JavaScript is disabled in your browser. Please enable JavaScript to view this website.
AB213219

Anti-STAT5a antibody [E289] - BSA and Azide free

Be the first to review this product! Submit a review

|

(7 Publications)

Rabbit Recombinant Monoclonal STAT5a antibody. Carrier free. Suitable for ICC/IF, IP, WB, Flow Cyt (Intra), IHC-P and reacts with Human, Mouse, Rat samples. Cited in 7 publications.

View Alternative Names

STAT5, STAT5A, Signal transducer and activator of transcription 5A

10 Images
Immunohistochemistry (Formalin/PFA-fixed paraffin-embedded sections) - Anti-STAT5a antibody [E289] - BSA and Azide free (AB213219)
  • IHC-P

Lab

Immunohistochemistry (Formalin/PFA-fixed paraffin-embedded sections) - Anti-STAT5a antibody [E289] - BSA and Azide free (AB213219)

Tissue Microarrays stained for "Anti-STAT5a antibody [E289]" using "ab32043"in immunohistochemical analysis. This table provides a detailed overview of positive (tick mark) and negative (cross mark) staining per sample type tested. The sections were pre-treated using Heat mediated antigen retrieval using ab93684 (Tris/EDTA buffer, pH 9.0). The sections were incubated with ab32043 at +4°C overnight followed by a ready to use Goat Anti-Rabbit IgG H&L (HRP polymer).

Immunohistochemistry (Formalin/PFA-fixed paraffin-embedded sections) - Anti-STAT5a antibody [E289] - BSA and Azide free (AB213219)
  • IHC-P

Unknown

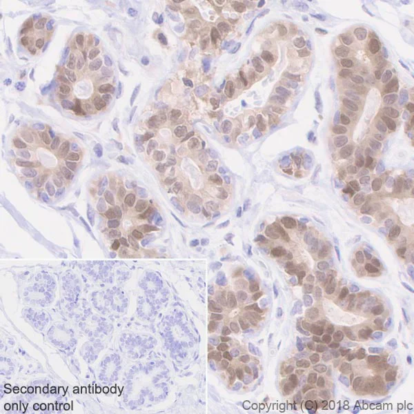
Immunohistochemistry (Formalin/PFA-fixed paraffin-embedded sections) - Anti-STAT5a antibody [E289] - BSA and Azide free (AB213219)

Immunohistochemistry (Formalin/PFA-fixed paraffin-embedded sections) analysis of human breast tissue sections labeling STAT5a with purified ab32043 at 1 : 1000 dilution (0.12 μg/ml). Heat mediated antigen retrieval was performed using ab93684 (Tris/EDTA buffer, pH 9.0). Tissue was counterstained with Hematoxylin. ImmunoHistoProbe one step HRP Polymer (ready to use). PBS instead of the primary antibody was used as the negative control.

This data was developed using the same antibody clone in a different buffer formulation containing PBS, BSA, glycerol, and sodium azide (ab32043).

Flow Cytometry (Intracellular) - Anti-STAT5a antibody [E289] - BSA and Azide free (AB213219)
  • Flow Cyt (Intra)

Unknown

Flow Cytometry (Intracellular) - Anti-STAT5a antibody [E289] - BSA and Azide free (AB213219)

Intracellular Flow Cytometry analysis of Jurkat (human acute T cell leukemia) cells labeling STAT5a with purified ab32043 at 1/100 dilution (1 μg/ml) (red). Cells were fixed with 4% Paraformaldehyde. A Goat anti rabbit IgG (Alexa Fluor® 488) secondary antibody was used at 1/2000 dilution. Isotype control - Rabbit monoclonal IgG (Black). Unlabeled control - Cell without incubation with primary antibody and secondary antibody (Blue).

This data was developed using the same antibody clone in a different buffer formulation containing PBS, BSA, glycerol, and sodium azide (ab32043).

Immunocytochemistry/ Immunofluorescence - Anti-STAT5a antibody [E289] - BSA and Azide free (AB213219)
  • ICC/IF

Unknown

Immunocytochemistry/ Immunofluorescence - Anti-STAT5a antibody [E289] - BSA and Azide free (AB213219)

Immunocytochemistry/ Immunofluorescence analysis of Jurkat (human T cell leukemia T lymphocyte) cells labeling STAT5a with purified ab32043 at 1 : 100 (1.2 μg/ml). Cells were fixed in 4% Paraformaldehyde and permeabilized with 0.1% tritonX-100. Cells were counterstained with ab195889 Anti-alpha Tubulin antibody [DM1A] - Microtubule Marker (Alexa Fluor® 594) 1 : 200 (2.5 μg/ml). Goat anti rabbit IgG (Alexa Fluor® 488, ab150077) was used as the secondary antibody at 1 : 1000 (2 μg/ml) dilution. DAPI nuclear counterstain. PBS instead of the primary antibody was used as the secondary antibody only control.

