JavaScript is disabled in your browser. Please enable JavaScript to view this website.
AB194898

Anti-STAT5a + STAT5b antibody [EPR16671-40]

4

(3 Reviews)

|

(19 Publications)

Rabbit Recombinant Monoclonal STAT5b antibody. Suitable for WB, IP, ICC/IF, Flow Cyt (Intra), IHC-P and reacts with Recombinant full length protein - Human, Mouse, Rat, Human samples. Cited in 19 publications.

View Alternative Names

Signal transducer and activator of transcription 5B, STAT5B

13 Images
Flow Cytometry (Intracellular) - Anti-STAT5a + STAT5b antibody [EPR16671-40] (AB194898)
  • Flow Cyt (Intra)

Lab

Flow Cytometry (Intracellular) - Anti-STAT5a + STAT5b antibody [EPR16671-40] (AB194898)

Flow cytometry overlay histogram showing left K-562 positive cells and right negative PC3 stained with ab194898 (red line). The cells were fixed with 4% formaldehyde (10 min) and then permeabilised with 0.1% PBS-Triton X-100 for 15 min. The cells were then incubated in 1x PBS containing 10% normal goat serum to block non-specific protein-protein interaction followed by the antibody (ab194898) (1x 106in 100μl at 0.04μg/ml (1/12500)) for 30min at 22°C.

The secondary antibody Goat Anti-Rabbit IgG H&L (Alexa Fluor® 488) preadsorbed was incubated at 1/4000 for 30min at 22°C

Isotype control antibody (black line) was Recombinant Rabbit IgG, monoclonal [EPR25A] - Isotype Control used at the same concentration and conditions as the primary antibody. Unlabelled sample (blue line) was also used as a control.

Acquisition of >5000 events were collected using a 50 mW Blue laser (488nm) and 525/40 bandpass filter.

This antibody gave a positive signal in K-562 Fixed with 80% methanol (5 min) / permeabilised with 0.1% PBS-Triton X-100 for 15 min under the same conditions.

Immunocytochemistry/ Immunofluorescence - Anti-STAT5a + STAT5b antibody [EPR16671-40] (AB194898)
  • ICC/IF

Supplier Data

Immunocytochemistry/ Immunofluorescence - Anti-STAT5a + STAT5b antibody [EPR16671-40] (AB194898)

Immunofluorescent analysis of 4% paraformaldehyde-fixed, 0.1% Triton X-100 permeabilized K562 (Human chronic myelogenous leukemia cells from bone marrow) cells labeling STAT5a + STAT5b with ab194898 at 1/250 dilution, followed by Goat anti-rabbit IgG (Alexa Fluor® 488) (ab150077) secondary antibody at 1/400 dilution (green). Confocal image showing both cytoplasmic and nuclear staining on K562 cell line. The nuclear counter stain is DAPI (blue). Tubulin is detected with ab7291 (anti-Tubulin mouse mAb) at 1/500 dilution and ab150120 (AlexaFluor® 594 Goat anti-Mouse secondary) at 1/500 dilution (red).
The negative controls are as follows :
1. ab194898 at 1/250 dilution followed by ab150120 (Alexa Fluor® 594 Goat anti-Mouse secondary) at 1/500 dilution.
2. ab7291 (anti-Tubulin mouse mAb) at 1/500 dilution followed by ab150077 (Alexa Fluor® 488 Goat Anti-Rabbit IgG H&L) at 1/400 dilution.

Flow Cytometry (Intracellular) - Anti-STAT5a + STAT5b antibody [EPR16671-40] (AB194898)
  • Flow Cyt (Intra)

Supplier Data

Flow Cytometry (Intracellular) - Anti-STAT5a + STAT5b antibody [EPR16671-40] (AB194898)

Intracellular flow cytometric analysis of 2% paraformaldehyde-fixed K562 (Human chronic myelogenous leukemia cells from bone marrow) cells labeling STAT5a +STAT5b with ab194898 at 1/80 dilution (red) compared with a rabbit monoclonal IgG isotype control (black) and a unlabelled control (cells without incubation with primary antibody and secondary antibody; blue). Goat anti rabbit IgG (FITC) at 1/150 dilution was used as the secondary antibody.

