JavaScript is disabled in your browser. Please enable JavaScript to view this website.
AB200341

Anti-STAT5a + STAT5b antibody [EPR16668]

Be the first to review this product! Submit a review

|

(3 Publications)

Rabbit Recombinant Monoclonal STAT5a antibody. Suitable for WB, ICC/IF, Flow Cyt (Intra), IHC-P and reacts with Rat, Mouse, Recombinant full length protein - Human, Recombinant full length protein - Mouse, Human samples. Cited in 3 publications.

View Alternative Names

STAT5, STAT5A, Signal transducer and activator of transcription 5A

10 Images
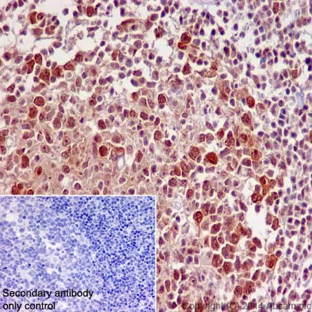
Immunohistochemistry (Formalin/PFA-fixed paraffin-embedded sections) - Anti-STAT5a + STAT5b antibody [EPR16668] (AB200341)
  • IHC-P

Supplier Data

Immunohistochemistry (Formalin/PFA-fixed paraffin-embedded sections) - Anti-STAT5a + STAT5b antibody [EPR16668] (AB200341)

Immunohistochemical analysis of paraffin-embedded Human tonsil tissue labeling STAT5b with ab200341 at 1/100 dilution followed by Goat Anti-Rabbit IgG H&L (HRP) (ab97051) secondary antibody at 1/500 dilution.

Cytoplasm and nuclear staining on Human tonsil tissue is observed.

Counter stained with Hematoxylin.

Secondary antibody only control : Used PBS instead of primary antibody secondary antibody is Goat Anti-Rabbit IgG H&L (HRP) (ab97051) at 1/500 dilution.

Perform heat mediated antigen retrieval with Tris/EDTA buffer pH 9.0 before commencing with IHC staining protocol.

Flow Cytometry (Intracellular) - Anti-STAT5a + STAT5b antibody [EPR16668] (AB200341)
  • Flow Cyt (Intra)

Supplier Data

Flow Cytometry (Intracellular) - Anti-STAT5a + STAT5b antibody [EPR16668] (AB200341)

Intracellular flow cytometric analysis of 2% paraformaldehyde-fixed NIH/3T3 (Mouse embyro fibroblast cells) cells labeling STAT5b with ab200341 at 1/80 dilution (red) compared with a rabbit monoclonal IgG isotype control (ab172730;black) and an unlabelled control (cells without incubation with primary antibody and secondary antibody; blue). Goat anti rabbit IgG (FITC) at 1/150 dilution was used as the secondary antibody.

Immunohistochemistry (Formalin/PFA-fixed paraffin-embedded sections) - Anti-STAT5a + STAT5b antibody [EPR16668] (AB200341)
  • IHC-P

Supplier Data

Immunohistochemistry (Formalin/PFA-fixed paraffin-embedded sections) - Anti-STAT5a + STAT5b antibody [EPR16668] (AB200341)

Immunohistochemical analysis of paraffin-embedded Rat cardiac muscle tissue labeling STAT5b with ab200341 at 1/100 dilution followed by Goat Anti-Rabbit IgG H&L (HRP) (ab97051) secondary antibody at 1/500 dilution.

Cytoplasm and nuclear staining on rat cardiac muscle tissue is observed.

Counter stained with Hematoxylin.

Secondary antibody only control : Used PBS instead of primary antibody secondary antibody is Goat Anti-Rabbit IgG H&L (HRP) (ab97051) at 1/500 dilution.

Perform heat mediated antigen retrieval with Tris/EDTA buffer pH 9.0 before commencing with IHC staining protocol.

Immunocytochemistry/ Immunofluorescence - Anti-STAT5a + STAT5b antibody [EPR16668] (AB200341)
  • ICC/IF

Supplier Data

Immunocytochemistry/ Immunofluorescence - Anti-STAT5a + STAT5b antibody [EPR16668] (AB200341)

Immunofluorescent analysis of 4% paraformaldehyde-fixed 0.1% Triton X-100 permeabilized C6 (Rat glial tumor cells) cells labeling STAT5b with ab200341 at 1/500 dilution followed by Goat anti-rabbit IgG (Alexa Fluor® 488) (ab150077) secondary antibody at 1/500 dilution (green).

