JavaScript is disabled in your browser. Please enable JavaScript to view this website.
AB240211

Anti-STAT5b antibody [EPR16671] - BSA and Azide free

Be the first to review this product! Submit a review

|

(2 Publications)

Knockout Tested Rabbit Recombinant Monoclonal STAT5b antibody. Carrier free. Suitable for IP, ChIP, WB, ICC/IF, Flow Cyt (Intra), IHC-P and reacts with Human, Mouse, Rat samples. Cited in 2 publications.

View Alternative Names

Signal transducer and activator of transcription 5B, STAT5B

12 Images
Immunocytochemistry/ Immunofluorescence - Anti-STAT5b antibody [EPR16671] - BSA and Azide free (AB240211)
  • ICC/IF

Supplier Data

Immunocytochemistry/ Immunofluorescence - Anti-STAT5b antibody [EPR16671] - BSA and Azide free (AB240211)

Immunofluorescent analysis of 4% paraformaldehyde-fixed HeLa (Human epithelial cells from cervix adenocarcinoma) cells labeling STAT5b with ab178941 at 1/100 dilution. The cells were permeabilised with 0.1% Triton X-100. Goat anti-rabbit IgG (Alexa Fluor® 488) (ab150077) at 1/200 dilution was used as the secondary antibody (green). Nuclear and cytoplasm staining is detected. The nuclear counter stain is DAPI (blue). Tubulin is detected with ab7291 (Tubulin mouse mAb) at 1/500 and ab150120 (AlexaFluor®594 Goat anti-Mouse secondary) at 1/400 dilution (red).

The negative controls are as follows;

1. ab178941 at 1/100 dilution followed by Goat anti mouse IgG (Alexa Fluor®594) at 1/400 dilution.
2. ab7291 (anti-Tubulin mouse mAb) at 1/500 dilution followed by Goat anti rabbit IgG (Alexa Fluor®488) ar 1/200 dilution.

This data was developed using the same antibody clone in a different buffer formulation containing PBS, BSA, glycerol, and sodium azide (ab178941).

Flow Cytometry (Intracellular) - Anti-STAT5b antibody [EPR16671] - BSA and Azide free (AB240211)
  • Flow Cyt (Intra)

Lab

Flow Cytometry (Intracellular) - Anti-STAT5b antibody [EPR16671] - BSA and Azide free (AB240211)

Intracellular Flow Cytometry analysis of 2% paraformaldehyde K562 (Human chronic myelogenous leukemia cells from bone marrow) cells labeling STAT5b with ab178941 at 1/60 dilution (red line). Secondary antibody used is a goat anti rabbit IgG (FITC) at 1/150 dilution. The isotype control is rabbit monoclonal IgG (black line).

This data was developed using the same antibody clone in a different buffer formulation containing PBS, BSA, glycerol, and sodium azide (ab178941).

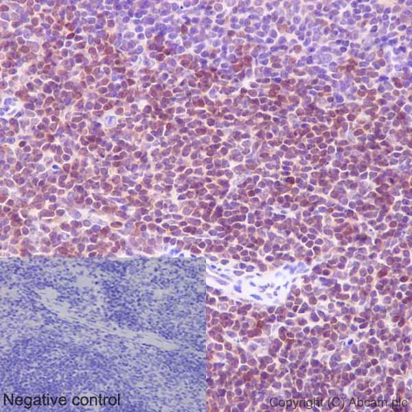
Immunohistochemistry (Formalin/PFA-fixed paraffin-embedded sections) - Anti-STAT5b antibody [EPR16671] - BSA and Azide free (AB240211)
  • IHC-P

Supplier Data

Immunohistochemistry (Formalin/PFA-fixed paraffin-embedded sections) - Anti-STAT5b antibody [EPR16671] - BSA and Azide free (AB240211)

Immunohistochemical analysis of paraffin-embedded Human spleen tissue labeling STAT5b with ab178941 at 1/500 dilution, followed by prediluted HRP Polymer for Rabbit/Mouse IgG. Nucleus staining on lymphocytes of Human spleen is detected. The negative control utilised PBS instead of primary antibody. Counter stained with Hematoxylin.

This data was developed using the same antibody clone in a different buffer formulation containing PBS, BSA, glycerol, and sodium azide (ab178941).