Immunohistochemistry (Formalin/PFA-fixed paraffin-embedded sections) - Anti-STAT5a + STAT5b antibody [EPR16671-40] (AB194898)
  • IHC-P

Supplier Data

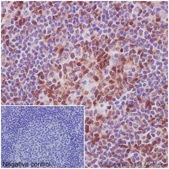
Immunohistochemistry (Formalin/PFA-fixed paraffin-embedded sections) - Anti-STAT5a + STAT5b antibody [EPR16671-40] (AB194898)

Immunohistochemical analysis of paraffin-embedded human tonsil tissue labeling STAT5a + STAT5b using ab194898 at 1/2000 dilution. A Goat Anti-Rabbit IgG H&L (HRP) (ab97051) at 1/500 was used as secondary. Counter stained with Hematoxylin.
Inset image : negative control obtained using PBS instead of ab194898.
Nuclear and weak cytoplasmic staining on lymphocytes of human tonsil is observed.

Perform heat mediated antigen retrieval with Tris/EDTA buffer pH 9.0 before commencing with IHC staining protocol.

Immunoprecipitation - Anti-STAT5a + STAT5b antibody [EPR16671-40] (AB194898)
  • IP

Supplier Data

Immunoprecipitation - Anti-STAT5a + STAT5b antibody [EPR16671-40] (AB194898)

STAT5a + STAT5b were co-immunoprecipitated from 1mg of K562 (Human chronic myelogenous leukemia cells from bone marrow) cells with ab194898 at 1/100 dilution. Western blot was performed from the immunoprecipitate using ab178941 (Rabbit monoclonal [EPR16671] to STAT5b) at 1/1000 dilution. Goat Anti-Rabbit IgG, (H+L), Peroxidase conjugated, was used as secondary antibody at 1/1000 dilution.

Blocking and dilution buffer and concentration : 5% NFDM/TBST.

All lanes:

Immunoprecipitation - Anti-STAT5a + STAT5b antibody [EPR16671-40] (ab194898)

false

Immunoprecipitation - Anti-STAT5a + STAT5b antibody [EPR16671-40] (AB194898)
  • IP

Supplier Data

Immunoprecipitation - Anti-STAT5a + STAT5b antibody [EPR16671-40] (AB194898)

STAT5a + STAT5b were co-immunoprecipitated from 1mg of K562 (Human chronic myelogenous leukemia cells from bone marrow) cells with ab194898 at 1/100 dilution. Western blot was performed from the immunoprecipitate using ab32043 (Rabbit monoclonal [E289] to STAT5a) at 1/1000 dilution. Goat Anti-Rabbit IgG, (H+L), Peroxidase conjugated, was used as secondary antibody at 1/1000 dilution.

Blocking and dilution buffer and concentration : 5% NFDM/TBST.

All lanes:

Immunoprecipitation - Anti-STAT5a + STAT5b antibody [EPR16671-40] (ab194898)

false

Immunoprecipitation - Anti-STAT5a + STAT5b antibody [EPR16671-40] (AB194898)
  • IP

Supplier Data

Immunoprecipitation - Anti-STAT5a + STAT5b antibody [EPR16671-40] (AB194898)

STAT5a and STAT5b were immunoprecipitated from 1mg of K562 (Human chronic myelogenous leukemia cells from bone marrow) cells with ab194898 at 1/100 dilution. Western blot was performed from the immunoprecipitate using ab194898 at 1/1000 dilution. Goat Anti-Rabbit IgG, (H+L), Peroxidase conjugated, was used as secondary antibody at 1/1000 dilution.

Blocking and dilution buffer and concentration : 5% NFDM/TBST.