Nuclear and cytoplasm staining on C6 cell line is observed.

The nuclear counter stain is DAPI (blue).

Tubulin is detected with ab7291 (anti-Tubulin mouse mAb) at 1/1000 dilution and ab150120 (AlexaFluor®594 Goat anti-Mouse secondary) at 1/500 dilution (red).

The negative controls are as follows :
-ve control 1 : ab200341 at 1/500 dilution followed by ab150120 (AlexaFluor®594 Goat anti-Mouse secondary) at 1/500 dilution.
-ve control 2 : ab7291 (anti-Tubulin mouse mAb) at 1/1000 dilution followed by ab150077 (Alexa Fluor®488 Goat Anti-Rabbit IgG H&L) at 1/500 dilution.

Immunohistochemistry (Formalin/PFA-fixed paraffin-embedded sections) - Anti-STAT5a + STAT5b antibody [EPR16668] (AB200341)
  • IHC-P

Supplier Data

Immunohistochemistry (Formalin/PFA-fixed paraffin-embedded sections) - Anti-STAT5a + STAT5b antibody [EPR16668] (AB200341)

Immunohistochemical analysis of paraffin-embedded Mouse liver tissue labeling STAT5b with ab200341 at 1/100 dilution followed by Goat Anti-Rabbit IgG H&L (HRP) (ab97051) secondary antibody at 1/500 dilution.

Cytoplasm and nuclear staining on mouse liver tissue is observed.

Counter stained with Hematoxylin.

Secondary antibody only control : Used PBS instead of primary antibody secondary antibody is Goat Anti-Rabbit IgG H&L (HRP) (ab97051) at 1/500 dilution.

Perform heat mediated antigen retrieval with Tris/EDTA buffer pH 9.0 before commencing with IHC staining protocol.

Immunocytochemistry/ Immunofluorescence - Anti-STAT5a + STAT5b antibody [EPR16668] (AB200341)
  • ICC/IF

Supplier Data

Immunocytochemistry/ Immunofluorescence - Anti-STAT5a + STAT5b antibody [EPR16668] (AB200341)

Immunofluorescent analysis of 4% paraformaldehyde-fixed 0.1% Triton X-100 permeabilized RAW 264.7 (Mouse macrophage cells transformed with Abelson murine leukemia virus) cells labeling STAT5b with ab200341 at 1/500 dilution followed by Goat anti-rabbit IgG (Alexa Fluor® 488) (ab150077) secondary antibody at 1/500 dilution (green).

Nuclear and cytoplasm staining on RAW 264.7 cell line is observed.

The nuclear counter stain is DAPI (blue). Tubulin is detected with ab7291 (anti-Tubulin mouse mAb) at 1/1000 dilution and ab150120 (AlexaFluor®594 Goat anti-Mouse secondary) at 1/500 dilution (red).

The negative controls are as follows :
-ve control 1 : ab200341 at 1/500 dilution followed by ab150120 (AlexaFluor®594 Goat anti-Mouse secondary) at 1/500 dilution.
-ve control 2 : ab7291 (anti-Tubulin mouse mAb) at 1/1000 dilution followed by ab150077 (Alexa Fluor®488 Goat Anti-Rabbit IgG H&L) at 1/500 dilution.

Western blot - Anti-STAT5a + STAT5b antibody [EPR16668] (AB200341)
  • WB

Supplier Data

Western blot - Anti-STAT5a + STAT5b antibody [EPR16668] (AB200341)

Blocking/Dilution buffer : 5% NFDM/TBST.

