JavaScript is disabled in your browser. Please enable JavaScript to view this website.
AB30649

Anti-STAT5a (phospho S780) antibody

Be the first to review this product! Submit a review

|

(3 Publications)

Rabbit Polyclonal STAT5a phospho S780 antibody. Suitable for WB, IHC-P, ICC/IF and reacts with Human samples. Cited in 3 publications. Immunogen corresponding to Synthetic Peptide within Human STAT5A phospho S780.

View Alternative Names

STAT5, STAT5A, Signal transducer and activator of transcription 5A

4 Images
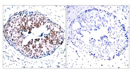
Immunohistochemistry (Formalin/PFA-fixed paraffin-embedded sections) - Anti-STAT5a (phospho S780) antibody (AB30649)
  • IHC-P

Unknown

Immunohistochemistry (Formalin/PFA-fixed paraffin-embedded sections) - Anti-STAT5a (phospho S780) antibody (AB30649)

Immunohistochemistry analysis of paraffin-embedded human breast carcinoma, using ab30649. The picture on the right is blocked with the phospho peptide.

Western blot - Anti-STAT5a (phospho S780) antibody (AB30649)
  • WB

Unknown

Western blot - Anti-STAT5a (phospho S780) antibody (AB30649)

All lanes:

Western blot - Anti-STAT5a (phospho S780) antibody (ab30649)

Lane 1:

HeLa cells extract

Lane 2:

HeLa cells extract with synthesized non-phosphopeptide

Lane 3:

HeLa cells extract with synthesized phosphopeptide

Predicted band size: 90 kDa

Observed band size: 91 kDa

false

Western blot - Anti-STAT5a (phospho S780) antibody (AB30649)
  • WB

Supplier Data

Western blot - Anti-STAT5a (phospho S780) antibody (AB30649)

Loading control : beta Actin.

All lanes:

Western blot - Anti-STAT5a (phospho S780) antibody (ab30649) at 1/1000 dilution

Lane 1:

Jurkat untreated lysate at 20 µg

Lane 2:

Jurkat treated with 125 ng/mL PMA for 30 minutes lysate at 20 µg

Lane 3:

293T untreated lysate at 20 µg

Lane 4:

293T treated with 125 ng/mL PMA for 30 minutes lysate at 20 µg

Secondary

All lanes:

Goat Anti-Rabbit IgG (H+L) HRP at 1/10000 dilution

Predicted band size: 90 kDa

false

Immunocytochemistry/ Immunofluorescence - Anti-STAT5a (phospho S780) antibody (AB30649)
  • ICC/IF

Unknown

Immunocytochemistry/ Immunofluorescence - Anti-STAT5a (phospho S780) antibody (AB30649)

ICC/IF image of ab30649 stained HeLa cells. The cells were 100% methanol fixed (5 min) and then incubated in 1%BSA / 10% normal goat serum / 0.3M glycine in 0.1% PBS-Tween for 1h to permeabilise the cells and block non-specific protein-protein interactions. The cells were then incubated with the antibody (ab30649, 1µg/ml) overnight at +4°C. The secondary antibody (green) was Alexa Fluor® 488 goat anti-rabbit IgG (H+L) used at a 1/1000 dilution for 1h. Alexa Fluor® 594 WGA was used to label plasma membranes (red) at a 1/200 dilution for 1h. DAPI was used to stain the cell nuclei (blue) at a concentration of 1.43µM.

Key facts

Host species

Rabbit

Clonality

Polyclonal

Isotype

IgG

Carrier free

No

Reacts with

Human

Applications

IHC-P, WB, ICC/IF

applications

Immunogen

Synthetic Peptide within Human STAT5A phospho S780. The exact immunogen used to generate this antibody is proprietary information.

P42229

Reactivity data

{ "title": "Reactivity Data", "filters": { "stats": ["", "Species", "Dilution Info", "Notes"], "tabs": { "all-applications": {"fullname" : "All Applications", "shortname": "All Applications"}, "WB" : {"fullname" : "Western blot", "shortname":"WB"}, "IHCP" : {"fullname" : "Immunohistochemistry (Formalin/PFA-fixed paraffin-embedded sections)", "shortname":"IHC-P"}, "ICCIF" : {"fullname" : "Immunocytochemistry/ Immunofluorescence", "shortname":"ICC/IF"} }, "product-promise": { "all": "all", "testedAndGuaranteed": "tested", "guaranteed": "expected", "predicted": "predicted", "notRecommended": "not-recommended" } }, "values": { "Human": { "WB-species-checked": "testedAndGuaranteed", "WB-species-dilution-info": "1/500 - 1/1000", "WB-species-notes": "<p></p>", "IHCP-species-checked": "testedAndGuaranteed", "IHCP-species-dilution-info": "1/50 - 1/100", "IHCP-species-notes": "<p></p>", "ICCIF-species-checked": "testedAndGuaranteed", "ICCIF-species-dilution-info": "1 µg/mL", "ICCIF-species-notes": "<p></p>" } } }