All lanes:

Immunoprecipitation - Anti-STAT5a + STAT5b antibody [EPR16671-40] (ab194898)

false

Immunohistochemistry (Formalin/PFA-fixed paraffin-embedded sections) - Anti-STAT5a + STAT5b antibody [EPR16671-40] (AB194898)
  • IHC-P

Supplier Data

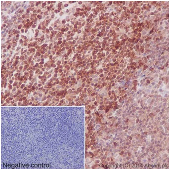
Immunohistochemistry (Formalin/PFA-fixed paraffin-embedded sections) - Anti-STAT5a + STAT5b antibody [EPR16671-40] (AB194898)

Immunohistochemical analysis of paraffin-embedded rat spleen tissue labeling STAT5a + STAT5b using ab194898 at 1/2000 dilution. A Goat Anti-Rabbit IgG H&L (HRP) (ab97051) at 1/500 was used as secondary. Counter stained with Hematoxylin.
Inset image : negative control obtained using PBS instead of ab194898.
Nuclear and weak cytoplasmic staining on lymphocytes of rat spleen is observed.

Perform heat mediated antigen retrieval with Tris/EDTA buffer pH 9.0 before commencing with IHC staining protocol.

Immunohistochemistry (Formalin/PFA-fixed paraffin-embedded sections) - Anti-STAT5a + STAT5b antibody [EPR16671-40] (AB194898)
  • IHC-P

Supplier Data

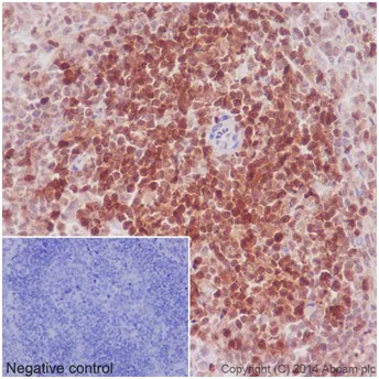
Immunohistochemistry (Formalin/PFA-fixed paraffin-embedded sections) - Anti-STAT5a + STAT5b antibody [EPR16671-40] (AB194898)

Immunohistochemical analysis of paraffin-embedded mouse spleen tissue labeling STAT5a + STAT5b using ab194898 at 1/2000 dilution. A Goat Anti-Rabbit IgG H&L (HRP) (ab97051) at 1/500 was used as secondary. Counter stained with Hematoxylin.
Inset image : negative control obtained using PBS instead of ab194898.
Nuclear and weak cytoplasmic staining on lymphocytes of mouse spleen is observed.

Perform heat mediated antigen retrieval with Tris/EDTA buffer pH 9.0 before commencing with IHC staining protocol.

Western blot - Anti-STAT5a + STAT5b antibody [EPR16671-40] (AB194898)
  • WB

Supplier Data

Western blot - Anti-STAT5a + STAT5b antibody [EPR16671-40] (AB194898)

Blocking/Dilution buffer : 5% NFDM/TBST.

All lanes:

Western blot - Anti-STAT5a + STAT5b antibody [EPR16671-40] (ab194898) at 1/2000 dilution

Lane 1:

Human fetal heart lysates at 10 µg

Lane 2:

Human fetal kidney lysates at 10 µg

Secondary

All lanes:

Anti-Rabbit IgG (HRP), specific to the non-reduced form of IgG at 1/1000 dilution

false

Western blot - Anti-STAT5a + STAT5b antibody [EPR16671-40] (AB194898)
  • WB

Supplier Data

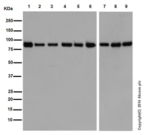
Western blot - Anti-STAT5a + STAT5b antibody [EPR16671-40] (AB194898)

Blocking/Dilution buffer : 5% NFDM/TBST.

All lanes:

Western blot - Anti-STAT5a + STAT5b antibody [EPR16671-40] (ab194898) at 1/20000 dilution

Lane 1:

K562 (Human chronic myelogenous leukemia cells from bone marrow) whole cell lysates at 20 µg

Lane 2:

Jurkat (Human T cell leukemia cells from peripheral blood) whole cell lysates at 20 µg

Lane 3:

Daudi (Human Burkitt's lymphoma cell line) whole cell lysates at 20 µg

Secondary

All lanes:

Goat Anti-Rabbit IgG, (H+L),Peroxidase conjugated at 1/1000 dilution

false

Western blot - Anti-STAT5a + STAT5b antibody [EPR16671-40] (AB194898)
  • WB

Supplier Data

Western blot - Anti-STAT5a + STAT5b antibody [EPR16671-40] (AB194898)

Recombinant human C-terminal Myc/DDK tagged full length STAT5A from a commercial source.

