JavaScript is disabled in your browser. Please enable JavaScript to view this website.
AB194732

Anti-STAT4 (phospho Y693) antibody

Be the first to review this product! Submit a review

|

(3 Publications)

Rabbit Polyclonal STAT4 phospho Y693 antibody. Suitable for WB, IHC-P and reacts with Human samples. Cited in 3 publications. Immunogen corresponding to Synthetic Peptide within Human STAT4 phospho Y693.

View Alternative Names

Signal transducer and activator of transcription 4, STAT4

2 Images
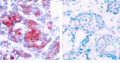
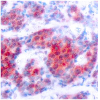
Immunohistochemistry (Formalin/PFA-fixed paraffin-embedded sections) - Anti-STAT4 (phospho Y693) antibody (AB194732)
  • IHC-P

Supplier Data

Immunohistochemistry (Formalin/PFA-fixed paraffin-embedded sections) - Anti-STAT4 (phospho Y693) antibody (AB194732)

Immunohistochemical analysis of paraffin-embedded Human breast carcinoma tissue labeling STAT4 (phospho Y693) with ab194732 at 1/50 dilution.

Western blot - Anti-STAT4 (phospho Y693) antibody (AB194732)
  • WB

Supplier Data

Western blot - Anti-STAT4 (phospho Y693) antibody (AB194732)

All lanes:

Western blot - Anti-STAT4 (phospho Y693) antibody (ab194732) at 1/500 dilution

Lane 1:

HepG2 cell extract

Lane 2:

HepG2 cell extract treated with IL4

Predicted band size: 85 kDa

false

Key facts

Host species

Rabbit

Clonality

Polyclonal

Isotype

IgG

Carrier free

No

Reacts with

Human

Applications

WB, IHC-P

applications

Immunogen

Synthetic Peptide within Human STAT4 phospho Y693. The exact immunogen used to generate this antibody is proprietary information.

Q14765

Reactivity data

{ "title": "Reactivity Data", "filters": { "stats": ["", "Species", "Dilution Info", "Notes"], "tabs": { "all-applications": {"fullname" : "All Applications", "shortname": "All Applications"}, "WB" : {"fullname" : "Western blot", "shortname":"WB"}, "IHCP" : {"fullname" : "Immunohistochemistry (Formalin/PFA-fixed paraffin-embedded sections)", "shortname":"IHC-P"} }, "product-promise": { "all": "all", "testedAndGuaranteed": "tested", "guaranteed": "expected", "predicted": "predicted", "notRecommended": "not-recommended" } }, "values": { "Human": { "WB-species-checked": "testedAndGuaranteed", "WB-species-dilution-info": "1/500 - 1/2000", "WB-species-notes": "<p></p>", "IHCP-species-checked": "testedAndGuaranteed", "IHCP-species-dilution-info": "1/50 - 1/100", "IHCP-species-notes": "<p></p>" } } }

Properties and storage information

Form
Liquid
Purification technique
Affinity purification Immunogen
Storage buffer
pH: 7.3 Preservative: 0.02% Sodium azide Constituents: PBS, 50% Glycerol (glycerin, glycerine)
Shipped at conditions
Blue Ice
Appropriate short-term storage duration
1-2 weeks
Appropriate short-term storage conditions
+4°C
Appropriate long-term storage conditions
-20°C
Aliquoting information
Upon delivery aliquot
Storage information
Avoid freeze / thaw cycle

Supplementary information

This supplementary information is collated from multiple sources and compiled automatically.

The Signal Transducer and Activator of Transcription 4 (STAT4) is a critical member of the STAT protein family. It weighs approximately 85 kDa. STAT4 primarily functions as a transcription factor activated by phosphorylation through Janus kinases (JAKs) in response to cytokine signaling. This protein facilitates the translocation into the nucleus where it promotes the transcription of specific genes. STAT4 expression occurs mainly in T cells and natural killer (NK) cells indicating its role in the immune response.
Biological function summary

STAT4 is integral to the differentiation of naïve T cells into T helper 1 (Th1) cells. These Th1 cells play a central role in orchestrating immune responses against intracellular pathogens. STAT4 activation requires two distinct steps involving JAK kinases and subsequent binding to DNA regulatory elements of target genes. STAT4 does not function as part of a large protein complex but rather operates as a dimer following phosphorylation.