This data was developed using the same antibody clone in a different buffer formulation containing PBS, BSA, glycerol, and sodium azide (ab32043).

Flow Cytometry (Intracellular) - Anti-STAT5a antibody [E289] - BSA and Azide free (AB213219)
  • Flow Cyt (Intra)

Unknown

Flow Cytometry (Intracellular) - Anti-STAT5a antibody [E289] - BSA and Azide free (AB213219)

Clone E289 (ab213219) has been successfully conjugated by Abcam. This image was generated using Anti-STAT5a antibody [E289] (PE). Please refer to ab211686 for protocol details.

Overlay histogram showing A549 cells stained with ab211686 (red line). The cells were fixed with 4% formaldehyde (10 min) and then permeabilized with 0.1% PBS-Triton X-100 for 15 min. The cells were then incubated in 1x PBS / 10% normal goat serum to block non-specific protein-protein interactions followed by the antibody (ab211686 1/500 dilution) for 30 min at 22°C.Isotype control antibody (black line) was rabbit IgG (monoclonal) Phycoerythrin (ab209478) used at the same concentration and conditions as the primary antibody. Unlabelled sample (blue line) was also used as a control. Acquisition of >5000 events were collected using a 50 mW Yellow/Green laser (561nm) and 586/15 bandpass filter. This antibody gave a positive signal in A549 cells fixed with 80% methanol (5 min)/permeabilized with 0.1% PBS-Triton X-100 for 15 min used under the same conditions.

Immunohistochemistry (Formalin/PFA-fixed paraffin-embedded sections) - Anti-STAT5a antibody [E289] - BSA and Azide free (AB213219)
  • IHC-P

Unknown

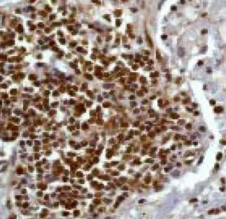
Immunohistochemistry (Formalin/PFA-fixed paraffin-embedded sections) - Anti-STAT5a antibody [E289] - BSA and Azide free (AB213219)

This IHC data was generated using the same anti-STAT5a antibody clone, E289, in a different buffer formulation (cat# ab32043).

Unpurified ab32043 at 1/250 dilution, staining human squamous lung carcinoma by Immunohistochemistry, paraffin-embedded tissue.

Immunocytochemistry/ Immunofluorescence - Anti-STAT5a antibody [E289] - BSA and Azide free (AB213219)
  • ICC/IF

Lab

Immunocytochemistry/ Immunofluorescence - Anti-STAT5a antibody [E289] - BSA and Azide free (AB213219)

Clone E289 (ab213219) has been successfully conjugated by Abcam. This image was generated using Anti-STAT5a antibody [E289] (Alexa Fluor® 647). Please refer to ab194309 for protocol details.

ab194309 staining STAT5a in A549 cells. The cells were fixed with 4% formaldehyde (10 min), permeabilized in 0.1% Triton X-100 for 5 minutes and then blocked in 1% BSA/10% normal goat serum/0.3M glycine in 0.1%PBS-Tween for 1h. The cells were then incubated with ab194309 at 1/100 Dilution(shown in red) and ab195887, Mouse monoclonal [DM1A] to alpha Tubulin (Alexa Fluor® 488, shown in green) at 2µg/ml overnight at +4°C. Nuclear DNA was labelled in blue with DAPI.

Image was taken with a confocal microscope (Leica-Microsystems, TCS SP8).

Immunocytochemistry/ Immunofluorescence - Anti-STAT5a antibody [E289] - BSA and Azide free (AB213219)
  • ICC/IF

Unknown

Immunocytochemistry/ Immunofluorescence - Anti-STAT5a antibody [E289] - BSA and Azide free (AB213219)

Immunocytochemistry/Immunofluorescence analysis of Jurkat cells labelling STAT5a with unpurified ab32043 at 1/500. Cells were fixed with 4% paraformaldehyde and permeabilized with 0.1% Triton X-100. ab150077, an Alexa Fluor® 488-conjugated goat anti-rabbit IgG (1/1000) was used as the secondary antibody.
Control : PBS only.
Nuclear counter stain : DAPI.

This data was developed using the same antibody clone in a different buffer formulation containing PBS, BSA, glycerol, and sodium azide (ab32043).