Blocking/Dilution buffer : 5% NFDM/TBST.

All lanes:

Western blot - Anti-STAT5a + STAT5b antibody [EPR16671-40] (ab194898) at 1/1000 dilution

All lanes:

Human STAT5A full length recombinant protein at 10 µg

Secondary

All lanes:

Goat Anti-Rabbit IgG, (H+L),Peroxidase conjugated at 1/1000 dilution

Predicted band size: 126 kDa,57 kDa

false

Western blot - Anti-STAT5a + STAT5b antibody [EPR16671-40] (AB194898)
  • WB

Supplier Data

Western blot - Anti-STAT5a + STAT5b antibody [EPR16671-40] (AB194898)

Blocking/Dilution buffer : 5% NFDM/TBST.

All lanes:

Western blot - Anti-STAT5a + STAT5b antibody [EPR16671-40] (ab194898) at 1/2000 dilution

Lane 1:

mouse heart lysates at 10 µg

Lane 2:

mouse kidney lysates at 10 µg

Lane 3:

mouse spleen lysates at 10 µg

Lane 4:

rat brain lysates at 10 µg

Lane 5:

rat heart lysates at 10 µg

Lane 6:

rat spleen lysates at 10 µg

Lane 7:

RAW 264.7 (Mouse macrophage cells transformed with Abelson murine leukemia virus) whole cell lysates at 10 µg

Lane 8:

PC12 (Rat adrenal gland pheochromocytoma) whole cell lysates at 10 µg

Lane 9:

NIH3T3 (Mouse embyro fibroblast cells) whole cell lysates at 10 µg

Secondary

All lanes:

Goat Anti-Rabbit IgG, (H+L),Peroxidase conjugated at 1/1000 dilution

false

  • Carrier free

    Anti-STAT5a + STAT5b antibody [EPR16671-40] - BSA and Azide free

  • 665 Alexa Fluor® 647

    Alexa Fluor® 647 Anti-STAT5a + STAT5b antibody [EPR16671-40]

  • 519 Alexa Fluor® 488

    Alexa Fluor® 488 Anti-STAT5a + STAT5b antibody [EPR16671-40]

  • 578 PE

    PE Anti-STAT5a + STAT5b antibody [EPR16671-40]

Key facts

Host species

Rabbit

Clonality

Monoclonal

Clone number

EPR16671-40

Isotype

IgG

Carrier free

No

Reacts with

Mouse, Rat, Human

Applications

IHC-P, IP, ICC/IF, WB, Flow Cyt (Intra)

applications

Immunogen

The exact immunogen used to generate this antibody is proprietary information.