Pathways

STAT4 participates strongly in the JAK-STAT signaling pathway fundamental for immune cell maturation and response. The JAK-STAT pathway regulates several biological processes including proliferation and inflammation. STAT4 works closely with STAT1 in promoting Th1 differentiation while also interacting with other proteins like IL-12 to modulate immune activity. These interactions emphasize its influence in immune responses and could affect inflammatory pathways.

STAT4 exhibits associations with autoimmune diseases such as rheumatoid arthritis and systemic lupus erythematosus. Aberrant STAT4 activity can lead to dysregulated immune responses making it a significant target in these disorders. In the context of rheumatoid arthritis altered STAT4 signaling enhances inflammation through its connection with other immune proteins like IL-23. Understanding STAT4's role in these diseases may offer avenues for therapeutic interventions and better management of immune-related conditions.

Product protocols

For this product, it's our understanding that no specific protocols are required. You can visit:

Target data

Transcriptional regulator mainly expressed in hematopoietic cells that plays a critical role in cellular growth, differentiation and immune response (PubMed : 10961885, PubMed : 37256972, PubMed : 8943379). Plays a key role in the differentiation of T-helper 1 cells and the production of interferon-gamma (PubMed : 12213961, PubMed : 35614130). Participates also in multiple neutrophil functions including chemotaxis and production of the neutrophil extracellular traps (By similarity). After IL12 binding to its receptor IL12RB2, STAT4 interacts with the intracellular domain of IL12RB2 and becomes tyrosine phosphorylated (PubMed : 10415122, PubMed : 7638186). Phosphorylated STAT4 then homodimerizes and migrates to the nucleus where it can recognize STAT target sequences present in IL12 responsive genes. Although IL12 appears to be the predominant activating signal, STAT4 can also be phosphorylated and activated in response to IFN-gamma stimulation via JAK1 and TYK2 and in response to different interleukins including IL23, IL2 and IL35 (PubMed : 11114383, PubMed : 34508746). Transcription activation of IFN-gamma gene is mediated by interaction with JUN that forms a complex that efficiently interacts with the AP-1-related sequence of the IFN-gamma promoter (By similarity). In response to IFN-alpha/beta signaling, acts as a transcriptional repressor and suppresses IL5 and IL13 mRNA expression during response to T-cell receptor (TCR) activation (PubMed : 26990433).
See full target information STAT4 phospho Y693

Publications (3)

Recent publications for all applications. Explore the full list and refine your search

Iranian journal of basic medical sciences 27:685-694 PubMed38645489

2024

Quercetin of huoxuehuayu tongluo decoction and azithromycin combination therapy effectively improves rat tubal factor infertility by inhibiting inflammation.

Applications

Unspecified application

Species

Unspecified reactive species

Liang Shao,Nansu Wang,Yan Yan,Yali Tan,Qin Wu,Lei Lei,Mingming Wang,Ling Liu

World journal of gastroenterology 29:5226-5239 PubMed37901446

2023

Curcumin alleviated dextran sulfate sodium-induced colitis by recovering memory Th/Tfh subset balance.

Applications

Unspecified application

Species

Unspecified reactive species

Lin-Xin Zheng,Kai-En Guo,Jia-Qi Huang,Miao-Hua Liu,Bai-Ling Deng,Duan-Yong Liu,Bu-Gao Zhou,Wen Zhou,You-Bao Zhong,Hai-Mei Zhao

Acta pharmacologica Sinica 38:524-538 PubMed28260799

2017

Bisindolylmaleimide alkaloid BMA-155Cl induces autophagy and apoptosis in human hepatocarcinoma HepG-2 cells through the NF-κB p65 pathway.

Applications

Unspecified application

Species

Unspecified reactive species

Xiao Sun,Lin Li,Hong-Guang Ma,Pu Sun,Qi-Lin Wang,Ting-Ting Zhang,Yue-Mao Shen,Wei-Ming Zhu,Xia Li
View all publications

Product promise

We are committed to supporting your work with high-quality reagents, and we're here for you every step of the way. In the unlikely event that one of our products does not perform as expected, you're protected by our Product Promise.
For full details, please see our Terms & Conditions

Please note: All products are 'FOR RESEARCH USE ONLY. NOT FOR USE IN DIAGNOSTIC OR THERAPEUTIC PROCEDURES'.

For licensing inquiries, please contact partnerships@abcam.com