Flow Cytometry (Intracellular) - Anti-STAT5a antibody [E289] - BSA and Azide free (AB213219)
  • Flow Cyt (Intra)

Unknown

Flow Cytometry (Intracellular) - Anti-STAT5a antibody [E289] - BSA and Azide free (AB213219)

Overlay histogram showing Jurkat cells stained with unpurified ab32043 (red line). The cells were fixed with 4% paraformaldehyde (10 min) and then permeabilized with 0.1% PBS-Tween for 20 min. The cells were then incubated in 1x PBS / 10% normal goat serum / 0.3M glycine to block non-specific protein-protein interactions followed by the antibody (ab32043, 1/100 dilution) for 30 min at 22°C. The secondary antibody used was DyLight® 488 goat anti-rabbit IgG (H+L) (ab96899) at 1/500 dilution for 30 min at 22°C. Isotype control antibody (black line) was rabbit IgG (monoclonal) (1μg/1x106 cells) used under the same conditions. Unlabelled sample (blue line). Acquisition of >5,000 events were collected using a 20mW Argon ion laser (488nm) and 525/30 bandpass filter. This antibody gave a positive signal in Jurkat cells fixed with 80% methanol (5 min)/permeabilized with 0.1% PBS-Tween for 20 min used under the same conditions.

This data was developed using the same antibody clone in a different buffer formulation containing PBS, BSA, glycerol, and sodium azide (ab32043).

Immunoprecipitation - Anti-STAT5a antibody [E289] - BSA and Azide free (AB213219)
  • IP

Unknown

Immunoprecipitation - Anti-STAT5a antibody [E289] - BSA and Azide free (AB213219)

ab32043 (purified) at 1 : 20 dilution (0.6ug) immunoprecipitating in TF-1 whole cell lysate. TF-1 (Human Erythroleukemia erythroblast) whole cell lysate 10ug
Lane 2 (+) : ab32043 & TF-1 whole cell lysate
Lane 3 (-) : Rabbit monoclonal IgG (ab172730) instead of ab32043 in TF-1 whole cell lysate
For western blotting, VeriBlot for IP Detection Reagent (HRP) (ab131366), was used for detection at 1/1000 dilution
Blocking and diluting buffer : 5% NFDM/TBST.

This data was developed using the same antibody clone in a different buffer formulation containing PBS, BSA, glycerol, and sodium azide (ab32043).

All lanes:

Immunoprecipitation - Anti-STAT5a antibody [E289] (<a href='/en-us/products/primary-antibodies/stat5a-antibody-e289-ab32043'>ab32043</a>)

Predicted band size: 90 kDa

Observed band size: 92 kDa

false

Key facts

Host species

Rabbit

Clonality

Monoclonal

Clone number

E289

Isotype

IgG

Carrier free

Yes

Reacts with

Mouse, Rat, Human

Applications

IP, ICC/IF, Flow Cyt (Intra), WB, IHC-P

applications

Immunogen

The exact immunogen used to generate this antibody is proprietary information.

Specificity

The antibody recognises Stat5a. It does not cross-react with other Stat family members.The mouse and rat recommendation is based on the WB results. We do not guarantee IHC-P for mouse and rat.