All lanes:

Western blot - Anti-STAT5a + STAT5b antibody [EPR16668] (ab200341) at 1/1000 dilution

Lane 1:

K562 (Human chronic myelogenous leukemia cells from bone marrow) whole cell lysate at 10 µg

Lane 2:

Jurkat (Human T cell leukemia cells from peripheral blood) whole cell lysate at 10 µg

Lane 3:

Daudi (Human Burkitt's lymphoma cell line) whole cell lysate at 10 µg

Secondary

All lanes:

Goat Anti-Rabbit IgG, (H+L), Peroxidase conjugated at 1/1000 dilution

Predicted band size: 90 kDa

Observed band size: 90 kDa

false

Exposure time: 3min

Western blot - Anti-STAT5a + STAT5b antibody [EPR16668] (AB200341)
  • WB

Supplier Data

Western blot - Anti-STAT5a + STAT5b antibody [EPR16668] (AB200341)

Blocking/Dilution buffer : 5% NFDM/TBST.

ab200341 show cross reactivity with STAT5a. Full length human Stat5a recombinant protein contains aa1-794 with MYC/DDDDK tag.

All lanes:

Western blot - Anti-STAT5a + STAT5b antibody [EPR16668] (ab200341) at 1/200 dilution

All lanes:

Full length human Stat5a recombinant protein at 0.01 µg

Secondary

All lanes:

Goat Anti-Rabbit IgG, (H+L), Peroxidase conjugated at 1/1000 dilution

Predicted band size: 90 kDa

Observed band size: 90 kDa

false

Exposure time: 3min

Western blot - Anti-STAT5a + STAT5b antibody [EPR16668] (AB200341)
  • WB

Supplier Data

Western blot - Anti-STAT5a + STAT5b antibody [EPR16668] (AB200341)

Blocking/Dilution buffer : 5% NFDM/TBST.

All lanes:

Western blot - Anti-STAT5a + STAT5b antibody [EPR16668] (ab200341) at 1/1000 dilution

Lane 1:

C6 (Rat glial tumor cells) whole cell lysate at 10 µg

Lane 2:

PC-12 (Rat adrenal gland pheochromocytoma) whole cell lysate at 10 µg

Lane 3:

NIH/3T3 (Mouse embyro fibroblast cells) whole cell lysate at 10 µg

Lane 4:

Mouse heart lysate at 10 µg

Lane 5:

Rat heart lysate at 10 µg

Secondary

All lanes:

Goat Anti-Rabbit IgG, (H+L), Peroxidase conjugated at 1/1000 dilution

Predicted band size: 90 kDa

Observed band size: 90 kDa

false

Exposure time: 3min

Western blot - Anti-STAT5a + STAT5b antibody [EPR16668] (AB200341)
  • WB

Supplier Data

Western blot - Anti-STAT5a + STAT5b antibody [EPR16668] (AB200341)

Blocking/Dilution buffer : 5% NFDM/TBST.

All lanes:

Western blot - Anti-STAT5a + STAT5b antibody [EPR16668] (ab200341) at 1/10000 dilution

All lanes:

Recombinant protein fragment mouse Stat5b at 0.01 µg

Secondary

All lanes:

Goat Anti-Rabbit IgG, (H+L), Peroxidase conjugated at 1/1000 dilution

Predicted band size: 90 kDa

false

Exposure time: 3min

  • Carrier free

    Anti-STAT5a+STAT5b antibody [EPR16668] - BSA and Azide free

Key facts

Host species

Rabbit

Clonality

Monoclonal

Clone number

EPR16668

Isotype

IgG

Carrier free

No

Reacts with

Mouse, Rat, Human

Applications

WB, ICC/IF, IHC-P, Flow Cyt (Intra)

applications

Immunogen

The exact immunogen used to generate this antibody is proprietary information.