Reactivity data

{ "title": "Reactivity Data", "filters": { "stats": ["", "Species", "Dilution Info", "Notes"], "tabs": { "all-applications": {"fullname" : "All Applications", "shortname": "All Applications"}, "WB" : {"fullname" : "Western blot", "shortname":"WB"}, "IP" : {"fullname" : "Immunoprecipitation", "shortname":"IP"}, "ICCIF" : {"fullname" : "Immunocytochemistry/ Immunofluorescence", "shortname":"ICC/IF"}, "FlowCytIntra" : {"fullname" : "Flow Cytometry (Intracellular)", "shortname":"Flow Cyt (Intra)"}, "IHCP" : {"fullname" : "Immunohistochemistry (Formalin/PFA-fixed paraffin-embedded sections)", "shortname":"IHC-P"} }, "product-promise": { "all": "all", "testedAndGuaranteed": "tested", "guaranteed": "expected", "predicted": "predicted", "notRecommended": "not-recommended" } }, "values": { "Human": { "WB-species-checked": "testedAndGuaranteed", "WB-species-dilution-info": "1/2000", "WB-species-notes": "<p></p>", "IP-species-checked": "testedAndGuaranteed", "IP-species-dilution-info": "1/100", "IP-species-notes": "<p></p>", "ICCIF-species-checked": "testedAndGuaranteed", "ICCIF-species-dilution-info": "1/250", "ICCIF-species-notes": "<p></p>", "FlowCytIntra-species-checked": "testedAndGuaranteed", "FlowCytIntra-species-dilution-info": "1/80", "FlowCytIntra-species-notes": "<p><a href='/en-us/products/primary-antibodies/rabbit-igg-monoclonal-epr25a-isotype-control-ab172730'>ab172730</a> - Rabbit monoclonal IgG, is suitable for use as an isotype control with this antibody.</p>", "IHCP-species-checked": "testedAndGuaranteed", "IHCP-species-dilution-info": "1/2000", "IHCP-species-notes": "<p></p> Perform heat-mediated antigen retrieval with Tris/EDTA buffer pH 9.0 before commencing with IHC staining protocol." }, "Mouse": { "WB-species-checked": "testedAndGuaranteed", "WB-species-dilution-info": "1/2000", "WB-species-notes": "<p></p>", "IP-species-checked": "guaranteed", "IP-species-dilution-info": "", "IP-species-notes": "", "ICCIF-species-checked": "guaranteed", "ICCIF-species-dilution-info": "", "ICCIF-species-notes": "", "FlowCytIntra-species-checked": "guaranteed", "FlowCytIntra-species-dilution-info": "", "FlowCytIntra-species-notes": "", "IHCP-species-checked": "testedAndGuaranteed", "IHCP-species-dilution-info": "1/2000", "IHCP-species-notes": "<p></p> Perform heat-mediated antigen retrieval with Tris/EDTA buffer pH 9.0 before commencing with IHC staining protocol." }, "Rat": { "WB-species-checked": "testedAndGuaranteed", "WB-species-dilution-info": "1/2000", "WB-species-notes": "<p></p>", "IP-species-checked": "guaranteed", "IP-species-dilution-info": "", "IP-species-notes": "", "ICCIF-species-checked": "guaranteed", "ICCIF-species-dilution-info": "", "ICCIF-species-notes": "", "FlowCytIntra-species-checked": "guaranteed", "FlowCytIntra-species-dilution-info": "", "FlowCytIntra-species-notes": "", "IHCP-species-checked": "testedAndGuaranteed", "IHCP-species-dilution-info": "1/2000", "IHCP-species-notes": "<p></p> Perform heat-mediated antigen retrieval with Tris/EDTA buffer pH 9.0 before commencing with IHC staining protocol." }, "Recombinant full length protein - Human": { "WB-species-checked": "testedAndGuaranteed", "WB-species-dilution-info": "1/2000", "WB-species-notes": "<p></p>", "IP-species-checked": "notRecommended", "IP-species-dilution-info": "", "IP-species-notes": "", "ICCIF-species-checked": "notRecommended", "ICCIF-species-dilution-info": "", "ICCIF-species-notes": "", "FlowCytIntra-species-checked": "notRecommended", "FlowCytIntra-species-dilution-info": "", "FlowCytIntra-species-notes": "", "IHCP-species-checked": "notRecommended", "IHCP-species-dilution-info": "", "IHCP-species-notes": "" } } }

Product details

Patented technology
Our RabMAb® technology is a patented hybridoma-based technology for making rabbit monoclonal antibodies. For details on our patents, please refer to RabMAb® patents.

What are the advantages of a recombinant monoclonal antibody?
This product is a recombinant monoclonal antibody, which offers several advantages including:

  • - High batch-to-batch consistency and reproducibility
  • - Improved sensitivity and specificity
  • - Long-term security of supply
  • - Animal-free batch production

For more information, read more on recombinant antibodies.

Properties and storage information

Form
Liquid
Purification technique
Affinity purification Protein A
Storage buffer
pH: 7.2 - 7.4 Preservative: 0.01% Sodium azide Constituents: PBS, 40% Glycerol (glycerin, glycerine), 0.05% BSA
Shipped at conditions
Blue Ice
Appropriate short-term storage duration
1-2 weeks
Appropriate short-term storage conditions
+4°C
Appropriate long-term storage conditions
-20°C
Aliquoting information
Upon delivery aliquot
Storage information
Avoid freeze / thaw cycle

Supplementary information

This supplementary information is collated from multiple sources and compiled automatically.