Reactivity data

{ "title": "Reactivity Data", "filters": { "stats": ["", "Species", "Dilution Info", "Notes"], "tabs": { "all-applications": {"fullname" : "All Applications", "shortname": "All Applications"}, "ICCIF" : {"fullname" : "Immunocytochemistry/ Immunofluorescence", "shortname":"ICC/IF"}, "IP" : {"fullname" : "Immunoprecipitation", "shortname":"IP"}, "WB" : {"fullname" : "Western blot", "shortname":"WB"}, "FlowCytIntra" : {"fullname" : "Flow Cytometry (Intracellular)", "shortname":"Flow Cyt (Intra)"}, "IHCP" : {"fullname" : "Immunohistochemistry (Formalin/PFA-fixed paraffin-embedded sections)", "shortname":"IHC-P"} }, "product-promise": { "all": "all", "testedAndGuaranteed": "tested", "guaranteed": "expected", "predicted": "predicted", "notRecommended": "not-recommended" } }, "values": { "Human": { "ICCIF-species-checked": "testedAndGuaranteed", "ICCIF-species-dilution-info": "", "ICCIF-species-notes": "<p></p>", "IP-species-checked": "testedAndGuaranteed", "IP-species-dilution-info": "", "IP-species-notes": "<p></p>", "WB-species-checked": "testedAndGuaranteed", "WB-species-dilution-info": "", "WB-species-notes": "<p></p>", "FlowCytIntra-species-checked": "testedAndGuaranteed", "FlowCytIntra-species-dilution-info": "", "FlowCytIntra-species-notes": "<p><a href='/en-us/products/primary-antibodies/rabbit-igg-monoclonal-epr25a-isotype-control-low-endotoxin-azide-free-ab199376'>ab199376</a> - Rabbit monoclonal IgG, is suitable for use as an isotype control with this antibody.</p>", "IHCP-species-checked": "testedAndGuaranteed", "IHCP-species-dilution-info": "", "IHCP-species-notes": "<p></p>" }, "Mouse": { "ICCIF-species-checked": "guaranteed", "ICCIF-species-dilution-info": "", "ICCIF-species-notes": "", "IP-species-checked": "guaranteed", "IP-species-dilution-info": "", "IP-species-notes": "", "WB-species-checked": "testedAndGuaranteed", "WB-species-dilution-info": "", "WB-species-notes": "<p></p>", "FlowCytIntra-species-checked": "guaranteed", "FlowCytIntra-species-dilution-info": "", "FlowCytIntra-species-notes": "", "IHCP-species-checked": "guaranteed", "IHCP-species-dilution-info": "", "IHCP-species-notes": "" }, "Rat": { "ICCIF-species-checked": "guaranteed", "ICCIF-species-dilution-info": "", "ICCIF-species-notes": "", "IP-species-checked": "guaranteed", "IP-species-dilution-info": "", "IP-species-notes": "", "WB-species-checked": "testedAndGuaranteed", "WB-species-dilution-info": "", "WB-species-notes": "<p></p>", "FlowCytIntra-species-checked": "guaranteed", "FlowCytIntra-species-dilution-info": "", "FlowCytIntra-species-notes": "", "IHCP-species-checked": "guaranteed", "IHCP-species-dilution-info": "", "IHCP-species-notes": "" } } }

Product details

ab213219 is the carrier-free version of ab32043.

Patented technology
Our RabMAb® technology is a patented hybridoma-based technology for making rabbit monoclonal antibodies. For details on our patents, please refer to RabMAb® patents.

What are the advantages of a recombinant monoclonal antibody?
This product is a recombinant monoclonal antibody, which offers several advantages including:

  • - High batch-to-batch consistency and reproducibility
  • - Improved sensitivity and specificity
  • - Long-term security of supply
  • - Animal-free batch production

For more information, read more on recombinant antibodies.

Conjugation ready
Our carrier-free antibodies are typically supplied in a PBS-only formulation, purified and free of BSA, sodium azide and glycerol. This conjugation-ready format is designed for use with fluorochromes, metal isotopes, oligonucleotides, and enzymes, which makes them ideal for antibody labelling, functional and cell-based assays, flow-based assays (e.g. mass cytometry) and Multiplex Imaging applications.

Use our conjugation kits for antibody conjugates that are ready-to-use in as little as 20 minutes with 1 minute hands-on-time and 100% antibody recovery: available for fluorescent dyes, HRP, biotin and gold.

Compatibility
This product is compatible with the Maxpar® Antibody Labeling Kit from Fluidigm, without the need for antibody preparation. Maxpar® is a trademark of Fluidigm Canada Inc.

Properties and storage information

Form
Liquid
Purification technique
Affinity purification Protein A
Storage buffer
pH: 7.2 - 7.4 Constituents: PBS
Shipped at conditions
Blue Ice
Appropriate short-term storage conditions
+4°C
Appropriate long-term storage conditions
+4°C
Storage information
Do Not Freeze

Supplementary information

This supplementary information is collated from multiple sources and compiled automatically.

STAT5a also known as Signal Transducer and Activator of Transcription 5A acts as a transcription factor in the cell. STAT5a weighs approximately 90 kDa and expresses in various tissues including the liver muscle and hematopoietic cells. It plays a central role in mediating cellular responses to cytokines and growth factors particularly those in the interleukin-2 (IL-2) family and growth hormone (GH).
Biological function summary

Many systems use STAT5a to regulate cell proliferation differentiation and survival. It often forms a complex with other proteins like STAT5b which is a closely related counterpart and both contribute to similar cellular processes. STAT5a can dimerize upon activation allowing it to move to the cell nucleus to influence gene expression directly.

Pathways

Researchers place STAT5a prominently in the JAK-STAT signaling pathway. This pathway is essential for transmitting information received from extracellular chemical signals to the cell nucleus resulting in the activation of genes controlling cellular functions. STAT5a works together with Janus kinases (JAKs) to mediate various biological responses including hormone signaling and immune function. It also interacts with proteins like IL-2 receptor subunits which are involved in many cytokine-driven processes.