Perform heat mediated antigen retrieval with Tris/EDTA buffer pH 9.0 before commencing with IHC staining protocol.

Flow Cytometry (Intracellular) - Anti-STAT5b antibody [EPR16671] - BSA and Azide free (AB240211)
  • Flow Cyt (Intra)

Lab

Flow Cytometry (Intracellular) - Anti-STAT5b antibody [EPR16671] - BSA and Azide free (AB240211)

ab178941 staining STAT5b in the human cell line HeLa (human cervix adenocarcinoma) by intracellular flow cytometry. Cells were fixed with 4% paraformaldehyde and the sample was incubated with the primary antibody at a dilution of 1/40. A goat anti rabbit IgG (Alexa Fluor® 488) at a dilution of 1/2000 was used as the secondary antibody.

Isoytype control : Rabbit monoclonal IgG (Black)

Unlabelled control : Cell without incubation with primary antibody and secondary antibody (Blue)

This data was developed using the same antibody clone in a different buffer formulation containing PBS, BSA, glycerol, and sodium azide (ab178941).

Immunoprecipitation - Anti-STAT5b antibody [EPR16671] - BSA and Azide free (AB240211)
  • IP

Lab

Immunoprecipitation - Anti-STAT5b antibody [EPR16671] - BSA and Azide free (AB240211)

This data was developed using the same antibody clone in a different buffer formulation (ab178941)

Immunoprecipitation of STAT5B in HAP1 cells. Lysates were prepared and immunoprecipitation was performed using 2.0 µg of ab178941 pre-coupled to Protein A beads. Samples were washed and processed for western blot with STAT5 beta Monoclonal Antibody at 1/200.

This data was provided by YCharOS Inc., an open science company with the mission of characterizing commercially available antibody reagents for all human proteins. Abcam and YCharOS are working together to help address the reproducibility crisis by enabling the life science community to better evaluate commercially available antibodies.

All lanes:

STAT5 beta Monoclonal Antibody at 1/200 dilution

All lanes:

HAP1 cells

Observed band size: 89 kDa

false

ChIP - Anti-STAT5b antibody [EPR16671] - BSA and Azide free (AB240211)
  • ChIP

Unknown

ChIP - Anti-STAT5b antibody [EPR16671] - BSA and Azide free (AB240211)

Chromatin was prepared from T-47D (starved overnight) treated with Prolactin(10nM 30min) and T-47D (starved overnight) non-treated cells according to the Abcam Dual-X-ChIP protocol*. Cells were fixed with 1.5 mM EGS for 30mins and then formaldehyde for 10min.
The ChIP was performed with 25 μg of chromatin, 5 μg of ab178941 (red), or 5 μg of rabbit normal IgG ab172730 (gray) and 20 μL of Protein A/G sepharose beads. The immunoprecipitated DNA was quantified by real time PCR (Sybr green approach).
Primers are from PMID : 15686596.
This data was developed using the same antibody clone in a different buffer formulation containing PBS, BSA, glycerol, and sodium azide (ab178941).

*http : //www.abcam.com/resources?keywords=X%20ChIP%20protocol

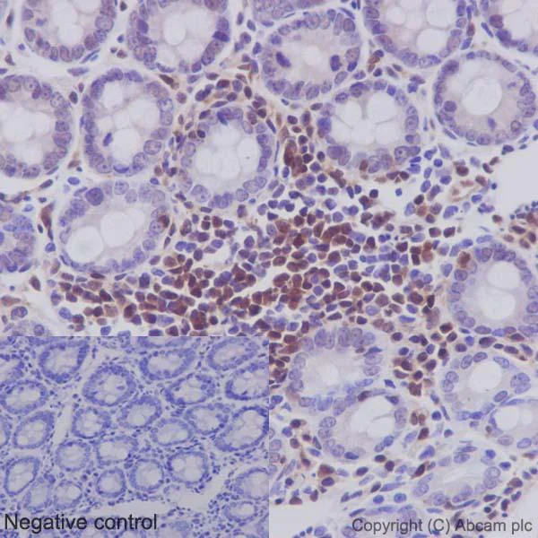
Immunohistochemistry (Formalin/PFA-fixed paraffin-embedded sections) - Anti-STAT5b antibody [EPR16671] - BSA and Azide free (AB240211)
  • IHC-P

Supplier Data

Immunohistochemistry (Formalin/PFA-fixed paraffin-embedded sections) - Anti-STAT5b antibody [EPR16671] - BSA and Azide free (AB240211)

Immunohistochemical analysis of paraffin-embedded Rat colon tissue labeling STAT5b with ab178941 at 1/500 dilution, followed by prediluted HRP Polymer for Rabbit/Mouse IgG. Nucleus staining on lymphocytes and weak nucleus staining on gland epithelium of colon is detected. The negative control utilised PBS insead of primary antibody and the slide is counter stained with Hematoxylin.