Properties and storage information

Form
Liquid
Purification technique
Affinity purification Immunogen
Purification notes
ab30649 was affinity-purified from rabbit antiserum by affinity-chromatography using epitope-specific phosphopeptide. The antibody against non-phosphopeptide was removed by chromatography using non-phosphopeptide corresponding to the phosphorylation site
Storage buffer
pH: 7.4 Preservative: 0.02% Sodium azide Constituents: PBS, 50% Glycerol (glycerin, glycerine), 0.87% Sodium chloride
Shipped at conditions
Blue Ice
Appropriate short-term storage conditions
+4°C
Appropriate long-term storage conditions
-20°C
Aliquoting information
Upon delivery aliquot
Storage information
Avoid freeze / thaw cycle

Supplementary information

This supplementary information is collated from multiple sources and compiled automatically.

STAT5a also known as Signal Transducer and Activator of Transcription 5A acts as a transcription factor in the cell. STAT5a weighs approximately 90 kDa and expresses in various tissues including the liver muscle and hematopoietic cells. It plays a central role in mediating cellular responses to cytokines and growth factors particularly those in the interleukin-2 (IL-2) family and growth hormone (GH).
Biological function summary

Many systems use STAT5a to regulate cell proliferation differentiation and survival. It often forms a complex with other proteins like STAT5b which is a closely related counterpart and both contribute to similar cellular processes. STAT5a can dimerize upon activation allowing it to move to the cell nucleus to influence gene expression directly.

Pathways

Researchers place STAT5a prominently in the JAK-STAT signaling pathway. This pathway is essential for transmitting information received from extracellular chemical signals to the cell nucleus resulting in the activation of genes controlling cellular functions. STAT5a works together with Janus kinases (JAKs) to mediate various biological responses including hormone signaling and immune function. It also interacts with proteins like IL-2 receptor subunits which are involved in many cytokine-driven processes.

Disturbances in STAT5a activity link specifically with conditions like leukemia and breast cancer. Overactivation or mutation can lead to uncontrolled cell growth and survival contributing to these diseases. In leukemia STAT5a frequently partners with other proteins like BCR-ABL which is known for its role in chronic myeloid leukemia influencing oncogenic pathways. In breast cancer alterations in STAT5a signaling may interact with estrogen and progesterone receptors affecting tumor progression and response to therapies.

Product protocols

For this product, it's our understanding that no specific protocols are required. You can visit:

Target data

Carries out a dual function : signal transduction and activation of transcription. Mediates cellular responses to the cytokine KITLG/SCF and other growth factors. Mediates cellular responses to ERBB4. May mediate cellular responses to activated FGFR1, FGFR2, FGFR3 and FGFR4. Binds to the GAS element and activates PRL-induced transcription. Regulates the expression of milk proteins during lactation.
See full target information STAT5A phospho S780

Publications (3)

Recent publications for all applications. Explore the full list and refine your search

PLoS computational biology 21:e1012877 PubMed40096134

2025

Machine learning-based prediction reveals kinase MAP4K4 regulates neutrophil differentiation through phosphorylating apoptosis-related proteins.

Applications

Unspecified application

Species

Unspecified reactive species

Guihua Wang,Dan Zhang,Zhifeng He,Bin Mao,Xiao Hu,Li Chen,Qingxin Yang,Zhen Zhou,Yating Zhang,Kepan Linghu,Chao Tang,Zijie Xu,Defu Liu,Junwei Song,Huiying Wang,Yishan Lin,Ruihan Li,Jing-Wen Lin,Lu Chen

Scientific reports 11:13506 PubMed34188118

2021

Serine residues 726 and 780 have nonredundant roles regulating STAT5a activity in luminal breast cancer.

Applications

Unspecified application

Species

Unspecified reactive species

Alicia E Woock,Jacqueline M Grible,Amy L Olex,J Chuck Harrell,Patricija Zot,Michael Idowu,Charles V Clevenger

Frontiers in immunology 12:673454 PubMed33968084

2021

Quantitative Phosphoproteomic Analysis Reveals Dendritic Cell- Specific STAT Signaling After α2-3-Linked Sialic Acid Ligand Binding.

Applications

Unspecified application

Species

Unspecified reactive species

Rui-Jún Eveline Li,Aram de Haas,Ernesto Rodríguez,Hakan Kalay,Anouk Zaal,Connie R Jimenez,Sander R Piersma,Thang V Pham,Alex A Henneman,Richard R de Goeij-de Haas,Sandra J van Vliet,Yvette van Kooyk
View all publications

Product promise

We are committed to supporting your work with high-quality reagents, and we're here for you every step of the way. In the unlikely event that one of our products does not perform as expected, you're protected by our Product Promise.
For full details, please see our Terms & Conditions

Please note: All products are 'FOR RESEARCH USE ONLY. NOT FOR USE IN DIAGNOSTIC OR THERAPEUTIC PROCEDURES'.

For licensing inquiries, please contact partnerships@abcam.com