochemistry (Formalin/PFA-fixed paraffin-embedded sections)", "shortname":"IHC-P"} }, "product-promise": { "all": "all", "testedAndGuaranteed": "tested", "guaranteed": "expected", "predicted": "predicted", "notRecommended": "not-recommended" } }, "values": { "Human": { "ICCIF-species-checked": "notRecommended", "ICCIF-species-dilution-info": "", "ICCIF-species-notes": "<p></p>", "IP-species-checked": "guaranteed", "IP-species-dilution-info": "", "IP-species-notes": "", "WB-species-checked": "notRecommended", "WB-species-dilution-info": "", "WB-species-notes": "<p></p>", "FlowCytIntra-species-checked": "notRecommended", "FlowCytIntra-species-dilution-info": "", "FlowCytIntra-species-notes": "<p></p>", "mIHC-species-checked": "guaranteed", "mIHC-species-dilution-info": "", "mIHC-species-notes": "", "IHCP-species-checked": "testedAndGuaranteed", "IHCP-species-dilution-info": "", "IHCP-species-notes": "<p></p>" }, "Mouse": { "ICCIF-species-checked": "notRecommended", "ICCIF-species-dilution-info": "", "ICCIF-species-notes": "<p></p>", "IP-species-checked": "testedAndGuaranteed", "IP-species-dilution-info": "", "IP-species-notes": "<p></p>", "WB-species-checked": "testedAndGuaranteed", "WB-species-dilution-info": "", "WB-species-notes": "<p></p>", "FlowCytIntra-species-checked": "notRecommended", "FlowCytIntra-species-dilution-info": "", "FlowCytIntra-species-notes": "<p></p>", "mIHC-species-checked": "testedAndGuaranteed", "mIHC-species-dilution-info": "", "mIHC-species-notes": "<p></p>", "IHCP-species-checked": "testedAndGuaranteed", "IHCP-species-dilution-info": "", "IHCP-species-notes": "<p></p>" }, "Rat": { "ICCIF-species-checked": "notRecommended", "ICCIF-species-dilution-info": "", "ICCIF-species-notes": "<p></p>", "IP-species-checked": "testedAndGuaranteed", "IP-species-dilution-info": "", "IP-species-notes": "<p></p>", "WB-species-checked": "testedAndGuaranteed", "WB-species-dilution-info": "", "WB-species-notes": "<p></p>", "FlowCytIntra-species-checked": "notRecommended", "FlowCytIntra-species-dilution-info": "", "FlowCytIntra-species-notes": "<p></p>", "mIHC-species-checked": "testedAndGuaranteed", "mIHC-species-dilution-info": "", "mIHC-species-notes": "<p></p>", "IHCP-species-checked": "testedAndGuaranteed", "IHCP-species-dilution-info": "", "IHCP-species-notes": "<p></p>" } } }

Product details

ab284412 is the carrier-free version of ab284408.

Patented technology
Our RabMAb® technology is a patented hybridoma-based technology for making rabbit monoclonal antibodies. For details on our patents, please refer to RabMAb® patents.

What are the advantages of a recombinant monoclonal antibody?
This product is a recombinant monoclonal antibody, which offers several advantages including:

  • - High batch-to-batch consistency and reproducibility
  • - Improved sensitivity and specificity
  • - Long-term security of supply
  • - Animal-free batch production

For more information, read more on recombinant antibodies.

Conjugation ready
Our carrier-free antibodies are typically supplied in a PBS-only formulation, purified and free of BSA, sodium azide and glycerol. This conjugation-ready format is designed for use with fluorochromes, metal isotopes, oligonucleotides, and enzymes, which makes them ideal for antibody labelling, functional and cell-based assays, flow-based assays (e.g. mass cytometry) and Multiplex Imaging applications.

Use our conjugation kits for antibody conjugates that are ready-to-use in as little as 20 minutes with 1 minute hands-on-time and 100% antibody recovery: available for fluorescent dyes, HRP, biotin and gold.

Compatibility
This product is compatible with the Maxpar® Antibody Labeling Kit from Fluidigm, without the need for antibody preparation. Maxpar® is a trademark of Fluidigm Canada Inc.

Properties and storage information

Form
Liquid
Purification technique
Affinity purification Protein A
Storage buffer
pH: 7.2 - 7.4 Constituents: PBS
Shipped at conditions
Blue Ice
Appropriate short-term storage conditions
+4°C
Appropriate long-term storage conditions
+4°C

Supplementary information

This supplementary information is collated from multiple sources and compiled automatically.