This data was developed using the same antibody clone in a different buffer formulation containing PBS, BSA, glycerol, and sodium azide (ab178941).

Perform heat mediated antigen retrieval with Tris/EDTA buffer pH 9.0 before commencing with IHC staining protocol.

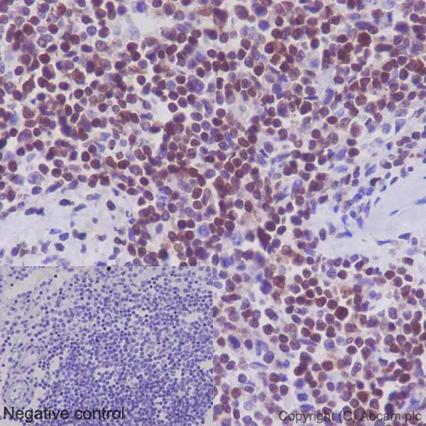
Immunohistochemistry (Formalin/PFA-fixed paraffin-embedded sections) - Anti-STAT5b antibody [EPR16671] - BSA and Azide free (AB240211)
  • IHC-P

Supplier Data

Immunohistochemistry (Formalin/PFA-fixed paraffin-embedded sections) - Anti-STAT5b antibody [EPR16671] - BSA and Azide free (AB240211)

Immunohistochemical analysis of paraffin-embedded Mouse spleen tissue labeling STAT5b with ab178941 at 1/500 dilution, followed by prediluted HRP Polymer for Rabbit/Mouse IgG. Nucleus staining on lymphocytes of Mouse spleen is detected. The negative control utilised PBS instead of primary antibody. Counter stained with Hematoxylin.

This data was developed using the same antibody clone in a different buffer formulation containing PBS, BSA, glycerol, and sodium azide (ab178941).

Perform heat mediated antigen retrieval with Tris/EDTA buffer pH 9.0 before commencing with IHC staining protocol.

Western blot - Anti-STAT5b antibody [EPR16671] - BSA and Azide free (AB240211)
  • WB

Lab

Western blot - Anti-STAT5b antibody [EPR16671] - BSA and Azide free (AB240211)

This data was developed using the same antibody clone in a different buffer formulation (ab178941)

ab178941 was shown to react with STAT5B in wild-type HAP1 cells in Western blot with loss of signal observed in a STAT5B knockout cell line. Wild-type HAP1 and STAT5B knockout cell lysates were subjected to SDS-PAGE. Membranes were blocked in 5% milk in TBST for 1 hr before incubation with ab178941 overnight at 4 °C at a 1/1000 dilution. Blots were incubated with secondary antibodies at 0.2ug/mL before imaging.

This data was provided by YCharOS Inc., an open science company with the mission of characterizing commercially available antibody reagents for all human proteins. Abcam and YCharOS are working together to help address the reproducibility crisis by enabling the life science community to better evaluate commercially available antibodies.

All lanes:

Western blot - Anti-STAT5b antibody [EPR16671] (<a href='/en-us/products/primary-antibodies/stat5b-antibody-epr16671-ab178941'>ab178941</a>) at 1/1000 dilution

Lane 1:

Wild-type HAP1 lysate at 20 µg

Lane 2:

STAT5B knock-out HAP1 lysate at 20 µg

Observed band size: 89 kDa

false

Immunoprecipitation - Anti-STAT5b antibody [EPR16671] - BSA and Azide free (AB240211)
  • IP

Supplier Data

Immunoprecipitation - Anti-STAT5b antibody [EPR16671] - BSA and Azide free (AB240211)

Immunoprecipitation of K562 (Human chronic myelogenous leukemia cells from bone marrow) whole cell extract using ab178941 at 1/40 dilution. Western blot detection of STAT5b utilised ab178941 at 1/2000 dilution and Goat Anti-Rabbit IgG, (H+L), Peroxidase conjugated secondary antibody at 1/1000 dilution. The blocking and dilution buffer was 5% NFDM/TBST.