Reactivity data

{ "title": "Reactivity Data", "filters": { "stats": ["", "Species", "Dilution Info", "Notes"], "tabs": { "all-applications": {"fullname" : "All Applications", "shortname": "All Applications"}, "WB" : {"fullname" : "Western blot", "shortname":"WB"}, "ICCIF" : {"fullname" : "Immunocytochemistry/ Immunofluorescence", "shortname":"ICC/IF"}, "FlowCytIntra" : {"fullname" : "Flow Cytometry (Intracellular)", "shortname":"Flow Cyt (Intra)"}, "IHCP" : {"fullname" : "Immunohistochemistry (Formalin/PFA-fixed paraffin-embedded sections)", "shortname":"IHC-P"} }, "product-promise": { "all": "all", "testedAndGuaranteed": "tested", "guaranteed": "expected", "predicted": "predicted", "notRecommended": "not-recommended" } }, "values": { "Human": { "WB-species-checked": "testedAndGuaranteed", "WB-species-dilution-info": "1/200 - 1/10000", "WB-species-notes": "<p></p>", "ICCIF-species-checked": "guaranteed", "ICCIF-species-dilution-info": "", "ICCIF-species-notes": "", "FlowCytIntra-species-checked": "guaranteed", "FlowCytIntra-species-dilution-info": "", "FlowCytIntra-species-notes": "", "IHCP-species-checked": "testedAndGuaranteed", "IHCP-species-dilution-info": "1/100", "IHCP-species-notes": "<p></p>" }, "Mouse": { "WB-species-checked": "testedAndGuaranteed", "WB-species-dilution-info": "1/200 - 1/10000", "WB-species-notes": "<p></p>", "ICCIF-species-checked": "testedAndGuaranteed", "ICCIF-species-dilution-info": "1/500", "ICCIF-species-notes": "<p></p>", "FlowCytIntra-species-checked": "testedAndGuaranteed", "FlowCytIntra-species-dilution-info": "1/80", "FlowCytIntra-species-notes": "<p></p>", "IHCP-species-checked": "testedAndGuaranteed", "IHCP-species-dilution-info": "1/100", "IHCP-species-notes": "<p></p>" }, "Rat": { "WB-species-checked": "testedAndGuaranteed", "WB-species-dilution-info": "1/200 - 1/10000", "WB-species-notes": "<p></p>", "ICCIF-species-checked": "testedAndGuaranteed", "ICCIF-species-dilution-info": "1/500", "ICCIF-species-notes": "<p></p>", "FlowCytIntra-species-checked": "guaranteed", "FlowCytIntra-species-dilution-info": "", "FlowCytIntra-species-notes": "", "IHCP-species-checked": "testedAndGuaranteed", "IHCP-species-dilution-info": "1/100", "IHCP-species-notes": "<p></p>" }, "Recombinant full length protein - Human": { "WB-species-checked": "testedAndGuaranteed", "WB-species-dilution-info": "1/200 - 1/10000", "WB-species-notes": "<p></p>", "ICCIF-species-checked": "notRecommended", "ICCIF-species-dilution-info": "", "ICCIF-species-notes": "", "FlowCytIntra-species-checked": "notRecommended", "FlowCytIntra-species-dilution-info": "", "FlowCytIntra-species-notes": "", "IHCP-species-checked": "notRecommended", "IHCP-species-dilution-info": "", "IHCP-species-notes": "" }, "Recombinant full length protein - Mouse": { "WB-species-checked": "testedAndGuaranteed", "WB-species-dilution-info": "1/200 - 1/10000", "WB-species-notes": "<p></p>", "ICCIF-species-checked": "notRecommended", "ICCIF-species-dilution-info": "", "ICCIF-species-notes": "", "FlowCytIntra-species-checked": "notRecommended", "FlowCytIntra-species-dilution-info": "", "FlowCytIntra-species-notes": "", "IHCP-species-checked": "notRecommended", "IHCP-species-dilution-info": "", "IHCP-species-notes": "" } } }

Product details

Patented technology
Our RabMAb® technology is a patented hybridoma-based technology for making rabbit monoclonal antibodies. For details on our patents, please refer to RabMAb® patents.

What are the advantages of a recombinant monoclonal antibody?
This product is a recombinant monoclonal antibody, which offers several advantages including:

  • - High batch-to-batch consistency and reproducibility
  • - Improved sensitivity and specificity
  • - Long-term security of supply
  • - Animal-free batch production

For more information, read more on recombinant antibodies.

Properties and storage information

Form
Liquid
Purification technique
Affinity purification Protein A
Storage buffer
pH: 7.2 - 7.4 Preservative: 0.01% Sodium azide Constituents: PBS, 40% Glycerol (glycerin, glycerine), 0.05% BSA
Shipped at conditions
Blue Ice
Appropriate short-term storage duration
1-2 weeks
Appropriate short-term storage conditions
+4°C
Appropriate long-term storage conditions
-20°C
Aliquoting information
Upon delivery aliquot
Storage information
Avoid freeze / thaw cycle

Supplementary information

This supplementary information is collated from multiple sources and compiled automatically.