Disturbances in STAT5a activity link specifically with conditions like leukemia and breast cancer. Overactivation or mutation can lead to uncontrolled cell growth and survival contributing to these diseases. In leukemia STAT5a frequently partners with other proteins like BCR-ABL which is known for its role in chronic myeloid leukemia influencing oncogenic pathways. In breast cancer alterations in STAT5a signaling may interact with estrogen and progesterone receptors affecting tumor progression and response to therapies.

Product protocols

For this product, it's our understanding that no specific protocols are required. You can visit:

Target data

Carries out a dual function : signal transduction and activation of transcription. Mediates cellular responses to the cytokine KITLG/SCF and other growth factors. Mediates cellular responses to ERBB4. May mediate cellular responses to activated FGFR1, FGFR2, FGFR3 and FGFR4. Binds to the GAS element and activates PRL-induced transcription. Regulates the expression of milk proteins during lactation.
See full target information STAT5A

Publications (7)

Recent publications for all applications. Explore the full list and refine your search

Endocrinology 161: PubMed31875887

2019

Bromodomain and Extraterminal Inhibition by JQ1 Produces Divergent Transcriptional Regulation of Suppressors of Cytokine Signaling Genes in Adipocytes.

Applications

Unspecified application

Species

Unspecified reactive species

Paula Mota de Sá,Allison J Richard,Jacqueline M Stephens

Cancer immunology research 2:1103-12 PubMed25204776

2014

IL4 limits the efficacy of tumor-targeted antibody therapy in a murine model.

Applications

Unspecified application

Species

Unspecified reactive species

Rishi Surana,Shangzi Wang,Wei Xu,Sandra A Jablonski,Louis M Weiner

The Journal of biological chemistry 289:4600-25 PubMed24403063

2014

Differential loss of prolyl isomerase or chaperone activity of Ran-binding protein 2 (Ranbp2) unveils distinct physiological roles of its cyclophilin domain in proteostasis.

Applications

WB

Species

Human

Kyoung-in Cho,Hemangi Patil,Eugene Senda,Jessica Wang,Haiqing Yi,Sunny Qiu,Dosuk Yoon,Minzhong Yu,Andrew Orry,Neal S Peachey,Paulo A Ferreira

PloS one 8:e60902 PubMed23565285

2013

Gain-of-function of Stat5 leads to excessive granulopoiesis and lethal extravasation of granulocytes to the lung.

Applications

WB, IP

Species

Mouse, Mouse

Wan-chi Lin,Jeffrey W Schmidt,Bradley A Creamer,Aleata A Triplett,Kay-uwe Wagner

Bioorganic & medicinal chemistry letters 19:6524-8 PubMed19857966

2009

Discovery of pyrazol-3-ylamino pyrazines as novel JAK2 inhibitors.

Applications

Unspecified application

Species

Unspecified reactive species

Stephanos Ioannidis,Michelle L Lamb,Audrey M Davies,Lynsie Almeida,Mei Su,Geraldine Bebernitz,Minwei Ye,Kirsten Bell,Marat Alimzhanov,Michael Zinda

Human pathology 40:75-82 PubMed18755494

2008

Hyperactivated STAT3 in ALK-positive diffuse large B-cell lymphoma with clathrin-ALK fusion.

Applications

Unspecified application

Species

Unspecified reactive species

Shuji Momose,Jun-ichi Tamaru,Hirohisa Kishi,Ittaku Mikata,Masaya Mori,Yasuo Toyozumi,Shinji Itoyama

Journal of reproductive immunology 77:117-25 PubMed17942160

2007

Priming of peripheral monocytes with prolactin (PRL) sensitizes IFN-gamma-mediated indoleamine 2,3-dioxygenase (IDO) expression without affecting IFN-gamma signaling.

Applications

Unspecified application

Species

Unspecified reactive species

Rie Kawaguchi,Toshibumi Shimokawa,Nagayoshi Umehara,Satoshi Nunomura,Tadao Tanaka,Chisei Ra
View all publications

Product promise

We are committed to supporting your work with high-quality reagents, and we're here for you every step of the way. In the unlikely event that one of our products does not perform as expected, you're protected by our Product Promise.
For full details, please see our Terms & Conditions

Please note: All products are 'FOR RESEARCH USE ONLY. NOT FOR USE IN DIAGNOSTIC OR THERAPEUTIC PROCEDURES'.

For licensing inquiries, please contact partnerships@abcam.com