This data was developed using the same antibody clone in a different buffer formulation containing PBS, BSA, glycerol, and sodium azide (ab178941).

All lanes:

Immunoprecipitation - Anti-STAT5b antibody [EPR16671] (<a href='/en-us/products/primary-antibodies/stat5b-antibody-epr16671-ab178941'>ab178941</a>)

Predicted band size: 89 kDa

Observed band size: 90 kDa

false

Immunoprecipitation - Anti-STAT5b antibody [EPR16671] - BSA and Azide free (AB240211)
  • IP

Supplier Data

Immunoprecipitation - Anti-STAT5b antibody [EPR16671] - BSA and Azide free (AB240211)

Cross Immunoprecipitation of K562 (Human chronic myelogenous leukemia cells from bone marrow) whole cell extract showing no cross reactivity with STAT5a. Protein captured by anti-STAT5a antibody (ab32042) was detected by the same antibody in WB (image 1) but not by anti-STAT5b, ab178941 (image 2).

For WB detection, ab178941 was used at a 1/2000 dilution and Goat Anti-Rabbit IgG, (H+L), Peroxidase conjugated secondary antibody at a 1/1000 dilution. The blocking and dilution buffer was 5% NFDM/TBST.

This data was developed using the same antibody clone in a different buffer formulation containing PBS, BSA, glycerol, and sodium azide (ab178941).

All lanes:

Immunoprecipitation - Anti-STAT5b antibody [EPR16671] (<a href='/en-us/products/primary-antibodies/stat5b-antibody-epr16671-ab178941'>ab178941</a>)

Predicted band size: 89 kDa

false

Western blot - Anti-STAT5b antibody [EPR16671] - BSA and Azide free (AB240211)
  • WB

Lab

Western blot - Anti-STAT5b antibody [EPR16671] - BSA and Azide free (AB240211)

This data was developed using the same antibody clone in a different buffer formulation (ab178941).

Lanes 1-2 : Merged signal (red and green). Green - ab178941 observed at 90 kDa. Red - loading control ab8245 observed at 37 kDa.

ab178941 Anti-STAT5b antibody [EPR16671] was shown to specifically react with STAT5b in wild-type HeLa cells. Loss of signal was observed when knockout cell line ab266006 (knockout cell lysate ab257710) was used. Wild-type and STAT5b knockout samples were subjected to SDS-PAGE. ab178941 and Anti-GAPDH antibody [6C5] - Loading Control (ab8245) were incubated overnight at 4°C at 1 in 20000 and 1 in 20000 dilution respectively. Blots were developed with Goat anti-Rabbit IgG H&L (IRDye® 800CW) preadsorbed (ab216773) and Goat anti-Mouse IgG H&L (IRDye® 680RD) preadsorbed (ab216776) secondary antibodies at 1 in 20000 dilution for 1 hour at room temperature before imaging.

All lanes:

Western blot - Anti-STAT5b antibody [EPR16671] (<a href='/en-us/products/primary-antibodies/stat5b-antibody-epr16671-ab178941'>ab178941</a>) at 1/20000 dilution

Lane 1:

Wild-type HeLa cell lysate at 20 µg

Lane 2:

STAT5B knockout HeLa cell lysate at 20 µg

Lane 2:

Western blot - Human STAT5B knockout HeLa cell line (<a href='/en-us/products/cell-lines/human-stat5b-knockout-hela-cell-line-ab266006'>ab266006</a>)

Predicted band size: 89 kDa

Observed band size: 90 kDa

false

Key facts

Host species

Rabbit

Clonality

Monoclonal

Clone number

EPR16671

Isotype

IgG

Carrier free

Yes

Reacts with

Mouse, Rat, Human

Applications

ICC/IF, IHC-P, ChIP, WB, IP, Flow Cyt (Intra)

applications

Immunogen

The exact immunogen used to generate this antibody is proprietary information.

Specificity

This antibody shows no cross reactivity with STAT5a.