The Signal Transducer and Activator of Transcription 4 (STAT4) is a critical member of the STAT protein family. It weighs approximately 85 kDa. STAT4 primarily functions as a transcription factor activated by phosphorylation through Janus kinases (JAKs) in response to cytokine signaling. This protein facilitates the translocation into the nucleus where it promotes the transcription of specific genes. STAT4 expression occurs mainly in T cells and natural killer (NK) cells indicating its role in the immune response.
Biological function summary

STAT4 is integral to the differentiation of naïve T cells into T helper 1 (Th1) cells. These Th1 cells play a central role in orchestrating immune responses against intracellular pathogens. STAT4 activation requires two distinct steps involving JAK kinases and subsequent binding to DNA regulatory elements of target genes. STAT4 does not function as part of a large protein complex but rather operates as a dimer following phosphorylation.

Pathways

STAT4 participates strongly in the JAK-STAT signaling pathway fundamental for immune cell maturation and response. The JAK-STAT pathway regulates several biological processes including proliferation and inflammation. STAT4 works closely with STAT1 in promoting Th1 differentiation while also interacting with other proteins like IL-12 to modulate immune activity. These interactions emphasize its influence in immune responses and could affect inflammatory pathways.

STAT4 exhibits associations with autoimmune diseases such as rheumatoid arthritis and systemic lupus erythematosus. Aberrant STAT4 activity can lead to dysregulated immune responses making it a significant target in these disorders. In the context of rheumatoid arthritis altered STAT4 signaling enhances inflammation through its connection with other immune proteins like IL-23. Understanding STAT4's role in these diseases may offer avenues for therapeutic interventions and better management of immune-related conditions.

Product protocols

For this product, it's our understanding that no specific protocols are required. You can visit:

Target data

Transcriptional regulator mainly expressed in hematopoietic cells that plays a critical role in cellular growth, differentiation and immune response (PubMed : 10961885, PubMed : 37256972, PubMed : 8943379). Plays a key role in the differentiation of T-helper 1 cells and the production of interferon-gamma (PubMed : 12213961, PubMed : 35614130). Participates also in multiple neutrophil functions including chemotaxis and production of the neutrophil extracellular traps (By similarity). After IL12 binding to its receptor IL12RB2, STAT4 interacts with the intracellular domain of IL12RB2 and becomes tyrosine phosphorylated (PubMed : 10415122, PubMed : 7638186). Phosphorylated STAT4 then homodimerizes and migrates to the nucleus where it can recognize STAT target sequences present in IL12 responsive genes. Although IL12 appears to be the predominant activating signal, STAT4 can also be phosphorylated and activated in response to IFN-gamma stimulation via JAK1 and TYK2 and in response to different interleukins including IL23, IL2 and IL35 (PubMed : 11114383, PubMed : 34508746). Transcription activation of IFN-gamma gene is mediated by interaction with JUN that forms a complex that efficiently interacts with the AP-1-related sequence of the IFN-gamma promoter (By similarity). In response to IFN-alpha/beta signaling, acts as a transcriptional repressor and suppresses IL5 and IL13 mRNA expression during response to T-cell receptor (TCR) activation (PubMed : 26990433).
See full target information STAT4

Publications (2)

Recent publications for all applications. Explore the full list and refine your search

American journal of physiology. Cell physiology 326:C1494-C1504 PubMed38406824

2024

Implications of IFNγ SNP rs2069705 in primary Sjögren's syndrome: transcriptional activation and B cell infiltration.

Applications

Unspecified application

Species

Unspecified reactive species

Xi Chen,Min Li,Honglin Li,Miao Liu,Jianrong Su,Yuzhu Ji

Cell death & disease 13:130 PubMed35136014

2022

Stat4 rs7574865 polymorphism promotes the occurrence and progression of hepatocellular carcinoma via the Stat4/CYP2E1/FGL2 pathway.

Applications

Unspecified application

Species

Unspecified reactive species

Caie Wang,Na Gao,Lukui Yang,Yuanyuan Guo,Yan Fang,Tong Wang,Chen Xu,Gui Fang Li,Jun Zhou,Yunfei Zhang,Qiang Wen,Hailing Qiao
View all publications

Product promise

We are committed to supporting your work with high-quality reagents, and we're here for you every step of the way. In the unlikely event that one of our products does not perform as expected, you're protected by our Product Promise.
For full details, please see our Terms & Conditions

Please note: All products are 'FOR RESEARCH USE ONLY. NOT FOR USE IN DIAGNOSTIC OR THERAPEUTIC PROCEDURES'.

For licensing inquiries, please contact partnerships@abcam.com