STAT5a and STAT5b known jointly as members of the Signal Transducers and Activators of Transcription family play critical roles as transcription factors. They have molecular masses of approximately 94 kDa and 92 kDa respectively. These proteins share significant sequence similarity and are expressed in a wide range of tissues including hematopoietic cells liver and mammary glands. STAT5 proteins become activated in response to cytokines and growth factors where they dimerize and translocate to the cell nucleus to regulate gene expression.
Biological function summary

They are involved in mediating cytokine signaling by forming homo- or heterodimers upon phosphorylation by Janus kinases (JAKs). In the cytoplasm the formation of these dimers allows STAT5 to interact with DNA in the nucleus leading to the transcription of various genes important for cell proliferation differentiation and apoptosis. STAT5 has a significant role in cell cycle control and immune responses. The dimerization process involves complex formation and is an important part of its intracellular signaling cascade.

Pathways

STAT5a and STAT5b operate prominently within the JAK-STAT pathway. They are activated by proteins such as IL-2 IL-3 and Growth Hormone leading to transcriptional activity that affects growth and survival across various cell types. Besides the JAK-STAT pathway STAT5 interacts closely with the PI3K/AKT pathway thereby linking to cell survival signals. The cross-talk between these pathways enables fine-tuning of cellular responses to external stimuli and integrates signals from diverse receptors and ligands.

STAT5 deregulated activity associates with various cancers such as leukemia and breast cancer due to its role in promoting excessive cell proliferation and survival. Abnormal activity in STAT5 can also contribute to disorders like autoimmune diseases due to its impact on immune cell regulation. In diseases like these STAT5 interacts notably with proteins such as BCL-2 and MYC which are critical modulators of cell death and growth pathways. Understanding the involvement of STAT5 in disease mechanisms provides opportunities for developing targeted therapeutics.

Product protocols

For this product, it's our understanding that no specific protocols are required. You can visit:

Target data

Carries out a dual function : signal transduction and activation of transcription (PubMed : 29844444). Mediates cellular responses to the cytokine KITLG/SCF and other growth factors. Binds to the GAS element and activates PRL-induced transcription. Positively regulates hematopoietic/erythroid differentiation.
See full target information STAT5B

Additional targets

STAT5A

Publications (19)

Recent publications for all applications. Explore the full list and refine your search

JCI insight 10: PubMed40985892

2025

HMGB1 couples LEF1 to regulate B cell immunity.

Applications

Unspecified application

Species

Unspecified reactive species

Qiuyue Chen,Ziyin Zhang,Nanshu Xiang,Li Luo,Xin Dai,Danqing Kang,Lu Yang,Yingzi Zhu,Jiang Chang,Yukai Jing,Na Li,Qianglin Chen,Panpan Jiang,Ju Liu,Yanmei Huang,Heather Miller,Xinyuan Zhou,Fang Zheng,Quan Gong,Chaohong Liu

Journal of neuroinflammation 22:174 PubMed40618163

2025

LAG3 limits regulatory T cell proliferation in α-synuclein gut-to-brain transmission model.

Applications

Unspecified application

Species

Unspecified reactive species

Wei-Xin Kong,Zhi-Ling Zhang,Jin Li,Si Zhu,Chong Li,Xiao-Li Dong,Ting-Ting Gan,Di Hu,Feng-Chu Liang,Ping-Yi Xu,Wen-Yuan Guo

Cell death & disease 16:197 PubMed40118821

2025

Decoy-PROTAC for specific degradation of "Undruggable" STAT3 transcription factor.

Applications

Unspecified application

Species

Unspecified reactive species

Shiqing Li,Xin Wang,Jiabao Huang,Xiuping Cao,Yana Liu,Shiyan Bai,Tao Zeng,Qi Chen,Chunsen Li,Chunhua Lu,Huanghao Yang

International journal of molecular sciences 26: PubMed40003884

2025

Association of Selected STAT Inhibitors with Prolactin-Induced Protein (PIP) in Breast Cancer.