Reactivity data

{ "title": "Reactivity Data", "filters": { "stats": ["", "Species", "Dilution Info", "Notes"], "tabs": { "all-applications": {"fullname" : "All Applications", "shortname": "All Applications"}, "IP" : {"fullname" : "Immunoprecipitation", "shortname":"IP"}, "ChIP" : {"fullname" : "ChIP", "shortname":"ChIP"}, "WB" : {"fullname" : "Western blot", "shortname":"WB"}, "ICCIF" : {"fullname" : "Immunocytochemistry/ Immunofluorescence", "shortname":"ICC/IF"}, "FlowCytIntra" : {"fullname" : "Flow Cytometry (Intracellular)", "shortname":"Flow Cyt (Intra)"}, "IHCP" : {"fullname" : "Immunohistochemistry (Formalin/PFA-fixed paraffin-embedded sections)", "shortname":"IHC-P"} }, "product-promise": { "all": "all", "testedAndGuaranteed": "tested", "guaranteed": "expected", "predicted": "predicted", "notRecommended": "not-recommended" } }, "values": { "Human": { "IP-species-checked": "testedAndGuaranteed", "IP-species-dilution-info": "", "IP-species-notes": "<p></p>", "ChIP-species-checked": "testedAndGuaranteed", "ChIP-species-dilution-info": "", "ChIP-species-notes": "<p></p>", "WB-species-checked": "testedAndGuaranteed", "WB-species-dilution-info": "", "WB-species-notes": "<p></p>", "ICCIF-species-checked": "testedAndGuaranteed", "ICCIF-species-dilution-info": "", "ICCIF-species-notes": "<p></p>", "FlowCytIntra-species-checked": "testedAndGuaranteed", "FlowCytIntra-species-dilution-info": "", "FlowCytIntra-species-notes": "<p></p>", "IHCP-species-checked": "guaranteed", "IHCP-species-dilution-info": "", "IHCP-species-notes": "" }, "Mouse": { "IP-species-checked": "guaranteed", "IP-species-dilution-info": "", "IP-species-notes": "", "ChIP-species-checked": "guaranteed", "ChIP-species-dilution-info": "", "ChIP-species-notes": "", "WB-species-checked": "testedAndGuaranteed", "WB-species-dilution-info": "", "WB-species-notes": "<p></p>", "ICCIF-species-checked": "guaranteed", "ICCIF-species-dilution-info": "", "ICCIF-species-notes": "", "FlowCytIntra-species-checked": "guaranteed", "FlowCytIntra-species-dilution-info": "", "FlowCytIntra-species-notes": "", "IHCP-species-checked": "guaranteed", "IHCP-species-dilution-info": "", "IHCP-species-notes": "" }, "Rat": { "IP-species-checked": "guaranteed", "IP-species-dilution-info": "", "IP-species-notes": "", "ChIP-species-checked": "guaranteed", "ChIP-species-dilution-info": "", "ChIP-species-notes": "", "WB-species-checked": "testedAndGuaranteed", "WB-species-dilution-info": "", "WB-species-notes": "<p></p>", "ICCIF-species-checked": "guaranteed", "ICCIF-species-dilution-info": "", "ICCIF-species-notes": "", "FlowCytIntra-species-checked": "guaranteed", "FlowCytIntra-species-dilution-info": "", "FlowCytIntra-species-notes": "", "IHCP-species-checked": "testedAndGuaranteed", "IHCP-species-dilution-info": "", "IHCP-species-notes": "<p></p>" } } }

Product details

ab240211 is the carrier-free version of ab178941.

Patented technology
Our RabMAb® technology is a patented hybridoma-based technology for making rabbit monoclonal antibodies. For details on our patents, please refer to RabMAb® patents.

What are the advantages of a recombinant monoclonal antibody?
This product is a recombinant monoclonal antibody, which offers several advantages including:

  • - High batch-to-batch consistency and reproducibility
  • - Improved sensitivity and specificity
  • - Long-term security of supply
  • - Animal-free batch production

For more information, read more on recombinant antibodies.

Conjugation ready
Our carrier-free antibodies are typically supplied in a PBS-only formulation, purified and free of BSA, sodium azide and glycerol. This conjugation-ready format is designed for use with fluorochromes, metal isotopes, oligonucleotides, and enzymes, which makes them ideal for antibody labelling, functional and cell-based assays, flow-based assays (e.g. mass cytometry) and Multiplex Imaging applications.