STAT5a and STAT5b known jointly as members of the Signal Transducers and Activators of Transcription family play critical roles as transcription factors. They have molecular masses of approximately 94 kDa and 92 kDa respectively. These proteins share significant sequence similarity and are expressed in a wide range of tissues including hematopoietic cells liver and mammary glands. STAT5 proteins become activated in response to cytokines and growth factors where they dimerize and translocate to the cell nucleus to regulate gene expression.
Biological function summary

They are involved in mediating cytokine signaling by forming homo- or heterodimers upon phosphorylation by Janus kinases (JAKs). In the cytoplasm the formation of these dimers allows STAT5 to interact with DNA in the nucleus leading to the transcription of various genes important for cell proliferation differentiation and apoptosis. STAT5 has a significant role in cell cycle control and immune responses. The dimerization process involves complex formation and is an important part of its intracellular signaling cascade.

Pathways

STAT5a and STAT5b operate prominently within the JAK-STAT pathway. They are activated by proteins such as IL-2 IL-3 and Growth Hormone leading to transcriptional activity that affects growth and survival across various cell types. Besides the JAK-STAT pathway STAT5 interacts closely with the PI3K/AKT pathway thereby linking to cell survival signals. The cross-talk between these pathways enables fine-tuning of cellular responses to external stimuli and integrates signals from diverse receptors and ligands.

STAT5 deregulated activity associates with various cancers such as leukemia and breast cancer due to its role in promoting excessive cell proliferation and survival. Abnormal activity in STAT5 can also contribute to disorders like autoimmune diseases due to its impact on immune cell regulation. In diseases like these STAT5 interacts notably with proteins such as BCL-2 and MYC which are critical modulators of cell death and growth pathways. Understanding the involvement of STAT5 in disease mechanisms provides opportunities for developing targeted therapeutics.

Product protocols

For this product, it's our understanding that no specific protocols are required. You can visit:

Target data

Carries out a dual function : signal transduction and activation of transcription. Mediates cellular responses to the cytokine KITLG/SCF and other growth factors. Mediates cellular responses to ERBB4. May mediate cellular responses to activated FGFR1, FGFR2, FGFR3 and FGFR4. Binds to the GAS element and activates PRL-induced transcription. Regulates the expression of milk proteins during lactation.
See full target information STAT5A

Additional targets

STAT5B

Publications (3)

Recent publications for all applications. Explore the full list and refine your search

American journal of respiratory cell and molecular biology 71:169-181 PubMed38593442

2024

Unconventional Activation of IRE1 Enhances Th17 Responses and Promotes Airway Neutrophilia.

Applications

Unspecified application

Species

Unspecified reactive species

Dandan Wu,Xing Zhang,Kourtney M Zimmerly,Ruoning Wang,Amanda Livingston,Takao Iwawaki,Ashok Kumar,Xiang Wu,Matthew Campen,Michael A Mandell,Meilian Liu,Xuexian O Yang

Scientific reports 11:21608 PubMed34732817

2021

Multiplexed immunofluorescence identifies high stromal CD68PD-L1 macrophages as a predictor of improved survival in triple negative breast cancer.

Applications

Unspecified application

Species

Unspecified reactive species

James Wang,Lois Browne,Iveta Slapetova,Fei Shang,Kirsty Lee,Jodi Lynch,Julia Beretov,Renee Whan,Peter H Graham,Ewan K A Millar

Biochemistry and biophysics reports 27:101052 PubMed34179518

2021

Long non-coding RNA SNHG1 suppresses cell migration and invasion and upregulates SOCS2 in human gastric carcinoma.

Applications

Unspecified application

Species

Unspecified reactive species

Shanshan Wang,Haibo Han,Junling Meng,Wei Yang,Yunwei Lv,Xianzi Wen
View all publications

Product promise

We are committed to supporting your work with high-quality reagents, and we're here for you every step of the way. In the unlikely event that one of our products does not perform as expected, you're protected by our Product Promise.
For full details, please see our Terms & Conditions

Please note: All products are 'FOR RESEARCH USE ONLY. NOT FOR USE IN DIAGNOSTIC OR THERAPEUTIC PROCEDURES'.

For licensing inquiries, please contact partnerships@abcam.com