Applications

Unspecified application

Species

Unspecified reactive species

Karolina Jabłońska,Alicja Kmiecik,Katarzyna Nowińska,Aleksandra Piotrowska,Jarosław Suchański,Katarzyna Ratajczak-Wielgomas,Aleksandra Partyńska,Hanna Romanowicz,Beata Smolarz,Rafał Matkowski,Piotr Dzięgiel

Advanced science (Weinheim, Baden-Wurttemberg, Germany) 11:e2403939 PubMed39412083

2024

PGRN Inhibits Early B-cell Activation and IgE Production Through the IFITM3-STAT1 Signaling Pathway in Asthma.

Applications

Unspecified application

Species

Unspecified reactive species

Pingping Zhang,Changshun Ruan,Guangli Yang,Yaning Guan,Yin Zhu,Qian Li,Xin Dai,Yang An,Xiaoqi Shi,Pei Huang,Yan Chen,Zhixu He,Zuochen Du,Chaohong Liu

Nature communications 15:7372 PubMed39191751

2024

Tyrosine phosphorylation of both STAT5A and STAT5B is necessary for maximal IL-2 signaling and T cell proliferation.

Applications

Unspecified application

Species

Unspecified reactive species

Jian-Xin Lin,Meili Ge,Cheng-Yu Liu,Ronald Holewinski,Thorkell Andresson,Zu-Xi Yu,Tesfay Gebregiorgis,Rosanne Spolski,Peng Li,Warren J Leonard

Cell reports. Medicine 4:101286 PubMed37951217

2023

A combinatorial therapeutic approach to enhance FLT3-ITD AML treatment.

Applications

Unspecified application

Species

Unspecified reactive species

Jun Long,Xinjie Chen,Yan Shen,Yichen Lei,Lili Mu,Zhen Wang,Rufang Xiang,Wenhui Gao,Lining Wang,Ling Wang,Jieling Jiang,Wenjun Zhang,Huina Lu,Yan Dong,Yi Ding,Honghu Zhu,Dengli Hong,Yi Eve Sun,Jiong Hu,Aibin Liang

JCI insight 7: PubMed36509291

2022

Small-molecule PROTAC mediates targeted protein degradation to treat STAT3-dependent epithelial cancer.

Applications

Unspecified application

Species

Unspecified reactive species

Jinmei Jin,Yaping Wu,Zeng Zhao,Ye Wu,Yu-Dong Zhou,Sanhong Liu,Qingyan Sun,Guizhu Yang,Jiayi Lin,Dale G Nagle,Jiangjiang Qin,Zhiyuan Zhang,Hong-Zhuan Chen,Weidong Zhang,Shuyang Sun,Xin Luan

Clinical and translational medicine 12:e887 PubMed35875970

2022

Involvement of MST1/mTORC1/STAT1 activity in the regulation of B-cell receptor signalling by chemokine receptor 2.

Applications

Unspecified application

Species

Unspecified reactive species

Yingzi Zhu,Heng Gu,Lu Yang,Na Li,Qiuyue Chen,Danqing Kang,Shengyan Lin,Yukai Jing,Panpan Jiang,Qianglin Chen,Li Luo,Ju Liu,Jiang Chang,Zhenzhen Li,Yi Wang,Xin Dai,Heather Miller,Lisa S Westerberg,Chan-Sik Park,Masato Kubo,Quan Gong,Lingli Dong,Chaohong Liu

Molecular therapy oncolytics 24:340-354 PubMed35118192

2022

Narciclasine targets STAT3 via distinct mechanisms in tamoxifen-resistant breast cancer cells.

Applications

Unspecified application

Species

Unspecified reactive species

Chao Lv,Yun Huang,Rui Huang,Qun Wang,Hongwei Zhang,Jinmei Jin,Dong Lu,Yudong Zhou,Yunheng Shen,Weidong Zhang,Xin Luan,Sanhong Liu
View all publications

Product promise

We are committed to supporting your work with high-quality reagents, and we're here for you every step of the way. In the unlikely event that one of our products does not perform as expected, you're protected by our Product Promise.
For full details, please see our Terms & Conditions

Please note: All products are 'FOR RESEARCH USE ONLY. NOT FOR USE IN DIAGNOSTIC OR THERAPEUTIC PROCEDURES'.

For licensing inquiries, please contact partnerships@abcam.com