Use our conjugation kits for antibody conjugates that are ready-to-use in as little as 20 minutes with 1 minute hands-on-time and 100% antibody recovery: available for fluorescent dyes, HRP, biotin and gold.

Compatibility
This product is compatible with the Maxpar® Antibody Labeling Kit from Fluidigm, without the need for antibody preparation. Maxpar® is a trademark of Fluidigm Canada Inc.

Properties and storage information

Form
Liquid
Purification technique
Affinity purification Protein A
Storage buffer
pH: 7.2 - 7.4 Constituents: PBS
Shipped at conditions
Blue Ice
Appropriate short-term storage conditions
+4°C
Appropriate long-term storage conditions
+4°C
Storage information
Do Not Freeze

Supplementary information

This supplementary information is collated from multiple sources and compiled automatically.

STAT5b also known as Signal Transducer and Activator of Transcription 5B is a 92-kDa protein involved in signaling processes within the cell. Mechanically it functions as a transcription factor and shuttles between the cytoplasm and nucleus modulating gene expression according to extracellular signals. Upon cytokine binding STAT5b undergoes phosphorylation allowing it to form dimers and translocate to the nucleus. It is expressed in many tissues including the liver immune cells and mammary glands reflecting its role in diverse physiological processes.
Biological function summary

STAT5b plays an important role in regulating cell growth differentiation and apoptosis. It often acts as part of the STAT protein family binding to specific DNA sequences to activate transcription. STAT5b particularly influences immune function and hematopoiesis driving proliferation and differentiation of lymphoid and myeloid cells. Its activity affects glucose homeostasis growth hormone signaling and lactation highlighting its importance in various physiological states and developmental processes.

Pathways

STAT5b integrates into the JAK-STAT signaling pathway a critical route for conveying extracellular information to the nucleus. This pathway includes JAK kinases which activate STAT5b by phosphorylation upon cytokine-receptor engagement. STAT5b also participates in the growth hormone pathway interacting with proteins such as Growth Hormone Receptor and other STAT family members like STAT3. Through these interactions STAT5b helps regulate gene expression associated with growth and differentiation in response to hormonal signals.

STAT5b links to several conditions such as growth hormone insensitivity and leukemia. In growth disorders defects in STAT5b can impair normal growth hormone signal transduction often involving interplay with proteins like the Growth Hormone Receptor. In leukemias aberrant activation or expression of STAT5b contributes to uncontrolled cellular proliferation often accompanied by deregulation of the JAK-STAT pathway. Research into STAT5b offers insights into potential therapeutic targets for these and other related conditions.

Product protocols

For this product, it's our understanding that no specific protocols are required. You can visit:

Target data

Carries out a dual function : signal transduction and activation of transcription (PubMed : 29844444). Mediates cellular responses to the cytokine KITLG/SCF and other growth factors. Binds to the GAS element and activates PRL-induced transcription. Positively regulates hematopoietic/erythroid differentiation.
See full target information STAT5B

Publications (2)

Recent publications for all applications. Explore the full list and refine your search

Biologics : targets & therapy 18:181-193 PubMed38979130

2024

STAT5B Suppresses Ferroptosis by Promoting DCAF13 Transcription to Regulate p53/xCT Pathway to Promote Mantle Cell Lymphoma Progression.

Applications

Unspecified application

Species

Unspecified reactive species

Wen Jun Zhang,Chong Ling Hu,Bing Ling Guo,Xi Ping Liang,Chao Yu Wang,Tao Yang

Cancer management and research 12:6767-6777 PubMed32801905

2020

Estrogen-Induced Stromal FGF18 Promotes Proliferation and Invasion of Endometrial Carcinoma Cells Through ERK and Akt Signaling.

Applications

Unspecified application

Species

Unspecified reactive species

Jian Wu,Xiang Tao,Hong Zhang,Xiang-Hua Yi,Yin-Hua Yu
View all publications

Product promise

We are committed to supporting your work with high-quality reagents, and we're here for you every step of the way. In the unlikely event that one of our products does not perform as expected, you're protected by our Product Promise.
For full details, please see our Terms & Conditions

Please note: All products are 'FOR RESEARCH USE ONLY. NOT FOR USE IN DIAGNOSTIC OR THERAPEUTIC PROCEDURES'.

For licensing inquiries, please contact partnerships@abcam.com